Minimally invasive treatment of osteoarthritis of the hip joint by radiofrequency denervation: a clinical case
- Authors: Gorokhov M.A.1, Zagorodniy N.V.2,3, Kuzmin V.I.1, Sharamko T.G.1
-
Affiliations:
- General Medical Center of the Bank of Russia
- Priorov Central institute for Trauma and Orthopedics
- Peoples' Friendship University of Russia
- Issue: Vol 13, No 4 (2022)
- Pages: 93-98
- Section: Case reports
- Submitted: 01.11.2022
- Accepted: 03.12.2022
- Published: 24.01.2023
- URL: https://clinpractice.ru/clinpractice/article/view/112285
- DOI: https://doi.org/10.17816/clinpract112285
- ID: 112285
Cite item
Full Text
Abstract
Background: At present, there is a growing trend towards osteoarthritis spreading among the population of Russia and the entire world, therefore, the search for an effective and low-traumatic method of the pain syndrome relief in coxarthrosis is an important problem of modern medicine.
Clinical case description: A clinical case of treatment of a 64-year-old patient, a working pensioner, with the complaints of severe pain in the left hip joint and a clinical picture of stage IV coxarthrosis according to the Kellgren and Lawrence classification, is presented. Previously, indications for planned joint arthroplasty were found for this patient due to the ineffectiveness of a conservative treatment. The pain syndrome was estimated as 9 points on the visual analogue scale (VAS), 32 points according to the Harris Hip Score (unsatisfactory result). Due the development of an acute concomitant disease, radiofrequency denervation of the left hip joint was performed. The patient was discharged the next day after the surgery, and a positive outcome was achieved in the form of pain reduction for a long period. VAS: 1st day — 3 points, 1 month — 2 points, 6 months — 6 points, 12 months — 7 points. The Harris Hip Score: 1 month — 82 points (good result), 6 months — 76 points (satisfactory result).
Conclusion: As this clinical case has shown, radiofrequency denervation is a promising alternative for patients with osteoarthritis of the hip joint, for whom total arthroplasty is contraindicated, and a conservative treatment does not give long-term positive results for severe pain syndrome.
Full Text
ОБОСНОВАНИЕ
Коксартроз является наиболее частой и тяжелой формой остеоартрита [1, 2]. В настоящее время дегенеративные процессы тазобедренных суставов наблюдаются не только у людей пенсионного возраста, но и среди трудоспособного населения, что обусловлено некоторым «омоложением» заболевания, а также совершенствованием диагностических возможностей.
По разным данным, на долю коксартроза приходится от 10 до 12% всех нозологий опорно-двигательного аппарата человека с высоким приростом показателя, в том числе в России, за последние годы [1–3], при этом именно коксартроз остается наиболее частым основанием временной нетрудоспособности или причиной инвалидности (7–37%) у лиц с поражением опорно-двигательной системы [4–6]. В связи с этим лечение больных остеоартритом тазобедренного сустава является актуальной медицинской, экономической и социальной проблемой [7].
К наиболее частым жалобам при любой стадии остеоартрита тазобедренного сустава относится болевой синдром, который и служит причиной первичного обращения к врачу [8, 9]. Боль в суставе при коксартрозе усиливается при нагрузке или движении и определяется в паховой области, а также может распространяться по передней и боковой поверхности бедра в ягодичную область и даже в коленный сустав.
Методы лечения остеоартрита тазобедренного сустава и, соответственно, боли как основного симптома подразделяются на два основных направления — консервативное и хирургическое. Длительные сроки консервативного лечения (применение нестероидных противовоспалительных препаратов, хондропротекторов, блокады с глюкокортикостероидами, введение гиалуроновой кислоты, физиотерапия, лечебная физкультура) и малая эффективность при III–IV стадии, травматичность и высокий риск осложнений после высокотехнологичных оперативных вмешательств (эндопротезирование) при дегенеративных заболеваниях тазобедренных суставов [10–12] диктуют необходимость поиска эффективных и малоинвазивных методов направленного воздействия на боль, одним из которых является радиочастотная денервация (РЧД) тазобедренного сустава.
Внедрение технологии РЧД подразумевает снижение травматизации окружающих сустав тканей, отсутствие кровопотери, минимум возможных осложнений и противопоказаний, восстановление трудоспособности в короткие сроки у работающего населения, что находит свое подтверждение в нижепредставленном клиническом случае.
КЛИНИЧЕСКИЙ ПРИМЕР
О пациенте
Пациент Р., 64 года, работающий пенсионер, обратился к травматологу-ортопеду с жалобами на ограничение движений, боли в левом тазобедренном суставе.
Из анамнеза известно, что выраженный болевой синдром в левом тазобедренном суставе отмечает более 5 лет, травмы отрицает. Неоднократно проводился курс консервативного лечения левостороннего коксартроза у травматолога-ортопеда по месту жительства (прием нестероидных противовоспалительных препаратов, пероральные хондропротекторы, физиотерапия, лечебная физкультура). Пациент наблюдался также у ревматолога с диагнозом «Подагра, острый подагрический полиартрит, непрерывно рецидивирующее течение. Осложнения: Подагрическая нефропатия: хронический подагрический тубулоинтерстициальный нефрит». В связи с отсутствием за последний год положительной динамики от проводимого лечения рекомендовано тотальное эндопротезирование левого тазобедренного сустава в плановом порядке. Однако через 2 нед пациент был экстренно госпитализирован в урологическое отделение с диагнозом «Подагра, хронический подагрический полиартрит вне обострения. Подагрическая нефропатия. Хронический тубулоинтерстициальный нефрит. Мочекаменная болезнь. Коралловидные камни обеих почек. Камень средней трети левого мочеточника. Уретеропиелоэктазия слева. Осложнения: Хроническая почечная недостаточность, терминальная стадия. Гемодиализ. Анемия тяжелой степени. Вторичный гиперпаратиреоз». Выполнено экстренное оперативное лечение в объеме дренирования мочевых путей. После купирования симптомов уремии и стабилизации гемодинамических показателей в связи с сохраняющимся выраженным болевым синдромом и с учетом возникших на данном отрезке времени противопоказаний к эндопротезированию тазобедренного сустава принято решение о проведении РЧД.
Через 2 нед пациенту выполнено РЧД левого тазобедренного сустава по нашей методике.
Физикальная, лабораторная и инструментальная диагностика
На момент первичного осмотра передвигался самостоятельно, прихрамывая на левую нижнюю конечность с дозированной опорой на трость под противоположную конечность. Движения в левом тазобедренном суставе резко болезненны, ограничены: сгибание 90°, разгибание 10°, отведение 5°, внутренняя и наружная ротация до 10°. Относительное укорочение левой нижней конечности 2 см. Острых сосудистых и неврологических расстройств в нижних конечностях не выявлено.
Для оценки функции тазобедренного сустава и исхода остеоартрита нами использована модифицированная шкала Харриса (Harris Hip Score), мониторирование болевого синдрома осуществлялось с помощью визуально-аналоговой шкалы (ВАШ). До проведения РЧД результаты по шкале Harris Hip Score составили 32 балла (неудовлетворительно), по ВАШ — 9 баллов.
Инструментальная диагностика включала рентгенографию костей таза и тазобедренных суставов.
Диагноз
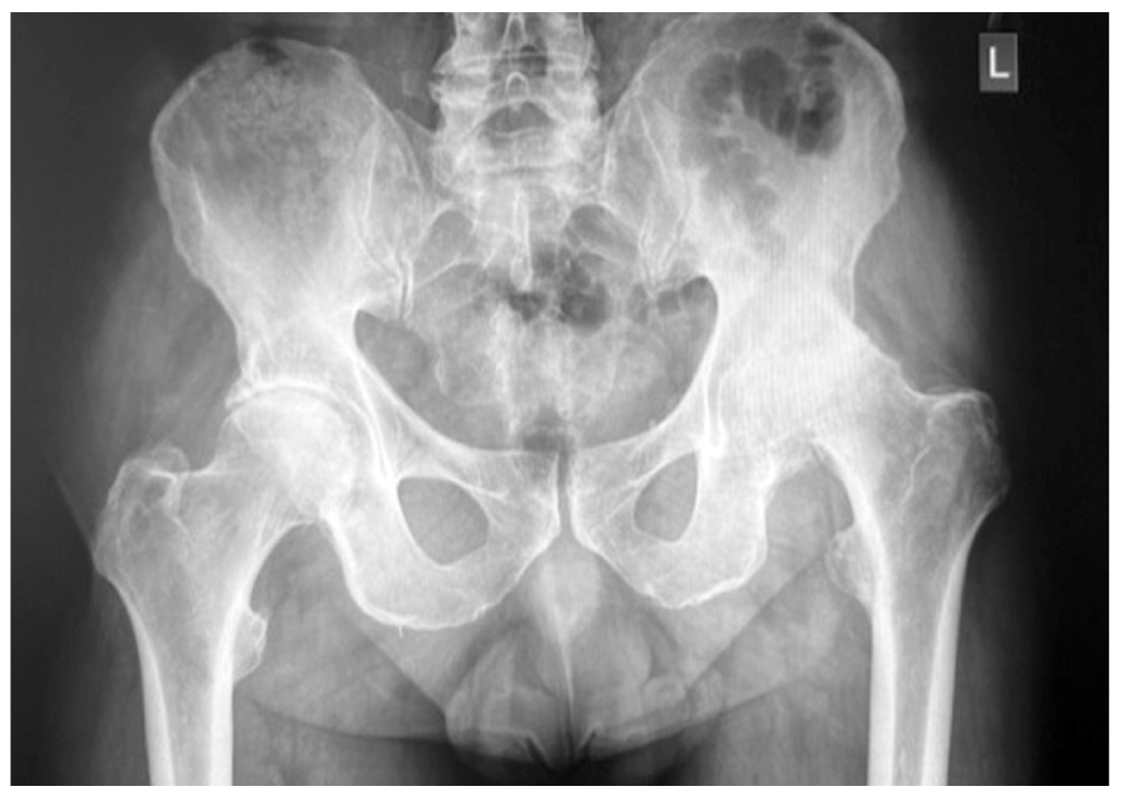
Двусторонний коксартроз слева IV стадии, справа III стадии; асептический некроз головки левого бедра (по классификации Kellgren и Lawrence); рис. 1.
Рис. 1. Рентгенограмма тазобедренных суставов. / Fig. 1. Radiography of the hip joints.
Лечение: этапы радиочастотной денервации
РЧД тазобедренного сустава выполнена в условиях операционного блока стационара многопрофильного медицинского центра Банка России.
- Пациента укладывали на операционный стол в положение на спине с обработкой передней поверхности тазобедренного сустава растворами антисептиков (рис. 2).
- В бедренную артерию, которую находили методом пальпации, и медиальнее ее, ниже паховой связки, после местной инфильтрации кожи (по типу лимонной корочки) 0,5% раствором Новокаина в дозе 2,0 мл, под контролем электронно-оптического преобразователя вводили иглу, продвигали ее перпендикулярно через кожу до верхней ветви лобковой кости и устанавливали в область запирательной борозды.
- Правильное положение иглы проверяли электрической стимуляцией нерва с помощью радиочастотного генератора Stryker Interventional Spine MultiGen RF Console (рис. 3). При распространении боли в переднемедиальную область тазобедренного сустава мы полагали, что положение пациента — правильное.
- Зону деструкции орошали анестетиком и выполняли деструкцию нерва путем нагревания рабочего кончика иглы до 90°C с выдержкой 180 сек. Далее с целью профилактики местного воспалительного процесса вводили глюкокортикостероид Дипроспан в дозе 0,5 мл, разведенный в 5,0 мл 0,5% раствора Новокаина.
- Воздействие на суставную ветвь бедренного нерва отличалось только анатомическим расположением иглы и выполнялось в месте его выхода из капсулы сустава. Проведение иглы осуществляли антеролатеральным доступом, при этом электрод находился ниже передней подвздошной ости рядом с переднелатеральным краем тазобедренного сустава (рис. 4).
Рис. 2. Положение пациента на операционном столе. / Fig. 2. Position of the patient on the operating table.
Рис. 3. Радиочастотный генератор Stryker Interventional spine MultiGen RF Console (США). / Fig. 3. A Stryker Interventional spine MultiGen RF Console Radio frequency generator (USA).
Рис. 4. Радиочастотная денервация запирательного и бедренного нервов. / Fig. 4. Radiofrequency denervation of the obturator and femoral nerves.
Динамика и исходы
Пациент наблюдался в отделении в течение 1 сут с целью предупреждения развития осложнений, после чего получил выписку из стационара с заключением о своей работоспособности.
Дальнейшее наблюдение пациента показало достоверно высокую эффективность лечения методом РЧД с сохранением длительного анальгетического действия при коксартрозе IV стадии: оценка по ВАШ в первые сутки после РЧД 3 балла, через 1 мес — 2 балла, через 6 мес — 6 баллов, через 12 мес — 7 баллов; оценка по Harris Hip Score через 1 мес после РЧД 82 балла (хороший результат), через 6 мес — 76 баллов (удовлетворительный результат).
РЧД позволила купировать боль на долгий период (около 1,5 лет), что оказалось достаточным для стабилизации сопутствующих заболеваний и проведения тотального эндопротезирования тазобедренного сустава.
ОБСУЖДЕНИЕ
В отечественной литературе отсутствуют сообщения о случаях лечения болевого синдрома при остеоартрите тазобедренного сустава у пациентов с противопоказанием к эндопротезированию сустава методом РЧД путем воздействия на суставную ветвь запирательного и бедренного нервов одновременно. Так, еще в 1998 году коллектив авторов кафедры нейрохирургии РМАПО под руководством О.В. Акатова разработали и запатентовали метод радиочастотной термической деструкции только запирательного нерва [13, 14], впервые выставив в качестве одного из показаний к операции наличие социальных и медицинских противопоказаний к эндопротезированию сустава с оценкой результата только по ВАШ. В нашем клиническом случае также имелись противопоказания к эндопротезированию тазобедренного сустава в виде хронической почечной недостаточности, терминальной стадии; гемодиализа; анемии тяжелой степени; вторичного гиперпаратиреоза, что и определило выбор воздействия на боль методикой РЧД.
Вместе с тем, согласно данным иностранных источников, лучшие результаты в контексте эффективности и безопасности с оценкой по ВАШ, Harris Hip Score, WOMAC, OME, OHS отмечаются при воздействии на два нерва тазобедренного сустава — запирательный и бедренный (рис. 5) [15, 16].
Рис. 5. Иннервация тазобедренного сустава. / Fig. 5. Innervation of the hip joint.
Группа канадских ученых в 2019 году опубликовала первый систематический обзор [17], где подчеркивает важность использования канюль-электродов размером 21–22G с рабочим наконечником от 4 до 10 мм, температурой абляции 75–90°, экспозицией от 1 до 3 мин и необходимость оценки проводимого лечения РЧД функциональными шкалами и опросниками, в том числе Harris Hip Score. А в ретроспективном исследовании 2021 года 136 пациентов из США [18] авторы отмечают необходимость применения чувствительной стимуляции с частотой 50 Гц для воспроизведения привычной боли для проверки корректного положения электродов. В приведенном случае мы использовали сопоставимые параметры электродов и настройки радиочастотного генератора при воздействии на нервные волокна.
ЗАКЛЮЧЕНИЕ
Малоинвазивный метод РЧД показал хорошие клинические результаты у пациента с тяжелой сопутствующей патологией в лечении болевого синдрома при остеоартрите тазобедренного сустава. Таким образом, РЧД является альтернативой воздействия на боль, когда противопоказано тотальное эндопротезирование, а консервативное лечение не дает длительных положительных результатов.
ИНФОРМИРОВАННОЕ СОГЛАСИЕ
От пациента получено добровольное письменное информированное согласие на публикацию его данных в медицинском журнале, включая электронную версию (дата подписания 01.10.2022).
INFORMED CONSENT
A voluntary written informed consent was obtained from the patient for publication in a medical journal, including its electronic version (date of signing 01.10.2022).
ДОПОЛНИТЕЛЬНАЯ ИНФОРМАЦИЯ
Вклад авторов. М.А. Горохов — лечение пациента, проведение операции; М.А. Горохов, Т.Г. Шарамко — сбор и анализ инструментальных исследований; М.А. Горохов, Н.В. Загородний, В.И. Кузьмин, Т.Г. Шарамко — обработка и обсуждение результатов исследования, написание текста статьи; М.А. Горохов, В.И. Кузьмин, Т.Г. Шарамко — поисково-аналитическая работа, обсуждение результатов исследования, написание текста статьи. Авторы подтверждают соответствие своего авторства международным критериям ICMJE (все авторы внесли существенный вклад в разработку концепции, проведение исследования и подготовку статьи, прочли и одобрили финальную версию перед публикацией).
Author contribution. M.A. Gorokhov — patient treatment, operation; M.A. Gorokhov, T.G. Sharamko — collection and analysis of instrumental studies; M.A. Gorokhov, N.V. Zagorodny, V.I. Kuzmin, T.G. Sharamko — processing and discussion of the research results, writing the text of the article; M.A. Gorokhov, V.I. Kuzmin, T.G. Sharamko — search and analytical work, discussion of the results of the study, writing the text of the article. The authors made a substantial contribution to the conception of the work, acquisition, analysis, interpretation of data for the work, drafting and revising the work, final approval of the version to be published and agree to be accountable for all aspects of the work.
Источник финансирования. Авторы заявляют об отсутствии внешнего финансирования при проведении исследования.
Funding source. This study was not supported by any external sources of funding.
Конфликт интересов. Авторы декларируют отсутствие явных и потенциальных конфликтов интересов, связанных с публикацией настоящей статьи.
Competing interests. The authors declare that they have no competing interests.
About the authors
Mikhail A. Gorokhov
General Medical Center of the Bank of Russia
Author for correspondence.
Email: docgorohov@yandex.ru
ORCID iD: 0000-0002-2279-023X
SPIN-code: 5493-3566
MD
Russian Federation, 66, Sevastopol'skiy prospekt, Moscow, 117593Nikolay V. Zagorodniy
Priorov Central institute for Trauma and Orthopedics; Peoples' Friendship University of Russia
Email: zagorodniy51@mail.ru
ORCID iD: 0000-0002-6736-9772
SPIN-code: 6889-8166
MD, PhD, Сorrespondent member of the Russian Academy of Sciences
Russian Federation, Moscow; MoscowVyacheslav I. Kuzmin
General Medical Center of the Bank of Russia
Email: drkuzmin@inbox.ru
ORCID iD: 0000-0002-5329-6314
SPIN-code: 1669-2625
MD, PhD
Russian Federation, MoscowTaras G. Sharamko
General Medical Center of the Bank of Russia
Email: sharamko_t@mail.ru
ORCID iD: 0000-0003-0508-8593
SPIN-code: 4481-8526
MD, PhD
Russian Federation, MoscowReferences
- Branco JC. Prevalence of rheumatic and musculoskeletal diseases and their impact on health-related quality of life, physical function and mental health in Portugal: results from EpiReumaPt: A national health survey. RMD Open. 2016;2(1): e000166. doi: 10.1136/rmdopen-2015-000166
- Балабанова Р.М. Динамика распространенности ревматических заболеваний, входящих в XIII класс МКБ-10, в популяции взрослого населения Российской Федерации за 2000–2010 гг. // Научно-практическая ревматология. 2012. Т. 50, № 3. С. 10–2. [Balabanova RM. Dynamics of the prevalence of rheumatic diseases included in the XIII class of ICD-10 in the adult population of the Russian Federation for 2000-2010. Scientific Practical Rheumatology. 2012;50(3): 10–12. (In Russ).] doi: 10.14412/1995-4484- 2012-702
- Балабанова Р.М., Дубинина В., Демина А.Б., Кричевская О.А. Заболеваемость болезнями костно-мышечной системы в Российской Федерации за 2015–2016 // Научно-практическая ревматология. 2018. Т. 56, № 1. С. 15–21. [Balabanova RM, Dubinina V, Demina AB, Krichevskaya OA. The incidence of musculoskeletal diseases in the Russian Federation over 2015-2016. Scientific Practical Rheumatology. 2018;56(1):15–21. (In Russ).] doi: 10.14412/1995-4484-2018-15-21
- Петрунько И.Л. Остеоартроз: возрастные особенности первичной инвалидности // Забайкальский медицинский вестник. 2018. № 2. С. 41–47. [Petrunko IL. Osteoarthritis: Age-related features of primary disability. Zabaikalsky Medical Bulletin. 2018;(2):41–47. (In Russ).] doi: 10.52485/19986173_2018_2_41
- Thomas EG, Peat P, Croft P. Defining and mapping the person with osteoarthritis for population studies and public health. Rheumatology (Oxford). 2014;53(2):338–345. doi: 10.1093/rheumatology/ket346
- Vina ER, Kwoh CK. Epidemiology of osteoarthritis: literature update. Curr Opinion Rheumatol. 2018;30(2):160. doi: 10.1097/BOR.0000000000000479
- Лапшина С.А., Мухина Р.Г., Мясоутова Л.И. Остеоартроз: современные проблемы терапии // Российский медицинский журнал. 2016. Т. 24, № 2. С. 95–101. [Lapshina SA, Mukhina RG, Myasoutova LI. Osteoarthritis: modern problems of therapy. Russ Med J. 2016;24(2):95–101. (In Russ).]
- Tran A, Reiter D, Wong PK, et al. Alternative treatment of hip pain from advanced hip osteoarthritis utilizing cooled radiofrequency ablation: single institution pilot study. Skeletal Radiol. 2022;51(5):1047–1054. doi: 10.1007/s00256-021-03927-0
- Patel A, Pavlou G, Mújica-Mota RE. The epidemiology of revision total knee and hip arthroplasty in England and Wales: a comparative analysis with projections for the United States. A study using the National Joint Registry dataset. Bone Joint J. 2015;97B(8):1076–1081. doi: 10.1302/0301-620X.97B8.35170
- Grayson CW, Decker RC. Total joint arthroplasty for persons with osteoarthritis. PM R. 2012;4(5 Suppl.):S97–S103.v. doi: 10.1016/j.pmrj.2012.02.018
- Xu HF, White RS, Sastow DL, et al. Medicaid insurance as primary payer predicts increased mortality after total hip replacement in the state inpatient databases of California, Florida and New York. J Clin Anesth. 2017;43:24–32. doi: 10.1016/j.jclinane.2017.09.008
- Портянникова О.О., Цвингер С.М., Говорин А.В., Романова Е.Н. Анализ распространенности и факторов риска развития остеоартрита в популяции // Современная ревматология. 2019. Т. 13, № 2. С. 105–111. [Portyannikova OO, Zwinger SM, Govorin AV, Romanova EN. Analysis of the prevalence and risk factors of osteoarthritis in the population. Modern Rheumatology. 2019;13(2):105–111. (In Russ).] doi: 10.14412/1996-7012-2019-2-105-111
- Шпилевой В.В., Худяев А.Т., Шатохин В.Д. Отдаленные результаты лечения хронического болевого синдрома при коксартрозе методом чрескожной радиочастотной деструкции запирательного нерва // Гений ортопедии. 2001. № 3. С. 72–75. [Shpilevoy VV, Khudyaev AT, Shatokhin VD. Long-term results of treatment of chronic pain syndrome in coxarthrosis by percutaneous radiofrequency destruction of the occlusive nerve. Genius Orthopedics. 2001;(3):72–75. (In Russ).]
- Акатов О.В., Древаль О.Н., Гринев А.В. Новый метод лечения болевого синдрома при коксартрозе // Вопросы нейрохирургии. 1998. № 1. С. 37–39. [Akatov OV, Dreval ON, Grinev AV. A new method of treating pain syndrome in coxarthrosis. Questions Neurosurgery. 1998;(1):37–39. (In Russ).] doi: 10.1159/000099888
- Vanaclocha V. Percutaneous radiofrequency denervation in the treatment of hip pain secondary to osteoarthritis. Orthopaedics. 2016;4(6):657–680.
- Kapural L, Naber J, Neal K, Burchell M. Cooled radiofrequency ablation of the articular sensory branches of the obturator and femoral nerves using fluoroscopy and ultrasound guidance: A large retrospective study. Pain Physician. 2021;24(5):E611–E617.
- Kumar P, Hoydonckx Y, Bhatia A. A review of current denervation techniques for chronic hip pain: anatomical and technical considerations. Current Pain Headache Rep. 2019;23(6):1–12. doi: 10.1007/s11916-019-0775-z
- Kapural L, Jolly S, Mantoan J, et al. Cooled radiofrequency neurotomy of the articular sensory branches of the obturator and femoral nerves-combined approach using fluoroscopy and ultrasound guidance: Technical report, and observational study on safety and efficacy. Pain Physician. 2018;21(3):279–284.
Supplementary files








