Pulmonary pathology of the new coronavirus disease (COVID-19). The preliminary analysis of post-mortem findings
- Authors: Zabozlaev F.G.1, Kravchenko E.V.1, Gallyamova A.R.1, Letunovsky N.N.1
-
Affiliations:
- Federal Research Clinical Center of the Federal Medical-Biological Agency of Russia
- Issue: Vol 11, No 2 (2020)
- Pages: 21-37
- Section: Original Study Articles
- Submitted: 25.06.2020
- Accepted: 02.07.2020
- Published: 02.08.2020
- URL: https://clinpractice.ru/clinpractice/article/view/34849
- DOI: https://doi.org/10.17816/clinpract34849
- ID: 34849
Cite item
Abstract
Background. Currently, the patho- and morphogenesis of the new coronavirus infection (COVID-19) is being studied in depth. A comparative analysis of the morphological changes in the lungs of deceased patients is of importance, for various time periods after the onset of the first clinical symptoms. The clinical and morphological comparison should help to increase the qualified medical care for patients in the resuscitation profile and reduce the hospital mortality.
The aim of the study was to formulate a working hypothesis for a conceptual scheme of clinical and morphological phases of development of the new coronavirus infection (COVID-19).
Methods. An analysis of 80 fatal cases was carried out in the COVID-center of the Federal Research Clinical Center of FMBA of Russia. Along with the assessment of macro- and microscopic changes in the respiratory tract, additional histochemical van Gieson staining was applied and immunohistochemical studies were performed to assess the condition of the COVID-19-affected lungs.
Results. The revealed features of diffuse alveolar damage in the case of the new coronavirus infection (COVID-19) made it possible to present a working hypothesis of the pathomorphogenesis of COVID-19 interstitial pneumonia. It proceeds through 3 phases: fulminant, persistent and fibrotic. Each phase is conditionally limited by certain time parameters and is characterized by certain morphological signs Dysregulatory activation of monocytic phagocytes, development of generalized microthrombosis, persistent signs of the exudative phase, pathological repair, progressive intraalveolar and interstitial fibrosis are the main links in the pathomorphogenesis of COVID-19 interstitial pneumonia. In response to the penetration of SARS-CoV-2, the T-cell immunity reactions prevail at the exudative and proliferative stages. At the fibrotic stage, the overall number of T-lymphocytes is drastically decreased, the cells of humoral immunity are not revealed. The CD8+ T-lymphocytes prevailing over CD4+ T-lymphocyte helpers is probably related to the autoimmune damage mechanisms.
Conclusions. Damage to the lungs with the development of COVID-19 interstitial pneumonia is the main cause of the severe course of the disease and deaths. The revealed features of the pathomorphogenesis of the clinical and morphological phases of COVID-19 interstitial pneumonia will improve the quality of diagnosis and treatment of a new coronavirus infection (COVID-19).
Full Text
ОБОСНОВАНИЕ
Новая коронавирусная инфекция (COVID-19) — потенциально опасное острое респираторное заболевание, вызванное новым коронавирусом (SARS-CoV-2), преимущественно с аспирационным механизмом передачи. В соответствии с санитарным законодательством Российской Федерации, вирус SARS-CoV-2 отнесен ко II группе патогенности [1]. COVID-19 может протекать не только в виде легкой острой респираторной вирусной инфекции, но и в тяжелых формах, которые характеризуются развитием клинической картины острого респираторного дистресс-синдрома (ОРДС) и полиорганной недостаточности с высокой летальностью [2, 3].
На протяжении периода пандемии пополняются научные сведения об этиологии, эпидемиологии, патогенезе и морфологических изменениях, клинических особенностях, лечении и профилактике новой коронавирусной инфекции [4–7].
Распространение COVID-19 представляет особую опасность в отношении декомпенсации хронических заболеваний. Наиболее часто тяжелые формы COVID-19 наблюдаются у пациентов с хронической обструктивной болезнью легких, ожирением, сахарным диабетом, артериальной гипертензией, ишемической болезнью сердца, хроническими заболеваниями почек, злокачественными новообразованиями [8–11].
Патогенез COVID-19 находится в процессе активного изучения. В отечественной и зарубежной литературе констатировано, что основным рецептором клеток, с которым связывается S-белок (Spike Protein) оболочки SARS-CoV-2, является ангиотензинпревращающий фермент 2 (angiotensin-converting enzyme 2, ACE2). Инфицирование происходит при участии трансмембранной сериновой протеазы 2 (transmembrane protease serine 2, TMPRSS2), необходимой для активации S-белка [12–15].
Рецептор ACE2 обнаружен на клетках различных органов (легкие, сердце, почки, тонкая кишка и др.), в том числе он присутствует на клетках иммунной системы, эндотелиальных клетках артериальных и венозных сосудов [16–19].
Основной мишенью вируса SARS-CoV-2 является респираторный тракт. Происходит поражение альвеолоцитов 1-го и 2-го типов, клеток эндотелия сосудов, что приводит к нарушению функционирования аэрогематического барьера и сурфактантного альвеолярного комплекса [15, 16].
Одной из наиболее актуальных патогенетических концепций COVID-19 является иммунная дисфункция (дисрегуляция), в основе которой лежит синдром активации макрофагов (macrophage activation syndrome, MAS) [16, 20, 21].
Дисрегуляторная активация моноцитарных фагоцитов, наблюдаемая у пациентов с тяжелыми формами COVID-19, возможно, ассоциируется с гипериммунным ответом, стимулирующим моноцитарно-макрофагальную систему легких с массивным выбросом цитокинов [16, 22, 23].
При генерализации инфекционного процесса наблюдается высокая продукция провоспалительных цитокинов и хемокинов с развитием «цитокинового шторма». Тяжелое течение COVID-19 сопровождается наиболее высоким уровнем в сыворотке крови интерлейкинов (interleukin, IL) 6, 8, 18, 1β и фактора некроза опухоли альфа (tumor necrosis factor-alpha, TNFα). Риск летального исхода ассоциирован с высоким уровнем IL6 в сыворотке крови [24, 25]. Гиперергическая иммунная реакция лежит в основе развития ОРДС и полиорганной недостаточности при COVID-19 [22].
Один из предполагаемых механизмов гибели клеток, инфицированных SARS-CoV-2, — пироптоз (вид программируемой некротической гибели клетки, при котором в результате активации каспазы 1 происходит нарушение целостности плазматической мембраны с формированием пор и быстрое высвобождение наружу содержимого клетки) [26, 27]. В очагах воспаления (внутриальвеолярно и в интерстиции) активированные макрофаги кроме выработки медиаторов воспаления секретируют ростовые факторы, запускающие процесс репарации и активирующие фибробласты.
В патогенезе ранних изменений важную роль играют активированные нейтрофилы, реагируя на любое нарушение гомеостаза в органах дыхания. Активация нейтрофилов способствует повреждению эндотелия, ухудшению реологических свойств крови, активации тромбоцитов и нарушению микроциркуляции. Объем и степень поражения микроциркуляторного русла напрямую коррелируют с течением и прогнозом заболевания [20]. Активированные нейтрофилы выделяют фактор активации тромбоцитов, обусловливая тем самым агрегацию и секвестрацию тромбоцитов, синтез фактора роста тромбоцитов, стимулирующего процессы фиброзирования.
Система мононуклеарных фагоцитов легких сопоставима с системой мононуклеарных фагоцитов печени, а диффузно развивающийся фиброз ткани легкого в исходе ОРДС при COVID-19 по своему течению целесообразно сравнить с отдельными формами вирусных поражений паренхимы печени (например, при вирусных гепатитах с исходом в цирроз печени). Не исключается возможность распространения (персистенции) коронавируса SARS-CoV-2 в организме за счет инфицирования клеток иммунной системы, более вероятно, макрофагов [28].
Морфологические признаки COVID-19 на современном этапе сводятся в основном к описанию изменений ранней (экссудативной) и поздней (пролиферативной) стадий ОРДС. Также верифицируется повреждение эндотелиоцитов микроциркуляторного русла с нарушениями в системе свертывания крови, развитием ДВС-синдрома с мультифокальным микротромбозом и последующей полиорганной дисфункцией с преобладанием острой почечной недостаточности [2, 3, 29].
Некоторые специалисты считают, что в отношении определения поражения легких при COVID-19 термин «пневмония» совершенно не отражает морфологию, клинико-рентгенологические признаки патологического процесса, наблюдаемого при поражении легких вирусом SARS-CoV-2. Предлагается к использованию термин «вирусное поражение легких» (вирусный пневмонит, вирусная интерстициопатия) [30]. Ряд авторов в качестве нового названия тяжелой COVID-19 предлагает термин «микрососудистый обструктивный тромбовоспалительный синдром легких» [31].
Звенья патогенеза и морфологические особенности новой коронавирусной инфекции требуют дальнейшего комплексного изучения с применением современных методов исследований. Остаются актуальными также вопросы правильного учета летально закончившихся случаев и эпидемиологической безопасности при проведении патологоанатомических вскрытий.
Цель исследования — изучить патоморфогенез COVID-19 на основе проведенных аутопсийных исследований с формированием рабочей гипотезы концептуальной схемы клинико-морфологических фаз развития заболевания.
МЕТОДЫ
Условия проведения
Проведено комплексное патологоанатомическое исследование секционного материала, полученного после аутопсий 80 умерших пациентов в ФГБУ ФНКЦ ФМБА России с основным заболеванием COVID-19 тяжелого клинического течения, подтвержденным выявлением методом полимеразной цепной реакции как при жизни, так и посмертно РНК SARS-CoV-2.
Характеристика (градация) исследуемых групп
Учитывая широкий спектр обнаруженных морфологических изменений в легких, в основе которых лежит диффузное альвеолярное повреждение, градация исследуемых групп проведена в соответствии с тремя стадиями ОРДС — экссудативной, пролиферативной и фибротической.
Первая исследуемая группа составила 12 случаев летальных исходов в течение 10 сут от начала клинических признаков COVID-19, вторая — 28 случаев, от 11 до 20 сут, третья — 40 случаев, от 21 до 45 сут.
Во всех случаях были выполнены патологоанатомические вскрытия с соблюдением временных методических рекомендаций по исследованию умерших с подозрением на новую коронавирусную инфекцию [29].
Методы исследования
Для исследования аутопсийного материала применялись гистологические, гистохимические и иммуногистохимические методы. Фрагменты трахеи, крупных бронхов, легких и внутренних органов фиксировали в формалине не менее 72 ч, далее проводили заливку в парафин. Серийные парафиновые срезы окрашивали гематоксилином и эозином, пикрофуксином по Ван Гизону. Из парафиновых блоков изготавливали срезы толщиной 3 мкм, которые окрашивали общепринятыми методиками.
В 13 случаях были выполнены иммуногистохимические исследования с антителами к СD3, CD4, CD8, CD20, CD31 (PECAM-1), CD34, СD57, CD68, CD138, Cytokeratin 5 & 6, гладкомышечному актину (actin, smooth muscle), сурфактантассоциированному белку А (surfactant A), коллагену IV типа (collagen type IV). Депарафинирование, регидратацию, демаскировку и окраску антигенов производили при помощи специализированной автоматизированной системы BenchMark® ULTRA (Ventana, США).
Статистический анализ
Результаты патологоанатомических исследований представлены в предварительном виде, так как набор и исследование материала продолжаются. Статистическая обработка будет выполнена позднее на большем объеме наблюдений.
РЕЗУЛЬТАТЫ
Основные результаты исследования
При аутопсийном макроскопическом и последующем гистологическом исследовании трахеи и легких пациентов, погибших от новой коронавирусной инфекции, были обнаружены морфологические признаки, отличающие ее от других острых респираторных вирусных инфекций.
Особенность макроскопической картины трахеи — неравномерность геморрагических изменений слизистой оболочки, которые чаще отсутствовали или минимально проявлялись в проксимальной части и были умеренно/резко выражены в дистальной части и главных бронхах.
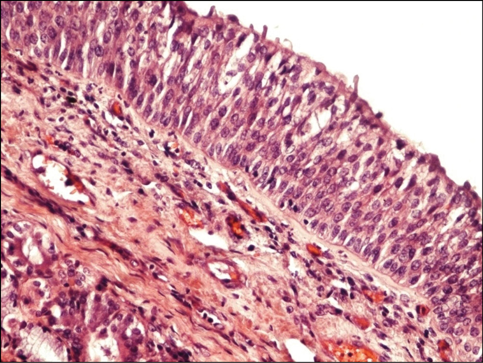
При гистологическом исследовании дистальных отделов трахеи и бронхов крупного и среднего калибров были выявлены процессы нарушения кровообращения в сосудах микроциркуляторного русла подслизистого слоя в виде микроангиопатии (эритроцитарные сладжы, стазы, формирующиеся тромбы, периваскулярный отек). Нарушения кровообращения синхронно развивались с процессами повреждения, десквамации, очаговой базальноклеточной гиперплазии респираторного эпителия (рис. 1) с формированием фокусов плоскоклеточной метаплазии. Активные метапластические процессы, возможно, индуцированные вирусом, усугубляют течение инфекционного процесса, благоприятствуя распространению возбудителя, и нарушают мукоцилиарный клиренс, приводя к снижению барьерной функции эпителия.
Рис. 1. Базальноклеточная гиперплазия эпителия трахеи. Окраска гематоксилином и эозином, ×100
В 12 случаях летального исхода в течение 10 сут от начала заболевания макроскопически легкие были увеличены, тяжелые, тестоватой или плотной консистенции, маловоздушные, на разрезе с обширными участками «лакированного» вида, темно-красного (вишневого) цвета (рис. 2, А, Б). Присутствовали участки неравномерной окраски с чередованием сероватых, светло-багровых очагов, резко выраженного отека. В 5 случаях (смерть от 7 до 10 сут от начала заболевания) также отмечались единичные очаги зернистого вида, серовато-желтого цвета, и четко определялись участки геморрагических инфарктов правильной треугольной формы (рис. 2, В, Г) с наличием обтурирующих тромбов в сегментарных и субсегментарных ветвях легочных артерий.
Рис. 2. Макроскопическая картина легких при фульминантной фазе COVID-19-интерстициальной пневмонии, 9–10-й дни болезни
Примечание. A, Б — легкие «лакированного» вида на разрезе; В — участок геморрагического инфаркта легкого; Г — геморрагические инфаркты легкого на разрезе.
При гистологическом исследовании во всех случаях обнаружены основные морфологические признаки диффузного альвеолярного повреждения. Массивная гибель альвеолоцитов 1-го типа и синхронное поражение эндотелия капилляров приводят к экссудации жидкости и белковых молекул во внутриальвеолярное пространство, развитию отека легких, представленного серозным экссудатом, с присоединением преципитатов и нитей фибрина в просветах альвеол (рис. 3, схематическое изображение 1). По контурам альвеолярных ходов, альвеолярных мешочков, альвеол и части бронхиол формируются гиалиновые мембраны в виде полосовидных гомогенных эозинофильных масс (рис. 3, схематическое изображение 2). Погибшие альвеолоциты 1-го типа начинают компенсаторно замещаться пролиферирующими альвеолоцитами 2-го типа. Происходит денудация — «оголение» базальных мембран аэрогематического барьера (рис. 3, схематическое изображение 3–4) с разрушением его «рабочей зоны».
Рис. 3. Патоморфологические фазы COVID-19-интерстициальной пневмонии, соответствующие экссудативной (1–5) и пролиферативной (6–9) стадиям острого респираторного дистресс-синдрома (обозначения 1–9 приведены в тексте) [иллюстрация Ф.Г. Забозлаева]
В альвеолах среди фрагментированных гиалиновых мембран наблюдаются диффузно расположенные клеточные инфильтраты из легочных макрофагов (в том числе с формированием полинуклеарных форм), полиморфно-ядерных лейкоцитов, немногочисленных лимфоцитов, которые располагаются по типу «опавших листьев». Полиморфно-ядерные лейкоциты локализуются преимущественно вдоль межальвеолярных перегородок, в которых выявляются признаки нарушения микроциркуляции в виде эритроцитарных сладжей, стазов, фокусов экстравазации и дилатации капилляров (рис. 4).
Рис. 4. Микроскопическая картина альвеол при фульминантной фазе COVID-19-интерстициальной пневмонии. Окраска гематоксилином и эозином, ×100
Примечание. А — внутриальвеолярный отек с процессами его резорбции; стазы в мелких капиллярах межальвеолярных перегородок; Б — сформированные гиалиновые мембраны; интерстициальный отек межальвеолярных перегородок со слабовыраженной круглоклеточной инфильтрацией; В — пролиферация альвеолоцитов 2-го типа с их десквамацией и денудацией базальной мембраны; десквамированные альвеолоциты и легочные макрофаги в просвете альвеол; выраженный интерстициальный отек.
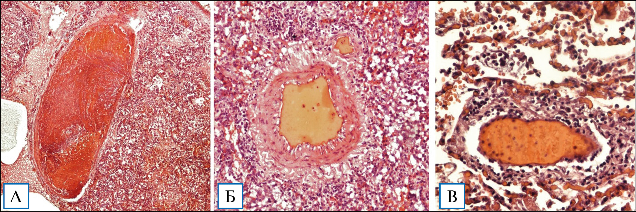
В просветах ветвей легочных артерий — фибриновые и эритроцитарно-фибриновые тромбы. Эндотелий в зонах прикрепления тромботических масс реактивно изменен: с признаками внутриклеточного отека, набухания, укрупненными ядрами. Также имеет место отек субэндотелиального слоя с гиперплазией мышечных клеток медиального слоя. Периваскулярная воспалительно-клеточная реакция во всех случаях выражена слабо, представлена скоплениями лимфоидных клеток и макрофагов. Вместе с тем определяются посткапиллярные венулиты с диффузной лимфолейкоцитарной инфильтрацией (рис. 5).
Рис. 5. Патоморфологические изменения в сосудах легких при фульминантной фазе COVID-19-интерстициальной пневмонии. Окраска гематоксилином и эозином
Примечание. А — фибриново-эритроцитарный тромб в мелкой ветви легочной артерии, ×40; Б — отек субэндотелиального слоя с гиперплазией мышечных клеток медиального слоя; периваскулярная воспалительно-клеточная реакция, ×100; В — посткапиллярный венулит с диффузной лимфоидной инфильтрацией, ×200.
При развитии геморрагического инфаркта из бронхиальной артерии поступает кровь, которая разрывает капилляры и изливается в просвет альвеол (рис. 3, схематическое изображение 5).
Проведено иммуногистохимическое исследование секционного материала 3 пациентов, умерших в течение 10 сут от начала заболевания. Во всех случаях обнаружено преобладание CD3+ Т-лимфоцитов над CD20+ В-лимфоцитами, CD4+ Т-хелперы превалируют над CD8+ Т-супрессорами (рис. 6, А, Б). CD20+ В-лимфоциты, CD57+ NK-клетки, CD138+ плазматические клетки немногочисленны, располагаются преимущественно в виде редких периваскулярных и перибронхиальных скоплений. Позитивная экспрессия антигена CD68 подтверждала наличие большого количества легочных макрофагов, расположенных преимущественно в просветах альвеол (рис. 6, В). Также высокая экспрессия CD31 (PECAM-1) документировалась в эндотелии кровеносных и лимфатических сосудов, макрофагах, гранулоцитах, при этом в данной стадии пролиферации кровеносных и лимфатических сосудов не выявлено (рис. 6, Г).
Рис. 6. Иммуногистохимический анализ изменений легких при фульминантной фазе COVID-19-интерстициальной пневмонии
Примечание. А — экспрессия CD4 Т-лимфоцитами-хелперами, ×100; Б — экспрессия CD8 Т-лимфоцитами-супрессорами, ×100; В — экспрессия CD68, ×100; Г — экспрессия CD31 (PECAM-1), ×200.
При оценке экспрессии сурфактантассоциированного белка А отмечены его гиперпродукция пролиферирующими альвеолоцитами 2-го типа и фагоцитоз легочными макрофагами, которые, заполняя просветы альвеол, входят в состав экссудата, состоящего из погибших альвеоцитов 1-го типа, лизированных эритроцитов, фибрина. Происходит дополнительный перфузионный блок к образованным гиалиновым мембранам, что препятствует газообмену в альвеолах.
Экспрессия коллагена IV типа обнаружена в участках деформированных «оголенных» базальных мембран аэрогематического барьера без накопления данного маркера в межальвеолярных перегородках.
При макроскопическом исследовании легкие 28 умерших пациентов второй группы (11–20-е сут) были увеличены, более плотной консистенции, мало- или безвоздушные. На разрезе отмечались участки «мозаичного» вида в виде резко выраженной гиперемии, распространенных сливных и очаговых кровоизлияний в сочетании с желтовато-розовыми и серовато-белесоватыми участками. В 19 случаях определялись геморрагические инфаркты (с диффузной локализацией в сегментах легких) при наличии в ветвях легочных артерий обтурирующих белесоватых и темно-красных тромбов. В целом морфологическая картина легких на разрезе напоминала порфировидный гранит, что позволило нам образно называть их «порфировые легкие» (рис. 7, А). Также имели место кровоизлияния в висцеральной и париетальной плевре. Наряду с вышеописанными макроскопическими признаками с большим постоянством встречались в отдельных сегментах персистирующие участки слабо-/умеренно выраженного отека, зоны «лакированного» вида. В 16 случаях наблюдались очаги зернистого вида вследствие присоединения вторичной бактериальной инфекции. В субплевральных отделах верифицировались различной протяженности и топографии белесоватые участки фиброза с формированием ретикулярного/сетчатого рисунка сероватого цвета.
Рис. 7. Макро- и микроскопическая картина легких при персистирующей фазе COVID-19-интерстициальной пневмонии, 18-й день болезни. Окраска гематоксилином и эозином, ×100 (Б, В, Д, Е); окраска по Ван Гизону, ×100 (Г)
Примечание. А — «порфировое» легкое; Б — участки деформированной альвеолярной паренхимы с гиалиновыми мембранами, врастанием грануляционной ткани в респираторные бронхиолы, альвеолярные ходы и альвеолы; В — внутриальвеолярный отек, макрофаги и десквамированные альвеолоциты с формированием мультинуклеарных структур, моноциты; Г — слабо-/умеренно выраженный периваскулярный фиброз; Д, Е — гиперплазия альвеолярного и бронхиолярного эпителия с участками плоскоклеточной метаплазии и реактивной дисплазии.
При гистологическом исследовании во всех случаях имеет место персистирование морфологических признаков экссудативной стадии диффузного альвеолярного повреждения с наличием внутриальвеолярного и интерстициального отека и формированием вновь образованных гиалиновых мембран. Вместе с тем наблюдается врастание грануляционной ткани в респираторные бронхиолы, альвеолярные ходы и альвеолы (рис. 3, схематическое изображение 8–9; рис. 7, Б). Синхронно определяются участки структурной перестройки архитектоники паренхимы легкого — зоны ателектазов и дистелектазов с компенсаторным расширением прилежащих альвеол и терминальных бронхиол. Просветы большинства альвеол щелевидной формы. В просветах альвеол определяются макрофаги, часть из которых с пенистой цитоплазмой, кариомегалией и формированием мультинуклеарных структур, клетки десквамированного альвеолярного эпителия, сливающегося в поликарионы, лимфоидные клетки и полиморфно-ядерные лейкоциты.
В интерстиции многочисленные фокусы сосудистой пролиферации, участки грануляционной ткани. Во всех случаях межальвеолярные перегородки деформированы и утолщены за счет разрастания коллагеновых волокон и воспалительно-клеточной инфильтрации, представленной макрофагами, лимфоидными клетками, полиморфно-ядерными лейкоцитами. Выявлен слабо-/умеренно выраженный периваскулярный фиброз (рис. 7, В, Г).
Отмечается гиперплазия бронхиолярного эпителия с участками плоскоклеточной метаплазии и реактивной дисплазии (рис. 3, схематическое изображение 6–7; рис. 7, Д, Е). Также имеет место смещение границ бронхоальвеолярного перехода в сторону альвеолярных ходов с бронхиолизацией альвеолярного эпителия. На фоне пролиферативных изменений отмечается массивная десквамация альвеолярного и бронхиолярного эпителия.
В случаях присоединения вторичной бактериальной инфекции в легочной паренхиме наблюдаются очаги острого воспаления вокруг бронхов или бронхиол размерами от ацинуса до сегмента. Воспалительная инфильтрация стенок бронхиол с накоплением преимущественно гнойного и смешанного экссудата в просветах альвеол, бронхиол и бронхов.
Проведено иммуногистохимическое исследование секционного материала 5 пациентов, умерших в течение 11–20 сут от начала заболевания. Во всех случаях обнаружено преобладание CD3+ Т-лимфоцитов над CD20+ В-лимфоцитами, при этом в 2 случаях пролиферативной фазы — превалирование цитотоксических CD8+ Т-супрессоров над CD4+ Т-хелперами (рис. 8, А, Б), в 3 случаях соотношение двух типов Т-лимфоцитов равное. Резко уменьшено количество CD20+ В-лимфоцитов, CD57+ NK-клеток по сравнению с экссудативной фазой. Плазматических клеток не обнаружено (реакция к CD138 отрицательная). Экспрессия антигена CD68 выявлена во всех случаях в большом количестве функционально активных макрофагов, расположенных преимущественно в просветах альвеол, меньше — в интерстиции межальвеолярных перегородок (рис. 8, В). CD31 (PECAM-1) экспрессируется в эндотелиальных клетках кровеносных сосудов, в том числе грануляционной ткани, малых лимфатических сосудов, также преимущественно в макрофагах (рис. 8, Г). При иммуногистохимическом исследовании с CD31 и CD34 выявлены признаки очагового повреждения эндотелия. Обнаружена положительная реакция к сурфактантассоциированному белку А, преимущественно в участках локализации альвеолярных макрофагов (рис. 8, Д).
Рис. 8. Иммуногистохимический анализ изменений легких при персистирующей фазе COVID-19-интерстициальной пневмонии
Примечание. А — экспрессия CD4 Т-лимфоцитами-хелперами, ×200; Б — экспрессия CD8 Т-лимфоцитами-супрессорами, ×200; В — экспрессия CD68, ×100; Г — экспрессия CD31 (PECAM-1), ×200; Д — экспрессия сурфактантассоциированного белка А, ×100.
У 40 пациентов, умерших в срок 21–45 сут от начала заболевания, легкие увеличены, безвоздушные. На висцеральной плевре — множественные кровоизлияния, реже формирование спаечного процесса. На разрезе паренхима легкого пестрого вида, с четкой градацией стадий диффузного альвеолярного повреждения, в отдельных случаях — с «этажностью» изменений. Преимущественно в верхних отделах легких — чередование зон резкого полнокровия, фокальных или массивных кровоизлияний, геморрагических инфарктов, синхронно сочетающихся с обширными участками фиброза, начинающегося преимущественно в субплевральных отделах и занимающего несколько сегментов в средних и нижних отделах обоих легких. В 14 случаях имели место признаки присоединившейся вторичной бактериальной инфекции. Паренхима легких в участках фиброза плотная, «каучуковой» консистенции, при суперинфекции — мелко- и крупнодольчатого строения. Прилежащая к участкам фиброза висцеральная плевра легкого с мелкобугристой поверхностью визуально напоминала капсулу цирротически измененной печени (рис. 9, А).
Рис. 9. Макро- и микроскопическая картина, иммуногистохимический анализ изменений легких при фибротической фазе COVID-19-интерстициальной пневмонии, 36-й день болезни. Окраска гематоксилином и эозином, ×100 (Б, Г–Е); окраска по Ван Гизону, ×100 (В)
Примечание. А — макропрепарат легких: прилежащая к участкам фиброза висцеральная плевра легкого с мелкобугристой поверхностью, визуально напоминает капсулу цирротически измененной печени; Б — пролиферативные, гиперпластические и метапластические изменения бронхиального и альвеолярного эпителия с формированием аденоматозных структур, очагов плоскоклеточной метаплазии с фокусами ороговения и реактивной дисплазии; В — диффузный фиброз легочной паренхимы при фибротической фазе COVID-19-интерстициальной пневмонии; Г — экспрессия гладкомышечного актина (actin, smooth muscle) пролиферирующих миофибробластов; Д — экспрессия Cytokeratin 5 & 6 в очагах плоскоклеточной метаплазии; Е — экспрессия коллагена IV типа.
При гистологическом исследовании — структурная дезорганизация паренхимы легкого с изменением нормальной гистоархитектоники за счет быстропрогрессирующего фиброза. Альвеолы преимущественно коллабированы (ателектазы и дистелектазы) с единичными щелевидными просветами (рис. 10, схематическое изображение 1–3). Межальвеолярные перегородки резко утолщены за счет отложения коллагеновых волокон с фокусами пролиферации фибробластов и миофибробластов, редукцией капиллярного русла, диффузной инфильтрацией макрофагами, полиморфно-ядерными лейкоцитами и немногочисленными лимфоцитами. Эпителиальная выстилка деформированных межальвеолярных перегородок представлена пролиферирующими альвеолоцитами 2-го типа, с признаками резко выраженных реактивных и дисрегенераторных изменений.
Рис. 10. Патоморфология фибротической фазы COVID-19-интерстициальной пневмонии
Примечание. ОРДС — острый респираторный дистресс-синдром [иллюстрация Ф.Г. Забозлаева]
Наблюдаются пролиферативные, гиперпластические и метапластические изменения бронхиального эпителия с формированием аденоматозных структур, очагов плоскоклеточной метаплазии с фокусами ороговения и реактивной дисплазии. В зонах аденоматозной гиперплазии — наползание метаплазированного бронхиолярного эпителия в просветы альвеолярных ходов (рис. 9, Б). Окрашивание по Ван Гизону выявляло на этой стадии диффузный фиброз легких (рис. 9, В).
Проведено иммуногистохимическое исследование секционного материала 5 пациентов, умерших в течение 21–45 сут от начала заболевания. Во всех случаях фибротической фазы обнаружено преобладание CD8+ Т-супрессоров над CD4+ Т-хелперами, при этом общее количество Т-лимфоцитов резко снижено. CD20+ В-лимфоциты, CD57+ NK- клетки не выявлены.
Положительная реакция к гладкомышечному актину (actin, smooth muscle) пролиферирующих миофибробластов и миофибробластических фокусов (рис. 9, Г). В участках плоскоклеточной метаплазии — положительная реакция к cytokeratin 5 & 6 (рис. 9, Д).
Резко выраженная экспрессия коллагена IV типа определяется по ходу утолщенных базальных мембран, в том числе сосудистого русла, бронхиального дерева, в интерстиции утолщенных и резко деформированных межальвеолярных перегородок (рис. 9, Е). На отдельных участках обнаружена более интенсивная реакция вокруг фокусов плоскоклеточной метаплазии.
ОБСУЖДЕНИЕ
Наш предварительный опыт патологоанатомических исследований умерших пациентов с тяжелыми формами полисегментарных, субтотальных и тотальных пневмоний, вызванных новым коронавирусом (SARS-CoV-2), в сочетании с обширной междисциплинарной информацией позволяет представить рабочую гипотезу патоморфогенеза COVID-19-интерстициальной пневмонии.
Острый респираторный дистресс-синдром при СOVID-19-интерстициальной пневмонии отличается от классической схемы развития диффузного альвеолярного повреждения, модифицированной в 2016 г. [32]. Согласно данной схеме, диффузное альвеолярное повреждение включает 2 стадии общей продолжительностью около 14 дней (рис. 11).
Рис. 11. Стадии острого респираторного дистресс-синдрома по Аnna-Luise A. Katzenstein, 2016 [32]
По нашему мнению, ОРДС при СOVID-19 имеет 3 стадии, которые сопровождают развитие соответствующих клинико-морфологических фаз COVID-19-интерстициальной пневмонии:
1) экссудативная стадия с развитием фульминантной фазы COVID-19-интерстициальной пневмонии;
2) пролиферативная стадия с развитием персистирующей фазы COVID-19-интерстициальной пневмонии;
3) фибротическая стадия с развитием фибротической фазы COVID-19-интерстициальной пневмонии.
Каждая стадия соответствует определенному времени развития заболевания и представлена характерными макро- и микроскопическими признаками (рис. 12).
Рис. 12. Стадии острого респираторного дистресс-синдрома, соответствующие фазам развития COVID-19-интерстициальной пневмонии
Экссудативная стадия соответствует острой фазе диффузного альвеолярного повреждения с развитием распространенного отека легких и формированием в последующем гиалиновых мембран (см. рис. 3), по протяженности занимает до 10 сут от начала клинических симптомов заболевания. Отличительная особенность экссудативной стадии — дисрегуляторная активация моноцитарных фагоцитов, вероятно, ассоциированная с гипериммунным ответом, стимулирующим моноцитарно-макрофагальную систему легких с последующим развитием микротромбоза в сосудах легких, при тяжелых формах — с генерализованным микротромбозом с поражением сосудов сердца, почек, головного мозга, верхних и нижних конечностей. При летальных исходах в течение экссудативной стадии мы посчитали необходимым указать на молниеносное течение соответствующей фульминантной фазы COVID-19-интерстициальной пневмонии.
Особенность пролиферативной стадии, которая составляет до 20 сут от начала клинических симптомов заболевания, — широкий спектр морфологических проявлений, постоянное сочетание персистирующих признаков экссудативной стадии в виде вновь появляющихся фокусов внутриальвеолярного отека и гиалиновых мембран с гиперпластическими, реактивными и дисрегенераторными изменениями, начальными признаками развития фиброза. Эти морфологические изменения позволяют говорить об атипическом течении ОРДС при новой коронавирусной инфекции (COVID-19). При этом непосредственные причины смерти наиболее часто связаны с тромбоэмболическими осложнениями и присоединением вторичной (бактериальной) инфекции.
При патологоанатомическом исследовании легких в фибротическую стадию (смерть от 21 до 45 сут и более от начала болезни) отмечалось субтотальное, но чаще тотальное поражение паренхимы с развитием диффузного интраальвеолярного и интерстициального фиброза при практически полном отсутствии функционально жизнеспособной легочной ткани. Примечательно, что интерстициальный фиброз, который в течение длительного времени развивается и сопровождает течение обычной интерстициальной пневмонии, а также фиброзный вариант неспецифической интерстициальной пневмонии, при фибротической фазе прогрессирующего тяжелого течения COVID-19-интерстициальной пневмонии формируется всего за 1,5–2 мес. Ранее данный признак мы также наблюдали при острой интерстициальной пневмонии (синдром Хаммена–Рича).
В случаях выживания пациентов с фибротической фазой COVID-19-интерстициальной пневмонии требуется квалифицированное катамнестическое наблюдение, поскольку можно прогнозировать их тяжелую инвалидизацию, требующую постоянной респираторной поддержки и рассмотрения вопроса о трансплантации легких вследствие высокой вероятности развития пневмоцирроза и опухолевой трансформации.
Проведенные в небольшом объеме иммуногистохимические исследования предварительно свидетельствуют, что в ответ на внедрение вируса SARS-CoV-2 преобладают реакции Т-клеточного иммунитета, который более выражен в экссудативной стадии с дальнейшим снижением. Превалирование CD8+ Т-лимфоцитов-супрессоров над CD4+ Т-лимфоцитами-хелперами при персистирующей и фибротической фазах коронавирусной (COVID-19) интерстициальной пневмонии может рассматриваться как признак вероятного аутоиммунного поражения.
Слабая выраженность реакций гуморального иммунитета при фульминантной фазе коронавирусной (COVID-19) интерстициальной пневмонии, отсутствие CD20+ В-лимфоцитов и плазматических клеток в фибротической стадии требуют дальнейшего изучения и клинико-морфологических сопоставлений.
Поражение легких с развитием COVID-19-интерстициальной пневмонии — основная причина тяжелого течения заболевания и летальных исходов. Выраженная воспалительная инфильтрация легочной ткани провоспалительными макрофагами, генерализованное поражение микроциркуляторного русла и более крупных сосудов с развитием тромбоэмболических осложнений, прогрессирующий фиброз паренхимы легких, присоединение вторичной бактериальной инфекции — предикторы неблагоприятного прогноза.
ВЫВОДЫ
- В основе поражения легких при новой коронавирусной инфекции (COVID-19) лежит развитие ОРДС (диффузного альвеолярного повреждения) с атипическим течением, обусловливающим развитие COVID-19-интерстициальной пневмонии c синхронным поражением респираторного тракта и микроциркуляторного русла.
- Морфологические признаки фульминантной фазы прогрессирующего тяжелого течения COVID-19-интерстициальной пневмонии, приводящей к быстрому летальному исходу (до 10 сут), соответствуют экссудативной стадии ОРДС в сочетании с моноцитарно-макрофагальной гипериммунной реакцией и развитием обструктивных тромбовоспалительных процессов в микроциркуляторном русле легких, либо носят генерализованный характер.
- Морфологические признаки персистирующей фазы прогрессирующего тяжелого течения COVID-19-интерстициальной пневмонии, приводящей к летальному исходу (до 20 сут), соответствуют пролиферативной стадии ОРДС. В этой фазе имеет место персистенция изменений экссудативной стадии в сочетании с моноцитарно-макрофагальной гипериммунной реакцией, развитием генерализованных обструктивных тромбовоспалительных процессов не только в микроциркуляторном русле, но и в более крупных сосудах, а также распространенных тромбозов и тромбоэмболических осложнений.
- Морфологические признаки фибротической фазы прогрессирующего тяжелого течения COVID-19-интерстициальной пневмонии, приводящей к летальному исходу (от 21 до 45 сут), соответствуют фибротической стадии ОРДС с дисрегенераторными метапластическими и диспластическими изменениями, мультипликативным резко форсированным эффектом фиброза и фибротическим ремоделированием легочной паренхимы.
- Иммуногистохимические исследования, проведенные в небольшом объеме, предварительно свидетельствуют, что при COVID-19-интерстициальной пневмонии преобладают реакции Т- клеточного иммунитета. Резкое снижение общего количества Т-лимфоцитов, отсутствие CD20+ В-лимфоцитов, CD57+ NK-клеток в фибротической стадии — показатель прогрессивного угнетения иммунологической реактивности, при этом повышенная экспрессия CD68 и CD31 (PECAM-1) в макрофагах свидетельствует о неблагоприятном прогнозе.
- Положительные иммуногистохимические реакции к гладкомышечному актину (actin, smooth muscle) пролиферирующих миофибробластов и миофибробластических фокусов, к cytokeratin 5 & 6 — участков плоскоклеточной метаплазии, а также диффузная экспрессия коллагена IV типа в области локализации как внутриальвеолярного, так и интерстициального фиброза подтверждают процессы патологической репарации и фибротического ремоделирования легочной паренхимы при фибротической фазе COVID-19-интерстициальной пневмонии.
ИСТОЧНИК ФИНАНСИРОВАНИЯ
Работа выполнена при финансовой поддержке ФМБА России.
КОНФЛИКТ ИНТЕРЕСОВ
Авторы данной статьи подтвердили отсутствие конфликта интересов, о котором необходимо сообщить.
УЧАСТИЕ АВТОРОВ
Ф.Г. Забозлаев — написание статьи, методологическое обеспечение, общее руководство; Э.В. Кравченко — корректура статьи, подготовка иллюстративного материала, обработка дополнительных методов исследования; А.Р. Галлямова — анализ литературы, обработка морфологического материала; Н.Н. Летуновский — обработка иммуногистохимических исследований. Все авторы внесли существенный вклад в подготовку статьи, прочли и одобрили финальную версию до публикации.
About the authors
Fedor G. Zabozlaev
Federal Research Clinical Center of the Federal Medical-Biological Agency of Russia
Author for correspondence.
Email: fzab@mail.ru
ORCID iD: 0000-0002-7445-8319
SPIN-code: 3259-9332
MD PhD The Head of pathology department of Federal Research Clinical Center FMBA of Russia.
Russian Federation, 28, Orekhovy boulevard, Moscow, 115682Eduard V. Kravchenko
Federal Research Clinical Center of the Federal Medical-Biological Agency of Russia
Email: patan-st@mail.ru
ORCID iD: 0000-0001-7317-2602
MD
Russian Federation, 28, Orekhovy boulevard, Moscow, 115682Anasasia R. Gallyamova
Federal Research Clinical Center of the Federal Medical-Biological Agency of Russia
Email: kick-ass_13@mail.ru
ORCID iD: 0000-0001-7437-3270
врач-патологоанатом
Russian Federation, 28, Orekhovy boulevard, Moscow, 115682Nikolay N. Letunovsky
Federal Research Clinical Center of the Federal Medical-Biological Agency of Russia
Email: mortale@mail.ru
ORCID iD: 0000-0003-0004-1016
MD
Russian Federation, 28, Orekhovy boulevard, Moscow, 115682References
- Постановление Главного государственного санитарного врача РФ от 22 мая 2020 г. № 15 «Об утверждении санитарно-эпидемиологических правил СП 3.1.3597-20 «Профилактика новой коронавирусной инфекции (COVID-19)»» [Resolution of the Chief State Sanitary Doctor of the Russian Federation № 15 “Ob utverzhdenii sanitarno-epidemiologicheskikh pravil SP 3.1.3597-20 “Profilaktika novoy koronavirusnoy infektsii (COVID-19)”” dated 2020 May 22. (In Russ).] Доступно по: https://www.garant.ru/products/ipo/prime/doc/74077903/. Ссылка активна на 12.05.2020.
- Цинзерлинг В.А., Вашукова М.А., Васильева М.В., и др. Вопросы патоморфогенеза новой коронавирусной инфекции (COVID-19) // Журнал инфектологии. — 2020. — Т.12. — №2. — С. 5–11. [Zinserling VA, Vashukova MA, Vasilyeva MV, et al. Issues of pathology of a new coronavirus infection CoVID-19. Journal Infectology. 2020;12(2):5–11. (In Russ).] doi: 10.22625/2072-6732-2020-12-2-5-11.
- Cамсонова М.В., Михалева Л.М., Черняев А.Л., и др. Патологическая анатомия легких при COVID-19: атлас / Под ред. О.В. Зайратьянца. — Рязань: Рязанская областная типография, 2020. — 57 с. [Camsonova MV, Mikhaleva LM, Chernyayev AL, et al. Patologicheskaya anatomiya legkikh pri COVID-19: atlas. Ed. by O.V. Zayrat’yants. Ryazan’: Ryazanskaya oblastnaya tipografiya; 2020. 57 p. (In Russ).]
- Singhal TA. Review of Coronavirus Disease-2019 (COVID-19). Indian J Pediatr. 2020;87(4):281–286. doi: 10.1007/s12098-020-03263-6.
- Epidemiology Working Group for NCIP Epidemic Response, Chinese Center for Disease Control and Prevention. [The epidemiological characteristics of an outbreak of 2019 novel Coronavirus Diseases (COVID-19) – China. (In Chinese)]. Zhonghua Liu Xing Bing Xue Za Zhi. 2020;41(2):145–151. doi: 10.3760/cma.j.issn.0254-6450.2020.02.003.
- Wu F, Zhao S, Yu B, et al. A new coronavirus associated with human respiratory disease in China. Nature. 2020;579(7798):265–269. doi: 10.1038/s41586-020-2008-3.
- Xu Z, Shi L, Wang Y, et al. Pathological findings of COVID-19 associated with acute respiratory distress syndrome. Lancet Respir Med. 2020;8(4):420–422. doi: 10.1016/S2213-2600(20)30076-X.
- Zhou F, Yu T, Du R, et al. Clinical course and risk factors for mortality of adult inpatients with COVID-19 in Wuhan, China: a retrospective cohort study. Lancet. 2020;395(10229):1054–1062. doi: 10.1016/S0140-6736(20)30566-3.
- Kuster GM, Pfister O, Burkardet T, et al. SARS-CoV2: should inhibitors of the renin–angiotensin system be withdrawn in patients with COVID-19? Eur Heart J. 2020;41(19):1801–1803. doi: 10.1093/eurheartj/ehaa235.
- Ocaranza MP, Riquelme JA, Garcia L, et al. Counter-regulatory renin-angiotensin system in cardiovascular disease. Nat Rev Cardiol. 2020;17(2):116–129. doi: 10.1038/s41569-019-0244-8.
- Guo T, Fan Y, Chen M, et al. Cardiovascular implications of fatal outcomes of patients with Coronavirus Disease 2019 (COVID-19). JAMA Cardiol. 2020;e201017. doi: 10.1001/Jamacardio. 2020.1017.
- Zhang H, Penninger JM, Li Y, et al. Angiotensin-converting enzyme 2 (ACE2) as a SARS-CoV-2 receptor: molecular mechanisms and potential therapeutic target. Intensive Care Med. 2020; 46:586–590. doi: 10.1007/s00134-020-05985-9.
- Hamming I, Timens W, Bulthuis ML, et al. Tissue distribution of ACE2 protein, the functional receptor for SARS coronavirus. A first step in understanding SARS pathogenesis. J Pathol. 2004;203:631–637. doi: 10.1002/path.1570.
- Heurich A, Hofmann-Winkler H, Gierer S, et al. TMPRSS2 and ADAM17 Cleave ACE2 differentially and only proteolysis by TMPRSS2 augments entry driven by the severe acute respiratory Syndrome Coronavirus spike protein. J Virol. 2014;88(2):1293–1307. doi: 10.1128/JVI.02202-13.
- Tian X, Li C, Huang A, et al. Potent binding of 2019 novel coronavirus spike protein by a SARS coronavirus-specific human monoclonal antibody. Emerg Microbes Infect. 2020;9(1):382–385. doi: 10.1080/22221751.2020.1729069.
- Coronavirus: Novel Coronavirus (COVID-19) Infection. Reviewed by: Perlman S, MD, PhD (Professor Department of Microbiology and 38 Immunology Department of Pediatrics University of Iowa). Published February 5, 2020; Updated 2020 March 25. Elsevier; 2020. 10 p.
- Xu H, Zhong L, Deng J, et al. High expression of ACE2 receptor of 2019-nCoV on the epithelial cells of oral mucosa. Int J Oral Sci. 2020;12(1):8. doi: 10.1038/s41368-020-0074-x.
- Magrone T, Magrone M, Jirillo E. Focus on receptors for Coronaviruses with special reference to angiotensin-converting Enzyme 2 as a potential drug target- a perspective. Endocr Metab Immune Disord Drug Targets. 2020. doi: 10.2174/1871530320666200427112902.
- Wrapp D, Wang N, Corbett KS, et al. Cryo-EM structure of the 2019-nCoV spike in the prefusion conformation. Science. 2020;367(6483):1260–1263. doi: 10.1126/science.abb2507.
- Абатуров А.Е., Агафонова Е.А., Кривуша Е.Л., Никулина А.А. Патогенез COVID-19 // Здоровье ребенка. — 2020. — Т.15. — №2. — С. 133–144. [Abaturov AE, Agafonova EA, Krivusha EL, Nikulina AA. Pathogenesis of COVID-19. Zdorovʹe rebenka. 2020;15(2):133–144. (In Russ).] doi: 10.22141/2224-0551.15.2.2020.200598.
- Giamarellos-Bourboulis EJ, Netea MG, Rovina N, et al. Complex immune dysregulation in COVID-19 Patiens with sever respiratory failure. Cell Host Microbe. 2020;27(6):992–1000. doi: 10.1016/j.chom.2020.04.009.
- Astuti I, Ysrafil. Severe acute respiratory syndrome Coronavirus 2 (SARS-CoV-2): an overview of viral structure and host response. Diabetes Metab Syndr. 2020;18;14(4):407–412. doi: 10.1016/j.dsx.2020.04.020.
- Qin, C, Zhou L, Hu Z, et al. Dysregulation of immune response in patients with COVID-19 in Wuhan, China. Clin Infect Dis. 2020;ciaa248. doi: 10.1093/cid/ciaa248.
- Li H, Liu L, Zhang D, et al. SARS-CoV-2 and viral sepsis: observations and hypotheses. Lancet. 2020;395(10235):1517–1520. doi: 10.1016/S0140-6736(20)30920-X.
- Ruan Q, Yang K, Wang W, et al. Clinical predictors of mortality due to COVID-19 based on an analysis of data of 150 patients from Wuhan, China. Intensive Care Med. 2020;46(5):846–848. doi: 10.1007/s00134-020-05991-x.
- Вартанян А.А., Косоруков В.С. Пироптоз — воспалительная форма клеточной гибели // Клиническая онкогематология. — 2020. — Т.13. — №2. — С. 129–135. [Vartanyan AA, Kosorukov VS. Pyroptosis as inflammatory cell death. Clinical oncohematology. 2020;13(2):129–135. (In Russ).] doi: 10.21320/2500-2139-2020-13-2-129-135.
- Jeremy KY, Moriyama M, Iwasaki A. Inflammasomes and pyroptosis as therapeutic targets for COVID-19. J Immunol. 2020;ji2000513. doi: 10.4049/jimmunol.2000513.
- Merad M, Martin JC. Pathological inflammation in patients with COVID-19: a key role for monocytes and macrophages. Nat Rev Immunol. 2020;20(6):355–362. doi: 10.1038/s41577-020-0331-4.
- Франк Г.А., Ковалев А.В., Грибунов Ю.П., и др. Исследование умерших с подозрением на коронавирусную инфекцию (COVID-19). Временные методические рекомендации МЗ РФ. Версия 15 (30.04.2020). — М., 2020. — 256 с. [Frank GA, Kovalev AV, Gribunov YuP, et al. Issledovaniye umershikh s podozreniyem na koronavirusnuyu infektsiyu (COVID-19). Vremennyye metodicheskiye rekomendatsii MZ RF. Version 15 (30.04.2020). Moscow; 2020. 256 p. (In Russ).]
- Зайцев А.А., Чернов С.А., Стец В.В., и др. Алгоритмы ведения пациентов с новой коронавирусной инфекцией COVID-19 в стационаре. Методические рекомендации. — М.: ГВКГ имени Н.Н. Бурденко, 2020. — 16 с. [Zaytsev AA, Chernov SA, Stets VV, et al. Algoritmy vedeniya patsiyentov s novoy koronavirusnoy infektsiyey COVID-19 v statsionare. Metodicheskiye rekomendatsii. Moscow: Main Military Clinical Hospital N.N. Burdenko; 2020. 16 p. (In Russ).]
- Ciceri F, Beretta L, Scandroglio AM, et al. Microvascular COVID-19 lung vessels obstructive thromboinflammatory syndrome (MicroCLOTS): an atypical acute respiratory distress syndrome working hypothesis. Crit Care Resusc. 2020.
- Katzenstein А.-L.A. Diagnostic atlas of non-neoplastic lung disease: a practical guide for surgical pathologists, NY: Demos Medical Publishing, LLC/Springer Publishing Company; 2016. Р. 115–126.
Supplementary files















