Listeria monocytogenes meningoencephalitis against the background of the new coronavirus infection: a clinical case
- Authors: Ulyanova O.V.1, Ermolenko N.A.1, Banin I.N.2, Belinskaya V.V.2, Dutova T.I.2, Kulikov A.V.2, Golovina N.P.2
-
Affiliations:
- Voronezh State Medical University
- Voronezh City Clinical Emergency Hospital No 1
- Issue: Vol 14, No 4 (2023)
- Pages: 122-128
- Section: Case reports
- Submitted: 02.08.2023
- Accepted: 27.11.2023
- Published: 28.01.2024
- URL: https://clinpractice.ru/clinpractice/article/view/567958
- DOI: https://doi.org/10.17816/clinpract567958
- ID: 567958
Cite item
Full Text
Abstract
Background: Among the bacteria that affect the central nervous system, Listeria monocytogenes (facultative intracellular bacterium) is one of the most lethal to humans and animals. Listeriosis affects domestic and farm animals (pigs, small and large cattle, horses, rabbits, less often cats and dogs), as well as domestic and ornamental birds (geese, chickens, ducks, turkeys, pigeons, parrots and canaries). L. monocytogenes can be detected in fish and seafood (shrimp). The source of L. monocytogenes infection are animals in which the disease may manifest itself or occur in erased and asymptomatic forms followed by the transition to a long-term carriage. This pathogen is found throughout the world in foodstuffs, and most cases of infection occur through the ingestion of contaminated food. Particularly susceptible to the disease are embryos, newborns, the elderly and individuals with immunodeficiencies and chronic diseases. L. monocytogenes can cause intracranial hemorrhage, meningitis, meningoencephalitis, and rhombencephalitis. Clinical case description: This paper presents our own clinical observation of the development of severe listeriosis meningoencephalitis in a 47 year-old patient against the background of the new coronavirus infection (COVID-19). We describe the details of the clinical presentation, the treatment and the favorable outcome in our patient. Conclusion: Invasive listeriosis is a rare disease. The knowledge about the clinical manifestations of this disease is needed not only for epidemiologists and infectious disease specialists, but also for physicians of other specialties. Untimely diagnosis and inadequate antibacterial therapy are dangerous leading to severe somatic and neurological complications with a lethal outcome or disability both in children and adult persons.
Keywords
Full Text
ОБОСНОВАНИЕ
Сапронозная Listeria monocytogenes является патогеном пищевого происхождения. L. monocytogenes — грамположительная факультативная внутриклеточная бактерия, являющаяся возбудителем листериоза человека. Пища впервые была идентифицирована как преобладающий путь передачи в 1981 году, когда были зарегистрированы крупные вспышки, вызванные готовым к употреблению мясом и мягкими сырами, в том числе деликатесным мясом индейки, хот-догами и сыром, в Мексике и США [1–3].
Данная инфекция обычно развивается у пациентов с ослабленным иммунитетом, включая лиц пожилого возраста, беременных женщин и новорождённых, у здоровых людей заражение встречается крайне редко. На сегодняшний день L. monocytogenes также является редкой причиной внутричерепного кровоизлияния, бактериального менингита или менингоэнцефалита у взрослых, в том числе тяжёлых осложнений, которые вызывают высокую смертность [4, 5].
Пациенты, получающие иммуносупрессивную терапию, и лица с нарушенным клеточно-опосредованным иммунитетом или аутоиммунными заболеваниями подвергаются большему риску инвазивного листериоза. Больные с хроническими заболеваниями печени и почек в терминальной стадии, алкоголизмом и сахарным диабетом также входят в группу риска. Инфицирование во время беременности может привести к потере плода, преждевременным родам, заболеванию и смерти новорождённого [6–8].
Механизмы, с помощью которых L. monocytogenes проникает в центральную нервную систему, остаются малоизученными, но предложены два основных пути заражения, основанные на клинических наблюдениях in vitro и in vivo. Ретроградно листериоз возникает у жвачных животных при проникновении L. monocytogenes в эпителий полости рта, а затем из ротоглотки интраканально в ствол мозга, и это объясняет, почему L. monocytogenes вызывает у них почти исключительно ромбэнцефалит. Фекально-оральный и гематогенный пути наиболее характерны для человека, у которого свободные либо связанные с лейкоцитами бактерии, циркулирующие в крови, через церебральные капилляры или путём повреждения гематоэнцефалического барьера достигают и внедряются в центральную нервную систему [1, 7, 9, 10]. Носительство у условно здоровых людей выявляется в 2–20% случаев [1, 11].
Среди клинических проявлений по частоте встречаемости в литературе описаны следующие проявления листериоза: неонатальный менингит, менингоэнцефалит взрослых, ромбэнцефалит, сепсис новорождённых и взрослых, эндокардит, перитонит, внутримозговое кровоизлияние, мультифокальные микроабсцессы головного мозга, краниальные нейропатии (V, VII, IX, X, XII) [2, 6–12].
Возможны несколько сценариев развития церебральных осложнений. Первый — когда заболевание протекает в виде подострого бактериального менингита с такими характерными симптомами, как лихорадка, головная боль, ригидность затылочных мышц шеи. Начало вялотекущее, триада развивается в течение нескольких дней, как при туберкулёзе, в отличие от менингококкового или пневмококкового менингита, когда те же признаки возникают в считанные часы. При инфицировании L. monocytogenes часто констатируют явные дефекты клеточного иммунитета, предрасполагающие к листериозу [3, 13].
Вторая форма доминирует у взрослых — это ромбэнцефалит. Лихорадка, головная боль, тошнота и рвота возникают остро, но признаки раздражения конвекситальной менингеальной оболочки, если выявляются, то, конечно, реже. Плеоцитоз ликвора может быть минимальным. Впоследствии у пациентов могут развиться невропатии черепно-мозговых нервов, дисфункция мозжечка. Лихорадка может отсутствовать у 15% пациентов, что затрудняет постановку диагноза и наводит на мысль о неинфекционном заболевании [3, 14]. Однако на магнитно-резонансной томограмме (МРТ) головного мозга у пациентов могут выявляться типичные для L. monocytogenes множественные микроабсцессы мозжечка и промежуточного мозга. Несмотря на лечение, возможно длительное сохранение очаговой неврологической симптоматики; летальность при данном осложнении приближается к 50% [7–10].
L. monocytogenes может быть также причиной воспаления или возникновения абсцесса головного мозга в супратенториальной области. В этих случаях типичные ромбэнцефалитические симптомы, обусловленные микроабсцессами, отсутствуют [8, 12].
Как оказалось, состояния, отражающие снижение иммунитета, как при листериозном сепсисе, могут возникать и при микст-инфекции — сочетании L. monocytogenes с новой коронавирусной инфекцией (COVID-19) [15]. Такие случаи крайне редки, но, учитывая высокую смертность при этих формах заболевания, ранняя диагностика и своевременное начало лечения имеют жизненно важное значение.
КЛИНИЧЕСКИЙ ПРИМЕР
О пациенте
Пациент С., 47 лет, мужчина, работает водителем. Поступил по скорой помощи в БУЗ Воронежской области «Воронежская городская клиническая больница скорой медицинской помощи № 1» (БУЗ ВО ВГКБСМП № 1) 03.11.2021 с жалобами на влажный кашель, повышение температуры тела до 39°С, одышку при любом движении, потливость, выраженную слабость. Считает себя больным с 28.10.2021, когда поднялась температура тела до 39°С, появился кашель. 28.10.2021 в городской клинической поликлинике № 7 был проведён тест на COVID-19 методом полимеразной цепной реакции (ПЦР) с положительным результатом. Принимал дома антикоагулянт прямого действия апиксабан (Эликвис), антибиотик Амоксиклав. Поскольку состояние больного не улучшилось, 03.11.2021 направлен в БУЗ ВО ВГКБСМП № 1. На компьютерной томограмме (КТ) органов грудной клетки картина двусторонней полисегментарной пневмонии, 75% объём поражения (КТ-4). В связи с высокой вероятностью COVID-19 пациент госпитализирован в отделение для пациентов с новой коронавирусной инфекцией. Сатурация 91%. Нуждался в инсуффляции кислорода (О2).
Физикальная диагностика
Состояние больного при поступлении расценено как тяжёлое. Артериальное давление 125/80 мм рт.ст., пульс 82 удара в минуту. Частота дыхательных движений 22–23 в минуту. Пациент получал увлажнённый кислород. В неврологическом статусе при поступлении острой неврологической патологии не выявлено.
Предварительный диагноз
На основании жалоб, клинической картины, положительных данных ПЦР от 28.10.2021 и результатов дополнительных методов исследования поставлен диагноз: «Новая коронавирусная инфекция COVID-19 (вирус идентифицирован ПЦР-исследованием), тяжёлое течение. Внебольничная двусторонняя полисегментарная пневмония, 75% объём поражения (КТ-4)».
Лечение и дальнейшее наблюдение
С учётом полученных данных назначены противовирусная терапия, глюкокортикоиды, антикоагулянты.
10.11.2021 наросла одышка, развился острый респираторный дистресс-синдром. Сатурация 80% на воздухе в крови (на кислородной поддержке менее 93%), пациент переведён на неинвазивную искусственную вентиляцию лёгких.
14.11.2021 состояние больного прогрессивно ухудшалось. На фоне повышения температуры тела до 40°С появилось психомоторное возбуждение, пациент стал дезориентирован, появились менингеальные симптомы. Переведён в отделение реанимации для больных COVID-19.
Консультирован неврологом: продуктивному контакту не доступен, возбуждён, неадекватен, выполняет не все команды. Не ориентирован в месте, времени. Обращённую речь понимает плохо, ригидность мышц затылка 4–5 см; симптом Кернига 120°, положительный с двух сторон. Оценка черепно-мозговых нервов: реакция зрачков на свет положительная с двух сторон. OS (левый глаз) — сходящееся косоглазие; OD (правый глаз) — взор по средней линии, взгляд не фиксирует. Лицо симметричное, язык в полости рта, явных признаков пареза нет. Глубокие рефлексы D=S. Патологические кистевые и стопные рефлексы не вызываются. На уколы подошв реагирует одинаково с обеих сторон.
Люмбальная пункция: лейкоциты 384 (нейтрофилы 95%, лимфоциты 5%). Посев: обильный рост Listeria monocytogenes.
КТ головного мозга: картина, соответствующая субарахноидальному кровоизлиянию над теменной долей слева.
Прокальцитониновый тест от 17.11.2021: 2 нг/мл.
При КТ органов грудной клетки от 17.11.2021 на фоне проведённого лечения в лёгких выявлены изменения, характерные для двусторонней полисегментарной пневмонии, средняя/высокая вероятность связи с COVID, степень поражения 70% — тяжёлая (КТ-3).
Электроэнцефалография от 09.12.2021: умеренные диффузные изменения биопотенциалов головного мозга регулярного характера без признаков эпилептиформной активности.
В общем анализе крови лимфоцитарный лейкоцитоз, скорость оседания эритроцитов (СОЭ) 17 мм/час.
Пациент консультирован врачом-инфекционистом, выставлен диагноз: «Коронавирусная инфекция COVID-19, лабораторно подтверждённая. Двусторонняя полисегментарная пневмония. Листериозный менингоэнцефалит».
Во время пребывания пациента в отделении реанимации и интенсивной терапии наблюдались судорожные приступы, которые начинались с джексоновского марша — с левой руки, распространяясь на лицо, левую ногу с переходом на правую сторону. В качестве противосудорожного средства пациенту назначена вальпроевая кислота (Депакин хроно).
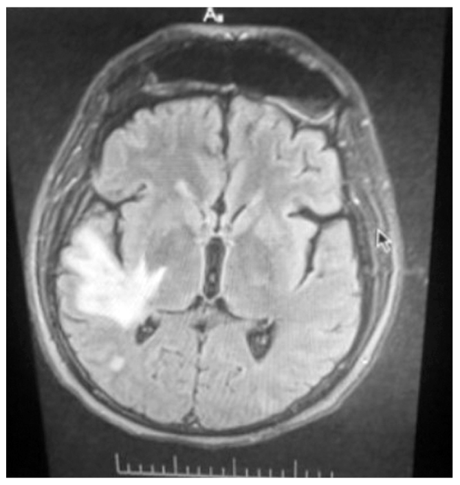
При МРТ головного мозга от 07.12.2021 выявлены крупноочаговые изменения белого вещества головного мозга правой височной доли и гигрома правой лобной доли (рис. 1).
Рис. 1. Магнитно-резонансная томография головного мозга пациента С. с энцефалитическими очагами.
При назначении этиотропной терапии было учтено, что L. monocytogenes чувствительна к большинству β-лактамных антибиотиков, за исключением цефалоспоринов. Оптимальной комбинацией при лечении всех форм листериоза является сочетание ампициллина и гентамицина. Нами использованы амоксициллин сульбактам, линезолид, амикацин, олокизумаб (Артлегиа по 128 мг внутривенно капельно, однократно), дополнительно по показаниям гепарин, эноксапарин натрия (Эниксум), трижды переливание свежезамороженной плазмы; преднизолон, дексаметазон, L-лизина эсцинат, адеметионин (Самеликс), аспирин, парацетомол, омепразол, Депакин хроно, галоперидол, аминокислоты (Нутрифлекс 40/80).
На фоне проведённого лечения отмечена положительная динамика в состоянии пациента, в результате чего он был переведён на самостоятельное дыхание. В общей сложности на неинвазивной искусственной вентиляции лёгких пациент находился 12 дней (с 11.11.2021 по 22.11.2021), на искусственной вентиляции лёгких — 16 дней (с 22.11.2021 по 07.12.2021). Эпизодов фокальных судорог больше не отмечалось. После реанимационного отделения для дальнейшего лечения и реабилитации пациент был переведён в неврологическое отделение.
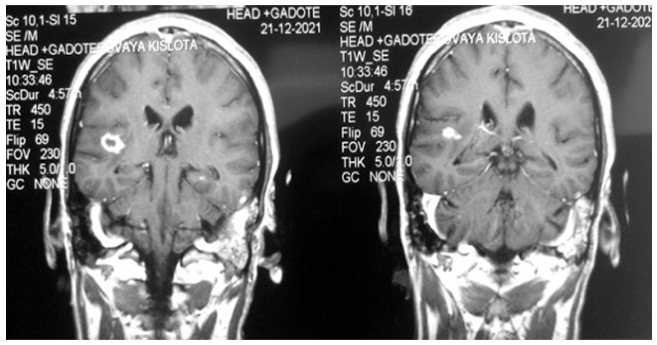
МРТ головного мозга от 21.12.2021 (рис. 2): контрастирование оболочек полушарий мозга (бактериальный менингит), структурные контрастпозитивные изменения в правой височной доле и базальных ядрах, что может соответствовать менингоэнцефалиту с косвенными признаками формирующегося абсцесса.
Рис. 2. Магнитно-резонансная томография головного мозга пациента С. после проведённого лечения.
Консультирован нейрохирургом: «Острый вторичный листериозный менингоэнцефалит с формированием энцефалитического очага в правой височной доле». Показаний к нейрохирургической операции нет.
Окончательный диагноз
Пациенту выставлен клинический диагноз: «Острый вторичный листериозный менингоэнцефалит с поражением правой височной доли. Межполушарный фокальный синдром Джексона. Субарахноидальное кровоизлияние (по данным КТ головного мозга). Идентифицированная коронавирусная инфекция COVID-19, стадия реконвалесценции. Внебольничная двусторонняя полисегментарная пневмония».
Динамика и прогноз
В итоге пациент провёл в стационаре 54 дня, из них в отделении реанимации 29 дней, на искусственной вентиляции лёгких — 16 дней. К моменту выписки пациент самостоятельно себя обслуживал в пределах отделения. Судорожные эпизоды не повторялись. В неврологическом статусе без очаговой неврологической симптоматики.
Выписан в удовлетворительном состоянии; спустя несколько месяцев приступил к выполнению своих профессиональных обязанностей.
ОБСУЖДЕНИЕ
Таким образом, можно констатировать, что у пациента имелась микст-инфекция — сочетание перенесённой коронавирусной инфекции (COVID-19) и возникшего на её фоне в связи со снижением иммунитета листерозного менингоэнцефалита (возбудитель Listeria meningitis).
По данным проспективного когортного исследования, проведённого во Франции, включившего 252 пациента с нейролистериозом, менингоэнцефалит присутствовал в 84% случаев, у 17% был выявлен ромбэнцефалит, абсцессы головного мозга отмечались ещё реже — в 1–10% случаев [16]. Из 77 описанных в литературе внутримозговых абсцессов только 17 были множественными [9]. Осложнение L. monocytogenes может возникать у инфицированных COVID-19 не только в остром, но и постковидном периоде [13, 14, 16].
Согласно источникам литературы, посвящённым СOVID-19, а также собственным клиническим наблюдениям, выявлено и доказано, что в патологический процесс могут вовлекаться оболочки, сосуды и паренхима головного мозга. Возникающие под влиянием вируса, проникшего через гематоэнцефалический барьер в центральную нервную систему, клеточные реакции в зависимости от состояния Т- и В-клеточного иммунитета пациента могут протекать по нескольким сценариям — бессимптомно, моносимптомно и/или вызывать клинические проявления менингита, энцефалита, энцефалопатии [17]. Однако доказано, что способность проникать в центральную нервную систему через гематоэнцефалический барьер обнаруживают не только SARS-CoV-2, но и другие коронавирусы человека и животных. На сегодняшний день оценить частоту встречаемости данного осложнения, ориентируясь только на публикации, по-прежнему затруднительно. Глубокому анализу необходимо подвергать клинические, лабораторные и инструментальные данные, результаты аутопсий, отражающие состояние и развитие воспалительного процесса в верхних и нижних дыхательных путях, лёгких [17]. В нашем наблюдении у пациента с коронавирусной инфекцией был выявлен листериозный менингоэнцефалит с несформированным абсцессом головного мозга. Дифференциальный диагноз при МРТ визуализации в таких случаях необходимо проводить после контрастирования также с другими бактериальными инфекциями, абсцессами иного генеза и метастатическим поражением головного мозга.
Тот факт, что L. monocytogenes чаще встречается у пациентов с иммуносупрессией, позволяет прогнозировать у них рост случаев нейролистериоза и образование абсцессов головного мозга в ближайшем будущем. В случаях с отрицательными посевами крови и там, где люмбальная пункция противопоказана, множественные повреждения головного мозга на МРТ в виде «червеобразного или трамвайного пути», микроабсцессов в супратенториальном белом веществе, мозжечке, стволе мозга могут иметь большое диагностическое значение.
ЗАКЛЮЧЕНИЕ
Инвазивный листериоз является редким заболеванием, что затрудняет его своевременное выявление. Развитию листериозного менингоэнцефалита подвержены пациенты с ослабленным иммунитетом, а также беременные женщины и пожилые люди, что важно учитывать при оценке жалоб и анамнеза. О возможности поражения организма человека бактерией L. monocytogenes, развитии микст-инфекций в остром и постковидном периоде должны быть информированы врачи всех клинических специальностей, чтобы своевременно могли провести диагностический поиск и назначить персонализированную адекватную антибактериальную и симптоматическую терапию при возникновении симптомокомплекса, характерного для менинго- или ромбэнцефалита.
ДОПОЛНИТЕЛЬНАЯ ИНФОРМАЦИЯ
Источник финансирования. Исследование и публикация статьи осуществлены на личные средства авторов.
Конфликт интересов. Авторы декларируют отсутствие явных и потенциальных конфликтов интересов, связанных с публикацией данной статьи.
Вклад авторов. И.Н. Банин, О.В. Ульянова, Н.А. Ермоленко, Т.И. Дутова, В.В. Белинская, А.В. Куликов, Н.П. Головина — лечение пациента; О.В. Ульянова — сбор и обработка материала; О.В. Ульянова, Н.А. Ермоленко — концепция и дизайн, написание текста, редактирование. Все авторы подтверждают соответствие своего авторства международным критериям ICMJE (все авторы внесли существенный вклад в разработку концепции, проведение поисково-аналитической работы и подготовку статьи, прочли и одобрили финальную версию перед публикацией).
Согласие пациента. От пациента получено письменное добровольное информированное согласие на публикацию описания клинического случая (дата подписания 21.11.2022).
ADDITIONAL INFORMATION
Funding source. This study was not supported by any external sources of funding.
Competing interests. The authors declare that they have no competing interests.
Authors’ contribution. I.N. Banin, О.V. Ulyanova, N.A. Ermolenko, T.I. Dutova, V.V. Belinskaya, A.V. Kulikov, N.P. Golovina — treatment of the patient; О.V. Ulyanova — collection and processing of material; О.V. Ulyanova, N.A. Ermolenko — concept and design, text writing, editing. All authors made a substantial contribution to the conception of the work, acquisition, analysis, interpretation of data for the work, drafting and revising the work, final approval of the version to be published and agree to be accountable for all aspects of the work.
Patient permission. From the patient, a written voluntary informed consent to the publication of the description of the clinical case was received (the date of signing 11.11.2022).
About the authors
Olga V. Ulyanova
Voronezh State Medical University
Author for correspondence.
Email: alatau08@mail.ru
ORCID iD: 0000-0003-2754-2670
SPIN-code: 9099-1878
MD, PhD, Associate Professor
Russian Federation, VoronezhNatalia A. Ermolenko
Voronezh State Medical University
Email: ermola@bk.ru
ORCID iD: 0000-0001-7197-6009
SPIN-code: 8604-1145
MD, PhD
Russian Federation, VoronezhIgor N. Banin
Voronezh City Clinical Emergency Hospital No 1
Email: banin_igor@mail.ru
ORCID iD: 0000-0003-2359-9215
SPIN-code: 1934-4945
MD, PhD
Russian Federation, VoronezhVera V. Belinskaya
Voronezh City Clinical Emergency Hospital No 1
Email: v.v.belinskaya@gmail.com
MD, PhD
Russian Federation, VoronezhTatyana I. Dutova
Voronezh City Clinical Emergency Hospital No 1
Email: dutova80@mail.ru
ORCID iD: 0000-0001-8181-3991
SPIN-code: 5493-0607
MD, PhD
Russian Federation, VoronezhArkady V. Kulikov
Voronezh City Clinical Emergency Hospital No 1
Email: alatau08@mail.ru
Russian Federation, Voronezh
Nadezhda P. Golovina
Voronezh City Clinical Emergency Hospital No 1
Email: golovinanp78@mail.ru
Russian Federation, Voronezh
References
- Drevets DA, Bronze MS. Listeria monocytogenes: Epidemiology, human disease, and mechanisms of brain invasion. FEMS Immunol Med Microbiol. 2008;53(2):151–165. doi: 10.1111/j.1574-695X.2008
- Schlech WF. Epidemiology and clinical manifestations of Listeria monocytegenes. Microbiol Spectr. 2019;7(3). doi: 10.1128/microbiol-spec.GPP3-0014-2018
- Guidi F, Chiaverini A, Repetto A, et al. Hyper-virulent Listeria monocytogenes strains associated with respiratory infections in Central Italy. Front Cell Infect Microbiol. 2021;11:765540. doi: 10.3389/fcimb.2021.765540
- True H, Blanton M, Sureshchandra S, Messaoudi I. Monocytes and macrophages in pregnancy: The good, the bad, and the ugly. Immunol Rev. 2022;308(1):77–92. doi: 10.1111/imr.13080
- Pradhan J, Mallick S, Mishra N, et al. Pregnancy, infection, and epigenetic regulation: A complex scenario. Biochim Biophys Acta Mol Basis Dis. 2023;1869(7):166768. doi: 10.1016/j.bbadis.2023.166768
- Jensen IJ, Li X, McGonagill PW, et al. Sepsis leads to lasting changes in phenotype and function of memory CD8 T cells. Elife. 2021;10:e70989. doi: 10.7554/eLife.70989
- Нагибина М.В., Венгеров Ю.Я., Тишкевич О.А., и др. Листериоз центральной нервной системы // Терапевтический архив. 2019. Т. 91, № 11. С. 43–49. [Nagibina MV, Vengerov YuYa, Tishkevich OA, et al. Listeriosis of the Central nervous system. Ther Arch. 2019;91(11):43–49. (In Russ).] doi: 10.26442/00403660.2019.11.000360
- Mohan SA, Sufyaan Z. Listeria monocytogenes cerebritis and infective endocarditis in an immunocompetent adult: A rare clinical manifestation. Case Rep Infect Dis. 2023;2023:7405556. doi: 10.1155/2023/7405556
- Bojanowski MW, Seizeur R, Effendi K, et al. Spreading of multiple Listeria monocytogenes abscesses via central nervous system fiber tracts: Case report. J Neurosurg. 2015;123(6): 1593–1599. doi: 10.3171/2014.12.JNS142100
- De Jesus-Alvelo I, Merenda A. A case report of Listeria monocytogenes abscesses presenting as cortically predominant ring-enhancing lesions. Case Rep Neurol. 2015;7(1):105–109. doi: 10.1159/000430434
- Liang JJ, He XY, Ye H. Rhombencephalitis caused by Listeria monocytegenes with hydrocephalus and intracranial hemorrhage: A case report and review of the literature. World J Clin Cases. 2019;7(4):538–547. doi: 10.12998/wjcc.v7.i4.538
- Percuoco V, Kemp O, Bolognese M, et al. A case of fulminant Listeria rhombencephalitis with brainstem abscesses in a 37-year-old immunocompetent patient: From vestibular neuritis to ondine’s curse. J Neurol Surg A Cent Eur Neurosurg. 2023. doi: 10.1055/a-1994-9207
- Bokhari SF, Sattar H, Abid S, et al. Listerial meningitis and brain abscess with coexisting COVID-19 infection in a young, immunocompetent male: A case report. Cureus. 2022;14(9):e29455. doi: 10.7759/cureus.29455
- Földvári-Nagy L, Schnabel T, Dörnyei G, et al. On the role of bacterial metalloproteases in COVID-19 associated cytokine storm. Cell Commun Signal. 2021;19(1):7. doi: 10.1186/s12964-020-00699-3
- Климова Е.А., Воронина О.Л., Кареткина Г.Н., и др. Листериоз и пандемия COVID-19 // Инфекционные болезни: новости, мнения, обучение. 2022. Т. 11, № 1. С. 102–112. [Klimova ЕA, Voronina OL, Karetkina GN, et al. Listeriosis and the COVID-19 pandemic. Infektsionnye bolezni: novosti, mneniya, obuchenie. 2022;11(1):102–112. (In Russ).] doi: 10.33029/2305-3496-2022-11-1-102-112
- Charlier C, Perrodeau É, Leclercq A, et al.; MONALISA study group. Clinical features and prognostic factors of listeriosis: The MONALISA national prospective cohort study. Lancet Infect Dis. 2017;17(5):510–519. doi: 10.1016/S1473-3099(16)30521-7
- Белопасов В.В., Яшу Я., Самойлова Е.М., Баклаушев В.П. Поражение нервной системы при СOVID-19 // Клиническая практика. 2020. Т. 11, № 2. С. 60–80. [Belopasov VV, Yashu Y, Samoilova EM, Baklaushev VP. Nervous system damage in SOVID-19. Journal of Clinical Practice. 2020;11(2):60–80. (In Russ).] doi: 10.17816/clinpract34851





