Anatomy of the terminal branches of the superior rectal artery during selective doppler controlled dearterialization of the hemorrhoidal nodes (HAL-RAR)
- Authors: Davidovich D.L.1, Filisteev P.А.2, Smirnov A.V.1, Burovskiy A.K.1, Solomka A.Y.1, Tariverdiev A.M.1, Tomashevskiy G.S.1, Razbirin D.V.1, Loshchenov M.S.1
-
Affiliations:
- Federal Scientific and Clinical Center for Specialized Medical Assistance and Medical Technologies of the Federal Medical Biological Agency
- Central Clinical Hospital of the Management Affair of President Russian Federation
- Issue: Vol 14, No 4 (2023)
- Pages: 26-33
- Section: Original Study Articles
- Submitted: 04.08.2023
- Accepted: 13.11.2023
- Published: 28.01.2024
- URL: https://clinpractice.ru/clinpractice/article/view/568027
- DOI: https://doi.org/10.17816/clinpract568027
- ID: 568027
Cite item
Abstract
Background: To date, there is no single standard for conducting HAL-RAR operations. The constant discussion raises the question of the number of terminal branches of the superior rectal artery, which must be ligated in the submucosal layer of the rectum in order to provide the adequate dearterialization of hemorrhoids. Aim: To study the anatomy of the branches of the superior rectal artery and to develop recommendations for the optimal ligation of the terminal branches of the superior rectal artery. Methods: 150 protocols of the previous operations have been studied. In order to further objectify our results, the results of radiation diagnostics (CT and MRI) were revised for 100 patients without pathological changes of the rectum and anal canal to study the variant anatomy of the superior rectal artery and its terminal branches in the rectal wall. Results: In 148 patients, 6 terminal branches were identified, in 2 (1.333%) patients, 5 branches were found. 100 cases without pathological changes were also analyzed (60 MRI and 40 CT scans). In all the cases, 6 terminal branches of the superior rectal artery were determined, located at 1, 3, 5, 7, 9 and 11 o'clock positions of the conventional dial. At the same time, a large number of identified anatomical options for the branching of the VPA and the method for reaching the rectal wall should be noted, which we used as a basis to propose a classification. Conclusion: In the vast majority of cases, there are 6 terminal branches of the superior rectal artery, located in the lower ampulla of the rectum at approximately 1, 3, 5, 7, 9 and 11 hours of the conventional dial. A number of variants of the vascular anatomy of the proximal branches are possible, but 6 distal branches are involved in the direct blood supply of the hemorrhoids. When performing selective Doppler-controlled dearterialization of hemorrhoids, it is expedient to ligate 6 arterial vessels.
Keywords
Full Text
BACKGROUND
Selective Doppler-guided hemorrhoid artery ligation with recto-anal repair (HAL-RAR surgery) is a minimally invasive treatment for hemorrhoidal disease. Considerable experience has been gained in performing this surgery, defining indications, and studying possible complications. However, there is currently no standard technique for performing this intervention. Equipment from different manufacturers is used with significant technological differences, and the technique for arterial ligation and mucosal dissection varies among surgeons. The number of terminal branches of the superior rectal artery that should be ligated in the submucosal layer in the lower ampullary rectum to achieve adequate disarterization of hemorrhoidal nodes is controversial.
This study aimed to evaluate the anatomy of the terminal branches of the superior rectal artery using computed tomography (CT) and magnetic resonance imaging (MRI) and develop an optimal technique for hemorrhoidal nodule disarterization.
METHODS
Study design
Retrospective cohort study
Eligibility criteria
Inclusion criteria: patients with hemorrhoidal disease who underwent selective HAL-RAR between 2018 and 2022 and patients with no organic pathology of the rectum and anal canal who underwent pelvic CT or MRI for screening purposes
Inclusion criteria: patients who had previously undergone Milligan–Morgan hemorrhoidectomy
Exclusion criteria: technical unsuitability for interpreting the medical images obtained.
Settings
This study was conducted at the Coloproctology Department of the Federal Scientific and Clinical Center for Specialized Medical Care and Medical Technologies of the Federal Medical and Biological Agency of Russia (FMBA) in 2018–2022.
Description of the medical intervention
Selective Doppler-guided hemorrhoid artery ligation with recto-anal repair (HAL-RAR)
Surgical procedures were performed using the HAL Doppler 2 device (AMI, Austria) with original AMI RAR Flexi Probe 2081 sensors under local regional anesthesia (pararectal, presacral, and pudendal block with 0.5% ropivacaine solution, Naropin) with intravenous sedation. After intraoperative revision of the anal canal and lower ampullary region, an operative Doppler proctoscope with Categel was inserted into the rectum. Sequential localization of hemorrhoidal artery projections was performed at 1, 3, 5, 7, 9, and 11 o’clock on the conventional dial at a height of 2–7 cm from the dentate line. The hemorrhoidal arteries were ligated sequentially using Polysorb Covidien 2/0 sutures on a 5/8 circumference atraumatic needle. Stitching was performed using an eight-shaped suture consisting of two stitches. In cases of prolapse and increased mobility of the mucosa and internal hemorrhoidal nodes, mucosa lifting is performed using “tightening” sutures in the form of a pyramid. The first row requires one stitch, the second row requires two stitches, and the third row requires three stitches. Lifting should be completed at 1.0 cm above the dentate line. The vessel was ligated with a second 8-shaped suture located distally in the absence of pronounced mucosal prolapse. Hemostasis was carefully controlled, and control Dopplerometry was performed. Arterial pulsation below the level of arterial ligation was not detected in any patient. Upon removal of the device, the anus was completely closed. A postoperative dressing was applied from the outside.
In the postoperative period, conservative analgesic and anti-inflammatory therapy and local treatment were administered. Antibacterial therapy was prescribed in exceptional cases. Early activation of patients was performed after surgery. Full nutrition was resumed immediately after surgery. In most cases, patients were discharged in the evening of the day of surgery or the next morning. Control examination was conducted 7–8 days and 1.5–2 months postoperatively; the first stool of the patients did not cause significant discomfort, which is an advantage of this method, and was not accompanied by traumatization of the tissues of the anal canal.
We performed an anatomical study using our existing archive of contrast-enhanced CT and MRI studies of the anal canal to further prove our findings. In studying the normal anatomy, the exclusion criterion was the presence of organic pathology in the anal canal that could significantly alter anatomical landmarks.
Radiological diagnostic methods, specifically CT and MRI with intravenous contrast enhancement, were used to investigate the anatomy of the superior rectal artery and its terminal branches in the rectal wall in norm. In total, 100 cases were analyzed, comprising 60 MRI and 40 CT scans.
No special new studies were performed to visualize the anatomy, and the evaluation was retrospective based on previous studies performed for screening purposes (cancer screening, check-up).
MRI studies were conducted using a GE Signa Pioneer 3 Tesla MR scanner. Arterial phases after intravenous contrast injection (gadobutrol at 7.5 mL) were used to analyze the variant anatomy of the superior rectal artery division and evaluate the rectal artery. A multiphase protocol based on LAVA Flex was used as the sequence1.
CT studies were conducted using a GE Revolution HD 128 CT scanner. The arterial phase of the standard three-phase contrast protocol was selected to evaluate the superior rectal artery.
Normal visualization of the superior rectal artery and its branches was achieved in only 20% of CT studies (8 patients). On MRI, 75% of the studies (45 patients) were suitable for analyzing the superior rectal artery and its branches. This is because of the higher spatial resolution of MR images compared with CT and the superior contrasting features (on MRI, the number of scanning phases ranged from 9 to 11, making it more possible to select images with high-quality contrasting of the branches of the superior rectal artery).
Study outcomes
This study aimed to determine the variant anatomy of the branches of the superior rectal artery. Data on the duration of surgery for complete disarterization of all six arteries are presented. Clinical characteristics and long-term results were not provided because of the study’s limitations.
Ethical review
This study was approved by the local ethics committee of the FMBA of Russia (protocol no. 9; October 25, 2022).
Statistical analysis
In the descriptive part of the study, results are presented as nonparametric data with median and interquartile range.
RESULTS
Objects (participants) of the study
The study involved 150 patients with hemorrhoids who underwent selective HAL-RAR surgery between 2018 and 2022 and 100 individuals without organic pathology of the rectum and anal canal who underwent pelvic CT or MRI for screening purposes.
Main results of the study
The surgery lasted for 30.5 [15; 55] min. Terminal branches were detected in 148 (98.6%) patients, whereas 2 (1.33%) had 5 branches. These patients had previously undergone surgical interventions, with excision of single hemorrhoidal nodes (Fig. 1).
Fig. 1. Number and location of hemorrhoidal arteries in four patients; an example of the data obtained with a HAL-Doppler 2.
According to ultrasound Doppler-location data, the depth of the vessels during the conventional dial was 3.94 mm [2.98; 4.97] at 1 h, 3.83 mm [2.7; 5.34] at 3 h, 4.0 mm [3.0; 5.55] at 5 h, 4.06 mm [3.1; 5.2] at 7 h, 4.0 mm [2.1; 5.4] at 9 h, and 3.88 mm [2.82; 4.96] at 11 h.
All six identified terminal branches were ligated in every patient using Polysorb 2/0 polyfilament resorbable suture material with a 5/8 circumference needle.
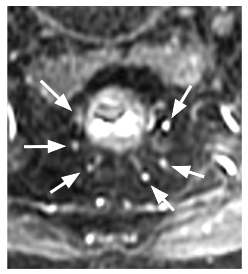
In all cases where interpretation was possible, six terminal branches of the superior rectal artery were identified, localized at 1, 3, 5, 7, 9, and 11 o’clock positions on the conventional dial (Fig. 2). Several anatomical variants of the upper rectal artery branching and its path to the rectal wall were revealed (Fig. 3 and Table 1). The superior rectal artery branches into three, with each branch subsequently splitting. This classical variant accounts for 54% of cases, as shown in Figure 3 (depicting the first, fifth, and sixth variants). Figures 4 and 5 are also included.
Table 1
Variant anatomy of the superior rectal artery division
Type of variant anatomy of division of the superior rectal artery and perforation of the rectal wall | Variant, no. | Incidence, % |
Classic type (2-2-2) | 1 | 34 |
2 branches with trifurcation (3-3) | 2 | 34 |
Vascular arcade (1-5) | 3 | 2 |
Scattered type (1-1-1-1-1-1-1-1) | 4 | 6 |
Classical variant of the conventional dial with a separate arterial trunk at 1 h (2-3-1) | 5 | 14 |
Classical variant with hypoplasia of the paired branch (2-2-2 d) | 6 | 6 |
2 bifurcations +2 separate trunks (2-2-1-1) | 7 | 4 |
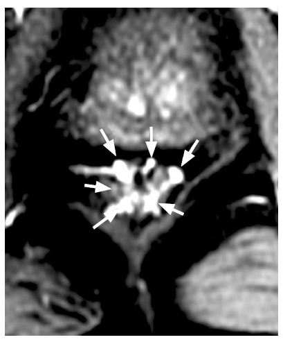
Fig. 2. Magnetic resonance tomography: 6 terminal branches of the superior rectal artery are visualized, located at 1, 3, 5, 7, 9 and 11 o`clock of the conventional dial.
Fig. 3. Variants of the superior rectal artery division.
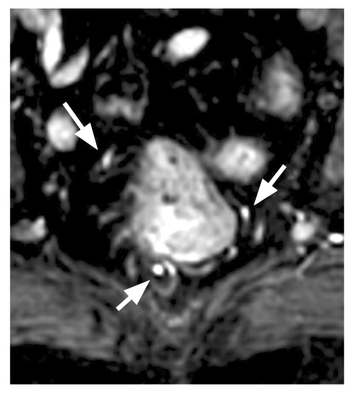
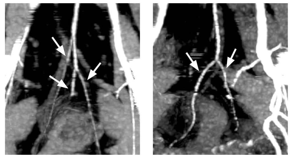
Fig. 4. Three branches of the superior rectal artery at the site of origin (arrows). Classical (type 1) anatomy of the superior rectal artery.
Fig. 5. Three branches of the superior rectal artery before the bifurcation (arrows). Classical (type 1) anatomy of the superior rectal artery.
In 34% of cases, two branches of the upper rectal artery were identified, leading to trifurcation. The posterior branches branched off in the form of arcs to the posterior wall of the intestine at 5 and 7 o’clock of the conventional dial (variant 2). Figure 6 displays the first and second variants. In two observations, a vascular arcade in the form of an arc was found, which fed almost the entire circumference of the intestine, according to the blood supply type of the small intestine (variant 3) (Fig. 7). In six cases, variant 4 (Fig. 8) showed the scattered type, with six separate branches from the superior rectal artery to the intestinal wall, either simultaneously or consecutively. In 4% of cases, variant 7 had four branches of the upper rectal artery, two of which split and two went separately.
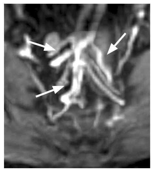
Fig. 6. Trifurcation of the superior rectal artery on the left and bifurcation of the superior rectal artery on the right (arrows). Computed tomography reconstruction.
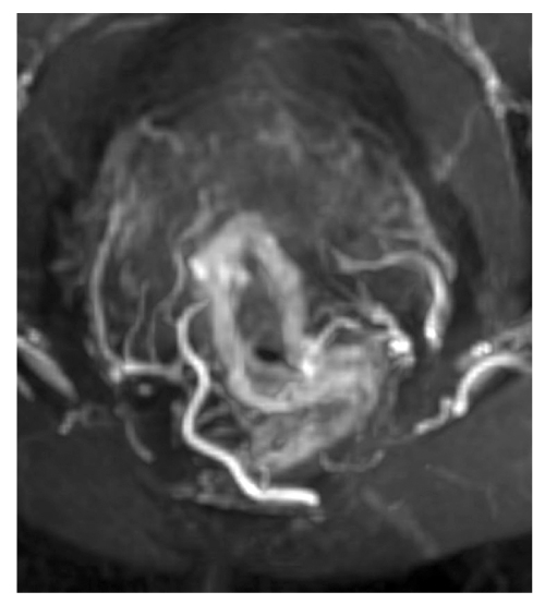
Fig. 7. Arterial arcade of the rectal wall: MIP reconstruction of magnetic resonance tomography.
Fig. 8. Six terminal branches of the superior rectal artery before the insertion into the intestinal wall.
Variants 5 and 6 should be combined with the first type because, initially, there are three branches of the superior rectovaginal artery, which later have their own features, such as hypoplasia or trifurcation, and a separate trunk at 1 h of the conventional dial instead of two bifurcations (3-1 instead of 2-2).
DISCUSSION
The objective of HAL-RAR surgery is to reduce blood flow to the hemorrhoidal nodes, making dearterization critical. A systematic review by Pucher et al. [1], which included 2904 patients, reported recurrence rates ranging from 3% to 60%. This variation can be attributed to the lack of standardization of the operation [2]. In the literature, the technique of dearterization has shown considerable variability. This may be because of the differences in the devices used, presence or absence of mucopexy, number of ligatures applied, and type of suture used. Therefore, standardization of the operation is critical to improve the results.
Traditionally, it has been believed that there are only three hemorrhoidal arteries, located at the 3, 7, and 11-o’clock positions. However, our extensive experience in performing HAL-RAR, with interventions under objective control of ultrasound Dopplerometry, has led us to the discovery that in most cases, there are actually six terminal branches of the superior rectal artery located approximately at 1, 3, 5, 7, 9, and 11 o’clock positions on the conventional dial. Ligation of all vessels should be performed to prevent recurrence of the pathologic process in new locations.
Few studies have been conducted on the variant anatomy of hemorrhoidal arteries. The literature search revealed insufficient research on this topic. Toh et al. [3] have studied140 patients, of whom 53.6% had four hemorrhoidal arteries, with the fourth artery consistently in the left anterior position at the 1 o’clock position. Moreover, 37.1% of the patients had classic variant anatomy with three arteries in typical locations, and 9.3% had 1, 2, 5, or 6 arteries each. Kolbert et al. [4], who included 45 patients, have obtained similar results. The fourth vessel was detected in 67% of the patients, the fifth in 16%, and the sixth in 13%. An experimental study by Schuurman et al. [5] on 10 human cadavers showed that the upper rectal artery divides into 3–5 large branches, each of which gives rise to another 5–7 branches that penetrate the intestinal wall. In another study, Parello et al. [6] have observed that during HAL-RAR surgery, in most cases, six branches of the upper rectal artery are detected.
Studies on arterial anatomy in hemorrhoidal disease in the context of the HAL-RAR technique are limited. No classification of possible anatomical variants is given in any source. This aspect is crucial in standardizing surgery, as the efficiency of ligation of all terminal branches of the superior rectal artery directly affects the frequency of postoperative recurrences.
This study presents an anatomical classification of upper rectal artery division variants in relation to HAL-RAR surgery for the first time.
Limitations of the study
This study had limitations owing to its retrospective nature and the variability in methods (CT, MRI, Doppler) used to detect the anatomy of the terminal branches of the superior rectal artery.
CONCLUSIONS
In conclusion, there are six terminal branches of the superior rectal artery located in the lower ampullary part of the rectum at approximately 1, 3, 5, 7, 9, and 11 o’clock positions on the conventional dial. Although there may be variations in the vascular anatomy of the more proximal branches, these six distal branches are responsible for direct blood supply to the hemorrhoidal nodes. During selective HAL-RAR surgery, six arterial vessels should be explored and ligated.
ADDITIONAL INFORMATION
Funding source. This study was not supported by any external sources of funding.
Competing interests. The authors declare that they have no competing interests.
Authors’ contribution. D.L. Davidovich, P.A. Filisteev, A.K. Burovsky, A.Ya. Solomka, A.M. Tariverdiev, G.S. Tomashevsky, D.V. Razbirin, M.S. Loshenov — processing and discussion of research results, writing the text of the article; A.V. Smirnov — search and analytical work, discussion of research results, writing the text of the article; D.L. Davidovich — management of patient treatment and discussion of the results of the study. The authors made a substantial contribution to the conception of the work, acquisition, analysis, interpretation of data for the work, drafting and revising the work, final approval of the version to be published and agree to be accountable for all aspects of the work.
About the authors
Denis L. Davidovich
Federal Scientific and Clinical Center for Specialized Medical Assistance and Medical Technologies of the Federal Medical Biological Agency
Author for correspondence.
Email: denisdavidovich@mail.ru
ORCID iD: 0000-0002-2406-037X
MD, PhD
Russian Federation, MoscowPavel А. Filisteev
Central Clinical Hospital of the Management Affair of President Russian Federation
Email: pavel.filisteev@mail.ru
ORCID iD: 0009-0008-1024-9922
SPIN-code: 6461-8861
Russian Federation, Moscow
Alexander V. Smirnov
Federal Scientific and Clinical Center for Specialized Medical Assistance and Medical Technologies of the Federal Medical Biological Agency
Email: alvsmirnov@mail.ru
ORCID iD: 0000-0003-3897-8306
SPIN-code: 5619-1151
MD, PhD
Russian Federation, MoscowAndrey K. Burovskiy
Federal Scientific and Clinical Center for Specialized Medical Assistance and Medical Technologies of the Federal Medical Biological Agency
Email: Drun-bur@mail.ru
ORCID iD: 0000-0003-4225-8635
Russian Federation, Moscow
Alexander Y. Solomka
Federal Scientific and Clinical Center for Specialized Medical Assistance and Medical Technologies of the Federal Medical Biological Agency
Email: dr.solomkaa@gmail.com
ORCID iD: 0000-0001-9515-6371
Russian Federation, Moscow
Andrey M. Tariverdiev
Federal Scientific and Clinical Center for Specialized Medical Assistance and Medical Technologies of the Federal Medical Biological Agency
Email: a.tariverdiev@surgeons.ru
ORCID iD: 0009-0009-2038-7293
Russian Federation, Moscow
German S. Tomashevskiy
Federal Scientific and Clinical Center for Specialized Medical Assistance and Medical Technologies of the Federal Medical Biological Agency
Email: german.tomash@mail.ru
ORCID iD: 0000-0002-1108-0443
Russian Federation, Moscow
Dmitry V. Razbirin
Federal Scientific and Clinical Center for Specialized Medical Assistance and Medical Technologies of the Federal Medical Biological Agency
Email: razbirin@gmail.com
ORCID iD: 0000-0002-2644-6153
Russian Federation, Moscow
Maksim S. Loshchenov
Federal Scientific and Clinical Center for Specialized Medical Assistance and Medical Technologies of the Federal Medical Biological Agency
Email: m.s.loschenov@yandex.ru
ORCID iD: 0009-0005-0952-6003
Russian Federation, Moscow
References
- Pucher PH, Sodergren MH, Lord AC, et al. Clinical outcome following Doppler-guided haemorrhoidal artery ligation: A systematic review. Colorectal Dis. 2013;15(6):e284–294. doi: 10.1111/codi.12205
- Шелыгин Ю.А., Фролов С.А., Титов А.Ю., и др. Клинические рекомендации ассоциации колопроктологов России по диагностике и лечению геморроя // Колопроктология. 2019. Т. 18, № 1. С. 7–38. [Shelygin YuA, Frolov SA, Titov AYu, et al. The Russian Association of Coloproctology Clinical Guidelines for the diagnosis and treatment of hemorrhoids. Koloproktologia. 2019;18(1): 7–38. (In Russ).] doi: 10.33878/2073-7556-2019-18-1-7-38
- Toh EL, Ng KH, Eu KW. The fourth branch of the superior rectal artery and its significance in transanal haemorrhoidal dearterialisation. Tech Coloproctol. 2010;14(4):345–348. doi: 10.1007/s10151-010-0645-5
- Kolbert GW, Raulf F. [Evaluation of Longo’s technique for haemorrhoidectomy by doppler ultrasound measurement of the superior rectal artery. (In German)]. Zentralbl Chir. 2002; 127(1):19–21. doi: 10.1055/s-2002-21566
- Schuurman JP, Go PM, Bleys RL. Anatomical branches of the superior rectal artery in the distal rectum. Colorectal Dis. 2009; 11(9):967–971. doi: 10.1111/j.1463-1318.2008.01729.x
- Parello A, Litta F, De Simone V, et al. Haemorrhoidal haemodynamic changes in patients with haemorrhoids treated using Doppler-guided dearterialization. BJS Open. 2021;5(2): zrab012. doi: 10.1093/bjsopen/zrab012
Supplementary files











