A rare form of the thyroid gland cancer against the background of autoimmune thyroiditis
- Authors: Ryabchenko E.V.1
-
Affiliations:
- Regional Clinical Hospital No. 2
- Issue: Vol 14, No 4 (2023)
- Pages: 116-121
- Section: Case reports
- Submitted: 05.05.2023
- Accepted: 04.12.2023
- Published: 28.01.2024
- URL: https://clinpractice.ru/clinpractice/article/view/386270
- DOI: https://doi.org/10.17816/clinpract386270
- ID: 386270
Cite item
Full Text
Abstract
Background: Sclerosing mucoepidermoid carcinoma of the thyroid gland was first reported in 1991. This type of a tumor may develop in connection with Hashimoto's thyroiditis. There are two variants of mucoepidermoid carcinoma of the thyroid gland: the normal and sclerosing types. Sclerosing mucoepidermoid carcinoma of the thyroid gland has recently been recognized by the World Health Organization as a separate disease. Сlinical case description: We present a clinical case of a 51-year-old woman who was observed for 2 years for autoimmune thyroiditis with nodulation. The patient had no symptoms or signs of compression. The level of thyroid–stimulating hormone was 15.8 (range 0.4–4.0), the level of antibodies to peroxidase was 150 IU/ml. Thyroid scintigraphy revealed a dominant cold node (1.5×2 cm) in the right lobe of the gland. During the control ultrasound examination of the neck, negative dynamics was observed, then a fine needle aspiration biopsy of the thyroid node was performed. A follicular tumor was found against the background of Hashimoto's thyroiditis, which was the reason for a timely treatment. In the described case, the patient underwent a total thyroidectomy without neck lymph node dissection, no postoperative radiotherapy or other auxiliary treatments were performed. A full-body scintigraphy showed no recurrence of the disease in 10 months after the initial treatment. Conclusion: Given the rarity of the disease and the impossibility to differentiate it from other thyroid tumor’s, a more thorough examination of the nearby lymphatic collectors is necessary to exclude metastatic lesions, and in the presence of altered lymph nodes, additional diagnosis by fine-needle aspiration biopsy with subsequent determination of the scope of surgical treatment and postoperative management of this category of patients is indicated.
Full Text
ОБОСНОВАНИЕ
По данным современной научной литературы, известно примерно о 40 случаях склерозирующей мукоэпидермоидной карциномы (СМК) щитовидной железы, которую следует дифференцировать от обычной мукоэпидермоидной карциномы.
Обычная мукоэпидермоидная карцинома щитовидной железы впервые была описана R.M. Rhatigan и соавт. в 1977 году [1]. СМК щитовидной железы отличается от обычной формы [2] и впервые описана в медицинской литературе J.K. Chan и соавт. [3] как злокачественное новообразование щитовидной железы низкой степени злокачественности на фоне тиреоидита Хашимото. Экспрессия p63 предполагает наличие солидного клеточного гнезда в сравнении с фолликулярным клеточным происхождением [4]. Случаи СМК щитовидной железы, опубликованные в медицинской литературе, характеризуются преобладанием женского пола (только в 4 наблюдениях из 40 известных пациентами были мужчины) [5, 6].
КЛИНИЧЕСКИЙ ПРИМЕР
О пациенте
Пациентка, 51-летняя жительница Краснодара, в течение 2 лет (с 2020 по 2022 год) наблюдалась по поводу аутоиммунного тиреоидита с узлообразованием.
Анамнез заболевания. Получала заместительную терапию. Год назад выполнено контрольное ультразвуковое исследование (УЗИ), при котором отмечена отрицательная динамика роста узла. Активных жалоб не предъявляла. В 2022 году эндокринолог, учитывая отрицательную динамику, отправил пациентку на тонкоигольную аспирационную биопсию (ТАБ) под контролем УЗИ, по результатам которой выявлена фолликулярная опухоль на фоне тиреоидита Хашимото. Пациентка направлена на консультацию к эндокринному хирургу, на которой, согласно клиническим рекомендациям, принято решение о тиреоидэктомии и проведено предоперационное дообследование.
Анамнез жизни. Родов двое, в срок. Наследственность не отягощена. У родственников проблем с щитовидной железой нет. Вредных привычек не имеет.
Результаты физикального, лабораторного и инструментального исследования
УЗИ шеи и лимфатических узлов выполнялось на протяжении всего периода наблюдения. По результатам исследования, выполненного за год до оперативного вмешательства, отмечалась следующая клиническая картина: «Щитовидная железа не увеличена, размеры перешейка 3 мм, правой доли — 42×14×13 мм (объём 3,8 см3), левой доли — 42×12×13 мм (объём 3,2 см3). Контуры железы чёткие, неровные. Эхоструктура железы снижена. Структура железы диффузно неоднородна за счёт гиперэхогенных тяжей и множественных гипо- и гиперэхогенных участков различной формы и размеров, без чётких контуров и границ, имитирующих множественные гипоэхогенные узлы, справа по верхнему краю доли 9×5 мм. Регионарные лимфатические узлы не увеличены». Заключение: «УЗ-картина диффузных изменений щитовидной железы по типу аутоиммунного тиреоидита, узловая форма TIRADS-II». При контрольном УЗИ шеи прослеживалась отрицательная динамика — рост узла. По результатам ТАБ обнаружена фолликулярная опухоль на фоне тиреоидита Хашимото.
Непрямая ларингоскопия выполнена с целью определения подвижности голосовых связок: симптомов и признаков компрессии нет.
Уровень тиреотропного гормона — 15,8 мЕд/л (диапазон 0,4–4,0), антитела к пероксидазе — 150 Ме/мл.
При сцинтиграфии щитовидной железы выявлен доминирующий холодный узел (1,5×2 см) в правой доле железы.
Экстрафасциальная тиреоидэктомия. Интраоперационно: многоузловой зоб, прилегающий к окружающим структурам (инвазия в сосуды шеи и мышцы). Отсутствие клинического подтверждения поражения лимфатических узлов помогло избежать лимфодиссекции шеи. Все четыре паращитовидные железы идентифицированы и сохранены. На операции определялась экстратиреоидная инвазия.
Иммуногистохимическое исследование. PanCk-положительная экспрессия в железистом компоненте. Положительная экспрессия транскрипционного фактора щитовидной железы (TTF) в опухолевых клетках. Calcitonin-отрицательная экспрессия, p63-положительная экспрессия в эпидермальных клетках. Заключение: «Иммунофенотип интратиреоидного склерозирующего мукоэпидермального рака pT3a, ICD-OCode-8430/3».
Гистологическое исследование. Инфильтрирующее новообразование на фоне густо склерозированной стромы и беспорядочно разбросанных гнёзд относительно однородных многоугольных клеток с эозинофильной цитоплазмой, проявляющих лёгкую или умеренную ядерную атипию. Присутствуют очаги плоскоклеточной дифференцировки, а также столбчатые клетки с апикальным муцином. В строме обнаружены многочисленные эозинофилы. Пулы муцина выделены специальным красителем PAS-Alcian Blue. Опухолевые гнёзда демонстрируют положительную реакцию на иммуногистохимические окрашивания CK 5/6 и TTF-1. Таким образом, определяется низкодифференцированная опухоль без лимфоваскулярной или периневральной инвазии. Стромальный воспалительный инфильтрат содержит эозинофилы, плазматические клетки и лимфоциты. В прилегающей ткани щитовидной железы обнаружен хронический воспалительный инфильтрат, состоящий преимущественно из эозинофилов наряду с плазматическими клетками и лимфоцитами (рис. 1–3). Заключение: «Склерозирующая мукоэпидермоидная карцинома на фоне аутоиммунного тиреоидита».
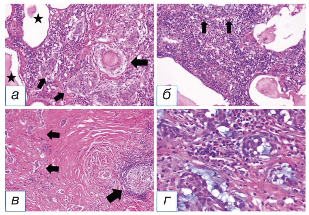
Рис. 1. Иммуногистохимическое исследование: а — опухоль, демонстрирующая комбинацию плоскоклеточных (большая стрелка), промежуточных (маленькие стрелки) клеток и кистозных пространств (звёздочки); б — кистозные пространства, выстланные муцинозными клетками (стрелки); в — на фоне склеротической стромы видны небольшие гнёзда опухолевых клеток (маленькие стрелки), а также лимфоидный фолликул (большая стрелка); г — промежуточная строма между опухолевыми клетками показала богатый эозинофилами воспалительный инфильтрат. Окраска гематоксилином и эозином, ×400.
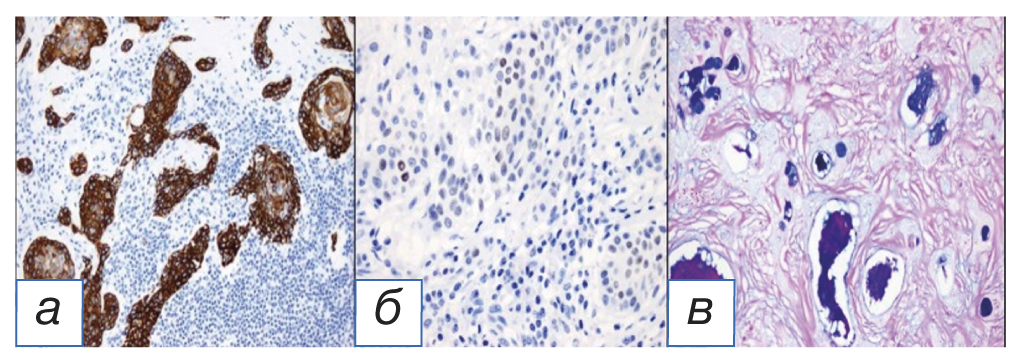
Рис. 2. Опухолевые клетки с цитоплазматическим и мембранозным окрашиванием (а) на цитокератин 5/6 и ядерное окрашивание (б) на иммуногистохимические окрашивания TTF-1. Периодическое специальное окрашивание кислотно-Шифф-альциановым синим выделяет внутрипросветный и интрацитоплазматический муцин (в). ×400.
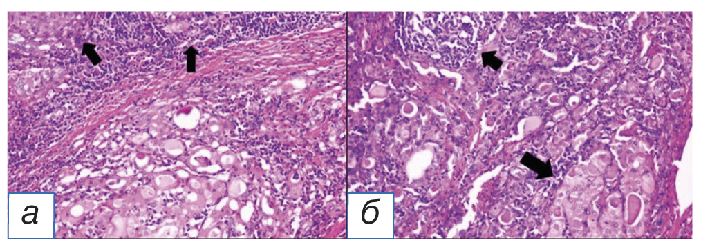
Рис. 3. Граница раздела опухолевых гнёзд (стрелки) с прилегающей тканью щитовидной железы (а). В прилегающей ткани щитовидной железы наблюдаются заметные изменения клеток Гюртле (большая стрелка) и скопления лимфоидных клеток (короткая стрелка) (б). Окраска гематоксилином и эозином, ×200.
Динамика и исходы
В течение 12 месяцев после операции пациентка без признаков рецидива заболевания находилась под УЗ-наблюдением шеи и лимфатических узлов. Учитывая сложность верификации фолликулярной опухоли на фоне аутоиммунного тиреоидита (только с помощью ТАБ), в нашем случае выполнена тотальная тиреоидэктомия. При верифицированном гистологическом заключении курс послеоперационной радиойодтерапии и вспомогательной терапии не проводился. По результатам сцинтиграфии всего тела через 10 месяцев после радикального лечения рецидива заболевания не обнаружено.
ОБСУЖДЕНИЕ
СМК щитовидной железы является злокачественным новообразованием низкой степени злокачественности [6]. Папиллярная/фолликулярная карцинома щитовидной железы относится к числу наиболее распространённых злокачественных новообразований щитовидной железы. Папиллярная карцинома щитовидной железы имеет сосочковидные выступы и псаммозные тела при гистопатологии. Фолликулярная карцинома диагностируется при капсульной или периваскулярной инвазии, которая требует верификации после оперативного лечения. Оба эти образования могут быть диагностированы на основании гистологии у пациентов с атипичными клетками, обнаруженными при ТАБ щитовидной железы. Метастазирование щитовидной железы может быть результатом почечно-клеточного рака или, что очень редко, плоскоклеточного рака. Сложные опухоли щитовидной железы являются ещё одним редким образованием, которые могут быть рассмотрены у пациентов с неопределённой атипией по результатам ТАБ. При тиреоидите Хашимото окончательная гистология может быть определена после оперативного лечения. Следует учитывать, что при длительном тиреоидите Хашимото нельзя исключать лимфому Ходжкина [7].
Большинство зарегистрированных случаев имеют длительное время выживания (до 12 лет) после оперативного лечения, однако известно о 7 случаях агрессивного поведения СМК щитовидной железы с высокой ранней смертностью. Большинство пациентов жалуются на медленно растущий безболезненный отёк передней части шеи [8]. Средний возраст пациентов составляет 55,2 года [5]. Метастазирование в регионарные лимфатические узлы и экстратиреоидная инвазия не являются редкостью [8], но в нашем случае метастатически поражённых лимфатических узлов не верифицировано. В медицинской литературе также сообщается об отдалённых метастазах СМК щитовидной железы, причём наиболее распространённой локализацией являются лёгкие, кости и печень [5]. Обычная мукоэпидермоидная карцинома слюнной железы даёт метастазы в кожу, лёгкие, печень и кости [9–12]. Гистологически обычная мукоэпидермоидная карцинома действительно сходна со склерозирующей формой карциномы: обе имеют более крупные слои эпидермоидных клеток, очевидные кистозные пространства при отсутствии сосудистой инвазии [8, 13].
СМК щитовидной железы следует дифференцировать от первичной плоскоклеточной карциномы, которая встречается очень редко и является результатом вторичных отложений. Плоскоклеточный рак характеризуется выраженной атипией и частым митозом, а также отсутствием склероза и эозинофилии [14, 15]. Кроме того, СМК щитовидной железы следует дифференцировать от плоскоклеточных первичных злокачественных новообразований при опухолях слюнных желез [5, 16].
СМК щитовидной железы также может имитировать склерозирующую болезнь Ходжкина. Отсутствие окрашивания клеток Рида–Штернберга и положительности CD15, CD30 и CD45 при цитологическом исследовании помогают дифференцировать СМК от лимфомы Ходжкина [17–19], что позволяет избежать неправильной интерпретации диагноза и, соответственно, необоснованного лечения.
Небольшое на сегодняшний день число зарегистрированных случаев СМК щитовидной железы не позволяет выработать единого мнения об окончательном лечении данной патологии, тем не менее во всех наблюдениях было выполнено хирургическое вмешательство. Всемирная организация здравоохранения признала недавно СМК отдельным заболеванием щитовидной железы [11]. Данных об адъювантном лечении СМК, таких как абляция радиойодом, облучение и химиотерапия, в частности карбоплатином и доксорубицином, нет [20, 21].
ЗАКЛЮЧЕНИЕ
В представленном клиническом случае пациентке по результатам тонкоигольной аспирационной биопсии, показавшей фолликулярную опухоль на фоне аутоиммунного тиреоидита, была выполнена тотальная тиреоидэктомия согласно клиническим рекомендациям. По результатам гистологического заключения, полученный результат (склерозирующая мукоэпидермоидная карцинома щитовидной железы) был отнесён к категории злокачественных новообразований с низкой степенью злокачественности. С учётом редкости заболевания, а также его возможного рецидива пациентка находилась в течение 12 месяцев под УЗ-контролем лимфатических узлов шеи; с целью исключения отдалённого метастазирования ей была выполнена сцинтиграфия всего тела. Послеоперационный радиойод не применялся.
Учитывая редкость заболевания и сложности его дифференцирования с другими опухолевыми образованиями щитовидной железы, необходим более тщательный осмотр близлежащих лимфатических коллекторов на предмет исключения метастатического поражения, а при наличии изменённых лимфатических узлов показана дополнительная диагностика методом тонкоигольной аспирационной биопсии с последующим определением объёма оперативного лечения и послеоперационного ведения данной категории пациентов.
ДОПОЛНИТЕЛЬНАЯ ИНФОРМАЦИЯ
Источник финансирования. Работа выполнена в соответствии с планом научных исследований «Краевой клинической больницы № 2». Автор заявляет об отсутствии финансирования проведённого исследования со стороны компаний-производителей лекарственных препаратов.
Конфликт интересов. Автор декларирует отсутствие явных и потенциальных конфликтов интересов, связанных с содержанием настоящей статьи.
Вклад авторов. Автор подтверждает соответствие своего авторства международным критериям ICMJE (разработка концепции, проведение поисково-аналитической работы и подготовка статьи, одобрение финальной версии перед публикацией).
Согласие пациента. От пациента получено письменное добровольное информированное согласие на публикацию описания клинического случая (дата подписания 12.09.2022).
ADDITIONAL INFORMATION
Funding source. The work was carried out in accordance with the research plan of the Regional Clinical Hospital No. 2. The author claims that the author has not received any funding for the study from the pharmaceutical manufacturing companies.
Competing interests. The author declares the absence of obvious and potential conflicts of interest related to the content of this article.
Author’s contribution. The author made a substantial contribution to the conception of the work, acquisition, analysis, interpretation of data for the work, drafting and revising the work, final approval of the version to be published and agree to be accountable for all aspects of the work.
Patient permission. A written consent was received from the patient to publish the relevant medical information and all accompanying images in the Journal of Clinical Practice (signature date 12.09.2022).
About the authors
Evgeniy V. Ryabchenko
Regional Clinical Hospital No. 2
Author for correspondence.
Email: rev7512@mail.ru
ORCID iD: 0000-0003-4045-5053
SPIN-code: 4413-1478
MD, PhD
Russian Federation, KrasnodarReferences
- Rhatigan RM, Roque JL, Bucher RL. Mucoepidermoid carcinoma of the thyroid gland. Cancer. 1977;39(1): 210–214. doi: 10.1002/1097-0142(197701)39:1<210::aid-cncr2820390133>3.0.co;2-h
- Sim SJ, Ro JY, Ordonez NG, et al. Sclerosing mucoepidermoid carcinoma with eosinophilia of the thyroid: Report of two patients, one with distant metastasis, and review of the literature. Hum Pathol. 1997;28(9):1091–1096. doi: 10.1016/s0046-8177(97)90064-2
- Chan JK, Albores-Saavedra J, Battifora H, et al. Sclerosing mucoepidermoid thyroid carcinoma with eosinophilia. A distinctive low-grade malignancy arising from the metaplastic follicles of Hashimoto’s thyroiditis. Am J SurgPathol. 1991;15(5):438–448.
- Hunt JL, Li Volsi VA, Barnes EL. p63 Expression in sclerosing mucoepidermoid carcinomas with eosinophilia arising in the thyroid. Mod Pathol. 2004;17(5):526–529. doi: 10.1038/modpathol.3800021
- Lai CY, Chao TC, Lin JD, et al. Sclerosing mucoepidermoid carcinoma with eosinophilia of thyroid gland in a male patient: A case report and literature review. Int J Clin Exp Pathol. 2015;8(5):5947–5951.
- Requena M. Conservative management of sclerosing mucoepidermoid carcinoma with eosinophilia of the thyroid gland: 12 years follow-up after an atypical initial therapy. Adv Diabetes Endocrinol. 2017;2(1):2.
- Ames E, Campbell MJ, Afify A, et al. Sclerosing mucoepidermoid carcinoma with eosinophilia: Cytologic characterization of a rare distinct entity in the thyroid. Diagn Cytopathol. 2018;46(7): 632–635. doi: 10.1002/dc.23914
- Shehadeh NJ, Vernick J, Lonardo F, et al. Sclerosing mucoepidermoid carcinoma with eosinophilia of the thyroid: A case report and review of the literature. Am J Otolaryngol. 2004;25(1):48–53. doi: 10.1016/s0196-0709(03)00096-6
- Son S-W, Lee K-H, Lee JH, Myong N-H. Mucoepidermoid carcinoma with distant metastases to the kidney, adrenal gland, skull and gluteus maximus muscle: A case report. Investig Magn Reson Imaging. 2016;(20):66–70. doi: 10.13104/imri.2016.20.1.66
- Healey WV, Perzin KH, Smith L. Mucoepidermoid carcinoma of salivary gland origin. Classification, clinical-pathologic correlation, and results of treatment. Cancer. 1970; 26(2):368–388. doi: 10.1002/1097-0142(197008)26:2<368::aid-cncr2820260219>3.0.co;2-k
- Pantola C, Kala S, Athar M, et al. Sclerosing mucoepidermoid carcinoma with eosinophilia of the thyroid: A cytological dilemma. J Cytol. 2016;33(1):37–39. doi: 10.4103/0970-9371.175511
- Toper MH, Sarioglu S. Molecular pathology of salivary gland neoplasms: Diagnostic, prognostic, and predictive perspective. Adv Anat Pathol. 2021;28(2):81–93. doi: 10.1097/PAP.0000000000000291
- Shafique K, Zhang PJ, Montone KT, et al. Pathologic grading of mucoepidermoid carcinomas of the salivary gland and its effect on clinicopathologic follow-up: An institutional experience. Hum Pathol. 2020;(98):89–97. doi: 10.1016/j.humpath.2020.02.001
- Baloch ZW, Asa SL, Barletta JA, et al. Overview of the 2022 WHO classification of thyroid neoplasms. Endocr Pathol. 2022;33(1):27–63. doi: 10.1007/s12022-022-09707-3
- Le HT, Nguyen TP, Hirokawa M, et al. Primary thyroid mucoepidermoid carcinoma (MEC) is clinically, prognostically, and molecularly different from sclerosing MEC with eosinophilia: A multicenter and integrated study. Endocr Pathol. 2023;34(1):100–111. doi: 10.1007/s12022-022-09741-1
- Hong DS, Fakih MG, Strickler JH, et al. KRASG12C inhibition with sotorasib in advanced solid tumors. N Engl J Med. 2020;383(13):1207–1217. doi: 10.1056/NEJMoa1917239
- Loong HH, Du N, Cheng C, et al. KRAS G12C mutations in Asia: A landscape analysis of 11,951 Chinese tumor samples. Transl Lung Cancer Res. 2020;9(5):1759. doi: 10.21037/tlcr-20-455
- Sheth H, Kumar P, Shreenivas A, et al. Excellent response with alpelisib and bicalutamide for advanced salivary duct carcinoma with PIK3CA mutation and high androgen receptor expression: A case report. JCO Precis Oncol. 2021;(5):PO.20.00436. doi: 10.1200/PO.20.00436
- Yoshimura T, Higashi S, Yamada S, et al. PCP4/PEP19 and HER2 are novel prognostic markers in mucoepidermoid carcinoma of the salivary gland. Cancers. 2021;14(1):54. doi: 10.3390/cancers14010054
- Di Villeneuve L, Souza IL, Tolentino FD, et al. Salivary gland carcinoma: Novel targets to overcome treatment resistance in advanced disease. Front Oncol. 2020;(10):580141. doi: 10.3389/fonc.2020.580141
- Terauchi M, Michi Y, Hirai H, et al. Prognostic factors in mucoepidermoid carcinoma of the minor salivary glands: A single-center retrospective study. Oral Surg Oral Med Oral Pathol Oral Radiol. 2021;131(2):209–216. doi: 10.1016/j.oooo.2020.10.012
Supplementary files






