The role of magnetic resonance imaging in the early diagnosis of chronic lymphocytic inflammation (CLIPPERS syndrome)
- Authors: Fomina L.E.1, Kieva I.N.2, Anikin A.V.1, Nudnov N.V.3, Abdullaeva L.M.1
-
Affiliations:
- National Medical Research Center for Children's Health
- G.N. Speransky Children's City Clinical Hospital № 9
- Russian Scientific Center of Roentgenoradiology
- Issue: Vol 13, No 4 (2022)
- Pages: 109-119
- Section: Case reports
- Submitted: 23.11.2022
- Accepted: 14.12.2022
- Published: 24.01.2023
- URL: https://clinpractice.ru/clinpractice/article/view/114814
- DOI: https://doi.org/10.17816/clinpract114814
- ID: 114814
Cite item
Full Text
Abstract
Background: Chronic lymphocytic inflammation with perivascular contrast enhancement in the pons responsive to steroids (CLIPPERS) is a rare and relatively new pathology and magnetic resonance imaging (MRI) is highly important in its diagnosis.
Clinical case description: The analysis of the MRI results revealed typical changes characteristic of CLIPPERS, such as contrast-positive small-point and curvilinear lesions of the pons, medulla oblongata and midbrain, as well as of the cerebral peduncles and cerebellum. In addition to the changes we described, according to the literature, lesions of the white matter of the large hemispheres and thalami may also be observed in the syndrome of chronic lymphocytic inflammation.
Conclusion: MRI not only enables one to achieve high-quality neuroimaging of CLIPPERS, but also allows avoiding invasive, traumatic diagnostic methods.
Full Text
ОБОСНОВАНИЕ
Хроническое лимфоцитарное воспаление с периваскулярным контрастным усилением в мосту, реагирующее на стероиды (Chronic Lymphocytic Inflammation with Pontine Perivascular Enhancement Responsive to Steroids, CLIPPERS), является редкой и довольно новой патологией неизвестной этиологии, поражающей центральную нервную систему (преимущественно ствол мозга), имеет типичную магнитно-резонансную картину и отвечает на специфическую терапию [1, 2]. Впервые данный синдром был описан в 2010 г. американским исследователем S.J. Pittock с соавт. [1].
С помощью магнитно-резонансной томографии (МРТ) с контрастным усилением возможны качественная нейровизуализация и диагностика мелкоточечного и криволинейного поражения моста, продолговатого и среднего мозга, а также ножек мозга и мозжечка. Кроме того, может наблюдаться поражение белого вещества больших полушарий и таламусов.
Данный клинический синдром отвечает на иммуносупрессивную терапию на основе глюкокортикостероидов, что проявляется улучшением клинической и рентгенологической картины. Лекарственную терапию при CLIPPERS-синдроме требуется проводить в течение длительного времени.
В наше время перед клиницистами стоит важная задача — исключить альтернативные диагнозы, имеющие схожие клинические признаки. На данный момент времени для CLIPPERS-синдрома не установлено специфического биомаркера сыворотки крови или спинномозговой жидкости, а также не уточнена патофизиология. Поэтому МР-томография имеет решающее значение для установки диагноза и раннего назначения глюкокортикостероидов, что может принести значительную пользу пациентам.
CLIPPERS-синдром отмечается в основном у лиц среднего возраста, но встречаются упоминания данного синдрома и у детей [1, 3]. Мужчины предрасположены к нему несколько больше, чем женщины [4].
Патогенез CLIPPERS-синдрома до конца не изучен [4], но предположить аутоиммунный или другой иммуноопосредованный воспалительный генез [1] помогают следующие аспекты:
1) Т-клеточная периваскулярная инфильтрация в пораженных участках центральной нервной системы с соотношением Т-клеток CD4/CD8 как 2/1;
2) неспецифический характер изменений спинномозговой жидкости;
3) типичное МР-контрастное усиление;
4) выраженный ответ на иммуносупрессивную терапию на основе глюкокортикостероидов.
Для CLIPPERS-синдрома характерно подострое начало. Кроме основных клинических проявлений, таких как дизартрия и атаксия [4], в литературе описаны пациенты с повторяющимися эпизодами диплопии [3], когнитивными нарушениями [5], тошнотой и рвотой [6], а также чувствительными нарушениями на лице [7]. При этом лихорадка, менингеальные симптомы, манифестация заболевания в виде поражения других органов (артриты, увеиты, лимфаденопатия) для CLIPPERS-синдрома нетипичны [4].
Специфическая нейровизуализационная картина характеризуется следующими особенностями:
- множественные точечные и криволинейные очаги гомогенного контрастного усиления с некольцевидным паттерном накопления контрастного вещества без признаков масс-эффекта;
- размеры большинства очагов менее 3 мм;
- локализация в мосту, средних ножках мозжечка с возможным распространением на белое вещество мозжечка, средний мозг;
- очаги имеют гиперинтенсивный МР-сигнал на Т2-взвешенных изображениях, при этом их размеры не превосходят или незначительно превосходят размеры при контрастном усилении;
- очаги могут быть обнаружены в среднем мозге, базальных ганглиях, таламусе, продолговатом и спинном мозге;
- по данным позитронно-эмиссионной компьютерной томографии (ПЭТ-КТ) изменения не визуализируются или отмечается минимальное усиление метаболизма в контрастпозитивных очагах, однако это усиление значительно меньше по сравнению с таковым при лимфомах [1, 2, 8].
Принципиальным фактором для постановки диагноза является полный или значительный регресс очагов головного мозга по данным МРТ и быстрый регресс клинических проявлений в ответ на терапию кортикостероидами [1].
При противоречивых МР-данных, атипичной клинической картине или резистентности к терапии кортикостероидами рекомендовано проводить биопсию пораженной ткани мозга [4].
По данным патоморфологии обнаруживаются периваскулярная лимфоцитарная инфильтрация (преимущественно Т-лимфоцитами, CD4>CD8) с возможным вовлечением белого и серого вещества, а также отсутствие специфических изменений, характерных для другой патологии [2, 8].
Специфических лабораторных изменений при данном синдроме не выявлено [9].
Актуальность нашего исследования обусловлена тем, что хроническое лимфоцитарное воспаление встречается крайне редко. На сегодняшний день не существует исчерпывающего описания симптомов, которое позволило бы клиницистам точно и своевременно диагностировать заболевание у пациентов. При этом CLIPPERS-синдром успешно поддается лечению, и раннее выявление значительно увеличивает шансы пациентов на выздоровление.
Цель данной работы заключается в демонстрации возможностей МРТ для раннего диагностирования этой редкой патологии на примере клинического случая.
КЛИНИЧЕСКИЙ ПРИМЕР
О пациенте
Мальчик, 11 лет, впервые обратился к врачу в 2018 г. с жалобами на сильные головные боли. По результатам обследования был выставлен предварительный диагноз «Мигрень».
Из анамнеза. Перенесенные заболевания: ветряная оспа, инфекционный мононуклеоз. Хронические заболевания: сахарный диабет 1-го типа в течение 6 лет, компенсированный, получает инсулинотерапию. В марте 2020 г. ребенок перенес спонтанный эпизод генерализованных судорог с многократной рвотой. По данным электроэнцефалографии эпилептической активности не выявлено. У ребенка на протяжении двух лет сохраняются головные боли.
Инструментальная и лабораторная диагностика, лечение
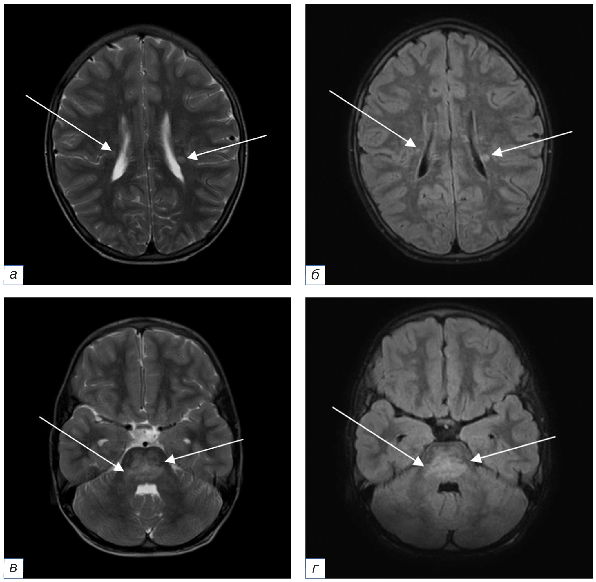
12.03.2020. При первичной МРТ (рис. 1) визуализированы множественные контрастпозитивные очаги, не ограничивающие диффузию, располагающиеся преимущественно субтенториально в мосту и распространяющиеся на мозжечковые ножки и белое вещество мозжечка. Выявляются единичные супратенториальные очаги, расположенные в базальных ганглиях. В качестве лечения проведен кратковременный курс пульс-терапии.
Рис. 1. Первичное МРТ головного мозга в аксиальной плоскости от 12.03.2020 без внутривенного контрастного усиления (a, в — режим Т2-ВИ; б, г — режим FLAIR): определяются множественные билатеральные точечные и криволинейные мелкие очаги измененного МР-сигнала, в том числе сливного характера, расположенные в мосту, мозжечковых ножках и белом веществе гемисфер мозга и мозжечка (стрелки). / Fig. 1. Primary MRI of the brain in the axial plane of March 12, 2020 without intravenous contrast enhancement (a, в — T2-weighted image; б, г — FLAIR): there are multiple bilateral punctate and curvilinear small foci of the altered MR signal, including confluent foci, located in the pons, cerebellar peduncles and the white matter of the brain hemispheres and cerebellum (arrows).
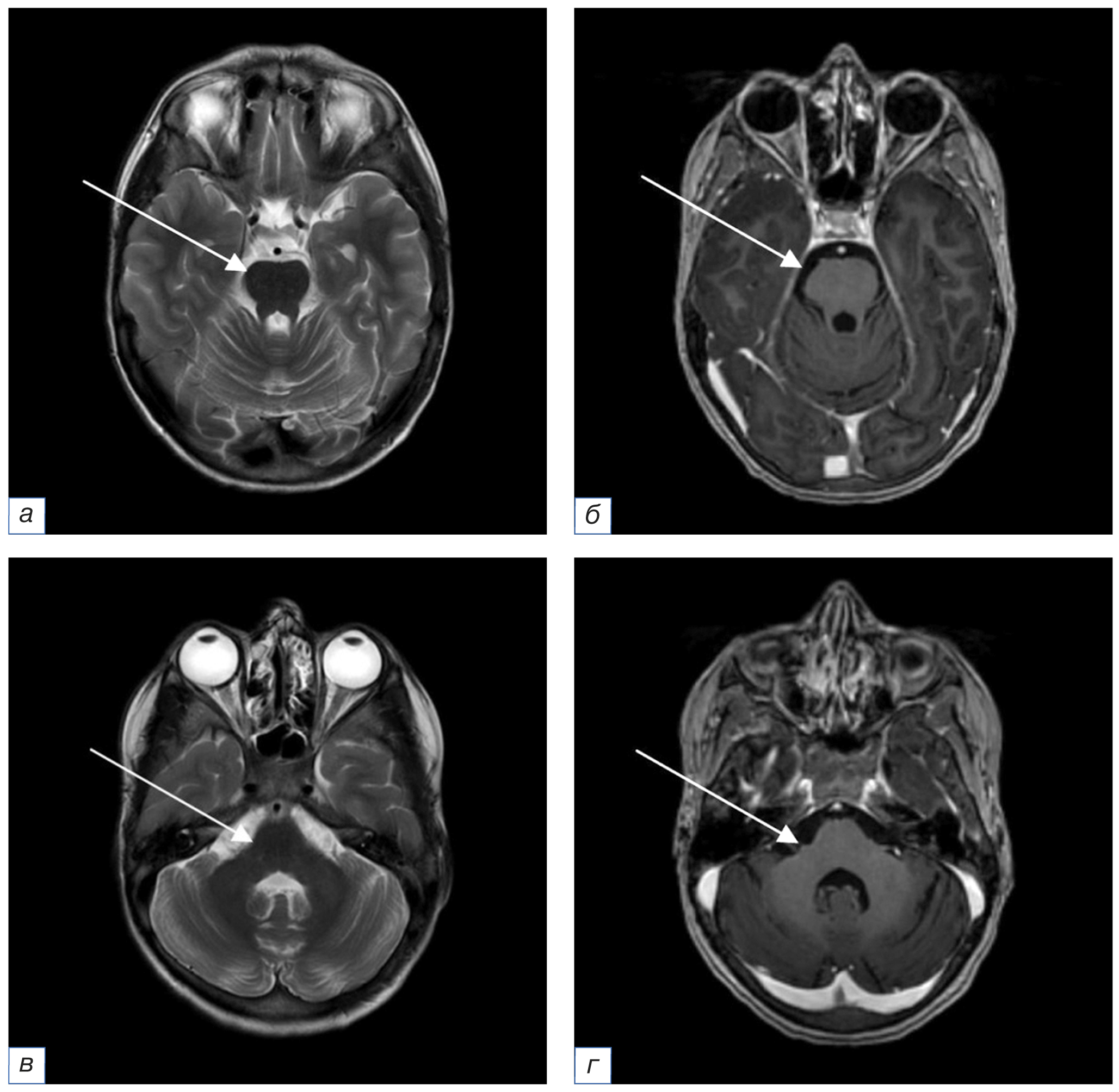
16.08.2021. При проведении повторной МРТ с внутривенным контрастным усилением (рис. 2) сохранялись ранее выявленные очаги прежних размеров и структуры. На фоне контрастирования долженствующего накопления контрастного вещества очагами не определялось, вероятно, за счет ранее проведенного курса пульс-терапии.
Рис. 2. Повторное, после 5 дней пульс-терапии, МРТ головного мозга в аксиальной плоскости с внутривенным контрастным усилением от 16.08.2021 (a, в — режим Т2-ВИ; б, г — режим FLAIR; д, е — режим Т1-ВИ до и после введения контрастного вещества соответственно): по сравнению с данными МРТ от 12.03.2020 сохраняются мелкие очаги измененного МР-сигнала прежней локализации, структуры и размеров (стрелки). На фоне контрастного усиления долженствующего накопления контрастного вещества не визуализируется, вероятно, вследствие кратковременного курса пульс-терапии (стрелки). / Fig. 2. Follow-up (after 5 days of pulse therapy) MRI of the brain in the axial plane of August 16, 2021 with intravenous contrast enhancement (a, в — T2-weighted image; б, г — FLAIR; д, е — T1-weighted image before and after contrast enhancement respectively): compared with the MRI data of March 12, 2020, small foci of the altered MR signal with the same localization, structure and size remain (arrows). A short-term pulse therapy course doesn’t result in strong contrast enhancement (arrows).
В декабре 2021 г. ребенок перенес фокальный эпилептический приступ с версией глаз. Отмечались кратковременная остановка дыхания, выраженные головные боли, тошнота с рвотой. Компьютерная томография (КТ) головного мозга, органов грудной клетки, органов брюшной полости и забрюшинного пространства патологических изменений не выявила. Результаты анализов крови на антитела и методом полимеразной цепной реакции позволили исключить основные инфекционные агенты. Анализ спинномозговой жидкости от 27.12.2021 выявил минимально повышенное количество белка (0,477 г/л), при посеве этиологически значимой микрофлоры не обнаружено. На основании проведенных исследований выставлен предварительный диагноз «Рассеянный склероз», несмотря на то, что диагностические критерии не были соблюдены. Лечение состояло из пульс-терапии метилпреднизолоном (15 мг/кг в сутки в течение 5 дней). Наблюдалась положительная динамика, в результате ребенок был выписан домой в удовлетворительном состоянии. На МР-томограммах с внутривенным контрастным усилением от 10.01.2022 сохранялись очаги прежней локализации и структуры с интенсивным накоплением контрастного вещества (рис. 3).
Рис. 3. МРТ головного мозга в аксиальной плоскости от 10.01.2022 с внутривенным контрастным усилением (a, в — режим Т2-ВИ; б, г — режим Т1-ВИ после введения контрастного вещества): по сравнению с данными МРТ от 16.08.2021 сохраняются мелкие очаги измененного МР-сигнала прежней локализации, структуры и размеров (стрелки). На фоне контрастного усиления визуализируется интенсивное накопление контрастного вещества (стрелки). / Fig. 3. MRI of the brain in the axial plane of January 10, 2022 with intravenous contrast enhancement (a, в — T2-weighted image; б, г — T1-weighted image after contrast enhancement): compared with the MRI data of August 16, 2021, small foci of the altered MR signal with the same localization, structure and size remain (arrows). Strong positive contrast enhancement is visualized (arrows).
21.02.2022 произошло ухудшение состояния пациента: ребенок не мог самостоятельно спускаться по лестнице; отмечались дисфагия, нарушение речи, шаткая походка. Проведена повторная пульс-терапия Метипредом в дозе 20 мг/кг в сутки. Вся неврологическая симптоматика купирована.
15.03.2022 проведена ПЭТ-КТ головного мозга с 11С-метионином, по данным которой метаболически активных очагов в веществе головного мозга не выявлено, что исключило опухолевый генез изменений.
18.03.2022 (через 16 дней после пульс-терапии Метипредом) отмечалось ухудшение состояния ребенка в виде нарастания атаксии. МРТ головного мозга с контрастным усилением от 25.03.2022 (рис. 4) выявило отрицательную динамику: увеличение количества очагов измененного МР-сигнала. МРТ спинного мозга с контрастным усилением патологии не выявило. С целью исключения васкулита центральной нервной системы ребенку проведены МР-ангиография и церебральная ангиография: патологии не выявлено. Для купирования обострения основного заболевания проведена пульс-терапия метилпреднизолоном в дозе 750 мг внутривенно капельно. На фоне терапии отмечалась положительная динамика в виде уменьшения степени выраженности клинических проявлений. Далее с профилактической целью назначена терапия метилпреднизолоном в дозе 26 мг/сут перорально.
Рис. 4. МРТ головного мозга с внутривенным контрастным усилением в аксиальной плоскости от 25.03.2022 на фоне клинического обострения (a, в — режим Т2-ВИ; б, г — режим Т1-ВИ после введения контрастного вещества): по сравнению с данными МРТ от 16.08.2021 отмечается отрицательная динамика в виде увеличения размеров и количества очагов с интенсивным накоплением контрастного вещества (стрелки). / Fig. 4. MRI of the brain in the axial plane of March 25, 2022 with intravenous contrast enhancement in the acute stage of CLIPPERS (a, в — T2-weighted image; б, г — T1-weighted image after contrast enhancement): compared with the MRI data of August 16, 2021, a negative trend is observed namely an increase in the size and number of foci with strong contrast enhancement (arrows).
15.06.2022. По данным МРТ головного мозга с контрастным усилением (рис. 5) в сравнении с исследованием от 25.03.2022 отмечается положительная динамика в виде регресса ранее выявленных субтенториальных очагов.
Рис. 5. МРТ головного мозга с внутривенным контрастным усилением в аксиальной плоскости от 15.06.2022 после курса пульс-терапии и поддерживающей терапии кортикостероидами на протяжении 3 мес (a, в, д — режим Т2-ВИ; б, г, е — режим Т1-ВИ после введения контрастного вещества): по сравнению с данными МРТ от 25.03.2022 отмечается регресс очаговых изменений субтенториальных структур (стрелки). Участки патологического накопления контрастного вещества не определяются. / Fig. 5. MRI of the brain in the axial plane of June 15, 2022 with intravenous contrast enhancement after a course of pulse therapy and maintenance therapy with corticosteroids for three months (a, в, д — T2-weighted image; б, г, е — T1-weighted image after contrast enhancement): compared with the MRI data of March 25, 2022 there is a regression of focal changes in the subtentorial structures (arrows). Absence of pathological contrast enhancement.
Таким образом, на основании клинических данных (эпизоды выраженной атаксии, нарушения глотания и речи, головные боли с нарастанием интенсивности во времени), практически полного регресса неврологической симптоматики на фоне длительной кортикостероидной терапии, специфических данных МРТ, исключения остальных причин выставлен диагноз «Предположительный CLIPPERS-синдром».
27.10.2022. По результатам МРТ головного мозга с внутривенным контрастным усилением (рис. 6) на фоне поддерживающей терапии кортикостероидами на протяжении 7 мес не отмечается новых очаговых изменений, участков патологического накопления контрастного вещества не определяется. Однако выявляются сопутствующие вторичные изменения больших полушарий и моста, наиболее вероятно, соответствующие псевдоатрофии в результате уменьшения воспалительного отека на фоне стероидной терапии, с умеренным расширением ликворных пространств.
Рис. 6. МРТ головного мозга с внутривенным контрастным усилением в аксиальной плоскости от 27.10.2022 после поддерживающей терапии кортикостероидами на протяжении 7 мес (a, б — режим Т1-ВИ до и после введения контрастного вещества соответственно; в, д — режим Т2-ВИ; г, е — режим FLAIR): по сравнению с данными МРТ от 15.06.2022 появления новых очаговых изменений не отмечается. Участков патологического накопления контрастного вещества не определяется. Однако визуализируются изменения МР-сигнала в мосту (белые стрелки) и уменьшение объёма белого вещества больших полушарий с вторичным расширением ликворных пространств (красные стрелки), вероятно, как проявление псевдоатрофии на фоне стероидной терапии. / Fig. 6. MRI of the brain in the axial plane of October 27, 2022 with intravenous contrast enhancement after a maintenance therapy with corticosteroids for seven months (a, б — T1-weighted image before and after contrast enhancement respectively; в, д — T2-weighted image; г, е — FLAIR): compared with the MRI data of June 15, 2022 no new focal changes have appeared. Absence of pathological contrast enhancement. However there are changes of the MR signal in the pons (white arrows) and changes of the white matter of the brain hemispheres with secondary dilatation of liquor spaces (red arrows) specific to pseudoatrophy during the treatment with steroids.
ОБСУЖДЕНИЕ
В качестве первого проявления заболевания у пациента выступали головные боли, что не совсем типично, однако такой вариант манифестации был описан ранее в нескольких источниках [10, 11]. Затем присоединилась симптоматика, соответствующая поражению ствола головного мозга и мозжечка. Эпизоды судорог на фоне обострения основного заболевания были расценены как симптоматические, не требующие противосудорожной терапии.
Жалобы на тошноту, рвоту, наличие очаговой неврологической симптоматики могли указывать на энцефалит. Для исключения основных нейроинфекций были проведены анализы крови на антитела, анализ спинномозговой жидкости и посев ликвора.
В связи с молодым возрастом, наличием ремиттирующей очаговой неврологической симптоматики, очаговых изменений головного мозга по данным МРТ в качестве возможного диагноза рассматривался рассеянный склероз. Однако в связи с нетипичной МР-картиной и несоответствием критериям рассеянного склероза Макдоналда (McDonald criteria for multiple sclerosis, 2017) демиелинизирующий характер поражения был признан маловероятным.
Для исключения опухолевого генеза было выполнено ПЭТ-КТ головного мозга.
В качестве альтернативного диагноза также рассматривался первичный васкулит центральной нервной системы, однако по данным МР-ангиографии и церебральной ангиографии патологических изменений сосудов выявлено не было. Кроме того, не было обнаружено накапливающих контраст множественных очагов с перифокальным отеком и объемным воздействием на смежные структуры головного мозга, характерных для первичного васкулита центральной нервной системы, а также ишемических и геморрагических инфарктов головного мозга.
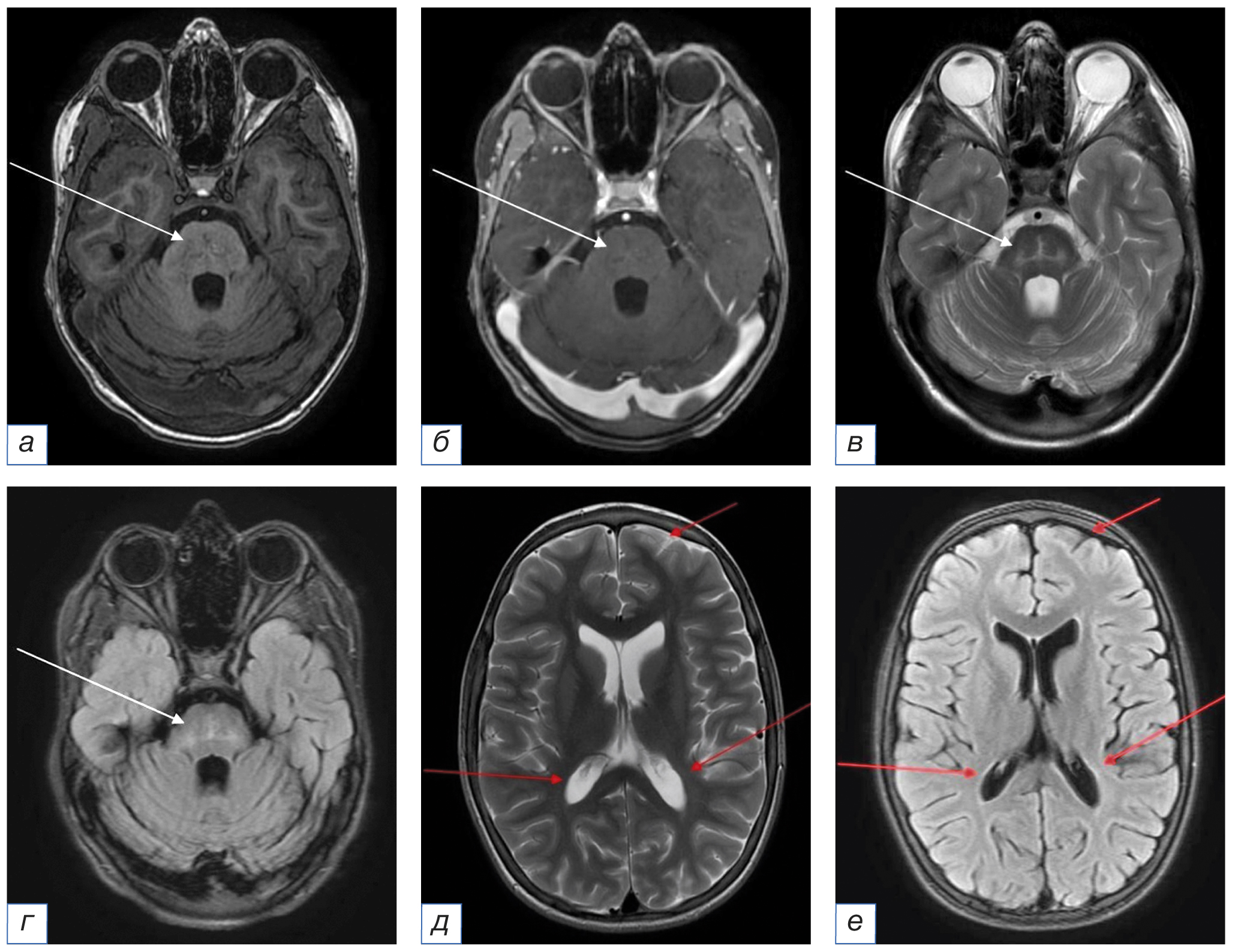
Общепринятых рекомендаций по длительности проводимой терапии на данный момент не существует [12]. По данным исследований, риск рецидива при приеме кортикостероидов в дозе более 20 мг/сут минимальный, но изучаются также альтернативные варианты лечения [12]. В нашем наблюдении прекращение приема кортикостероидов спровоцировало у пациента развитие рецидива. После последней пульс-терапии ребенку был назначен курс поддерживающей терапии метилпреднизолоном, на фоне которого отмечались клиническое улучшение и регресс МР-изменений головного мозга (рис. 7).
Рис. 7. Фрагменты исследований МРТ, полученные в порядке их выполнения и позволяющие наглядно оценить динамику изменений. / Fig. 7. Fragments of MRI studies obtained in the order they were performed that allow one to clearly assess the dynamics of changes.
Таким образом, на основании данных анамнеза, специфической МР-картины, полного регресса неврологической симптоматики и нейровизуализационных изменений в ответ на проведение кортикостероидной терапии ребенку был выставлен диагноз CLIPPERS-синдрома. Необходимости в гистологическом подтверждении диагноза не было, поскольку альтернативные диагнозы были исключены, а клиническая и нейровизуализационная картина полностью соответствовали диагностическим критериям синдрома CLIPPERS.
Стоит отметить, что в определенных случаях при наличии нетипичных для данной патологии симптомов необходимо проведение биопсии пораженных участков паренхимы головного мозга. Например, описаны очаги с кольцевидным паттерном контрастирования [13], сливные очаги в белом веществе полушарий головного мозга [3], перивентрикулярный и субкортикальный очаги в лобно-теменной доле с узелковым паттерном контрастирования [14]. В последнее время в литературе упоминаются и такие нетипичные клинические проявления CLIPPERS-синдрома, как острое начало в виде слабости конечностей, атаксии и нарушения речи на фоне сахарного диабета [15].
Существуют примеры, когда предполагаемый диагноз CLIPPERS-синдрома при более тщательном анализе не подтвердился, и пациентам были диагностированы в одном случае лимфома центральной нервной системы [10], а в другом — лимфоматоидный гранулематоз [16].
ЗАКЛЮЧЕНИЕ
МРТ головного мозга с контрастным усилением дает ключевую информацию для диагностики редкого CLIPPERS-синдрома. Сопоставление данных, получаемых в результате проведения МРТ головного мозга, и клинической картины позволяет избежать инвазивных методов диагностики. Однако, если невозможно исключить альтернативные диагнозы неинвазивными способами, а также при наличии атипичной радиологической картины и резистентности пациента к стероидной терапии целесообразно проведение биопсии.
ДОПОЛНИТЕЛЬНАЯ ИНФОРМАЦИЯ
Вклад авторов. Л.Е. Фомина — написание рукописи, подготовка диагностических изображений; И.Н. Киева — составление плана статьи и написание рукописи; А.В. Аникин — редактирование, обсуждение результатов; Н.В. Нуднов — редактирование; Л.М. Абдуллаева — руководство лечением и предоставление информации о ведении пациента. Авторы подтверждают соответствие своего авторства международным критериям ICMJE (все авторы внесли существенный вклад в разработку концепции, проведение исследования и подготовку статьи прочли и одобрили финальную версию перед публикацией).
Author contribution. L.E. Fomina — manuscript writing, preparing imaging; I.N. Kieva — planning of the article structure, manuscript writing; A.V. Anikin — manuscript editing, discussion of the results; N.V. Nudnov — manuscript editing; L.M. Abdullaeva — treatment guidance and provision of information on patient management. The authors made a substantial contribution to the conception of the work, acquisition, analysis, interpretation of data for the work, drafting and revising the work, final approval of the version to be published and agree to be accountable for all aspects of the work.
Источник финансирования. Исследование и публикация статьи осуществлены на личные средства авторского коллектива.
Funding source. The study had no sponsorship.
Конфликт интересов. Авторы декларируют отсутствие явных и потенциальных конфликтов интересов, связанных с публикацией настоящей статьи.
Competing interests. The authors declare that they have no competing interests.
About the authors
Lyubov E. Fomina
National Medical Research Center for Children's Health
Author for correspondence.
Email: love.fomina@mail.ru
ORCID iD: 0000-0002-3838-3284
SPIN-code: 1298-8350
researcher, laboratory of radiation and instrumental diagnostics
Russian Federation, 2 b. 1, Lomonosovsky prospect, Moscow, 119991Irina N. Kieva
G.N. Speransky Children's City Clinical Hospital № 9
Email: miamodiaz@gmail.com
ORCID iD: 0000-0002-4060-5966
SPIN-code: 2279-9141
radiologist
Russian Federation, MoscowAnatoly V. Anikin
National Medical Research Center for Children's Health
Email: anikacor@gmail.com
ORCID iD: 0000-0003-0362-6511
SPIN-code: 7592-1352
MD, PhD
Russian Federation, MoscowNikolay V. Nudnov
Russian Scientific Center of Roentgenoradiology
Email: nudnov@rncrr.ru
ORCID iD: 0000-0001-5994-0468
SPIN-code: 3018-2527
MD, PhD
Russian Federation, MoscowLuizat M. Abdullaeva
National Medical Research Center for Children's Health
Email: instorm@inbox.ru
ORCID iD: 0000-0003-1574-2050
neurologist
Russian Federation, MoscowReferences
- Pittock SJ, Debruyne J, Krecke KN, et al. Chronic lymphocytic inflammation with pontine perivascular enhancement responsive to steroids (CLIPPERS). Brain. 2010;133(9):2626–2634. doi: 10.1093/brain/awq164
- Simon NG, Parrat JD, Barnett MH, et al. Expanding the clinical, radiological and neuropathological phenotype of chronic lymphocytic inflammation with pontine perivascular enhancement responsive to steroids (CLIPPERS). J Neurol Neurosurg Psychiatry. 2012;83(1):15–22. doi: 10.1136/jnnp-2011-301054
- Nemani T, Udwadia-Hegde A, Keni Karnavat P, et al. CLIPPERS spectrum disorder: A rare pediatric neuroinflammatory condition. Child Neurol Open. 2019;(6):2329048X19831096. doi: 10.1177/2329048X19831096
- Dudesek A, Rimmele F, Tesar S, et al. CLIPPERS: chronic lymphocytic inflammation with pontine perivascular enhancement responsive to steroids. Review of an increasingly recognized entity within the spectrum of inflammatory central nervous system disorders. Clin Exp Immunol. 2014;175(3): 385–396. doi: 10.1111/cei.12204
- Rauschenbach L, Kebir S, Radbruch A, et al. Challenging implications of chronic lymphocytic inflammation with pontine perivascular enhancement responsive to steroids syndrome with an atypical presentation: Report of two cases. World Neurosurg. 2020;(143):507–512.e1. doi: 10.1016/j.wneu.2020.07.123
- Kamişli Ö, Tecellioğlu M, Erbay MF, et al. Two new cases and literature review of clippers syndrome with long-term follow-up. Noro Psikiyatr Ars. 2020;57(2):160–164. doi: 10.5152/npa.2017.22732
- Kerrn-Jespersen BM, Lindelof M, Illes Z, et al. CLIPPERS among patients diagnosed with non-specific CNS neuroinflammatory diseases. J Neurol Sci. 2014;343(1-2):224–227. doi: 10.1016/j.jns.2014.06.002
- Tobin WO, Guo Y, Krecke KN, et al. Diagnostic criteria for chronic lymphocytic inflammation with pontine perivascular enhancement responsive to steroids (CLIPPERS). Brain. 2017; 140(9):2415–2425. doi: 10.1093/brain/awx200
- Сиверцева С.А., Сиверцев М.Ю., Бажухин Д.В., и др. Синдром CLIPPERS (обзор литературы и собственное наблюдение) // Журнал неврологии и психиатрии им. C.C. Корсакова. 2017. Т. 117, № 10-2. С. 24-34. [Sivertseva SA, Sivertsev MY, Bazhukhin DV, et al. CLIPPERS syndrome (literature review and own observation). J Neurology Psychiatry named after C.C. Korsakov. 2017;117(10-2):24–34. (In Russ).] doi: 10.17116/jnevro201711710224-34
- Buttmann M, Metz I, Brecht I, et al. Atypical chronic lymphocytic inflammation with pontocerebellar perivascular enhancement responsive to steroids (CLIPPERS), primary angiitis of the CNS mimicking CLIPPERS or overlap syndrome? A case report. J Neurol Sci. 2013;324(1-2):183–186. doi: 10.1016/j.jns.2012.10.017
- Cordano C, López GY, Bollen AW, Nourbakhsh B. Occipital headache in chronic lymphocytic inflammation with pontine perivascular enhancement responsive to steroids (CLIPPERS). Headache. 2018;58(3):458–459. doi: 10.1111/head.13232
- Taieb G, Allou T, Labauge P. Therapeutic approaches in CLIPPERS. Curr Treat Options Neurol. 2017;19(5):17. doi: 10.1007/s11940-017-0455-4
- Taieb G, Duflos C, Renard D, et al. Long-term outcomes of CLIPPERS (chronic lymphocytic inflammation with pontine perivascular enhancement responsive to steroids) in a consecutive series of 12 patients. Arch Neurol. 2012;69(7):847–855. doi: 10.1001/archneurol.2012.122
- Picarelli H, Yamaki VN, Casal YR, et al. CLIPPERS with exclusive extra pontine involvement. Neurol Neuroimmunol Neuroinflamm. 2021;8(3):e989. doi: 10.1212/NXI.0000000000000989
- Ambia AR, Al Zahrani N, Almakadma AH, et al. Chronic lymphocytic inflammation with pontine perivascular enhancement responsive to steroids: an acute presentation. Cureus. 2022;14(1):e21382. doi: 10.7759/cureus.21382
- Dang YL, Kok HK, McKelvie PA, et al. Chronic lymphocytic infiltration with pontine perivascular enhancement responsive to steroids (CLIPPERS) and its association with Epstein-Barr Virus (EBV)-related lymphomatoid granulomatosis: A case report. BMC Neurol. 2021;21(1):80. doi: 10.1186/s12883-021-02110-1
Supplementary files










