Potential of the neurosurgical treatment of symptomatic temporal epilepsy
- Authors: Airapetov K.G.1, Glazkov A.A.1, Al-Khammadi A.H.1, Prinsovskaya E.V.1, Nikolaenko M.V.2
-
Affiliations:
- Federal Medical and Biological Agency of Russia (FMBA), Southern District Center of Medicine, Rostov Clinical Hospital
- Medical center «Neurodon»
- Issue: Vol 9, No 3 (2018)
- Pages: 60-65
- Section: Original Study Articles
- Submitted: 10.12.2018
- Accepted: 10.12.2018
- Published: 10.12.2018
- URL: https://clinpractice.ru/clinpractice/article/view/10686
- DOI: https://doi.org/10.17816/clinpract09360-65
- ID: 10686
Cite item
Full Text
Abstract
A combination of the appropriate epilepsy service and modern methods of microneurosurgery allow realization of an effective high technology medical care to patients with symptomatic temporal epilepsy.
Keywords
Full Text
Ряд внутримозговых поражений, таких как каверномы, фокальные корковые дисплазии, медленно растущие нейроэпителиальные опухоли, составляющие суть симптоматической эпилепсии, являются высокоэпилептогенными, и резекция таких очагов позволяет достигнуть высокой степени ремиссии припадков [1–5].
Успех операции зависит не только от того, насколько радикально удален патологический фокус, но и от того, насколько полно удалена эпилептогенная зона, которая включает как сам очаг, так и перифокальную зону. Исследования исходов операций показали, что если корковое поражение находится в пределах височной доли, то резекция лишь очага приводит к значительно худшим результатам, чем при экстратемпоральной локализации [1; 8; 9; 11].
Вопрос объема резекции симптоматического эпилептогенного очага при структурной височной эпилепсии до сих пор является дискутабельным. Предлагаются различные варианты хирургии височной эпилепсии [1; 2; 9; 10; 12; 13].
Впервые возможность эффективного хирургического лечения височной эпилепсии путем сочетанного удаления височной доли вместе с гиппокампом и амигдалой была показана У. Пенфилдом [14]. На эту процедуру в настоящее время приходится 70–80% всех операций, которые выполняются в специализированных эпилептологических центрах. В 1950-х годах М. Фалконером была описана анатомическая резекция височной доли [15]. Эта стандартизованная процедура включает удаление большого количества височного неокортекса «единым блоком» с мезиальными височными структурами. К сожалению, резекция большого участка височного неокортекса может приводить к значительному нейропсихологическому дефициту, верхней квадрантанопсии [5; 6].
Резекция височной доли остается самой распространенной операцией, используемой при лечении височной эпилепсии. Были предложены модификация передней височной лобэктомии с резекцией только латеральной коры [7; 11], а также модификации операции, направленные на уменьшение размеров области резекции, по методу Спенсера или выполнением селективной амигдалогиппокампэктомии [9; 10; 12; 13; 16]. Если этиологическим фактором является гиппокампальный склероз, то результат в первую очередь будет определяться объемом медиобазальной резекции и в меньшей степени – объемом резекции неокортекса [1–5].
Впервые на юге России хирургическое лечение эпилепсии было внедрено в нейрохирургическом отделении Ростовской клинической больницы Южного окружного медицинского центра ФМБА России. Это стало возможным благодаря организации эпилептологической службы, которая включает гармоничное сочетание команды специально обученных нейрохирургов, неврологов-эпилептологов, младшего медперсонала по уходу за больными с эпилепсией и предхирургической диагностики эпилепсии (специализированная палата, оснащенная современным госпитальным стационарным и мобильным ЭЭГ-видеомониторингом с возможностью дистанционного контроля, средствами ухода).
В нейрохирургическом отделении РКБ прооперированы 7 пациентов, страдавших симптоматической височной эпилепсией. Судорожный синдром у этих больных был единственным проявлением болезни. Наиболее частой причиной эпилепсии было поражение гиппокампа височной доли, в основном глиальной опухолью. Все пациенты обязательно до операции были осмотрены неврологом-эпилептологом РКБ, в плане диагностики им были выполнены не только нативная МРТ головы с контрастом, но и МРТ головы по программе «Эпилепсия», а также предоперационный многочасовой госпитальный ЭЭГ-видеомониторинг.
Все 7 человек были оперированы по программе «Эпилепсия», т.е. им не просто было выполнено прямое удаление очага, а производилась передняя височная лобэктомия в сочетании с амигдалгиппокампэктомией и полным удалением поражения гиппокампа. Все указанные операции были выполнены с использованием операционного микроскопа, микрохирургического инструментария, интраоперационной нейронавигации, современной нейроанестезии по линии высокотехнологичной медицинской помощи (ВМП).
Приводим собственное клиническое наблюдение, отражающее возможности современной микронейрохирургии эпилепсии.
Больная Б., 22 года. Диагноз клинический: симптоматическая височная эпилепсия с вторично генерализованными ночными атоническими приступами на фоне диффузной внутримозговой глиальной опухоли (ганглиоцитома, grade I) передне-медиобазальных отделов левой височной доли головного мозга с распространением на гиппокамп, ножковую цистерну и нижний рог левого бокового желудочка.
Из анамнеза пациентки: эпиприпадки в течение 2 лет, когда впервые во сне, со слов матери, услышала стон, застала дочь с открытыми глазами, пациентка контакту была недоступна, длительность приступа была около 3 мин, после чего пациентка засыпала, утром приступ амнезировала, была сонлива с головными болями; в течение 2 лет ночные припадки участились и достигли частоты несколько раз в месяц, в основном это были ночные генерализованные приступы, сопровождавшиеся стоном, длительностью около 3 мин, с послеприступным сном. Следует отметить, что при появлении первых приступов пациентке была назначена противосудорожная терапия врачом-неврологом по месту жительства, больная получала длительно в течение 2 лет депакин по 300 мг 3 раза в сутки. Несмотря на проведение противосудорожной терапии, судорожные приступы не прекращались.
При осмотре невролога-эпилептолога никакой очаговой симптоматики не было зарегистрировано, фактически эпилепсия была единственным проявлением болезни у данной пациентки.
В целях предхирургической подготовки больной выполнен ЭЭГ-видеомониторинг в течение 3 часов в состоянии активного и пассивного бодрствования с проведением функциональных проб и во время сна. Исследование проводилось на базе РКБ в специализированной палате диагностики эпилепсии на электроэнцефалографе-анализаторе ЭЭГА-21/26 «Энцефалан-131-03» (НПКФ «Медиком-МТД», г. Таганрог) с применением 21 электрода по схеме «10-20» с дополнительным ЭКГ-электродом. Заключение исследования: основная биоэлектрическая активность головного мозга в пределах возрастной нормы, легкие диффузные изменения биоэлектрической активности головного мозга.
Во время гипервентиляции зарегистрированы региональные разряды в виде комплексов «острая–медленная волна» в левой височной области. Зарегистрирована медленноволновая фаза сна, физиологические паттерны non-REM сна (I и III стадии) отчетливо выражены. Во время засыпания регистрируются региональные разряды в виде комплексов «острая–медленная волна», редуцированные по морфологии, с тенденцией к диффузному распространению. После пробуждения регистрируются с низким индексом выраженности региональные разряды в виде комплексов «острая–медленная волна» в левой височной области, редко с распространением и на правые лобные и височные отделы.
Далее представлены фрагменты кривых пред- операционного ЭЭГ-видеомониторинга у дан- ной пациентки во сне и при нагрузочной пробе (рис. 1–3).
Рис. 1. Регистрация островолновых вспышек в разных временных интервалах во время сна из отведения левой височной области
Рис. 2. Островолновые вспышки наряду с диффузной эпилептиформной активностью, распространяющейся на правую лобную область
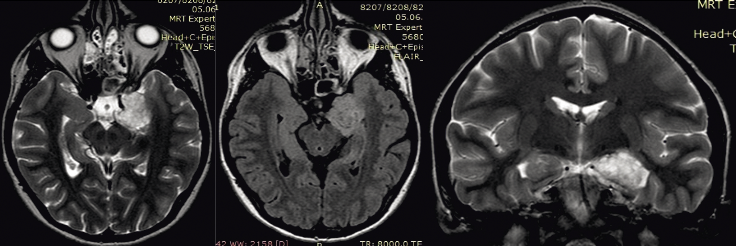
По данным МРТ больной до операции выявляется глубинное внутримозговое новообразование, поражающее левый гиппокамп, нижний рог левого бокового желудочка с распространением на ножковую цистерну (рис. 4).
Рис. 3. Активация островолновых вспышек во время нагрузочной пробы (гипервентиляция) из отведений левой височной области
Рис. 4. МРТ головного мозга с внутривенным контрастированием перед оперативным вмешательством. А: Т2-взвешенное изображение, аксиальная проекция на уровне патологического очага; Б: Т1-взвешенное изображение, аксиальная проекция на уровне патологического очага; В: Т2-взвешенное изображение, корональная проекция на уровне патологического очага
В нейрохирургическом отделении РКБ выполнено оперативное вмешательство по линии ВМП: костнопластическая лобно-височная краниотомия слева, микрохирургический субфронтальный и транссильвиевый доступ слева, передняя височная лобэктомия с амигдалгиппокампэктомией слева, микрохирургическое удаление опухоли передне-медиобазальных отделов левой височной доли головного мозга с распространением на гиппокамп, ножковую цистерну и нижний рог левого бокового желудочка в пределах видимых неизмененных тканей.
Особенности выполненной операции заключались в следующем.
Во-первых, для полной релаксации мозга, безопасной резекции очага и тотального контроля сосудов основания черепа сначала выполнен микрохирургический субфронтальный доступ слева с последовательным выделением развилки внутренней сонной артерии и ее основных ветвей.
Во-вторых, благодаря выполнению микрохирургического транссильвиевого доступа широко обнажены М1- и М2-сегменты левой средней мозговой артерии (СМА), перфорирующие ветви, островковая доля, визуализированы и отграничены передне-латеральные отделы опухолевого очага.
В-третьих, передняя височная лобэктомия с амигдалгиппокампэктомией слева выполнялась при полном контроле сосудов системы левой СМА и расположения островка, резекция гиппокампа вместе с опухолевой тканью выполнена максимально дорзально к треугольнику бокового желудочка.
В-четвертых, на этапе резекции левого гиппокампа выполнен доступ в хориоидальную щель, за счет чего удалось полностью выделить край вырезки намета мозжечка, визуализировать ножковую цистерну; благодаря данным сложным микрохирургическим манипуляциям удалось удалить опухоль тотально, поскольку она распространялась из гиппокампа медиально и ее медиальный полюс находился в охватывающей цистерне.
В-пятых, за счет указанных строго последовательных микронейрохирургических манипуляций выделены и полностью сохранены такие важнейшие анатомические структуры, как супраклиноидный отдел левой внутренней сонной артерии, перфорирующие ветви левой СМА, цистернальные сегменты задней соединительной и передней ворсинчатой артерий, глазодвигательный нерв, островковая доля, благодаря чему какого-либо неврологического дефицита в послеоперационном периоде зафиксировано не было.
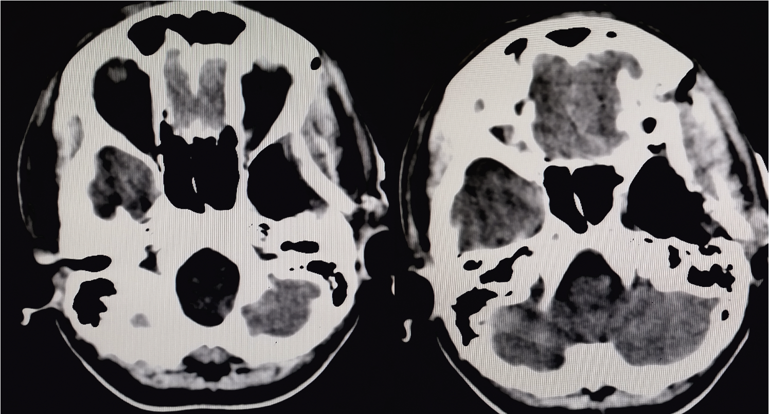
Далее представлены данные контрольной спиральной компьютерной томографии (СКТ) головного мозга больной на 1-е сутки после операции (видно скопление воздуха в зоне резекции медио- базальных отделов левой височной доли, дренажная трубка эпидурально) (рис. 5).
Рис. 5. СКТ головного мозга на 1-е сутки после передней височной лобэктомии и амигдалгип- покампэктомии слева
Непосредственный результат лечения: без нарастания неврологической симптоматики, полное исчезновение приступов, активизирована и поставлена на ноги на 2-е сутки после операции; рана зажила первичным натяже- нием.
Рис. 6. Внешний вид больной перед выпиской из стационара
Больная выписана на 12-е сутки после операции в удовлетворительном стабильном состоянии под наблюдение невролога-эпилептолога.
ЗАКЛЮЧЕНИЕ
Таким образом, организация эпилептологической службы на базе Ростовской клинической больницы ФГБУЗ ЮОМЦ ФМБА России в сочетании с методами современной микронейрохирургии позволяет оказывать эффективную высокотехнологичную медицинскую помощь больным с симптоматической височной эпилепсией.
About the authors
K. G. Airapetov
Federal Medical and Biological Agency of Russia (FMBA), Southern District Center of Medicine, Rostov Clinical Hospital
Author for correspondence.
Email: karen-neuro@yandex.ru
д.м.н., нейрохирург высшей категории, руководитель Центра нейрохирургии и неврологии, заведующий нейрохирургическим отделением Ростовской клинической больницы Южного окружного медицинского центра ФМБА России
Russian Federation, Rostov-on-DonA. A. Glazkov
Federal Medical and Biological Agency of Russia (FMBA), Southern District Center of Medicine, Rostov Clinical Hospital
Email: aga.rnd@yandex.ru
врач-нейрохирург нейрохирургического отделения Центра нейрохирургии и неврологии Ростовской клинической больницы Южного окружного медицинского центра ФМБА России
Russian Federation, Rostov-on-DonA. H. Al-Khammadi
Federal Medical and Biological Agency of Russia (FMBA), Southern District Center of Medicine, Rostov Clinical Hospital
Email: adel-rus2004@mail.ru
врач-нейрохирург нейрохирургического отделения Центра нейрохирургии и неврологии Ростовской клинической больницы Южного окружного медицинского центра ФМБА России
Russian Federation, Rostov-on-DonE. V. Prinsovskaya
Federal Medical and Biological Agency of Russia (FMBA), Southern District Center of Medicine, Rostov Clinical Hospital
Email: pev12-22@yandex.ru
врач-невролог неврологического отделения Центра нейрохирургии и неврологии Ростовской клинической больницы Южного окружного медицинского центра ФМБА России
Russian Federation, Rostov-on-DonM. V. Nikolaenko
Medical center «Neurodon»
Email: neyrodon@mail.ru
врач функциональной диагностики, нейрофизиолог, сомнолог, директор медицинского центра «Нейродон»
Russian Federation, Rostov-on-DonReferences
- Шершевер А.С. Хирургическое лечение эпилепсии. Екатеринбург, 2005.
- Крылов В.В. и др. Клинические рекомендации по предоперационному обследованию и хирургическому лечению пациентов с фармакорезистентными формами эпилепсии. М., 2015.
- Pelliccia V., Deleo F., Gozzo F. et al. Early and late epilepsy surgery in focal epilepsies associated with long-term epilepsy-associated tumors // Journal of Neurosurgery. 2017. Vol. 127. No. 5. P. 1147–1152.
- Çataltepe O., Turanli G., Yalnizoglu D. et al. Surgical management of temporal lobe tumor-related epilepsy in children // Journal of Neurosurgery: Pediatrics. 2005. Vol. 102. No. 3. P. 280–287.
- Jehi L.E., Silveira D.C., Bingaman W., Najm I. Temporal lobe epilepsy surgery failures: Predictors of seizure recurrence, yield of reevaluation, and outcome following reoperation: Clinical article // Journal of Neurosurgery. 2010. Vol. 113. No. 6. P. 1186–1194.
- Vale F., Pollock G., Benbadis S.R. Failed epilepsy surgery for mesial temporal lobe sclerosis: A review of the pathophysiology // Neurosurgical Focus. 2012. Vol. 32. No. 3. P. E9.
- Schramm J., Kral T., Grunwald T., Blümcke I. Surgical treatment for neocortical temporal lobe epilepsy: Clinical and surgical aspects and seizure outcome // Journal of Neurosurgery. 2001. Vol. 94. No. 1. P. 33–42.
- Giulioni M., Rubboli G., Marucci G. et al. Seizure outcome of epilepsy surgery in focal epilepsies associated with temporomesial glioneuronal tumors: Lesionectomy compared with tailored resection: Clinical article // Journal of Neurosurgery. 2009. Vol. 111. No. 6. P. 1275–1282.
- Tanriverdi T., Olivier A., Poulin N. et al. Long-term seizure outcome after mesial temporal lobe epilepsy surgery: Corticalamygdalohippocampectomy versus selective amygdalohippocampectomy // Journal of Neurosurgery. 2008. Vol. 108. No. 3. P. 517–524.
- Park T.S., Bourgeois F.D., Silbergeld D.L., Dodson W.E. Subtemporal transparahippocampal amygdalohippocampectomy for surgical treatment of mesial temporal lobe epilepsy: Technical note // Journal of Neurosurgery. 1996. Vol. 85. No. 6. P. 1172–1176.
- Kirkpatrick P.J., Honavar M., Janota I., Polkey Ch.E. Control of temporal lobe epilepsy following en bloc resection of low-grade tumors // Journal of Neurosurgery. 1993. Vol. 78. No. 1. P. 19–25.
- Hori T., Yamane F., Ochiai T. et al. Selective subtemporal amygdalohippocampectomy for refractory temporal lobe epilepsy: Operative and neuropsychological outcomes // Journal of Neurosurgery. 2007. Vol. 106. No. 1. P. 134–141.
- Vajkoczy P., Krakow K., Stodieck S. et al. Modified approach for the selective treatment of temporal lobe epilepsy: Transsylvian-transcisternal mesial en bloc resection // Journal of Neurosurgery. 1998. Vol. 88. No. 5. P. 855–862.
- Penfild W., Flanigin H. Surgical therapy of temporal lobe seizures // Archives of Neurology and Psychiatry. 1950. Vol. 64. No. 4. P. 491–500.
- Falconer M.A. Discussion on the surgery of the surgery of temporal lobe epilepsy: Surgical and pathological aspects // Proceeding of the Royal Society of Medicine. 1953. Vol. 46. P. 971.
- Yasargil M.G., Teddy P.J., Roth P. Selective amygdalohippocampectomy. Operative anatomy and surgical technique // Advances and Technical Standards in Neurosurgery. 1985. Vol. 12. P. 93–123.
Supplementary files









