The capabilities of MRI in the lung lesions diagnosis in patients with COVID-19
- Authors: Lesnyak V.N.1, Zhuravleva V.A.2, Averyanov A.V.3
 - 
							Affiliations: 
							
- Federal Scientific and Clinical Center of Specialized Types of Medical Care and Medical Technologies of the Federal Medical and Biological Agency of Russia
 - Federal Scientific and Clinical Center of Specialized Types of Medical Care and Medical Technologies of the Federal Medical and Biological Agency of Russia, Moscow
 - Research Institute of Pulmonology of the Federal Medical and Biological Agency of Russia
 
 - Issue: Vol 11, No 2 (2020)
 - Pages: 51-59
 - Section: Original Study Articles
 - Submitted: 25.06.2020
 - Accepted: 25.06.2020
 - Published: 02.08.2020
 - URL: https://clinpractice.ru/clinpractice/article/view/34843
 - DOI: https://doi.org/10.17816/clinpract34843
 - ID: 34843
 
Cite item
Full Text
Abstract
Backgrounds. The imaging diagnostic methods have become particularly important during the COVID-19 pandemic, and computed tomography of the thorax (CT) is considered to be the “gold standard” in the cases of lung lesions and in the evaluation of changes in the pulmonary parenchyma in dynamics. However, it is well known that the CT method is associated with a significant radiation dose, especially given the fact that repeated, and often reiterated control CT-tests are required for many patients who suffer COVID-19 or have recovered from the disease. In order to reduce the potential radiation exposure and receive some additional diagnostic information, we applied the magnetic resonance imaging (MRI) method for viral pneumonia at the FRCC of FMBA of Russia, which was redesigned as a center for the treatment of patients with COVID-19.
Aim. The aim is to evaluate the possibilities of the lung MRI in the diagnosis of pneumonia caused by the new coronaviral infection, to describe the specific symptoms of lung parenchyma lesions using various pulse sequences, and compare the results with the CT data.
Methods. The article is based on the practice of applying high-resolution computed tomography (HRCT) and MRI of the lungs in 15 patients with pneumonia caused by COVID-19.
Results. The comparison of the HRCT data and T2-weighted images (T2-WI) in 100% of cases revealed a complete correlation in the size, number and position of the lung tissue areas with reduced air saturation by the type of ground glass opacity and the consolidation zones. The level of linear and reticular changes detection in MRI reached 73.3%. Free fluid in the pleural cavities in a moderate and minimal volume was revealed on T2-WI in 12 patients (80% of cases), while it was not diagnosed by HRCT in all the cases. The mediastinal and intra-pulmonary lymph nodes were visualized distinctly. In T1-weighted images (T1-WI), the areas of ground glass opacity were either not visualized, or were represented by smaller areas when compared to the HRCV data and reticular changes were also displayed worse. In 73.3% cases, the consolidation zones on T1-WI fully corresponded or were almost similar in characteristics to changes visualized by HRCT. At the same time, it is worth noting that performing T1-WI out phase more clearly displayed the consolidation zones when compared to T1-WI in phase. Foci of increased signal on T1-WI with fat suppression were registered in 3 patients against the background of consolidation sites which in comparison with the data of T2-WI, would suggest the presence of parenchymal hemorrhages.
Conclusion. Lung MRI is a fairly sensitive method for identifying areas of ground glass opacity and consolidation, reticular changes and lymphadenopathy, and is superior to HRCT when displaying pleural effusion. Chest MRI may be recommended as a diagnostic method for suspected pulmonary COVID-19 lesion in children and pregnant women in order to exclude ionizing radiation exposure, as well as for monitoring the condition of lung tissue after viral pneumonia, if the patient was previously exposed to a high radiation dose.
Full Text
АКТУАЛЬНОСТЬ
Коллективный опыт диагностики поражения легких при COVID-19 свидетельствует о решающей роли компьютерной томографии высокого разрешения (КТВР) как для выявления пневмонии, так и детальной оценки распространенности поражения и мониторинга эффективности терапии [1–3]. КТ-семиотика пневмонии COVID-19 к настоящему моменту достаточно детально изучена: наиболее часто обнаруживаются множественные фокусы повышения плотности легочной паренхимы по типу «матового стекла» субплевральной или перибронховаскулярной локализации, в части случаев сопровождаемые ретикулярными изменениями в виде утолщения междольковых перегородок и внутридолькового интерстиция вплоть до формирования феномена «булыжной мостовой» [4–6]. При легком течении заболевания могут регистрироваться солитарные фокусы «матового стекла» либо немногочисленные очажки перибронхиальной локализации. При прогрессировании процесса зоны «матового стекла» трансформируются в участки консолидации, которые при неблагоприятном течении заболевания вовлекают большие объемы легочной ткани, особенно в базальных сегментах нижних долей, вплоть до субтотального и тотального поражения легких. В целом радиологический симптомокомплекс пневмоний, вызванных COVID-19, не является уникальным и близок другим вирусным поражениям легких, например, вирусом гриппа или цитомегаловирусом [7]. У большинства пациентов все изменения подвергаются обратному развитию, лишь в случаях обширного поражения на месте зон консолидации может ожидаться формирование интерстициального фиброза, что аналогично течению пневмоний при гриппе H1N1 [8].
Несмотря на высокую диагностическую ценность КТВР в выявлении паренхиматозных и интерстициальных изменений в легких, общеизвестно, что данный метод основан на использовании ионизирующего излучения, связан с достаточно высокой лучевой нагрузкой, особенно при частых повторных исследованиях, как в случае с COVID-19-пневмониями, поэтому стремление к снижению дозовых нагрузок через применение методов диагностики, не использующих ионизирующего излучения, не теряет актуальности. В этом смысле определенные надежды могут быть возложены на магнитно-резонансную томографию (МРТ) как метод, обладающий высокой тканевой чувствительностью и широкими возможностями выявления различных патологических изменений в тканях.
Цель исследования — оценить возможности МРТ легких в диагностике пневмоний, вызванных новой коронавирусной инфекцией, описать симптомы, характерные для поражения паренхимы легких с использованием различных импульсных последовательностей, сопоставить полученные результаты с данными КТВР.
МЕТОДЫ
Дизайн исследования
Данное исследование является пилотным. Выполнялась МРТ легких пациентам с подтвержденной ПЦР-тестами коронавирусной инфекцией COVID-19, имевшим признаки воспалительных изменений в паренхиме легких при КТВР.
Критерии соответствия
Включались взрослые пациенты обоих полов, любых возрастов. Исключались пациенты с тяжелой дыхательной недостаточностью, требовавшей кислородной поддержки.
Условия проведения
Обследованы пациенты, поступившие в ФГБУ ФНКЦ ФМБА России, перепрофилированный в центр лечения COVID-19 на 400 коек, в период с 15.04.2020 по 10.06.2020.
Описание медицинского вмешательства
Обследование проводилось с использованием методов КТВР и МРТ. Во всех случаях диагноз был подтвержден с помощью анализа назофарингеальных мазков методом полимеразной цепной реакции (ПЦР).
Компьютерная томография выполнялась на КТ-сканерах Toshiba Aquilion 64 (Япония), Philips Ingenuity 128 (Нидерланды) и Siemens Somatom Defitition Edge (Германия). МРТ-исследование проводилось на аппарате GE Discovery MR750w 3.0T (США). Кабинеты КТ и МРТ находились в зоне инфекционного заражения — «красной зоне», оценка результатов исследования осуществлялась вне ее — в «зеленой зоне». Набор МРТ-импульсных последовательностей включал следующие программы: для получения Т2-взвешенных изображений (Т2-ВИ) применяли T2 SS-FSE, T2 FS PROPELLER, для Т1-взвешенных изображений (Т1-ВИ) — T1 LAVA (IN PHASE, OUT PHASE, WATER, FAT), для диффузионно-взвешенных изображений (ДВИ) — DWI (в 4 случаях). Сбор данных проводился в фазу выдоха (без респираторной синхронизации) или с использованием навигатора и датчика дыхания (последнее применялось у пациентов с одышкой и трудностями сдерживания кашлевого рефлекса). КТ во всех случаях выполнялась в день госпитализации, МРТ — в первый или второй день пребывания в стационаре. Во всех случаях клиническое состояние пациентов коррелировало с рентгенологическими данными (у 10 больных было констатировано состояние средней тяжести, в одном случае клиническое состояние пациента было расценено как тяжелое). КТ-стадирование выявляемых изменений было произведено по следующей классификации. Стадия КТ1 соответствовала зонам уплотнения по типу «матового стекла» (вовлечение паренхимы легкого ≤ 25%), стадия КТ2 выставлялась при наличии зон уплотнения по типу «матового стекла» (вовлечение паренхимы легкого 25–50%) с единичными участками консолидации, стадия КТ3 — при наличии зон уплотнения по типу «матового стекла», зон консолидации (вовлечение паренхимы легкого 50–75%), КТ — соответствовала диффузному уплотнению легочной ткани по типу «матового стекла» и консолидации в сочетании с ретикулярными изменениями (вовлечение паренхимы легкого ≥ 75%), а также присоединению двустороннего гидроторакса [9].
Исходы исследования
Основной исход исследования
Определение чувствительности метода МРТ по отношению к выявлению воспалительных изменений в легочной паренхиме при COVID-19 пневмониях.
Этическая экспертиза
Исследование не носило интервенционного характера, КТВР проводилась в рамках обследования пациентов с COVID-19 по клиническим показаниям, МРТ является методом, не несущим рисков для пациента, поэтому проведение этической экспертизы не требовалось.
Статистический анализ
Проведена качественная оценка радиологических феноменов; количественной оценки и статистической обработки не проводилось.
РЕЗУЛЬТАТЫ
Объекты (участники) исследования
Обследовано 15 пациентов, из них 8 мужчин и 7 женщин, в возрасте от 45 до 83 лет, средний возраст 61 год. Во всех случаях поражение легких, вызванное коронавирусной инфекцией COVID-19, было подтверждено при помощи ПЦР-анализа назофарингеальных мазков.
Респираторная синхронизация потребовалась в 5 случаях из 15; 7 пациентов не смогли во всех случаях уверенно выполнять команды по задержке дыхания, несмотря на отсутствие одышки в покое, в силу чего на МР-томограммах констатировано присутствие артефактов, связанных с динамической нерезкостью разной степени выраженности, наличие которых в большинстве случаев все же позволило интерпретировать полученные изображения. Длительность исследования зависела от состояния больного и составляла от 25 до 50 мин, что обусловливало использование полного или редуцированного пакета программ сканирования. Сопоставление результатов КТВР и МРТ осуществлялось путем синхронного просмотра изображений, сопоставленных по полю обзора и анатомическим ориентирам или локализации отдельных патологических изменений.
Основные результаты исследования
Сопоставление данных КТВР и Т2-ВИ
Синхронное сравнение данных КТВР и МРТ изображений выявило в 100% случаев (у всех 15 пациентов) полное соответствие размеров, количества и положения зон снижения воздушности легочной ткани по типу «матового стекла» и зон консолидации (рис. 1, А, Б). При этом уровень сигнала от участков консолидации был несколько бóльшим, чем от зон «матового стекла» (рис. 2, А, Б). Линейные и ретикулярные изменения уверенно выявлялись у 7 пациентов (в 63% случаев): визуализировались изменения междолькового, внутридолькового интерстиция, а также интерстициальной ткани по ходу сосудов (рис. 3). Свободная жидкость в плевральных полостях в умеренном и минимальном количестве по данным Т2-ВИ МРТ выявлялась у 12 (80%) пациентов, изменения всегда регистрировались с двух сторон, объем жидкости, как правило, коррелировал со степенью поражения легочной паренхимы. Использование Т2-ВИ продемонстрировало заметное преимущество в выявлении малых гидротораксов в сравнении с данными КТВР (рис. 4). Уверенно визуализировались медиастинальные и внутрилегочные лимфатические узлы. Во всех случаях их размеры не превышали 1,5 см.
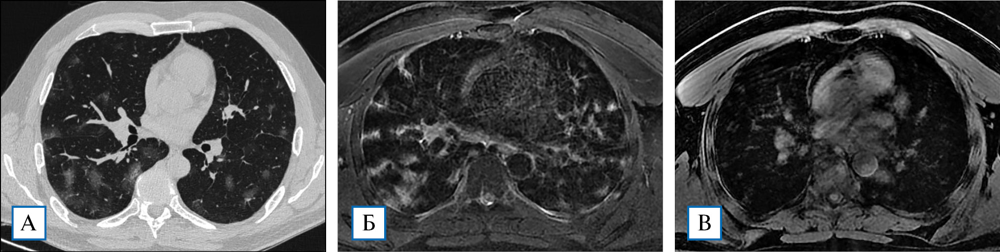
Рис. 1. Пациент, 53 года, выявляются множественные участки «матового стекла», расположенные во всех долях, преимущественно перибронховаскулярно, с нечеткими контурами — стадия КТ2 (А); аналогичные по размерам, количеству и локализации гиперинтенсивные участки визуализируются на Т٢-сканах, полученных с помощью импульсной последовательности PROPELLER FS (Б); на Т1-ВИ описанные выше изменения практически не видны (В)
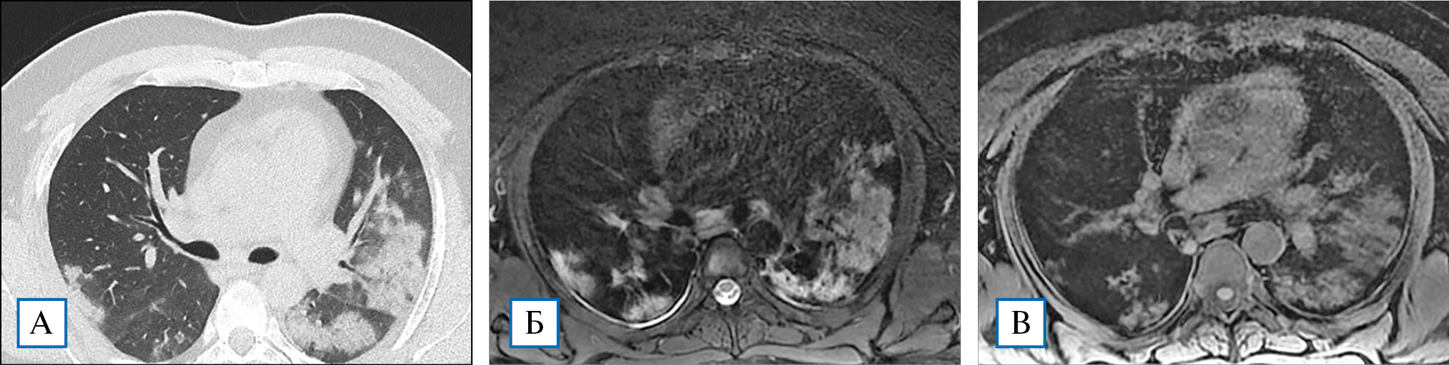
Рис. 2. Пациент, 28 лет, по данным КТВР в левом легком выявляются обширные зоны консолидации сливного характера, на фоне которых видны воздушные полоски бронхов (положительная бронхограмма). Меньшие по размерам зоны уплотнения легочной ткани визуализируются в кортикальном слое правого легкого (А); на Т2-ВИ, выполненных с применением импульсного режима PROPELLER FS, зонам консолидации соответствуют гиперинтенсивные участки, полностью совпадающие по размерам и локализации с данными, полученными при КТВР (Б); на Т1-ВИ зоны поражения отображаются участками средней интенсивности сигнала, несколько меньшего размера по сравнению с КТВР и Т2-ВИ
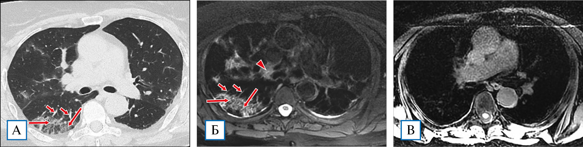
Рис. 3. Пациентка, 51 год, по данным КТВР в S6 правого легкого визуализируется обширная зона «матового стекла», переходящая в консолидацию, на фоне которой регистрируются ретикулярные изменения, представленные утолщенным внутридольковым интерстицием, что хорошо видно как на КТВР-срезах, так и на Т2-ВИ (А, Б, стрелки). Кроме того, Т2-ВИ позволяют уверенно выявлять утолщения интерстиция по ходу сосудов, отдельных междольковых перегородок — короткие стрелки). Т٢-последовательности дают возможность четко дифференцировать увеличенные лимфатические узлы (Б, треугольная стрелка). Т1-ВИ не позволяет визуализировать в полной мере как изменения в паренхиме, так и интерстициальные проявления поражения легких (В)
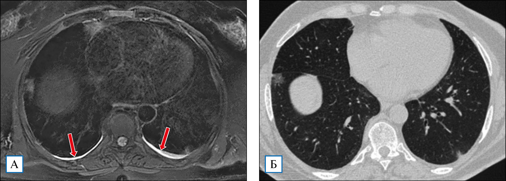
Рис. 4. Т2-ВИ МРТ имеет заметные преимущества в сравнении с КТВР в выявлении небольших объемов жидкости в плевральных полостях. Малый двусторонний гидроторакс у пациентки Б., 69 лет (стадия КТ1), уверенно выявляется на Т2 МРТ (стрелки, А) и практически не отображается на КТВР-срезах (Б)
Сопоставление данных КТВР и Т1-ВИ
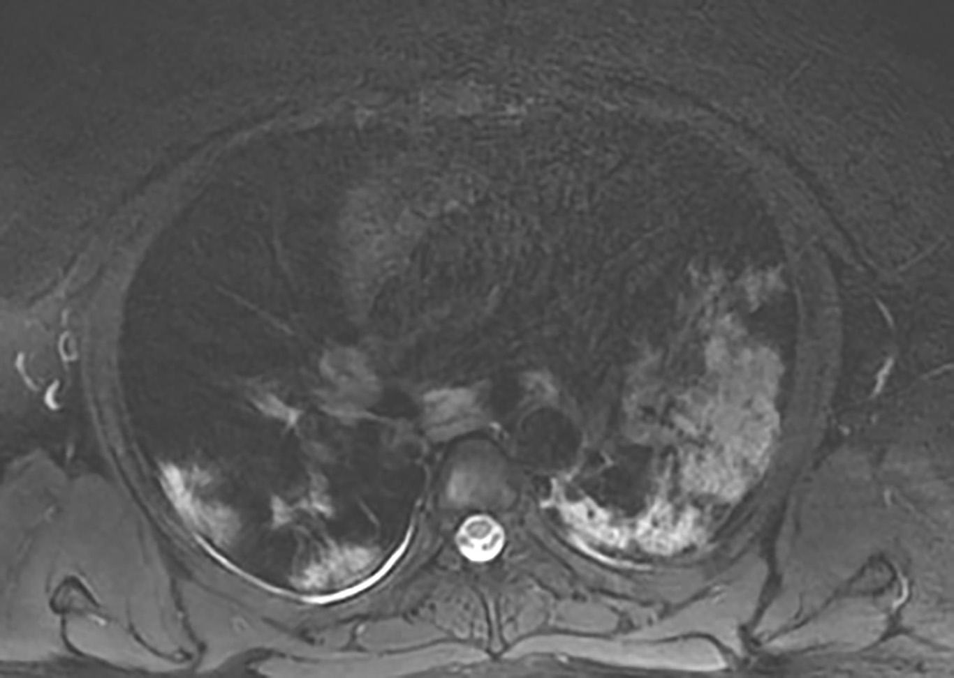
На Т1-ВИ-сканах зоны «матового стекла» либо не визуализировались, либо были представлены меньшими по площади в сравнении с данными КТВР в сопоставимых зонах и определялись как участки незначительного повышения уровня сигнала, хуже отображались также ретикулярные изменения (см. рис. 1). В 11 случаях (73,3%) участки консолидации полностью соответствовали или приближались по характеристикам (размеры, локализация) к изменениям на КТВР, при этом стоит отметить, что выполнение T1-ВИ out phase приводило к более четкому отображению зон консолидации по сравнению с Т1-ВИ in phase (см. рис. 2). Вместе с тем использование Т1-ВИ не позволяет достоверно выявлять изменения интерстиция легочной ткани, в части случаев удается уловить лишь отдельные элементы утолщенных междольковых перегородок или перибронховаскулярного интерстиция, тогда как утолщенные внутридольковые ретикулярные элементы не отображаются вовсе. У 3 пациентов на фоне участков консолидации были зарегистрированы очаги повышенного сигнала на Т1-ВИ с жироподавлением, размерами от 0,4 см до 1,7 см, местами сливного характера, что в сопоставлении с данными Т2-ВИ позволило предположить наличие паренхиматозных кровоизлияний (рис. 5).
Рис. 5. Пациент, 56 лет, тяжелое течение COVID 19. При КТВР констатировано наличие множественных среднего размера зон консолидации в различных сегментах легких, преимущественно перибронховаскулярной и субплевральной локализации (А). При МРТ в нижней доле правого легкого наряду с гиперинтенсивными зонами по Т2 (В, стрелка) выявлялись разнокалиберные очаги повышенного сигнала на Т1-ВИ (Б, стрелки). Обнаруженные изменения расценены как альвеолярные геморрагии
Сопоставление данных КТВР и ДВИ
При использовании ДВИ обнаруживались ограниченные участки повышения сигнала, соответствующие на КТВР локализации крупных зон консолидации, с гиперинтенсивным сигналом на ДВИ с высоким b-фактором (800 мм/с), что соответствовало высокому ответному сигналу на картах измеряемого коэффициента диффузии: полученный результат отображал так называемый эффект просвечивания (shine out), характерный для воспалительных изменений в паренхиматозных тканях.
Кратко возможности использованных импульсных последовательностей при выявлении изменений в легких у пациентов с вирусными пневмониями COVID-19 представлены в табл. 1.
Таблица 1
Возможности отдельных импульсных последовательностей в оценке проявлений вирусных пневмоний
Признак  | МРТ-импульсные последовательности  | 
«Матовое стекло»  | T2 FS PROPELLER — данные сопоставимы с полученной информацией при КТВР Т1 LAVA «матовое стекло» выявляется лишь в части случаев DWI-информативность снижена, «матовое стекло» не визуализируется  | 
Ретикулярный паттерн  | T2 FS PROPELLER — данные сопоставимы с результатами КТВР в 75% случаев Т1 LAVA — иногда отображаются утолщенные междольковые перегородки, измененный внутридольковый интерстиций не виден DWI-информативность снижена, ретикулярные изменения не визуализируются в полном объеме  | 
Консолидация  | T2 FS PROPELLER — данные аналогичны полученной информации при КТВР Т1 LAVA — данные аналогичны КТВР в 73,3% случаев DWI — степень выраженности процесса зависит от давности воспалительных изменений  | 
Выпот в плевральной полости  | T2 FS PROPELLER более чувствительна к выявлению «малых» гидротораксов по сравнению с КТВР  | 
Лимфаденопатия  | T2 FS PROPELLER более чувствительна к выявлению нормальных и измененных лимфатических узлов средостения и корней легких  | 
Альвеолярные геморрагии  | Т1 LAVA в сопоставлении с данными Т2-ВИ позволяет визуализировать продукты биодеградации гемоглобина в отличие от КТВР  | 
Примечание. МРТ — магнитно-резонансная томография, КТВР — компьютерная томография высокого разрешения; T2 FS PROPELLER, Т1 LAVA, DWI — программы для получения МРТ-взвешенных изображений.
ОБСУЖДЕНИЕ
Несмотря на широкие возможности в отображении тканевых характеристик, коллективный опыт применения МРТ при диффузных паренхиматозных поражениях легких пока невелик [10]: в диагностике пневмоний, вызванных SARS-CoV-2, имеется лишь на основе единичных клинических примеров.
Резюме основного результата исследования
Полученные результаты свидетельствуют о высокой чувствительности Т2-ВИ в выявлении зон консолидации и «матового стекла», сопоставимой в целом с данными КТВР, что объясняется высокой интенсивностью сигнала в тканях с повышенным содержанием жидкости (отек, воспаление), причем как в альвеолярных, так и интерстициальных пространствах. В данном исследовании для получения Т2-ВИ использовались две импульсные последовательности, основанные на различных принципах сбора данных. Технология получения изображений с половинным преобразованием Фурье, основанная на принципе симметрии k-пространства (в нашем случае ее название T2 SS-FSE), позволяла обследовать довольно большой объем ткани за короткий временной интервал (до 20 сек), что было полезным при исследовании пациентов в тяжелом состоянии [11]. Вместе с тем данная методика имеет значимый недостаток: результирующее изображение представляется несколько расплывчатым, что связано с несовершенной симметрией k-пространства, в результате чего выявление основных симптомов пневмонии — «матового стекла», консолидации и ретикулярных изменений — уступало данным, полученным при КТВР. Другой примененный вариант построения Т2-ВИ — это метод сбора данных вращающимся способом вокруг центра k-пространства (T2 FS PROPELLER): его использование, с одной стороны, приводит к удлинению времени сбора данных, а с другой — значительно увеличивает детализацию изображения [12]. В ходе сравнительного анализа Т2 PROPELLER и КТВР отмечались практически полное сопоставление размеров, количества и положения зон снижения воздушности легочной ткани по типу «матового стекла» и консолидации, удовлетворительная визуализация ретикулярных изменений — утолщенного перивазального интерстиция, междольковых перегородок и междольковых перегородок в пределах зон «матового стекла». К преимуществам Т2-ВИ следует отнести лучшую визуализацию свободной жидкости в плевральных полостях в умеренном и минимальном количестве: при описании КТВР «малый» гидроторакс отмечен только в 5 случаях из 12, диагностированных на МРТ. Также стоит отметить высокую степень дифференцировки лимфатических узлов по сравнению с данными КТВР-исследований.
Для получения Т1-ВИ использовалась импульсная последовательность Т1 LAVA Flex — технология трехмерной визуализации, основанная на явлении химического сдвига, при которой в одной импульсной последовательности и за одну задержку дыхания представляется возможным получить несколько последовательностей — WATER (с подавлением сигнала от жировой ткани), FAT (отображение только жировой ткани), IN PHASE, OUT PHASE [13]. К преимуществам данной последовательности мы относим время получения изображения — около 30 сек. Сравнительный анализ КТВР и Т1-ВИ показал, что данная МРТ-последовательность обладает низкой чувствительностью к визуализации ретикулярных изменений, инфильтративных изменений по типу «матового стекла» и лимфатических узлов, вместе с тем участки консолидации в большинстве случаев находят отображение.
Перспективной в преодолении недостаточной чувствительности МРТ в отношении важных симптомов ковидного поражения легких выглядит технология, предложенная китайскими авторами [14]. Они использовали сканирование на ультракоротком эхосигнале (ultrashort echo time MRI, UTE–MRI) и получили высокую конкордантность КТВР и МРТ изображений, в том числе в отношении феномена «матового стекла».
Выявление легочных геморрагий у пациентов с вирусными пневмониями имеет большое значение как с точки зрения влияния на лечебную тактику, так и с прогностических позиций. МРТ обладает уникальной возможностью ранней диагностики легочных геморрагий, основываясь на специфических характеристиках сигнала — повышенного на Т1-ВИ с подавлением сигнала от жировой ткани и пониженного на Т2-ВИ, что может соответствовать наличию внутриклеточного метгемоглобина в значимых количествах, или повышенного сигнала на Т2-ВИ, что свидетельствует о разрыве клеточных мембран и выходе метгемоглобина во внеклеточное пространство. Подобные изменения мы наблюдали у 3 пациентов.
Метод визуализации движения свободных молекул воды в тканях DWI использовался у 4 (26,7%) пациентов. Метод уступает КТВР, Т2-ВИ и Т1-ВИ в выявлении основных симптомов пневмонии, однако может быть полезен для разграничения воспалительных и фиброзных изменений, оценки степени постпневмонического фиброза [15]. У одного пациента методика ДВИ позволила уверенно дифференцировать воспалительные изменения прикорневой области от неопластического процесса.
Полученные результаты позволяют рекомендовать метод МРТ для использования в качестве основного, если невозможно выполнить КТВР, или дополнительного метода оценки поражения легочной паренхимы при вирусных, а возможно, и при бактериальных пневмониях. В условиях эпидемии COVID-19 или при иных вирусных заболеваниях метод МРТ может применяться также для скрининга пациентов с положительной ПЦР на вирус или при легком течении заболевания — в этом случае можно ограничиться лишь выполнением Т2-ВИ, информативность которых максимально приближена к данным КТВР. Скрининговое МРТ-исследование, проведенное с использованием необходимых импульсных последовательностей, в настоящее время вполне сопоставимо по стоимости с выполнением КТ и при любых условиях намного информативнее стандартного рентгенологического исследования. Трудно переоценить возможности метода в диагностике легочных геморрагий, своевременное выявление которых способно существенно повлиять на тактику лечения пациента. Несмотря на то что в последней версии Временных методических рекомендаций Минздрава России по диагностике и лечению новой коронавирусной инфекции от 03.06.2020 МРТ не рекомендуется в качестве метода диагностики ковидного поражения легких, мы считаем, что метод с учетом одного из основных его преимуществ — отсутствия лучевой нагрузки — можно рекомендовать при подозрении на легочное поражение у детей и беременных, а также с целью мониторинга состояния легочной ткани после перенесенной вирусной пневмонии, если пациент уже подвергался неоднократной лучевой нагрузке.
Ограничения исследования
Кроме хорошо известных стандартных противопоказаний к МРТ (наличие металла в теле пациента; имплантаты, не совместимые с магнитным полем, и др.), к ограничениям метода следует отнести невозможность исследования больных с тяжелой дыхательной недостаточностью и пациентов на ИВЛ.
ЗАКЛЮЧЕНИЕ
В условиях пандемии коронавируса COVID-19 метод КТВР занял ведущее место в диагностике и оценке степени поражения легочной ткани, а также при мониторинге эффективности проводимого лечения. В последние годы по мере оснащения лечебно-профилактических учреждений России сложным диагностическим оборудованием метод МРТ стал доступным не только в крупных медицинских центрах, но и в клиниках средней мощности, в том числе в негосударственном секторе. Применение метода МРТ легких у больных COVID-19-обусловленной пневмонией было направлено на улучшение диагностики поражения легочной паренхимы, а полученные результаты позволяют надеяться на расширение применения МРТ в пульмонологической практике, в том числе с целью дифференциальной диагностики.
ИСТОЧНИК ФИНАНСИРОВАНИЯ
Работа выполнена в ФНКЦ ФМБА России на диагностическом оборудовании Центра.
КОНФЛИКТ ИНТЕРЕСОВ
Авторы данной статьи подтвердили отсутствие конфликта интересов, о котором необходимо сообщить.
УЧАСТИЕ АВТОРОВ
В.Н. Лесняк — концепция исследования, обработка материала, написание статьи; В.А. Журавлёва — выполнение МРТ-исследований, сбор и обработка материала; А.В. Аверьянов — экспертиза статьи с клинических позиций. Все авторы внесли существенный вклад в проведение поисково-аналитической работы и подготовку статьи, прочли и одобрили финальную версию до публикации.
About the authors
Viktor N. Lesnyak
Federal Scientific and Clinical Center of Specialized Types of Medical Care and Medical Technologies of the Federal Medical and Biological Agency of Russia
							Author for correspondence.
							Email: lesnyak_kb83@mail.ru
				                	ORCID iD: 0000-0002-2739-0649
				                	SPIN-code: 5483-3113
																		                								
MD
Russian Federation, MoscowVeronika A. Zhuravleva
Federal Scientific and Clinical Center of Specialized Types of Medical Care and Medical Technologies of the Federal Medical and Biological Agency of Russia, Moscow
														Email: z-vera@bk.ru
				                	ORCID iD: 0000-0003-0558-1142
				                																			                												                	Russian Federation, 							Moscow						
Aleksander V. Averyanov
Research Institute of Pulmonology of the Federal Medical and Biological Agency of Russia
														Email: averyanovav@mail.ru
				                	ORCID iD: 0000-0003-1031-6933
				                	SPIN-code: 2229-7100
																		                								
MD, PhD
Russian Federation, MoscowReferences
- Yan L, Liming X. Coronavirus Disease 2019 (COVID-19): role of chest ct in diagnosis and management. AJR Am J Roentgenol. 2020;214(6):1280–1286. doi: 10.2214/AJR.20.22954.
 - Jieyun Z, Zhimei Z, Hongyuan L. CT imaging features of 4121 patients with COVID-19: A meta-analysis. J Med Virol. 2020;92(7):891–902. doi: 10.1002/jmv.25910.
 - Abbara S, Sanjeev B. Radiological Society of North America Expert Consensus Statement on reporting chest CT findings related to COVID-19. Endorsed by the Society of Thoracic Radiology, the American College of Radiology, and RSNA. Radiol Cardiothorac Imaging. 2020;2(2):e200152. doi: 10.1148/ryct.2020200152.
 - Zheng Y, Zhang Y, Wang Y, et al. Chest CT manifestations of new coronavirus disease 2019 (COVID-19): a pictorial review. Eur Radiol. 2020;1–9. doi: 10.1007/s00330-020-06801-0.
 - Carotti M, Salaffi F, Sarzi-Puttini P, et al. Chest CT features of coronavirus disease 2019 (COVID-19) pneumonia: key points for radiologists. Radiol Med. 2020;1–11. doi: 10.1007/s11547-020-01237-4.
 - Prokop M, van Everdingen W, van Rees VT, et al. CO-RADS — a categorical CT assessment scheme for patients with suspected COVID-19: definition and evaluation. Radiology. 2020;201473. doi: 10.1148/radiol.2020201473.
 - Shionoya Y, Kasai L, Terada J, et al. Cytomegalovirus pneumonia with progressive lung volume loss. Am J Case Rep. 2018;19:1393–1397. doi: 10.12659/AJCR.911708.
 - Xing Z, Sun X, Xu L, et al. Thin-section computed tomography detects long-term pulmonary sequelae 3 years after novel influenza a virus-associated pneumonia. Chin Med J (Engl). 2015;128(7):902–908.
 - Морозов С.П., Проценко Д.Н., Сметанина С.В., и др. Лучевая диагностика коронавирусной болезни (COVID-19): организация, методология, интерпретация результатов. препринт № ЦДТ-2020-II. Версия 2 от 17.04.2020. Вып. 65. — М.: ГБУЗ «НПКЦ ДиТ ДЗМ», 2020. — 78 с. (Серия: Лучшие практики лучевой и инструментальной диагностики). [Morozov SP, Protsenko DN, Smetanina SV, et al. Luchevaya diagnostika koronavirusnoy bolezni (COVID-19): organizatsiya, metodologiya, interpretatsiya rezul’tatov: preprint № TSDT-2020-II. Version 2 from 17.04.2020. Issue 65. Moscow: Scientific and practical clinical center for diagnostics and telemedicine technologies; 2020. 78 р. (Series: Luchshiye praktiki luchevoy i instrumental’noy diagnostiki). (In Russ).]
 - Langenbach MC, Hokamp NG, Persigehl T, Bratke G. MRI Appearance of COVID-19 Infection. Diagn Interv Radiol. 2020. doi: 10.5152/dir.2020.20152.
 - Questions and Answers in MRI. Visitors since 2015. Avalable from: https://mriquestions.com/index.html.
 - Biederer J, Hirsch W, Beer M, Wild J. MRI of the lung (2/3). Why … when … how? Insights into Imaging. 2012;3:355–371. doi: 10.1007/s13244-011-0146-8.
 - Kołodziej M, de Veer MJ, Cholewa M, et al. Lung function imaging methods in Cystic Fibrosis pulmonary disease. Respir Res. 2017;18(1):96. doi: 10.1186/s12931-017-0578-x.
 - Yang S, Zhang Y, Shen J, et al. Clinical potential of UTE-MRI for assessing COVID-19: patient- and lesion-based comparative analysis. J Magn Reson Imaging. 2020. doi: 10.1002/jmri.27208.
 - Huh J, Kim K, Diffusion-Weighted MR. Enterography to monitor bowel inflammation after medical therapy in crohn’s disease: a prospective longitudinal study. Korean J Radiol. 2017;18(1):162–172. doi: 10.3348/kjr.2017.18.1.162.
 
Supplementary files
				
			
					
						
									







