Solitary cutaneous neoplasms: analysing the uncertain behaviour with the aid of histopathology
- Authors: Sreedevi L.1, Rao D.E.2, Kumari A.V.1, Niharika M.1, Sravani P.1, Naik V.S.1
-
Affiliations:
- Government Medical College
- Andhra Medical College
- Issue: Vol 15, No 2 (2024)
- Pages: 39-50
- Section: Original Study Articles
- Submitted: 24.01.2024
- Accepted: 11.05.2024
- Published: 15.07.2024
- URL: https://clinpractice.ru/clinpractice/article/view/625962
- DOI: https://doi.org/10.17816/clinpract625962
- ID: 625962
Cite item
Abstract
BACKGROUND: Skin tumours can be classified as either benign or malignant, resulting due to the proliferation of one or more components of the skin. Reportedly, there has been a rise in the prevalence of skin cancer in recent decades, which has led to rely on histological evidence to distinguish between various types of skin cancer.
AIM: This study aims to provide a comprehensive description of the occurrence, symptoms, unpredictable nature, and range of histopathological spectrum in different types of skin tumours.
METHODS: This prospective research was conducted in the outpatient department of the Department of Dermatology at the Government General Hospital in Anantapur from July 2019 to July 2023. Patients who did not provide informed consent, those with infectious or cystic swellings, or those with multiple lesions were excluded from this study. Histopathological confirmation is obtained from all excisional biopsies of single cutaneous swellings, and tumours are classified based on the criteria established by the World Health Organization (WHO).
RESULTS: The study included a total of 123 individual cutaneous tumours, with 98 cases (79.67%) being classified as benign and 25 cases (20.32%) classified as malignant. The age group most affected is adults between the ages of 26 and 44, with a prevalence rate of 31.7%. Following closely behind are middle-aged individuals, with a prevalence rate of 30.08%. The males constitute 46.34% (57 cases) and the females constitutes 53.65% (66 cases). The extremities were the most frequently affected site, accounting for 53 cases (43.08%), followed by the head and neck region (29.26%). Based on the WHO classification of skin tumours, there were 42 cases (34.14%) of subcutaneous tissue tumours and 31 cases (25.20%) of soft tissue tumours. The prevalence of keratinocyte tumours is 26 (21.13%), whereas appendageal tumours account for 16 (13%) of cases. Melanocytic and neural tumours are the least prevalent, each representing 4 (3.25%) of cases. The majority of benign tumours arise from the subcutaneous tissues, whereas malignant tumours grow from keratinocytic differentiation.
CONCLUSION: Our study revealed that the majority of tumours displayed ambiguous clinical behaviour, which resulted in erroneous diagnoses. Hence confirmation by histopathology is crucial for accurate diagnosis and prompt management.
Full Text
INTRODUCTION
The skin is a complex organ that regulates many responses to our environment through precise cellular and molecular interactions [1]. It consists of many components derived from mesoderm and ectoderm. Most of these individual components have the ability to induce tumours, resulting in a greater diversity of skin tumours compared to other organs [2].
The range of pathological conditions that constitute cutaneous neoplasms is highly varied. They can be classified into various categories, each of which signifies a unique biological behaviour. These are further made into three broad divisions: i) common ones, which are easily recognised due to their size, colour, distribution, and characteristic site of presentation; ii) rarer ones; and iii) those that mimic other disorders and are difficult to diagnose. The latter group is primarily diagnosed using histopathology, immunohistochemistry or other advanced diagnostic methods [3].
The clinical presentation of these tumours might emerge as either papules or nodules. Therefore, a diagnosis cannot be considered final only based on clinical evidence; histological confirmation is essential to establish a clear diagnosis. Diagnosing it can be challenging at times owing to its complex and diverse histologic nature, complex nomenclature, and multiple classifications. One of these classifications is the WHO classification of Skin tumours, which is widely accepted and adopted [3, 4]. The tumours are classified primarily on their differentiation into tumours of keratinocytic origin, tumours of appendageal origin, which are further classified into apocrine, eccrine, and sebaceous tumours, and melanocytic tumours, tumours of soft tissue, neural tissue growths, and subcutaneous tumours [3, 4]. Hence, it is essential to obtain a histological diagnosis in order to prevent overlooking malignancies and to enable correct intervention and subsequent management. This study attempted to offer a comprehensive description of the epidemiology, clinical appearance, uncertain behaviours, and histological spectrum of various types of skin tumours.
METHODS
The present study is a prospective study conducted over a period of four years from July 2019 to July 2023 in the outpatient department of dermatology, venereology & leprology, Government general hospital, Anantapur. We have evaluated 123 patients having solitary cutaneous neoplasms irrespective of age, sex and location of tumour. Informed consent was obtained from each patient prior to intervention. Cystic and infectious swellings and patients having multiple lesions, and patients who didn’t give informed consent to get enrolled in the study were excluded from our study. Complete clinical histories were obtained and documented for each patient, including age, sex, length of illness and lesion location. Each patient underwent a thorough clinical examination and had a clinical photograph taken. All the necessary baseline routine investigations were done and excisional biopsies of these lesions were sent for histopathological confirmation and tumours were categorised based on WHO classification of Skin tumours. Immunohistochemistry and special staining were done wherever necessary.
RESULTS
This study has a total of 123 solitary cutaneous tumours. The tumours were observed in all age groups; however, majority were affecting adult age group i.e. 26–44 years (31.7%) followed by middle aged adults (30.08%), then old aged (26.01%), followed by young adults, adolescents and children with each forming 4.06% respectively. As the age increases, the tendency for malignancies also increased in our study with highest incidence in age ≥60 years (Table 1) [5].
Table 1. Clinico-demographic characteristics of the study
No of patients (n) | Percentage (%) | |||
Age* | 0–12 years | 05 | 4.06 | |
13–18 years | 05 | 4.06 | ||
19–25 years | 05 | 4.06 | ||
26–44 years | 39 | 31.7 | ||
45–59 years | 37 | 30.08 | ||
≥60 years | 32 | 26.01 | ||
Sex | Males | 57 | 46.34 | |
Females | 66 | 53.65 | ||
Tumor Site | Extremities | benign | 45 | 84.90 |
Malignant | 08 | 15.09 | ||
Head and neck | benign | 25 | 69.44 | |
malignant | 11 | 30.55 | ||
Trunk | benign | 26 | 92.85 | |
malignant | 02 | 7.14 | ||
Genitals | benign | 02 | 33.33 | |
malignant | 04 | 66.66 | ||
Grading of tumours | Benign | 98 | 79.67 | |
Malignant | 25 | 20.32 | ||
*According to WHO classification of age group 2015 [5] | ||||
Out of 123 cases studied, 57 were male (46.34) and 66 (53.65%) were female patients with male to female ratio of 1:1.15. Malignancies were commonly detected in males with Male: Female ratio of malignancy being 2.12:1 (Table 1).
Majority of the tumours were localised to extremities (43.08%) later to head and neck region (29.26%), then by trunk (22.76%) and least involved site in our study was genitals with 4.87% involvement. In our study, Benign lesions were mostly seen in extremities whereas Malignancies were commonly noted in head and neck region (Table 1).
On histopathological evaluation, 98 cases (79.67%) were diagnosed to be benign and 25 cases (20.32%) as malignant.
Majority of the tumours were from Subcutaneous tissue (42 cases, 34.14%) followed by soft tissue tumours (31 cases, 25.2%), then keratinocytic tumours (26 cases, 21.13%) followed by appendageal tumours (16 cases, 13%), and least encountered tumours were from melanocytic and neural differentiation (4 cases each, 3.25% each) (Fig. 1).
Fig. 1. Bar diagram showing number of patients based on tumour origin according to WHO classification.
Most common benign tumour in our study was lipoma with total of 42 cases (42.85%) followed by soft tissue tumours (30.61%) with Haemangiomas (11.22%) being commonest among them, then soft fibroma (9.18%) and then pyogenic granuloma (7.14%) (Fig. 2) majorly. Third most common tumours were appendageal tumours (13.26%) with nodular hidradenoma and nevus sebaceous (Fig. 3) forming 3.06% each, being the common benign appendageal lesions. Fourthly, keratinocytic tumours were commonly observed, with majorly keratoacanthoma cases (3.06%) (Fig. 4). Next were the Neural tumours with two cases each of neurofibroma and schwannoma (2.04% each). The least common benign tumour in our study was from melanocytic differentiation with one case of congenital melanocytic nevus (1.02%) (Fig. 5–8).
Fig. 2. Pyogenic granuloma: (a) reddish pink small nodule over right side of lower neck (b) nodular proliferation of blood vessels with RBC (H &E ×400).
Fig. 3. Nevus sebaceous: (a) hyperpigmented plaque with verrucous surface noted over scalp with few hairs (b) epidermal papillomatosis, arrow denotes mature sebaceous lobules, no hair shaft (H &E ×400).
Fig. 4. Keratoacanthoma: (a) flesh coloured dome shaped nodule with central keratin crater (b) keratin filled crater (c) dyskeratotic cells are conspicuous (H &E ×400).
Fig. 5. Pie chart showing percentage of Benign tumours, %.
Fig. 6. Melanoacanthoma: (a) hyperpigmented hyperkeratotic plaque over right side of back mimicking melanoma (b) Tumour cells arranged in papillae with central melanin deposition and extracellular melanin (H &E ×400).
Fig. 7. Pilomatricoma: (a) hemispherical hard nodular swelling noted over right forearm mimicking calcinosis cutis (b) green arrows denotes characteristic ghost cells (H &E ×400).
Fig. 8. Dermatofibroma: (a) hyperpigmented firm to hard nodule over left hand mimicking calcinosis cutis (b) red arrows denotes numerous elongated spindle cells proliferation (H &E ×400).
Majority of the malignant tumours were from keratinocytic differentiation and common malignancy was Squamous cell carcinoma (SCC) (Fig. 9). Out of the total 25 malignant tumours, 14 cases were SCC which made a huge percentage of 56%, followed by Basal cell carcinoma (12%) (Fig. 10) and Malignant melanoma (12%) (Fig. 11) and followed by Bowens disease (Fig. 12), Malignant Proliferating Trichilemmal tumour (Fig. 13), Cystic Sebaceous Tumour with Basal cell carcinoma transformation, Pigmented Sebaceous carcinoma and Malignant Giant cell tumour accounting to a 4% of total malignant tumours respectively. Malignancies were commonly seen in elderly males, majorly involving head and neck region (Fig. 14).
Fig. 9. Squamous cell carcinoma — verrucous type: (a) solitary ill-defined flesh coloured verrucous plaque with crusting (b) HPE image showing papillary growth denoted by red arrows, dysplastic epithelium denoted by red asterisk and keratin pearls denoted by red square (H &E ×400).
Fig. 10. Basal cell carcinoma: (a) black coloured irregular shaped plaque below the right eye (b) palisading of atypical basaloid cells separated by fibrous stroma denoted by black arrow and have retraction artifacts denoted by black circle (H &E ×400).
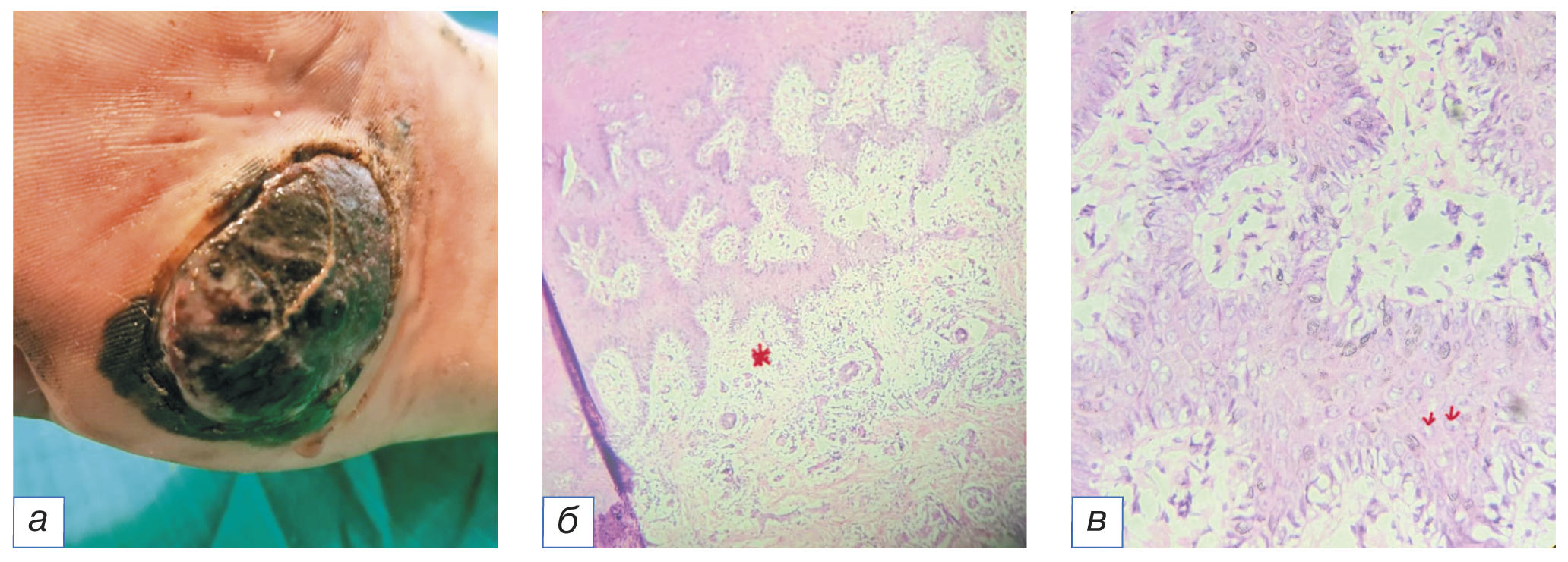
Fig. 11. Malignant melanoma: (a) hyperpigmented hyperkeratotic plaque over left sole (b) infiltration of tumour cells into dermis denoted by red asterisk (c) prominent eosinophilic nucleoli denoted by red arrows (H &E ×400).
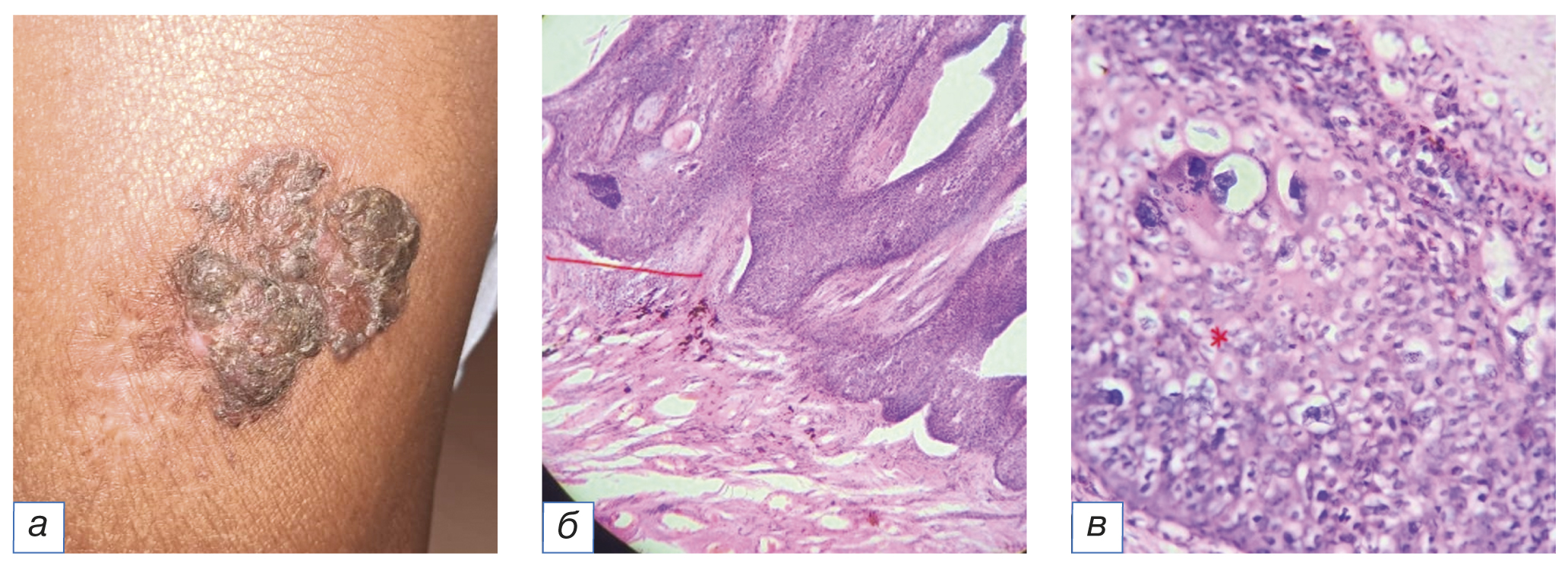
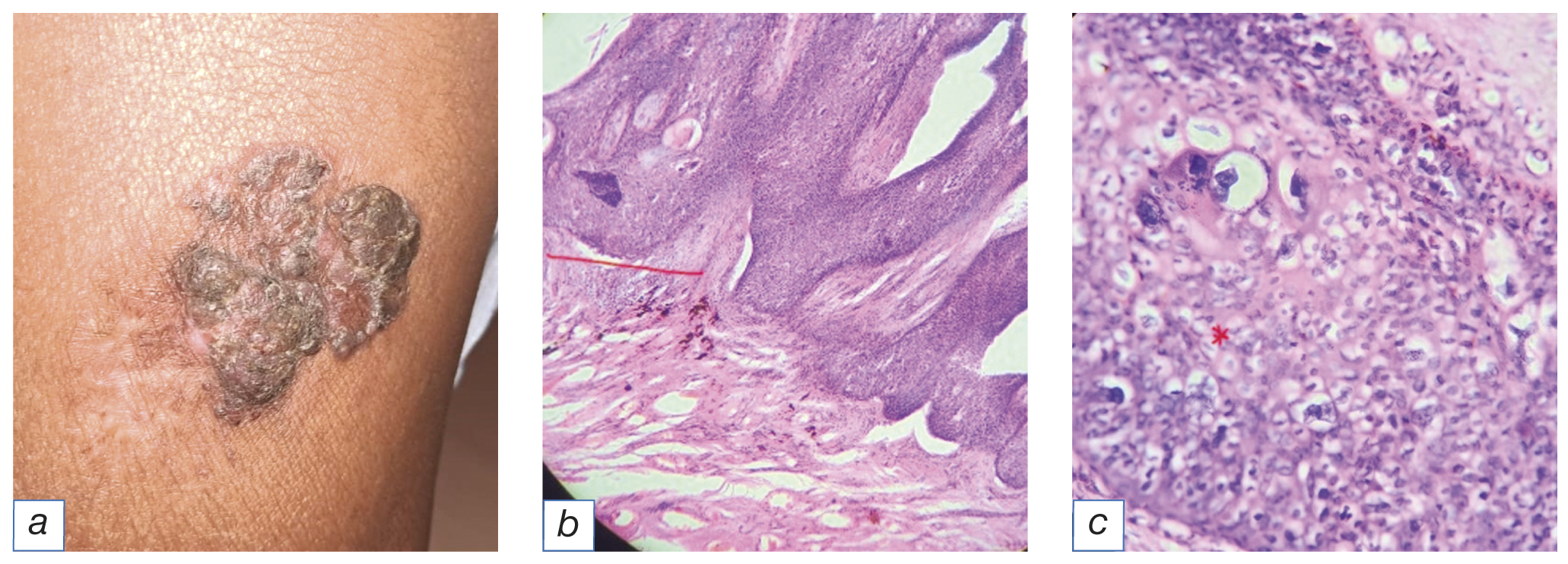
Fig. 12. Bowens disease: (a) brownish black plaque with rough surface noted over left thigh mimicking lupus vulgaris (b) hyperplastic epidermis with severe dysplasia but not infiltrating dermis denoted by red asterisk (c) (H &E ×400).
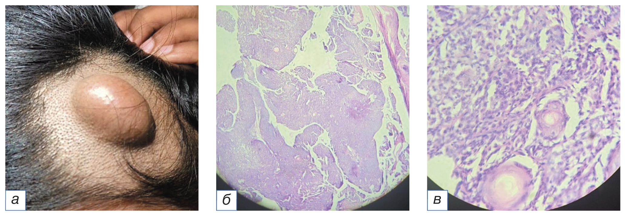
Fig. 13. Proliferating trichilemmal tumour: (a) smooth surfaced swelling over right frontal side of scalp mimicking sebaceous cyst (b) Proliferating lobular growth (c) severe keratinocytic nuclear atypia with cSCC transformation (H &E ×400).
Fig. 14. Pie chart showing percentage of malignant tumours, %.
DISCUSSION
The rising incidence rate of skin cancers in the recent decade represents a growing health problem, due both to tumour-associated morbidity and mortality and to the economic burden related to monitoring and treatment [6, 7]. This emphasizes the need for dermatologists to rely on simple, cost effective and gold standard diagnostic method of histopathological examination to distingish the tumours. While the routine practice of dermatopathology relies predominantly on histologic findings and clinical context, immunohistochemistry (IHC) will remain an important adjunct tool for the diagnosis of difficult cases, tumour staging and identification of genetic variants of therapeutic significance [8]. The utility of IHC is broad across cutaneous neoplasms but becomes particularly powerful when ‘extracutaneous’ lesions, such as metastatic carcinoma, soft tissue neoplasms and hematologic malignancies enter the differential. In addition to the many established IHC markers currently in use, new markers continue to emerge, although their general acceptance and routine application requires robust validation. The recent applications of novel IHC markers in melanoma diagnosis including genetic mutation status markers [e.g. BRAF (v-raf murine sarcoma viral oncogene homolog B) and NRAS (neuroblastoma RAS viral oncogene homolog)] and an epigenetic alteration marker (e.g. 5-hydroxymethylcytosine). Over reliance upon or uninformed utilization of biomarkers, however, can be treacherous due to the diagnostic pitfalls they can create [8].
UV radiation is the most significant risk factor for cutaneous Squamous cell carcinoma (cSCC), with the majority of Non-Melanoma Skin cancers (NMSCs) located on sun-exposed areas of the body, particularly the head and neck (70%). cSCC accounts for 20% of all head and neck malignancies [8]. Apart from IHC biomarkers, circulating tumour cells (CTCs) are important to examine real-time detection of the tumour, tumour recurrence, tumour progression, response to therapy, and assessment of the tumour profile without the need for repeated biopsies [9]. The detection of CTCs and circulating tumour micro emboli (CTMs) in cSCC can be analysed using IsofluxTM system. To understand their prognostic significance, extensive workup is required [10].
In the last few years, with advances in technologies, new in vivo and ex vivo diagnostic techniques have been developed in an attempt to obtain an ever more precise and early diagnosis [6, 7]. Some of these are now widely used, like digital photography, 2-Dimensional and 3-Dimensional total-body photography, and dermoscopy. While few lastest techniques, like optical coherence tomography and reflectance confocal microscopy, are only available in a few academic and referral skin cancer centers because they are expensive and need expertise [11].
When considering dermatological diagnostics, special attention should be paid to machine learning and artificial intelligence (AI) — a term that refers to the human-like intelligence exhibited by trained robots [12]. When making decisions, clinicians can benefit from these tools. Both shallow and deep AI approaches have been applied to the field of tumor diagnoses. They involve training computer algorithms to learn from data gathered by preset features using deep or shallow multilayer neural networks [13].
In the present study, total of 123 cases analysed, out of which 98 cases (79.67%) were benign and 25 cases (20.32%) were malignant as seen in Patel N et al [14], Goel P et al [15] and Shrivastava V et al [16] who reported 90.7%, 53% and 63.84% of benign tumours and 9.29%, 47% and 36.15% of malignant tumours respectively (Table 2).
Table 2. Comparative analysis of different parameters with studies of Patel N et al [13], Goel P et al [14] and Shrivastava V et al [15]
Patel N et al [13] | Goel P et al [14] | Shrivastava V et al [15] | Present study | |
Number of cases | 249 | 232 | 130 | 123 |
M:F ratio | 1.28:1 | 1.15:1 | 1.24:1 | 1:1.15 |
Age distribution of malignancies | Elderly | Elderly | Elderly | elderly |
Common Site | Head and neck | Head and neck | Head and neck | Extremities |
Benign tumours | 82.32% | 53% | 63.84% | 79.67% |
Malignant tumours | 8.43% | 47% | 36.15% | 20.32% |
Commonly observed benign tumours | Keratinocytic (49.27%) | Keratinocytic (46.3%) | Keratinocytic (42.3%) | Subcutaneous (34.14%) |
Commonly observed malignant tumour | Keratinocytic (95.23%) | Keratinocytic (79.8%) | Keratinocytic (54.54%) | Keratinocytic (72%) |
Common malignant tumour | BCC (57.14%) | BCC (33.3%) | SCC (27.65%) | SCC (56%) |
The peak incidence was in adult age group in the present study in concordance with the Patel N et al [14], Goel P et al [15] and Shrivastava V et al [16]. Male to female ratio was 1:1.15 in the current study. Patel N et al [14] found a male to female ratio of 1.28 :1, Goel P et al [15] reported it to be 1.15:1 and Shrivastava V et al [16] showed similar results of 1.24:1. Our study reported a major involvement of extremities i.e. 43.08%, which wasn’t consistent with the findings of Patel N et al [14], Goel P et al [15] and Shrivastava V et al [16] who majorly had head and neck involvement (Table 2).
The studies, Patel N et al [14], Goel P et al [15] and Shrivastava V et al [16] reported that they had benign keratinocytic tumours as the most common benign tumours with 49.27%, 46.3% and 42.3% respectively. Where in this study, benign appendageal tumours were more (59%) when compared to benign keratinocytic tumours constituting a percent of 36.36%. (Table 2).
Malignant tumours were seen in elderly, males involving head and neck region alike the other three studies. Most common malignant tumour was from keratinocytic differentiation (75%), like Patel N et al [14] (95.23%), Goel P et al [15] (79.8%) and Shrivastava V et al [16] (54.45%) followed by melanocytic and appendageal tumours. Out of all malignant tumours, the frequency of squamous cell carcinoma was highest (56%) in our study similar to report by Shrivastava V et al [16], but in the study done by Patel N et al [14] and Goel P et al [15], Basal cell carcinoma was common (Table 2).
Skin appendageal tumours originate from undifferentiated pluripotent stem cells, which eventually differentiate into particular tumours that are impacted by local vascularity, genetics, and the microenvironment of the dermis and epidermis. They fall into four main categories: tumours that have differentiated into sebaceous glands, eccrine or apocrine glands, or hair follicles. The histopathological confirmation remains the gold standard for their diagnosis [17]. The importance of diagnosing appendageal tumours lies in the fact that, in some instances the presence of these tumours may lead to recognition of a genetic syndromes, like Muir-Torre syndrome associated with sebaceous tumours, Cowden’s syndrome with trichilemmomas, etc [18]. In the current study, appendageal tumours constituted 13%. Majorly tumours were sweat gland originated (43.75%), followed by sebaceous (31.25%) and then follicular tumours (25%) wherein, carcinomas were majorly from sebaceous origin. Similarly, Sharma N et al [19] also reported similar findings like that of our study (Table 3). Whereas, the studies reported by Sharma A et al [20], Pappala P et al [21], Pujani M et al [22], Rajalakshmi V et al [23], and Nair PS et al [24] differed in reporting sweat gland tumours as the majority, followed by follicular origin and later by sebaceous differentiation (Table 3).
Table 3. Comparative analysis of frequency of skin appendageal tumours
Sweat gland tumours (%) | Follicular tumours (%) | Sebaceous gland tumours (%) | |
Sharma N et al [19] | 49.3 | 26.5 | 29 |
Sharma A et al [20] | 42.86 | 35.71 | 21.43 |
Pappala P et al [21] | 71.42 | 28.57 | - |
Pujani M et al [22] | 56 | 28 | 16 |
Rajalakshmi V et al [23] | 52.38 | 33.33 | 4.76 |
Nair PS et al [24] | 57.57 | 36.36 | 6.06 |
Present study | 43.75 | 25 | 31.25 |
CONCLUSION
Most skin tumours are relatively uncommonly encountered in routine practice and cause a diagnostic pitfall. The disparities in skin types, geographic differences, occupational exposure, sun exposure and skin protection behaviour, as well as variations in disease awareness and surveillance could all contribute to different trends and rates of skin cancer. It is clinically difficult to differentiate between benign and malignant neoplasms when they appear on the skin and histopathological examination is frequently required to establish a definitive diagnosis, which is supported by Immunohistochemistry, CTCs, CTMs, digital photography, Two-dimensional and three-dimensional total-body photography, dermoscopy, optical coherence tomography, confocal reflectance microscopy and artificial intelligence.
In the current study, the majority of tumours were found to be benign (79.27%), while malignant tumours (20.32%) were less frequent, only quarter as common. We have observed a slight female preponderance that is attributable to inclusion of subcutaneous tumours in our study which usually predominate in females. It was observed that malignant tumours were most commonly found in elderly male patients, mainly in the head and neck region. This could be due to prolonged exposure to sunlight during agricultural field work and daily wage work. The tumours we had seen, appeared to have morphological similarities with a number of other tumours, making them challenging to categorize. Since the most of them exhibited ambiguous clinical behaviour, a histopathological examination remains the gold standard for early and accurate diagnosis.
ADDITIONAL INFORMATION
Funding source. This article was not supported by any external sources of funding.
Competing interests. All authors declare that they have no competing interests.
Authors’ contribution. The authors made a substantial contribution to the conception of the work, acquisition, analysis, interpretation of data for the work, drafting and revising the work, final approval of the version to be published and agree to be accountable for all aspects of the work.
About the authors
Lekkala Sreedevi
Government Medical College
Author for correspondence.
Email: drsreelekkala@gmail.com
ORCID iD: 0009-0006-3239-320X
Associate Professor of DVL
India, Anantapur, Andhra PradeshD. Edukondala Rao
Andhra Medical College
Email: dhanyasiekora39@gmail.com
ORCID iD: 0009-0002-2440-8994
Associate Professor of DVL
India, Visakhapatnam, Andhra PradeshA. Vijaya Kumari
Government Medical College
Email: drvijayakabburam@gmail.com
Associate Professor of DVL
India, Anantapur, Andhra PradeshMachani Niharika
Government Medical College
Email: harikamachani@gmail.com
ORCID iD: 0009-0009-7709-8302
Junior Resident of DVL
India, Anantapur, Andhra PradeshP. Sravani
Government Medical College
Email: chenna2593@gmail.com
ORCID iD: 0000-0001-8859-6758
Associate Professor of Pathology
India, Anantapur, Andhra PradeshV. Sivasankara Naik
Government Medical College
Email: vssnaik73@gmail.com
ORCID iD: 0009-0001-5792-5456
Professor & HOD of Pathology
India, Anantapur, Andhra PradeshReferences
- Breathnach SM. Drug reactions. In: Champion RH, Burton JL, Burns T, Breathnach S, editor. Rook/Wilkinson/ebling: Textbook of dermatology (Four-Volume Set). 6th edn. London: Blackwell Science; 1998. P. 3349–3517.
- Carrow A, Brownstein BR. Tumors of skin. In: Moschella SL, Hurley HJ, editor. Dermatology. 2nd edn. WB Saunders Company, Philadelphia; 1996. 1721 р.
- Khandpur S, Ramam M. Skin tumours. J Cutan Aesthet Surg. 2012;5(3):159–162. doi: 10.4103/0974-2077.101368
- Elder DE, Massi D, Scolyer RA, Willemze R, editor. WHO Classification of Skin Tumours. Vol. 11. 4th edition. WHO Classification of Tumours; 2018.
- Dyussenbayev A. Age periods of human life. Adv Social Sci Res J. 2017;4(6):258–263. doi: 10.14738/assrj.46.2924
- Schneider SL, Kholi I, Hamzavi IH, et al. Emerging imaging technologies in dermatology: Part II: Basic prinicples. J Am Acad Dermatol. 2019;80(4):1121–1131. doi: 10.1016/j.jaad.2018.11.043
- Schneider SL, Kholi I, Hamzavi IH, et al. Emerging imaging technologies in dermatology. Part I: Applications and limitations. J Am Acad Dermatol. 2019;80(4):1114–1120. doi: 10.1016/j.jaad.2018.11.042
- Compton LA, Murphy GF, Lian CG. Diagnostic Immunohistochemistry in Cutaneous Neoplasia: An update. Dermatopathology (Basel). 2015;2(1):15–42. doi: 10.1159/000377698
- Morosin T, Ashford B, Ranson M, et al. Circulating tumour cells in regionally metastatic cutaneous squamous cell carcinoma: A pilot study. Oncotarget. 2016;7:47111–47115. doi: 10.18632/oncotarget.9946
- Lianidou E, Hoon D. Circulating tumor cells and circulating tumor DNA. In: Nader R, Horrath A, Wittwer C, editors. Tietz textbook of clinical chemistry and molecular diagnostics. 6th ed. Elsevier Ltd., Amsterdam, Netherlands; 2017. P. 1111–1144.
- Soglia S, Pérez-Anker J, Lobos Guede N, et al. Diagnostics using non-invasive technologies in dermatological oncology. Cancers (Basel). 2022;14(23):5886. EDN: CWEZMR doi: 10.3390/cancers14235886
- Murphy R. Introduction to AI robotics, second edition. MIT Press, Cambridge, MA, USA; 2019. 648 р.
- Mitra B, Craswell N. An introduction to neural information retrieval. Now Publishers Inc., Boston, MA, USA; 2018. P. 1–126. doi: 10.1561/1500000061
- Patel N, Suthar T, Suthar H, Arora A. A study of tumours, tumour like lesions and cysts of epidermis and its appendages. Ind J Clin Exp Dermatol. 2018;4(3):194–200. doi: 10.18231/2581-4729.2018.0042
- Goel P, Kaur S, Garg A, et al. A clinicopathological study of skin tumors from a tertiary care centre in North India. Indian Dermatol Online J. 2021;12(1):66–71. doi: 10.4103/idoj.IDOJ_257_20
- Shrivastava V, Tangde A, Joshi A, Bindu R. Clinicopathological study of skin tumours. Int J Res Med Sci. 2019;7(5):1712–1719. doi: 10.18203/2320-6012.ijrms20191664
- Alsaad KO, Obaidat NA, Ghazarian D. Skin adnexal neoplasms. Part 1: An approach to tumours of the pilosebaceous unit. J Clin Patholog. 2007;60(2):129–144. doi: 10.1136/jcp.2006.040337
- Mahajan S, Mahaja A, Chopra M. A Retrospective study of morphology and histology of cutaneous appendageal tumours from Northern India. Res J Med Sci. 2024;18:114–119. doi: 10.59218/makrjms.2024.6.114.119
- Sharma N, Nakra T, Agarwal S, et al. Cutaneous adnexal tumours: A study of 395 cases from a tertiary care hospital. Indian J Dermatol. 2023;68(1):41–44. doi: 10.4103/ijd.ijd_586_22
- Sharma A, Paricharak DG, Nigam JS, et al. Histopathological study of skin adnexal tumours-institutional study in South India. J Skin Cancer. 2014;2014:543756. doi: 10.1155/2014/543756
- Pappala P, Raksha S, Vasundara G, et al. Histopathological study of skin tumours. Indian J Pathol Oncol. 2019;6(4):543–547. doi: 10.18231/j.ijpo.2019.106
- Pujani M, Madaan GB, Jairajpuri ZS, et al. Adnexal tumors of skin: An experience at a tertiary care center at Delhi. Ann Med Health Sci Res. 2016;6(5):280–285. doi: 10.4103/amhsr.amhsr_339_14
- Rajalakshmi V, Selvakumar S, Rajeswari K, et al. Case series of skin adnexal tumours. J Clin Diagn Res. 2014;8(9):FC07-10. doi: 10.7860/JCDR/2014/8710.4844
- Nair PS. A clinicopathologic study of skin appendageal tumors. Indian J Dermatol Venereol Leprol. 2008;74(5):550. doi: 10.4103/0378-6323.44339
Supplementary files

















