Development of Waterhouse–Friderichsen syndrome after infection with SARS-CoV-2 against the background of comorbidity
- Authors: Alpidovskaya О.V.1
-
Affiliations:
- Chuvash State University
- Issue: Vol 15, No 1 (2024)
- Pages: 113-119
- Section: Case reports
- Submitted: 31.05.2023
- Accepted: 06.06.2023
- Published: 17.04.2024
- URL: https://clinpractice.ru/clinpractice/article/view/472056
- DOI: https://doi.org/10.17816/clinpract472056
- ID: 472056
Cite item
Full Text
Abstract
BACKGROUND: The COVID-19 pandemic has also affected rheumatic diseases. A clinical case of the development of Waterhouse–Friderichsen syndrome after SARS-CoV-2 infection in a patient with secondary AA adrenal amyloidosis is presented.
CLINICAL CASE DESCRIPTION: Patient G., 57 years old, was hospitalized for several hours on May 20, 2023 at the Cheboksary Regional Hospital with the following diagnosis: “Severe viral interstitial pneumonia. Secondary AA adrenal amyloidosis. Acute adrenal insufficiency”. She was admitted with complaints of a febrile temperature up to 38.2°C. Computed tomography of the chest organs showed signs of bilateral viral interstitial pneumonia (the percentage of lung damage was 74%). The diagnosis of COVID-19 was based on a positive polymerase chain reaction test performed on nasopharyngeal swabs. The blood pressure was 80/40 mm Hg, D-dimer 786 ng/ml (with the normal values of not higher than 243 ng/ml). Despite the treatment, the patient died. An autopsy revealed dystelectasis, hyaline membranes, intraalveolar edema in the lungs, and the deposition of amyloid masses, foci of necrosis of the cortical layer and hemorrhage in the adrenal glands. Signs of disseminated intravascular coagulation syndrome were found.
CONCLUSION: The peculiarity of the case is the development of Waterhouse–Frideriksen syndrome without signs of sepsis.
Full Text
ОБОСНОВАНИЕ
Амилоидоз представляет собой группу заболеваний, при которых в тканях накапливаются аномальные белки — амилоидные фибриллы. Частота встречаемости — не менее 1:50 000; возникает в основном после 60 лет [1] и сопровождается развитием прогрессирующей дисфункции [2]. Вторичный амилоидоз зачастую является осложнением ревматоидного артрита. В основе ревматоидного артрита лежит системное аутоиммунное воспаление, приводящее наряду с поражением суставов к развитию широкого спектра внесуставных органных поражений. В дебюте заболевания выявляется антигенспецифическая активация CD4+-T-лимфоцитов по Th1-типу (увеличение синтеза интерферона-γ) в сочетании с гиперпродукцией провоспалительных цитокинов, таких как фактор некроза опухолей-альфа, интерлейкины (Interleukin, IL) 1, 2, 3, 8, 18, и относительным дефицитом синтеза антивоспалительных медиаторов (IL-4, рецепторный антагонист IL-1, IL-10). Синтезируемый активированными макрофагами и Т-клетками IL-6 индуцирует синтез белков острой фазы воспаления, в первую очередь C-реактивный белок.
Хотя инфекция SARS-CoV-2 обычно характеризуется лёгким/умеренно тяжёлым течением и заканчивается выздоровлением, у некоторых пациентов (5–15%) развивается тяжёлая полисегментарная вирусная интерстициальная пневмония, реже — острый респираторный дистресс-синдром и генерализованная коагулопатия, ведущая к мультиорганной недостаточности [3–5]. У пациентов с ревматоидным артритом отмечается более высокий риск развития инфекций, чем в общей популяции, что считается проявлением иммунопатологического дисбаланса.
В связи с актуальностью проблемы представляем случай развития синдрома Уотерхауса–Фридериксена у пациентки с ревматоидным артритом и вторичным АА-амилоидозом надпочечников после инфицирования SARS-CoV-2. Представленный случай описывается впервые.
КЛИНИЧЕСКИЙ ПРИМЕР
О пациенте
20.05.2023 больная Г., 57 лет, находилась в течение нескольких часов на стационарном лечении в бюджетном учреждении Чувашской Республики «Чебоксарская районная больница» Министерства здравоохранения Чувашской Республики (далее — БУ РКБ). Поступила в тяжёлом состоянии. Жалобы при поступлении на повышение температуры тела до 38,2°С, сухой малопродуктивный кашель.
Анамнез болезни (собран со слов сопровождающей дочери). В течение двух недель больная отмечала повышение температуры тела в пределах 37,0–37,2°С. За медицинской помощью не обращалась, применяла травяные чаи. Последние несколько дней температура поднималась до 38,4°С. Отмечала слабость, головокружение. Артериальное давление 70/40 мм рт.ст. В связи с этим бригадой скорой медицинской помощи была начата инфузия допамина с целью поддержания гемодинамики, пациентка доставлена в БУ РКБ.
С 2017 года находилась на диспансерном наблюдении по поводу ревматоидного артрита, проходила стационарное лечение в ревматологическом отделении
В 2018 году в БУ РКБ проведена терапия инфликсимабом (Ремикейд) из расчёта 3 мг/кг внутривенно капельно (однократно в период стационарного лечения). В последующем инфузии инфликсимаба проведены ещё 3 раза (через 2, 4 и 8 недель) в условиях амбулаторного лечения. Динамика скорости оседания эритроцитов в ходе терапии: исходно — 53 мм/ч, после первого введения — 41 мм/ч, после второго — 34 мм/ч, после третьего — 20 мм/ч, после четвёртого — 15 мм/ч.
В амбулаторных условиях при болевом синдроме принимала нестероидный противовоспалительный препарат мелоксикам.
В 2020 году после обследования прошла стационарное лечение с диагнозом «Ревматоидный артрит, серопозитивный, активность III степени по индексу DAS28 (5,18 по DAS28), с внесуставными проявлениями (ревматоидные узелки), тест на антитела к циклическому цитруллиновому пептиду — позитивный, функциональный класс III, с осложнениями (вторичный АА-амилоидоз надпочечников)». Диагноз АА-амилоидоза надпочечников был выставлен после иммунофлюоресценции биоптатов.
Физикальный осмотр, лабораторные и инструментальные исследования
По данным объективного осмотра: телосложение гиперстеническое, подкожно-жировая клетчатка равномерно распределена, удовлетворительного питания. Рост 155 см, масса тела 63 кг. При аускультации в лёгких ослабленное дыхание в задненижних отделах, влажные мелкопузырчатые хрипы, укорочение перкуторного звука. Частота дыхательных движений 24 в минуту.
Со стороны сердечно-сосудистой системы: частота сердечных сокращений 41 уд./мин. Артериальное давление 80/40 мм рт.ст.
Лабораторно-инструментальные методы. Общий анализ крови: лейкоциты 0,4×109/л (норма, N, 4–9), лимфоциты 14% (N 19–37), скорость оседания эритроцитов 30,00 мм/ч (N 2–15); глюкоза в крови 2,2 ммоль/л (N 3,3–5,5).
Экспресс-коагулограмма: активированное частичное (парциальное) тромбопластиновое время >180,00 сек (N 22–40), протромбиновое время 34,00 сек (N 10–12), фибриноген А 7,26 г/л (N 1,8–3,5), D-димер 786 нг/мл (N не выше 243). Значение растворимых фибрин-мономерных комплексов по ортофенантролиновому тесту — 26,00 мг/100 мл (N 3,39–4,0). Na+ 103,10 ммоль/л (N 135–148), К+ 21,48 ммоль/л (N 3,5–5,3), CL+ 42 ммоль/л (N 98–106), соотношение Na/K 17 (N 32). Тест на антитела к циклическому цитруллинированному пептиду — позитивный. Тропонин I сердечный 0,1 нг/мл.
На компьютерной томографии (КТ) органов грудной клетки выявлены признаки двусторонней вирусной интерстициальной пневмонии. Тяжесть по КТ 19 баллов (максимально 25 баллов). Процент поражения лёгочной ткани 74%. КТ-4. Диагноз COVID-19 поставлен на основании положительного теста (мазки из носоглотки), выполненного методом полимеразной цепной реакции.
Динамика и исходы
Лечение включало глюкокортикоиды, введение вазопрессоров, антикоагулянтную терапию низкомолекулярными гепаринами, антибактериальные средства. Несмотря на проводимое лечение, состояние больной прогрессивно ухудшалось, нарастали явления дыхательной недостаточности вплоть до развития летального исхода.
Посмертный клинический диагноз
Основное заболевание: «Вирусная интерстициальная пневмония тяжёлой степени». Сопутствующий диагноз: «Ревматоидный артрит, серопозитивный, активность III степени по индексу DAS28 (5,18 по DAS28), с внесуставными проявлениями (ревматоидные узелки), тест на антитела к циклическому цитруллиновому пептиду — позитивный, функциональный класс III, вторичный АА-амилоидоз надпочечников. Осложнение основного диагноза: «Дыхательная недостаточность II–III. Синдром диссеминированного внутрисосудистого свёртывания. Острая надпочечниковая недостаточность».
Аутопсия
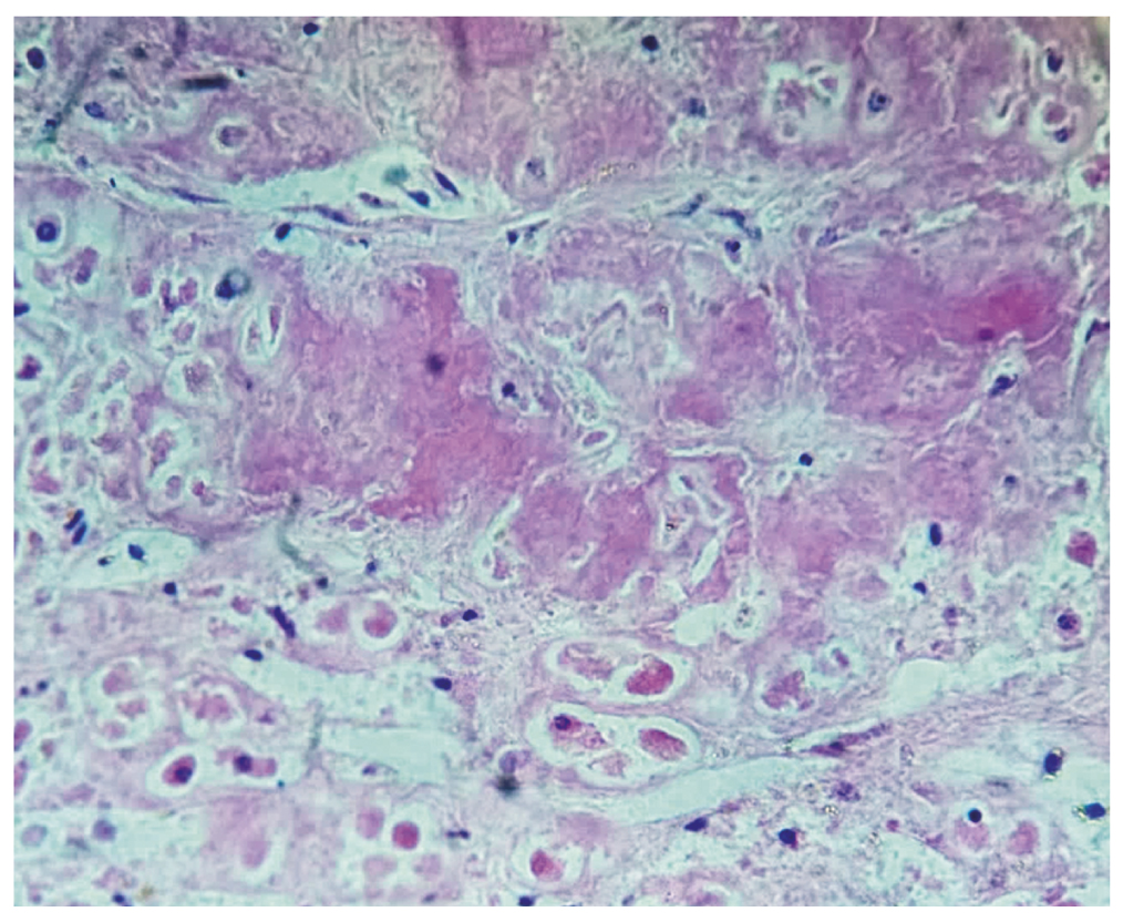
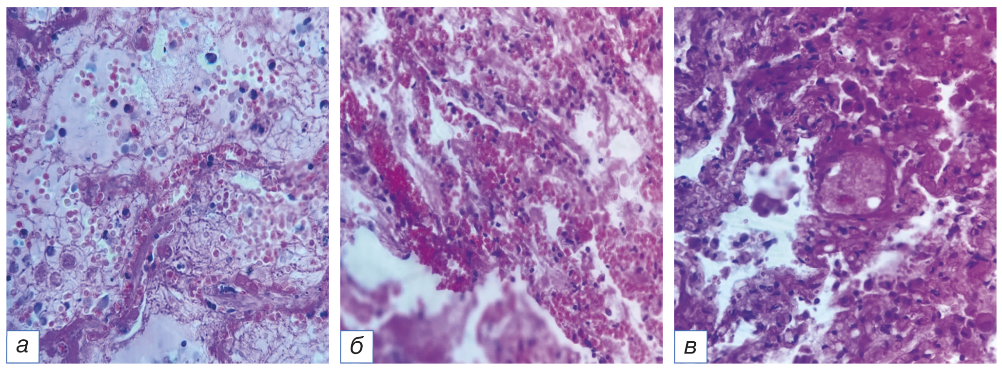
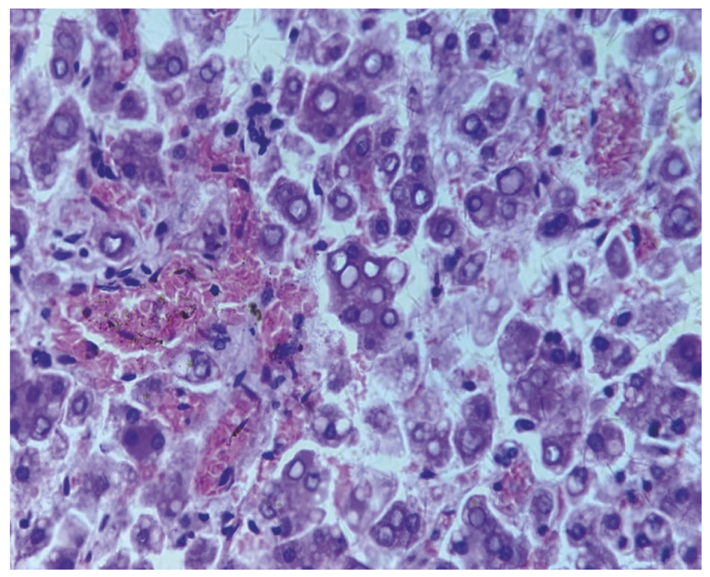
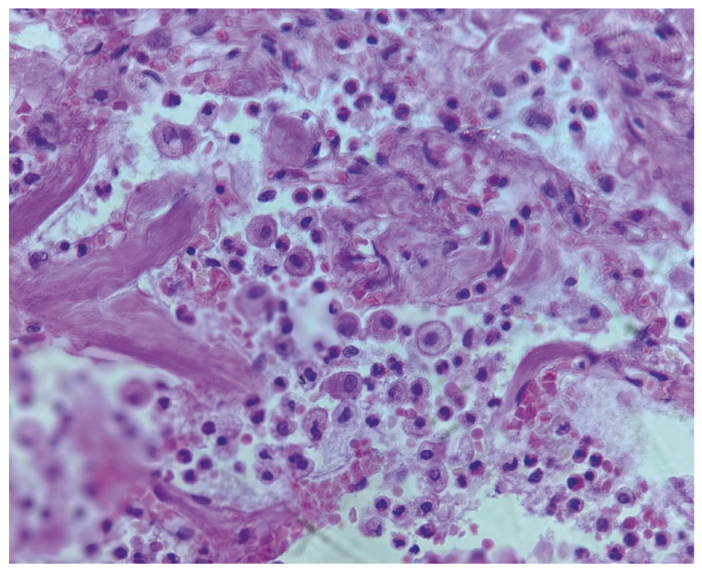
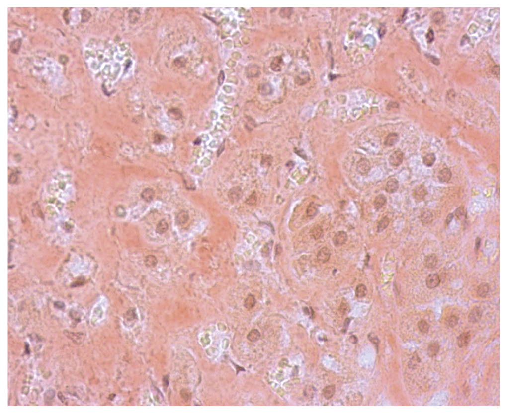
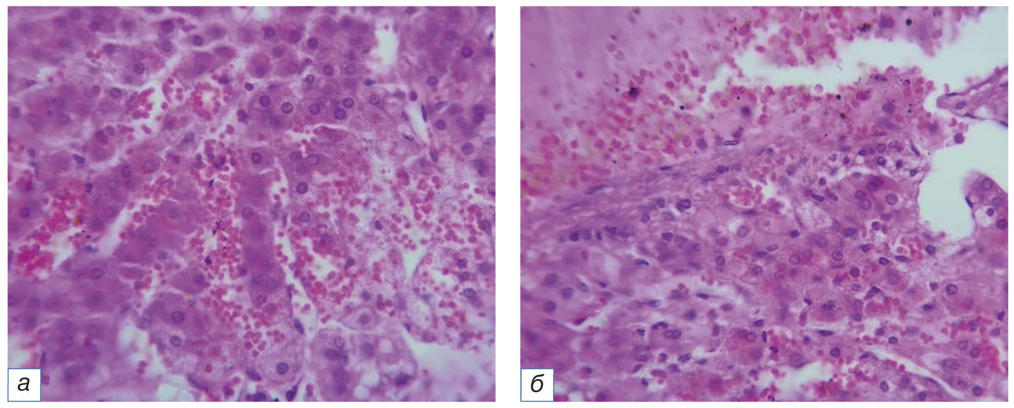
В лёгких при гистологическом исследовании — полнокровие, эритростазы, сладжи; распространённые дистелектазы/ателектазы. К стенкам отдельных альвеол прилежат фрагментированные гиалиновые мембраны (рис. 1, 2); неравномерно выраженный интраальвеолярный отёк. Определялись признаки сладж-феномена и гиалиновых микротромбов в сосудах микроциркуляторного русла внутренних органов. Выявлялись генерализованные гемореологические расстройства: многочисленные мелкие петехиальные кровоизлияния во внутренние органы, преимущественно в надпочечники, очаги некроза коркового слоя с перифокальной инфильтрацией и кровоизлияниями (синдром Уотерхауса–Фридериксена); рис. 3, 4. Отмечались признаки васкулита мелких вен, микротромбоз артериальных ветвей надпочечников. Выявлялось отложение амилоидных масс между атрофичными эндокриноцитами (рис. 5, 6).
Рис. 1. Микроскопические изменения в лёгких (а–в): в просветах альвеол — отёчная жидкость, воспалительный экссудат с примесью эритроцитов, слущенных альвеолярных макрофагов; гиалиновая мембрана по контуру альвеол. Окраска гематоксилином и эозином, ×900.
Fig. 1. Microscopic changes in the lungs (а–в): in the lumen of the alveoli — edematous fluid, inflammatory exudate with an admixture of erythrocytes, desquamated alveolar macrophages; hyaline membrane along the contour of the alveoli. Stained with hematoxylin and eosin, ×900.
Рис. 2. Микроскопическая картина воспалительного экссудата с примесью эритроцитов в просвете альвеол, элементы гиалиновых мембран. Окраска гематоксилином и эозином, ×900.
Fig. 2. Microscopic picture of inflammatory exudate with an admixture of erythrocytes in the lumen of the alveoli, elements of hyaline membranes. Stained with hematoxylin and eosin, ×900.
Рис. 3. Микроскопическая картина кровоизлияний, вакуолизации цитоплазмы эндокриноцитов. Окраска гематоксилином и эозином, ×900.
Fig. 3. Microscopic picture of hemorrhages, vacuolization of the cytoplasm of endocrinocytes. Stained with hematoxylin and eosin, ×900.
Рис. 4. Кровоизлияния, очаги некроза коркового слоя надпочечников, определяются признаки перифокальной инфильтрации (а, б). Окраска гематоксилином и эозином, ×900.
Fig. 4. Hemorrhages, foci of necrosis of the cortical layer of the adrenal glands, signs of perifocal infiltration are determined (а, б). Staining with hematoxylin and eosin, ×900.
Рис. 5. Микроскопическая картина отложений амилоидных фибрилл. Окраска конго красный, ×900.
Fig. 5. Microscopic picture of deposits of amyloid fibrils. Coloring Congo red, ×900.
Рис. 6. Микроскопическая картина отложений амилоида. Окраска гематоксилином и эозином, ×900.
Fig. 6. Microscopic picture of amyloid deposits. Stained with hematoxylin and eosin, ×900.
Результат вирусологического исследования секционного материала (лаборатория вирусологических исследований и диагностики особо опасных инфекций ФБУЗ «Центр гигиены и эпидемиологии в Чувашской Республике-Чувашии»): РНК коронавируса SARS-CoV-2 обнаружена в лёгком, надпочечниках.
Патологоанатомический диагноз
Основное заболевание: «Новая коронавирусная инфекция COVID-19 (результат вирусологического исследования секционного материала: РНК коронавируса SARS-CoV-2 обнаружена в лёгком, надпочечниках)».
Осложнения основного заболевания: «Двусторонняя вирусная интерстициальная пневмония. Острый респираторный дистресс-синдром. Отёк лёгких. ДВС-синдром. Кровоизлияния и очаги некроза коркового слоя надпочечников с выраженной перифокальной инфильтрацией (синдром Уотерхауса–Фридериксена)».
Сопутствующее заболевание: «Ревматоидный полиартрит, серопозитивный вариант, активность 2, поздняя стадия, тест на антитела к циклическому цитруллиновому пептиду — положительный, функциональный класс III–IV, рентгенологическая стадия III; вторичный АА-амилоидоз надпочечников».
ОБСУЖДЕНИЕ
SARS-CoV-2 чаще поражает лёгкие, в результате чего в альвеолярных клетках лёгких наблюдаются чрезмерная иммунная активация и цитокиновый ответ [6]. Ключевая роль новой коронавирусной инфекции в развитии тяжёлых последствий связана с неконтролируемой гиперпродукцией цитокинов. Вовлечённость адреналовых желёз в патологический процесс при коронавирусной инфекции разнонаправлена. Возможны прямое цитопатическое влияние вируса на адреналовые клетки [6], тромботические осложнения в надпочечниках при возникновении синдрома гиперкоагуляции [7–9].
В представленном клиническом случае имело место развитие синдрома Уотерхауса–Фридериксена после инфицирования SARS-CoV-2 при существующем АА-амилоидозе надпочечников. Патогенез реализуется за счёт двух основных компонентов — геморрагического некроза коры надпочечников и иммунной дисрегуляции. Дискоординация иммунного ответа происходит стремительно в результате избыточного синтеза провоспалительных активирующих цитокинов и медиаторов (цитокиновый шторм), который быстро истощает иммунные эффекторы, способные бороться с патогенным фактором. Развивающийся при этом компенсаторный противовоспалительный ответ реализуется благодаря как существующим в организме Т-регуляторным клеткам, так и за счёт патологически незрелых миелоидных клеток-супрессоров, что приводит к окончательному подавлению систем защиты и прогрессированию инфекционного процесса. В результате одновременно развиваются тканевое повреждение, повреждение эндотелия, гипоксия и органная дисфункция [10–12]. Надпочечниковая недостаточность в результате кровоизлияний усугубляет и без того тяжёлое состояние пациента, в связи с чем прогноз для пациентов с синдромом Уотерхауса–Фридериксена становится весьма сомнительным. Несомненное значение для неблагоприятного исхода имело также сопутствующее заболевание — АА-амилоидоз надпочечников.
Особенность представленного случая заключается в развитии синдрома Уотерхауса–Фридериксена без признаков сепсиса.
ЗАКЛЮЧЕНИЕ
Причиной смерти пациентки 57 лет явилась новая коронавирусная инфекция COVID-19, осложнившаяся двусторонней вирусной интерстициальной пневмонией и острым респираторным дистресс-синдромом взрослых. Наличие сопутствующих заболеваний — ревматоидного артрита со вторичным АА-амилоидозом надпочечников — ухудшило прогноз. На фоне инфицирования SARS-CoV-2 развился синдром Уотерхауса–Фридериксена с кровоизлияниями и очагами некроза коры.
В представленном случае обращает на себя внимание длительное благоприятное течение заболевания с последующим быстрым прогрессированием после инфицирования SARS-CoV-2. Присоединившийся ДВС-синдром ещё более усугубил состояние пациентки.
ДОПОЛНИТЕЛЬНАЯ ИНФОРМАЦИЯ
Источник финансирования. Автор заявляет об отсутствии внешнего финансирования при проведении исследования.
Конфликт интересов. Автор декларирует отсутствие явных и потенциальных конфликтов интересов, связанных с публикацией настоящей статьи.
Информированное согласие на публикацию. От законного представителя умершей пациентки Г. получено добровольное письменное информированное согласие на публикацию истории болезни с научной целью в медицинском журнале «Клиническая практика», включая его электронную версию (дата подписания 15.05.2023).
ADDITIONAL INFORMATION
Funding source. This study was not supported by any external sources of funding.
Competing interests. The author declare that they have no competing interests.
Consent for publication. We received from the of patient’s legal representative written informed permission for the publication of her pictures in medical journal, including its electronic version (date of signature 15.05.2023).
About the authors
Оlga V. Alpidovskaya
Chuvash State University
Author for correspondence.
Email: olavorobeva@mail.ru
ORCID iD: 0000-0003-3259-3691
SPIN-code: 5084-1379
МD, PhD
Russian Federation, CheboksaryReferences
- Склянова М.В., Калягин А.Н., Щербаков Г.И., Зимина И.А. Амилоидоз в практике врача-ревматолога // Байкальский медицинский журнал. 2009. № 3. С. 150–152. [Sklyanova MV, Kalyagin AN, Shcherbakov GI, Zimina IA. Amyloidosis in the practice of a rheumatologist. Baikal Medical Journal. 2009;(3):150–152. (In Russ).]
- Михалева Л.М., Гиоева З.В., Рёкен К. Гистологическое и иммуногистохимическое исследование в диагностике амилоидоза печени // Архив патологии. 2015. Т. 77, № 4. С. 11–16. [Mikhaleva LM, Gioeva ZV, Rёken K. Histological and immunohistochemical examinations in the diagnosis of hepatic amyloidosis. Arkhiv Patologii. 2015;77(4):11–16. (In Russ).] doi: 10.17116/patol201577411-16
- Насонов Е.Л. Коронавирусная болезнь 2019 (COVID-19): размышления ревматолога // Научно-практическая ревматология. 2020. Т. 58, № 2. С. 123–132. [Nasonov EL. Coronavirus disease 2019 (COVID-19): Reflections from a rheumatologist. Scientific Practical Rheumatology. 2020;58(2):123–132. (In Russ).]
- Smatti MK, Cyprian FS, Nasrallah GK, et al. Viruses and autoimmunity: A review on the potential interaction and molecular mechanisms. Viruses. 2019;11(8):E762. doi: 10.3390/v11080762
- Joo YB, Lim YH, Kim KJ, et al. Respiratory viral infections and the risk of rheumatoid arthritis. Arthritis Res Ther. 2019;21(1):199. doi: 10.1186/s13075-019-1977-9
- Santana MF, Borba MG, Baía-da-Silva DC, et al. Case report: Adrenal pathology findings in severe COVID-19: An autopsy study. Am J Trop Med Hyg. 2020;103(4):1604–1607. doi: 10.4269/ajtmh.20-0787
- Iuga AC, Marboe CC, Yilmaz M, et al. Adrenal vascular changes in COVID-19 Autopsies. Arch Pathol Lab Med. 2020;144(10): 1159–1160. doi: 10.5858/arpa.2020-0248-LE
- Porfidia A, Pola R. Venous thromboembolism in COVID-19 patients. J Thromb Haemost. 2020;18(6):1516–1517. doi: 10.1111/jth.14842
- Leyendecker P, Ritter S, Riou M, Wackenthaler A, Meziani F, Roy C, Ohana M. Acute adrenal infarction as an incidental CT finding and a potential prognosis factor in severe SARS-CoV-2 infection: a retrospective cohort analysis on 219 patients. Eur Radiol. 2021 Feb;31(2):895–900. doi: 10.1007/s00330-020-07226-5
- Qin C, Zhou L, Hu Z, et al. Dysregulation of immune response in patients with COVID-19 in Wuhan, China. Clin Infect Dis. 2020;71(15):762–768. doi: 10.1093/cid/ciaa248
- Воробьева О.В., Ласточкин А.В., Гималдинова Н.Е. Клинико-морфологическая характеристика случая системного AL-амилоидоза // Современные проблемы науки и образования. 2020. № 3. С. 151. [Vorobeva OV, Lastochkin AV, Gimaldinova NE. Clinical and morphological characteristic case of system AL-amyloidosis. Modern Problems of Science and Education. Surgery. 2020;(3):151. (In Russ).] doi: 10.17513/spno.29795
- Воробьева О.В., Романова Л.П. Изменения органов после инфицирования SARS-CoV-2 у пациентки с системной склеродермией по данным аутопсии. Современная ревматология. 2022. Т. 16, № 2. С. 69–73. [Vorobeva OV, Romanova LP. Organ changes after SARS-CoV-2 infection in a patient with systemic sclerosis according to autopsy. Modern Rheumatology Journal. 2022;16(2):69–73. (In Russ).] doi: 10.14412/1996-7012-2022-2-69-73
Supplementary files









