The role of computed tomography in the diagnosis of rare pelvic hernias on the example of strangulated hernia of the obturator canal: review
- Authors: Egorov A.A.1,2, Donchenko N.S.1, Laypanov B.K.1, Koshelev E.G.3,4, Belyaev G.Y.2, Kurzantseva O.O.5,6, Melikhova M.V.1
-
Affiliations:
- City Clinical Hospital No. 4
- Polyclinic No. 2 of Affairs Management Department of President of the Russian Federation
- Central State Medical Academy of the Office of the President of the Russian Federation
- City Clinical Hospital No. 1 in the name of N. I. Pirogov
- Federal Scientific and Clinical Center of Specialized Types of Medical Care and Medical Technologies of the Federal Medical and Biological Agency of Russia
- City Clinical Hospital of S.P. Botkin
- Issue: Vol 10, No 3 (2019)
- Pages: 91-96
- Section: Case reports
- Submitted: 15.09.2019
- Accepted: 06.10.2019
- Published: 06.11.2019
- URL: https://clinpractice.ru/clinpractice/article/view/16050
- DOI: https://doi.org/10.17816/clinpract10391-96
- ID: 16050
Cite item
Abstract
Obturator hernia is a rare form of pelvic hernia that is more common in older women. The clinical diagnosis of hernia is difficult. This type of hernia cannot be visualized by a general examination, and it is also impossible to reveal it by palpation, that is why it is more often detected at the stage of complications and is accompanied by high mortality. This work presents observation of a strangulated hernia of the obturator canal in a 96-year-old patient diagnosed with computed tomography.
Full Text
ОБОСНОВАНИЕ
Запирательная грыжа (ЗГ) — это редкая патология тазовой области, которая чаще встречается у женщин пожилого возраста. ЗГ формируется через запирательное отверстие, содержащее одноименные сосуды и нерв. Диагностика грыжи из-за неспецифичности ее симптомов является значительной проблемой. ЗГ не диагностируется на общем осмотре и чаще всего не пальпируется [1]. С учетом редкости и сложности диагностики грыжи запирательного канала, как правило, выявляются на стадии осложнений и сопровождаются высокой летальностью — от 12 до 70%, с послеоперационными осложнениями в 11,6% случаях. С момента первого выявления ЗГ при помощи компьютерной томографии (КТ) E. Cubillo в 1983 г. [2] метод стал основой ранней и точной диагностики заболевания.
КЛИНИЧЕСКИЙ ПРИМЕР
О пациенте
Пациентка В., 96 лет, 07.07.2019 доставлена бригадой скорой помощи в ГБУЗ «ГКБ № 4 ДЗМ» с жалобами на тошноту, многократную рвоту, боли в животе, которые возникли остро за 5 дней до госпитализации после погрешности в диете, и задержку стула в течение 2 дней. Самостоятельно не лечилась.
Анамнез жизни: хронические запоры, гипертоническая болезнь, состояние после аппендэктомии (1997) и металлоостеосинтеза правой бедренной кости (2015).
Обследование
При осмотре дежурным хирургом: состояние при поступлении средней тяжести. Язык сухой, обложен белым налетом. Живот не вздут, симметричный, участвует в акте дыхания. При пальпации мягкий с незначительной болезненностью в эпигастрии. Симптома раздражения брюшины нет. Выслушивается активная перистальтика. Газы отходят. Осмотр per rectum без особенностей. В области пупка имеется грыжевое выпячивание размером около 1,5×2×1 см, вправимое в брюшную полость. Кашлевой толчок положительный. Кожа над образованием обычного цвета. Симптом Ортнера и поколачивания отрицательный. Мочеиспускание не нарушено. Температура тела нормальная.
Пациентка госпитализирована в хирургическое отделение с предварительным диагнозом: «Острый панкреатит?». Назначены: общий анализ крови, биохимический анализ крови, параметры кислотно-щелочного состояния, ультразвуковое исследование (УЗИ) органов брюшной полости и почек, рентгенография органов брюшной полости и области грудной клетки.
Общий анализ крови при поступлении: лейкоцитоз 22,4×109/л; остальные показатели в норме. Биохимический анализ крови: повышение уровня сывороточного креатенина до 322 мкмоль/л, амилазы — до 160 ммоль/л, общего билирубина — до 33,29 ммоль/л, глюкозы — до 8,4 ммоль/л.
При проведении УЗИ органов брюшной полости (07.07.2019) выявлены пневматоз кишечника, дилатированные петли кишечника во всех отделах с маятникообразным движением содержимого; УЗ-признаки диффузных изменений паренхимы печени и поджелудочной железы и кисты правой почки.
В первые 20 часов с момента поступления пациентке 4-кратно выполнена обзорная рентгенография органов брюшной полости: данных за непроходимость и свободный газ в брюшной полости не получено.
По результатам первичных исследований, тяжесть состояния могла быть обусловлена электролитными нарушениями, частичной спаечной кишечной непроходимостью, острым отечным панкреатитом легкой степени.
В связи с сохранением пневматоза и дилатации петель тонкой кишки при повторном УЗИ, выполненном через 25 ч с момента поступления, пациентке была назначена КТ органов брюшной полости и малого таза с контрастным усилением для выявления генеза данных изменений.
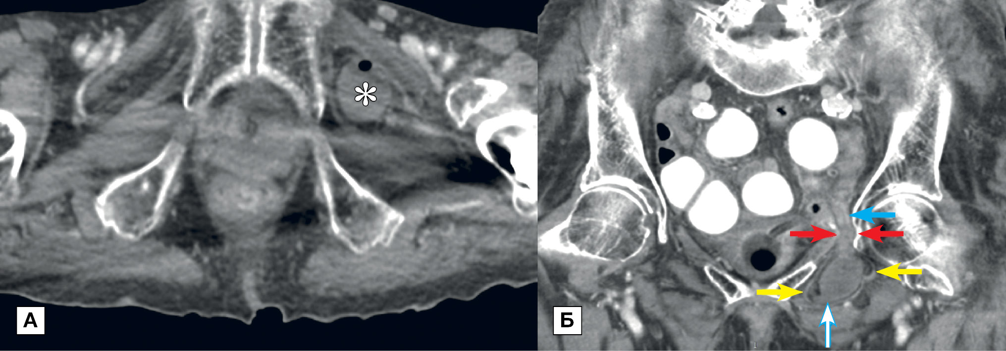
КТ пациентке была проведена через 27 ч с момента поступления в стационар и через 1 ч после приема воды с водорастворимым неионным контрастным препаратом в объеме 1,5 л. На полученных изображениях отмечались признаки тонкокишечной непроходимости с дилатацией петель тонкой кишки максимально до 36 мм на всем протяжении до уровня левого запирательного отверстия. Отмечалось проникновение петли подвздошной кишки через глубокое (тазовое) отверстие в запирательный канал с формированием на медиальной поверхности бедра под приводящими мышцами грыжевого мешка каплевидной формы размерами до 27×23×47 мм, содержащего петлю кишки протяженностью до 40 мм с наличием в ее просвете жидкостного содержимого и газа (рис. 1). Дистальнее грыжи — просвет тонкой кишки спавшийся. После контрастного усиления отмечалось снижение васкуляризации стенки кишки в грыжевом мешке вследствие ишемии. По результатам исследования было сформулировано следующее заключение: «КТ-признаки тонкокишечной непроходимости на фоне ущемленной левосторонней запирательной грыжи с признаками ишемии петли тонкой кишки в грыжевом мешке».
Рис. 1. Компьютерная томография органов брюшной полости и малого таза с пероральным и внутривенным болюсным контрастным усилением в венозную фазу контрастирования
Примечание. А — аксиальная проекция: грыжевой мешок (обозначен звездочкой), содержащий петлю тонкой кишки с жидкостным содержимым и пузырьком газа; Б — фронтальная проекция: проксимальнее запирательной грыжи визуализируются расширенные, заполненные контрастным препаратом петли тонкой кишки. Грыжевые ворота (красные стрелки). Наружные границы грыжевого мешка (желтые стрелки). Разница в васкуляризации стенки между неизмененной кишкой у входа в запирательный канал (голубая стрелка) и некротизированной петлей в грыжевом мешке (голубая полая стрелка).
Оперативное вмешательство
По экстренным показаниям пациентке были проведены лапароскопическое грыжесечение левосторонней запирательной грыжи, герниопластика запирательного канала слева местными тканями, резекция тонкой кишки с анастомозом «бок в бок», санация и дренирование брюшной полости. Интраоперационно в области левого запирательного канала определялась фиксированная петля тонкой кишки. Приводящая часть дилатирована до 3,5 см, вяло перистальтировала. Отводящая петля спавшаяся. Париетальная брюшина в этой области гиперемирована. С техническими сложностями ущемленная петля выведена в брюшную полость. При осмотре определялся некроз ущемленной части тонкой кишки, протяженностью до 3–4 см, с перфорацией. Ситуация расценена как ущемленная грыжа запирательного канала с некрозом фрагмента тонкой кишки. Через разрез в левом мезогастрии выведена некротизированная петля тонкой кишки (рис. 2). Выполнена резекция нежизнеспособного участка с наложением однорядного непрерывного анастомоза «бок в бок». Выделен грыжевой мешок, частично некротизированный; основание ушито кисетным швом. Грыжевой мешок отсечен и отправлен на гистологическое исследование.
Рис. 2. Фотография во время лапароскопической операции
Примечание. А — внутреннее отверстие запирательного канала с ущемленной петлей кишки (желтая стрелка) и расширенные петли тонкой кишки проксимальнее запирательной грыжи (желтая звездочка); Б — ущемленная в грыжевом мешке петля тонкой кишки с признаками некроза после выведения ее в брюшную полость (зеленая звездочка).
Послеоперационный период протекал без осложнений. Пациентка выписана на 14-е сутки после операции в удовлетворительном состоянии.
ОБСУЖДЕНИЕ
ЗГ носит название «грыжа маленькой пожилой женщины» из-за ее высокой распространенности у пожилых истощенных женщин, что полностью соответствует нашему наблюдению. Арно де Ронсил в 1724 г. впервые описал это состояние, а Генри Омбре в 1857 г. впервые осуществил оперативное лечение данной патологии [3].
Запирательное отверстие образовано ветвями седалищной и лонной костей. Глубокое (тазовое) отверстие запирательного канала обращено в предпузырное клетчаточное пространство малого таза. Наружное отверстие запирательного канала располагается у верхнего края наружной запирательной мышцы. Оно прикрыто гребенчатой мышцей, которую приходится рассекать при доступе к запирательному каналу. Длина запирательного канала — 2–3 см, в нем проходят одноименные сосуды и нерв. Исследователи предположили, что ЗГ предшествует инвагинация предбрюшинного жира через тазовое отверстие запирательного канала с образованием жировой пробки [4]. С этого момента начинается образование истинной грыжи: небольшая ямочка формируется в перитонеальный грыжевой мешок, который может содержать петлю кишки. Ущемление данной петли с ее ишемизацией приводит к кишечной непроходимости с появлением типичных клинических симптомов [5].
Заболеваемость, по разным источникам, колеблется в диапазоне 0,07–1,6% всех грыж [6, 7]. ЗГ по гендерному признаку встречается в 9 раз чаще у женщин из-за более широкого таза и большего поперечного диаметра запирательного отверстия. Правосторонние ЗГ встречаются чаще, так как левое запирательное отверстие частично прикрыто сигмовидной кишкой. Двусторонние грыжи наблюдаются в 6% случаев [8]. Истощение вызывает уменьшение предбрюшинного жира и жирового тела, которое охватывает запирательный канал, что увеличивает риск развития ЗГ. Другие факторы риска возникновения данной грыжи включают хроническую обструктивную болезнь легких, хронический запор, асцит и иные причины, приводящие к повышению внутрибрюшного давления [9].
Острая кишечная непроходимость является наиболее распространенным проявлением ЗГ и наблюдается почти у 90% пациентов, а средняя продолжительность развития развернутой клинической картины составляет примерно 4–6 дней [8]. Дебют клинических симптомов обычно типичен для любой кишечной непроходимости и включает боль и вздутие живота, рвоту и отсутствие стула. В грыжевом мешке при ЗГ обычно содержится петля тонкой кишки. Пристеночное ущемление противобрыжеечного края такой петли (тип Рихтера) встречается в 41–100% случаев, что и вызывает частичную или полную кишечную непроходимость [10]. Иное редкое содержимое ЗГ включает толстую кишку, аппендикс, сальник, мочевой пузырь или репродуктивные органы (матка или яичники) [11].
Одним из клинических симптомов ЗГ является симптом Хаушипа–Ромберга (Howship–Romberg sign), при котором отмечается боль в медиальной части бедра, усиливающаяся при вращении бедра кнутри из-за сдавления запирательного нерва в запирательном канале. Этот признак считается патогномоничным для ЗГ, но встречается только в 15–50% случаев [3, 11, 12]. Следовательно, отсутствие данного симптома не исключает диагноза ЗГ. Симптом считают ложноположительным при наличии состояний, влияющих на ипсилатеральный тазобедренный сустав, таких как остеоартрит. Другой симптом, встречающийся при ЗГ, — симптом Ханнингтона–Киффа (Hannington-Kiff sign) — проявляется отсутствием рефлекса аддуктора бедра при наличии рефлекса надколенника на стороне грыжи. Хотя симптом Ханнингтона–Киффа более конкретен, чем предыдущий, он встречается реже [8, 13]. С учетом неспецифичности данных симптомов, отсутствия визуального подтверждения наличия грыжевого выпячивания при осмотре и редкой возможностью его пальпаторного обнаружения ранняя диагностика ЗГ может являться крайне сложной задачей.
Для установления и подтверждения клинически заподозренного диагноза применяются различные методики визуализации грыжи и кишечной непроходимости. Исследования включают в себя классические рентгенограммы органов брюшной полости, в том числе с пероральным применением контрастных препаратов, герниографию, УЗИ, КТ и магнитно-резонансную томографию [7], при этом КТ обладает наибольшей чувствительностью и специфичностью [14]. Однако, несмотря на возросшую диагностическую точность вышеперечисленных методик, послеоперационные осложнения и смертность при ЗГ остаются на высоком уровне, что связано с длительным временным промежутком между ущемлением грыжи и проявлением развернутой клиники кишечной непроходимости, а также поздним назначением наиболее чувствительных методик абдоминальной визуализации [3].
После постановки диагноза ЗГ целесообразно незамедлительно провести хирургическое лечение для уменьшения рисков развития послеоперационных осложнений и летальности. Единственным лечением запирательной грыжи является оперативное вмешательство. Существует множество видов хирургических доступов, включая паховый, ретропубический и трансбрюшинный, а также их комбинацию [15]. В экстренной ситуации наиболее предпочтительным является абдоминальный доступ в виде срединной лапаротомии, так как он позволяет провести ревизию брюшной полости, выявить причину кишечной непроходимости, адекватно обнажить обтурационное кольцо, выявить ишемизированную петлю кишки и при необходимости произвести ее резекцию. Описаны случаи интраоперационного затруднения оценки жизнеспособности ущемленной петли при ЗГ, потребовавшие проведения интраоперационной флуоресцентной ангиографии с индоцианином для выявления ишемических изменений, которых можно было бы избежать при дооперационной КТ с контрастным усилением [12]. Закрытие грыжевого дефекта может быть сделано с помощью простого восстановления брюшины (перитонизации); за счет расположенных окружающих тканей, таких как апоневроз, надкостница, мышцы, реберный хрящ, большой сальник, круглая связка и дно матки, яичник, стенка мочевого пузыря, или пластики грыжи сеткой [6, 14, 15]. Несмотря на хирургическое восстановление, частота рецидивов ЗГ составляет около 10% [15].
Наименее травматичная лапароскопическая операция может быть проведена пациентам с уже клинически установленным диагнозом, подтвержденным методами абдоминальной визуализации [16]. Часто бессимптомная запирательная грыжа обнаруживается во время лапароскопических операций при паховых грыжах. Однако даже лапароскопический осмотр в ряде случаев не позволяет выявить наличие запирательной грыжи, и КТ в такой ситуации является наиболее ценным диагностическим методом [1].
В нашем наблюдении имело место типичное позднее развитие развернутой клинической картины непроходимости, госпитализация — только на 5-е сут от начала заболевания. Сохранение периодического стула в течение данного периода и слабая выраженность остальных симптомов свидетельствовали только о частичной кишечной непроходимости. Рентгенография органов брюшной полости не подтверждала наличие дилатации петель тонкой кишки из-за отсутствия в них газо-жидкостных уровней (чаш Клойбера). И только нарастание клинической картины и сохранение дилатации петель тонкой кишки по данным УЗИ потребовало назначение КТ для выявления причины данных изменений. По КТ был установлен окончательный диагноз ЗГ, а после внутривенного контрастирования определена степень ишемических изменений стенки ущемленной петли тонкой кишки.
ЗАКЛЮЧЕНИЕ
Представленный редкий клинический случай отображает сложность диагностики ущемленной грыжи запирательного канала у пожилой пациентки с высоким операционным риском. Низкая эффективность клинического обследования, обзорной рентгенографии и ультразвукового исследования органов брюшной полости при данной патологии может приводить к поздней диагностике, обусловливающей высокую летальность. Проведение КТ органов брюшной полости и малого таза с контрастным усилением в нашем наблюдении позволило своевременно определить ущемленную грыжу запирательного канала, оценить степень ишемических изменений петли тонкой кишки в грыжевом мешке. Наблюдение показывает важность КТ с контрастным усилением в диагностике причин острой кишечной непроходимости. КТ позволила выявить грыжу, определить ее локализацию, размеры грыжевых ворот, характер содержимого грыжевого мешка, выявить признаки ишемии и оценить состояние примыкающих тканей. Данное клиническое наблюдение свидетельствует в пользу проведения КТ живота с контрастным усилением и обязательным захватом малого таза до уровня промежности с целью исключения ущемленных грыж тазовой области, в том числе таких редких локализаций, как запирательное отверстие. Проведенная по результатам КТ экстренная лапароскопическая операция с резекцией некротизированной петли тонкой кишки имела решающее значение в уменьшении риска послеоперационных осложнений и неблагоприятного исхода заболевания.
Информированное согласие
От пациентки получено письменное добровольное информированное согласие на публикацию описания клинического случая.
ИСТОЧНИК ФИНАНСИРОВАНИЯ
Исследование проведено без спонсорской поддержки.
КОНФЛИКТ ИНТЕРЕСОВ
Авторы подтвердили отсутствие конфликта интересов, о котором необходимо сообщить.
УЧАСТИЕ АВТОРОВ
А.А. Егоров — обработка материала и написание текста; Н.С. Донченко — сбор и обработка материала; Б.К. Лайпанов — сбор и обработка материала; Э.Г. Кошелев — разработка концепции и дизайн исследования; Г.Ю. Беляев — редактирование; О.О. Курзанцева — ответственный за целостность всех частей статьи; М.В. Мелихова — утверждение окончательного варианта статьи.
About the authors
A. A. Egorov
City Clinical Hospital No. 4; Polyclinic No. 2 of Affairs Management Department of President of the Russian Federation
Email: egorov.scan@gmail.com
ORCID iD: 0000-0002-8609-6319
SPIN-code: 9239-2671
врач-рентгенолог отделения КТ и МРТ
Russian Federation, MoscowN. S. Donchenko
City Clinical Hospital No. 4
Email: natalydonbass@gmail.com
ORCID iD: 0000-0002-8926-2183
SPIN-code: 3256-5128
врач-рентгенолог отделения КТ и МРТ
Russian Federation, MoscowB. K. Laypanov
City Clinical Hospital No. 4
Email: blaypanov@mail.ru
SPIN-code: 4165-6190
канд. мед. наук, врач-хирург хирургического отделения
Russian Federation, MoscowE. G. Koshelev
Central State Medical Academy of the Office of the President of the Russian Federation; City Clinical Hospital No. 1 in the name of N. I. Pirogov
Email: koshelev.69@mail.ru
SPIN-code: 1596-2537
канд. мед. наук, зав. кафедрой рентгенологии и ультразвуковой диагностики; зав. отделением КТ и МРТ
Russian Federation, MoscowG. Yu. Belyaev
Polyclinic No. 2 of Affairs Management Department of President of the Russian Federation
Email: georgybelyaev@yandex.ru
ORCID iD: 0000-0002-1119-9102
SPIN-code: 2169-5450
канд. мед. наук, зав. рентгенологическим отделением
Russian Federation, MoscowOlga O. Kurzantseva
Federal Scientific and Clinical Center of Specialized Types of Medical Care and Medical Technologies of the Federal Medical and Biological Agency of Russia; City Clinical Hospital of S.P. Botkin
Author for correspondence.
Email: olgakurzan@yandex.ru
ORCID iD: 0000-0003-2648-1677
SPIN-code: 6971-0232
канд. мед. наук, доцент, доцент кафедры лучевой диагностики и маммологии; врач-рентгенолог
Russian Federation, MoscowM. V. Melikhova
City Clinical Hospital No. 4
Email: mvmelikhova@mail.ru
канд. мед. наук, зав. отделением КТ и МРТ
Russian Federation, MoscowReferences
- Kulkarni SR, Punamiya AR, Naniwadekar RG, et al. Obturator hernia: a diagnostic challenge. Int J Surg Case Rep. 2013;4(7):606–608. doi: 10.1016/j.ijscr.2013.02.023.
- Cubillo E. Obturator hernia diagnosed by computed tomography. AJR Am J Roentgenol. 1983;140(4):735–736. doi: 10.2214/ajr.140.4.735.
- Suresh A, Chinnakkulam Kandhasamy S, Sahoo AK, et al. A Masquerading and unconventional cause of dynamic intestinal obstruction: strangulated obturator hernia. Cureus. 2018;10(1):e2124. doi: 10.7759/cureus.2124.
- Dhakre VW, Agrawal P. ‘Little old lady’s hernia’ (obturator hernia): a deceptive encounter. J Minim Access Surg. 2018;15(2):180–181. doi: 10.4103/jmas.JMAS_21_18.
- Mnari W, Hmida B, Maatouk M, et al. Strangulated obturator hernia: a case report with literature review. Pan Afr Med J. 2019;32:144. doi: 10.11604/pamj.2019.32.144.14846.
- Susmallian S, Ponomarenko O, Barnea R, Paran H. Obturator hernia as a frequent finding during laparoscopic pelvic exploration: a retrospective observational study. Medicine (Baltimore). 2016;95(27):e4102. doi: 10.1097/MD.0000000000004102.
- Mantoo SK, Mak K, Tan TJ. Obturator hernia: diagnosis and treatment in the modern era. Singapore Med J. 2009,50:866–870.
- Mandarry MT, Zeng SB, Wei ZQ, et al. Obturator hernia-A condition seldomthought of and hence seldom sought. Int J Colorectal Dis. 2012;27:133–141. doi: 10.1007/s00384-011-1289-2.
- Jung JH, Song JH, Ahn SH. Obturator hernia in autosomal dominant polycystic kidney disease. Kidney Res Clin Pract. 2018;37(2):178–179. doi: 10.23876/j.krcp.2018.37.2.178
- Ayoub K, Mahli N, Dabbagh MF, et al. Left sided Richter type obturator hernia causing intestinal obstruction: a case report. Ann Med Surg (Lond). 2018;36:1–4. doi: 10.1016/j.amsu.2018.10.011.
- Pavlidis E, Kosmidis C, Sapalidis K, et al. Small bowel obstruction as a result of an obturator hernia: a rare cause and a challenging diagnosis. J Surg Case Rep. 2018;2018(7):161. doi: 10.1093/jscr/rjy161.
- Daskalopoulou D, Kankam J, Plambeck J, et al. Intraoperative real-time fluorescence angiography with indocyanine green for evaluation of intestinal viability during surgery for an incarcerated obturator hernia: a case report. Patient Saf Surg. 2018;12:24. doi: 10.1186/s13037-018-0173-1.
- Zheng LZ, Lin W, Guo J, Chen SZ. Obturator hernia: a rare cause of small bowel obstruction. Balkan Med J. 2018;35(6):440–441. doi: 10.4274/balkanmedj.2018.0045.
- Shipkov CD, Uchikov AP, Grigoriadis E. The obturator hernia: difficult todiagnose, easy to repair. Hernia. 2004;8(2):155–157. doi: 10.1007/s10029-003-0177-2.
- Rodríguez-Hermosa JI, Codina-Cazador A, Maroto-Genover A, et al. Obturator hernia: clinical analysis of 16 cases and algorithm for its diagnosis and treatment. Hernia. 2008;12(3):289–297. doi: 10.1007/s10029-007-0328-y.
- Yau KK, Siu WT, Fung KH, Li MK. Small-bowel obstruction secondary to incarcerated obturator hernia. Am J Surg. 2006;192(2):207–208. doi: 10.1016/j.amjsurg.2006.01.014.
Supplementary files





