Внутренние грыжи как одна из причин возникновения абдоминалгий
- Авторы: Китаев В.М.1, Кошелев Э.Г.2,3, Соколова О.В.1, Беляев Г.Ю.2,4, Егоров А.А.4, Курзанцева О.О.5,6
-
Учреждения:
- Институт усовершенствования врачей Национального медико-хирургического центра им. Н.И. Пирогова
- Центральная государственная медицинская академия Управления делами Президента Российской Федерации
- Городская клиническая больница № 1 им. Н.И. Пирогова
- «Поликлиника № 2» Управления делами Президента РФ
- Федеральный научно-клинический центр специализированных видов медицинской помощи и медицинских технологий Федерального медико-биологического агентства России
- Городская клиническая больница имени С.П. Боткина
- Выпуск: Том 10, № 2 (2019)
- Страницы: 27-35
- Раздел: Оригинальные исследования
- Статья получена: 02.07.2019
- Статья одобрена: 03.07.2019
- Статья опубликована: 17.08.2019
- URL: https://clinpractice.ru/clinpractice/article/view/15199
- DOI: https://doi.org/10.17816/clinpract10227-35
- ID: 15199
Цитировать
Полный текст
Аннотация
Абдоминальные боли часто наблюдаются в клинической практике, вызывая диагностические трудности у врачей разных специальностей. Внутренние грыжи являются хирургической патологией и могут быть причиной развития острой тонкокишечной непроходимости и возникновения болевого синдрома. Представлена современная классификация внутренних грыж, дано их топографоанатомическое описание. Проведен анализ результатов компьютерной томографии (КТ) брюшной полости у 20 пациентов с неустановленной причиной абдоминальных болей. По данным КТ, у трех больных обнаружены внутренние грыжи, ставшие причиной развития болевого синдрома. У 4 больных с абдоминалгией продемонстрировано патологическое смещение кишечных петель с частичным нарушением кишечной проходимости и скручиванием брыжейки без критического нарушения кровоснабжения. Полученные данные свидетельствуют о том, что при обследовании пациентов с неустановленной причиной абдоминального болевого синдрома методом выбора может быть КТ.
Полный текст
ВВЕДЕНИЕ
Боль в области живота, или абдоминальная боль, часто встречается в клинической практике специалистов различного профиля. По данным крупного эпидемиологического исследования пациентов с абдоминальной болью [1] показано, что по крайней мере у одного из 20 больных, поступающих в отделение неотложной помощи, основной жалобой является острая боль в животе. Вместе с тем до 41,3% случаев причину возникновения болевого синдрома выявить так и не удается.
Абдоминальные боли нередко представляют диагностические трудности не только в общетерапевтической практике (гастроэнтеролога, гинеколога, уролога и невролога), но и в хирургической сфере, поскольку в большинстве случаев острые боли в животе вызваны причинами, не требующими инвазивного вмешательства. В частности, аппендицит как наиболее распространенная хирургическая патология встречается не более чем в 5% случаев острой боли в животе. Напротив, синдром раздраженного кишечника — рецидивирующее функциональное нарушение с расстройством стула и болевым синдромом при отсутствии органических причин для его развития — наблюдается в популяции существенно чаще — до 25% у женщин и до 19% у мужчин [2]. Интенсивные боли в животе у больных порфирией, эпилепсией, мигренью, тетанией и другими заболеваниями редко диагностируются в клинической практике. Например, абдоминальная мигрень наблюдается в популяции до 4,1% случаев и отличается приступами умеренной или выраженной боли в области средней линии живота, длительность которой может составлять до 3 суток, а также рвотой или другими симптомами [3]. При абдоминальной мигрени, преимущественно у пациентов детского возраста, отсутствуют какие-либо отклонения от нормы вне приступов, включая исследования желудочно-кишечного тракта или почек, что часто приводит к необоснованным диагностическим обследованиям и лечебным, порой инвазивным, процедурам. Вместе с тем следует помнить о данном диагнозе, напрямую определяющем дальнейшую тактику ведения больных [4].
АБДОМИНАЛГИИ ПРИ ВНУТРЕННИХ ГРЫЖАХ
Внутренние грыжи являются редкой хирургической патологией (не более 4% всех случаев абдоминалгий) и могут быть причиной развития острой тонкокишечной непроходимости и возникновения болевого синдрома. Внутренняя грыжа представляет собой выпячивание внутренних органов через брюшину или брыжейку в другой отсек брюшной полости. Причиной развития внутренних грыж считается нарушение внутриутробного слияния брюшинных листков, что обусловливает формирование необычных ямок и выемок, в которые при определенных условиях внедряются петли тонкого кишечника. Это, как правило, приводит к странгуляционной кишечной непроходимости с характерной клинической и рентгенологической картиной.
Внутренние грыжи имеют типичные места формирования и хорошо описаны в литературе. Согласно классификации, разработанной M. Meyers и соавт. [5], внутренние грыжи по типу грыжевого отверстия разделяют на 3 категории, представленные в таблице.
Таблица
Классификация внутренних грыж по типу грыжевого отверстия, согласно классификации M. Meyers и соавт.
Категория внутренних грыж | Локализация внутренних грыж | Примеры |
А | Грыжи овального отверстия (отверстия winslow) | Грыжа сальниковой сумки |
В | Грыжи необычных перитонеальных ямок или кармана в ретроперитонеальном пространстве | Парадуоденальные грыжи: грыжи Трейтца, перицекальные грыжи, межсигмовидные грыжи, внутренние грыжи таза |
С | Грыжи дефектов в брыжейках или внутрибрюшинных связках (чрезбрыжеечные и внутрибрыжеечные) | Грыжи дефектов в большом сальнике; грыжи брыжейки поперечной ободочной кишки, брыжейки сигмовидной кишки, серповидной связки |
К внутренним грыжам также относят различные варианты послеоперационных грыж, не рассматриваемых в данной статье.
При ущемлении внутренней грыжи по данным компьютерной томографии (КТ) визуализируются типичные рентгенологические признаки механической кишечной непроходимости по типу замкнутой петли, в которой сегмент кишечника перекрывается в терминальных точках на уровне грыжевого отверстия. Прямым признаком замкнутого контура на КТ являются раздутые жидкостью кишечные петли Uили С-образной формы с радиальным распределением по направлению к точке обструкции утолщенных мезентериальных сосудов. При наличии грыжевого мешка, при грыжах внутри листков брыжейки (intramesenteric abscess) инкапсулированные внутрикишечные петли на КТ-срезах имеют вид плотно расположенных шаровидных структур. Вместе с тем данные признаки не являются специфичными для внутренней грыжи и в равной степени характеризуют странгуляционную непроходимость вследствие заворота кишечника. Окончательный диагноз внутренних грыж требует идентификации грыжевых ворот, представляющих собой дефекты в перитонеальных листках. Хорошо известно, что КТ не может в полной мере визуализировать брыжейку и внутрибрюшинные связки, если они не окутаны жидкостью. Тем не менее, путем тщательного отслеживания во время диагностического исследования контрастированных сосудов, располагающихся непосредственно в брыжейке и связках, можно упростить задачу обнаружения этих анатомических структур. Аномальное смещение питающих сосудов вокруг грыжевого отверстия и грыжевого мешка и будет служить ключом к диагностике различных типов внутренних грыж.
КЛИНИЧЕСКИЕ ВАРИАНТЫ ВНУТРЕННИХ ГРЫЖ
Среди рассматриваемой редкой патологии первое место по частоте встречаемости занимают парадуоденальные грыжи [5]. Согласно литературным данным [6], ямку Ландуцерта (Landuzert) и ямку Вальдейера (Waldeyer) обозначают как левостороннюю и правостороннюю ямки Трейтца соответственно, причем чаще наблюдается левосторонняя парадуоденальная грыжа Трейтца, которая формируется в результате внедрения 4-й части двенадцатиперстной и начального отдела тощей кишок в парадуоденальную ямку Ландуцерта. Ямка располагается позади нисходящей ободочной кишки и является следствием аномального слияния висцерального листка брюшины нисходящей ободочной кишки с задним листком париетальной брюшины, в результате чего на задней стенке брюшной полости образуется неприкрытый брюшиной дефект в виде парадуоденальной ямки. Нижняя брыжеечная вена и восходящая левая кишечная артерия служат ориентирами переднемедиального края этой ямки: эти сосуды располагаются медиально относительно входа в ямку, окаймляя его снизу, спереди и сверху. Внедренные в ямку петли кишечника занимают пространство между поджелудочной железой и желудком. Правосторонняя парадуоденальная грыжа Трейтца встречается в 3-4 раза реже левосторонней и формируется в результате смещения дистальной половины двенадцатиперстной кишки в ямку Вальдейера, располагающуюся позади корня брыжейки. Эта грыжа наиболее часто сочетается с незавершенным поворотом тонкого кишечника. Ямка Вальдейера также является результатом аномального слияния части висцерального листка брюшины восходящей ободочной кишки с задним листком париетальной брюшины: таким образом, грыжевые ворота представляют врожденный дефект в первой части брыжейки тощей кишки. Правосторонняя парадуоденальная грыжа на КТ обычно проявляется как скопление петель тонкого кишечника в необычном, но типичном для этой грыжи месте, справа и дорзальнее верхней брыжеечной артерии и верхней брыжеечной вены. Проследить ход кишечных петель в таких случаях сложно, особенно у худых пациентов, поэтому именно сосудистые ориентиры имеют решающее значение для постановки правильного диагноза. На рис. 1 (а, б) схематично представлена топография левосторонней и правосторонней парадуоденальных грыж соответственно.
Рис. 1. Схемы образования внутренних грыж и их локализаций
Примечание. (а) — левосторонняя парадуоденальная грыжа; (б) — правосторонняя парадуоденальная грыжа; (в) — парацекальная грыжа; (г) — грыжа отверстия Винслоу; (д) — грыжа брыжейки сигмовидной кишки. Варианты внутренних грыж указаны стрелками.
Грыжа области слепой кишки наблюдается в 13% случаев всех внутренних грыж [7]. Ямка, окружающая слепую кишку, расположена позади слепой и восходящей ободочной кишок. Чаще всего грыжа состоит из подвздошного сегмента тонкой кишки, выступающего через дефект в брыжейке слепой кишки и распространяющегося в правый параободочный канал. На рис. 1 (в) представлено схематическое изображение парацекальной грыжи.
Грыжи отверстия Винслоу (Winslow) составляют около 8% случаев всех внутренних грыж [7]. Они формируются в результате внедрения кишечных петель в сумку малого сальника. Сальниковая сумка, представляющая собой уникальный остаток примитивного правого перитонеального пространства и связанная с перемещением внутренних органов в верхней части живота во время развития плода, ограничена слева селезенкой, спереди желудком, справа проксимальной частью двенадцатиперстной кишки, снизу поперечной ободочной кишкой и поджелудочной железой сзади. Сальниковая сумка связана с остальной частью брюшной полости через отверстие Винслоу, которое располагается в области свободного края гепатодуоденальной связки и ограничено сзади нижней полой веной, сверху — хвостатой долей печени, снизу — двенадцатиперстной кишкой. Факторами риска формирования грыжи являются увеличение отверстия Винслоу, аномальная длина брыжейки тонкой кишки, излишняя подвижность восходящей ободочной кишки, а также увеличение правой доли печени, которая может «направлять» мобильные кишечные петли в сторону отверстия Винслоу (рис. 1 г).
Грыжи брыжейки сигмовидной кишки, или сигмовидные мезоколикопариетальные грыжи, наблюдаются в 5% случаев [7] и представлены подвздошной кишкой; дефекты в брыжейке сигмовидной кишки являются грыжевыми воротами, края которых могут быть ограничены ветвями нижней брыжеечной артерии (рис. 1 д). При формировании данного варианта внутренних грыж петли тонкой кишки проникают в перитонеальный карман, образованный между двумя соседними сегментами сигмы и их брыжейками (межсигмоидная ямка).
Грыжа большого сальника образуется в результате существующего дефекта в брюшинных листках большого сальника. Большой сальник свисает с большой кривизны желудка и проксимальной части двенадцатиперстной кишки и прикрепляется к верхнему краю поперечной ободочной кишки. Он состоит из двух листков, каждый из которых образован прилежащими друг к другу двумя слоями брюшины. Грыжевые ворота возникают на правой или левой стороне сальника и, как правило, проходят через оба листка, поэтому характерной особенностью данной грыжи, сформированной петлями тонкого кишечника, является то, что она не имеет грыжевого мешка и располагается в самой передней части брюшной полости. Ориентирами для поиска грыжевого отверстия служат проходящие вертикально вокруг него сальниковые ветви левых и правых желудочно-сальниковых сосудов. На аксиальных компьютерных томограммах грыжа большого сальника занимает пространство за передней брюшной стенкой, а дорзальнее ее располагается ободочная кишка [8].
Грыжа брыжейки тонкого кишечника образуется при наличии дефекта в брыжейке тонкого кишечника, которая прикрепляет тощую и подвздошную кишки к задней париетальной брюшине, и простирается от связки Трейтца до илеоцекального перехода. Между ее листками располагаются верхняя брыжеечная артерия и верхняя брыжеечная вена. Как правило, дефекты брыжейки обычно возникают вблизи ее верхнего или нижнего окончания и особенно распространены у детей. При КТ-исследовании этот вид грыжи не имеет характерных особенностей, поэтому бывает трудно отличить грыжу окна брыжейки от других причин странгуляционной непроходимости, в частности сдавления рубцовыми тяжами, заворота или грыжи большого сальника. При определении данного вида внутренней грыжи решающую роль при оценке играет локализация грыжевого мешка дорзальнее поперечной ободочной кишки [8].
КЛИНИЧЕСКИЕ НАБЛЮДЕНИЯ
Частота встречаемости ущемленных внутренних грыж очень мала, вместе с тем спектр клинических симптомов, сопровождающих эту патологию, весьма разнообразен и напрямую связан со степенью ущемления кишечных петель. Хорошо известно, что врачебная практика переполнена случаями «неопределенных» болей в брюшной полости, даже после неоднократных диагностических поисков у этих пациентов. Это послужило причиной объединения данной патологии в отдельную группу и даже включения ее в номенклатуру болезней под названием «синдром раздраженного кишечника». Не отрицая сложности обозначенной проблемы, мы допускаем, что в ряде случаев причина неопределенных болей может быть связана с аномальным смещением кишечных петель, проявляющемся при отсутствии критического ущемления компенсированной кишечной непроходимостью. Такие пациенты, и их немало, годами предъявляют жалобы на тошноту, периодическую рвоту, боль и вздутие живота, которые возникают в течение 15-30 мин после приема пищи. При этом проводимые у них стандартные клинические обследования не обнаруживают убедительных причин имеющейся патологии. Наиболее типичными диагнозами у таких больных считаются хронический панкреатит, кишечная колика, синдром раздраженной кишки. По понятной причине хирургическая верификация указанных состояний невозможна, в связи с чем обследование этих пациентов с помощью КТ брюшной полости имеет существенное значение, в частности анализ состояния петель кишечника. Важно отметить, что наиболее информативным является визуализирующее исследование, проведенное непосредственно в период возникновения болевых ощущений.
С целью определения возможностей метода КТ в диагностике патологии тонкого кишечника как причинного фактора абдоминальных болей мы обследовали 20 пациентов, которые поступили в порядке скорой помощи в хирургическое отделение НМХЦ им. Н.И. Пирогова (Москва) с острой болью в животе неясного генеза. Всем пациентам было проведено комплексное клиническое обследование, включающее лабораторные анализы крови, мочи, кала с реакцией на скрытую кровь; электрокардиографию; рентгенологические исследования грудной клетки и брюшной полости (обзорная рентгенограмма); при необходимости обзорную урографию, ультразвуковое исследование брюшной полости, почек, малого таза (у женщин), эзофагогастродуоденоскопию, осмотр проктолога и ректороманоскопию. На заключительном этапе выполняли КТ брюшной полости по стандартному протоколу с применением болюсного контрастного усиления. Важно отметить, что проведенные лабораторные и инструментальные диагностические методы не выявили причину имеющегося болевого симптома, тогда как с помощью КТ у 7 больных было обнаружено локальное расширение тонкого кишечника. Дальнейший анализ полученных изображений показал, что в 3 из 7 наблюдений причиной расширения кишки явилась левосторонняя парадуоденальная грыжа с дислокацией и различной степенью ущемления кишечной петли.
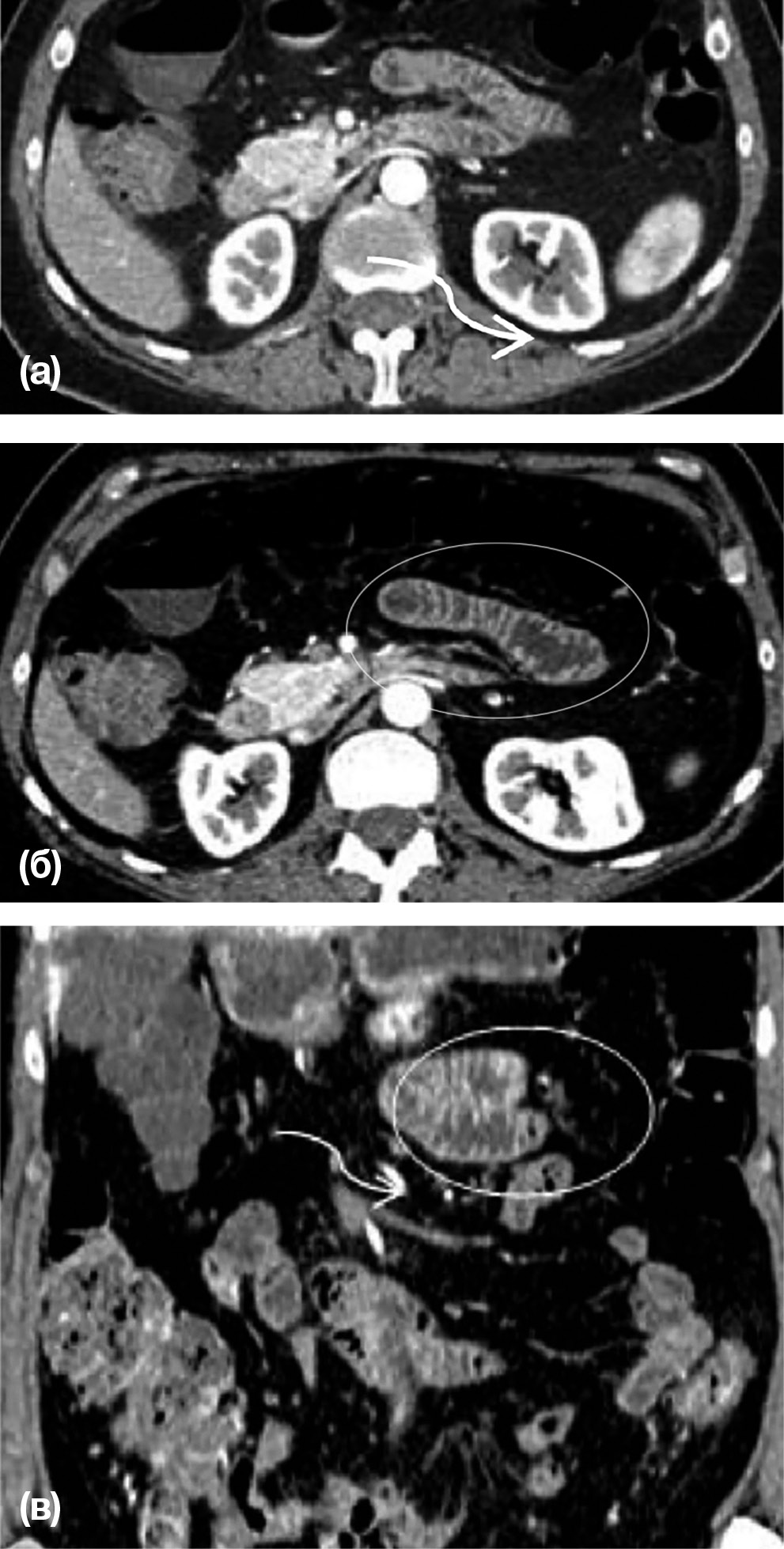
Пациент Д. в течение 14 лет предъявлял жалобы на периодические, внезапно возникающие боли в животе без четкой локализации, сопровождающиеся вздутием живота и отсутствием стула. Неоднократные лабораторные и инструментальные обследования в стационаре не обнаруживали причин возникновения описанных симптомов. Настоящая госпитализация была обусловлена усилением болей в области живота, которые приняли интенсивный схваткообразный характер и не купировались приемом лекарственных средств из группы анальгетиков и спазмолитиков. Проведенная КТ брюшной полости обнаружила признаки левосторонней парадуоденальной грыжи (рис. 2).
Рис. 2. Пациент Д., 61 год. Врожденная левосторонняя парадуоденальная грыжа
Примечание. Венозная фаза контрастного усиления. (а) — аксиальная КТ, (б, в) — сагиттальные КТ-реконструкции изображений. В пространстве между поджелудочной железой и желудком определяются расширенные петли тощей кишки, содержащие горизонтальный уровень «газ-жидкость» (овалы). Сосудистый рисунок прилежащей брыжейки обогащен, сосуды смещены к центру грыжи. Грыжевые ворота маркируются нижней брыжеечной веной и восходящей левой кишечной артерией (стрелка). На изображении (а) эти сосуды располагаются кпереди и медиально относительно грыжевого отверстия и внедренных петель кишечника.
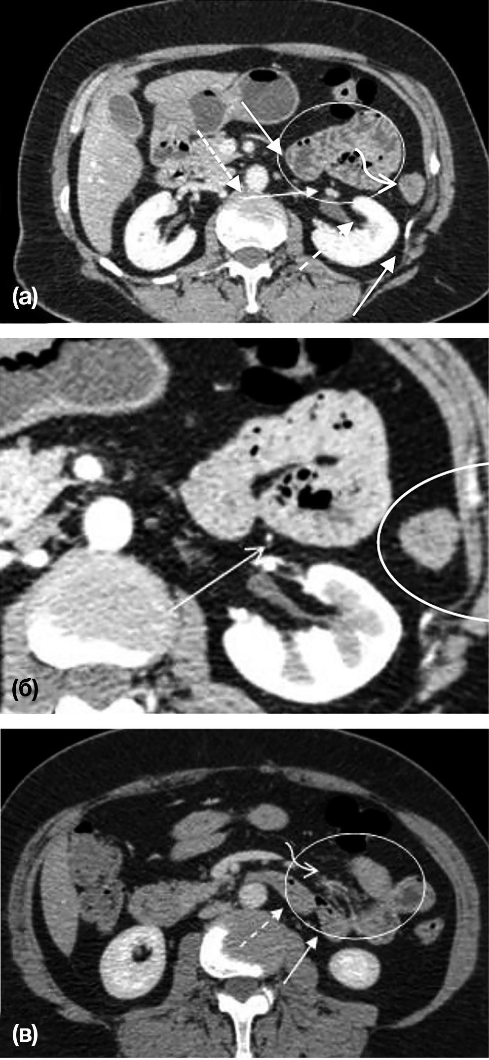
Больная Л. предъявляла жалобы на чувство переполнения в эпигастральной области после приема пищи, возникающее несколько раз в неделю. При КТ-обследовании выявлена дислокация умеренно расширенных петель начального отдела тощей кишки в левую парадуоденальную ямку (рис. 3). Аналогичные данные КТ-исследования и клиническую картину болевого синдрома мы наблюдали у больного П.
Рис. 3. Пациентка Л., 63 года. Врожденная левосторонняя парадуоденальная грыжа
Примечание. Артериальная фаза (а, б) и венозная фаза контрастного усиления (в). На изображениях (а, б) определяются расширенные петли тонкого кишечника (овалы). Восходящая левая брыжеечная артерия и нижняя брыжеечная вена (стрелка) располагаются кзади от грыжевого мешка и ограничивают его с медиальной стороны. На более краниальных сканах обозначенные сосуды пересекают верхний край грыжевых ворот и располагаются спереди от грыжевого мешка (не представлены). На изображении (в) отчетливо видны входящая в грыжевые ворота 4-я часть двенадцатиперстной кишки (пунктирная стрелка) и выходящая петля тощей кишки (стрелка), а также натянутые сосуды брыжейки (изогнутая стрелка).
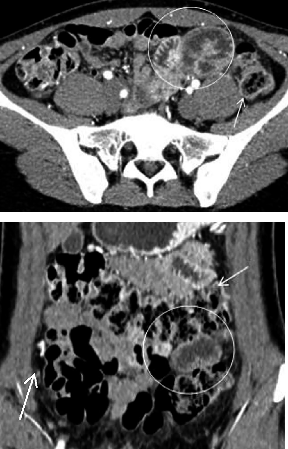
Рис. 4. Пациентка В., 58 лет. Процесс формирования внутренней грыжи: исследование выполнено вне периода обострения
Примечание. Смещение большей части двенадцатиперстной кишки (стрелка) и начальной петли тощей кишки (обведена овалом) в направлении верхней брыжеечной артерии (пунктирная стрелка). Смещенная петля тощей кишки умеренно расширена (диаметр 30-32 мм) и располагается над брыжейкой поперечной ободочной кишки. На изображении (в) по краю расширенной петли видны расширенные сосуды брыжейки (изогнутая стрелка).
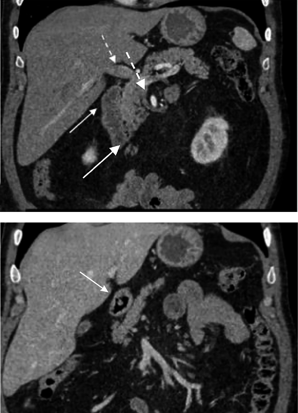
Рис. 5. Пациент А., 60 лет. Формирование грыжи отверстия Винслоу
Примечание. Отмечается избыточное скопление жира в брюшной полости, что вызывает повышенное внутрибрюшное давление. Петли кишечника (стрелки) находятся у свободного края малого сальника без проникновения в его полость. Пунктирной стрелкой обозначена воротная вена.
У двух пациентов мы обнаружили дислокацию большей части двенадцатиперстной кишки и проксимального отдела тощей кишки вправо в сторону верхних брыжеечных сосудов, что было расценено как процесс формирования внутренней грыжи (рис. 4).
В одном из случаев мы наблюдали формирование грыжи отверстия Винслоу. Данные КТ демонстрируют, как к отверстию Винслоу смещены умеренно расширенная петля тонкого кишечника и толстая кишка, при этом проникновения в полость малого сальника не отмечалось (рис. 5).
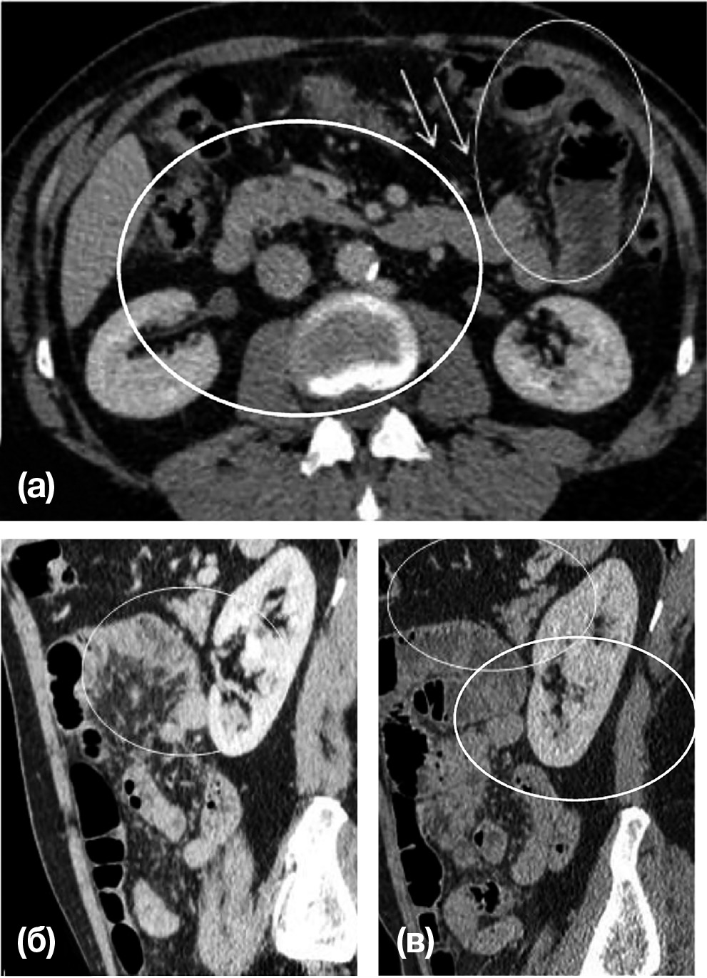
Рис. 6. Пациентка П., 29 лет. Грыжа большого сальника
На рис. 6 представлены томограммы пациентки П., 29 лет, выполненные во время приступа интенсивных абдоминальных болей. С помощью КТ обнаружены признаки грыжи большого сальника. Любопытно отметить, что болевой синдром регрессировал самостоятельно, и от хирургического лечения больная отказалась.
ЗАКЛЮЧЕНИЕ
Внутренние грыжи являются редкой причиной возникновения острой непроходимости тонкого кишечника. Однако следует помнить, что существуют варианты преходящего или частичного грыжевого выпячивания без критического ущемления кишечных петель, а также случаи транзиторной инвагинации, которые можно успешно диагностировать при помощи КТ брюшной полости. Среди возможных причин аномального смещения кишечных петель рассматриваются повышение внутрибрюшного давления, удлиненная брыжейка и растяжение грыжевых ворот, топография которых должна определяться по визуализации сосудов. Смещенные и внедрившиеся в грыжевые ворота кишечные петли сопровождаются расширением просвета вследствие частичного нарушения проходимости и скручиванием брыжейки без критического нарушения кровоснабжения. При КТ неущемленные внутренние грыжи визуализируются как локальное и умеренное вздутие кишечных петель и изменение архитектоники сосудистого рисунка брыжейки в виде его усиления и деформации (частичное скручивание). Обнаружение патологических изменений в области брюшной полости доступно с помощью КТ, поэтому результаты данного исследования рекомендуем использовать при диагностическом поиске у больных с неустановленной причиной абдоминального болевого синдрома.
ИСТОЧНИК ФИНАНСИРОВАНИЯ
Не указан.
КОНФЛИКТ ИНТЕРЕСОВ
Авторы подтвердили отсутствие конфликта интересов, о котором необходимо сообщить.
Об авторах
Вячеслав Михайлович Китаев
Институт усовершенствования врачей Национального медико-хирургического центра им. Н.И. Пирогова
Email: vm_kitaev@list.ru
д-р мед. наук, профессор, зав. кафедрой лучевой диагностики с курсом клинической радиологии
Россия, МоскваЭдуард Геннадиевич Кошелев
Центральная государственная медицинская академия Управления делами Президента Российской Федерации; Городская клиническая больница № 1 им. Н.И. Пирогова
Автор, ответственный за переписку.
Email: koshelev.69@mail.ru
ORCID iD: 0000-0002-5494-0327
SPIN-код: 1596-2537
канд. мед. наук, доцент кафедры рентгенологии и ультразвуковой диагностики; зав. отделением КТ и МРТ
Россия, МоскваОльга Вячеславовна Соколова
Институт усовершенствования врачей Национального медико-хирургического центра им. Н.И. Пирогова
Email: koshelev.69@mail.ru
д-р мед. наук, врач-гастроэнтеролог отделения гастроэнтерологии
Россия, МоскваГеоргий Юрьевич Беляев
Центральная государственная медицинская академия Управления делами Президента Российской Федерации; «Поликлиника № 2» Управления делами Президента РФ
Email: kgeorgybelyaev@yandex.ru
ORCID iD: 0000-0002-1119-9102
SPIN-код: 2169-5450
канд. мед. наук, врач-рентгенолог, зав. отделением
Россия, МоскваАндрей Андреевич Егоров
«Поликлиника № 2» Управления делами Президента РФ
Email: egorov.scan@gmail.com
ORCID iD: 0000-0002-8609-6319
врач-рентгенолог
Россия, МоскваОльга Олеговна Курзанцева
Федеральный научно-клинический центр специализированных видов медицинской помощи и медицинских технологий Федерального медико-биологического агентства России; Городская клиническая больница имени С.П. Боткина
Email: olgakurzan@yandex.ru
ORCID iD: 0000-0003-2648-1677
SPIN-код: 6971-0232
канд. мед. наук, доцент, доцент кафедры лучевой диагностики и маммологии
Россия, МоскваСписок литературы
- Тейлор Р.Б. Трудный диагноз: руководство для врачей. В 2 т. Т.1. / Пер. с англ. М.Г. Лепилин, А.А. Еременко. — М.: Медицина, 1992 — 640 с. [Tejlor RB. Trudnyj diagnoz: rukovodstvo dlya vrachej. V 2 t. T.1. Translated from English M.G. Lepilin, A.A. Eremenko. Moscow: Meditsina; 1992. 640 р. (In Russ).]
- Houte VK, Carbone F, Pannemans J, et al. Prevalence and impact of self-reported irritable bowel symptoms in the general population. United Eur Gastroenterol J. 2019;7(2):307-315. doi: 10.1177/2050640618821804.
- Gelfand AA, Gallagher RC. Cyclic vomiting syndrome versus inborn errors of metabolism: a review with clinical recommendations. Headache. 2016;56(1):215-221. doi: 10.1111/head.12749.
- Осипова В.В., Филатова Е.Г., Артеменко А.Р., и др. Диагностика и лечение мигрени: рекомендации российских экспертов // Журнал неврологии и психиатрии им. С.С. Корсакова. — 2017. —Т.117. — №1-2. — С. 28-42. [Osipova VV, Filatova EG, Artemenko AR, et al. Diagnosis and treatment of migraine: recommendations of the Russian experts. Zhurnal nevrologii i psikhiatrii imeni S.S. Korsakova. 2017;117(1-2):28-42. (In Russ).] doi: 10.17116/jnevro20171171228-42.
- Meyers MA, Charnsangavej C, Oliphant M. Internal abdominal hernias. In: Meyers dynamic radiology of the abdomen. Ed by M.A. Meyers, 6th ed. New York, NY: Springer; 2011. Рр. 381-409.
- Salar O, El-Sharkawy AM, Singh R, Speake W. Internal hernias: a brief review. Hernia. 2013;17(3):373-377. doi: 10.1007/s10029-012-1023-1.
- Paulson EK, Thompson WM. Review of small intestine obstruction: diagnosis and when to worry. Radiology. 2015;275(2):332-342. doi: 10.1148/radiol.15131519.
- Hayakawa K, Tanikake M, Yoshida S, et al. CT scan results of small bowel strangulation: the importance of contrast enhancement. Emerg Radiol. 2013;20(1):3-9. doi: 10.1007/s10140-012-1070-z.
Дополнительные файлы









