Pneumocystis pneumonia mimicking COVID-19
- Authors: Averyanov A.V.1,2, Sotnikova A.G.1, Lesnyak V.N.1
-
Affiliations:
- Federal Research and Clinical Center of Specialized Medical Care and Medical Technologies FMBA of Russia
- Federal State Budgetary Institution “Pulmonology Scientific Research Institute under Federal Medical and Biological Agency of Russsian Federation
- Issue: Vol 11, No 2 (2020)
- Pages: 87-92
- Section: Case reports
- Submitted: 08.07.2020
- Accepted: 08.07.2020
- Published: 02.08.2020
- URL: https://clinpractice.ru/clinpractice/article/view/34995
- DOI: https://doi.org/10.17816/clinpract34995
- ID: 34995
Cite item
Full Text
Abstract
Background. The new coronavirus infection COVID-19 caused by a SARS-CoV-2 zoonotic beta-coronavirus has radically transformed the conventional concept of the immune system’s participation in an infectious process. The successful application of anti-interleukin monoclonal antibodies and inhibitors of Janus kinases in COVID-19, traditionally contraindicated in infections, testifies that the immune response to the pathogen may be more dangerous than the infection itself. However, when prescribing the immunosuppressive therapy to COVID-19 patients, one should not forget that some interstitial pneumonias caused by opportunistic microflora, such as Pneumocystis Jirovecii, have similar clinical and radiological manifestations.
Clinical case description. A 29-year old female patient was admitted to the infectious disease hospital with complaints of a febrile temperature, shortness of breath at rest, low-productive cough, pronounced weakness. She had been ill for 14 days, the SARS-CoV-2 RNA was detected at the pre-hospital stage. After the admission, a chest CT scan was performed showing a subtotal lung damage with the characteristic radiological manifestations of interstitial pneumonia in the form of ground glass opacity regions, presence of “air traps”, that was initially attributed to bilateral viral pneumonia (СТ-3/4). The subsequent examination confirming primary HIV infection and a sputum analysis positive for P. Jirovecii allowed us to establish a correct clinical diagnosis of pneumocystis pneumonia against the background of HIV infection and a mild COVID-19 course, administer a co-trimoxazole therapy and obtain a favorable outcome.
Conclusion. This observation demonstrates the necessity of applying an individual approach to each patient admitted to a COVID hospital and performing a differential diagnosis, even when COVID-19 is confirmed by the laboratory work, in order not to miss other interstitial pneumonias, in particular, pneumocystis pneumonia appearing against the background on immunodeficiency.
Full Text
ОБОСНОВАНИЕ
В период пандемии COVID-19 при массовом поступлении пациентов в стационары, перепрофилированные для оказания помощи больным коронавирусной инфекцией, внимание врачей сосредоточено прежде всего на данном заболевании. Однако болезни, имеющие сходные клинические и рентгенологические проявления, не исчезли из популяции и могут мимикрировать под коронавирусную пневмонию. Это относится прежде всего к интерстициальным пневмониям, вызванным оппортунистическими возбудителями, чаще Pneumocystis jirovecii. Данный возбудитель является сапрофитным дрожжеподобным грибком, активирующимся только в условиях тяжелого T-клеточного иммунодефицита, чаще всего вследствие инфицирования вирусом иммунодефицита (ВИЧ). Если при поступлении в ковидный госпиталь анамнез ВИЧ-инфекции или другого иммунодефицитного состояния отсутствует, то рентгенологи и клиницисты по результатам клинико-рентгенологической картины первично расценивают пациента как больного c вероятным COVID-19.
КЛИНИЧЕСКИЙ ПРИМЕР
О пациенте
В качестве клинического примера можно привести историю пациентки Я., 29 лет, домохозяйки, не курящей (с ее слов), не имевшей профессиональных вредностей и хронических заболеваний. Женщина поступила в ФНКЦ ФМБА России (в период перепрофилирования для оказания медицинской помощи пациентам с COVID-19) с жалобами на повышение температуры до фебрильной (40°C), одышку 4-й степени по шкале mMRC (modified Medical Research Council) при минимальной физической нагрузке и в покое, малопродуктивный кашель со слизистой мокротой, выраженную общую слабость.
Из анамнеза известно, что пациентка больна 14 дней, с момента, когда отметила кратковременное повышение температуры до субфебрильных цифр, сухой кашель, астению. При амбулаторном обследовании методом полимеразной цепной реакции (ПЦР) выявлена РНК SARS-CoV-2; компьютерная томография (КТ) органов грудной клетки в тот период не выполнялась. Лечилась амбулаторно антибактериальными, симптоматическими препаратами с положительным клиническим эффектом: температура тела нормализовалась, кашель не беспокоил. Через 2 нед от начала симптомов заболевания отметила повышение температуры тела и появление нарастающей одышки, в связи с чем была доставлена в ФНКЦ с подозрением на коронавирусную инфекцию.
Диагностические процедуры
Физикальная диагностика
Состояние при поступлении расценивалось как тяжелое. При осмотре: кожные покровы бледные, повышенной влажности, чистые. При осмотре ротовой полости — орофарингеальный кандидоз. Частота дыхания 28/мин. Сатурация О2 на атмосферном воздухе 88%, на малопоточной кислородотерапии со скоростью потока 4 л/мин — 95%. Гемодинамические показатели стабильны.
Инструментальная и лабораторная диагностика
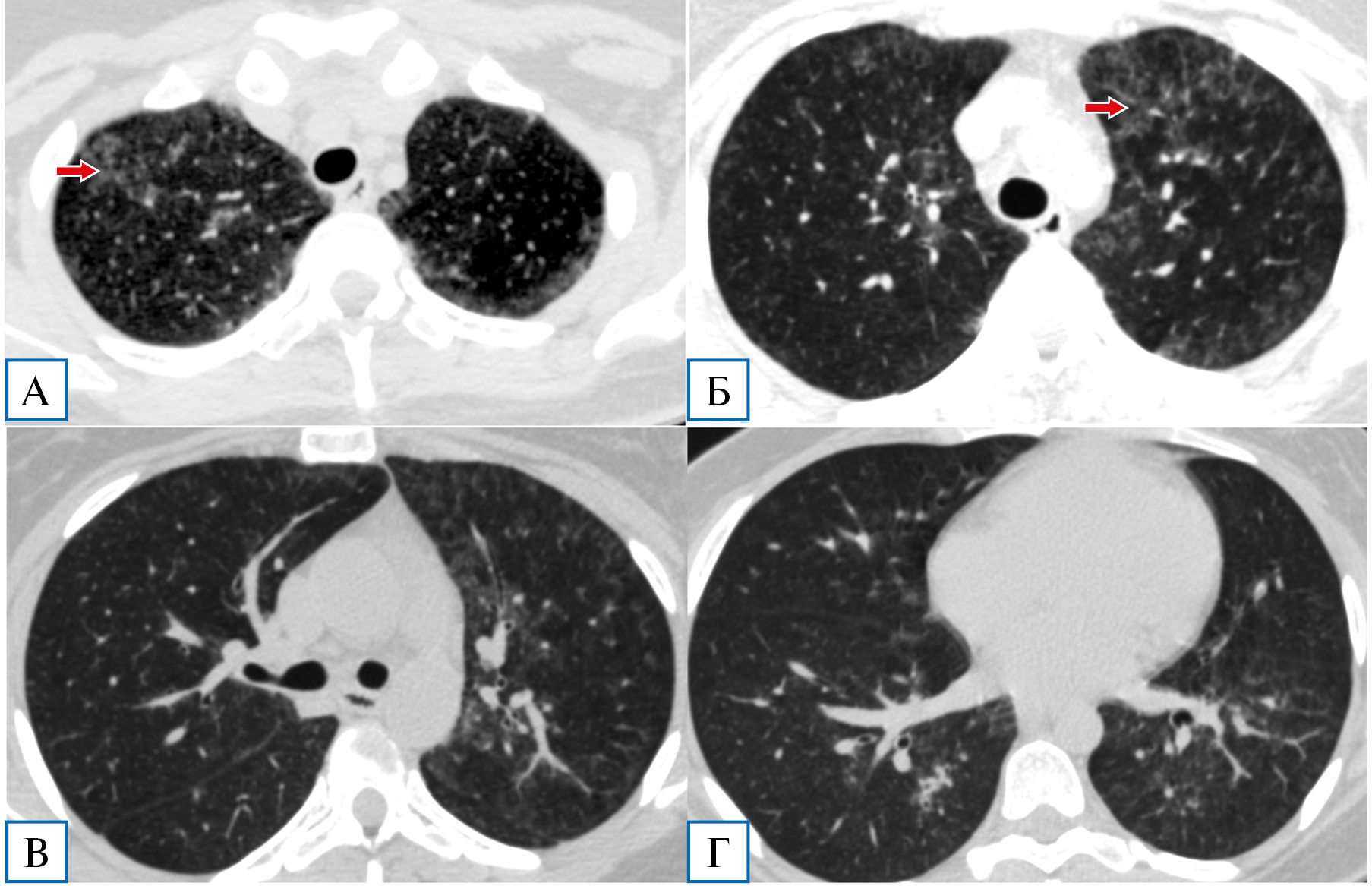
При компьютерной томографии органов грудной полости выявлены распространенные субтотальные зоны «матового стекла», в верхних отделах на фоне наиболее интенсивных зон — «воздушные ловушки»: первоначально КТ-картина расценена как проявления двусторонней вирусной пневмонии (КТ3/4) (рис. 1).
Рис. 1. Пациентка Я., 29 лет: компьютерная томография грудной клетки в день госпитализации
Примечание. Диффузные сливные зоны «матового стекла», почти равномерно распределенные как в верхних (А, Б), так и в нижних отделах легких (В, Г), на фоне которых визуализируются участки повышенной прозрачности — «воздушные ловушки» (показаны стрелками на А и Г).
По лабораторным данным в день поступления: в клиническом анализе крови: лейкоциты 14×109/л, гемоглобин 112 г/л, тромбоциты 236,1×109/л, лимфоциты 1,8% (в абсолютных значениях 0,25), скорость оседания эритроцитов по Вестергрену 110 мм/ч; биохимические показатели без существенных отклонений от нормы: ферритин 660,6 нг/мл; D-димер 0,45 (норма 0,02–0,5) мкг/мл, С-реактивный белок 96 мг/л, интерлейкин 6 (ИЛ6) 1316 пг/мл, прокальцитонин (колич.) 1,93 нг/мл; ПЦР-тест на РНК SARS-CoV-2 отрицательный.
Предварительный диагноз
С учетом анамнеза заболевания, клинико-рентгенологической картины и положительной ПЦР на РНК SARS-CoV-2 на амбулаторном этапе был установлен диагноз подтвержденного COVID-19, двусторонней полисегментарной вирусной пневмонии тяжелого течения, острой дыхательной недостаточности.
Лечение и исходы
В связи с прогрессирующим течением, выраженными лабораторными воспалительными изменениями, высоким уровнем ИЛ6, а также в соответствии с временными Методическими рекомендациями Минздрава России пациентке было проведено внутривенное введения моноклональных антител к рецепторам ИЛ6 сарилумаба в дозе 400 мг внутривенно капельно с быстрым клиническим эффектом в виде снижения температуры тела до субфебрильных цифр в течение 6 ч, улучшения общего самочувствия, но с сохранением дыхательной недостаточности.
При пересмотре КТ-данных заведующим отделением рентгенологии было высказано мнение, что в данном случае с учетом диффузного характера распределения «матового стекла» и наличия «воздушных ловушек» КТ- картина более всего соответствует пневмоцистной пневмонии, а не COVID-19. В этой связи, а также с учетом того, что из клинико-диагностической лаборатории к этому моменту поступил положительный результат анализа на антитела к ВИЧ и в дальнейшем ВИЧ-инфекция была подтверждена с помощью иммуноблота, пациентке назначено исследование методом ПЦР мокроты на P. jirovecii, давшее положительный результат.
Диагноз коронавирусной инфекции изменен на диагноз пневмоцистной пневмонии на фоне ВИЧ-инфекции, в связи с чем начата терапия ко-тримоксазолом (в дозе 1920 мг внутривенно капельно 4 раза в день), глюкокортикостероидами (метилпреднизолон по 250 мг внутривенно капельно в первые трое суток, далее перорально по 16–12 мг/сут), а также антикоагулянтная, дезинтоксикационная терапия. В течение первых 12 ч от начала терапии отмечалась дальнейшая положительная клиническая динамика в виде полной нормализации температуры тела, регресса дыхательной недостаточности (сатурация О2 на атмосферном воздухе составляла 97%), уменьшения кашля и астении. В дальнейшем отмечено улучшение лабораторных показателей: нормализация уровней лейкоцитов, С-реактивного белка (3,1 мг/л), ИЛ6, прокальцитонина, снижение лимфопении до 7,5% (0,67 в абсолютных значениях). Также была обнаружена положительная КТ-динамика в виде значительного регресса зон «матового стекла» (рис. 2). Пациентка была выписана с рекомендациями продолжения терапии ко-тримоксазолом и метилпреднизолоном перорально еще не менее 2 нед и обращения в СПИД-центр для дальнейшего обследования и назначения антиретровирусной терапии.
Рис. 2. Пациентка Я., 29 лет: контрольная компьютерная томография грудной клетки на 7-й день госпитализации
Примечание. Отмечается существенная положительная динамика: сохраняются отдельные фокусы «матового стекла» преимущественно в верхних долях (А, Б, показаны стрелками), в нижних долях минимальные интерстициальные изменения (В, Г). «Воздушные ловушки» не визуализируются.
ОБСУЖДЕНИЕ
Данное наблюдение демонстрирует необходимость индивидуализированного подхода к каждому пациенту, поступающему в ковидный стационар, сохранения настороженности к другим похожим заболеваниям и проведения дифференциального диагноза. Случай интересен тем, что у пациентки уже была подтверждена коронавирусная инфекция, а клинические, рентгенологические и лабораторные симптомы вполне соответствовали диагнозу COVID-19.
Клинически пневмоцистная пневмония проявляется обычно фебрильной лихорадкой и нарастающей дыхательной недостаточностью [1]. Коронавирус, поражая иммунную систему, при тяжелом течении также вызывает существенное снижение уровня лимфоцитов в крови, поэтому изменения в периферической крови также могут быть очень похожи на те, что выявляются при иммунодефицитном состоянии, на фоне которого развивается пневмоцистная пневмония. КТ-характеристики P. jirovecii-обусловленного поражения легких в целом неспецифичны и включают в себя фокусы или зоны «матового стекла» в начале заболевания, тяготеющие сначала к распределению в верхних отделах легких и захватывающие бóльшую часть паренхимы по мере прогрессирования заболевания. Возможно утолщение междольковых перегородок, создающее картину «булыжной мостовой», и появление «воздушных ловушек» [2]. Похожая картина может наблюдаться при COVID-19, экзогенном аллергическом альвеолите и десквамативной интерстициальной пневмонии, однако для двух последних не характерны высокая лихорадка и лимфопения в крови [3].
В нашем случае коронавирусная инфекция COVID-19, имевшая исходно нетяжелое течение, по-видимому, явилась катализатором развития пневмоцистной пневмонии у иммунокомпрометированной пациентки с ВИЧ-инфекцией, усугубив исходно имеющуюся лимфопению и другие иммунологические сдвиги. Однако, поскольку оба заболевания очень похожи, нельзя полностью исключить одновременное поражение легких коронавирусом и P. jirovecii, хотя быстрый регресс клинической и рентгенологической симптоматики на фоне отсутствия этиотропной терапии COVID-19, все-таки более характерен для пневмоцистной пневмонии.
Новый коронавирус SARS-CoV-2 во многом перевернул наши представления об участии иммунной системы в инфекционном процессе. Так, по данным Р. Vizcarra и др. [4], у 32% пациентов ВИЧ в целом не утяжелял течения COVID-19, но способствовал более длительному — свыше 40 дней — персистированию коронавируса. Успешное применение антиинтерлейкиновых моноклональных антител и ингибиторов Янус-киназ при COVID-19 традиционно противопоказанных при инфекциях, свидетельствует о том, что иммунный ответ на возбудителя может быть опаснее самой инфекции. В нашем случае до установления диагноза ВИЧ больной был введен сарилумаб с быстрым клиническим эффектом. По-видимому, с учетом высокого уровня ИЛ6 «цитокиновый шторм» у пациентки мог быть обусловлен поражением P. jirovecii.
Возможно, в будущем при фульминантном течении как пневмоцистной пневмонии, так и других инфекций с диффузным поражением легких показатели ИЛ6 следует рассматривать в качестве маркера гипериммунного ответа, а антиинтерлейкиновые препараты использовать для купирования данного состояния.
ЗАКЛЮЧЕНИЕ
Описываемый клинический случай продемонстрировал необходимость проведения дифференциального диагноза у пациентов, поступающих в ковидный стационар, даже при наличии лабораторно подтвержденного COVID-19, с тем чтобы не пропустить другие интерстициальные пневмонии, в частности пневмоцистную, возникающую на фоне иммунодефицита.
ИНФОРМИРОВАННОЕ СОГЛАСИЕ
От пациента получено письменное добровольное информированное согласие на участие в клиническом исследовании и публикацию описания клинического случая.
ИСТОЧНИК ФИНАНСИРОВАНИЯ
Исследование выполнено в рамках финансирования на перепрофилирование и работу ФГБУ ФНКЦ ФМБА России в качестве инфекционного стационара.
КОНФЛИКТ ИНТЕРЕСОВ
Авторы декларируют отсутствие конфликта интересов.
УЧАСТИЕ АВТОРОВ
А.В. Аверьянов — идея описания клинического случая, консультирование пациентки, корректура; А.Г. Сотникова — ведение пациентки, написание текста статьи; А.В. Лесняк — проведение и интерпретация МСКТ пациентки, подготовка рисунков в статью. Все авторы внесли существенный вклад в проведение поисково-аналитической работы и подготовку статьи, прочли и одобрили финальную версию до публикации.
About the authors
Alexander V. Averyanov
Federal Research and Clinical Center of Specialized Medical Care and Medical Technologies FMBA of Russia; Federal State Budgetary Institution “Pulmonology Scientific Research Institute under Federal Medical and Biological Agency of Russsian Federation
Author for correspondence.
Email: averyanovav@mail.ru
ORCID iD: 0000-0003-1031-6933
SPIN-code: 2229-7100
MD, PhD, ScD
Russian Federation, MoscowAnna G. Sotnikova
Federal Research and Clinical Center of Specialized Medical Care and Medical Technologies FMBA of Russia
Email: sotnikoffaa@gmail.com
ORCID iD: 0000-0003-1237-8134
MD, PhD
Russian Federation, MoscowViktor N. Lesnyak
Federal Research and Clinical Center of Specialized Medical Care and Medical Technologies FMBA of Russia
Email: lesnyak_kb83@mail.ru
ORCID iD: 0000-0002-2739-0649
SPIN-code: 5483-3113
MD, PhD
Russian Federation, MoscowReferences
- Enomoto T, Azuma A, Kohno A, et al. Diff erences in the clinical characteristics of pneumocystis jirovecii pneumonia in immunocompromized patients with and without HIV infection. Respirology. 2010;15(1):126–131. doi: 10.1111/j.1440-1843.2009.01660.x.
- Kanne J, Yandow D, Meyer C. Pneumocystis jiroveci pneumonia: high-resolution CT-findings in patients with and without HIV infection. AJR Am J Roentgenol. 2012;198(6):W555–561. doi: 10.2214/AJR.11.7329.
- Аверьянов А.В., Лесняк В.Н., Коган Е.А. Редкие заболевания легких: диагностика и лечение / Под ред. А.В. Аверьянова. — М.: Медицинское информационное агентство, 2016. — 248 с. [Aver’yanov AV, Lesnyak VN, Kogan EA. Redkiye zabolevaniya legkikh: diagnostika i lecheniye. Ed by A.V. Aver’yanov. Moscow: Medical News Agency; 2016. 248 p. (In Russ).]
- Vizcarra P, Pérez-Elías MJ, Quereda C, et al. Description of COVID-19 in HIV-infected individuals: a single-centre, prospective cohort. Lancet HIV. 2020;28:S2352-3018(20)30164-8. doi: 10.1016/S2352-3018(20)30164-8.
Supplementary files





