Варианты соразмерности гонионально-окклюзионной и кондилярно-окклюзионной высоты ветви нижней челюсти при физиологической окклюзии постоянных зубов
- Авторы: Дмитриенко Т.Д.1, Ягупова В.Т.1, Керобян В.И.1
 - 
							Учреждения: 
							
- Волгоградский государственный медицинский университет
 
 - Выпуск: Том 22, № 2 (2025)
 - Страницы: 34-40
 - Раздел: Статьи
 - Статья опубликована: 26.07.2025
 - URL: https://clinpractice.ru/2658-4514/article/view/688300
 - DOI: https://doi.org/10.19163/2658-4514-2025-22-2-34-40
 - ID: 688300
 
Цитировать
Полный текст
Аннотация
Вариабельность размеров ветвей нижней челюсти определяет актуальность оценки соразмерности ее основных частей. В прижизненных условиях особое место в диагностике занимают рентгенологические методы исследования. Цель. Определить основные вертикальные параметры ветви нижней челюсти и ее составных частей при физиологической окклюзии постоянных зубов. Материал и методы. Проведен анализ 74 комплектов рентгенограмм, включающих ортопантомограммы и телерентгенограммы людей с признаками физиологической окклюзии. Ветвь нижней челюсти была условно разделена линией, прохоящей через дистальную окклюзионную точку, на два отдела: верхний окклюзионно-суставной и нижний окклюзионно-гониональный. Результаты и обсуждение. В ходе анализа рентгенограмм людей с физиологическими видами прикуса было установлено, что высота ветви нижней челюсти в среднем составила (61,28 ± 1,24) мм. Отношение верхней части к нижней составило 1,97 ± 0,07. Относительный показатель соотношения в диапазоне от 1,8 до 2,1 позволил нам выделить 3 группы. В 1-ю группы включили рентгенограммы, у которых относительный показатель соответствовал средним значениям (1,8–2,1). Во 2-ю группу относили рентгенограммы с уменьшенным коэффициентом соотношения частей ветви нижней челюсти (меньше 1,7). В 3-й группе показатель коэффициента соотношения частей ветви нижней челюсти превышал значения 2,2. Заключение. В среднем высота верхней окклюзионно-суставной части ветви в два раза превышала размеры нижней окклюзионно-гониональной части, что может быть использовано как в клинике ортодонтии, так и челюстно-лицевой хирургии при планировании операций по моделированию ветви нижней челюсти.
Полный текст
Нижняя челюсть является наиболее вариабельной костью лицевого черепа [1]. Размеры ветви и тела челюсти определяют вариабельность органа как в пределах границ анатомической нормы, так и определяют различные виды аномалий челюстно-лицевой области.
Особое место в вариантной анатомии отводится величине нижнечелюстного угла, который зависит не только от периода онтогенеза, но и от типа роста гнатического отдела лица [2, 3].
Анатомия тела нижней челюсти представлена двумя частями: альвеолярной частью и непосредственно телом челюсти, которые разделены апикальными частями корней зубов нижней челюсти. Вполне вероятно, что высота альвеолярной части зависит от высоты корней зубов, при измерении которых ориентируются на условную срединную вертикаль [4, 5].
Немаловажное значение отводится и высоте коронок зубов, которые вместе с альвеолярной частью челюсти формируют зубочелюстные сегменты, размеры которых представлены в работах специалистов [6].
Размеры челюстей и особенно их альвеолярных частей определяется периодом прикуса ребенка. Наибольшие изменения размеров нижней челюсти и ее ветви происходят в периоде сменного прикуса и связаны со сменой генераций зубов [7, 8].
Размеры коронок зубов определяются дентальными типами зубных дуг, среди которых встречаются как макро-, так и микродентальные варианты зубочелюстных дуг [9, 10]. Отмечено, что типологические варианты зубных дуг коррелируют с размерами краниофациального компелекса.
Для одонтометрии и биометрии зубочелюстных дуг предложено множество хрестоматийных и современных методов исследования [11]. Методы достаточно точно определяют исследуемые параметры, но не определяют их влияние на размеры нижней челюсти и ее ветви.
Для оценки размеров зубов, зубочелюстных сегментов, тела и ветви челюсти широкое применение нашли рентгенологические методы исследования, включая конусно-лучевую томографию [12]. Приведены сведения о размерах гнатической части лица. Отмечено, что при некоторых патологических состояний и, в частности, при недифференцированной дисплазии, снижается высота носовой части лица, что отражается на соразмерности лицевого отдела головы [13].
Метод ортопантомографии позволяет оценить форму, размеры, положение и количество зубов [14]. Для оценки линейных и угловых параметров предложены методы исследования. Однако в приведенных исследованиях не указано соотношение частей ветви нижней челюсти, которые, как правило, оказывают влияние на высоту гнатического отдела лица. При анализе рентгенограмм окклюзионная линия, как правило, делит гнатическую часть лица на два отдела: верхнечелюстной и нижнечелюстной [15]. Однако продолжение указанного ориентира в сторону ветвей может служить условной границей между окклюзионно-суставной и окклюзионно-альвеолярной частями ветви. Тем не менее в литературе мы не встретили подобных исследований.
На размеры челюстей оказывают влияние аномалии челюстно-лицевой области, среди которых особое значение имеют асимметричные формы [16]. Вполне очевидно влияние снижение высоты прикуса на размеры нижней челюсти, ее ветви и костных элементов нижнечелюстного сустава.
Однако в приведенных исследованиях не отмечена вариабельность вертикальных размеров ветви челюсти и ее составных частей. Спорными остаются вопросы о границе между ветвью и телом челюсти. Нет сведений о соотношении вертикальных размеров частей ветви, которые условно можно разделить на нижнюю и верхнюю части, которую можно рассматривать как окклюзионно-суставную, что и послужило целью работы.
Цель работы
Определить основные вертикальные параметры ветви нижней челюсти и ее составных частей при физиологической окклюзии постоянных зубов.
Методика исследования
Проведен анализ 74 комплектов ортопантомограмм и телерентгенограмм пациентов с физиологическими вариантами прикуса из архива кафедры.
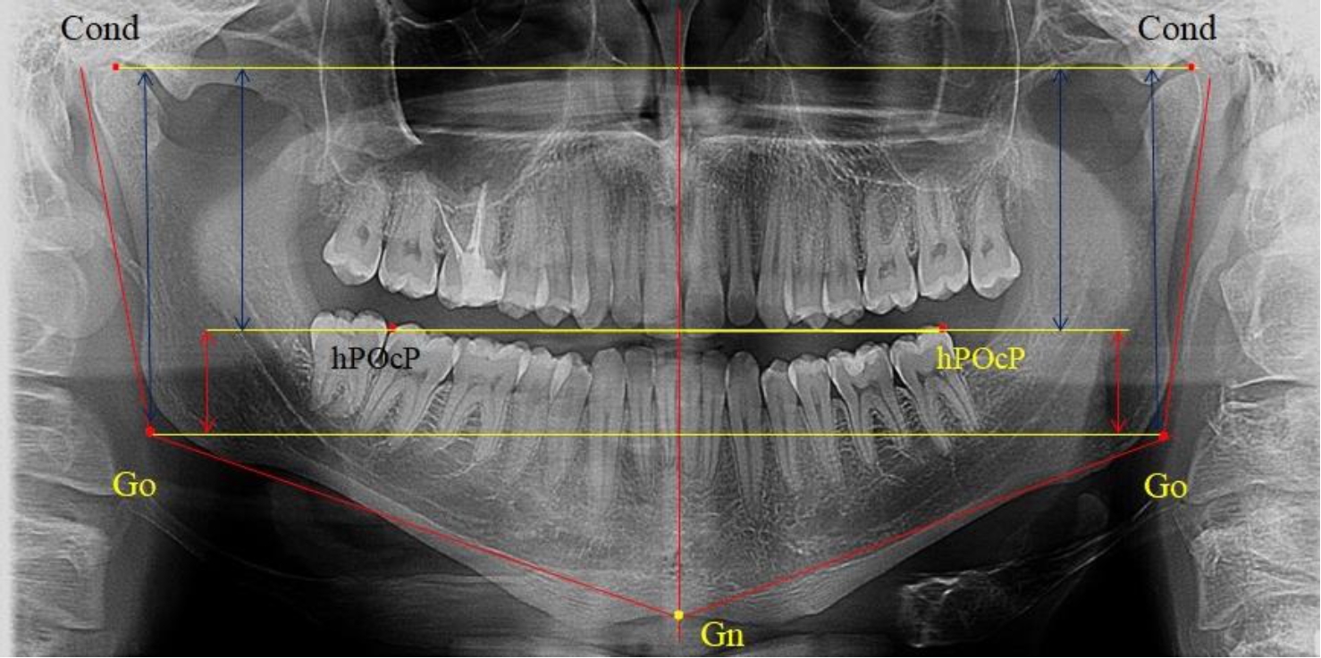
На боковых телерентгенограммах определяли положение верхней точки суставной головки Cond. Касательные линии к ветви и телу нижней челюсти пересекались в точке, которую в клинической практике обозначают как точка угла нижней челюсти или точка гонион Go. Точкой hPOcP обозначали дистальный бугорок нижнего второго моляра вблизи окклюзионного контура коронки, через нее от межрезцовой точки проводили окклюзионную линию, ее продолжали до задней части ветви челюсти. Высоту ветви измеряли как расстояние от угла нижней челюсти до вершины суставной головки Go-Cond. Общую высоту ветви условно делили на 2 части, ее границей служила окклюзионная линия. Верхнюю часть обозначали как окклюзионно-суставная, а нижнюю – как окклюзионно-гониональная.
На ортопантомограмме использовали аналогичные суставные точки Cond на каждой стороне, их соединяли между собой суставной линией Cond-Cond.
Касательная к ветви нижней челюсти соединяла выступающие точку. При построении касательной к телу челюсти проводили в обе стороны линии от точки Gn, расположенной в нижней центральной части подбородочного симфиза, до выступающей нижней точки угла челюсти. Касательные линии при пересечении определяли конструктивную точку гонион Go. Соединение гониональных точек определяло положение гониональной линии Go-Go. При соединении окклюзионных точек hPOcP получали окклюзионную горизонталь (рис. 1). Измеряли расстояние между горизонталями в области ветвей нижней челюсти. Статистический анализ проводили в программе Microsoft Excel. Составляли вариационные ряды с последующим расчетом среднего значения, стандартного отклонения и ошибки среднего ±m. Также оценивали максимальные и минимальные значения величин. Определи относительные величины соотношения верхней и нижней частей ветви нижней челюсти.
Рис. 1. Метод измерения высоты ветви нижней челюсти на телерентгенограмме (а) и ортопантомограмме (б)
Результаты исследования и их обсуждение
В ходе анализа рентгенограмм людей с физиологическими видами прикуса было установлено, что высота ветви нижней челюсти в среднем составила (61,28 ± 1,24) мм. При этом максимальная высота была 73 мм, а минимальная – 53 мм, что свидетельствует о существенной вариабельности признака (см. табл.). Вариабельность высоты ветви челюсти отражалась на показателях высоты ее составных частей. При этом, высота окклюзионо-суставной части превалировала над вертикальными размерами окклюзионно-гониональной части ветви.
Высота ветви нижней челюсти и ее частей по данным рентгенологического исследования
Параметры ветви нижней челюсти (в мм)  | Статистические показатели  | ||
М ср  | SD  | ±m  | |
Общая высота ветви (Cond-Go)  | 61,28  | 6,08  | 1,24  | 
Окклюзионно-суставная часть ветви  | 40,31  | 3,57  | 0,73  | 
Окклюзионно-гониональная часть ветви  | 20,98  | 3,76  | 0,77  | 
В среднем по группе отношение частей составило 1,97 ± 0,07. С учетом полуширины 95 % доверительного интервала (произведение ошибки на 1,992) величина отклонения в среднем составила 0,14. Таким образом, относительный показатель соотношения в диапазоне от 1,8 до 2,1 позволил нам распределить анализируемый материал на 3 группы.
В 1-ю группы включили рентгенограммы, у которых относительный показатель соответствовал средним значениям (1,8–2,1). Во 2-ю группу относили рентгенограммы с уменьшенным коэффициентом соотношения частей ветви нижней челюсти (меньше 1,7). В 3-й группе показатель коэффициента соотношения частей ветви нижней челюсти превышал значения 2,2.
Далее анализировали результаты в трех выделенных подгруппах.
В 1-ю подгруппу были включены 36 комплектов телерентгенограмм и ортопантомограмм [или (48,65 ± 5,81) % от общего количества], на которых средняя величина отношения верхней части ветви к нижней составляла 1,95 ± 0,03, что соответствовало показателям, полученным по группе в среднем, но с меньшим показателем ошибки среднего значения. Визуально верхняя окклюзионно-суставная часть выглядела вдвое больше нижней окклюзионно-гониональной (рис. 2). При этом высота ветви составляла (62,09 ± 1,22) мм. Максимальная высота была 71 мм, а минимальная – 55 мм. Высота верхней части составляла (41,02 ± 0,77) мм, а высота нижнего отдела ветви была (21,09 ± 0,51) мм.
Во 2-ю подгруппу был включен 21 комплект телерентгенограмм и ортопантомограмм [или (28,38 ± 5,24) %], на которых средняя величина отношения верхней части ветви к нижней составляла 1,63 ± 0,03, что было достоверно меньше показателя, полученного по группе в среднем и в 1-й подгруппе.
Визуально параметры ветви отличались от первой группы (рис. 3).
Рис. 2. ОПТГ пациента 1-й группы с оптимальным коэффициентом соотношения частей ветви нижней челюсти
Рис. 3. ОПТГ пациента 2-й группы с уменьшенным коэффициентом соотношения частей ветви нижней челюсти
Высота ветви составляла (62,75 ± 1,42) мм и достоверных различий по этому показателю не отмечено. Максимальная высота была 73 мм, а минимальная – 55 мм. Высота верхней части составляла (38,81 ± 0,76) мм, что было достоверно меньше, чем у людей 1-й подгруппы.
В то же время высота нижнего отдела ветви была (23,94 ± 0,73) мм, и показатель отличался в большую сторону по сравнению с аналогичным размеров в 1-й подгруппе.
3-я подгруппа была с наименьшим количеством анализируемого материала, и здесь было проанализировано 17 комплектов рентгенограмм [(22,97 ± 4,89) %], на которых средняя величина отношения верхней части ветви к нижней составляла 2,45 ± 0,04, что было достоверно больше показателя, полученного по группе в среднем, а также в 1-й и 2-й подгруппе. Визуально параметры ветви отличались от других подгрупп. Высота ветви составляла (57,83 ± 0,89) мм, что было несколько меньше, чем в других подгруппах. Максимальная высота была 64 мм, а минимальная – 53 мм. Высота верхней части составляла (41,03 ± 0,59) мм, что было близким по значениям, полученным в других подгруппах и свидетельствовало о меньшей вариабельности указанного параметра. В то же время высота нижнего отдела ветви была (16,83 ± 0,36) мм и показатель отличался в меньшую сторону, по сравнению с аналогичным размеров в других подгруппах (рис. 4).
Таким образом, при физиологических вариантах прикуса определены основные вертикальные параметры ветви нижней челюсти и ее составных частей. В среднем высота верхней окклюзионно-суставной части ветви в два раза превышала размеры нижней окклюзионно-гониональной части, что может быть использовано как в клинике ортодонтии, так и челюстно-лицевой хирургии при планировании операций по моделированию ветви нижней челюсти.
Рис. 4. ОПТГ пациента 3-й группы с увеличенным коэффициентом соотношения частей ветви нижней челюсти
Заключение
В ходе исследования определены основные вертикальные параметры ветви нижней челюсти и ее составных частей. Наиболее часто встречаемым соотношением верхней (окклюзионно-сустав-ной части) к нижней (окклюзионно-гониональной) составляла величина, варьируемая от 1,8 до 2,1. Встречались варианты с увеличенным и уменьшенным коэффициентом соотношения частей ветви нижней челюсти, что может быть использовано в клинической практике и диагностике аномалий размеров ветвей нижней челюсти.
Об авторах
Т. Д. Дмитриенко
Волгоградский государственный медицинский университет
							Автор, ответственный за переписку.
							Email: svdmitrienko@volgmed.ru
				                					                																			                								
кандидат медицинских наук, доцент
Россия, ВолгоградВ. Т. Ягупова
Волгоградский государственный медицинский университет
														Email: violeta.yagupova@mail.ru
				                					                																			                								
кандидат медицинских наук, доцент
Россия, ВолгоградВ. И. Керобян
Волгоградский государственный медицинский университет
														Email: vikerobyan@volgmed.ru
				                					                																			                								
клинический ординатор
Россия, ВолгоградСписок литературы
- Воробьев А. А. Коневский А. Г., Краюшкин А. И. Клиническая анатомия и оперативная хирургия головы и шеи: учебное пособие. Санкт-Петербург: Изд-во ЭЛБИ-СПб, 2008. 249 с.
 - Давыдов Б. Н., Доменюк Д. А., Иванюта С. О. Морфометрический анализ взаимоотношений базовых размеров зубных дуг с учетом индивидуальных гнатических типов. Медицинcкий алфавит. 2019;5(380).
 - Лепилин А. В., Фомин И. В. Диагностические возможности конусно-лучевой компьютерной томографии при проведении краниоморфологических и краниометрических исследований в оценке индивидуальной анатомической изменчивости (Часть I). Институт стоматологии. 2018;4(81):52–55.
 - Гончаров В. В., Краюшкин А. И. Методы измерения зубов. Волгоград, 1998. 48 с.
 - Доменюк Д. А., Давыдов Б. Н., Ведешина Э. Г., Налбандян Л. В. Вариабельность одонтометрических параметров у пациентов с физиологической окклюзией постоянных зубов и мезогнатическим типом зубных дуг. Институт стоматологии. 2015;3(68):74–77.
 - Доменюк Д. А., Ведешина Э. Г., Кочконян А. С., Арутюнян Ю. С. Клиническая анатомия зубов и зубочелюстных сегментов. Ставрополь: Изд-во СтГМУ, 2015. 188 с.
 - Давыдов Б. Н., Кочконян Т. С., Доменюк Д. А., Дмитриенко Т. Д. Индивидуальная анатомическая изменчивость зубных дуг в периоде сменного прикуса при оптимальных окклюзионных соотношениях. Медицинский алфавит. 2022;2:86–94.
 - Дмитриенко С. В. Обоснование этапов моделирования постоянных и молочных зубов человека. Вестник Волгоградской медицинской академии. 2000;56(6):203
 - Доменюк Д. А., Давыдов Б. Н., Ведешина Э. Г. Морфометрическая оценка зубочелюстных дуг при физиологической окклюзии постоянных зубов. Институт стоматологии. 2015;4(69):74–78.
 - Дмитриенко С. В., Шкарин В. В., Дмитриенко Т. Д. Методы биометрического исследования зубочелюстных дуг. Волгоград; Издательство ВолгГМУ, 2022. 220 с.
 - Доменюк Д. А., Давыдов Б. Н., Лепилин А. В., Фомин И. В. Изучение морфологии, способов сопоставления зубных и альвеолярных дуг по результатам антропометрии и конусно-лучевой компьютерной томографии (Часть I). Институт стоматологии. 2018;2(79):68–72.
 - Давыдов Б. Н., Доменюк Д. А., Кондратьева Т. А., Арутюнян Ю. С. Кефалометрические особенности проявления дисплазии соединительной ткани у детей и подростков. Стоматология детского возраста и профилактика. 2020;3(75);174–183.
 - Shkarin V. V., Kochkonyan Т. S., Domenyuk D. A. Occlusal plane orientation in patients with dentofacial anomalies based on morphometric cranio-facial measurements. Archiv EuroMedica. 2021;11(1):116–121.
 - Фомин И. В., Михальченко А. Д., Юхнов И. Н. Алгоритм построения окклюзионной плоскости и определения расположения окклюзионных точек на боковой телерентгенограмме. Волгоградский научно-медицинский журнал. 2023;20(4):44–50.
 - Давыдов Б. Н., Порфириадис М. П., Ведешина Э. Г. Особенности тактики и принципов ортодонтического лечения пациентов с асимметрией зубных дуг, обусловленной различным количеством антимеров (Часть II). Институт стоматологии. 2018;1(78):70–73.
 - Кочконян Т. И., Шкарин В. В., Доменюк Д. А., Потрясова А. М. Стратегия ортодонтического лечения у пациентов с асимметрией зубных дуг в диагональном направлении с учетом краниофациальной морфологии. Медицинский алфавит. 2021;2:6–63.
 
Дополнительные файлы
				
			
						
					
						
						
						
									






