Clinical observation of fatal bilateral spontaneous pneumothorax in wegener granulomatosis, which simulated lung cancer
- Authors: Khaydukova N.B.1, Khabarov Y.A.1, Stepanov V.A.1, Zvyezdkhina E.A.1, Ivanov Y.V.1
-
Affiliations:
- Federal Research Clinical Center of Specialized Medical Care and Medical Technologies of the FMBA of Russia
- Issue: Vol 9, No 2 (2018)
- Pages: 42-49
- Section: Original Study Articles
- Submitted: 05.12.2018
- Accepted: 05.12.2018
- Published: 05.12.2018
- URL: https://clinpractice.ru/clinpractice/article/view/10630
- DOI: https://doi.org/10.17816/clinpract09242-49
- ID: 10630
Cite item
Full Text
Abstract
We present a clinical observation of a 77 year-old patient admitted to the hospital with a sharp deterioration in the course of chronic obstructive pulmonary disease. The results of computed tomography of the chest read in favor of a newly detected malignant neoplasm of the upper lobe of the right lung with invasion into the mediastinum and secondary disseminations in the lower lobe of the left lung and liver. The performed fiber-optic bronchoscopy with a transbronchial lung biopsy did not verify the cancer diagnosis. The patient developed a bilateral spontaneous pneumothorax with the formation of bilateral bronchial-pleural fistulae with a massive air discharge through the pleural drainage. The presence of bilateral large bronchopleural fistulae did not allow a surgical intervention which required a separate intubation of the main bronchi. Minimally invasive techniques were ineffective. The patient died on the third day from the moment of the bilateral pneumothorax development due to severe respiratory failure. The autopsy established the diagnosis of Wegener’s granulomatosis affecting the lungs and kidneys.
Full Text
Гранулематоз с полиангиитом (ГПА), или болезнь Вегенера, остается одним из самых тяжелых и прогностически неблагоприятных вариантов АНЦА-ассоциированных васкулитов (при которых в крови определяются антинейтрофильные цитоплазматические антитела) [4; 11]. В последние годы отмечается выраженная тенденция к увеличению числа больных ГПА, как первично выявляемых, так и длительно наблюдающихся. Поражение верхних и нижних дыхательных путей, почек составляет классическую триаду ГПА, и поражение легких при этом – одно из наиболее частых (65–90% больных) и прогностически неблагоприятных при данном заболевании [4; 6; 11]. Изменения в легких, как правило, рентгенологически представлены множественными инфильтратами и сферическими очагами с деструкцией и кавитацией. Патоморфологическая картина поражения легких при гранулематозе с полиангиитом характеризуется широким вовлечением в процесс сосудов микроциркуляторного русла органа с образованием изолированных гранулем и полей диффузного гранулирования ткани, подвергающихся некрозу. Патологический процесс обычно бывает двусторонним и развивается преимущественно в средних и нижних отделах легких [5]. Только у половины больных с рентгенологическими изменениями в легких имеются клинические признаки заболевания, в остальных случаях поражение легких может протекать бессимптомно [1]. К клиническим проявлениям относят дыхательную недостаточность и кашель, а осложнениями наиболее часто выступают альвеолярные кровотечения, бронхиальная обструкция, инфаркт легкого, гидроторакс, пиоторакс и, наиболее редко, спонтанный пневмоторакс. Частота возникновения спонтанного пневмоторакса, по данным различных авторов, составляет не более 1–5% [1; 3; 6; 16]. С 1960 по 2017 г. в англоязычной литературе описано не больше 100 случаев спонтанного пневмоторакса при гранулематозе с полиангиитом, при этом свидетельств о двустороннем пневмотораксе как осложнении ГПА в мировой литературе нам обнаружить не удалось. Однако, несмотря на редкость, спонтанный пневмоторакс при гранулематозе с полиангиитом является серьезным осложнением, летальный исход при котором наблюдается в 28–44% случаев [5; 6; 9; 16; 17]. Факторами риска летального исхода являются: мужской пол, возраст старше 53 лет, безрезультатность дренирования плевральной полости, тяжелое поражение почек, дыхательная недостаточность при поступлении в стационар, эмпиема, отсутствие гормональной терапии [3; 14–16]. К особенностям легочной патологии при этом заболевании относится возможность асимптомного течения: в 32–50% случаев диагноз ГПА устанавливается лишь после развития спонтанного пневмоторакса [1; 5; 12].
В нашем клиническом наблюдении у пациента с двусторонним спонтанным пневмотораксом и наличием крупных бронхоплевральных свищей ввиду нетипичности рентгенологической картины заболевания, в большей степени указывавшей на рак легкого, диагноз ГПА был установлен только на аутопсии.
КЛИНИЧЕСКОЕ НАБЛЮДЕНИЕ
В отделение пульмонологии ФГБУ ФНКЦ ФМБА России 30.11.2017 г. поступил пациент Г., 77 лет, с жалобами на одышку при минимальных движениях (II–III ст. по шкале mMRC), общую слабость, снижение аппетита. Из анамнеза заболевания выяснено, что в 2012 г. впервые установлен диагноз хронической обструктивной болезни легких (ХОБЛ), пациент постоянно получал терапию «Спиривой», «Серетидом». В 2013 и 2014 гг. госпитализировался в стационар по месту жительства в связи с обострением ХОБЛ. В 2012 г. уровень С-реактивного белка (СРБ) составлял 30,90 мг/л, в 2013 г. – 2,57 мг/л, в 2014 г. данный показатель не анализировался. СОЭ на протяжении всех лет наблюдения находилась в пределах нормы. Анемии не было выявлено ни разу в ходе предыдущих четырех госпитализаций в 2012–2014 гг. На рентгенограммах в 2012, 2013 и 2014 гг. обнаружен прикорневой пневмосклероз без каких-либо инфильтративных или очаговых теней. В ходе стационарного лечения каждый раз удавалось купировать обострения ХОБЛ. Настоящее ухудшение возникло в течение 2 недель до текущей госпитализации. Пациент отмечал усиление одышки, появление общей слабости и снижение аппетита. Повышения температуры тела, боли в грудной клетки, синкопальных состояний не было, кашлевой синдром минимальный.
Анамнез жизни: аллергологический анамнез и наследственность не отягощены. Вредные факторы – табакокурение (с 1995 г. пациент не курит, до этого времени стаж курильщика составлял 29 лет, индекс курильщика – 40 пачка/лет). Пациент страдал безболевой ишемией миокарда, предсердной экстрасистолией, хронической сердечной недостаточностью I степени, гипертонической болезнью II стадии.
С 2009 г. наблюдался у уролога в связи с доброкачественной гиперплазией простаты, в 2009 г. был оперирован – выполнена трансуретральная резекция предстательной железы. Последний зафиксированный осмотр уролога – в 2013 г., когда потребовалось обследование в связи с эпизодом макрогематурии. При ультразвуковом исследовании органической патологии почек не обнаружено, протеинурии не выявлено. Пациенту был установлен диагноз «обострение хронического пиелонефрита», даны рекомендации, которые пациент выполнял. В последующем больной не обращался к урологу и не предъявлял жалоб на изменение мочеиспускания.
В 2016 г. пациент перенес тромбоз нижних конечностей с тромбоэмболией мелких ветвей легочной артерии и развитием правосторонней сегментарной инфаркт-пневмонии. Диагноз был установлен на основании данных мультиспиральной компьютерной томографии грудной клетки с контрастным болюсным усилением и дуплексного сканирования вен (УЗДС) нижних конечностей. Госпитализация не проводилась, больной наблюдался сосудистым хирургом амбулаторно. При контрольном УЗДС от 19.05.2014 г. выявлена положительная динамика: посттромботическая болезнь обеих нижних конечностей (тромбоз поверхностной бедренной вены справа в стадии выраженной реканализации, слева тромбоз камбаловидной вены в стадии начальной реканализации). Пациент получал постоянную терапию препаратом «Прадакса» 110 мг 2 раза в день, носил компрессионный трикотаж второй степени компрессии.
Состояние пациента при поступлении расценено как удовлетворительное. В физикальном статусе выявлено везикулярное с жестким оттенком дыхание, хрипов не было. Коробочный перкуторный звук над легкими. SpO2 – 96%. Других отклонений от нормы не установлено.
ДАННЫЕ КЛЮЧЕВЫХ ИНСТРУМЕНТАЛЬНЫХ МЕТОДОВ ИССЛЕДОВАНИЯ
Компьютерная томография (КТ) грудной клетки с контрастным усилением от 30.11.2017 г.: в S3 правого легкого определяется мягкотканное образование округлой формы с лучистыми контурами, размерами 34×35×42 мм, без четких границ, прилежит к медиастинальной плевре и инвазирует ее. Перифокально отмечается утолщение внутридольковых и междольковых перегородок. В S10 левого легкого определяется мягкотканное образование с лучистыми неровными контурами, размерами 18×20 мм. В S8,9 правого легкого в кортикальных отделах плотные очаги до 5 мм. В обоих легких диффузно отмечаются участки повышенной воздушности легочной ткани без четких контуров. Внутригрудные, над-, подключичные, подмышечные лимфатические узлы не увеличены. В S8 печени определяется образование гиподенсивной структуры размерами 33×44 мм. Заключение: данных о тромбоэмболии легочных артерий (ТЭЛА) не получено. Образование (опухоль) верхней доли правого легкого с метастазами в нижнюю долю левого легкого. Эмфизема легких. Образование печени, требующее уточнения (рис. 1).
Рис. 1. КТ грудной клетки с внутривенным контрастированием при поступлении. А: в верхней доле справа визуализируется мягкотканное образование (маркер); Б: образование умеренно накапливает контрастный препарат в пределах 10HU (маркер), распространяется на клетчатку средостения и прилежит к верхней полой вене. В: в нижней доле слева отмечается другое мягкотканное образование (треугольная стрелка). Кроме того, в легких с обеих сторон визуализируются множественные парасептальные буллы (обведенная зона)
Диагностическая бронхоскопия с трансбронхиальной пункцией от 05.12.2017 г. Заключение: картина диффузного двустороннего бронхита. Цитологическое исследование № 20714-21/17 от 05.12.2017 г. Заключение: выраженная пролиферация бронхиального эпителия. Патогистологическое исследование № 22669 от 05.12.2017 г. Материал представлен фрагментами сжатой ткани легкого с тонкими деформированными стенками альвеол, с крупноочаговыми внутриальвеолярными кровоизлияниями, с наличием бронхиализации части стенок альвеол и участком стенки мелкого бронха, выстланного однорядным кубическим эпителием, местами десквамированным с умеренным утолщением базальной пластинки слизистой оолочки, стенки мелких артериол и капилляров утолщены с явлениями мускуляризации. Патологоанатомическое заключение: в пределах присланного материала опухолевого новообразования не определяется.
РАЗВИТИЕ ХИРУРГИЧЕСКИХ ОСЛОЖНЕНИЙ
После фибробронхоскопии с трансбронхиальной пункцией (05.12.2017 г.) состояние пациента оставалось удовлетворительным (на контрольной рентгенографии грудной клетки от 05.12.2017 г. легкие расправлены). Проводилась консервативная терапия, направленная на купирование обострения ХОБЛ.
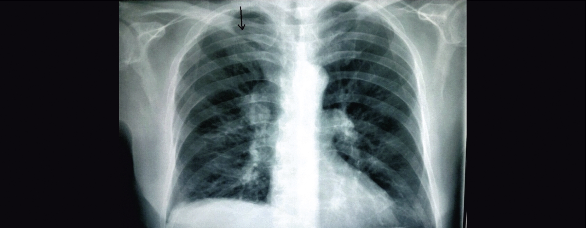
10.12.2017 г. отмечены умеренное нарастание дыхательной недостаточности, появление одышки в покое, снижение SpO2 крови до 86%. На рентгенограмме грудной клетки от 10.12.2017 г. (рис. 2) зафиксирован малый апикальный пневмоторакс справа, толщина воздушной прослойки составляла 17 мм. Выполнено дренирование правой плевральной полости, отошел воздух, состояние пациента улучшилось, одышка в покое не беспокоила, SpO2 крови увеличилась до 94%. По плевральному дренажу наблюдался слабый, но постоянный сброс воздуха. Проводилась активная аспирация воздуха из плевральной полости на среднем разрежении.
Рис. 2. Рентгенограмма грудной клетки от 10.02.2017 г. Малый апикальный пневмоторакс справа
11.12.2017 г. у пациента одномоментно развилась массивная подкожная эмфизема грудной клетки, наросла дыхательная недостаточность, увеличился сброс воздуха по дренажу правой плевральной полости. Больной в экстренном порядке переведен в отделение реанимации. На КТ грудной клетки – тотальный пневмоторакс слева с полным коллабированием легкого, справа легкое практически расправлено (рис. 3). Выполнено экстренное дренирование левой плевральной полости. Продолжена активная аспирация воздуха из обеих плевральных полостей. В результате состояние пациента улучшилось, подкожная эмфизема уменьшилась, дыхательная недостаточность регрессировала. По дренажам обеих плевральных полостей наблюдался сброс воздуха: крупнокалиберный – справа, мелкокалиберный – слева. Наличие двусторонних бронхоплевральных свищей не позволило предпринять видеоторакоскопическое вмешательство, требующее раздельной интубации главных бронхов, поэтому была продолжена интенсивная терапия в условиях реанимации, санационная бронхоскопия.
Рис. 3. КТ грудной клетки от 11.12.2017 г., состояние после дренирования левой плевральной полости. А: в левой плевральной полости, в мягких тканях грудной клетки, в средостении визуализируется свободный воздух (черные стрелки); Б: компрессионные изменения нижней доли слева, небольшое количество жидкости в плевральных полостях (белая стрелка)
12.02.2017 г. состояние пациента стабильно тяжелое. На контрольной КТ грудной клетки отмечена положительная динамика. Слева легкое полностью расправилось, справа же сохранялся малый пневмоторакс. Сохранявшаяся межмышечная и подкожная эмфизема грудной клетки в динамике значительно уменьшилась. В базальных отделах легких стали заметны компрессионные и воспалительные изменения (рис. 4).
Рис. 4. КТ грудной клетки через 13 дней после поступления, состояние после дренирования правой и левой плевральных полостей. А: в плевральных полостях, в мягких тканях грудной клетки, в средостении сохраняется свободный воздух, справа количество воздуха наросло, слева значительно уменьшилось, пневмоторакс слева незначительно выражен в базальных отделах (черные стрелки); Б: сохраняются небольшое количество жидкости в плевральных полостях и компрессионные изменения в базальных отделах обоих легких (белая стрелка)
По дренажам плевральных полостей продолжался сброс воздуха: слева слабо выраженный, справа массивный. Было решено, учитывая положительную динамику, продолжать интенсивную терапию, активную аспирацию по плевральным дренажам, с тем чтобы, достигнув окончательной герметизации легочной паренхимы слева, выполнить бронхографию с последующей эндоблокацией бронха, являющегося источником бронхоплеврального свища справа. В целях создания условий для скорейшего закрытия бронхоплевральных свищей предпринято наложение малого пневмоперитонеума в объеме 800 мл, через параумбиликальный доступ, иглой Вереша, под местной анестезией. Пациент вертикализирован. Через два часа после наложения пневмоперитонеума сброс воздуха по плевральному дренажу слева полностью прекратился, наступил герметизм левой плевральной полости. По дренажу правой плевральной полости продолжался сброс воздуха.
13.02.2017 г. пациент находился в стабильно тяжелом состоянии с некоторым нарастанием явлений дыхательной недостаточности. Сознание ясное, дыхание самостоятельное, кислородозависим, на воздухе SpO2 падает до 86%. На инсуффляции кислорода SpO2 – 93%, анализ на КЩС впервые продемонстрировал компенсированный дыхательный ацидоз (РСО2 – 69 мм рт. ст., РН – 7,3). Частота дыхательных движений – 22 в 1 минуту, гемодинамика устойчивая.
13.02.2017 г., по достижении 10 часов стойкого герметизма левой плевральной полости и при сохраняющемся крупном бронхоплевральном свище справа, было решено выполнить бронхографию с последующей клапанной эндоблокацией заинтересованного бронха справа. С этой целью предпринята интубация трахеи. На вводном наркозе отмечена брадикардия с переходом в асистолию. Начаты реанимационные мероприятия в полном объеме с переменным восстановлением синусового ритма и адекватного перфузионного давления и с последующим развитием гипотонии и электромеханической диссоциации. Признаков внутриплеврального кровотечения, напряженного пневмоторакса, ТЭЛА, острого инфаркта миокарда не выявлено. Краткий период восстановления синусового ритма вновь сменялся устойчивой асистолией. Ввиду неэффективности реанимационных мероприятий, проводимых в течение 90 минут, констатирована биологическая смерть больного.
При проведении аутопсии макроскопически не возникло сомнения в диагнозе. Округлое, без четких контуров, рыхлое гомогенное серого цвета новообразование S3 справа, вовлекающее висцеральную плевру, инвазирующее средостение и верхнюю полую вену, расценено как злокачественная опухоль, образование аналогичных характеристик в S9 слева – как метастаз злокачественной опухоли, образование в печени принято за метастаз.
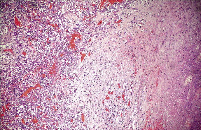
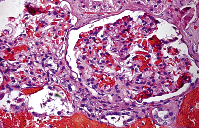
Однако патогистологическое исследование отвергло диагноз злокачественного новообразования правого легкого с метастазами в контрлатеральное легкое и печень. Установлен диагноз: гранулематоз с полиангиитом: гранулематозно-некротический узел III сегмента правого легкого с распадом, инфильтрацией в средостение с формированием некротического узла в нем, гранулематозно-некротические сливающиеся узлы в нижней доле левого легкого, субплевральный очаговый фиброз нижней доли правого легкого, фиброзные узлы в левой доле печени, панваскулит в легких, хронический очаговый фокальный гломерулонефрит (рис. 5–7).
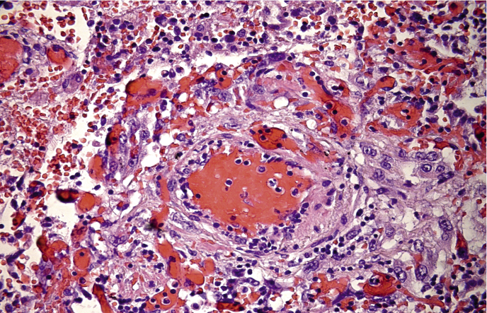
Рис. 5. Некротический узел в легком (справа), с широкой полосой фиброза по периферии (середина) и гранулематозом (слева). Окраска гематоксилином-эозином, ув. х 10
Рис. 6. Панваскулит в легком с гранулематозом в периферических отделах. Окраска гематоксилином-эозином, ув. х 20
Рис. 7. Хронический очаговый фокальный гломерулонефрит с типичным началом образования эпителиального полумесяца. Окраска гемато- ксилином-эозином, ув. х 20
ОБСУЖДЕНИЕ
Спонтанный пневмоторакс при гранулематозе с полиангиитом остается редчайшим осложнением с высокой летальностью. При этом в большинстве случаев он развивается у пациентов с верифицированным диагнозом ГПА, и благоприятный исход достигается только благодаря адекватной индукционной терапии [8; 10; 13]. Наряду со своевременным назначением кортикостероидов и иммуносупрессоров к факторам благоприятного исхода спонтанного пневмоторакса при ГПА относят: молодой возраст, женский пол, отсутствие тяжелой почечной патологии, проведение успешного хирургического вмешательства [1; 17–19]. При наличии факторов неблагоприятного исхода летальность составляет 40–50%.
Ретроспективный анализ представленного клинического наблюдения показывает, что впервые ГПА у данного пациента манифестировала только при рентгенологическом обследовании в ходе описываемой госпитализации в отделение пульмонологии ФГБУ ФНКЦ ФМБА России в ноябре 2017 г. Однако данные КТ свидетельствовали прежде всего о раке легкого, в частности, в округлых образованиях в легких отсутствовала какая-либо деструкция либо кавитация.
Спонтанный пневмоторакс развился у пациента впервые справа, там, где узел в верхней доле легкого инвазировал средостение. Справа же за 4 суток до развития пневмоторакса выполнялась бронхоскопическая трансбронхиальная биопсия легкого из В3 для верификации предполагаемой опухоли. Как известно, данная манипуляция часто осложняется пневмотораксом с той стороны, где проведена биопсия. Однако в нашем случае после проведения фибробронхоскопии была выполнена контрольная рентгенография грудной клетки, не выявившая пневмоторакса. Стабильно удовлетворительным оставалось общее состояние пациента, отсутствовали характерные клинические проявления пневмоторакса. Лишь спустя 5 суток от момента выполнения трансбронхиальной пункции возникла клиническая симптоматика (усилилась одышка), рентгенологически был зафиксирован малый пневмоторакс. Таким образом, есть все основания считать развившийся двусторонний пневмоторакс спонтанным.
С момента развития пневмоторакса у пациента (вначале справа, а на следующие сутки и слева) образовались бронхоплевральные свищи с крупнокалиберным сбросом воздуха с обеих сторон. С учетом предположительного диагноза рака правого легкого с инвазией в средостение и верхнюю полую вену было решено, что источником поступления воздуха справа является распад в области раковой опухоли S3 правого легкого. Такое расположение опухоли не оставляло надежды на успешность видеоассистированной резекции зоны свища. Ввиду выраженности дыхательной недостаточности и имевшегося бронхоплеврального свища слева очевидно, что пациент не перенес бы радикального хирургического вмешательства справа в виде лобэктомии или пневмонэктомии. В этой связи проводилась консервативная терапия и выполнялись малоинвазивные методы лечения. Это позволило получить кратковременный положительный эффект: левое легкое на 2-е сутки после дренирования расправилось, сброс воздуха слева прекратился после наложения искусственного пневмоперитонеума. Планировалось, что достижение стойкого герметизма левой плевральной полости в ближайшие сутки позволит выполнить клапанную блокацию правого верхнедолевого бронха. Однако тотчас после интубации, на этапе вводного наркоза, наступила остановка кровообращения. В ходе проводимых реанимационных мероприятий в моменты восстановления синусового ритма не было данных о наличии напряженного пневмоторакса с дислокацией средостения, острого коронарного синдрома, тромбоэмболии крупных ветвей легочной артерии как возможных причин остановки кровообращения. Аутопсия также не выявила других причин острой смерти, кроме как дыхательная недостаточность.
ЗАКЛЮЧЕНИЕ
В представленном клиническом наблюдении прослеживаются много неблагоприятных факторов, приведших к летальному исходу, как объективных (возраст пациента, мужской пол, стаж табакокурения, развитие фатальных осложнений), так и субъективных (отсутствие проводимой индукционной терапии кортикостероидами и иммунодепрессантами вследствие отсутствия своевременной диагностики гранулематоза с полиангиитом). Установить диагноз ГПА при жизни помешали нетипичная рентгенологическая картина заболевания, отсутствие характерных неспецифических изменений в анализах крови, отсутствие данных, позволяющих заподозрить у пациента гранулематозное поражение почек. Развившееся осложнение – двусторонний спонтанный пневмоторакс с бронхоплевральными свищами – стало фатальным ввиду неэффективности активного дренирования плевральной полости и невозможности предпринять радикальное хирургическое вмешательство.
About the authors
N. B. Khaydukova
Federal Research Clinical Center of Specialized Medical Care and Medical Technologies of the FMBA of Russia
Author for correspondence.
Email: hirurgessa@mail.ru
врач торакальный хирург отделения хирургии
Russian Federation, MoscowYu. A. Khabarov
Federal Research Clinical Center of Specialized Medical Care and Medical Technologies of the FMBA of Russia
Email: dr.khabarov@mail.ru
к.м.н., врач торакальный хирург отделения хирургии
Russian Federation, MoscowV. A. Stepanov
Federal Research Clinical Center of Specialized Medical Care and Medical Technologies of the FMBA of Russia
Email: zvezdkina@yandex.ru
к.м.н., врач-рентгенолог отделения рентгенологии с кабинетами магнитно-резонансной томографии
Russian Federation, MoscowE. A. Zvyezdkhina
Federal Research Clinical Center of Specialized Medical Care and Medical Technologies of the FMBA of Russia
Email: zvezdkina@yandex.ru
врач патологоанатомического отделения
Russian Federation, MoscowYu. V. Ivanov
Federal Research Clinical Center of Specialized Medical Care and Medical Technologies of the FMBA of Russia
Email: ivanovkb83@yandex.ru
д.м.н., профессор, заслуженный врач РФ, заведующий отделением хирургии
Russian Federation, MoscowReferences
- Бекетова Т.В. Асимптомное течение поражения легких при гранулематозе с полиангиитом (Вегенера) // Научно-практическая ревматология. 2014. № 52 (1). С. 102–104.
- Болдарева Н.С., Злобина Т.И., Антипова О.В. и др. Поражение легких при гранулематозе Вегенера // Современные проблемы ревматологии. 2005. № 3. С. 19–122.
- Новиков П.И. Клиническая оценка вариантов течения и прогноза гранулематоза с полиангиитом (Вегенера): Автореф. дисс. … канд. мед. наук. М., 2015.
- Семенкова Е.Н., Кривошеев О.Г., Новиков П.И., Осипенко В.И. Поражение легких при гранулематозе Вегенера // Клиническая медицина. 2011. № 1. С. 10–13.
- Abdou N.I., Kullman G.J., Hoffman G.S. et al. Wegener’s granulomatosis: Survey of 701 patients in North America. Changes in outcome in the 1990s // The Journal of Rheumatology. 2002. Vol. 29. No. 2. P. 309–316.
- Belhassen-Garcia M., Velasco-Tirado V., Alvela-Suaréz L. et al. Spontaneous pneumothorax in Wegener’s granulomatosis: Case report and literature review // The Seminars in Arthritis and Rheumatism. 2011. Vol. 41. No. 3. P. 455–460.
- Bulbul Y., Ozlu T., Oztuna F. Wegener’s granulomatosis with parotid gland involvement and pneumothorax // Medical Principles and Practice. 2003. Vol. 12. P. 133–137.
- Epstein D.M., Gefter W.B., Miller W.T. et al. Spontaneous pneumothorax: An uncommon manifestation of Wegener granulomatosis // Radiology. 1980. Vol. 135. No. 2. P. 327–328. doi: 10.1148/radiology.135.2.7367621.
- Isabelle D., Khellaf M., Andre´ M. et al. Spontaneous pneumothorax in Wegener granulomatosis // CHEST. 2005. Vol. 128. P. 3074–3075.
- Jaspan T., Davison A.M., Walker W.C. Spontaneous pneumothorax in Wegener’s granulomatosis // Thorax. 1982. Vol. 37. P. 774–775.
- Kahraman Н., Inci М.F., Tokur M., Cetin G.Y. Spontaneous pneumothorax in a patient with granulomatosis with polyangiitis // BMJ Case Reports. 2012. Vol. 52. P. 37–41.
- Maguire R., Fauci A.S., Doppman J.L., Wolff S.M. Unusual radiographic features of Wegener’s granulomatosis // American Journal of Roentgenology. 1978. Vol. 130. No. 2. P. 233–238. doi: 10.2214/ajr.130.2.233.
- Michel J., Courthaliac C., Andre M. et al. Quid? Pneumothorax complicating Wegener disease with rupture of pleura of cavitary nodule // Journal de Radiologie. 2001. Vol. 82. No. 1. P. 73–75.
- Ogawa M., Azemoto R., Makino Y. et al. Pneumothorax in a patient with Wegener’s granulomatosis during treatment with immunosuppressive agents // Journal of Internal Medicine. 1991. Vol. 229. P. 189–192.
- Sezer I., Kocabas H., Melikoglu M.A. et al. Spontaneous pneumothorax in Wegener’s granulomatosis: A case report // Modern Rheumatology. 2008. Vol. 18. No. 1. P. 76–80. doi: 10.3109/s10165-007-0007-y.
- Shi X., Zhang Y., Lu Y. Risk factors and treatment of pneumothorax secondary to granulomatosis with polyangiitis: A clinical analysis of 25 cases // Journal of Cardiothoracic Surgery. 2018. Vol. 13. P. 7.
- Tarabishy A.B., Schulte M., Papaliodis G.N. et al. Wegener’s granulomatosis: Clinical manifestations, differential diagnosis, and management of ocular and systemic disease // Survey of Ophthalmology. 2010. Vol. 55. P. 429–440.
- Wolffenbuttel B.H., Weber R.F., Kho G.S. Pyopneumothorax: A rare complication of Wegener’s granulomatosis // European Journal of Respiratory Diseases. 1985. Vol. 67. P. 223–227.
- Zhiren Li X.B., Zhen J. The rare pulmonary manifestations of Wegener’s granulomatosis (report of 2 cases and literature review) // Chinese Journal of Practical Internal Medicine. 1992. No. 4. P. 216–217.
Supplementary files
