Algorithm for the management of patients with incompetence of postoperative uterine scar after a cesarean section, our clinical experience
- Authors: Kogan O.M.1, Voytenko N.B.1, Zosimova E.A.1, Martynova E.N.1, Nersesayn D.M.1, Bubnikovich A.A.1
-
Affiliations:
- Federal Medical and Biological Agency of Russia (FMBA), Southern District Center of Medicine, Rostov Clinical Hospital
- Issue: Vol 9, No 3 (2018)
- Pages: 38-43
- Section: Original Study Articles
- Submitted: 10.12.2018
- Accepted: 10.12.2018
- Published: 10.12.2018
- URL: https://clinpractice.ru/clinpractice/article/view/10680
- DOI: https://doi.org/10.17816/clinpract09338-43
- ID: 10680
Cite item
Full Text
Abstract
The growth of the cesarean section frequency has created a new healthcare problem – follow up of pregnancy in women with a uterine scar. The pregnancy course in the case of an incompetent uterine scar poses risks of not only a premature labor, but also of a uterine rupture during the entire gestation. Currently, the issues of the diagnostics and reconstructive surgery for an incompetent uterine scar after a cesarean section when planning a pregnancy remain understudied.
Full Text
Отличительной особенностью современного акушерства является его оперативная направленность. За последние 30 лет частота кесарева сечения в России увеличилась более чем в 3 раза и сегодня составляет в среднем 22–23% [1]. В общей когорте повторнородящих не менее 4–8% пациенток имеют рубец на матке после кесарева сечения [2]. Увеличение частоты этого пособия сформировало новую проблему в современном здравоохранении – ведение беременности и родов у женщин с рубцом на матке после кесарева сечения (МКБ-10 034.2). Послеоперационный рубец на матке требует предоставления медицинской помощи матери, поскольку его несостоятельность является наиболее часто встречающимся осложнением оперативного родоразрешения.
Кесарево сечение, направленное в первую очередь на снижение рисков для плода, практически неизбежно формирует проблемы оперированной матки, включая дисменорею, межменструальные кровотечения, бесплодие, аномальную плацентацию и разрыв матки при повторных беременностях [3; 4].
Факторами риска формирования несостоятельного рубца на матке после кесарева сечения, по данным МОНИИАГ (2015), являются следующие: наличие у пациентки «воспалительного» акушерского и гинекологического анамнеза, наличие и обострение во время беременности хронических воспалительных экстрагенитальных заболеваний, продолжительная по времени операция, патологическая кровопотеря, предлежание плаценты в разрез, проведение операции в условиях резкого истончения нижнего сегмента, экстренность операции, использование непрерывного шва для зашивания раны на матке, грубые ручные приемы выведения головки [5].
Неспецифичность симптомокомплекса при несостоятельности рубца на матке часто осложняет диагностические мероприятия, ввиду чего возникает необходимость формирования нацеленности врача на выявление данной патологии, особенно на этапе прегравидарной подготовки пациенток, имеющих в анамнезе кесарево сечение.
В соответствии с определением Всемирной организации здравоохранения (2015) несостоятельный рубец имеет толщину менее 2,5–3 мм; отличается наличием ниш, утолщения или вдавлений в рубце; неэластичный, не способный сократиться (подавляющее преобладание соединительной ткани при одновременном недоразвитии мышечной ткани и сети кровеносных сосудов).
Большинством авторов определены четкие диагностические критерии для выявления данной патологии [5–10]:
- жалобы: боли по ходу рубца, усиливающиеся при движении и менструации, нарушения менструального цикла по типу длительных постменструальных кровомазаний;
- анамнез: экстренное оперативное родоразрешение, осложненное течение послеоперационного периода после предыдущей операции на матке, перенесенные ранее воспалительные заболевания органов малого таза;
- локальный статус: болезненная пальпация рубца;
- ультразвуковые критерии:
– неровный контур по задней стенке наполненного мочевого пузыря;
– истончение миометрия (менее 3 мм);
– прерывистость контуров рубца;
– значительное количество гиперэхогенных включений (соединительной ткани);
– наличие ниши;
- гистерографические признаки (оценивают на 7-й или 8-й день менструального цикла, но не ранее чем через 6 месяцев после операции) в прямой и боковой проекциях:
– изменение положения матки в малом тазу (значительное смещение кпереди);
– зазубренные или истонченные контуры внутренней поверхности матки в зоне предполагаемого рубца;
– дефекты наполнения полости матки (симптом ниши);
- гистероскопические признаки (оценивают на 4-й или 5-й день менструального цикла, когда функциональный слой эндометрия полностью отторгается и через тонкий базальный слой видна подлежащая ткань):
– втяжение или утолщение в области рубца;
– белесоватый цвет ткани рубца;
– отсутствие эндометрия в зоне дефекта;
– обеднение сосудистого рисунка.
Методы лечения:
- гистероскопическая электрохирургическая резекция ниши с аблацией эндометрия в зоне дефекта (паллиативный метод);
- метропластика (радикальный метод):
– лапароскопическая;
– лапаротомная;
– трансвагинальная.
В настоящее время остаются не полностью изученными вопросы диагностики и реконструктивной хирургии при несостоятельном рубце на матке после кесарева сечения на этапе планирования беременности, а также объема и целесообразности оперативного вмешательства у пациенток с данной патологией, реализовавших репродуктивную функцию.
Цель исследования – выбор тактики ведения пациенток с несостоятельностью рубца на матке (истмоцеле) вне беременности в зависимости от репродуктивных планов; определение этапов диагностики и методов лечения.
ПАЦИЕНТЫ И МЕТОДЫ
С 2015 по 2018 г. в гинекологическом отделении РКБ ФГБУЗ ЮОМЦ ФМБА России обследованы 32 пациентки с предварительным диагнозом «несостоятельность рубца на матке после кесарева сечения». Средний возраст женщин – 35 лет. При первичном обращении к гинекологу 29 (90,6%) пациенток предъявляли жалобы на ноющие боли в нижних отделах живота, усиливающиеся накануне менструации, у 3 (9%) наблюдалась диспареуния, 25 (78%) отмечали обильные менструации, 26 (81%) обращали внимание врача на длительные постменструальные кровомазания (до 12 дней), 2 (6%) пациентки обследовались по поводу вторичного бесплодия, у 2 (6%) дефект послеоперационного рубца на матке был визуализирован при УЗИ ранее. 28 (87,5%) пациенток указывали на осложненное течение послеродового периода: гематометра с санацией полости путем вакуум-аспирации или выскабливания полости матки, субинволюция матки, послеродовый/послеоперационный метрит с массивной и длительной инфузионной противовоспалительной терапией. 10 (31%) женщин в анамнезе до родов имели аборты.
У 22 (69%) пациенток в анамнезе по одному оперативному родоразрешению и у 10 (31%) – по 2. Временной промежуток после кесарева сечения до обращения в гинекологическое отделение РКБ составил от 8 лет до 1 года. Интервал между оперативными родоразрешениями у пациенток, имеющих в анамнезе по два кесаревых сечения, составил от 3 до 5 лет.
Всем пациенткам с подозрением на несостоятельность послеоперационного рубца на матке было выполнено трансвагинальное УЗИ экспертного класса на аппарате GE LOGIQ E9 с последующей гистероскопией с гидрогистеросонографией (ГСГ).
По результатам проведенного исследования у 2 (6%) пациенток несостоятельность после- операционного рубца на матке была исключена по причине толщины миометрия в зоне дефекта, у 30 (94%) – подтвердилась (установлено истончение миометрия до 1,0–2,5 мм в зоне рубца); причем из них: у 1 пациентки (3%) зона дефекта была ограничена серозой экстравентрально, интимно с задней стенкой мочевого пузыря, у 1 (3%) ниша была визуализирована в верхней трети цервикального канала, а у 2 (6%) пациенток с двумя кесаревыми сечениями в анамнезе выявлены спаренные ниши, разделенные тонким перешейком, после чего и определилась дальнейшая тактика.
РЕЗУЛЬТАТЫ ИССЛЕДОВАНИЯ И ОБСУЖДЕНИЕ
У 28 (87%) пациенток по данным УЗИ толщина миометрия в области рубца составила менее 2,5 мм (наличие одной ниши), а у 2 (6%) визуализировались две ниши на фоне истонченного миометрия в рубце до 1,5 мм (в анамнезе два кесаревых сечения у обеих).
В ходе гистероскопии с ГСГ визуализировано: дефект передней стенки в зоне рубца в нижнем маточном сегменте в виде поперечной ниши белесоватого цвета в 29 (90,6%) случаях (рис. 1), причем двойная ниша в зоне рубца – у 2 (6%) из них, а у 1 (3%) пациентки послеоперационный рубец с зоной дефекта локализовался в верхней трети цервикального канала (рис. 2).
Рис. 1. Дефект передней стенки в зоне рубца в виде поперечной ниши
Рис. 2. Зона дефекта послеоперационного рубца в верхней трети цервикального канала
В зависимости от результатов гистероскопии с ГСГ была определена лечебная тактика в отношении пациенток с компрометированным рубцом на матке.
Так, 2 (6%) пациентки в возрасте 36–39 лет не планировали беременность, в соответствии с чем было выполнено паллиативное оперативное вмешательство в объеме: гистероскопическая электрохирургическая резекция краев ниши со сглаживанием дефекта и одномоментной аблацией эндометрия в зоне рубца (рис. 3).
Рис. 3. Резекция дистальной и проксимальной частей ниши (опубликовано: [О. Истре, 2017г.])
Всем 27 (84%) пациенткам, планировавшим беременность, выполнена лапароскопическая метропластика.
Применяли следующую методику метропластики:
- лапароскопический доступ;
- выполнение цервико- и гистероскопии (диафаноскопии, рис. 4) для полноценной визуализации зоны дефекта и его детализации;
- иссечение соединительной ткани рубца ультразвуковым скальпелем «Harmonik» (рис. 5, 6);
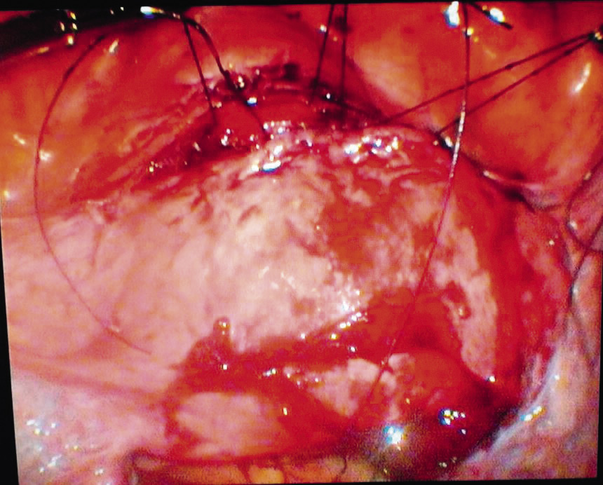
- сопоставление краев стенки матки двухрядными швами с последующим цервико- и гистероскопическим контролем (рис. 7);
- дренирование полости матки уретральным катетером Фолея с одновременной внутриматочной инстилляцией противоспаечным гелевым барьером.
Рис. 4. Интраоперационная диафаноскопия зоны дефекта рубца на матке
Рис. 5. Иссечение соединительнотканного рубца на матке
Рис. 6. Часть, которую удаляют при лапароскопической резекции (опубликовано: [О. Истре, 2017г.])
Рис. 7. Сопоставление краев стенки матки отдельными двухрядными швами
Гистологическое исследование препаратов после 2 (6%) гистероскопических метропластик и 27 (84%) лапароскопических метропластик выявило: в 15 (46,8%) образцах – фиброзная ткань с очагами склероза, единичные очаги ангиоматоза, единичные мелкие островки гладкомышечных гипертрофированных волокон; в 14 (43,7%) образцах – склерозированная ткань с очаговым гиалинозом стромы, замурованными в ней фибробластами и единичными гладкомышечными волокнами, полнокровие некоторых сосудов.
Наконец, одной (3%) пациентке с визуализированной при гистероскопии с ГСГ нишей в цервикальном канале хирургическое лечение не показано, выбрана наблюдательная тактика.
Оценку результатов лапароскопической метропластики выполняли в зависимости от реализации репродуктивных планов пациенток, а также в соответствии с ультразвуковыми критериями состоятельности послеоперационного рубца. УЗ-контроль проводили как в раннем, так и в отсроченном послеоперационных периодах: через 3 и 6 месяцев.
У 25 (78%) пациенток, перенесших лапароскопическую метропластику, по данным УЗИ экспертного класса, выполненного через 6 мес после оперативного лечения, рубец состоятельный, минимальная толщина миометрия в зоне рубца составила от 4 до 5,5 мм. У 2 (6%)пациенток с двумя кесаревыми сечениями в анамнезе и грубыми дефектами рубцов при гистероскопии с ГСГ отмечается наличие остаточных ниш в зоне реконструктивной операции с минимальной толщиной миометрия в проекции дефекта 2,5–2,9 мм.
У 5 (15,6%) женщин наступила спонтанная беременность, 4 (12,5%) из них в настоящее время беременны, срок гестации – от 10 до 24 недель, 1 (3%) пациентка родоразрешена в срок путем планового кесарева сечения.
ВЫВОДЫ
- Лапароскопическая метропластика показана только на этапе планирования беременности при локализации послеоперационного рубца в пределах нижнего сегмента тела матки, в то время как гистерорезекция со «сглаживанием» краев ниши и аблацией эндометрия в зоне дефекта у пациенток, не планирующих беременность, позволяет эффективно избавить женщину от жалоб и значимо улучшить качество жизни.
- Диагностика несостоятельности рубца на матке после кесарева сечения сложна и должна, по нашему мнению, включать выполнение гистероскопии с гидрогистеросонографией.
- Для проведения реконструктивной операции целесообразно применение лапароскопической метропластики с одновременной диафаноскопией, значимо облегчающей детализацию зоны дефекта и последующую ее реконструкцию.
- Контрольное УЗИ экспертного класса через 3 и 6 месяцев после реконструкции позволяет адекватно оценить результат оперативного лечения.
- У группы пациенток с наличием в анамнезе двух и более кесаревых сечений и грубыми дефектами в зоне операционных рубцов целесообразно применение лапаротомного доступа.
Полученные нами данные позволяют утверждать, что эффективность лапароскопической метропластики истмоцеле с одновременной гидрогистеросонографией (93%) сопоставима с реконструктивно-восстановительной пластикой влагалищным доступом (90,5% по данным: [Еремкина, Гарифуллова, 2014]) и может в полной мере служить методом выбора для группы пациенток с данной патологией, планирующих беременность [10].
Необходимо отметить, что и мы, и европейские авторы столкнулись с отсутствием соответствующих сравнительных исследований хирургического восстановления дефекта рубца, которые включали бы долгосрочное наблюдение и оценку результатов в зависимости от метода хирургического вмешательства, и, несмотря на перспективные результаты проведенного нами исследования, вынуждены признать, что для адекватной оценки эффективности каждого из методов лечения данной патологии требуется большее количество проспективных исследований с достаточным размером выборки [4; 11].
About the authors
O. M. Kogan
Federal Medical and Biological Agency of Russia (FMBA), Southern District Center of Medicine, Rostov Clinical Hospital
Author for correspondence.
Email: olga.kogan71@mail.ru
к.м.н, заведующая гинекологическим отделением Ростовской клинической больницы Южного окружного медицинского центра ФМБА России
Russian Federation, Rostov-on-DonN. B. Voytenko
Federal Medical and Biological Agency of Russia (FMBA), Southern District Center of Medicine, Rostov Clinical Hospital
Email: natalya_voytenko@mail.ru
врач акушер-гинеколог гинекологического отделения Ростовской клинической больницы Южного окружного медицинского центра ФМБА России
Russian Federation, Rostov-on-DonE. A. Zosimova
Federal Medical and Biological Agency of Russia (FMBA), Southern District Center of Medicine, Rostov Clinical Hospital
Email: elenasz@rambler.ru
врач акушер-гинеколог гинекологического отделения Ростовской клинической больницы Южного окружного медицинского центра ФМБА России
Russian Federation, Rostov-on-DonE. N. Martynova
Federal Medical and Biological Agency of Russia (FMBA), Southern District Center of Medicine, Rostov Clinical Hospital
Email: elviramart73@mail.ru
врач акушер-гинеколог гинекологического отделения Ростовской клинической больницы Южного окружного медицинского центра ФМБА России
Russian Federation, Rostov-on-DonD. M. Nersesayn
Federal Medical and Biological Agency of Russia (FMBA), Southern District Center of Medicine, Rostov Clinical Hospital
Email: diana.nersesyan2013@yandex.ru
врач акушер-гинеколог гинекологического отделения Ростовской клинической больницы Южного окружного медицинского центра ФМБА России
Russian Federation, Rostov-on-DonA. A. Bubnikovich
Federal Medical and Biological Agency of Russia (FMBA), Southern District Center of Medicine, Rostov Clinical Hospital
Email: alex2305buba@mail.ru
врач акушер-гинеколог гинекологического отделения Ростовской клинической больницы Южного окружного медицинского центра ФМБА России
Russian Federation, Rostov-on-DonReferences
- Краснопольский В.И., Логутова Л.С. Современная концепция родоразрешения и перинатальная смертность // Медицинский совет. 2014. № 9. С. 54–58.
- Акушерство: Национальное руководство / Под ред. Э.К. Айламазяна, В.И. Кулакова, В.Е. Радзинского, Г.М. Савельевой. М., 2009. С. 1025–1035.
- Drouin O., Bergeron T., Beaudry A. et al. Ultrasonographic evaluation of uterine scar niche before and after laparoscopic surgical repair: A case report // AJP reports. 2014. No. 4 (2). P. e65–e68.
- Мини-инвазивная гинекологическая хирургия / Под ред. О. Истре; пер. с англ. под ред. проф. В.Е. Радзинского, проф. А.О. Духина. М., 2017.
- Краснопольский В.И., Буянова С.Н., Щукина Н.А., Логутова Л.С. Несостоятельность шва (рубца) на матке после кесарева сечения: проблемы и решения // Российский вестник акушера-гинеколога. 2015. Т. 15. № 3. С. 4–8.
- Доброхотова Ю.Э., Михалева Л.М., Насырова Н.И. и др. Состояние репродуктивной системы пациенток, перенесших реконструктивно-пластические операции на матке // Акушерство и гинекология. 2017. № 8. C 42-48
- Краснопольская К.В., Попов А.А., Чечнева М.А. Прегравидарная метропластика по поводу несостоятельного рубца на матке после кесарева сечения: влияние на естественную фертильность и результаты ЭКО // Проблемы репродукции. 2015. Т. 21. № 3. С. 56–62.
- Буянова С.Н., Юдина Н.В., Пучкова Н.В. и др. Современные возможности диагностики состоятельности рубца на матке после выполнения органосберегающих операций // Российский вестник акушера-гинеколога. 2014. № 2. С. 94–100.
- Перепелова Т.А., Газазян М.Г., Бежин А.И., Ишунина Т.А. Диагностика состояния нижнего сегмента матки после кесарева сечения // Российский вестник акушера-гинеколога. 2016. Т. 16. № 5. С. 61–65.
- Еремкина В.И., Гарифуллова Ю.В. Реконструктивно-восстановительная пластика несостоятельного рубца на матке влагалищным доступом вне беременности // Практическая медицина № 04. 2014г. С 46-48.
- Marotta M.L., Donnez J., Squifflet J. et al. Laparoscopic repair of post-cesarean section uterine scar defects diagnosed in nonpregnant women // Journal Minimal Invasive Gynecology. 2013. Vol. 20. No. 3. P. 386–391.
Supplementary files










