Combination of Mucocele of the Appendix and Chronic Calculous Cholecystitis: Case Report
- Authors: Akhtanin E.A.1, Goev A.A.1, Shukurov K.U.1, Markov P.V.1
-
Affiliations:
- A.V. Vishnevsky National Medical Research Center of Surgery
- Issue: Vol 14, No 3 (2023)
- Pages: 119-124
- Section: Case reports
- Submitted: 04.07.2023
- Accepted: 20.07.2023
- Published: 19.10.2023
- URL: https://clinpractice.ru/clinpractice/article/view/529678
- DOI: https://doi.org/10.17816/clinpract529678
- ID: 529678
Cite item
Full Text
Abstract
Background: The analysis of the data presented in the foreign and national literature shows that a combination of the appendix mucocele and calculous cholecystitis is extremely rare, and the implementation of simultaneous surgical treatment in the laparoscopic version is the optimal approach. Clinical case description. Here, we present a clinical case of chronic calculous cholecystitis in combination with mucocele of the appendix in an 84-year-old patient. The main complaint was pulling pain in the right iliac region. The diagnosis was made on the basis of the main and additional methods of examination: clinical picture, ultrasound, multispiral computed tomography and magnetic resonance imaging of the abdominal organs. In a planned manner, a simultaneous surgical intervention was performed consisting of laparoscopic appendectomy and cholecystectomy. The operation duration was 1 hour 15 minutes. The morphological examination confirmed the diagnosis of calculous cholecystitis and mucocele of the appendix. The patient was discharged in a satisfactory condition on the 4th day. Conclusion. This clinical case shows that the dynamic observation of mucocele of the appendix, even in elderly patients with a comorbid pathology, is unjustified. A simultaneous surgical intervention in the form of laparoscopic appendectomy and cholecystectomy treats the two nosologies and prevents repeated hospitalization and surgery.
Full Text
ОБОСНОВАНИЕ
Мукоцеле червеобразного отростка — редкая нозологическая форма, характеризующаяся неспецифическими клиническими симптомами, но часто имеет бессимптомное течение [1, 2].
Впервые мукоцеле червеобразного отростка было описано австрийским патологоанатомом C.F. Rokitansky в 1842 году как водянка червеобразного отростка [3], а термин «мукоцеле» был введён лишь в 1877 году G. Fere и описан им как аппендикулярная дилятация [4].
Сочетание калькулёзного холецистита с мукоцеле червеобразного остростка, согласно данным международной литературы, встречается крайне редко. В доступной нам литературе имеется три клинических наблюдения мукоцеле червеобразного отростка и холецистита [5–7], тогда как сочетание острого аппендицита с холециститом встречается значительно чаще.
Факторами, способствующими развитию мукоцеле, являются стеноз основания аппендикса и избыточное образование слизи [8]. По данным разных источников, заболевание встречается в 0,2–0,5% всех аппендэктомий [9] и характеризуется кистозным расширением червеобразного отростка вследствие накопления в нём слизистого секрета и нарушения дренирования в толстую кишку [10]. В 10% случаев мукоцеле червеобразного отростка подвергается малигнизации и приводит к грозному осложнению — муцинозной цистаденокарциноме (псевдомиксоме брюшины) [11]. Без лечения выживаемость пациентов с распространённой формой псевдомиксомы брюшины не превышает, как правило, 2 лет [12], а пятилетняя выживаемость при комбинированной терапии (циторедуктивное вмешательство + HIPEC-терапия) зависит от степени дифференцировки опухоли и не превышает 57,9% [13].
Согласно морфологической классификации мукоцеле аппендикса, прослеживается этапность развития заболевания: ретенционная киста аппендикса, гиперплазия слизистой, муцинозная цистаденома и муцинозная цистаденокарцинома [14]. В англоязычной литературе термин «муцинозная цистаденокарцинома» представлен термином «полимиксома аппендикса» [15].
В нашей публикации представлено редкое клиническое наблюдение сочетания двух нозологий, описана тактика лечения и показана необходимость выполнения симультанного хирургического лечения.
КЛИНИЧЕСКИЙ ПРИМЕР
О пациенте
Пациентка Я., 84 года, 12.05.2023 поступила в отделение абдоминальной хирургии ФГБУ «Национальный медицинский исследовательский центр хирургии имени А.В. Вишневского» Минздрава России. На момент госпитализации предъявляла жалобы на периодически возникающую боль в правой подвздошной области.
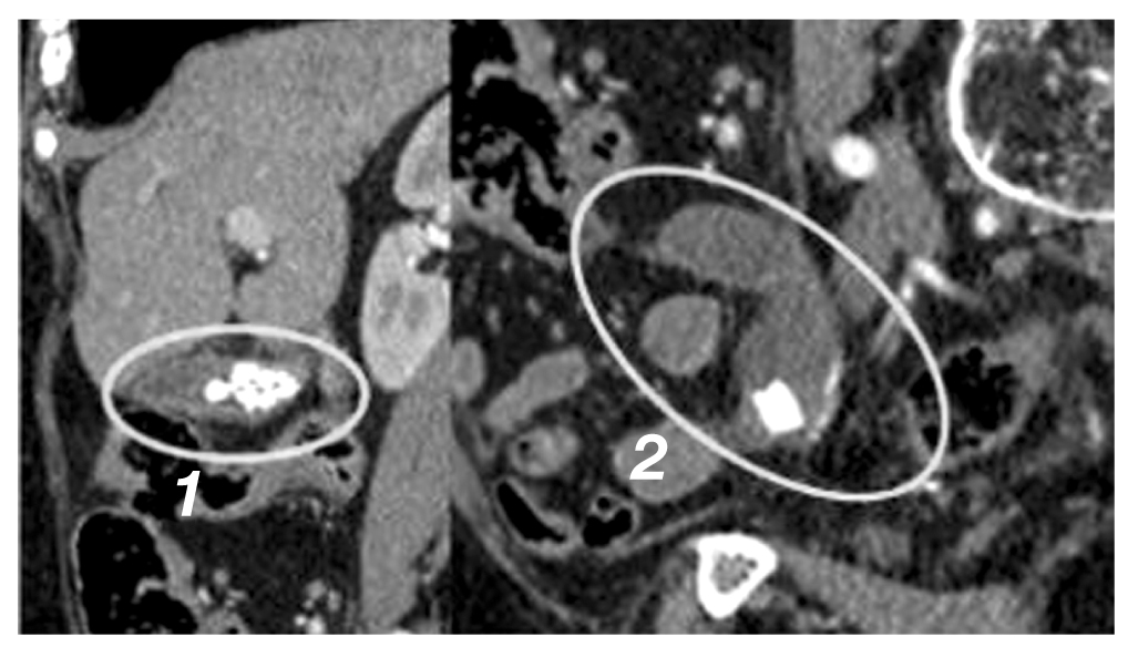
Из анамнеза известно, что в июле 2020 года при диспансерном наблюдении по данным ультразвукового исследования органов брюшной полости у пациентки выявлены кистозное образование малого таза и калькулёзный холецистит. При компьютерной томографии органов брюшной полости с внутривенным контрастированием обнаружены кистозная опухоль червеобразного отростка размером 70×50 мм с наличием кальцинатов в стенке и калькулёзный холецистит (рис. 1). При динамическом наблюдении через 3 года отмечена отрицательная динамика в виде клинической симптоматики и увеличения в размерах кистозной опухоли. Магнитно-резонансная томография органов брюшной полости (апрель 2023 года) показала кистозную опухоль червеобразного отростка размером 106×70 мм с наличием кальцинатов и калькулёзный холецистит (рис. 2).
Рис. 1. Компьютерная томография органов брюшной полости с внутривенным контрастированием: 1 — калькулёзный холецистит; 2 — кистозная опухоль аппендикса диаметром около 7 см.
Fig. 1. A Computed tomography scan of the abdominal organs with intravenous contrast: 1 — calculous cholecystitis; 2 — cystic tumor of the appendix with a diameter of about 7 cm.
Рис. 2. Магнитно-резонансная томография органов брюшной полости в динамике через 3 года: кистозная опухоль аппендикса диаметром около 10 см.
Fig. 2. Magnetic resonance imaging of the abdominal organs in the dynamics after 3 years: A cystic tumor of the appendix with a diameter of about 10 cm.
На онкологическом консилиуме принято решение о симультанном (одномоментном) вмешательстве (лапароскопическая холецистэктомия и аппендэктомия).
Физикальная диагностика
Общее состояние при поступлении удовлетворительное. Кардиореспираторных нарушений нет. Живот не вздут, симметричен, участвует в акте дыхания. При пальпации в правой подвздошной области определяется подвижное безболезненное, легко смещаемое образование около 10 см в диаметре.
Данные лабораторных исследований без особенностей.
Предварительный диагноз. Основной: «Жёлчнокаменная болезнь. Хронический калькулёзный холецистит. Кистозная опухоль червеобразного отростка». Сопутствующий: «Гипертоническая болезнь. Артериальная гипертензия II степени. Высокий риск. Ишемическая болезнь сердца, стенокардия напряжения, I функциональный класс».
Оперативное вмешательство
После дообследования и комплексной предоперационной подготовки в плановом порядке выполнено оперативное вмешательство.
Под наркозом произведён параумбиликальный разрез кожи до 2 см, наложен пневмоперитонеум до 13 мм рт.ст. Выполнен троакарный доступ в брюшную полость (10 мм троакар со стилетом). Введена оптическая система. При интраоперационном исследовании выпота и спаечного процесса патологических образований органов брюшной полости не выявлено. Определяется червеобразный отросток, основание последнего не изменено. Отмечается кистозное образование в области верхушки отростка размером до 10 см в диаметре (рис. 3). Установлены два дополнительных троакара (в правом и левом гипогастрии). Выполнена мобилизация червеобразного отростка с пересечением брыжейки аппаратом Ligasure. Основание червеобразного отростка клипировано. Выполнено пересечение отростка с помощью ножниц и монополярной коагуляции. Установлен дополнительный троакар 5 мм в эпигастрии. Выполнена типичная холецистэктомия. Удалённые желчный пузырь и аппендикс с опухолью извлечены из брюшной полости в контейнере (рис. 4). Время операции — 1 час 15 минут.
Рис. 3. Интраоперационная фотография: 1 — основание червеобразного отростка; 2 — мукоцеле червеобразного отростка.
Fig. 3. An intraoperative photograph: 1 — the base of the appendix; 2 — mucocele of the appendix.
Рис. 4. Удалённый препарат: 1 — червеобразный отросток с кистозной опухолью (мукоцеле); 2 — желчный пузырь.
Fig. 4. The removed preparations: 1 — the removed appendix with a cystic tumor (mucocele); 2 — the removed gallbladder.
Заключение морфологического исследования: «Аппендикулярная муцинозная опухоль червеобразного отростка, low-grade, без распространения в мезоаппендикс, без признаков прободения серозы (pTis). В крае резекции стенки отростка без признаков наличия опухоли; калькулёзный холецистит».
Послеоперационный период протекал без осложнений. На 4-е сутки пациентка выписана под наблюдение хирурга по месту жительства в удовлетворительном состоянии.
Прогноз
Прогноз пациентки для жизни, здоровья и социальной адаптации, учитывая возраст, объём симультанного вмешательства, а также данные морфологического исследования, является благоприятным. Динамическое наблюдение и оценка состояния жизни и здоровья будут оцениваться при ежегодной диспансеризации: первый год — 1 раз в 6 месяцев, в последующем — 1 раз в год. Объём обследования включает клинический и биохимический анализ крови, ультразвуковое исследование и компьютерную томографию органов брюшной полости, тотальную колоноскопию.
ОБСУЖДЕНИЕ
Предоперационная диагностика мукоцеле червеобразного отростка не представляет сложности и включает такие методы визуализации, как ультразвуковое исследование, колоноскопия, магнитно-резонансная томография и мультиспиральная компьютерная томография органов брюшной полости с внутривенным болюсным контрастированием. Мультиспиральная компьютерная томография органов брюшной полости с внутривенным болюсным контрастированием является наиболее информативным методом, позволяющим точно поставить диагноз, а также определить распространённость опухоли по стенке кишки, наличие асцита и возможной перитонеальной диссеминации опухоли [16]. Дифференциальная диагностика проводится с лимфоцеле, гематомами, овариальными кистами, острым аппендицитом и т.д. [17]. Своевременное хирургическое лечение необходимо для предотвращения гангрены, перфорации и малигнизации с последующей псевдомиксомой брюшины, а объём хирургического вмешательства может варьировать от аппендэктомии до циторедуктивных хирургических вмешательств [18].
Симультанное хирургическое лечение мукоцеле червеобразного отростка и калькулёзного холецистита не изучено ввиду малого количества пациентов, что не позволяет провести системный анализ данной категории больных. Эффективность симультанного хирургического вмешательства и излечения двух клинических нозологий одновременно имеет определённые преимущества, такие как отсутствие повторной госпитализации и операции. Однако следует проводить дополнительные исследования с целью расширения горизонтов планирования, диагностики, профилактики и лечения данной категории больных.
ЗАКЛЮЧЕНИЕ
Таким образом, динамическое наблюдение мукоцеле червеобразного отростка неоправданно даже у возрастных пациентов с коморбидной патологией. Такие пациенты после дообследования и коррекции соматических заболеваний подлежат хирургическому лечению. В противном случае риск прогрессирования заболевания и развития муцинозной цистаденокарциномы крайне велик.
Мукоцеле встречается крайне редко в клинической практике. Несмотря на это, необходимо помнить о данном заболевании червеобразного отростка, единственным методом радикального лечения которого является аппендэктомия. Сочетание калькулёзного холецистита и мукоцеле червеобразного отростка является крайне редкой ситуацией. Одновременное симультанное хирургическое лечение данной коморбидной патологии имеет определённые значимые преимущества, такие как отсутствие потребности в повторной госпитализации, операции и реабилитации пациента.
ДОПОЛНИТЕЛЬНАЯ ИНФОРМАЦИЯ
Источник финансирования. Авторы заявляют об отсутствии финансирования проведённого исследования.
Конфликт интересов. Авторы декларируют отсутствие явных и потенциальных конфликтов интересов, связанных с публикацией настоящей статьи.
Вклад авторов. Е.А. Ахтанин, А.А. Гоев, К.У. Шукуров — лечение пациентов, обработка и обсуждение результатов исследования, написание текста статьи, поисково-аналитическая работа, утверждение окончательного текста; П.В. Марков — руководство лечением пациентов и обсуждение результатов исследования, редактирование. Авторы подтверждают соответствие своего авторства международным критериям ICMJE (все авторы внесли существенный вклад в разработку концепции, проведение исследования и подготовку статьи, прочли и одобрили финальную версию перед публикацией).
Согласие пациента. От пациента (законного представителя) получено добровольное письменное информированное согласие на публикацию его изображений в медицинском журнале, включая электронную версию (дата подписания 15.05.2023).
ADDITIONAL INFORMATION
Funding source. This study was not supported by any external sources of funding.
Competing interests. The authors declare that they have no competing interests.
Authors’ contribution. E.A. Akhtanin, A.A. Goev, K.U. Shukurov — treatment of patients, processing and discussion of the results of the study, writing the manuscript, search and analytical work; P.V. Markov — management of patient treatment and discussion of the results of the study. The authors made a substantial contribution to the conception of the work, acquisition, analysis of literature, drafting and revising the work, final approval of the version to be published and agree to be accountable for all aspects of the work.
Patient permission. A voluntary written informed consent was obtained from the patient (legal representative) to publish his images in a medical journal, including its electronic version (date of signing 15.05.2023).
About the authors
Evgeny A. Akhtanin
A.V. Vishnevsky National Medical Research Center of Surgery
Author for correspondence.
Email: ahtanin.evgenii@mail.ru
ORCID iD: 0000-0002-1543-6419
SPIN-code: 8633-9555
MD, PhD, Research Associate
Russian Federation, MoskowAleksander A. Goev
A.V. Vishnevsky National Medical Research Center of Surgery
Email: a_goev@mail.ru
ORCID iD: 0000-0001-9526-4604
SPIN-code: 9228-4380
MD, PhD, Junior Research Associate
Russian Federation, MoskowKomildzhon U. Shukurov
A.V. Vishnevsky National Medical Research Center of Surgery
Email: shukurovku@gmail.com
ORCID iD: 0000-0002-5109-0056
SPIN-code: 3124-3532
Graduate Student
Russian Federation, MoskowPavel V. Markov
A.V. Vishnevsky National Medical Research Center of Surgery
Email: pvmarkov@mail.ru
ORCID iD: 0000-0002-9074-5676
SPIN-code: 6808-9492
MD, PhD, Dr. Sci. (Med.)
Russian Federation, MoskowReferences
- Park KJ, Choi HJ, Kim SH. Laparoscopic approach to mucocele of ap pendiceal mucinous cystadenoma: Feasibility and short-term outcomes in 24 consecutive cases. Surgical Endoscopy. 2015;29(11):3179–3183. doi: 10.1007/s00464-014-4050-4
- Khemir A, Ben Brahim E. Appendiceal mucocele. Ann Pathol. 2020;40(6):495. doi: 10.1016/j.annpat.2020.08.002
- Rokitansky CF. A manual of pathologica anatomy. Vol. 2. English translation of the Vienna edition. Philadelphia: Blancard and Lea; 1855. Р. 89.
- Mazure CJ, Ramírez-Plazaм CP, Valle Carbajo M, Santoyo J. Mucocele apendicular gigante. Implicaciones diagnósticas y terapéuticas. Revista Espanola de Enfermedades Digestivas. 2009;101:439–451. doi: 10.4321/s1130-01082009000600018
- Stoianov Kh, Iuliianov A, Vŭlchev D, Karashmalŭkov A. A rare case of acute cholecystitis combined with a mucocele of the appendix. Khirurgiia (Sofiia). 1998;51(2):51–52.
- De la Fuente-Lira M, Rocha-Guevara ER, Márquez-Rocha ML, et al. Appendiceal mucocele and gangrenous cholecystitis. Cir Cir. 2006;74(4):273–277.
- Valli B. Appendicular mucocele: On a clinical case with acute pseudocholecystitic symptoms. Acta Chir Ital. 1969; 25(3):331–334.
- Válek V, Bartušek D, Svoboda M, et al. Appendiceal mucocele: A radiologists view. Rozhl Chir. 2021;100(6):266–270. doi: 10.33699/PIS.2021.100.6.266-270
- Mouden MA, Laalim SA. A huge appendiceal mucocele. Pan Afr Med J. 2022;43:123. eCollection 2022. doi: 10.11604/pamj.2022.43.123.33175
- Кригер А.Г., Федоров А.В., Воскресенский П.К., Сажин А.В. Аппендицит. Москва: Медпрактика-М, 2018. 256 с. [Krieger AG, Fedorov AV, Voskresensky PK, Sazhin AV. Appendicitis. Moscow: Medpraktika-M; 2018. 256 p. (In Russ).]
- Tаrcoveanu E, Vasilescu A, Hee RV, et al. Appendicular mucocele: Possibilities and limits of laparoscopy. Brief series and review of the literature. Chirurgia (Bucur). 2015; 110(6):530–537.
- Слабакова Е.Н. Случаи редких заболеваний червеобразного отростка // Региональный вестник Востока. 2010. № 3. С. 96–99. [Slabakova EN. Cases of rare diseases of the appendix. Regional’nyi vestnik Vostoka. 2010;(3):96–99. (In Russ).]
- Kusamura S, Barretta F, Yonemura Y, et al. The role of hyperthermic intraperitoneal chemotherapy in pseudomyxoma peritonei after cytoreductive surgery. Peritoneal Surface Oncology Group International (PSOGI) and the French National Registry of Rare Peritoneal Surface Malignancies (RENAPE). JAMA Surg. 2021;156(3):e206363. doi: 10.1001/jamasurg.2020.6363
- Ruiz-Tovar J, Teruel DG, Castiсeiras VM. Mucocele of the appendix. World J Surg. 2007;31(3):542–550. doi: 10.1007/s00268-006-0454-1
- Ветшев Ф.П., Осминин С.В., Чесарев А.А., и др. Лапароскопическая аппендэктомия при муцинозной цистаденоме червеобразного отростка // Хирургия. Журнал им. Н.И. Пирогова. 2019. № 4. С. 61–65. [Vetshev FP, Osminin SV, Chesarev AA, et al. Laparoscopic appendectomy for mucinous cyst adenoma of the appendix. N.I. Pirogov Journal of Surgery. 2019;(4):61–65. (In Russ).] doi: 10.17166/hirurgia20190416
- Колганова И.П., Бурякина С.А., Кармазановский Г.Г., и др. Компьютерно-томографическая семиотика мукоцеле червеобразного отростка (клиническое наблюдение) // Медицинская визуализация. 2013. № 4. С. 67–74. [Kolganova IP, Buryakina SA, Karmazanovsky GG, et al. CT Semiotics of mucocele of the appendix (case report). Meditsinskaya vizualizatsiya. 2013;(4):67–74. (In Russ).]
- Hunsaker JC. Aquin review of appendicitis: Routine, complicated, and mimics. Emerg Radiol. 2023;30(1):107–117. doi: 10.1007/s10140-022-02098-2
- Şentürk M, Yavuz Y, Alkan S, Kafadar MT. The investigation of 14 appendiceal mucocele cases encountered in 4850 appendectomy patients. J Gastrointest Cancer. 2021;52(2):701–705. doi: 10.1007/s12029-020-00462-4
Supplementary files







