Evaluation of the effectiveness of transarterial chemoembolization irinotecan-loaded with drug-saturable microspheres for the treatment of patients with neuroendocrine tumors with liver metastases
- Authors: Zvezdkina E.A.1, Kedrova A.G.2,3,4, Lebedev D.P.2, Krasilnicov S.E.4, Krestyaninov O.V.4, Greyan T.A.2,3, Panchenkov D.N.5, Stepanova Y.A.6
-
Affiliations:
- The Skobelkin Research and Practical Centre for Laser Medicine
- Federal Scientific and Clinical Center for Specialized Medical Assistance and Medical Technologies of the Federal Medical Biological Agency
- Academy of Postgraduate Education Federal Scientific and Clinical Center for Specialized Medical Assistance and Medical Technologies of the Federal Medical Biological Agency
- E.N. Meshalkin National Medical Research Center
- Moscow State University of Medicine and Dentistry named after A.I. Evdokimov
- A.V. Vishnevsky National Medical Research Center of Surgery
- Issue: Vol 13, No 4 (2022)
- Pages: 27-37
- Section: Original Study Articles
- Submitted: 01.12.2022
- Accepted: 03.12.2022
- Published: 24.01.2023
- URL: https://clinpractice.ru/clinpractice/article/view/115017
- DOI: https://doi.org/10.17816/clinpract115017
- ID: 115017
Cite item
Abstract
Background: Since 2021, transarterial chemoembolization of the hepatic arteries (TACE) has been included in the recommendations of professional communities for the treatment of metastases of neuroendocrine liver tumors (NEO). However, the heterogeneity of both this group of patients and types of chemoembolization with a limited range of cytostatics used in the treatment makes it difficult to analyze the data and introduce the method into the combination therapy regimens.
Aim: to study the effectiveness of transarterial chemoembolization with irinotecan-loaded drug-saturable microspheres for the treatment of patients with neuroendocrine tumors with liver metastases.
Methods: A retrospective, observational, uncontrolled study of 34 patients with liver metastases from neuroendocrine cancer who underwent 52 TACE with irinotecan-loaded drug-saturable microspheres. Group 1 consisted of 15 patients who already had liver metastases at the time of the primary focus detection, group 2 included 19 patients with liver metastases having appeared some time after the detection of the primary focus. To plan and evaluate the effectiveness of chemoembolization, computed tomography and magnetic resonance imaging were used every 10–15 weeks during the systemic treatment. All the patients received systemic NEO therapy before and after the embolization.
Results: An increase in the progression-free time from 101 [57; 120] and 145 [89; 263] days after chemotherapy up to 300 [134; 344] and 304 [240; 342] days after TACE in groups 1 and 2, respectively, with no difference between the groups (p=0.31 and p=0.57, respectively). We did not find a linear relationship between the doubling time of the tumor and the change in the volume of the tumor lesion (R2=0.1085 and R2=0.0265 in groups 1 and 2). When comparing the intragroup scores, there was a statistically significant difference (p=0.009, p=0.046) in the tumor volume reduction and progression-free time between the patients who underwent TACE immediately and those who underwent TACE after chemotherapy. The diagnostic and angiographic images of liver metastases varied within the same organ and depended on the size of metastases. There were no adverse events after TACE.
Conclusions: TACE with irinotecan-loaded drug-saturable microspheres is an effective method for the treatment of liver metastases of neuroendocrine cancer, allowing one to increase the time without progression.
Full Text
BACKGROUND
Neuroendocrine tumors are malignant neoplasms that develop from APUD1-system cells, also called the diffuse neuroendocrine system. They are commonly found in the pancreas, stomach, small intestine, and lungs, although they can also originate in other organs. Neuroendocrine cancer is a slow-growing tumor that can metastasize, with the liver being the primary target organ [1].
In 2012, The European Neuroendocrine Tumor Society proposed a classification of liver metastases [2], which includes a simple form, which refers to cases where the foci are localized in one lobe of the liver or adjacent segments and can be surgically removed, accounting for 20%–25% of cases. All other situations, including the complex and diffuse forms, are unresectable.
In 2021, The Cardiovascular and Interventional Radiological Society of Europe (CIRSE) issued recommendations on transarterial hepatic chemoembolization (TACE), which includes neuroendocrine tumors as an indication for surgery [3]. However, the situation is complex because TACE is a diverse group of methods, with the CIRSE recommendations alone containing five variants that differ both technically and in their mechanism of action.
One variant of TACE involves the use of drug-loaded microspheres. These polymer granules can absorb cytostatics, increasing their volume 10-fold. Once they enter the vessels of the malignant neoplasm, the drug-loaded microspheres plug them. In several weeks, the cytostatic is released into the tumor, and the microspheres decrease in size and leave the vascular bed [4, 5]. Thus, the treatment is multicomponent. First, the tumor becomes ischemic because of arterial vessel occlusion. Second, cytostatic blocks the growth and multiplication of tumor cells.
The chemopreventive agent is the second active component of TACE with drug-loaded microspheres. However, there are currently no unified recommendations for the chemotherapy of neuroendocrine tumors owing to insufficient statistical data and heterogeneity within the group. Regimens for treating G1/G2 pancreatic neuroendocrine tumors include combinations of streptozocin and fluorouracil or adriamycin. For G3 neuroendocrine tumors, a regimen including cisplatin or oxaliplatin along with etoposide NSC-141540 has shown efficacy in 35%–40% of cases [2, 6].
This study aimed to investigate the effectiveness of transarterial chemoembolization using drug-loaded microspheres containing irinotecan for treating metastatic liver lesions in neuroendocrine tumors of varying locations and stages of the disease.
METHODS
Study design
This retrospective observational uncontrolled study included 34 patients with liver metastases of neuroendocrine cancer who underwent 52 operations of transarterial chemoembolization with drug-loaded microspheres containing irinotecan. Computed tomography (CT) and magnetic resonance imaging (MRI) were used to plan and evaluate the efficacy of chemoembolization every 10–15 weeks during systemic treatment. All patients received systemic therapy for neuroendocrine tumors after embolization.
The study involved two groups of patients: group 1 (n=15), patients who had metastatic foci in the liver at the time of diagnosis, and group 2 (n=19), patients who developed metastatic liver lesions several months or years after the primary focus was detected.
Fig. 1. Study design.
Note: TACE — transarterial chemoembolization of hepatic arteries; CHT — chemotherapy.
Each group had two categories of patients: those who received TACE immediately upon detection of liver metastases and those who received TACE only upon chemotherapy progression. The minimum follow-up period was 1.5 years, and the maximum was 5 years. Figure 1 shows the study design.
Eligibility criteria
Inclusion criteria: histologically verified neuroendocrine tumors, nonresectable liver lesions, abdominal CT or MRI of the hepatobiliary system (on electronic media) performed at the time of liver metastases detection, completion of the minimum diagnostic protocol at least 14 days before TACE, and compliance with the timing of follow-up studies.
Exclusion criteria: refusal of TACE surgery, failure to meet the deadlines of control examinations, absence of CT or MRI data at the time of detection of liver metastases on electronic media, previous transarterial impact on the liver in the form of chemoinfusion, hepatic artery embolization, previous surgical interventions on the liver, and the use of local destruction methods.
Settings
Transarterial chemoembolization surgeries using drug-loaded microspheres with irinotecan were performed at the Federal Scientific and Clinical Center for Specialized Medical Care and Medical Technologies of the Federal Medical and Biological Agency of Russia by one radiosurgeon.
Diagnostic studies were conducted in the centers of the FMBA system of Russia and at the patients’ place of residence with remote consultation of the results by one radiologist.
Treatment of patients before and after TACE was performed at the Federal Scientific and Clinical Center for Specialized Medical Care and Medical Technologies of the Federal Medical and Biological Agency of Russia and Meshalkin National Medical Research Center of the Russian Ministry of Health.
Duration of the study
Patient recruitment was conducted from September 2017 to February 2022 and was tracked as of October 31, 2022.
Description of the medical intervention
The study included patients from the moment the decision to perform TACE was made.
Initially, one TACE procedure was planned for all patients. When metastatic liver lesions progressed, 4 patients in group 1 and 6 patients in group 2 underwent several repeated surgeries.
Transarterial chemoembolization for liver metastases involves preparing irinotecan solution, which is calculated by the oncologist according to specific formulas, and saturating microspheres. The volume of microspheres is determined based on the estimated capacity of the vascular channel, with consideration given to the volume of the tumor lesion calculated by diagnostic methods.
During the initial phase of TACE, aortography and selective angiography of the branches of the ventral trunk, superior mesenteric artery, and hepatic arteries were performed to identify the sources of tumor afferents.
The second stage involved superselective catheterization of the appropriate branches of the segmental hepatic arteries and injection of microspheres saturated with irinotecan. Tumor treatment was continued until the control point was reached, which was evaluated using arteriography.
Microspheres with a working size of 200–400 μm were used in our study along with the microcatheter technique.
Diagnostic tests: To be included in the study, patients had to comply with basic diagnostic protocols. Examinations were conducted at least 14 days before TACE, and the first follow-up was scheduled 8 weeks after TACE, followed by subsequent check-ups every 3 months.
Basic abdominal CT protocol: For TACE, abdominal CT with bolus intravenous contrast using an iodine-containing contrast agent is required. Scans should be performed in the native, arterial, venous, and delayed contrast phases. The reconstructed slice thickness should not exceed 2.5 mm, and the interval between slices not exceeding 2.5 mm.
Basic protocol for hepatobiliary MRI: The minimum requirements for MRI of the hepatobiliary zone are an MR tomograph with a minimum strength of 1.5 Tesla and mandatory scanning programs, including T2-weighted images (T2-WI) in axial and coronal projections, T1-WI in the axial plane, and diffusion-weighted pulse sequence in the axial plane with mapping of the measured diffusion coefficient.
Data post-processing: The volume of tumor foci and liver parenchyma was measured using basic automatic segmentation techniques at the CT or MR tomography workstation. The liver foci were delineated using the Auto Contour or Quick Paint tool (USA) and cut from the surrounding tissue, and their total volume (in cm3) was calculated. The liver volume was delineated and calculated in the same manner. Foci in the liver that were previously treated with chemotherapy were counted equally with active metastases. Data from other medical institutions were imported from electronic media to the CT workstation for post-processing.
The diagnostic tests identified target foci based on the Response Assessment in Solid Tumors: Version 1.1 and RECIST 1.1. The largest diameter of the foci was measured, and the relative volume of affected liver parenchyma was calculated using the formula F=(Vmts/Vliv)×100%. We calculated the tumor doubling time according to the Schwartz formula to assess the growth dynamics of metastases [7]: DT=(▲T×ln2)/[(lnV1/V0)], where ▲T is the time between two examinations in days, V0 is the total volume of tumor tissue at the primary examination before treatment, and V1 is the total volume of tumor tissue at the control examination after treatment.
Study outcomes
The study’s main outcome focused on assessing surrogate quantitative endpoints, including changes in tumor size according to RECIST 1.1, tumor volume, and progression-free time, to draw conclusions about the efficacy of the therapy. Indices were calculated based on CT or MRI data performed within the study’s regulated timeframes.
Additional study outcomes encompass the analysis of qualitative parameters, such as radiosemiotics of metastases and angiography data, to identify additional criteria that influence therapy efficacy assessment.
Subgroup analysis: Table 1 summarizes the clinical characteristics of patients and catamnesis data.
Table 1. Characteristics of patients with liver metastases of neuroendocrine cancer
Age at the time of TACE, years | Primary focus stage | Localization of primary focus | Time from diagnosis to appearance of liver metastases | Time from the onset of liver metastases to TACE |
58.55±12.5 min 29 max 82 | Т1: 10% (n=5) Т2: 35% (n=12) Т3: 45% (n=14) Т4: 10% (n=3) | Pancreas: 40% (n=12) Small intestine: 30% (n=11) Lung: 20% (n=8) Prostate: 10% (n=3) | Group 1: immediately — 35% (n=15) Group 2: First 6 months — 15% (n=5) 6 months to 1.5 years — 15% (n=5) 1.5–6 years — 35% (n=9) | <2 weeks — 35% (n=12) >3 months — 65% (n=22) |
Note: TACE — transarterial chemoembolization of hepatic arteries.
Majority of patients (n=25, 75%) had multiple focal bilobar liver lesions, 7 (20%) had multiple foci within one liver lobe, and 2 (5%) had single foci in both liver lobes. The liver was the only affected target organ in 20 patients, whereas metastatic involvement of lymph nodes, bones, spleen, and lungs in addition to the liver was noted in 14 patients. The primary focus was removed in 18 (30%) patients and was not removed in 16 (70%) patients.
Ethical review
The study protocol was approved by the Ethical Committee of the E.I. Evdokimov Moscow State Medical and Dental University (protocol 83-DK-c-I; June 23, 2017) and at the meeting of the Academic Council (protocol no. 5; December 12, 2017).
Statistical analysis
Statistical analysis was conducted using the R programming language version 4.2.0 in the RStudio 2022.02.1 build 461 development environment (RStudio PBC). The normality of the distribution of quantitative variables was assessed using the Shapiro–Wilk criterion. Because the distribution of variables was non-normal, nonparametric methods were used for the analysis. Quantitative variables were summarized using medians and quartiles. Quantitative variables were compared between two groups using the Mann–Whitney U test and between three groups using the Kruskal–Wallis test. The significance level was set at 0.05. Null hypotheses were rejected at p <0.05. Sample size calculation was not performed. Linear regression was used to assess the relationship between the studied quantitative variables.
RESULTS
Main results of the study
According to RECIST 1.1 criteria, the first follow-up after TACE 1 showed that complete response was obtained in 1 (3%) patient of group 1, partial response in 5 (15%) patients of group 1 and 12 (35%) patients of group 2, and stabilization in 5 (15%) patients of group 1 and 10 (30%) patients of group 2. Progression was observed in one patient. Before treatment, no significant difference was observed in tumor lesion volume between groups 1 and 2. However, after treatment, the total volume of metastases differed significantly (p <0.05). Table 2 shows the data for each group of patients.
Table 2. Indicators of the total volume of liver metastases before and after TACE 1 in both groups
Index | Group 1 | Group 2 | p |
Volume of metastasis before TACE, cm3, Me [LQ; UQ] | 43.9 [35.6; 122.8] | 26.5 [18.7; 85] | 0.7511a |
Volume of metastasis after TACE, cm3, Me [LQ; UQ] | 23.54 [14.2; 24.8] | 21.8 [14.7; 56] | 0.00036a |
Note: a The Mann–Whitney criterion. TACE — transarterial chemoembolization of hepatic arteries.
During the dynamic follow-up of patients, the time without liver progression after TACE increased 2.5–3 times compared with chemotherapy results. However, no significant difference was noted between the groups (Table 3). However, a statistically significant difference was found between the patients who underwent immediate TACE and those who underwent TACE after chemotherapy when comparing the parameters within the groups (Table 4).
Table 3. Time to progression in both groups after chemotherapy and TACE
Index | Group 1 | Group 2 | p |
TTP before CHT, days, Me [LQ; UQ] | 101 [57; 120] | 145 [89; 263] | 0.31a |
TTP after TACE, days, Me [LQ; UQ] | 300 [137; 344] | 304 [240; 432] | 0.58a |
Note: a The Mann–Whitney criterion. ТТР — time to progression; CHT — chemotherapy; TACE — transarterial chemoembolization of hepatic arteries.
Table 4. Comparison of the dynamics of changes in the volume of metastases and TTR (days) within groups 1 and 2
Index | Group 1 | Group 2 | ||
TACE immediately | TACE after CHT | TACE immediately | TACE after CHT | |
Difference in the volume of metastases, cm3, Me [LQ; UQ] | -22.6 [-51; -17] | 0.1 [-16; 0.15] | -17.8 [-30.4; 13.26] | 0.2 [-1; 1.1] |
ТТР, days, Me [LQ; UQ] | 364 [344; 637] | 137 [85; 210] | 308 [275; 567] | 240 [220; 304] |
Pairwise comparisons, p | 0.009 | 0.046 | ||
Note: ТТР — time to progression; CHT — chemotherapy; TACE — transarterial chemoembolization of hepatic arteries.
Considering the multicomponent mechanism of TACE action, we analyzed the tumor doubling time, which reflects the rate of neoplasm growth over time, and evaluated its correlation with the difference in tumor lesion volume at the current moment. In both groups, a weak linear dependence was noted between the indices (R2=0.0265 in group 1 and R2=0.1085 in group 2).
Additional study results
When analyzing the qualitative changes within the tumor, we examined 105 target and 68 nontarget foci on CT and MRI. The diagnostic pattern was found to depend on the diameter of the foci.
Foci >4 cm in diameter were found to have a central necrosis zone that occupied 10%–30% of the volume. In some cases (10%), intratumoral hemorrhages were observed in the structures of these foci after TACE treatment. The hemorrhages were surrounded by a hyperintense MR signal rim that did not limit diffusion and intense perifocal contrast on CT scanning, resembling a “pseudocapsule” around the tumor with hemorrhage.
At follow-up, foci >4 cm either transformed into cysts (20% of cases) or remained unchanged for a long period (180 to 240 days) or showed an increase in the zone of central necrosis and a slow increase in size.
Foci with a diameter of 1–4 cm were more heterogeneous. Approximately 30% of them appeared as a homogeneous soft tissue substrate, whereas another 30% appeared as a tumor focus with a slit-shaped zone of necrosis. The contrast intensity of these foci varied between patients and within one organ. In most cases, these foci transformed into cysts during dynamics, sometimes with a clear hypointense rim on MRI.
The angiographic image obtained during surgery was diverse. In some cases, we observed intense contrast of the metastasis parenchyma with a branched network of afferents (Fig. 2), whereas adjacent foci were only detected by recalibrated vessels originating in an atypical location (Fig. 3). In several observations, no angiographic signs of the tumor were observed. In such cases, the radiologist could only rely on the data from the diagnostic methods. The angioarchitectonics of the main tumor did not match the angiographic picture of liver metastases.
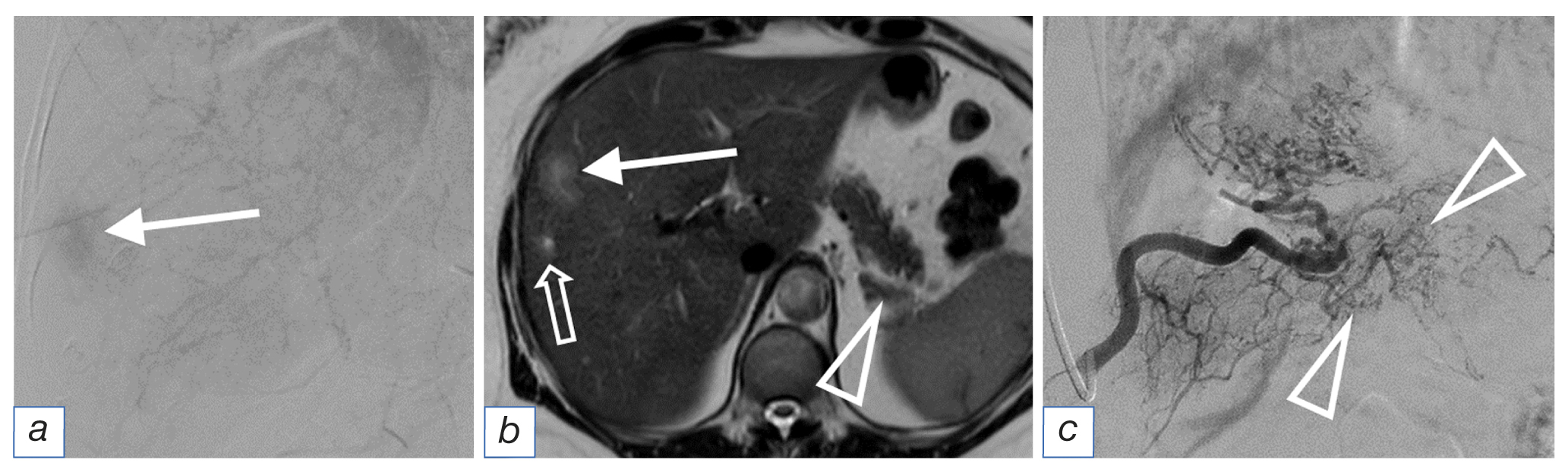
Fig. 2. Angiography (а): intense contrast of a metastasis with a diameter of 3 cm (white arrow); magnetic resonance imaging (b): the same metastasis with a diameter of 3 cm with slit necrosis in the structure (long arrow), an infiltrative metastasis with a diameter of 0.5 cm with a locally expanded bile duct in the center (3D arrow), the pancreatic tail tumor (triangular arrow); angiography of the pancreatic tumor (c): branched network of afferents (triangular arrows).
Fig. 3. The same patient. Angiographic picture of another metastasis with a diameter of 3 cm (а): several thin recalibrated vessels (arrow) exiting in an atypical place; magnetic resonance imaging of the same metastasis (b): slit necrosis in the structure (arrow).
Foci <1 cm in diameter appeared as soft tissue substrate or infiltration zones, often with a locally dilated bile duct in the center (Fig. 2). These foci were typically detected on MRI and were not visible on angiography. However, eventually, they either disappeared or increased in size and transformed into the categories of metastases described previously.
Adverse events
No adverse events were observed after TACE.
DISCUSSION
Interventional radiology has expanded the treatment options for liver tumors. Professional associations, including the Russian Society of Clinical Oncology and foreign associations such as CIRSE, EASL, and NCCN, are actively studying methods of transarterial chemoembolization of hepatic arteries and incorporating them into cancer treatment protocols. In hepatocellular cancer, the use of transarterial chemoembolization at nonresectable stages increases patient survival to 2.5 years. This method has been included in the national guideline “Liver Cancer (Hepatocellular)” [8].
TACE is effective in treating colorectal cancer metastases, intrahepatic cholangiocarcinoma, and neuroendocrine tumors since 2021 [3, 9]. However, the term “transarterial chemoembolization” involves technically different methods that differ from each other regarding mechanism of action. Despite this, the literature analyzes their antitumor effect in neuroendocrine tumors without considering the specific variant that was used [10, 11]. Furthermore, TACE can act as a therapeutic agent by using cytostatics. However, the range of chemopreventive agents is limited because of compatibility issues with polymeric carriers, specifically drug-saturated microspheres [5, 12].
Transarterial chemoembolization with drug-loaded microspheres containing irinotecan was applied in our study for treating neuroendocrine cancer metastases to the liver without modifying the technique. Patients were recruited for the study except prior locoregional exposure to the liver, allowing evaluation of the role of TACE in the treatment regimen. However, we did not select patients based on the histological subtypes of neuroendocrine tumors or the timing of liver metastasis. This approach enabled us to investigate the antitumor effect at various stages of the process. The ischemic and cytostatic components of TACE act in parallel. This is evidenced by the fact that the total volume of tumor lesions does not significantly change during the follow-up period in many patients, whereas the progression-free time increases by 2.5–3 times. Therefore, doctors in diagnostic specialties should modify their approach to assessing the antitumor effect. The conventional analysis according to RECIST 1.1 includes measurement of the maximum tumor size, which, in our case, poorly reflected the effectiveness of therapy.
Similar situations have occurred in oncology. The emergence of locoregional, targeted, and immunotherapy has caused changes in tumor size and destruction and a decrease in tumor metabolism. This transformation has led to the development of new systems such as mRECIST (2008), irRC (2009), and irRECIST (2013), which have changed the basic approaches to tumor analysis by measuring only the size of the contrast-enhancing part. However, we encountered issues with this feature because large metastases often had a central necrosis zone prior to surgery, which made measurements less reproducible. Furthermore, heterogeneity of neuroendocrine tumors was observed not only among patients but also within the same liver. Notably, the angioarchitectonics of the primary focus does not allow for a prediction of the vascularization of liver lesions. Therefore, the peculiarities of contrasting metastases of neuroendocrine cancer on CT and MRI require further in-depth study to select criteria for objective assessment of therapy efficacy. Diagnostic methods have shown that TACE with irinotecan should be included in the treatment regimen for patients with metastatic neuroendocrine liver cancer as early as possible. This is because of a statistically significant difference in the results.
Limitations of the study
This study was limited by its retrospective nature, small sample size, and lack of a control group. However, we evaluated the efficacy of TACE in a diverse group of patients, including those who surpassed the 1- and 5-year survival thresholds. This provides insight into the potential of the method at various stages of the disease.
CONCLUSIONS
In summary, TACE has been recognized in the treatment of patients with neuroendocrine tumor metastases to the liver, demonstrating efficacy at different stages of the disease. However, further study is required to accurately apply the technique and obtain good clinical results.
ADDITIONAL INFORMATION
Authors’ contribution. E.A. Zvezdkina — СТ and MRI diagnostics, processing and discussion of the results of the study, writing the text of the article; D.P. Lebedev — performer of chemoembolizations for all presented patients, analysis of the results; A.G. Kedrova, T.A. Greyan — treatment of patients, writing the text of the article; Yu.A. Stepanova — ultrasound diagnostics; D.N. Panchenkov, S.E. Krasilnikov, O.V. Krestyaninov — treatment of patients, search and analytical work, discussion of the results of the study. The authors made a substantial contribution to the conception of the work, acquisition, analysis, interpretation of data for the work, drafting and revising the work, final approval of the version to be published and agree to be accountable for all aspects of the work.
Funding source. This study was supported by Federal Medical and Biological Agency of Russia, the project title «Adoptive immunotherapy».
Competing interests. This study was not supported by any external sources of funding.
ДОПОЛНИТЕЛЬНАЯ ИНФОРМАЦИЯ
Вклад авторов. Е.А. Звездкина — рентгенологическая диагностика, обработка и обсуждение результатов исследования, написание текста статьи; Д.П. Лебедев — исполнитель химиоэмболизаций для всех представленных пациентов, анализ результатов; А.Г. Кедрова, Т.А. Греян — лечение пациентов, написание текста статьи; Ю.А. Степанова — ультразвуковая диагностика; Д.Н. Панченков, С.Э. Красильников, О.В. Крестьянинов — лечение пациентов, поисково-аналитическая работа, обсуждение результатов исследования. Авторы подтверждают соответствие своего авторства международным критериям ICMJE (все авторы внесли существенный вклад в разработку концепции, проведение исследования и подготовку статьи, прочли и одобрили финальную версию перед публикацией).
Источник финансирования. Работа выполнена в рамках НИР по государственному заданию ФМБА России (шифр «Адоптивная иммунотерапия»).
Конфликт интересов. Авторы заявляют об отсутствии внешнего финансирования при проведении исследования.
1 APUD is an abbreviation formed from the first letters of the English words: amines, precursor, uptake, and decarboxylation.
About the authors
Elena A. Zvezdkina
The Skobelkin Research and Practical Centre for Laser Medicine
Author for correspondence.
Email: zvezdkina@yandex.ru
ORCID iD: 0000-0002-0277-9455
SPIN-code: 8428-4518
MD, PhD, research associate
Russian Federation, 40, Studentcheskaya street, Moscow, 121165Anna G. Kedrova
Federal Scientific and Clinical Center for Specialized Medical Assistance and Medical Technologies of the Federal Medical Biological Agency; Academy of Postgraduate Education Federal Scientific and Clinical Center for Specialized Medical Assistance and Medical Technologies of the Federal Medical Biological Agency; E.N. Meshalkin National Medical Research Center
Email: kedrova.anna@gmail.com
ORCID iD: 0000-0003-1031-9376
SPIN-code: 3184-9760
MD, PhD, professor
Russian Federation, Moscow; Moscow; NovosibirskDmitry P. Lebedev
Federal Scientific and Clinical Center for Specialized Medical Assistance and Medical Technologies of the Federal Medical Biological Agency
Email: lebedevdp@gmail.com
ORCID iD: 0000-0003-1551-3127
SPIN-code: 4770-5722
doctor for X-ray endovascular diagnostics and treatment
Russian Federation, MoscowSergey E. Krasilnicov
E.N. Meshalkin National Medical Research Center
Email: krasilnikov_s@meshalkin.ru
ORCID iD: 0000-0001-8366-6083
Director of the Institute of Oncology and Neurosurgery
Russian Federation, NovosibirskOleg V. Krestyaninov
E.N. Meshalkin National Medical Research Center
Email: o_krestyaninov@meshalkin.ru
ORCID iD: 0000-0001-5214-8996
Head of the Research Department of Endovascular Surgery of the Institute of Oncology and Neurosurgery
Russian Federation, NovosibirskTatevic A. Greyan
Federal Scientific and Clinical Center for Specialized Medical Assistance and Medical Technologies of the Federal Medical Biological Agency; Academy of Postgraduate Education Federal Scientific and Clinical Center for Specialized Medical Assistance and Medical Technologies of the Federal Medical Biological Agency
Email: tatev111@gmail.com
ORCID iD: 0000-0003-4118-3002
SPIN-code: 6952-4709
Oncologist of the oncology department, Senior Lecturer of the Department of Obstetrics and Gynecology
Russian Federation, Moscow; MoscowDmitry N. Panchenkov
Moscow State University of Medicine and Dentistry named after A.I. Evdokimov
Email: dnpanchenkov@mail.ru
ORCID iD: 0000-0001-8539-4392
SPIN-code: 4316-4651
Doctor of Medical Sciences, Professor, Head of the Laboratory of Minimally Invasive Surgery
Russian Federation, MoscowYulia A. Stepanova
A.V. Vishnevsky National Medical Research Center of Surgery
Email: stepanovaua@mail.ru
ORCID iD: 0000-0002-2348-4963
SPIN-code: 1288-6141
Doctor of Medical Sciences, Senior Researcher, Department of Radiation Methods of Diagnosis and Treatment
Russian Federation, MoscowReferences
- Modlin IM, Lye KD, Kidd MA. 5-Decade analysis of 13,715 carcinoid tumors. Cancer. 2003;97(4):934–959. doi: 10.1002/cncr.11105
- Pavel M, Baudin E, Couvelard A, et al. ENETS Consensus Guidelines for the management of patients with liver and other distant metastases from neuroendocrine neoplasms of foregut, midgut, hindgut, and unknown primary. Neuroendocrinology. 2012;95(2):157–176. doi: 10.1159/000335597
- Lucatelli P, Burrel M, Guiu B, et al. CIRSE standards of practice on hepatic transarterial chemoembolisation. Cardiovasc Intervent Radiol. 2021;44(12):1851–1867 doi: 10.1007/s00270-021-02968-1
- De Baere T, Plotkin S, Yu R, et al. An in vitro evaluation of four types of drug-eluting microspheres loaded with doxorubicin. J Vasc Interv Radiol. 2016;27(9):1425–1431. doi: 10.1016/j.jvir.2016.05.015
- Kennoki N, Saguchi T, Sano T, et al. Long-term histopathologic follow-up of a spherical embolic agent; observation of the transvascular migration of HepaSphere TM. BJR Case Rep. 2019;5(1):20180066. doi: 10.1259/bjrcr.20180066
- Fjallskog ML, Janson ET, Falkmer UG, et al. Treatment with combined streptozotocin and liposomal doxorubicin in metastatic endocrine pancreatic tumors. Neuroendocrinology. 2008; 88(1):53–58. doi: 10.1159/000117575
- Schwartz M. A biomathematical approach to clinical tumor growth. Cancer. 1961;14:1272–1294. doi: 10.1002/1097- 0142(196111/12)14:6<1272::aid-cncr2820140618>3.0.co;2-h
- Рак печени (гепатоцеллюлярный). Клинические рекомендации. Ассоциация онкологов России; Междисциплинарное общество специалистов по опухолям печени; Российское общество клинической онкологии; Российское общество рентгенологов и радиологов; 2022. [Liver cancer (hepatocellular). Clinical recommendations. Association of Oncologists of Russia; Interdisciplinary Society of Specialists in Liver Tumors; Russian Society of Clinical Oncology; Russian Society of Radiologists and Radiologists; 2022. (In Russ).]
- Орел Н.Ф., Артамонова Е.В., Горбунова В.А., и др. Практические рекомендации по лекарственному лечению нейроэндокринных неоплазий желудочно-кишечного тракта и поджелудочной железы // Злокачественные опухоли: Практические рекомендации RUSSCO #3s2. 2018. Т. 8, № 3. С. 430–439. [Orel NF, Artamonova EV, Gorbunova VA, et al. Practical recommendations for the drug treatment of neuroendocrine neoplasia of the gastrointestinal tract and pancreas. Malignant tumors: Practical recommendations RUSSCO #3s2. 2018;8(3):430–439. (In Russ).]
- Do Minh D, Chapiro J, Gorodetski B, et al. Intra-arterial therapy of neuroendocrine tumour liver metastases: comparing conventional TACE, drug-eluting beads TACE and yttrium-90 radioembolisation as treatment options using a propensity score analysis model. Eur Radiol. 2017;27(12):4995–5005. doi: 10.1007/s00330-017-4856-2
- Da Dong X, Carr BI. Hepatic artery chemoembolization for the treatment of liver metastases from neuroendocrine tumors: a long-term follow-up in 123 patients. Med Oncol. 2011;28(1): 286–290. doi: 10.1007/s12032-010-9750-6
- Wáng YJ, De Baere T, Idée JM, Ballet S. Transcatheter embolization therapy in liver cancer: An update of clinical evidences. Chin J Cancer Res. 2015;27(2):96–121. doi: 10.3978/j.issn.1000-9604.2015.03.03
- Wolchok JD, Hoos A, O’Day S, et al. Guidelines for the evaluation of immune therapy activity in solid tumors: immune-related response criteria. Clin Cancer Res. 2009;15(23):7412–7420. doi: 10.1158/1078-0432.CCR-09-1624
- Seymour L, Bogaerts J, Perrone A, et al. iRECIST: guidelines for response criteria for use in trials testing immunotherapeutics. The Lancet Oncology. 2017;18(3):143–152. doi: 10.1016/S1470-2045(17)30074-8
Supplementary files





