Long-term results of microvascular decompression with video endoscopy in the treatment of patients with atypical trigeminal neuralgia
- Authors: Vinokurov A.G.1, Kalinkin A.A.1, Bocharov A.А.1, Chupalenkov S.M.1, Lesnyak V.N.1, Yusubalieva G.M.1,2, Kazmina E.S.1, Kalinkina O.N.3, Belousov V.V.4
-
Affiliations:
- Federal Scientific and Clinical Center for Specialized Medical Assistance and Medical Technologies of the Federal Medical Biological Agency
- Engelhardt Institute of Molecular Biology of the Russian Academy of Sciences
- Moscow State University of Medicine and Dentistry named after A.I. Evdokimov
- Federal center of brain research and neurotechnologies
- Issue: Vol 13, No 4 (2022)
- Pages: 5-16
- Section: Original Study Articles
- Submitted: 21.11.2022
- Accepted: 03.12.2022
- Published: 24.01.2023
- URL: https://clinpractice.ru/clinpractice/article/view/114755
- DOI: https://doi.org/10.17816/clinpract114755
- ID: 114755
Cite item
Full Text
Abstract
Background: The incidence of atypical trigeminal neuralgia (aNTN) varies from 1 to 7 per 100,000 population per year. The main cause of its development is compression of the trigeminal nerve (TN) root by a vein and/or artery in the cerebellar cistern. To date, the final tactics of treatment for patients with aNTN has not been specified. The effectiveness of conservative methods of therapy does not exceed 50%.
The aim of this study was to evaluate the results of microvascular decompression using video endoscopy in the treatment of patients with atypical trigeminal neuralgia.
Methods: In the period from 2014 to 2021, 34 patients with aNTN were operated on, of which 18 (53%) patients had neuropathic pain (more than 4 points on the DN4 scale), and 15 (44%) patients had transformation of classical trigeminal neuralgia into atypical neuralgia. The conservative therapy (carbamazepine, gabapentin, pregabalin), administered to all the patients in the preoperative period, was not accompanied by a significant relief of pain syndrome. The maximum intensity of pain upon admission to the hospital was, according to the visual analog scale (VAS), 10 points, according to the BNI (Barrow Neurological Institute) Pain Intensity Scale — V (severe, persistent pain). All the patients underwent microvascular decompression of the trigeminal nerve root with the use of Teflon; in 12 (35%) patients, in addition to microscopy, video endoscopy was used. The average follow-up period after the surgery was 3.4±1.7 years (from 1 to 5 years).
Results: In all (100%) patients, the pain was completely eliminated (BNI I) after the surgery. A total five-year excellent and good outcome of the disease on the J. Miller and BNI scale (I -II) was noted in 80% (n=27) of patients with aNTN. The risk of pain recurrence after microvascular decompression was 14% (n=3) in the first three years, and 34% (n=4) after 5 years. The use of video endoscopy made it possible to identify the blood vessels compressing the root of the trigeminal nerve with a minimal displacement of the cerebellum and cranial nerves when visualizing the neurovascular conflict.
Conclusion: The microvascular decompression method with video endoscopy is effective in the treatment of patients with aNTN.
Full Text
ОБОСНОВАНИЕ
Согласно определению Международного общества головной боли (International Headache Society, IHS) и Международной ассоциации по изучению боли (International Association for the Study of Pain, IASP), атипичная невралгия тройничного нерва (аНТН) характеризуется односторонней постоянной болью в лице, которая может сочетаться с классическими приступами [1]. В последней пересмотренной классификации атипичная невралгия и невралгия типа 2 относятся к классической НТН (кНТН) с постоянной болью [1], однако для упрощения восприятия мы будем пользоваться прежней терминологией.
Частота встречаемости аНТН варьирует от 1 до 7 человек на 100 000 населения в год. Среди всех пациентов с НТН атипичная форма с постоянной болью в той или иной степени представлена у 24–49% [2, 3]. Основной причиной возникновения аНТН, как и классической, является компрессия корешка тройничного нерва веной и/или артерией в мостомозжечковой цистерне [4, 5]. Для пациентов с аНТН характерны более грубые структурные изменения (демиелинизация, гибель аксонов) в корешке тройничного нерва, что сопровождается снижением порога возбуждения денервированных нейронов, патологической импульсацией и вторичными изменениями в таламусе и коре головного мозга [6, 7].
Практически у всех пациентов с кНТН через 1,5–3 года заболевания развивается аНТН с нейропатическим компонентом боли [2]. Одной из причин неудовлетворительных результатов микроваскулярной декомпрессии является развитие грубых структурных изменений в корешке тройничного нерва с нейропатией, которая наблюдается у 94% пациентов с аНТН [4, 8]. Эффективность микроваскулярной декомпрессии в раннем послеоперационном периоде у данных больных варьирует от 73 до 92%, а в позднем (через 20 мес) — не более 40% [4, 9, 10].
По мнению J. Hai и соавт. [11], основной причиной неудовлетворительных результатов микроваскулярной декомпрессии является неполная декомпрессия корешка тройничного нерва вследствие выраженного спаечного процесса и высокого риска интраоперационного повреждения верхней мозжечковой артерии и каменистой вены.
Своевременная и полная декомпрессия тройничного нерва у пациентов с НТН на фоне нейроваскулярного конфликта не только предотвращает прогрессирование заболевания (переход классической формы НТН в атипичную), но и улучшает прогнозы лечения [5, 10]. В доступной литературе мало публикаций отдаленных результатов лечения пациентов с аНТН, что, по нашему мнению, недостаточно для окончательного определения роли микроваскулярной декомпрессии в лечении данных больных.
В нашем стационаре с 2014 года выполняется микроваскулярная декомпрессия тройничного нерва с применением видеоэндоскопии при лечении пациентов с аНТН.
Цель исследования — оценить отдалённые (3–5-летние) результаты микроваскулярной декомпрессии при аНТН.
МЕТОДЫ
Дизайн исследования
Открытое ретроспективное клиническое.
Критерии соответствия
Критерии включения: согласие на участие в исследовании; возраст старше 18 лет; наличие фармакорезистентной боли в лице по ВАШ 10 баллов, по шкале BNI — V; подтвержденный методом магнитно-резонансной томографии (МРТ) в режимах 3D FIESTA, или CISS, или DRIVE нейроваскулярный конфликт; сроки после операции от 1 года до 5 лет.
Критерии исключения: отказ от участия в исследовании; возраст моложе 18 лет; сроки после операции менее 1 года.
Условия проведения
Исследование выполнено в период с 2014 по 2021 г. в нейрохирургическом отделении Федерального научно-клинического центра специализированных видов медицинской помощи и медицинских технологий Федерального медико-биологического агентства (ФГБУ ФНКЦ ФМБА России).
Описание медицинского вмешательства
Прооперировано 34 пациента с аНТН, из них у 18 (53%) боль имела нейропатический характер (по шкале DN4 более 4 баллов), а у 15 (44%) отмечена трансформация кНТН в атипичную через 5±3 года от начала заболевания.
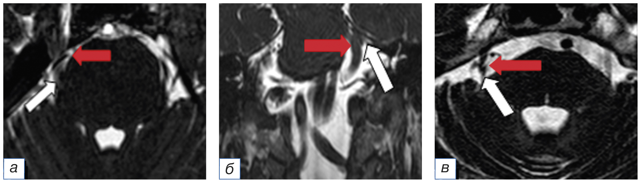
Диагноз подтверждали на основании клинического осмотра и наличия нейроваскулярного конфликта по данным МРТ головного мозга на аппарате мощностью 1,5–3 Тесла в режиме 3D CISS, или FIESTA, или DRIVE. Во всех случаях был выявлен нейроваскулярный конфликт между артерией и/или веной и корешком тройничного нерва. Степень выраженности нейроваскулярного конфликта оценена по шкале M. Sindou и соавт. [12]. Так, I степень компрессии (сосуд контактирует с нервом) выявили у 16 (47%), II степень (сосуд дислоцирует нерв) — у 6 (18%), а III степень (сосуд вызывает видимую атрофию нерва в зоне контакта) — у 12 (35%) пациентов (рис. 1).
Рис. 1. Магнитно-резонансная томография головного мозга в режиме FIESTA в аксиальной (а, б) и фронтальной (в) плоскостях у пациентов с невралгией тройничного нерва в зависимости от степени выраженности нейроваскулярного конфликта по шкале M. Sindou [12]: а — I степень; б — II степень; в — III степень. Стрелкой красного цвета указан сосуд, белого — корешок тройничного нерва. / Fig. 1. Magnetic resonance imaging of the brain in the FIESTA mode in the axial (а, б) and frontal (в) planes in patients with trigeminal neuralgia, depending on the severity of the neurovascular conflict on the M. Sindou scale [12]: а — I degree; б — II degree; в — III degree. The red arrow indicates the blood vessel, the white arrow indicates the root of the trigeminal nerve.
У 12 (35%) пациентов при сравнении площади поперечного сечения корешка тройничного нерва на здоровой и больной стороне выявлена атрофия нерва в месте нейроваскулярного конфликта. Другая нейрохирургическая патология исключена.
Ход операции. Операцию проводили в положении пациента на животе с поворотом головы в сторону операции на 15–20°. Применяли ретросигмовидный доступ. В 29 (85%) случаях выполнена костно-пластическая трепанация черепа, в остальных — резекционная. Размер трепанации варьировал от 3 до 5 см. Твердую мозговую оболочку вскрывали С-образно, вдоль границ синусов основанием к средней линии. Края твердой мозговой оболочки разводили на лигатурах с целью увеличения угла операционного действия. Затем с целью релаксации мозжечка с помощью микроскопа ZEISS OPMI PENTERO 900 (Германия) вскрывали большую затылочную оболочку. После аспирации ликвора полушария мозжечка отводили шпателем медиально и выполняли доступ в мостомозжечковый угол. После вскрытия мостомозжечковой цистерны обнаруживали нейроваскулярный конфликт и проводили диссекцию корешка тройничного нерва от сосудов и арахноидальных спаек (рис. 2).
Рис. 2. Пациент М. с невралгией тройничного нерва вследствие нейроваскулярного конфликта на фоне долихоэктазии базилярной артерии: а — дооперационные снимки во фронтальной плоскости: определяются сдавление и дислокация тройничного нерва (белая стрелка) базилярной артерией (красная стрелка); б — интраоперационные снимки трепанационного окна размером 3×4 см; в — интраоперационные снимки после диссекции базилярной артерии (красная стрелка) от корешка тройничного нерва (белая стрелка); г — интраоперационные снимки после установки тефлоновой прокладки (черная стрелка) между базилярной артерией (красная стрелка) и тройничным нервом (белая стрелка). / Fig. 2. Patient M. with trigeminal neuralgia due to the neurovascular conflict against the background of basilar artery dolichoectasia: а — preoperative images in the frontal plane, compression and dislocation of the trigeminal nerve (white arrow) by the basilar artery (red arrow) is determined; б — intraoperative images of the trepanation window measuring 3×4 cm; в — intraoperative images after dissections of the basilar artery (red arrow) from the root of the trigeminal nerve (white arrow); г — intraoperative images after installing a Teflon gasket (black arrow) between the basilar artery (red arrow) and the trigeminal nerve (white arrow).
С целью визуализации компримирующих сосудов и контроля радикальности васкулярной декомпрессии у 12 (35%) пациентов кроме микроскопа дополнительно использовали видеоэндоскопию компании Karl Storz (Германия) диаметром 4 мм (угол обзора 0° и 70°) и Minop Invent компании Aesculap (Германия) диаметром 2,7 мм (угол обзора 30°); рис. 3.
Рис. 3. Пациент А. с невралгией тройничного нерва на фоне нейроваскулярного конфликта, выявленного при помощи интраоперационной видеоэндоскопии: а, б — магнитно-резонансная томография головного мозга в режиме FIESTA в аксиальной (а) и фронтальной плоскости, на которых выявлен нейроваскулярный конфликт между верхней мозжечковой артерией (красная стрелка) и корешком тройничного нерва (белая стрелка); в — интраоперационные снимки с микроскопа, на которых нейроваскулярный конфликт не выявлен (белая стрелка); г — интраоперационные снимки с эндоскопа Minop Invent (угол обзора 30°), на которых выявлена верхняя мозжечковая артерия (красная и черная стрелки) в проекции выхода корешка тройничного нерва из моста (белая стрелка); д — после микроваскулярной декомпрессии визуализирована верхняя мозжечковая артерия (стрелка); е — установлена тефлоновая прокладка (стрелка) между нервом и артерией. / Fig. 3. Patient A. with trigeminal neuralgia against the background of the neurovascular conflict, which was detected by intraoperative video endoscopy: а, б — magnetic resonance imaging of the brain in the FIESTA mode in the axial (а) and frontal planes, which revealed the neurovascular conflict between the superior cerebellar artery (red arrow) and the root of the trigeminal nerve (white arrow); в — intraoperative images from a microscope, in which the neurovascular conflict was not detected (arrow); г — intraoperative images from the Minop Invent endoscope (viewing angle 30°), which revealed the superior cerebellar artery (red and black arrow) in the projection of the exit of the trigeminal nerve root from the pons (white arrow); д — after microvascular decompression, the superior cerebellar artery was visualized (arrow); е — a Teflon gasket (arrow) was installed between the nerve and the artery.
Необходимость видеоэндоскопии во время микроваскулярной декомпрессии мы оценивали по трем критериям: I — улучшение визуализации зоны выхода корешка тройничного нерва из моста; II — эндоскопическое обнаружение нейроваскулярного конфликта, который не был виден через микроскоп; III — контроль радикальности микроваскулярной декомпрессии. Таким образом, у 7 (58%) из 12 пациентов с аНТН применение видеоэндоскопии во время микроваскулярной декомпрессии позволило улучшить визуализацию зоны выхода корешка тройничного нерва из моста (I критерий), у 2 (17%) больных обнаружили нейроваскулярный конфликт (II критерий), а у 3 (25%) провели контроль радикальности микроваскулярной декомпрессии.
У 27 (80%) пациентов после обнаружения нейроваскулярного конфликта проведена диссекция сосудов от корешка тройничного нерва с последующей установкой тефлоновой прокладки между ними, а у 7 (20%) выполнена транспозиция компримирующего сосуда с последующей установкой тефлоновой прокладки. Причиной нейроваскулярного конфликта у 18 (53%) больных была артерия (у 16 пациентов — верхняя мозжечковая, у 1 — передняя нижняя мозжечковая, у 1 — базилярная артерия). У 14 (41%) пациентов отмечена сочетанная компрессия (артерия и вена). У 2 (6%) пациентов причиной нейроваскулярного конфликта были вены каменистой группы.
У 2 (6%) пациентов между чувствительной и двигательной порциями корешка проходила артерия, коагуляция которой была невозможна из-за высоких рисков ишемических осложнений. В этих случаях с целью декомпрессии корешка тройничного нерва выполнена частичная ризотомия чувствительной порции. У 1 (3%) больного между чувствительной и двигательной порциями корешка проходили верхняя мозжечковая артерия и вена: с целью устранения нейроваскулярного конфликта мы коагулировали и пересекли вену, а также пересекли чувствительную порцию корешка тройничного нерва (рис. 4). После ризотомии отмечалось развитие чувствительных нарушений, степень которых не приносила дискомфорта (BN I–II). Во время операции у 2 (6%) пациентов через корешок тройничного нерва проходила вена, которая была коагулирована и пересечена. У 30 (88%) пациентов интраоперационно отмечен выраженный спаечный процесс в зоне операции, который затруднял индентификацию нейроваскулярного конфликта.
Рис. 4. Интраоперационные снимки этапов микроваскулярной декомпресии у пациента А. с невралгией тройничного нерва: а — визуализирован нейроваскулярный конфликт, который обусловлен прохождением артерии и вены (черная стрелка) через чувствительную (зеленая стрелка) и двигательную (белая стрелка) порции корешка; б — после рассечения чувствительной порции корешка (зеленая стрелка) и коагуляции с пересечением вены выполнена полная декомпрессия корешка тройничного нерва (белая стрелка) с сохранением верхней мозжечковой артерии (красная стрелка); в — после установки тефлоновой прокладки (белая стрелка). / Fig. 4. Intraoperative images of the stages of microvascular decompression of in patient A. with trigeminal neuralgia: а — a visualized neurovascular conflict, which is caused by the passage of an artery and vein (black arrow) through the sensitive (green arrow) and motor (white arrow) portions of the root; б — after dissection of the sensitive portion of the root (green arrow) and coagulation with vein crossing, complete decompression of the trigeminal nerve root (white arrow) was performed with preservation of the superior cerebellar artery (red arrow); в — intraoperative images after installing a Teflon gasket (white arrow).
Методы регистрации исходов
Результат хирургического лечения оценивали через 3–5 лет после операции. Для оценки болевого синдрома применяли 10-балльную визуальную аналоговую шкалу (ВАШ), где 0 — нет боли, а 10 — нестерпимая боль; для оценки выраженности болевого синдрома — шкалу Неврологического института Барроу (Barrow Neurological Institute, BNI), где I — нет боли, а V — сильная неутихающая боль. Чувствительные нарушения отмечали по шкале выраженности онемения в лице BNI, где I — нет онемения, а V — выраженное онемение, очень беспокоящее пациента. Нейропатический характер боли оценивали по четырем вопросам шкалы DN4 (Douleur Neuropathique 4 questions).
Данные шкалы являются общепринятыми и в полном объеме отражают клинические исходы лечения. Исход заболевания оценивали по шкалам ВАШ, BNI и J. Miller (очень хороший, хороший и неудовлетворительный).
Этическая экспертиза
Лечение выполняли согласно клиническим рекомендациям хирургической коррекции синдромов сосудистой компрессии черепных нервов, утвержденным на Пленуме Правления Ассоциации нейрохирургов России (Казань, 2014). Все пациенты подписали добровольное информированное согласие на участие в клиническом исследовании.
Статистический анализ
Статистическую обработку производили с помощью программы Statistica 12.0 (StatSoft Russia).
РЕЗУЛЬТАТЫ
Объекты (участники) исследования
Прооперировано 34 пациента с аНТН, из них 11 мужчин и 23 женщины. Возраст пациентов от 34 до 76 (в среднем 53±14) лет. Средний период от начала болевого синдрома до оперативного лечения составил 9±7 (от 2 до 25) лет. Несмотря на проводимую в дооперационном периоде консервативную терапию (карбамазепин, габапентин, прегабалин), максимальная интенсивность боли при поступлении в стационар по ВАШ составляла 10 баллов, по шкале выраженности болевого синдрома BNI — V. Диагноз выставляли согласно рекомендациям IHS/IASP [1]. Провоцирующими факторами были такие действия, как прием пищи, разговор, глотание, умывание, курение, чистка зубов. У 18 (53%) пациентов выявили нейропатический компонент боли, который по шкале DN4 в среднем составил 6,1 балла.
Мы отметили, что у 15 (44%) больных через 5±3 лет от начала заболевания кНТН переходила в атипичную. У 25 (73%) больных локализация боли была в проекции второй и третьей ветви тройничного нерва, у 4 (12%) — только в проекции третьей ветви, а у 5 (15%) — в проекции второй ветви. У 10 (29%) больных развитию заболевания предшествовали стоматологические манипуляции (удаление, лечение зуба; установка имплантата).
Основные результаты исследования
Средний период наблюдения после операции составил 3,4±1,7 (от 3 до 5) лет.
У всех 34 (100%) больных после операции боли полностью купированы (BNI I).
Из 34 больных у 12 (35%) максимальный период наблюдения после операции составил 5 лет, а у 22 (65%) — 3 года. Суммарный пятилетний отличный и хороший исход заболевания по шкалам J. Miller и BNI (I–II) отмечен у 80% (n=27) больных аНТН (табл. 1).
Таблица 1. Эффективность микроваскулярной декомпрессии у пациентов с невралгией тройничного нерва по шкале выраженности болевого синдрома BNI, n (%) / Table 1. The effectiveness of microvascular decompression in patients with trigeminal neuralgia on the pain severity scale Barrow Neurological Institute, n (%)
Градация по шкале BNI | Длительность наблюдения после операции | ||
1 год | 3 года | 5 лет | |
I | 34 (100) | 17 (77) | 7 (58) |
II | - | 2 (9) | 1 (8) |
III | - | 2 (9) | 2 (17) |
IV | - | 1 (5) | 2 (17) |
V | - | - | - |
Через год после операции у 32 (94%) пациентов боли не было (BNI I), а у 2 (6%) через 10 и 11 мес после операции появились периодические боли в лице, которые не требовали приема препаратов (BN I–II).
Через 3 года отличный исход лечения (BNI I) зафиксирован у 17 (77%) из 22 пациентов, у 2 (9%) — хороший (BNI II), у 2 (9%) — удовлетворительный (BNI III — боль, контролируемая лекарствами); у 1 (5%) пациента через 2 года после операции вновь появились неконтролируемые лекарствами боли (BNI IV).
Через 5 лет после операции отличный результат лечения (BNI I) отмечен у 7 (58%) пациентов, у 1 (8%) — BNI II, у 2 (17%) — BNI III, у 2 (17%) больных через 2 года и 3 года 8 мес соответственно вновь появились боли в лице (BNI IV).
В качестве второго этапа терапии у 3 пациентов с возобновлением болевого синдрома выполнено радиохирургическое лечение. Принимать лекарства в дозе ниже, чем до операции, стали 4 пациента с результатом лечения DNI III.
Риск рецидива боли в первые 3 года после микроваскулярной декомпрессии составил 14% (n=3), а через 5 лет — 34% (n=4).
Легкое онемение в лице, не приносящее дискомфорта и беспокойства (II балла по шкале BNI), отмечено у 6 (17%) пациентов сразу после операции.
Консервативная терапия, направленная на купирование НТН, была полностью отменена с первых суток после операции.
ОБСУЖДЕНИЕ
Основной причиной развития НТН является демиелинизация аксонов нервного корешка вследствие длительного нейроваскулярного конфликта [13–15]. Демиелинизация сопровождается гипервозбудимостью аксонов и эктопическим возбуждением корешка тройничного нерва [14]. В недавних исследованиях выявлена роль мутации генов Nav1,6 и Nav1,8, которая приводит к демиелинизации и повышает гипервозбудимость аксонов корешка тройничного нерва [16, 17]. Определена также роль каналов транзиторного рецепторного потенциала (ТRP) — потенциалзависимых каналов в развитии НТН, активация которых сопровождается нарушением проведения нервного импульса по тройничному нерву, что ускоряет процессы демиелинизации [17].
Длительная компрессия корешка тройничного нерва сопровождается грубыми структурными изменениями с развитием гипервозбудимости тройничного нерва, длительным раздражением понтобульбоспинального тракта и ретикулярной формации, что в конечном итоге приводит к вовлечению структур среднего мозга, таламических ядер, лимбической системы и коры головного мозга к формированию патологической алгогенной системы [18, 19]. Однако, по мнению G. Antonini и соавт. [20], у 17% пациентов имеется нейроваскулярный конфликт без клинических проявлений, а анатомические изменения, такие как атрофия, смещение и странгуляционная борозда, определяются только у 52% пациентов с НТН. H.C. Moon и соавт. [21] исследовали структурные изменения в корешке тройничного нерва и ядрах моста у пациентов с при помощи МРТ на аппарате мощностью 7 Тесла. Исследователи отметили снижение фракционной и количественной анизотропии в цистернальной части корешка тройничного нерва на стороне нейроваскулярного конфликта без изменений в ядрах тройничного нерва при диффузионно-тензорной визуализации.
Согласно рекомендациям IHS/IASP [1], диагноз аНТН (классическая невралгия с постоянной болью в лице) выставляется при наличии следующих критериев:
1) рецидивирующие пароксизмы односторонней лицевой боли в одном или нескольких дерматомах тройничного нерва без распространения за их пределы, отвечающие следующим критериям:
а) боль имеет все следующие характеристики:
- продолжительность боли от доли секунды до двух минут;
- высокая интенсивность боли;
- боль внезапная, острая, стреляющая, колющая по типу «электрического разряда»;
б) развитие боли возникает на фоне триггерных факторов (умывание, бритье, курение, разговор, чистка зубов) и различного воздействия на триггерные зоны;
в) боли не связаны с другими заболеваниями (опухоли, артериовенозные мальформации, аневризмы, рассеянный склероз);
г) при МРТ или во время операции обнаруживается наличие нейроваскулярного конфликта с морфологическими изменениями в корешке тройничного нерва (атрофия или смещение);
2) сопутствующая постоянная или почти непрерывная боль между приступами пораженного тройничного нерва.
Таким образом, отличительной особенностью кНТН от атипичной является наличие боли в межприступном периоде.
По данным ряда исследователей, риск развития аНТН пропорционален длительности нейроваскулярного конфликта, что сопровождается грубыми структурными изменениями в корешке тройничного нерва [2, 4]. В нашем исследовании мы также отметили влияние длительности нейроваскулярного конфликта на развитие аНТН. Так, у 15 (44%) больных через 5±3 года от начала заболевания произошла трансформация кНТН в атипичную.
Отсутствие единого мнения о необходимости проведения микроваскулярной декомпрессии у пациентов с аНТН обусловлено несколькими причинами: во-первых, у 10–20% больных методы нейровизуализации не выявляют нейроваскулярного конфликта, и наоборот, у 17–73% бессимптомных обследуемых имеется конфликт между корешком нерва и сосудом головного мозга [20]; во-вторых, для пациентов с аНТН характерны меньшая, в сравнении с больными кНТН, эффективность микроваскулярной декомпрессии и высокий процент рецидива заболевания [3, 9, 10, 22].
По данным Д.А. Рзаева и соавт. [4], сразу после микроваскулярной декомпрессии боль полностью была купирована только у 70,6% (n=24) пациентов. В среднем через 9,2 мес после операции болевой синдром рецидивировал у 34% (n=12) больных, при этом у 6 из 12 пациентов отмечали боли сразу после операции. Основной причиной неудовлетворительных результатов исследователи считают наличие выраженных признаков нейропатической боли, которая была у 11 из 12 больных. Однако, несмотря на сохранение симптомов заболевания у части пациентов, авторы сообщают об их удовлетворенности. По мнению больных, интенсивность боли снизилась на 34% и стала контролироваться препаратами.
Согласно A. Wu и соавт. [22], представившими результаты микроваскулярной декомпрессии у 73 пациентов с аНТН и 386 с кНТН, купирование боли отмечено в 93% случаев при кНТН и в 91,8% при аНТН. Период наблюдения после операции составил 20 мес. Рецидив боли возник у 60,3% (n=44) пациентов с аНТН и у 19,9% с кНТН.
J. Hai и соавт. [11] при анализе лечения 24 пациентов с аНТН выявили, что в 46,2% случаев причиной нейроваскулярного конфликта явилась компрессия корешка тройничного нерва несколькими сосудами. При полной декомпрессии корешка боли полностью были купированы только у 50% пациентов, уменьшение болевого синдрома авторы отметили в 30,8% случаев, а рецидив боли возник у 19,2% пациентов.
G. Antonini и соавт. [20] сравнили результаты лечения НТН после микроваскулярной декомпрессии (n=2650) и радиохирургического лечения с помощью Гамма-ножа (n=2846). Авторы определили, что микроваскулярная декомпрессия является наиболее эффективным методом лечения НТН в сравнении с радиохирургическим. Полное купирование боли (BNI I) сразу после микроваскулярной декомпрессии произошло в 92,2% случаев, после радиохирургического лечения — в 61,5%. Рецидив болевого синдрома в позднем послеоперационном периоде после микроваскулярной декомпрессии был у 15%, а после радиохирургического лечения — у 19,4%.
В нашем исследовании отличный и хороший исходы заболевания по шкалам J. Miller и BNI I–II достигнут в 100% случаев (n=34) через год после операции. Через 3 года отличный и хороший исходы был у 19 (86%) из 22 пациентов, 2 (9%) больных начали принимать лекарственную терапию, на фоне которой отметили полное купирование болевого синдрома. У 1 (5%) пациента через 2 года после операции вновь появились неконтролируемые лекарствами боли (BNI IV). Через 5 лет после операции отличные и хороший результаты лечения были у 8 (66%) из 12 пациентов. У 2 (17%) боли купировались приемом препаратов (BNI III), еще у 2 (17%) через 2 года и 3 года 8 мес соответственно вновь появились фармакорезистентные боли в лице. Риск рецидива боли в первые три года после микроваскулярной декомпрессии составил 14% (n=3), а через 5 лет — 34% (n=4). У 18 (53%) пациентов выявили нейропатический компонент боли, который по шкале DN4 в среднем составил 6,1 балла.
У 88% больных во время операции мы выявили выраженный спаечный процесс, в условиях которого верификация нейроваскулярного конфликта и проведение микроваскулярной декомпрессии были затруднительны и сопровождались крайне высоким риском повреждения структур мостомозжечковой цистерны. В данной ситуации ряд авторов предлагают использовать видеоэндоскопию. Так, по сообщению M. Broggi и соавт. [23], применение видеоэндоскопии во время микроваскулярной декомпрессии позволило в 9% (n=12) случаев обнаружить нейроваскулярный конфликт, который не виден при микроскопическом осмотре, и в 3% случаев выявить неполную декомпрессию корешка тройничного нерва.
S. Luzzi и соавт. [24] опубликовали результаты микроваскулярной декомпрессии с видеоэндоскопией у 43 пациентов. Авторы дали оценку, по которой определяли полезность видеоэндоскопии в соответствии с системой классификации трех типов: тип I — улучшение визуализации зоны входа/выхода корешка нерва; тип II — эндоскопическое обнаружение одного или нескольких конфликтов, затрагивающих вентральную поверхность нерва и пропущенных под микроскопом; тип III — проведение декомпрессии с помощью эндоскопа. По мнению исследователей, наиболее полезной видеоэндоскопия была при II и III типах у 21 и 14% пациентов соответственно. В нашем исследовании у 12 (35%) пациентов во время микроваскулярной декомпрессии была использована видеоэндоскопия: в 7 (58%) случаях она позволила улучшить визуализацию зоны выхода корешка тройничного нерва из моста, в 2 (17%) — обнаружить нейроваскулярный конфликт (II критерий), еще в 3 (25%) — провести контроль радикальности микроваскулярной декомпрессии.
По нашему мнению, сложность применения эндоскопа во время операции заключается в узком анатомическом коридоре, который образован веной Денди, полушарием мозжечка, пирамидой височной кости и тройничным нервом. Данный треугольник можно разделить на два отдела — супра- и инфратрегиминальный, в которые проводится эндоскоп с целью контроля радикальности микроваскулярной декомпрессии для вентральной поверхности тройничного нерва. Однако данная опция необходима была у 5 (42%) из 12 пациентов, которым проводили видеоэндоскопию.
M.K. Kim и соавт. [25] выделили четыре вида хирургической декомпрессии корешка тройничного нерва: 1 — вставка тефлоновых прокладок; 2 — транспозиция компримирующих сосудов и установка тефлоновых прокладок; 3 — транспозиция компримирующих сосудов и их фиксация с помощью тефлона и фибринового клея; 4 — коагуляция и рассечение компримирующих вен. В нашем исследовании у 27 (80%) пациентов после обнаружения нейроваскулярного конфликта проведена диссекция сосудов от корешка тройничного нерва с последующей установкой тефлоновой прокладки между ними, в 7 (20%) случаях выполнена транспозиция компримирующего сосуда с последующей установкой тефлоновой прокладки. У 2 (9%) пациентов выполнена частичная ризотомия чувствительной порции корешка тройничного нерва, еще у 2 (6%) была коагулирована и пересечена вена, участвующая в нейроваскулярном конфликте.
По данным E. Pressman и соавт. [26], частота осложнений после микроваскулярной декомпрессии может достигать 12%. В нашем наблюдении у 1 (0,03%) пациента в первые сутки после операции развились отек и ишемия мозжечка, что потребовало экстренного хирургического лечения в объеме резекции нежизнеспособных тканей и установки наружного вентрикулярного дренажа сроком на 96 ч. На 11-е сутки пациент выписан в удовлетворительном состоянии. Болей в лице и парезов в конечностях не было. Развитие ишемии мы связываем с чрезмерной тракцией мозжечка ретракторами при визуализации нейроваскулярного конфликта вследствие малых размеров задней черепной ямки, мостомозжечковой цистерны и ригидности мозжечка. У 6 (17%) пациентов в послеоперационном периоде появилось также легкое онемение в лице, не приносящее дискомфорта и беспокойства (II балла по шкале BNI).
ЗАКЛЮЧЕНИЕ
Микроваскулярная декомпрессия является эффективным методом лечения не только классической, но и атипичной НТН. Отличный и хороший исходы заболевания по шкалам J. Miller и BNI (I–II) достигнуты у 100% больных (n=34) в течение года после операции, а суммарный пятилетний — у 80% (n=27). Риск рецидива боли в первые три года после микроваскулярной декомпрессии достиг 14% (n=3), а через 5 лет — 34% (n=4).
Необходимо применение видеоэндоскопической ассистенции, которая позволяет визуализировать зону выхода корешка тройничного нерва из моста, обнаружить нейроваскулярный конфликт и провести контроль радикальности микроваскулярной декомпрессии.
Несмотря на сложность операции, микроваскулярная декомпрессия является безопасным методом лечения. Риск развития осложнений не превышает 0,3%.
ИНФОРМИРОВАННОЕ СОГЛАСИЕ
Все пациенты перед операцией подписали информированное согласие на публикацию персональной медицинской информации в обезличенной форме в журнале «Клиническая практика».
INFORMED CONSENT
The patient voluntarily signed informed consent to the publication of personal medical information in depersonalized form in the journal “Journal of Clinical Practice”.
ДОПОЛНИТЕЛЬНАЯ ИНФОРМАЦИЯ
Вклад авторов. А.Г. Винокуров, А.А. Калинкин, А.А. Бочаров — проведение оперативного лечения, сбор и статистический анализ данных, написание рукописи, концепция и дизайн исследования, редактирование рукописи; С.М. Чупаленков — проведение оперативного лечения, сбор и статистический анализ данных, написание рукописи; В.Н. Лесняк, Г.М. Юсубалиева, Е.С. Казьмина, О.Н. Калинкина — сбор и обработка материала, написание рукописи, В.В. Белоусов — редактирование рукописи. Авторы подтверждают соответствие своего авторства международным критериям ICMJE (все авторы внесли существенный вклад в разработку концепции, проведение исследования и подготовку статьи, прочли и одобрили финальную версию перед публикацией).
Author contribution. A.G. Vinokurov, A.A. Kalinkin, A.A. Bocharov — surgical treatment, data collection and statistical analysis, manuscript writing, research concept and design, manuscript editing; S.M. Chupalenkov — surgical treatment, data collection and statistical analysis, manuscript writing; V.N. Lesnyak, G.M. Yusubalieva, E.S. Kazmina, O.N. Kalinkina — collecting and processing material, writing a manuscript, V.V. Belousov — manuscript editing. The authors made a substantial contribution to the conception of the work, acquisition, analysis, interpretation of data for the work, drafting and revising the work, final approval of the version to be published and agree to be accountable for all aspects of the work.
Источник финансирования. Работа выполнена в рамках государственного задания ФМБА России (НИР «Персонализированная платформа для постоперационной иммунотерапии глиобластом», шифр «TILs-Глиобластома»).
Funding source. The work was carried out as part of the state assignment of the FMBA of Russia (NIR “Personalized platform for postoperative immunotherapy globor”, the cipher “Tils-Glioblastoma”).
Конфликт интересов. Авторы декларируют отсутствие явных и потенциальных конфликтов интересов, связанных с публикацией настоящей статьи.
Competing interests. The authors declare that they have no competing interests.
About the authors
Aleksey G. Vinokurov
Federal Scientific and Clinical Center for Specialized Medical Assistance and Medical Technologies of the Federal Medical Biological Agency
Email: avinok@yandex.ru
MD, PhD
Russian Federation, 28, Orekhovy boulevard, Moscow, 115682Aleksandr A. Kalinkin
Federal Scientific and Clinical Center for Specialized Medical Assistance and Medical Technologies of the Federal Medical Biological Agency
Author for correspondence.
Email: aleksandr_kalinkin27@mail.ru
ORCID iD: 0000-0002-1605-9088
MD, PhD
Russian Federation, 28, Orekhovy boulevard, Moscow, 115682Andrey А. Bocharov
Federal Scientific and Clinical Center for Specialized Medical Assistance and Medical Technologies of the Federal Medical Biological Agency
Email: nsi7@mail.ru
ORCID iD: 0000-0001-8970-3762
MD, PhD
Russian Federation, 28, Orekhovy boulevard, Moscow, 115682Sergey M. Chupalenkov
Federal Scientific and Clinical Center for Specialized Medical Assistance and Medical Technologies of the Federal Medical Biological Agency
Email: chupalenkovsm@gmail.com
ORCID iD: 0000-0001-5994-3124
Russian Federation, 28, Orekhovy boulevard, Moscow, 115682
Viktor N. Lesnyak
Federal Scientific and Clinical Center for Specialized Medical Assistance and Medical Technologies of the Federal Medical Biological Agency
Email: Iesnyak_kb83@mail.ru
ORCID iD: 0000-0002-2739-0649
SPIN-code: 5483-3113
MD, PhD
Russian Federation, 28, Orekhovy boulevard, Moscow, 115682Gaukhar M. Yusubalieva
Federal Scientific and Clinical Center for Specialized Medical Assistance and Medical Technologies of the Federal Medical Biological Agency; Engelhardt Institute of Molecular Biology of the Russian Academy of Sciences
Email: gaukhar@gaukhar.org
ORCID iD: 0000-0003-3056-4889
SPIN-code: 1559-5866
MD, PhD
Russian Federation, 28, Orekhovy boulevard, Moscow, 115682; MoscowEvgeniya S. Kazmina
Federal Scientific and Clinical Center for Specialized Medical Assistance and Medical Technologies of the Federal Medical Biological Agency
Email: Evg.k@bk.ru
ORCID iD: 0000-0002-3715-5140
Russian Federation, 28, Orekhovy boulevard, Moscow, 115682
Olga N. Kalinkina
Moscow State University of Medicine and Dentistry named after A.I. Evdokimov
Email: sunny1917@mail.ru
ORCID iD: 0000-0001-5538-904X
MD
Russian Federation, MoscowVsevolod V. Belousov
Federal center of brain research and neurotechnologies
Email: belousov@fccps.ru
ORCID iD: 0000-0001-6637-8098
SPIN-code: 6517-8373
Corresponding Member of the RAS, Doctor of Biological Sciences
Russian Federation, MoscowReferences
- Headache Classification Committee of the International Headache Society (IHS). The International Classification of Headache Disorders, 3rd edition. Cephalalgia. 2018;38(1):1–211. doi: 10.1177/0333102417738202
- Maarbjerg S, Gozalov A, Olesen J, Bendtsen L. Concomitant persistent pain in classical trigeminal neuralgia--evidence for different subtypes. Headache. 2014;54(7):1173–1183. doi: 10.1111/head.12384
- Di Stefano G, Maarbjerg S, Nurmikko T, et al. Triggering trigeminal neuralgia. Cephalalgia. 2018;38(6):1049–1056. doi: 10.1177/0333102417721677
- Рзаев Д.А., Шулев Ю.А., Мойсак Г.И., и др. Атипичная тригеминальная невралгия: поможет ли микроваскулярная декомпрессии? // Российский нейрохирургический журнал им. А.Л. Поленова. 2016. Т. 8, № 3. С. 53–61. [Rzaev DA, Shulev YA, Moisak GI, et al. Atypical trigeminal neuralgia: Will microvascular decompression help? Russ Neurosurgical J named after A.L. Polenov. 2016;8(3):53–61. (In Russ).]
- Винокуров А.Г., Калинкин А.А., Бочаров А.А., Калинкина О.Н. Пятилетний результат микроваскулярной декомпрессии с применением видеоэндоскопии при лечении пациентов с классической невралгией тройничного нерва с пароксизмальной болью в лице // Клиническая практика. 2020. Т. 11, № 4. C. 5–13. [Vinokurov AG, Kalinkin AA, Bocharov AA, Kalinkina ON. Five-year result of microvascular decompression using video endoscopy in the treatment of patients with classical trigeminal neuralgia with paroxysmal facial pain. Journal of Clinical Practice. 2020;11(4):5–13. (In Russ).] doi: 10.17816/clinpract50130
- Obermann M, Yoon MS, Ese D, et al. Impaired trigeminal nociceptive processing in patients with trigeminal neuralgia. Neurology. 2007;69(9):835–841. doi: 10.1212/01.wnl.0000269670.30045.6b
- Di Stefano G, De Stefano G, Leone C, et al. Concomitant continuous pain in patients with trigeminal neuralgia is associated with trigeminal nerve root atrophy. Cephalalgia. 2020;40(13): 1502–1510. doi: 10.1177/0333102420949206
- Tyler-Kabara Е, Kassam A, Horowitz M, et al. Predictors of outcome in surgically managed patients with typical and atypical trigeminal neuralgia: comparison of results following microvascular decompression. J Neurosurg. 2002;96(3):527–531. doi: 10.3171/jns.2002.96.3.0527
- Mendelson ZS, Velagala JR, Kohli G, et al. Pain-Free outcomes and durability of surgical intervention for trigeminal neuralgia: a comparison of gamma knife and microvascular decompression. World Neurosurg. 2018;112:e732-e746. doi: 10.1016/j.wneu.2018.01.141
- Cruccu G, Gronseth G, Alksne J, et al. AAN-EFNS guidelines on trigeminal neuralgia management. Eur J Neurol. 2008; 15(10):1013–1028. doi: 10.1111/j.1468-1331.2008.02185.x
- Hai J, Li ST, Pan QG. Treatment of atypical trigeminal neuralgia with microvascular decompression. Neurol India. 2006;54(1): 53–56; discus. 57. doi: 10.4103/0028-3886.24706
- Sindou M, Howeidy T, Acevedo G. Anatomical observations during microvascular decompression for idiopathic trigeminal neuralgia. Prospective study in a series of 579 patients. Acta Neurochir (Wien). 2002;144(1):1–13; discus. 12-3. doi: 10.1007/s701-002-8269-4
- Балязина Е.В., Исаханова Т.А, Балязин В.А., и др. Физический механизм формирования двух типов нейроваскулярного конфликта у больных классической невралгией тройничного нерва // Неврологический журнал. 2017. Т. 22, № 4. C. 190–197. [Balyazina EV, Isakhanova TA, Balyazin VA, et al. Physical mechanism of formation of two types of neurovascular conflict in patients with classical trigeminal neuralgia. Neurological J. 2017;22(4):190–197. (In Russ).] doi: 10.18821/1560-9545-2017-22-4-190-197
- Мартынова О.А. Патофизиологические механизмы развития тригеминальной невралгии как проявление нейроваскулярной компрессии. Современные подходы к лечению // Вестник Совета молодых учёных и специалистов Челябинской области. 2017. Т. 4, № 19. C. 82–85. [Martynova OA. Pathophysiological mechanisms of the development of trigeminal neuralgia as manifestations of neurovascular compression. Modern approaches to treatment. Bulletin Council Young Scientists Specialists Chelyabinsk Region. 2017;4(19):82–85. (In Russ).]
- Cruccu G. Trigeminal neuralgia. Continuum. 2017;23(2): 396–420. doi: 10.1212/CON.0000000000000451
- Tanaka BS, Zhao P, Dib-Hajj FB, et al. A gain-offunction mutation in Nav1.6 in a case of trigeminal neuralgia. Mol Med. 2016;22:338–348. doi: 10.2119/molmed.2016.00131
- Di Stefano G, Yuan JH, Cruccu G, et al. Familial trigeminal neuralgia--a systematic clinical study with a genomic screen of the neuronal electrogenisome. Cephalalgia. 2020;40(8):767–777. doi: 10.1177/0333102419897623
- Love S, Coakham HB. Trigeminal neuralgia: pathology and pathogenesis. Brain. 2001;124(Pt 12):2347–2360. doi: 10.1093/brain/124.12.2347
- Dworkin R, Backonja M, Rowbotham MC, et al. Advances in neuropathic pain: diagnosis, mechanisms, and treatment recommendations. Arch Neurol. 2003;60(11):1524–1534. doi: 10.1001/archneur.60.11.1524
- Antonini G, Di Pasquale A, Cruccu G, et al. Magnetic resonance imaging contribution for diagnosing symptomatic neurovascular contact in classical trigeminal neuralgia: A blinded casecontrol study and meta-analysis. Pain. 2014;155(8):1464–1471. doi: 10.1016/j.pain.2014.04.020
- Moon HC, Park CA, Jeon YJ, et al. Magn Reson Imaging. 2018;51:144–150. doi: 10.1016/j.mri.2018.05.005
- Wu A, Doshi T, Hung A, et al. Immediate and long-term outcomes of microvascular decompression for mixed trigeminal neuralgia. World Neurosurg. 2018;117:e300–e307. doi: 10.1016/j.wneu.2018.06.016
- Broggi M, Acerbi F, Ferroli P, et al. Microvascular decompression for neurovascular conflicts in the cerebello-pontine angle: Which role for endoscopy? Acta Neurochir. 2013;155:1709–1716. doi: 10.1007/s00701-013-1824-8
- Luzzi S, Del Maestro M, Trovarelli D, et al. endoscope-assisted microneurosurgery for neurovascular compression syndromes: Basic principles, methodology, and technical notes. Asian J Neurosurg. 2019;14(1):193–200. doi: 10.4103/ajns.AJNS_279_17
- Kim MK, Park JS, Ahn YH. Microvascular decompression for glossopharyngeal neuralgia: Clinical analyses of 30 cases. J Korean Neurosurg Soc. 2017;60(6):738–748. doi: 10.3340/jkns.2017.0506.010
- Pressman E, Jha RT, Zavadskiy G, et al. Teflo or Ivalon: A scoping review of implants used in microvascular decompression for trigeminal neuralgia. Neurosurg Rev. 2020;43(1):79–86. doi: 10.1007/s10143-019-01187-0
Supplementary files







