Some features of the diagnosis and clinical manifestations of pathological fractures of the spine in Bekhterev's disease (а clinical case)
- Authors: Potapov V.E.1, Gorbunov A.V.1, Larionov S.N.1, Zhivotenko A.P.1, Sklyarenko O.V.1
-
Affiliations:
- Irkutsk Scientific Center of Surgery and Traumatology
- Issue: Vol 14, No 4 (2023)
- Pages: 108-115
- Section: Case reports
- Submitted: 28.03.2023
- Accepted: 04.08.2023
- Published: 28.01.2024
- URL: https://clinpractice.ru/clinpractice/article/view/321703
- DOI: https://doi.org/10.17816/clinpract321703
- ID: 321703
Cite item
Full Text
Abstract
Background: A prolonged course of the autoimmune inflammatory process in Bekhterev's disease is accompanied by calcification of the vertebral column’s ligaments, damage to the costovertebral and true joints of the spine, and their ankylosis, that ultimately leads to a decrease in the support capacity of the spine, so that even a minor injury can lead to a fracture. Spinal fractures in ankylosing spondylitis often have an unstable character and a high risk of the spinal cord injury. The main methods for diagnosing the spinal instability in Bekhterev's disease are multispiral computed tomography and magnetic resonance imaging, since the informative significance of survey radiography is not high. An early surgical treatment is the method of choice for unstable fractures in ankylosing spondylitis, despite the comorbid pathology and age, which significantly burden the prognosis. Сlinical case description: Patient K., born in 1969, injured on October 07, 2021 as a result of falling on his back from a height of 2 meters. An MSCT study of the thoracolumbar spine revealed a fracture of the ThXII–LI vertebrae, rupture of the anterior longitudinal ligament, and instability of the ThXII–LI vertebral-motor segment. The following diagnosis was established: closed uncomplicated injury of the thoracolumbar spine; grade I unstable compression fracture of the ThXII, LI vertebrae with a damage to the posterior support complex against the background of ankylosing spondylitis; grade I kyphotic deformity of the thoracolumbar spine; bilateral vertebrogenic lumboishialgia syndrome; pronounced persistent pain and muscle-tonic syndromes. A surgical treatment was applied which included correction of the spinal deformity and stabilization of the thoracolumbar spine using a transpedicular fixation system. The pain vertebrogenic syndrome and clinical neurological disorders regressed. The MSCT control was carried out in 6 months with the detected completed fusion at the ThXII–LI level. Conclusion: A timely diagnosis using multispiral computed tomography and magnetic resonance imaging data allows us to assess the full picture of traumatic changes in the spinal column and choose the most effective type of surgical intervention, using, if necessary, stabilizing systems.
Full Text
ОБОСНОВАНИЕ
Проблема лечения болезни Бехтерева и связанных с ней осложнений сохраняет свою актуальность. Хроническое течение аутоиммунного воспалительного процесса сопровождается ригидным обызвествлением и окостенением связок позвоночного столба, поражением капсул рёберно-позвоночных и истинных суставов позвоночника с формированием патологического субстрата в структурных элементах позвоночно-двигательного сегмента. При прогрессировании процесса сниженная опороспособность позвоночника обусловливает восприимчивость даже к незначительному травматическому воздействию, которое может явиться причиной перелома [1–3]. Нередко повреждение позвоночника длительное время остаётся недиагностированным. Особенности течения переломов позвоночника при анкилозирующем спондилоартрите связаны с отсутствием в анамнезе значимой травмы, наличием исходной деформации и структурных изменений позвоночного столба. По данным ряда публикаций, посвящённых исследованию патологии, частота выявления «бессимптомных» переломов позвоночника у больных с болезнью Бехтерева составляет от 5 до 15% [4, 5].
Трудности диагностики и, как следствие, несвоевременное распознавание травмы приводят к формированию ложного сустава в зоне перелома, что является причиной постоянного болевого синдрома. Сформированный костный конгломерат на протяжении нескольких позвоночно-двигательных сегментов либо всего позвоночного столба также затрудняет оценку рентгенологической картины травмы позвоночника при болезни Бехтерева.
В литературе обозначен ряд факторов, которые способствуют возникновению перелома на фоне анкилозирующего спондилоартрита. Из них основными причинами являются нарушение биомеханической функции позвоночника на фоне снижения минеральной плотности костной ткани [6]. У пациентов с травмой позвоночника на фоне болезни Бехтерева преобладают нестабильные переломы тел и суставных отростков позвонков. Линия перелома чаще пересекает межпозвонковый диск и переходит на задние структуры позвоночного канала, что приводит к нестабильности позвоночно-двигательного сегмента с высоким риском повреждения спинного мозга, а на рентгенограммах выявляются первичные и вторичные смещения отломков.
Всё вышеизложенное должно учитываться при выборе метода лечения, целью которого являются стабилизация и формирование спондилодеза [7].
КЛИНИЧЕСКИЙ ПРИМЕР
О пациенте
Пациент К., 1969 года рождения, госпитализирован в нейрохирургическое отделение ФГБНУ «Иркутский научный центр хирургии и травматологии» 29.11.2021 с жалобами на постоянные выраженные боли, иррадиирующие в крестцово-подвздошные сочленения, паховую область, а также дискомфорт в грудопоясничном и поясничном отделах позвоночника. Боли распространялись по задненаружной поверхности бёдер с обеих сторон; периодически возникали чувство «онемения» по задней поверхности бедра и голени слева, ограничение активных движений в поясничном отделе позвоночника.
Из анамнеза установлено, что травма получена 07.10.2021 в результате падения на спину с высоты 2 метров. Со слов пациента, сразу возникли резкие боли в области нижнегрудного отдела позвоночника с распространением в крестцово- подвздошную область и нижние конечности. Обратился в травмпункт по месту жительства. На обзорных рентгенограммах позвоночника (прямая и боковая проекции) травматических изменений не выявлено; отмечены усиление грудного кифоза, а также характерные для болезни Бехтерева изменения. Локально в области нижнегрудного отдела позвоночника определяется болезненность с умеренно выраженным отёком паравертебральных мягких тканей. Пациенту рекомендовано наблюдение травматолога, фиксация грудопоясничного отдела ортопедическим корсетом. В течение 3 недель пациент получал консервативную терапию, которая включала ограничительный режим, приём обезболивающих и противовоспалительных средств, физиопроцедуры. Со слов пациента, в вертикальном положении отмечал усиление боли в позвоночнике с иррадиацией в крестцовую область и нижние конечности. Фиксация поясничного отдела ортопедическим корсетом несколько уменьшала интенсивность боли в спине, однако полностью ее не купировала. Несмотря на проводимую терапию, продолжали беспокоить боли в нижнегрудном и поясничном отделах позвоночника, присоединились слабость и онемение в дистальных отделах левого бедра. Пациент заметил деформацию в поясничном отделе позвоночника, появилось ощущение усталости и ноющей боли в пояснице. Обратился в поликлинику ФГБНУ «Иркутский научный центр хирургии и травматологии», назначено исследование методом мультиспиральной компьютерной томографии (МСКТ) грудопоясничного отдела позвоночника, по результатам которого 29.11.2021 пациент госпитализирован в клинику.
Физикальная диагностика
Положение вынужденное — лежит с приподнятой верхней частью туловища. Грудопоясничный отдел позвоночника фиксирован ортопедическим корсетом. Повороты и наклоны после снятия корсета вызывают простреливающие боли в поясничном отделе позвоночника с иррадиацией в область таза, крестцово-подвздошных сочленений, далее в нижние конечности, больше слева.
Локальный статус. Визуально при осмотре грудопоясничного отдела позвоночника имеется выстояние остистых отростков ThXII, LI позвонков с формированием кифотической деформации. Пальпация и перкуссия болезненны, боль распространяется по боковой поверхности грудной клетки вдоль позвоночника книзу. Интенсивность болевого синдрома усиливается также при перемене положения тела и осевых нагрузках. Объём движений в поясничном отделе резко ограничен и болезнен, поясничный лордоз сглажен. Пальпаторно определяется напряжение паравертебральных мышц. Сухожильные рефлексы с верхних и нижних конечностей живые, симметричные, тонус мышц сохранён, тазовые функции не нарушены.
Лабораторная и инструментальная диагностика
Общий анализ крови: эритроциты 4,4×1012 г/л; гемоглобин 133 г/л; лейкоциты 6,8×109/л; нейтрофилы палочкоядерные 2, сегментоядерные 50; эозинофилы 1, базофилы 1, моноциты 6, лимфоциты 40, СОЭ 23 мм/ч.
Биохимический анализ крови: глюкоза 4,9 ммоль/л, общий белок 76,0 г/л, билирубин общий 9,2 мкмоль/л, прямой билирубин 3,9 мкмоль/л, непрямой билирубин 5 мкмоль/л, аланинаминотрансфераза 22,8, аспартатаминотрансфераза 19,9, С-реактивный белок (СРБ) 6,4 мг/л. Анализ крови на HLA B27 положительный.
Общий анализ мочи: цвет светло-жёлтый, удельный вес 1023, билирубин — нет, сахар — отрицательный, эпителий 0–1 в поле зрения, лейкоциты 1–2 в поле зрения.
Степень активности заболевания определялась с помощью индекса ASDAS (Ankylosing Spondylitis Disease Activity Score): СРБ составил 1,8, что соответствует умеренной активности.
МСКТ-исследование грудопоясничного отдела позвоночника в положении пациента на спине. На томограммах позвонки имеют прямоугольную форму, обусловленную резорбцией углов; выявляется остеит передних углов тел позвонков; имеются вертикальные синдесмофиты наружных волокон фиброзного кольца, признаки диффузной остеопении. Выявлены разрыв передней продольной связки на уровне ThXII–LI позвонков, краевой перелом верхней замыкательной пластинки LI позвонка с продолжением линии перелома на суставные отростки ThXII–LI позвонков с формированием локальной деформации позвоночника на уровне перелома. Рентгенологически установлена нестабильность позвоночно-двигательного сегмента ThXII–LI (перелом трёх колонн) с формированием локальной деформации позвоночника на уровне перелома (рис. 1).
Рис. 1. Предоперационная визуализация перелома с помощью мультиспиральной компьютерной томографии: а — 3D-реконструкция грудопоясничного отдела позвоночника; б — аксиальный, сагиттальный, фронтальный срез на уровне ThXII–LI (стрелкой указана линия перелома).
Ввиду нестабильного характера повреждения позвоночника, наличия стойкого вертеброгенного болевого синдрома, высокой вероятности развития неврологических нарушений, нарастания посттравматической деформации позвоночника пациенту рекомендовано декомпрессивно-стабилизирующее вмешательство на уровне ThXII–LI.
Предварительный диагноз
Закрытая неосложнённая травма грудопоясничного отдела позвоночника. Нестабильный компрессионный перелом тела ThXII, LI позвонков I степени с повреждением заднего опорного комплекса на фоне анкилозирующего спондилоартрита (болезнь Бехтерева). Кифотическая деформация грудопоясничного отдела позвоночника I степени. Синдром вертеброгенной люмбоишиалгии с двух сторон. Выраженный стойкий болевой и мышечно-тонический синдромы.
Сопутствующие заболевания. Гипертоническая болезнь II стадии. Контролируемая артериальная гипертензия. Факторы риска: мужской пол; возраст; отягощённая наследственность. Абдоминальное ожирение (объём талии более 95 см). Гипертрофия миокарда левого желудочка. Риск 3 (высокий). Целевое артериальное давление <130–139/<70–79 мм рт.ст. Хроническая сердечная недостаточность с фракцией выброса (67%) I степени. Функциональный класс I. МКБ-10: I10 Алиментарно-конституциональное ожирение I степени (индекс массы тела 30,3 кг/м2). МКБ-10: Е66.0 Ожирение, обусловленное избыточным поступлением энергетических ресурсов.
Оперативное вмешательство
02.12.2021 проведено оперативное лечение: реконструкция позвоночного канала на уровне перелома ThXII–LI позвонков из заднего доступа; резекция оссифицированной жёлтой связки на уровне ThXII–LI с декомпрессией спинномозговых корешков в латеральных отделах позвоночного канала; коррекция деформации позвоночника и стабилизация грудопоясничного отдела позвоночника на уровне ThXII–LI–LII с использованием системы транспедикулярной фиксации позвоночника.
Особое внимание было уделено положению пациента на операционном столе, за счёт изменения настроек стола под контролем электронно-оптического преобразователя достигнута частичная коррекция топографо-анатомических соотношений повреждённых сегментов позвоночника.
Интерламинарно в промежутке ThXII–LI с двух сторон проведён доступ в позвоночный канал. В задних отделах позвоночного столба определяется повреждение над- и межостистой связок, пальпаторно — патологическая подвижность на уровне ThXII–LI позвонков. С применением микрохирургической техники, оптического увеличения ×5,5 произведена декомпрессия дурального мешка и спинномозговых корешков на уровне LI. Резецирована оссифицированная межостистая и жёлтая связки. Выполнены менингорадикулолиз, фораминотомия по ходу L1 корешков с обеих сторон. После этапов декомпрессии и реконструкции дуральный мешок на всём протяжении не имеет признаков сдавления жёлтой связкой, суставными фасетками; передаётся ликворная пульсация. Паравертебральные мышцы скелетированы с параллельных сторон до оснований поперечных отростков ThXII, LI, LII позвонков. С помощью костного шила в стандартных точках произведена подготовка каналов для введения транспедикулярных винтов в тела ThXII, LI, LII позвонков. Установлены моноаксиальные транспедикулярные винты в тело ThXII (2 винта, размеры винтов 6,5×45) и полиаксиальные транспедикулярные винты в тела LI, LII (4 винта, размеры винтов 6,5×50) под контролем электронно-оптического преобразователя. Головки транспедикулярных винтов отрегулированы в соответствии с изгибом позвоночника. Продольные штанги смоделированы сообразно физиологическому кифозу позвоночника. Произведено крепление продольных штанг к винтам заглушками-фиксаторами. Объём интраоперационной кровопотери составил 100,0 мл. Рана послойно ушита наглухо. Узловые швы на кожу. Асептическая наклейка.
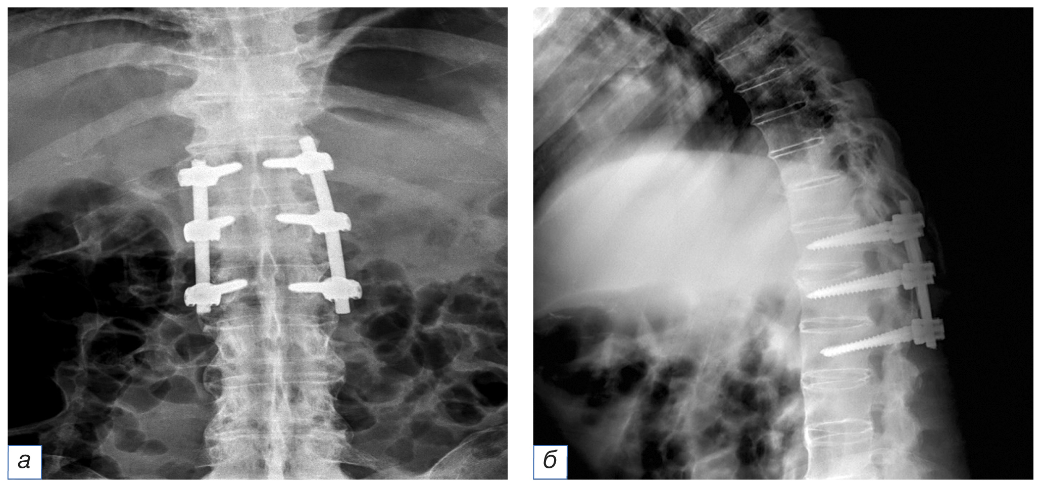
На контрольных рентгенограммах состояние металлоконструкции удовлетворительное (рис. 2).
Рис. 2. Рентгенография грудопоясничного отдела. Транспедикулярная фиксация в тела ThXII, LI, LII позвонков: а — прямая проекция; б — боковая проекция.
Динамика и исходы
Послеоперационный период протекал благополучно. Болевой вертеброгенный синдром и клинико-неврологические расстройства регрессировали в течение 2 суток после оперативного лечения. Пациент активизирован на третьи сутки, грудопоясничный отдел позвоночника фиксирован ортопедическим корсетом. Внешняя иммобилизация осуществлялась в течение 4 месяцев. Трудоспособность восстановлена полностью. На контрольном осмотре спустя 6 месяцев после выписки пациент жалоб не предъявляет, работает по основной специальности, в социальной сфере реабилитирован. При МСКТ грудопоясничного отдела позвоночника определяется состоявшийся спондилодез на уровне ThXII–LI; стабильность опорных транспедикулярных винтовых элементов металлоконструкции удовлетворительная (рис. 3).
Рис. 3. Мультиспиральная компьютерная томографическая визуализация после проведённого декомпрессивно-стабилизирующего хирургического вмешательства: а — 3D-реконструкция грудопоясничного отдела позвоночника c 6-винтовой транспедикулярной фиксацией; б — аксиальный, в — сагиттальный, г — фронтальный срезы на уровне ThXII–LI с 6-винтовой транспедикулярной фиксацией.
ОБСУЖДЕНИЕ
Анкилозирующий спондилоартроз — хроническое системное заболевание суставов и позвоночника — проявляется серонегативным полиартрозом, избыточным образованием костной ткани и окостенением связочного аппарата. Изменения связок характеризуются их уплотнением и окостенением, что закономерно сопровождается хроническим болевым синдромом, ограничением подвижности и ригидностью позвоночного столба. Травма, падение с высоты проявляются болью и рефлекторным напряжением мышц и связочного аппарата, малоподвижностью повреждённого позвоночно-двигательного сегмента. Другими словами, у пациентов с болезнью Бехтерева с фактом травмы позвоночника закономерно наличие длительного болевого синдрома, а такие его характеристики, как интенсивность, окраска и иррадиация боли, не имеют специфической диагностической ценности. В этой связи возрастают требования к инструментальной диагностике.
На стандартных спондилограммах не всегда удаётся выявить перелом в связи с особенностями исходной патологии и изменением структуры позвоночника. В таких случаях раннее использование МСКТ и МРТ позволяет идентифицировать картину травматических изменений, проявляющихся разрывом оссифицированной передней продольной связки, переломом замыкательных пластинок, корней дуг и суставных отростков позвонков.
Лучевая диагностика травмы позвоночника у пациентов с болезнью Бехтерева должна основываться на принципах «не от простого к сложному», а на раннем использовании хоть и дорогостоящих, но наиболее информативных технологий. Травматические изменения позвоночника с повреждением опорных структур приводят к нестабильности позвоночно-двигательных сегментов и высокому риску отсроченного повреждения нервных корешков и спинного мозга.
Оперативное лечение переломов позвоночника у пациентов с болезнью Бехтерева индивидуально-ориентированно и зависит как от общего состояния (возраст, тяжесть заболевания, коморбидные состояния), так и уровня и структуры поражения (шейный, грудной или поясничный отдел, одиночный или множественные переломы), стабильности позвоночно-двигательного сегмента, наличия смещения костных отломков и сдавления спинного мозга. Хирургическая стабилизация включает передний, задний или комбинированный спондилодез, при необходимости с применением ламинэктомии и различных методик остеотомии для коррекции деформации.
ЗАКЛЮЧЕНИЕ
Переломы позвоночника у пациентов, страдающих анкилозирующим спондилоартритом, нередко распознаются поздно в связи с отсутствием в анамнезе значимой травмы, наличия структурных изменений связочного аппарата и костной ткани. Использование современных методов лучевой диагностики (МСКТ, МРТ) позволяет разрешить диагностические сложности и определить тактику хирургического лечения. Представленные результаты лечения пациента с анкилозирующим спондилоартритом и нестабильным переломом ThXII–LI свидетельствуют о высокой эффективности хирургического лечения и инструментальной фиксации позвоночно-двигательных сегментов.
ДОПОЛНИТЕЛЬНАЯ ИНФОРМАЦИЯ
Источник финансирования. Авторы заявляют об отсутствии внешнего финансирования при подготовке статьи.
Конфликт интересов. Авторы декларируют отсутствие явных и потенциальных конфликтов интересов, связанных с публикацией настоящей статьи.
Вклад авторов. В.Э. Потапов — проведение хирургического вмешательства, обсуждение результатов исследования, написание текста статьи; А.В. Горбунов — обсуждение результатов исследования, написание текста статьи; С.Н. Ларионов — научное редактирование и утверждение рукописи для публикации; А.П. Животенко — поисково-аналитическая работа, написание текста статьи; О.В. Скляренко — обсуждение результатов исследования, написание текста статьи. Авторы подтверждают соответствие своего авторства международным критериям ICMJE (все авторы внесли существенный вклад в разработку концепции, проведение поисково-аналитической работы и подготовку статьи, прочли и одобрили финальную версию перед публикацией).
Согласие пациента. От пациента получено добровольное информированное согласие на публикацию анонимизированных сведений о его заболевании, результатах обследования и лечения (дата подписания 05.12.2021).
ADDITIONAL INFORMATION
Funding source. This study was not supported by any external sources of funding.
Competing interests. The authors declare that they have no competing interests.
Authors’ contribution. V.E. Potapov — surgical intervention, discussion of research results, writing the text of the article; A.V. Gorbunov — discussion of research results, writing the text of the article; S.N. Larionov — scientific editing and approval of the manuscript for publication; A.P. Zhivotenko — search and analytical work, writing the text of the article; O.V. Sklyarenko — discussion of the results research, writing the text of the article. All authors made a substantial contribution to the conception of the work, acquisition, analysis, interpretation of data for the work, drafting and revising the work, final approval of the version to be published and agree to be accountable for all aspects of the work.
Informed consent. A voluntary informed consent was obtained from the patient to publish anonymized information about his illness, the results of examination and treatment (signed on 05.12.2021).
About the authors
Vitaly E. Potapov
Irkutsk Scientific Center of Surgery and Traumatology
Author for correspondence.
Email: pva454@yandex.ru
ORCID iD: 0000-0001-9167-637X
SPIN-code: 5349-8690
MD, PhD
Russian Federation, IrkutskAnatoly V. Gorbunov
Irkutsk Scientific Center of Surgery and Traumatology
Email: a.v.gorbunov58@mail.ru
ORCID iD: 0000-0002-1352-0502
SPIN-code: 6329-2590
Junior Research Associate
Russian Federation, IrkutskSergey N. Larionov
Irkutsk Scientific Center of Surgery and Traumatology
Email: snlar@mail.ru
ORCID iD: 0000-0001-9189-3323
SPIN-code: 6720-4117
MD, PhD, Professor
Russian Federation, IrkutskAlexander P. Zhivotenko
Irkutsk Scientific Center of Surgery and Traumatology
Email: sivotenko1976@mail.ru
ORCID iD: 0000-0002-4032-8575
SPIN-code: 8016-5626
Junior Research Associate
Russian Federation, IrkutskOxana V. Sklyarenko
Irkutsk Scientific Center of Surgery and Traumatology
Email: oxanasklyarenko@mail.ru
ORCID iD: 0000-0003-1077-7369
SPIN-code: 7884-9030
MD, PhD
Russian Federation, IrkutskReferences
- Vazan M, Ryang YM, Barz M, еt al. Ankylosing spinal disease-diagnosis and treatment of spine fractures. World Neurosurg. 2019;123:e162–e170. doi: 10.1016/j.wneu.2018.11.108
- Lukasiewicz AM, Bohl DD, Varthi AG, еt al. Spinal fracture in patients with ankylosing spondylitis: Cohort definition, distribution of injuries, and hospital outcomes. Spine. 2016;41(3):191–196. doi: 10.1097/BRS.0000000000001190
- Katsimpari C, Koutsoviti S, Mpalanika A, et al. Spontaneous chalk-stick fracture in ankylosing spondylitis: A case report. J Rheumatol. 2022;33(3):346–348. doi: 10.31138/mjr.33.3.346
- Chung WH, Ng WL, Chiu CK, et al. Minimally invasive versus conventional open surgery for fixation of spinal fracture in ankylosed spine. Malays Orthop J. 2020;14(3):22–31. doi: 10.5704/MOJ.2011.005
- Rustagi T, Drazin D, Oner C, et al. Fractures in spinal ankylosing disorders: A narrative review of disease and injury types, treatment techniques, and outcomes. Orthop Trauma. 2017;31(Suppl. 4):S57–S74. doi: 10.1097/BOT.0000000000000953
- Рерих В.В., Дубинин Е.В. Хирургическое лечение поражения Андерссона при анкилозирующем спондилите, возникшего после корригирующей вертебротомии в отдалённом периоде (клинический случай) // Acta Biomedica Scientifica. 2020. Т. 5, № 6. Р. 165–170. [Rerikh VV, Dubinin EV. Surgical treatment of Andersson’s Lesion in ankylosing spondylitis after corrective vertebrotomy in the long term (clinical observation). Acta Biomedica Scientifica. 2020;5(6):165–170. (In Russ).] doi: 10.29413/ABS.2020-5.6.19
- Liu H, Zhou Q, Zhang J, et al. Kyphoplasty for thoracic and lumbar fractures with an intravertebral vacuum phenomenon in ankylosing spondylitis patients. Front Surg. 2022;9:962723. doi: 10.3389/fsurg.2022.962723
Supplementary files






