Анализ эффективности хирургической коррекции интракапсулярных нарушений височно-нижнечелюстного сустава
- Авторы: Ляшев И.Н.1, Дыбов А.М.2, Холмогорова П.В.2
-
Учреждения:
- Научно-клинический центр оториноларингологии ФМБА России
- Первый Московский государственный медицинский университет имени И.М. Сеченова (Сеченовский Университет)
- Выпуск: Том 10, № 2 (2019)
- Страницы: 6-13
- Раздел: Оригинальные исследования
- Статья получена: 01.07.2019
- Статья одобрена: 16.07.2019
- Статья опубликована: 17.08.2019
- URL: https://clinpractice.ru/clinpractice/article/view/14553
- DOI: https://doi.org/10.17816/clinpract1026-13
- ID: 14553
Цитировать
Полный текст
Аннотация
Актуальность. Распространенность болезней височно-нижнечелюстного сустава (ВНЧС) охватывает около 40% населения. Почти 79% этих заболеваний составляют интракапсулярные нарушения ВНЧС. Отсутствие единого мнения по вопросу применения методов лечения и четких протоколов реабилитации пациентов с интракапсулярными расстройствами ВНЧС послужило основанием к проведению настоящего исследования.
Цель исследования — анализ эффективности лечения пациентов с интракапсулярными нарушениями височно-нижнечелюстного сустава с помощью комплекса патогенетически обоснованных консервативных и хирургических методов.
Методы. В исследование включены 43 пациента с жалобами на боли в области ВНЧС и нарушение функции ВНЧС. Всем выполнен единый протокол обследования. В зависимости от степени заболевания пациентам назначались либо курс консервативного лечения с использованием дистракционной лечебно-диагностической каппы на нижней челюсти, либо хирургическая коррекция дефекта.
Результаты. Проанализировав динамику показателей проведенного лечения пациентов в рамках настоящего исследования, удалось обнаружить, что хирургическая коррекция интракапсулярных расстройств височно-нижнечелюстного сустава была эффективна у всех обследованных нами пациентов. Для сохранения долгосрочно стабильного результата данной группе пациентов показана ортодонто-ортопедическая реабилитация, имеющая целью создание и поддержание корректных окклюзионных взаимоотношений.
Полный текст
АКТУАЛЬНОСТЬ
Согласно данным Всемирной организации здравоохранения, около 40% населения имеют болезни височно-нижнечелюстного сустава (ВНЧС), из них почти 79% приходится на интракапсулярные заболевания ВНЧС, которые включают в себя развитие мягкотканных и костных патологий внутри капсулы [1-4].
Терапия интракапсулярных заболеваний ВНЧС обычно заключается в применении консервативных методов лечения [5, 6]. На сегодняшний день недостаточно изучены результаты хирургических методов в комплексной терапии патологических процессов на ВНЧС. Одни авторы считают, что использование окклюзионно-стабилизирующего аппарата и назначение физиотерапии является единственно верным подходом [7, 8], другие утверждают, что консервативные способы имеют определенные ограничения в своем применении, зачастую неэффективны и приводят к рецидивам заболевания [9, 10]. Отсутствие единого мнения по вопросу применения методов лечения и четких протоколов реабилитации пациентов с интракапсулярными расстройствами ВНЧС послужило основанием к проведению настоящего исследования.
Цель исследования — анализ эффективности лечения пациентов с интракапсулярными нарушениями ВНЧС с помощью комплекса патогенетически обоснованных хирургических методов.
МЕТОДЫ
В исследование было отобрано 43 из 97 обратившихся пациентов с интракапсулярной патологией ВНЧС. Все включенные в исследование пациенты проходили по единому протоколу обследования:
1) идентификация жалоб, сбор анамнеза;
2) оценка степени открывания полости рта, амплитуды латеротрузионных и протрузионных движений нижней челюсти;
3) пальпация мышц челюстно-лицевой области, пальпация ВНЧС;
4) анализ магнитно-резонансной томографии ВНЧС.
Всем пациентам определялся клинический индекс дисфункции Хелькимо, который используется для диагностики и установления степени выраженности дисфункции ВНЧС. Оценка симптомов производилась в баллах. Далее значения интерпретировались в степень дисфункции.
Регистрация интенсивности боли в области ВНЧС проводилась с помощью визуальной аналоговой шкалы по Хаскинсон на момент первичного обращения и в динамике после проведенной реабилитации пациента [11].
Локализация болевых ощущений пациентов определялась по карте боли, разработанной Мариано Рокабадо (M. Rocabado) (табл. 1).
Таблица 1
Карта боли Мариано Рокабадо | |
1. Передненижняя синовия | • Боли № 1, 5 и 8 происходят из-за компрессии мыщелка • Боли № 2 и 6 связаны с положением диска и указывают на переднюю и заднюю плотность участков диска • Боли № 1 и 3 связаны с возможной парафункцией мыщелка • Боли № 4 и 7: смещение локализации синовиальной боли от передней к задней указывает на смещение диска |
2. Передневерхняя синовия | |
3. Боковая коллатеральная связка | |
4. Височно-нижнечелюстная связка | |
5. Задненижняя синовия | |
6. Задневерхняя синовия | |
7. Биламинарная зона | |
8. Задисковые ткани | |
Оценка общего функционального состояния ВНЧС проводилась путем анализа объема ротационной и трансляционных фаз движения [12, 13]:
1) измеряли максимальную ротацию нижней челюсти;
2) измеряли максимальную трансляцию нижней челюсти. Совокупность этих измерений давала возможность оценить величину максимального открывания рта. Измерения проводились между контактными точками режущих краев резцов верхней и нижней челюстей;
3) максимальная правая и левая латеротрузия;
4) протрузия нижней челюсти.
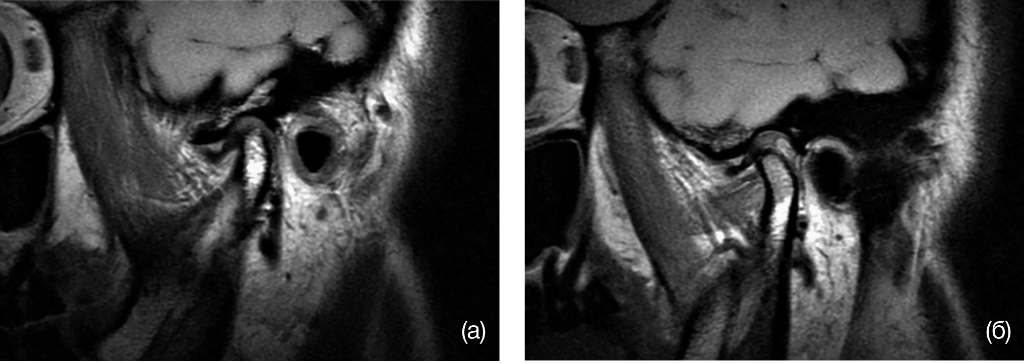
В случае обнаружения функциональных проблем со стороны ВНЧС проводили дополнительные методы обследования, а именно магнитно-резонансную томографию (МРТ) ВНЧС исходно и через 6 мес после лечения в положении открытого и закрытого рта (рис. 1).
Интерпретация данных МРТ выполнялась по шкале интракапсулярного расстройства ВНЧС (A Temporomandibular Joint Internal Derangement Score, TIDS) и была представлена 6 характеристиками: выпот в капсуле сустава (синовит), смещение диска c репозицией, смещение диска без репозиции, дегенеративные изменения диска, нарушенная трансляция мыщелкового отростка и мыщелковый артрит [14-16]. Хирургическая коррекция положения диска открытым доступом проведена 14 пациентам. Показания к оперативному вмешательству в области ВНЧС определялись с помощью классификации Wilkes (1989 г.) (табл. 2) [17]. Согласно данной клинико-рентгенологической классификации, показаниями к проведению хирургической коррекции положения диска являются:
- боли в области ВНЧС, ограничение открывания рта;
- отсутствие положительного эффекта от консервативного лечения;
- блокировка сустава, асимметричные движения нижней челюсти;
- нарушение анатомических структур ВНЧС по результатам компьютерной томографии;
- смещение нормального или деформированного диска с репозицией, и без репозиции, смещение головки мыщелкового отростка кпереди, сужение суставной щели по результатам МРТ.
Рис. 1. Положение суставной головки при закрытом (а) и открытом (б) рте
Примечание. (а) — передняя дислокация диска височно-нижнечелюстного сустава, (б) — смещение диска височно-нижнечелюстного сустава без репозиции.
Таблица 2
Клинико-рентгенологическая характеристика стадий поражения височно-нижнечелюстного сустава согласно международной классификации Wilkes, 1989 г.
Стадия | Клинические признаки | Рентгенологические признаки | Лечение |
1-я Ранние изменения | Периодические боли в области сустава; шума, щелчка или блока нет, симметричные движения нижней челюсти | Нормальная анатомия сустава по МРТ или КТ | Консервативное (диета, физиотерапия, ортопедическая реабилитация). Хирургии не требуется |
Таблица 2 (окончание)
Стадия | Клинические признаки | Рентгенологические признаки | Лечение |
2-я Незначительные изменения | Периодические боли в области сустава; щелчок и иногда ограничение движений нижней челюсти | На КТ — нормальная анатомия мыщелкового отростка, смещение диска с репозицией; на МРТ — выпот в полости сустава, адгезия диска | Консервативное; если положительный эффект не достигнут в первые 6 мес — хирургическое лечение |
3-я Умеренные изменения | Боли в области одного или обоих суставов, усиливающиеся при жевании; щелчок; ограничение: открывание рта с отклонением в сторону поражения, крепитация, рецидивирующий вывих | На КТ — нормальная анатомия мыщелкового отростка; на МРТ — смещение нормального или деформированного диска без репозиции, смещение головки мыщелкового отростка кпереди | В случае неуспешного консервативного лечения в течение 6 мес — хирургическое лечение |
4-я Выраженные изменения | Постоянные боли в области обоих суставов, резко усиливающиеся при жевании; болезненная крепитация; ограничение открывание рта на 1/2 объема | На КТ — изменения анатомии и уплощение головки мыщелкового отростка, остеофиты; на МРТ — смещение деформированного диска без репозиции | Артроскопия, кондилопластика, дискэктомия. Возможна открытая хирургия |
5-я Тяжелые изменения | Постоянные невыносимые боли в области суставов, крепитация; ограничение: открывание рта более чем на 1/2 объема | На КТ — дегенеративные изменения костных структур; на МРТ — деструкция или лизис диска | Комплексное |
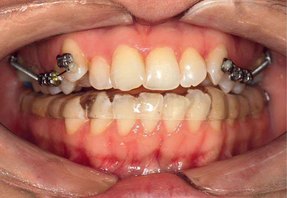
Все пациенты проходили курс консервативного лечения с использованием дистракционной лечебно-диагностической каппы на нижней челюсти в течение 3-4 мес (рис. 2), после чего проводилась повторная диагностика, по результатам которой принималось решение о проведении хирургического вмешательства на ВНЧС при наличии показаний.
Хирургическая коррекция по восстановлению положения диска открытым доступом проводилась на базе отделения челюстно-лицевой и пластической хирургии ФГБУ «Научно-клинический центр отоларингологии» ФМБА России. Для коррекции механических нарушений ВНЧС, увеличения объема движений в суставе и уменьшения болей обычно проводится репозиция диска, впервые описанная W. McCarty и W. Farrar в 1979 г. (рис. 3).
В рамках настоящего исследования нами была разработана схема, которая позволяет соотнести полученные диагностические данные между собой (индекс Helkimo, шкала TIDS, классификация по Wilkes, шкала интенсивности боли VAS, локализация болей по карте боли М. Rocabado) (табл. 3).
Рис. 2. Консервативное лечение с использованием дистракционной лечебно-диагностической каппы
Примечание. Лечебно-диагностическая дистракционно-протрузионная каппа на нижней челюсти: этап коррекции.
Таблица 3
Соотношение клинических и рентгенологических данных с классификацией поражения височно-нижнечелюстного сустава, интенсивностью и локализацией боли
Степень дисфункции | Heikimo, баллы | TIDS, баллы | Wilkes, стадия | VAS, баллы | MR, точки |
Отсутствует | 0 | 0-1 | 0 | 0-2 | 2;6 |
Легкая | 1-4 | 1-2 | 1 | 3-4 | 1;3 |
Средней тяжести | 5-9 | 3-4 | 2,3 | 5-6 | 7;4 |
Тяжелая | 10-25 | 5-6 | 4,5 | 7-10 | 1;5;8 |
Примечание. Helkimo — клинический индекс дисфункции по Хелькимо, TIDS — Шкала интракапсулярного расстройства височно-нижнечелюстного сустава, Wilkes — Международная классификация поражения височно-нижнечелюстного сустава, VAS — Визуальная аналоговая шкала интенсивности боли, MR — локализация болевых точек по карте боли M. Rocabado.
Таблица 4
Сравнительная характеристика параметров до хирургического лечения пациентов и спустя 6 мес после проведенной реабилитации
Параметры | Сравнительная характеристика | |
До | После | |
Helkimo, баллы | 16,2±1,7 | 6,1±1,4 |
TIDS, баллы | 5±2,2 | 2±1,1 |
Максимальное открывание полости рта, мм | 29±2,2 | 43,9±2,1 |
VAS, баллы | 7±2,1 | 2±1,1 |
Примечание. p<0,05.
Таблица 5
Распределение пациентов согласно Шкале интракапсулярного расстройства височно-нижнечелюстного сустава (TIDS) до и после проведенного лечения
Характеристика | Количество пациентов | |||
На момент обращения (n=43) | После сплинт-терапии (n=43) | После хирургической коррекции (n=14) | Через 6 мес (n=14) | |
Синовит | 33±2,1 | 18±2,1 | 5±1,1 | 1±1,3 |
Смещение диска с репозицией | 29±2,2 | 22±1,5 | 1±1,2 | 0 |
Смещение диска без репозиции | 14±1,3 | 14±2,1 | 2±1,3 | 2±1 |
Дегенеративные изменения диска | 8±2,1 | 8±1,2 | 6±1,8 | 5±1,2 |
Нарушение трансляции мыщелкового отростка | 12±2,7 | 11±1,2 | 10±2,2 | 0 |
Мыщелковый артрит | 2±1,2 | 2±1,3 | 0 | 0 |
Рис. 3. Этап хирургической коррекции положения диска открытым доступом: контроль репозиции диска при закрывании (а) и открывании (б) рта
Таблица 6
Результаты анализа МРТ ВНЧС при открытом и закрытом положении рта до лечения
Критерии | Положение открытого рта | Положение закрытого рта | ||||
На 3 ч | На 12 ч | На 9 ч | На 3 ч | На 12 ч | На 9 ч | |
Положение дистального полюса диска в кососагиттальной проекции | 0 | 2 | 36 | 0 | 1 | 37 |
Положение медиального полюса диска в кососагиттальной проекции | 0 | 3 | 35 | 0 | 1 | 37 |
Примечание: в графах указано количество пациентов с тем или иным положением диска ВНЧС относительно мыщелкового отростка.
Таблица 7
Результаты анализа МРТ ВНЧС при открытом и закрытом положении рта после проведенного лечения (хирургическая коррекция положения диска открытым доступом)
Критерии | Положение открытого рта | Положение закрытого рта | ||||
На 3 ч | На 12 ч | На 9 ч | На 3 ч | На 12 ч | На 9 ч | |
Положение дистального полюса диска в кососагиттальной проекции | 36 | 2 | 0 | 37 | 1 | 0 |
Положение медиального полюса диска в кососагиттальной проекции | 36 | 2 | 0 | 0 | 37 | 1 |
РЕЗУЛЬТАТЫ
В процессе обработки данных нами были получены результаты положительной динамики в процессе лечения пациентов (табл. 4, 5). У 8 (88,37%) из 43 обследованных пациентов с интракапсулярной патологией ВНЧС обнаружена та или иная дислокация диска в ВНЧС. Сравнительная характеристика, проводимая в процессе лечения данных пациентов, представлена в табл. 6, 7.
МРТ ВНЧС пациентов рассматривали в кососагиттальной и косокорональной проекциях. Оценивалось положение дистального и медиального полюсов диска по отношению к головке мыщелкового сустава. Динамическая визуализация выполнялась в прямой сагиттальной ориентации вдоль предполагаемой траектории мыщелкового движения. Также проводился анализ наличия патологических признаков в области ВНЧС, формы и размера головки мыщелкового отростка.
Выявлены различия в отношении динамики степени дисфункции ВНЧС. В 2,6 раза (с 16 до 6,1 баллов) уменьшился исходный показатель индекса Helkimo, что свидетельствует о смене клинической картины до легкой степени дисфункции ВНЧС у всех пациентов (рис. 4 а).
Рис. 4. Динамика функционального состояния височно-нижнечелюстного сустава в процессе лечения
Примечание. (а) — оценка дисфункции височно-нижнечелюстного сустава с использованием клинического индекса Helkimo, (б) — степень вертикального объема открывания рта до и после хирургического лечения ВНЧС, (в) — результаты исследования по шкале TIDS.
В отношении объема вертикальной амплитуды открывания полости рта было достигнуто улучшение результата в виде увеличения открывания рта у пациентов в 1,5 раза (c 29 до 43,9 мм) (рис. 4 б).
По данным контрольной МРТ ВНЧС, которая проводилась через 6 мес после хирургического лечения, отмечалась положительная (в 2,5 раза по сравнению с исходной клинической картиной) динамика в виде снижения патологических признаков в ВНЧС по шкале TIDS (с 5 баллов до менее чем 2 баллов) (рис. 4 в).
ВЫВОДЫ
- Морфофункциональный анализ полученных данных выявил, что 44,32% пациентов среди обратившихся с жалобами на боли в области ВНЧС и нарушение функции ВНЧС имели интракапсулярные расстройства ВНЧС.
- Патологический процесс смещения диска ВНЧС с репозицией был устранен в 96,56% случаев у пациентов, прошедших хирургическую коррекцию положения диска открытым доступом, в то время как в группе пациентов, находящихся на консервативном лечении, — лишь в 24,14%.
- Оперативное вмешательство по коррекции положения диска без репозиции позволило устранить патологический процесс у 85,72% пациентов.
- Дегенеративные изменения диска после хирургического вмешательства были улучшены в 1,33 раза, а спустя 6 мес после операции этот показатель составил 1,6.
ЗАКЛЮЧЕНИЕ
Хирургическая коррекция положения диска открытым доступом в качестве метода лечения интракапсулярных расстройств височно-нижнечелюстного сустава показала свою эффективность у всех обследованных нами пациентов. В качестве достижения долгосрочно стабильного результата данным пациентам было рекомендовано прохождение ортодонто-ортопедической реабилитации с целью создания и поддержания корректных окклюзионных взаимоотношений.
ИСТОЧНИК ФИНАНСИРОВАНИЯ
Исследование не имело спонсорской поддержки.
КОНФЛИКТ ИНТЕРЕСОВ
Авторы заявляют об отсутствии конфликта интересов.
Об авторах
Илья Николаевич Ляшев
Научно-клинический центр оториноларингологии ФМБА России
Автор, ответственный за переписку.
Email: mfsurg@gmail.com
ORCID iD: 0000-0001-7173-3111
канд. мед. наук, челюстно-лицевой хирург ФГБУ «НКЦ оториноларингологии»
Россия, МоскваАндрей Михайлович Дыбов
Первый Московский государственный медицинский университет имени И.М. Сеченова (Сеченовский Университет)
Email: andybov@gmail.com
ORCID iD: 0000-0002-2932-168X
канд. мед. наук, врач-ортодонт, стоматолог-ортопед, доцент кафедры стоматологии детского возраста и ортодонтии
Россия, МоскваПолина Вячеславовна Холмогорова
Первый Московский государственный медицинский университет имени И.М. Сеченова (Сеченовский Университет)
Email: kholmogorova.polina@bk.ru
ORCID iD: 0000-0003-4647-1345
ординатор кафедры стоматологии детского возраста и ортодонтии
Россия, МоскваСписок литературы
- Сысолятин П.Г., Ильин A.A. Показания и выбор хирургических мероприятий в комплексном лечении дисфункции височно-нижнечелюстного сустава. В сб.: Заболевания височно-нижнечелюстного сустава. / Под ред. В.А. Хватовой. — М.: Медицина, 1982. — С. 16-20. (Серия «Б-ка практ. врача»). [Sysolyatin PG, Il'in AA. Pokazaniya i vybor khirurgicheskikh meropriyatij v kompleksnom lechenii disfunktsii visochno-nizhnechelyustnogo sustava. In: Zabolevaniya visochno-nizhnechelyustnogo sustava. Ed by V.A. Khvatovа. Moscow: Meditsina; 1982. рр. 16-20. (Seriya «B-ka prakt. vracha»). (In Russ).]
- Ильин AA. Хирургическое лечение дисфункций височно-нижнечелюстного сустава. / Полвека на страже здоровья: Материалы докладов научно-практической конференции, посвященной 50-летию Областной клинической больницы. — Новосибирск: СО АМН СССР, 1989. — С. 132-133. [Il'in AA. Khirurgicheskoe lechenie disfunktsij visochno-nizhnechelyustnogo sustava. (Conference proceedings) Polveka na strazhe zdorov'ya: Materialy dokladov nauchno-prakticheskoj konferentsii, posvyashchennoj 50-letiyu Oblastnoj klinicheskoj bol'nitsy. Novosibirsk: SO AMN SSSR; 1989. рр. 132-133. (In Russ).]
- Коротких Н.Г., Морозов А.Н., Келейникова В.А. Артроскопия в диагностике и лечении травматических повреждений височно-нижнечелюстного сустава // Вестник новых медицинских технологий. — 2012. — Т.XIX. — №2. — С. 289-291. [Korotkikh NG, Morozov AN, Keleinikova VA. Arthroscopy in the diagnosis and treatment of traumatic injuries of the temporomandibular joint. Vestnik Novykh Meditsinskikh Tekhnologii. 2012;XIX(2):289-291. (In Russ).]
- Sysolatin PG, Ilyin AA. Treatment of internal derangevents of TMJ using microsurgical technique II. The internal ass. for max-fac.surg. Seattle, Washington, USA; 1992. Р. 21.
- Sysolatin PG, Ilyin АА, Ishenko NA, Makarova IA. Unqueshot inguries of the temporomandibular joint and their treatment II 17-th Congress of international 3ss.for max-fac.surg. St.-Petersburg; 1992. рр. 71-72.
- Katzberg RW, Westesson PL, Tallents RH, et al. Temporomandibular joint: MR assessment of rotational and sideways disk displacements. Radiology. 1988;169(3):741-748. doi: 10.1148/radiology.169.3.3186996.
- Clark GT, Delcanho RE, Goulet JP. The utility and validity of current diagnostic procedures for defining temporomandibular disorder patients. Adv Dent Res. 1993;7(2):97-112. doi: 10.1177/08959374930070022101.
- Parvizi J, Zmistowski B, Berbari EF et al. New definition for periprosthetic joint infection: from the workgroup of the musculoskeletal infection society. Clin Orthop Relat Res. 2011;469(11):2992-2994. doi: 10.1007/s11999-011-2102-9.
- Mercuri LG, Giobbe-Hurder A. Long-term outcomes after total alloplastic temporomandibular joint reconstruction following exposure to failed materials. J Oral Maxillofac Surg. 2004;62:1088-96.
- Yura S, Totsuka Y, Yoshikawa T, Inoue N. Can arthrocentesis release intracapsular adhesions? Arthroscopic findings before and after irrigation under sufficient hydraulic pressure. J Oral Maxillofac Surg. 2003;61(11):1253-1256.
- Яременко А.И., Королев В.О. Малоинвазивные хирургические методики лечения заболеваний височно-нижнечелюстного сустава. Обзор научной литературы // Вестник Новгородского государственного университета им. Ярослава Мудрого. — 2015. — №2. — С. 93-95. [Iaremenko AI, Korolev VO. Minimally invasive tmj-surgery methods. review of scientific literature. Vestnik Novgorodskogo gosudarstvennogo universiteta im. Yaroslava Mudrogo. 2015;(2):93-95. (In Russ).]
- Anderson QN, Katzberg RW. Patologic evaluation of disk dysfunction and osseus abnormalities of the temporomandibular joint. J Oral Maxillofac Surg. 1985;43(12):947-951. doi: 10.1016/0278-2391(85)90008-4.
- Kowalchuk RM, Kaplan-List K, Caplash JM, Block P. Temporomandibular joint (TMJ) Internal Derangement Score (TIDS): a New MRI-Based Scoring System for TMJ Internal Derangement: patient stratification based on the degree of TMJ pathology can help guide the most appropriate treatment ACR Annual Meeting and Chapter Leadership Conference (AMCLC). Washington, D.C.; 2014.
- Larheim TA, Katzberg RW, Westesson PL, et al. MR evidence of temporomandibular joint fluid and condyle marrow alterations: occurrence in asymptomatic volunteers and symptomatic patients. Int J Oral Maxillofac Surg. 2001;30(2):113-117. doi: 10.1054/ijom.2000.0018.
- Tomas X, Pomes J, Berenguer J, et al. MR imaging of temporomandibular joint dysfunction: a pictorial review. Radiographics. 2006;26(3):765-781. doi: 10.1148/rg.263055091.
- El-Essawy M, Al-Nakshabandi N, Al-Boukai A. Magnetic resonance imaging evaluation of temproman-dibular joint derangement in symptomatic and asymptomatic patients. Saudi Med J. 2008;29(10):1448-1452.
- Wilkes CH. Internal derangements of the temporomandibular joint. Pathological variations. Arch Otolaryngol Head Neck Surg. 1989;115(4):469-477. doi: 10.1001/archotol.1989.01860280067019.
Дополнительные файлы







