First experience of simultaneous extrapleural lung resection with silicone plombage for widespread drug-resistant destructive pulmonary tuberculosis: a case report
- Authors: Krasnikova E.V.1, Lepeha L.N.1, Aliev V.K.1, Tarasov R.V.1, Ergeshova A.E.1, Bagirov M.A.1
-
Affiliations:
- Central Research Institute of the Tuberculosis
- Issue: Vol 10, No 3 (2019)
- Pages: 77-82
- Section: Case reports
- Submitted: 28.03.2019
- Accepted: 19.06.2019
- Published: 06.11.2019
- URL: https://clinpractice.ru/clinpractice/article/view/11523
- DOI: https://doi.org/10.17816/clinpract10377-82
- ID: 11523
Cite item
Abstract
Background. The increase of the number of patients with drug-resistant forms of disseminated destructive lung tuberculosis dictates not only expansion of indications for a surgical treatment but development of new intraoperative techniques, which may reduce the risks of postsurgical complications and further progressing of tuberculosis. For a long-lasting chronic course of destructive drug-resistant tuberculosis, it is often impossible to reach the process stabilization necessary for a successful lung resection. Toracoplasty usually performed when the resection intervention is contraindicated is not only traumatic for a patient but also does not provide the proper lung compression.
Clinical case description. The clinical case is presented by disseminated fibrous-cavernous tuberculosis with a wide drug resistance of the pathogen, with the cavernous changes observed against the background of the pronounced lung tissue cirrhosis. To achieve the effect, we performed extrapleural lung resection followed by the immediate extrapleural silicone plombage in order to prevent overextension of the remaining part of the lung. The histological study data confirm the significant degree of the tuberculosis inflammation activity, in spite of the preceding long-term antituberculosis therapy.
Conclusion. Due to the low trauma and high efficiency, the operation of simultaneous extrapleural pneumolysis with silicone implant plombage may be used in the complex treatment of disseminated destructive pulmonary MDR/XDR TB with a chronic relapsing course of the disease.
Full Text
ОБОСНОВАНИЕ
Известно, что применение хирургических методов увеличивает эффективность лечения фиброзно-кавернозного туберкулеза до 75% [1, 2]. Распространенный характер деструктивного процесса на фоне низкой эффективности противотуберкулезной химиотерапии вследствие множественной или широкой лекарственной устойчивости микобактерий туберкулеза часто делает невозможным выполнение резекционной операции [3], поэтому чаще приходится обращаться к коллапсохирургии, эффективность которой составляет 53–70% [4].
Операция экстраплевральной торакопластики с резекцией 5–8 ребер крайне травматична, поскольку деформирует и изменяет экскурсию грудной клетки, приводит к нарушению функции плечевого пояса [5]. По этой причине многие больные фиброзно-кавернозным туберкулезом с множественной или широкой лекарственной устойчивостью микобактерий часто отказываются от торакопластики, что снижает эффективность их лечения. До настоящего времени ведется поиск эффективного коллапсохирургического метода — альтернативы традиционной торакопластике [5, 6], при этом хорошо себя зарекомендовал разработанный в Центральном научно-исследовательском институте туберкулеза (Москва; далее ЦНИИТ) экстраплевральный пневмолиз силиконовым имплантом, который обеспечивает стойкий коллапс полостных образований в измененном туберкулезным процессом легком и не изменяет конфигурации грудной клетки. Метод защищен патентом [7]. В качестве пломбы используется силиконовый имплант молочной железы, предназначенный для постоянного нахождения в организме человека и не вызывающий реакцию отторжения. Иногда из-за цирротической деформации легочной ткани плотности импланта бывает недостаточно для обеспечения необходимого коллабирующего эффекта. Поэтому возникла необходимость выполнения в этих условиях одномоментного экстраплеврального пневмолиза и экстраплевральной резекции легкого. Приводим клинический пример первого опыта подобной успешной операции у больного деструктивным туберкулезом легких с широкой лекарственной устойчивостью микобактерий возбудителя и наличием цирротического компонента.
КЛИНИЧЕСКИЙ ПРИМЕР
О пациенте
Пациент А., 48 лет, житель Республики Дагестан, поступил на лечение в хирургический отдел ЦНИИТ 23.03.2016. Из анамнеза: болен с 2013 года, когда появились жалобы на кашель с мокротой слизисто-гнойного характера, подъем температуры до субфебрильных цифр, кровохарканье. Обратился к фтизиатру по месту жительства, установлен диагноз «Инфильтративный туберкулез легких в фазе распада». Назначена противотуберкулезная химиотерапия в объеме изониазид в дозе 0,6 г/ сут, этамбутол по 1,8 г/сут, протионамид по 5,0 мг/ сут, пиразинамид по 1,5 г/сут, левофлоксацин по 1,5 г/ сут. Отмечалась отрицательная динамика, процесс трансформировался в фиброзно-кавернозный туберкулез, из-за чего больной был направлен в ЦНИИТ, и в связи с эпизодами кровохарканья в анамнезе 31.10.2015 был госпитализирован в хирургическое отделение.
На момент поступления: состояние больного удовлетворительное. Жалобы на кашель со слизисто-гнойной мокротой, одышку при сильной физической нагрузке. При аускультации: дыхание ослаблено в верхних отделах справа, где прослушиваются влажные разнокалиберные хрипы. Частота дыхательных движений 16/мин, пульс 76/ мин, артериальное давление 120/80 мм рт.ст., тоны сердца ясные, ритмичные. Живот мягкий, безболезненный. Физиологические отправления в норме.
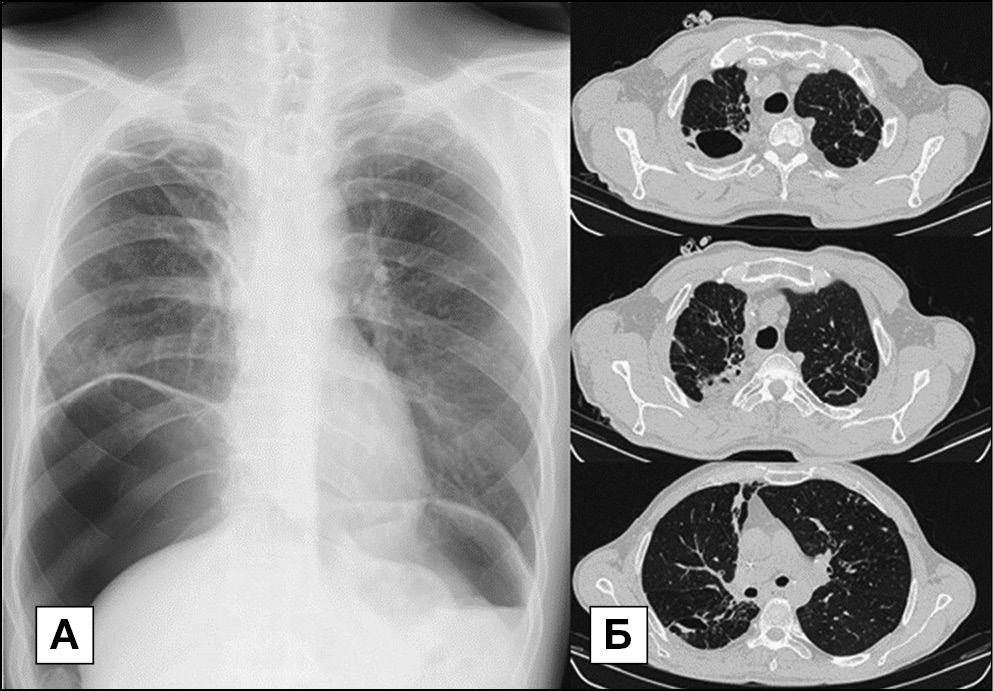
На обзорных рентгенограммах и компьютерной томографии легких определяется фиброзное сморщивание верхней доли и S6 правого легкого, S1–2 левого легкого. Множественные разнокалиберные тонко- и толстостенные каверны: крупные в верхних отделах и мелкие в нижних отделах правого легкого (рис. 1).
Рис. 1. Рентгенографическое (А) и КТ (Б) исследование органов грудной клетки у больного А. при поступлении (описание в тексте)
Функция внешнего дыхания: жизненная емкость легких 62,9% д.в., объем форсированного выдоха за 1 сек 48,1% д.в.; газовый состав крови: РаО2 61 мм рт.ст., SaО2 90,9%, РаСО2 42 мм рт.ст. Снижение вентиляционной способности легких по смешанному типу, умеренное снижение жизненной емкости легких. Умеренная артериальная гипоксемия.
Электрокардиограмма: ритм синусовый, перегрузка правого предсердия.
Исследование мокроты методом люминесцентной микроскопии выявило кислотоустойчивые микобактерии (+++) трехкратно, методом полимеразно-цепной реакции обнаружена ДНК микобактерий. При посеве на жидких питательных средах (BACTEC MGIT 960) выявлен рост культуры микобактерий с лекарственной устойчивостью к изониазиду, рифампицину, этамбутолу, этионамиду, капреомицину, амиацину, фторхинолонам; сохранена чувствительность микобактерий к линезолиду.
Общий анализ крови: гемоглобин 142 г/л, лейкоциты 6,4×109/л, палочкоядерные 1%, сегментоядерные 53%, эозинофилы 4%, лимфоциты 29%, моноциты 3%, скорость оседания эритроцитов 20 мм/ч (W).
Диагноз, лечение
Установлен клинический диагноз: «Фиброзно-кавернозный туберкулез правого легкого в фазе обсеменения. Микобактерии (+). Широкая лекарственная устойчивость микобактерий».
Больному с учетом полученных данных о широкой лекарственной устойчивости микобактерий в отделении проводились противотуберкулезная химиотерапия по схеме: моксифлоксацин, теризидон, пиразинамид, ПАСК (парааминосалициловая кислота), линезолид, капреомицин в дозировках, соответствующих массе тела больного, а также витаминотерапия и гепатопротекторы. В качестве патогенетического лечения накладывался искусственный пневмоперитонеум; проведен курс внутривенного лазерного облучения крови: 15 ежедневных процедур длительностью 8 мин при помощи полупроводникового арсенид-галлиевого лазера с длиной волны 630 нм, мощностью 25 мВт на частоте 3000 Гц.
В результате у больного наблюдалась положительная клинико-рентгенологическая динамика: прибавка в весе на 6 кг за 6 мес, стойкое абациллирование, дальнейшее рассасывание перифокальной инфильтрации и уплотнение очагов обсеменения по данным контрольных рентгенограмм.
Больной был осмотрен на консилиуме: учитывая двустороннюю распространенность процесса, решено выполнить экстраплевральный пневмолиз справа с установкой силиконовой пломбы.
На операции 18.05.2016 при выполнении экстраплеврального пневмолиза выявлен выраженный цирроз верхушки легкого, на фоне которого определялась ригидная фиброзная каверна с измененной плеврой в ее проекции. Принято решение о экстраплевральной резекции ригидного участка. Таким образом, S1–2 правого легкого, содержащие каверну, резецированы с помощью наложения сшивающего аппарата «СОМИ-80», после чего установлена силиконовая пломба объемом 275 мл. Положение пломбы представлено на рис. 2. Продолжительность операции составила 175 мин, кровопотеря — 610 мл.
Рис. 2. Положение импланта в экстраплевральном пространстве после выполнения резекции верхней доли правого легкого
На макропрепарате (рис. 3) видна цирротически измененная легочная ткань, на фоне которой определяется толстостенная каверна, содержащая жидкие казеозные массы, окруженная более мелкими очагами казеоза.
Рис. 3. Удаленный фрагмент легкого с фиброзной каверной
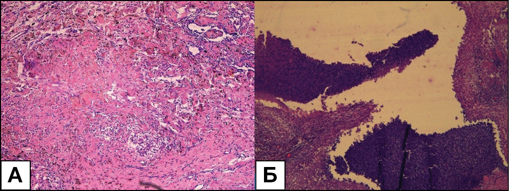
Согласно гистологическому заключению № 2475-84/16 (рис. 4, 5), в ткани легкого имеются очаги казеозного некроза, большинство из которых с признаками организации в виде соединительнотканной капсулы с элементами грануляционной ткани. По периферии слабовыраженная эпителиоидно-клеточная реакция и лимфоидные скопления, встречаются единичные многоядерные макрофаги (см. рис. 4А). Один из очагов казеозного некроза с расплавлением и лейкоцитарной инфильтрацией (см. рис. 4Б).
Рис. 4. А — морфологические признаки прогрессирования фиброзно-кавернозного туберкулеза, участок гематогенного отсева. Б — расплавление казеозных масс с лейкоцитарной инфильтрацией стенок туберкулезной каверны. Окраска гематоксилином и эозином, ×120
Заключение: «Морфологическая картина соответствует фиброзно-кавернозному туберкулезу с обсеменением и выраженной активностью процесса, что можно расценить как прогрессирование».
Послеоперационный период без особенностей, дренаж удален на 3-и сут, швы сняты на 10-е сут после операции.
Больной завершил лечение по рекомендациям ЦНИИТ, вернулся к привычному образу жизни, самочувствие его удовлетворительное.
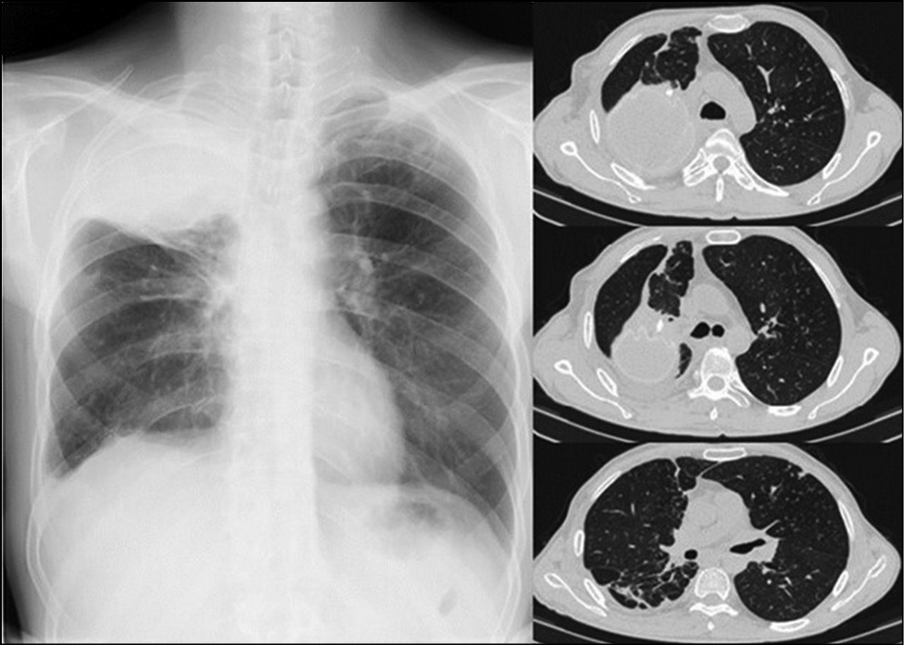
Рентгенографическое и компьютерно-томографическое исследование через 1,5 мес после операции: в динамике дальнейшее расправление правого легкого под пломбой. Дополнительных очагово-инфильтративных изменений в легких не выявлено (см. рис. 5).
Рис. 5. Рентгенографическое исследование от 04.07.16 и КТ органов грудной клетки от 22.06.2016 при выписке
ОБСУЖДЕНИЕ
Клинико-рентгенологические особенности и данные морфологического исследования операционного материала у больных распространенным деструктивным туберкулезом с множественной или широкой лекарственной устойчивостью микобактерий доказывают активный характер туберкулезного процесса без тенденции к отграничению и заживлению очагов воспаления. Поэтому коллапсохирургические операции, которые в отличие от резекций обеспечивают биомеханический покой легочной ткани, создают условия для заживления полостей и рассасывания инфильтративных и очаговых изменений в легком, становятся все более востребованными.
Все шире внедряется в клиническую практику экстраплевральный пневмолиз силиконовым имплантом, который обеспечивает максимальный эффект компрессии полостных образований. В то же время при длительном течении деструктивного процесса развиваются фиброзные изменения легочной ткани и стенок каверны, в результате чего достичь полноценного коллапса полостей с помощью пломбы обычно не удается. В данной ситуации, согласно нашему опыту, целесообразно выполнение одномоментной экстраплевральной резекции легкого и пломбировки силиконовым имплантом, что препятствует перерастяжению оставшейся легочной ткани, предотвращая развитие эмфиземы и прогрессирование туберкулезного воспаления в оставшихся очагах.
ЗАКЛЮЧЕНИЕ
Резекционные операции, направленные на санацию очага туберкулезной инфекции, можно сочетать с коллапсохирургическими технологиями, способствующими заживлению полостей и рассасыванию казеозных масс. Сочетание этих методик может быть оптимальным при прогрессирующем распространенном деструктивном туберкулезе легких с широкой лекарственной устойчивостью микобактерий с преобладанием цирротического компонента. Симультантность экстраплевральных резекций и пломбировки после комплексной предоперационной подготовки с использованием таких патогенетических методов, как внутривенное лазерное облучение крови и искусственный пневмоперитонеум, демонстрирует эффективность подобного подхода в достижении стойкого клинического излечения пациента с хроническим рецидивирующим течением заболевания.
Информированное согласие
От пациента получено информированное согласие на использование его персональных данных в качестве иллюстраций профессиональной деятельности, а также в научной работе, статьях и обучающих материалах.
ИСТОЧНИК ФИНАНСИРОВАНИЯ
Работа выполнена в рамках темы НИР № 0515-2019-0017 «Разработка хирургических методов лечения распространенного туберкулеза органов дыхания и костно-суставной системы».
КОНФЛИКТ ИНТЕРЕСОВ
Авторы подтверждают отсутствие конфликта интересов, который необходимо обнародовать.
УЧАСТИЕ АВТОРОВ
Е.В. Красникова — разработка концепции, написание текста, создание дизайна исследования; Л.Н. Лепеха — разработка концепции, проведение и анализ патогистологического изучения операционного материала с определением степени активности туберкулезного воспаления; В.К. Алиев — подготовка иллюстраций, форматирование текста; А.Э. Эргешова — курация пациента весь период его нахождения в клинике, участие в операции; Р.В. Тарасов — подготовка текста, выбор иллюстраций, редактирование; М.А. Багиров — разработка органосохраняющего направления во фтизиохирургии, создание концепции данного клинического наблюдения, выполнение операции.
About the authors
Elena V. Krasnikova
Central Research Institute of the Tuberculosis
Author for correspondence.
Email: el.krasn@gmail.com
ORCID iD: 0000-0002-5879-7062
SPIN-code: 4252-8340
Senior scientific researcher, Surgical Department
Russian Federation, MoscowL. N. Lepeha
Central Research Institute of the Tuberculosis
Email: lep3@yandex.ru
ORCID iD: 0000-0002-6894-2411
SPIN-code: 6228-8382
докт. биол. наук, профессор, руководитель отдела патоморфологии, клеточной биологии и биохимии
Russian Federation, MoscowV. K. Aliev
Central Research Institute of the Tuberculosis
Email: vilaliev@gmail.com
ORCID iD: 0000-0002-0105-1980
SPIN-code: 7069-7778
мл. науч. сотр.
Russian Federation, MoscowR. V. Tarasov
Central Research Institute of the Tuberculosis
Email: etavnai@yandex.ru
ORCID iD: 0000-0001-9498-1142
SPIN-code: 4245-1560
лаборант-исследователь отдела хирургии
Russian Federation, MoscowA. E. Ergeshova
Central Research Institute of the Tuberculosis
Email: motilek2790@mail.ru
ORCID iD: 0000-0001-7027-3598
SPIN-code: 6949-9530
врач-хирург 2-го хирургического отделения
Russian Federation, MoscowM. A. Bagirov
Central Research Institute of the Tuberculosis
Email: bagirov60@gmail.com
ORCID iD: 0000-0001-9788-1024
SPIN-code: 8820-5448
докт. мед. наук, руководитель отдела хирургии
Russian Federation, MoscowReferences
- Отс О.Н., Агкацев Т.В., Перельман М.И. Хирургическое лечение туберкулеза легких при устойчивости микобактерий к химиопрепаратам // Проблемы туберкулеза. — 2009. — Т.86. — №2. — С. 42–49. [Ots ON, Agkatsev TV, Perelman MI. Surgical treatment for pulmonary tuberculosis with Mycobacterium resistance to drugs. Tuberculosis and lung diseases. 2009;86(2):42–49. (In Russ).]
- Kang MW, Kim HK, Choi YS, et al. Surgical treatment for multidrug-resistant and extensive drug-resistant tuberculosis. Ann Thorac Surg. 2010;89(5):1597–1602. doi: 10.1016/j.athoracsur.2010.02.020.
- Dara M, Sotgiu G, Zaleskis R, Migliori GB. Untreatable tuberculosis: is surgery the answer? Eur Respir J. 2015;45(3):577–582. doi: 10.1183/09031936.00229514.
- Шевченко А.А., Жила Н.Г., Шевченко А.В., и др. Коллапсохирургическое лечение распространенных деструктивных форм туберкулеза легких // Дальневосточный медицинский журнал. — 2014. — №4. — С. 113–116. [Shevchenko AA, Zhila NG, Shevchenko AV, et al. Collapse therapy treatment of destructive lung tuberculosis. Dal’nevostochnyj medicinskij zhurnal. 2014;(4):113–116. (In Russ).]
- Савенков Ю.Ф., Корпусенко И.В., Дуплий Т.И., и др. Категории операционного риска в хирургии туберкулеза легких // Хирургия Украины. — 2011. — №2. — С. 13–19. [Savenkov YuF, Korpusenko IV, Duplyi TI, et al. Operative risk categories in lang tuberculosis surgery. Surgery of Ukraine. 2011;(2):13–19. (In Russ).]
- Jouveshomme S, Dautzenberg B, Bakdach H, Derenne JP. Preliminary results of collapse therapy with plombage for pulmonary disease caused by multidrug-resistant mycobacteria. Am J Respir Crit Care Med. 1998;157(5 Pt 1):1609–1615. doi: 10.1164/ajrccm.157.5.9709047.
- Патент РФ на изобретение RU № 2612601. Багиров М.А., Ибриев А.С., Красникова Е.В., и др. Способ экстраплеврального пневмолиза при лечении распространенного фиброзно-кавернозного туберкулеза легких. [Patent RUS № 2612601. Bagirov MA, Ibriev AS, Krasnikova EV, i dr. Sposob ekstraplevral’nogo pnevmoliza pri lechenii rasprostranennogo fibrozno-kavernoznogo tuberkuleza legkih. (In Russ).] Доступно по: https://www1.fips.ru/wps/PA_FipsPub/res/Doc/IZPM/RUNWC1/000/000/002/612/601/%D0%98%D0%97-02612601-00001/DOCCLAIM.PDF. Ссылка активна на 13.04.2019.
Supplementary files








