Treatment of giant follicular cyst of the upper jaw
- Authors: Maximova N.V.1, Dulov F.V.2, Tkachuk M.F.1,2
-
Affiliations:
- Ryazan State Medical University
- Ryzan Regional Clinical Hospital
- Issue: Vol 10, No 3 (2019)
- Pages: 83-90
- Section: Case reports
- Submitted: 06.05.2019
- Accepted: 11.09.2019
- Published: 06.11.2019
- URL: https://clinpractice.ru/clinpractice/article/view/12613
- DOI: https://doi.org/10.17816/clinpract10383-90
- ID: 12613
Cite item
Full Text
Abstract
Background. The article describes a clinical case of a successful surgical treatment of a large size follicular cyst pushing the anterior-inferior wall of the left maxillary sinus and the lower nasal concha, with the maxillary alveolar process osteoplasty.
Clinical case description. According to the results of cone beam computed tomography, the size of the follicular cyst before the treatment was 45.4–23.3–39.7 mm. After the endodontic treatment, cystectomy, cystostomy, plastic surgery of the alveolar process of the upper jaw, the bone defect is reduced by two times, disconnected from the oral cavity.
Conclusion. By the example of the presented clinical case, it has been shown that large jaw cysts require a multi-stage treatment with the participation of narrow specialists of related profiles.
Full Text
ОБОСНОВАНИЕ
Фолликулярная киста — это медленно растущая доброкачественная одонтогенная киста невоспалительного генеза, происхождение которой связано с нарушением развития зубного зачатка. Вопросы этиологии и патогенеза фолликулярных кист челюстей до сих пор изучены недостаточно. По мнению ряда отечественных авторов [1–3], главная роль в возникновении фолликулярных кист отводится воспалительному механизму как фактору раздражения. Зарубежные авторы [4–8] описывают патогенез кист как результат задержки прорезывания постоянных зубов, вследствие которого пролиферация клеток стенок фолликула способствует накоплению жидкости. Особую активность отводят гену белка, регулирующего дифференцировку и рост клеток, РТСН (protein patched homolog 1) во всех одонтогенных опухолях и кистах, который, по мнению исследователей, активирует бесконтрольную пролиферацию клеток [9, 10].
Размеры кист вариабельны. Так, Л. Авазматова делит фолликулярную кисту на малые диаметром до 1,5 см, средние — от 1,5 см до 2,5 см, большие — более 2,5 см [11]. С. Миньков делит фолликулярные кисты в зависимости от объема на маленькие до 3 см3, средние до 10 см3 и большие до 40 см3 [12]. Однако встречаются кисты, превосходящие стандартные размеры.
КЛИНИЧЕСКИЙ ПРИМЕР
О пациенте
В отделение челюстно-лицевой хирургии областной клинической больницы г. Рязани обратился пациент Д. в возрасте 33 лет с жалобами на искривление зубного ряда во фронтальном отделе верхней челюсти слева, гнусавость голоса, заложенность носового дыхания слева. Данные жалобы беспокоили пациента на протяжении 3 лет, в течение последнего календарного года пациент отметил стабильное ухудшение состояния.
Диагностические процедуры
При визуальном осмотре: лицо симметрично; рот открывает в полном объеме на 5 см; отмечается незначительная сглаженность носогубной складки слева; носовое дыхание затруднено (больше выражено слева). При передней риноскопии: носовая перегородка по средней линии, определяется «валик Гербера»; слизистая оболочка носа не отечная, влажная; носовые ходы свободные, значительно уменьшены в размерах, раковины не увеличены, в носовых ходах скудное слизистое отделяемое. Регионарные лимфатические узлы в пределах физиологической нормы. Слизистая оболочка губ, десен, внутренней поверхности щек бледно-розового цвета, достаточно увлажнена. Устья выводных протоков слюнных желез околоушных, подчелюстных и подъязычных без особенностей. Язык подвижный, влажный, бледно-розового цвета. Слизистая оболочка твердого и мягкого нёба розовая, влажная; мягкое нёбо подвижно. Зубы 1.1-2.3 — подвижность 1–2-й степени. В области верхней челюсти слева при пальпации наружной кортикальной пластинки с вестибулярной стороны определяется незначительная деформация в виде выпячивания, симптом Дюпюитрена положительный.
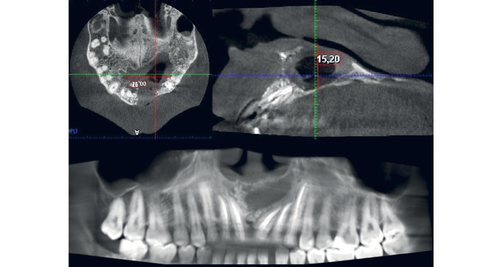
На конусно-лучевой компьютерной томограмме определяется очаг деструкции костной ткани округлой формы с четко ограниченными контурами, размерами 45,46×22,5×39,7 мм (рис. 1). Сверхкомплектный зуб располагается в полости очага деструкции верхней челюсти, частично оттесняя передненижнюю стенку левого верхнечелюстного синуса и нижнюю носовую раковину на 12 мм относительно нижней носовой раковины с противоположной стороны.
Рис. 1. Пациент Д., 33 года: данные конусно-лучевой компьютерной томографии на первичном приеме
Результаты лабораторных исследований в пределах физиологической нормы.
Консультации специалистов
Терапевт: данных за общую соматическую патологию не выявлено.
Оториноларинголог: фолликулярная киста верхней челюсти, затруднение носового дыхания.
Предварительный диагноз
На основании данных объективного осмотра и рентгенологического исследования больному был поставлен диагноз: «Фолликулярная киста верхней челюсти слева от сверхкомплектного зуба».
Лечение, динамика, исходы
При помощи конусно-лучевой компьютерной томографии кортикальную пластинку со стороны полости носа и верхнечелюстного синуса слева визуализировать не удалось из-за больших размеров кисты. Ввиду высокого риска формирования широкого стойкого сообщения полости рта с полостью носа операция цистотомии пациенту не рекомендовалась. Ему было предложено выполнение цистэктомии с пластикой дефекта кортикальной пластинки альвеолярного отростка верхней челюсти титановой сеткой.
В период подготовки пациента к плановой операции было проведено предварительное эндодонтическое лечение зубов (1.2-2.3), которые прилежат корнями в полость кисты, корни зубов не лизированы. Данные о качестве эндодонтического лечения представлены на рис. 2.
Рис. 2. Пациент Д., 33 года: данные конусно-лучевой компьютерной томографии. Результат удовлетворительно проведенного эндодонтического лечения зубов 1.2-2.3, прилегающих к полости кисты, спустя 1 мес
Для исключения возникновения возможных инфекционно-воспалительных осложнений после эндодонтического лечения выжидали 1 мес. После контрольного исследования, подтвердившего качество эндодонтического лечения (см. рис. 2), было принято решение о выполнении оперативного вмешательства — удалении фолликулярной кисты с пластикой дефекта кортикальной пластинки отростка верхней челюсти титановой сеткой.
Удаление фолликулярной кисты с пластикой дефекта кортикальной пластинки отростка верхней челюсти титановой сеткой
Перед операцией у пациента было получено информированное добровольное согласие на оперативное вмешательство. Больному под инфраорбитальной, резцовой и инфильтрационной анестезией (sol. Ubistesini 4% 1:100 000 5.1 ml) была выполнена операция — тотальная экстирпация кисты верхней челюсти с одномоментным удалением сверхкомплектного зуба. Костная полость была заполнена фибриновыми сгустками, обогащенными тромбоцитами и ксеногенным костнозамещающим материалом Bio-Oss (Geistlich Biomaterials, Швейцария). Дефект передней стенки верхней челюсти слева замещен пластинчатой титановой сеткой (KLS Martin, Германия) размерами 3,0×2,0 см, которая зафиксирована самонарезающими титановыми винтами 1,2 мм (Conmet, Россия).
В послеоперационный период пациенту производили антисептическую обработку раны 0,05% раствором хлоргексидина. Рана заживала первичным натяжением, швы сняты на 10-е сут после операции.
Назначены антибиотикотерапия амоксициллином клавуланатом в дозе 0,625 г 2 раза в день перорально курсом на 7 дней; нимесулид в дозе 0,1 г 2 раза в день перорально курсом на 3 дня; Диазолин в дозе 0,1 г 2 раза в день перорально курсом на 3 дня. Со дня операции по удалению фолликулярной кисты верхней челюсти выполнялся курс физиотерапии с целью купирования воспалительных явлений и уменьшения отека, применяли сверхвысокочастотную терапию.
Больной выписан с улучшением на амбулаторное долечивание в поликлинику.
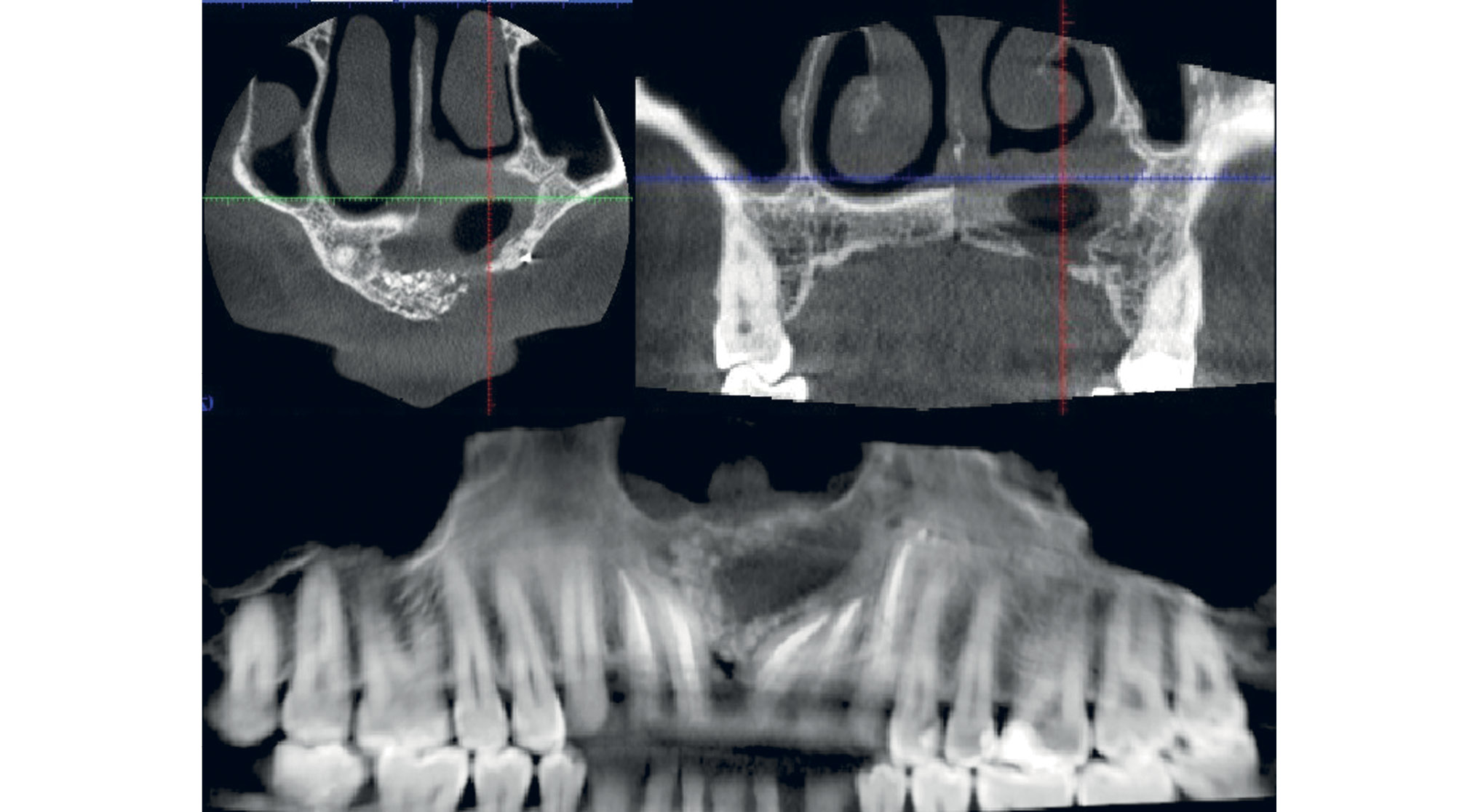
На контрольном осмотре на 30-е сут после оперативного вмешательства больной жалоб не предъявлял. В области послеоперационного рубца слизистая оболочка бледно-розового цвета. Дефектов слизистой оболочки нет. Пациент отмечает улучшение носового дыхания. По данным контрольной конусно-лучевой компьютерной томографии полость кисты заполнена однородным содержимым. В области кортикальной пластинки верхней челюсти равномерно распределен ксеногенный костнозамещающий материал (рис. 3).
Рис. 3. Пациент Д., 33 года: данные контрольной конусно-лучевой компьютерной томографии через 1 мес после операции. Полость кисты заполнена однородным содержимым, дефект передней стенки верхней челюсти слева замещен пластинчатой титановой сеткой
Через 2 мес после оперативного вмешательства пациент Д. повторно обратился в отделение челюстно-лицевой хирургии ГБУ РО «ОКБ» с жалобами на боль в области верхней челюсти, гнилостный запах из полости носа, повышение температуры тела. Пациент связывал данное состояние с перенесенным ранее острым респираторным заболеванием. Объективно: общее состояние удовлетворительное. Асимметрия лица за счет незначительного отека мягких тканей лица слева. Рот открывает в полном объеме на 5 см свободно, сглаженность носогубной складки слева. Носовое дыхание затруднено слева. Слизистая оболочка носа отечна, гиперемирована, влажная; носовые ходы свободные, из левого носового хода скудное слизисто-гнойное отделяемое. Слизистая оболочка десны в области установленной металлоконструкции гиперемирована, отечна, влажная. Пальпация в области альвеолярного отростка верхней челюсти умеренно болезненна слева. Зубы 1.1-2.3 — подвижность 1–2-й степени.
Результаты лабораторных исследований: показатели биохимического и клинического анализов крови, а также общего анализа мочи в пределах физиологической нормы.
При пункции костной полости получена жидкость бурого цвета с белыми вкраплениями. Предварительно выставлен диагноз: «Абсцедирование постоперационной раны в области верхней челюсти слева».
Формирование сообщения костной полости с преддверием рта
После подписания информированного добровольного согласия на проведение оперативного вмешательства было выполнено удаление титановой конструкции, дренирование полости дефекта и последующее формирование сообщения костной полости с преддверием рта, тампонада сформированного сообщения йодоформной турундой.
В послеоперационный период пациенту производили антисептическую обработку раны 0,05% раствором хлоргексидина. Рана заживала вторичным натяжением. Проведена антибиотикотерапия, назначены антигистаминные и нестероидные противовоспалительные препараты.
На протяжении последующих 7 мес пациент 1 раз в неделю приходил на перевязку для замены йодоформной турунды. Клинически из раны выделялось содержимое слизисто-серозного характера. За время проведения перевязок размеры дефекта уменьшились примерно в 2 раза (рис. 4).
Рис. 4. Пациент Д., 33 года: контроль конусно-лучевой компьютерной томографии спустя 7 мес после операции
После замедления регенеративных процессов в костной ране совместно с ЛОР-врачом был проведен клинический осмотр: сообщение полости носа с полостью кисты не было визуализировано, однако носовая проба оставалась положительной. На основании представленных данных следует, что полость носа сообщается с полостью рта посредством сформировавшегося дефекта (рис. 5).
Рис. 5. Пациент Д., 33 года: данные конусно-лучевой компьютерной томографии. Состояние полости дефекта перед оперативным вмешательством
Устранение сообщения полости рта с полостью носа
После подписания информированного добровольного согласия на проведение оперативного вмешательства была выполнена операция, по устранению сообщения полости рта с полостью носа.
Суть операции: под эндотрахеальным наркозом и инфильтрационной анестезией (sol. Noropini 0,75% 6.0 ml с адреналином) больному выполнено удаление слизисто-надкостничной выстилки из костной полости, дном костной полости служила слизистая оболочка переднего носового хода. Под эндо-видеосопровождением была удалена вся подвижная слизистая оболочка, прилегающая к кистозной полости, с целью получения широкого стойкого сообщения полости носа с полостью кисты. Далее в костную полость была уложена йодоформная турунда, конец которой выводился через левый носовой ход, после чего была проведена пластика слизистой оболочки в области преддверья полости рта для ограничения ротовой полости от полости дефекта. Слизисто-надкостничная выстилка отправлена на гистологическое исследование. Йодоформная турунда удалена на 4-е сут после операции. Интраоперационно проведена антибиотикопрофилактика. Послеоперационный период протекал без особенностей. Пациенту ежедневно проводили антисептическую обработку раны. Швы сняты на 10-е сут после операции. Заживление раны первичным натяжением. Назначались антигистаминные и нестероидные противовоспалительные препараты.
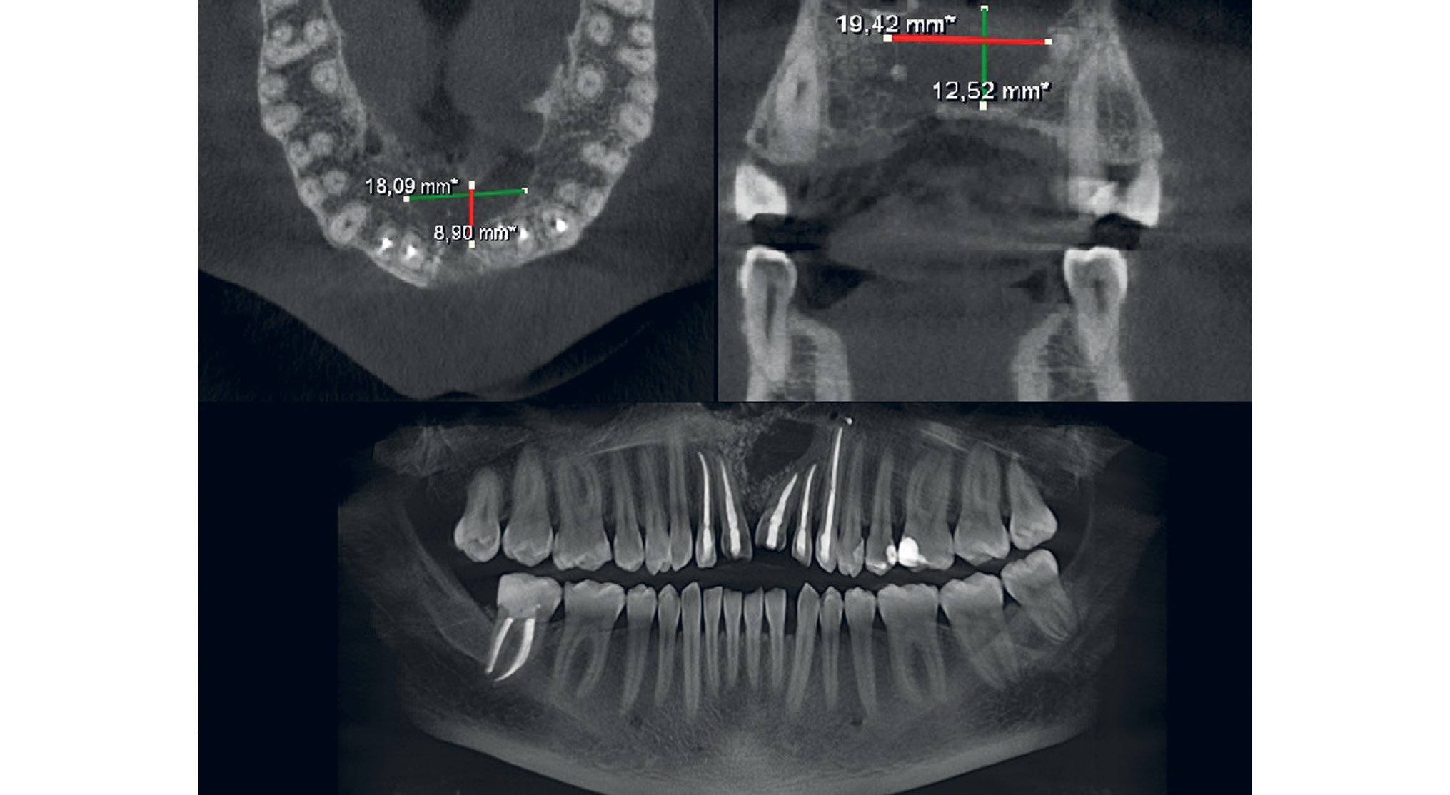
По результатам гистологического исследования (от 22.07.2018): выстилка костной полости представлена фиброзной тканью, выстланной многослойным плоским эпителием с признаками хронического воспаления.
По данным клинического осмотра через 3 мес после оперативного лечения: лицо симметрично; рот открывает в полном объеме на 5 см; носовое дыхание свободное. При передней риноскопии носовая перегородка по средней линии. В переднем отделе левого носового хода определяется сформированное соустье с полостью дефекта. Слизистая оболочка носа неотечная, влажная; носовые ходы свободные, раковины не увеличены, в носовых ходах скудное слизистое отделяемое. Регионарные лимфатические узлы в пределах физиологической нормы.
По данным конусно-лучевой компьютерной томографии: в результате операции сформировался чуть более расширенный левый носовой ход за счет перевода костной полости в полость левого носового хода. Содержимое костной полости однородное. Наблюдается значительное уменьшение размеров костной полости (рис. 6–8).
Рис. 6. Пациент Д., 33 года: данные конусно-лучевой компьютерной томографии. Состояние костной полости через 3 мес после последнего оперативного лечения
Рис. 7. Пациент Д., 33 года: данные конусно-лучевой компьютерной томографии. Состояние полости дефекта через 9 мес после последнего оперативного вмешательства
Рис. 8. Внешний вид пациента Д. через 10 мес после последнего оперативного вмешательства
Прогноз
Прогноз для пациента благоприятный: при условии дальнейшего ортодонтического лечения прогнозируется полное выздоровление в функциональном, а также социальном аспекте. Наиболее существенными для благоприятного прогноза рекомендациями считаем контрольный осмотр челюстно-лицевым хирургом через полгода и контрольное выполнение конусно-лучевой компьютерной томографии.
ОБСУЖДЕНИЕ
Ввиду развития стоматологической службы в России, а именно обязательные плановые осмотры пациентов врачом-стоматологом, своевременная диагностика с использованием современного рентгенокомпьютерного оборудования, кисты больших размеров встречаются довольно редко. Однако вследствие бессимптомного течения, а также удаленности проживания больных от высокоспециализированных медицинских учреждений вопрос лечения большеразмерных кист остается актуальным.
Особенностями ведения конкретного клинического случая являются консультации, а также лечение у смежных специалистов (стоматолог-терапевт, стоматолог-ортодонт, оториноларинголог). Данный подход позволил сохранить все зубы, расположенные верхушками корней в полость кисты. Для кисты с характерным нарушением анатомической конфигурации альвеолярного отростка верхней челюсти, формированием стойкого ороназального сообщения альтернативным методом лечения могла быть цистотомия [13]. Также возможно выполнение реконструкции дефекта верхней челюсти путем аутотрансплантации донорской кости на сосудистой ножке [14] с последующей дентальной имплантацией, однако в конкретном клиническом случае мы считаем такой метод нерациональным ввиду его повышенной инвазивности, дороговизны и ряда технических сложностей.
ЗАКЛЮЧЕНИЕ
Таким образом, мы рекомендуем проведение эндодонтического лечения при условии, что содержимое кисты стерильно, отсутствуют инфекционно-воспалительные процессы в организме, а также иные противопоказания. Полость оставшегося дефекта рекомендуется сообщать с менее агрессивными условиями среды полости носа.
Лечение фолликулярных кист больших размеров — длительный и многоэтапный процесс. На данном клиническом примере у пациента с фолликулярной кистой больших размеров нам удалось полностью сохранить все зубы верхней челюсти, восстановить контур альвеолярного отростка верхней челюсти в результате проведенных оперативных вмешательств. Представленная методика пластики сообщения дефекта с полостью рта и выведение ее сообщения в передний отдел носа — более физиологичная, устраняет риск попадания в полость дефекта элементов пищи и слюны, сокращает время ремоделирования соединительно-тканного компонента в костную ткань.
Информированное согласие
От пациента получено письменное добровольное информированное согласие на публикацию результатов его обследования и лечения (дата подписания 14.03.2019).
ВЫРАЖЕНИЕ ПРИЗНАТЕЛЬНОСТИ
Выражаются слова благодарности стоматологу-терапевту Т.Д. Гунба за активное участие в ходе лечения пациента; ЛОР-врачу Д.С. Пшенникову за консультирование и помощь в планировании тактики ведения пациента.
ИСТОЧНИК ФИНАНСИРОВАНИЯ
Исследование проведено без спонсорской поддержки.
КОНФЛИКТ ИНТЕРЕСОВ
Авторы подтверждают отсутствие конфликта интересов, о котором необходимо сообщить.
УЧАСТИЕ АВТОРОВ
Н.В. Максимова, Ф.В. Дулов и М.Ф. Ткачук в равной мере принимали участие в разработке концепции, написании текста и создании дизайна исследования.
About the authors
N. V. Maximova
Ryazan State Medical University
Email: natali2411@bk.ru
ORCID iD: 0000-0003-3935-4765
SPIN-code: 1635-8847
канд. мед. наук, доцент кафедры хирургической стоматологии и челюстно-лицевой хирургии
Russian Federation, RyazanFilipp V. Dulov
Ryzan Regional Clinical Hospital
Author for correspondence.
Email: bfilq@rambler.ru
ORCID iD: 0000-0002-6753-271X
Dentist surgeon of the Department of Maxillofacial Surgery
Russian Federation, RyzanM. F. Tkachuk
Ryazan State Medical University; Ryzan Regional Clinical Hospital
Email: te-bag@ya.ru
ORCID iD: 0000-0002-4200-4865
ординатор кафедры хирургической стоматологии по специальности «челюстно-лицевая хирургия»
Russian Federation, RyzanReferences
- Соловьев М.М., Семенов Г.М., Галецкий Д.В. Оперативное лечение одонтогенных кист. — СПб.: СпецЛит; 2004. — С. 18–20. [Solov’ev MM, Semenov GM, Galeckij DV. Operativnoe lechenie odontogennyh kist. Saint Petersburg: SpecLit; 2004. рр. 18–20. (In Russ).]
- Хирургическая стоматология и челюстно-лицевая хирургия. Национальное руководство. / Под ред. А.А. Кулакова, Т.Г. Робустовой, А.И. Неробеева. — М.: ГЭОТАР-Медиа; 2010. — 754 с. [Hirurgicheskaja stomatologija i cheljustno-licevaja hirurgija. Nacional’noe rukovodstvo. Ed by AA Kulakov, TG Robustova, AI Nerobeev. Moscow: GEOTAR-Media; 2010. 754 р. (In Russ).]
- Зыкин А.Г. Комплексный подход к ранней диагностике одонтогенных кистозных образований челюстей различного генеза, склонных к рецидиву и агрессивному инфильтративному росту // Проблемы стоматологии. — 2014. — №6. — С. 31–34. [Zykin AG. Kompleksnyj podhod k rannej diagnostike odontogennyh kistoznyh obrazovanij cheljustej razlichnogo geneza, sklonnyh k recidivu i agressivnomu infil’trativnomu rostu. Problemy stomatologii. 2014;(6):31–34. (In Russ).]
- Ткаченко П.І., Білоконь С.О., Гуржій О.В., Білоконь Н.П. Хронічний гранульоматозний періодонтит та кісти щелеп. — Полтава; 2006. — 54 с. [Tkachenko PІ, Bіlokon’ SO, Gurzhіj OV, Bіlokon’ NP. Hronіchnij granul’omatoznij perіodontit ta kіsti shhelep. Poltava, 2006. 54 р. (In Ukrainian).]
- Shear M, Speight P. Cysts of the oral and maxillofacial regions. 4th ed. [Internet]. Available from: http://bookre.org/reader?file=1058643.
- Proteins in fluid from non-keratinizing jaw cysts. 1. Separation patterns on cellulose acetate membranes and percentage distribution of the electrophoretic fractions. J Oral Pathol. 1973;2(2):112–125.
- Browne R.M. The pathogenesis of odontogenic cysts: a review. J Oral Pathol. 1975;4(1):31–46.
- Stenman G, Magnusson B, Lennartsson B, Juberg-Ode M. In vitro growth characteristics of human odontogenic keratocysts and dentigerous cysts. J Oral Pathol. 1986;15(3):143–145.
- Pilch Ben Z. Head and neck surgical pathology. Lippincott Williams & Wilkins; 2001. 721 p.
- Levanat S, Pavelić B, Crnić I, et al. Involvement of PTCH gene in various noninflammatory cysts. J Mol Med (Berl). 2000;78(3):140—146.
- Авазматова Л.К. Клинико-морфологическая характеристика одонтогенных кист челюстей у детей: Автореф. дис. … канд. мед. наук. — М., 1971. — 21 с. [Avazmatova LK. Kliniko-morfologicheskaya kharakteristika odontogennykh kist chelyustey u detey. [dissertation abstract] Moscow; 1971. 21 р. (In Russ).] Доступно по: https://search.rsl.ru/ru/record/01007215672. Ссылка активна на 14.06.2019.
- Миньков С.А., Васильцов М.К. Экспериментальное моделирование кистозных образований челюстей // Стоматология. — 1985. — Т.64. — №2. — С. 14–17. [Min’kov SA, Vasil’tsov MK. Eksperimental’noye modelirovaniye kistoznykh obrazovaniy chelyustey. Stomatologiya. 1985;64(2):14–17. (In Russ).]
- Галецкий Д.В. Оценка эффективности различных методов хирургического лечения одонтогенных кист челюстей: Автореф. дис. … канд. мед. наук. — СПб.; 2003. — 19 с. [Galeckij DV. Ocenka jeffektivnosti razlichnyh metodov hirurgicheskogo lechenija odontogennyh kist cheljustej. [dissertation abstract] Saint Petersburg; 2003. 19 р. (In Russ).] Доступно по: https://search.rsl.ru/ru/record/01002660342. Ссылка активна на 14.06.2019.
- Вербо Е.В. Возможности применения реваскуляризированных аутотрансплантатов при пластическом устранении комбинированных дефектов лица: Дис. … докт. мед. наук. — Москва; 2005. — 202 с. [Verbo EV. Vozmozhnosti primenenija revaskuljarizirovannyh autotransplantatov pri plasticheskom ustranenii kombinirovannyh defektov lica. [dissertation] Moscow; 2005. 202 р. (In Russ).] Доступно по: https://search.rsl.ru/ru/record/01004070706. Ссылка активна на 14.06.2019.
Supplementary files











