Treatment of a patient with massive osteochondral exostosis of the radial neck: clinical case
- Authors: Vasilyev I.A.1,2, Maysigov M.N.1, Logvinov A.N.1, Frolov A.V.1,2, Bessonov D.A.1,2, Ilyin D.O.1,2, Korolev A.V.3,2
-
Affiliations:
- European Clinic of Sports Traumatology and Orthopaedics (ECSTO)
- Peoples' Friendship University of Russia
- European Clinic of Sports Traumatology and Orthopedics (ECSTO)
- Issue: Vol 15, No 2 (2024)
- Pages: 81-88
- Section: Case reports
- Submitted: 31.01.2024
- Accepted: 24.03.2024
- Published: 15.07.2024
- URL: https://clinpractice.ru/clinpractice/article/view/626315
- DOI: https://doi.org/10.17816/clinpract626315
- ID: 626315
Cite item
Full Text
Abstract
BACKGROUND: Osteochondroma (osteochondral exostosis) is the most common benign neoplasm of bone tissue, accounting for up to 9% of all bone tumors. Possible manifestations of a single osteochondral exostosis are pain, a limited range of motion, compression of vascular or neural structures, and crepitus. The literature describes several clinical cases of the treatment of patients with osteochondral exostosis of the proximal radius. A distinguishing feature of the proximal radius’s anatomy is the close location of such anatomical structures as the posterior interosseous nerve, the enthesis of the distal biceps tendon, and the proximal radioulnar joint.
CLINICAL CASE DESCRIPTION: This clinical case for the first time describes osteochondroma of the radial neck, which causes supination deficiency.
CONCLUSION: The surgical treatment allowed us to achieve excellent treatment results with the complete restoration of the function and range of motion in the elbow joint. The key aspect is the knowledge of this segment’s anatomy.
Full Text
ОБОСНОВАНИЕ
Остеохондрома (костно-хрящевой экзостоз) является наиболее распространённой опухолью среди доброкачественных новообразований костной ткани (20–50%) и составляет до 9% среди всех костных опухолей. Тем не менее реальная частота данной нозологии, вероятно, выше в связи с недиагностированными остеохондромами без клинических проявлений. Большинство костно-хрящевых экзостозов диагностируются в возрасте до 20 лет. Остеохондромы в 3 раза чаще встречаются у мужчин, чем у женщин [1, 2].
В большинстве случаев остеохондрома представляет собой единичное новообразование, но в 15% случаев возможно наличие множественных экзостозов. До 50% диагностируемых остеохондром локализуются в области коленного сустава. Дистальный отдел бедренной кости поражается примерно в 30% случаев, проксимальный отдел большеберцовой кости — в 15–20%. Часто костно-хрящевые экзостозы локализуются на плечевой кости (10–20%), встречаемость на костях кистей и стоп достигает 10%. Плоские кости скелета (акромиальный конец ключицы, лопатка, рёбра, кости таза) поражаются менее чем в 5% случаев [1]. Как правило, остехондромы первоначально локализуются в метафизах длинных костей конечностей, однако по мере роста скелета смещаются в сторону диафиза. Ось роста остехондромы направлена от ближайшего сустава.
Единичные остеохондромы редко встречаются в позвонках. В то же время у пациентов с множественным наследственным остеохондроматозом до 68% костно-хрящевых экзостозов располагается в области позвоночного столба, с наиболее распространённой (до 50%) локализацией в шейном отделе позвоночника [1, 3].
В доступной литературе описаны единичные случаи остеохондромы проксимального отдела лучевой кости. Особенностью новообразований данной локализации является анатомическая близость проксимального лучелоктевого сочленения, заднего межкостного нерва и дистального сухожилия двуглавой мышцы плеча. Задний межкостный нерв иннервирует мышцы-разгибатели пальцев и кисти. Это глубокая ветвь лучевого нерва, которая отделяется от общего ствола по выходу его из спирального канала плеча. Нерв прободает межкостную мембрану предплечья спереди назад и далее располагается вдоль неё, отдавая моторные ветви мышцам. Важно также учитывать, что расположение нерва относительно лучевой кости варьирует в зависимости от положения предплечья, что следует учитывать при планировании доступа.
Одним из наиболее удобных доступов к проксимальному отделу лучевой кости является латеральный доступ [4]. Отношение заднего межкостного нерва к проксимальному отделу лучевой кости в процессе выполнения латерального доступа представляет практический интерес, [5]. В положении пронации предплечья нерв проходит на расстоянии 29,2±6,2 мм дистальнее бугристости лучевой кости, но в то же время в положении супинации располагается дистальнее бугристости лишь на 11,0±2,8 мм [6]. Таким образом, при планировании латерального доступа следует пронировать предплечье, чтобы максимально отдалить задний межкостный нерв от места разреза. Разрез кожи проводится по линии, соединяющей проекцию наружного надмыщелка плеча и диафиз лучевой кости. Общее сухожилие разгибателей может быть рассечено вдоль [7] — таким образом визуализируются лучелоктевое сочленение, головка и шейка лучевой кости.
Существует ряд осложнений, связанных с наличием остеохондром, таких как компрессия расположенных рядом структур, переломы костно-хрящевых экзостозов, малигнизация. Риск малигнизации единичной остеохондромы составляет менее 1% [8]. Один из признаков, по которому можно заподозрить развитие вторичной хондросаркомы в области хрящевой шапочки остеохондромы, это увеличение толщины хряща на верхушке экзостоза, который в большинстве случаев составляет от 5 до 15 мм. S.A. Bernard с соавт. [9] в исследовании 67 остеохондром и 34 вторичных хондросарком отметили, что толщина хрящевой шапочки более 20 мм указывает на наличие вторичной хондросаркомы. Для остеохондром характерны несколько патогномоничных признаков, а именно наличие кортикального слоя костной ткани с хрящевым покровом на верхушке и сообщение костно-мозгового канала экзостоза с костью, на которой располагается новообразование.
В данной работе мы впервые представляем успешный опыт лечения пациента с костно-хрящевым экзостозом шейки лучевой кости, обусловливающим дефицит ротационных движений.
КЛИНИЧЕСКИЙ ПРИМЕР
О пациенте
Пациент К., 41 год, обратился в Европейскую клинику спортивной травматологии и ортопедии с жалобами на появление новообразования в проксимальном отделе левого предплечья и ограничение амплитуды движений в локтевом суставе. Пациент сообщил, что жалобы нарастали постепенно, ограничение ротационных движений предплечья прогрессировало в течение последних полутора лет.
При клиническом осмотре обращала на себя деформация по переднелатеральной поверхности предплечья. Признаков нестабильности связочного аппарата не выявлено, сила мышц сохранена. У пациента отмечалась полная амплитуда сгибания/разгибания и пронации в локтевом суставе и ограничение супинации до 40 градусов (рис. 1). На момент обследования нейроциркуляторных нарушений в верхней конечности не выявлено.
Рис. 1. Оценка амплитуды ротационных движений в локтевых суставах: отмечается дефицит супинации в левом локтевом суставе
Fig. 1. Assessment of the amplitude of rotation in elbow joints: there is a deficiency of supination in the left elbow joint
Физикальная диагностика
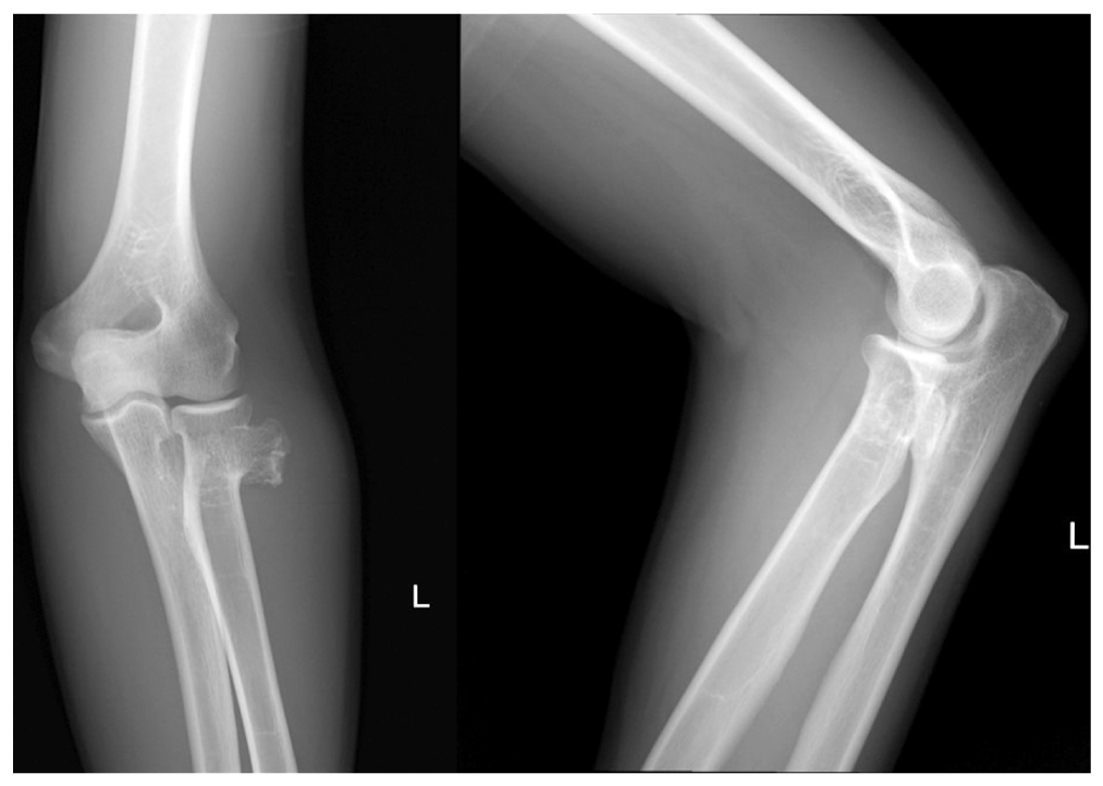
По данным рентгенографии локтевого сустава визуализируется новообразование в области шейки лучевой кости (рис. 2). Для уточнения характера новообразования и его отношения с параартикулярными структурами принято решение о выполнении компьютерной (КТ) и магнитно-резонансной (МРТ) томографии локтевого сустава.
Рис. 2. Рентгенограммы левого локтевого сустава в прямой переднезадней и боковой проекциях: визуализируется новообразование костной плотности в области шейки лучевой кости
Fig. 2. An X-ray image of the left elbow joint in the antero-posteral and lateral views: a bone density formation is visualized in the area of the radial neck
По данным КТ локтевого сустава определены расположение новообразования (по заднелатеральной поверхности шейки лучевой кости) и его размеры (19×28×31 мм) (рис. 3). С помощью КТ установлено также, что губчатая кость в составе экзостоза в области основания сообщается с губчатой костью шейки лучевой кости, что является патогномоничным признаком остеохондромы.
Рис. 3. Компьютерная томография левого локтевого сустава, фронтальная плоскость (а): стрелкой указано сообщение губчатой кости новообразования и шейки лучевой кости. 3D-реконструкция левого локтевого сустава по данным компьютерной томографии (б)
Fig. 3. Computed tomography of the left elbow joint, frontal plane (а): the arrow indicates the connection between the cancellous bone of the neoplasm and the neck of the radius. 3D reconstruction of the left elbow joint (б)
По результатам МРТ визуализирован хрящевой покров на верхушке новообразования (максимальная толщина 7 мм) и определено взаимоотношение с окружающими тканями; исключены признаки инфильтративного роста в области верхушки новообразования (рис. 4).
Рис. 4. Магнитно-резонансная томография левого локтевого сустава, фронтальная плоскость, Т1 и Т2 последовательности: красная линия указывает на толщину хрящевого покрова новообразования (7 мм)
Fig. 4. MRI of the left elbow joint, frontal plane, T1 and T2 sequences: the red line indicates the thickness of the cartilage covering the neoplasm (7 mm)
Предварительный диагноз
На основании результатов клинического и инструментального обследования установлен предварительный диагноз: «Остеохондрома проксимального отдела левой лучевой кости».
Хирургическое лечение
- Пациенту рекомендовано хирургическое лечение.
Операцию проводили в положении пациента на спине с отведённой верхней конечностью, расположенной на приставном столе. Метод анестезиологического пособия — блокада плечевого сплетения с дополнительной внутривенной седацией. Операция проводилась под контролем электронно-оптического преобразователя с использованием пневматического турникета на проксимальной трети плеча. Исходя из локализации новообразования, выбран латеральный доступ в проекции новообразования. По мере выполнения диссекции общее сухожилие разгибателей рассечено вдоль, мышцы тупым образом разведены вдоль волокон. Капсула сустава осталась интактной. По мере выполнения диссекции визуализирован задний межкостный нерв, в процессе удаления новообразования нерв был защищён ретрактором.
Далее визуализировано новообразование на широком основании в области шейки лучевой кости с хрящевым покрытием на верхушке (рис. 5). При помощи набора долот и костных кусачек выполнено удаление новообразования, препарат направлен на гистологическое исследование. Область основания экзостоза обработана рашпилем и электрокоагулятором. Рана промыта антисептиками, ушита послойно наглухо без оставления дренажей. Макроскопически препарат представляет собой фрагменты губчатой костной ткани с признаками наличия жёлтого костного мозга и фрагментами хряща на верхушке новообразования. Признаков некроза или кровоизлияний не выявлено (см. рис. 5). Микроскопически отчётливо визуализируются гнёздные скопления хондроцитов (рис. 6). Признаков клеточной атипии не выявлено. Гистологически диагноз подтверждён — остеохондрома.
Рис. 5. Визуализирована верхушка новообразования
Fig. 5. The tip of the neoplasm is visualized
Рис. 6. Макропрепарат и микроскопический вид удалённого новообразования (окраска гематоксилином и эозином, ×10)
Fig. 6. Macroscopic and microscopic view of the removed tumor (Hematoxylin and eosin, ×10)
Динамика и исходы
В послеоперационном периоде верхняя конечность в течение 2 недель была иммобилизована в косыночной повязке. Движения в локтевом суставе разрешены в полном объёме по болевым ощущениям с первого дня после операции. В первые сутки после операции выполнены контрольные рентгенограммы локтевого сустава.
Для оценки функции верхней конечности и болевых ощущений в периоперационном периоде мы использовали визуальную аналоговую шкалу боли (ВАШ) и опросник исходов и неспособности руки и кисти DASH (Disabilities of the Arm, Shoulder and Hand). До хирургического лечения показатели по шкале DASH составляли 24,2 балла, по шкале ВАШ — 1 балл. В раннем послеоперационном периоде отмечались значения до 5 баллов по ВАШ, и в течение 2 недель после операции болевые ощущения полностью регрессировали.
При контрольном осмотре через 12 месяцев после операции отмечалась полная амплитуда движений в локтевом суставе (рис. 7); по данным опросных шкал получены следующие результаты: DASH — 0 баллов, ВАШ — 0 баллов (табл. 1). Пациент приступил к занятиям спортом на любительском уровне через 2 месяца после операции.
Рис. 7. Амплитуда ротационных движений на сроке 12 месяцев после операции
Fig. 7. Rotation movements amplitude 12 months after the surgery
Таблица 1. Динамика показателей шкал и амплитуды движений
Table 1. Dynamics of the scale indicators and patient’s range of motion
Срок наблюдения | DASH, балл | ВАШ, балл | Супинация предплечья (град.) |
До операции | 24,2 | 1 | 40 |
2 нед после операции | 12 | 0 | 50 |
12 мес после операции | 0 | 0 | 86 |
ОБСУЖДЕНИЕ
Остеохондрома — самое частое доброкачественное новообразование длинных трубчатых костей. В составе экзостоза присутствует как компактная, так и губчатая костная ткань; более того, костномозговые каналы экзостоза и подлежащей кости соединяются, что считают патогномочничным симптомом [9]. В нашем случае, наиболее вероятно, из-за небольших размеров новообразования экзостоз целиком представлен губчатой костной тканью, более того, на уровне шейки и головки лучевая кость представлена губчатой костной тканью (костномозговой полости на этом уровне нет).
A. Alsawadi и соавт. [10] описывают остеохондрому бугристости лучевой кости с клиническим проявлением в виде щелчков в области кистевого сустава. По данным авторов, установить диагноз было затруднительно, так как щелчки иррадиировали от области локтевого в область кистевого сустава. Удаление новообразования позволило полностью восстановить функцию конечности пациента. Интраоперационно исследователи установили, что причиной щелчков был перекат дистального сухожилия двуглавой мышцы плеча через остеохондрому.
Группы под руководством C.H. Cho [11] и J.P. Kim [12] описывают клинические случаи костно-хрящевого экзостоза проксимального отдела лучевой кости, который осложнился отрывом дистального сухожилия двуглавой мышцы плеча. Удаление новообразования с рефиксацией дистального сухожилия двуглавой мышцы плеча позволило добиться удовлетворительных результатов лечения пациентов.
В работе O. Oz и соавт. [13] у пациента с остеохондромой проксимального отдела лучевой кости главным клиническим проявлением была нейропатия поверхностной ветви лучевого нерва и моторных ветвей лучевого нерва, иннервирующих плечелучевую мышцу. В данном примере пациент отказался от предложенного ему хирургического лечения.
Вышеуказанные примеры указывают на возможные различные клинические проявления новообразования в проксимальном отделе предплечья. Лечение пациентов с костно-хрящевым экзостозом проксимального отдела лучевой кости не отличается от общепринятых методов лечения пациентов с доброкачественными новообразованиями. Доступ осуществлялся в положении максимальной пронации предплечья с целью снижения риска повреждения заднего межкостного нерва. Нам удалось визуализировать нерв и защитить его ретракторами. Ключевым моментом при этом является адекватно визуализированное новообразование и определение его взаимоотношения с рядом расположенными анатомическими структурами.
ЗАКЛЮЧЕНИЕ
В представленном клиническом примере у пациента отмечалась изолированная остеохондрома шейки лучевой кости. Главной жалобой пациента было ограничение амплитуды движений в локтевом суставе, что снижало качество жизни пациента. После иссечения новообразования удалось достичь отличной функции верхней конечности по результатам физикального осмотра и данным опросных шкал.
ДОПОЛНИТЕЛЬНАЯ ИНФОРМАЦИЯ
Источник финансирования. Авторы заявляют об отсутствии внешнего финансирования при проведении исследования.
Конфликт интересов. Авторы декларируют отсутствие явных и потенциальных конфликтов интересов, связанных с публикацией настоящей статьи.
Вклад авторов. И.А. Васильев, Д.А. Бессонов — разработка дизайна исследования, обзор публикаций по теме статьи, получение данных для статистического анализа, написание текста рукописи; М.Н. Майсигов — лечение пациентов, утверждение концепции и дизайна исследования, корректировка рукописной части текста; А.Н. Логвинов, Д.О. Ильин, А.В. Фролов — анализ и интерпретация полученных статистических данных; А.В. Королев — научное редактирование статьи.
Авторы подтверждают соответствие своего авторства международным критериям ICMJE (все авторы внесли существенный вклад в разработку концепции, проведение исследования и подготовку статьи, прочли и одобрили финальную версию перед публикацией).
Информированное согласие. От пациента получено добровольное письменное информированное согласие на публикацию его изображений с научной целью в медицинском журнале «Клиническая практика», включая его электронную версию (дата подписания 24.03.2023).
ADDITIONAL INFORMATION
Funding source. The authors declare that there was no external funding for the study.
Competing interests. The authors declare that they have no competing interests.
Authors’ contribution. I.A. Vasilev, D.A. Bessonov — study design development, review of publications on the topic of the article, obtaining data for statistical analysis, manuscript writing; M.N. Maysigov — patient treatment, approval of the concept and design of the study, editing; A.N. Logvinov, D.O. Ilyin, A.V. Frolov — analysis and interpretation of the obtained statistical data; A.V. Korolev — manuscript editing.
All authors made a substantial contribution to the conception of the work, acquisition, analysis, interpretation of data for the work, drafting and revising the work, final approval of the version to be published and agree to be accountable for all aspects of the work.
Consent for publication. Voluntary written informed consent was obtained from the patient for publication of his images for scientific purpose in the medical journal “Clinical Practice”, including its electronic version (date of signing 24.03.2023).
About the authors
Ivan A. Vasilyev
European Clinic of Sports Traumatology and Orthopaedics (ECSTO); Peoples' Friendship University of Russia
Author for correspondence.
Email: dr.vasilyev.ivan@gmail.com
ORCID iD: 0000-0002-1163-950X
Graduate Student
Russian Federation, Moscow; MoscowMusa N. Maysigov
European Clinic of Sports Traumatology and Orthopaedics (ECSTO)
Email: mmaysigov@emcmos.ru
ORCID iD: 0000-0002-2096-5876
SPIN-code: 2576-3874
MD, PhD
Russian Federation, MoscowAlexey N. Logvinov
European Clinic of Sports Traumatology and Orthopaedics (ECSTO)
Email: logvinov09@gmail.com
ORCID iD: 0000-0003-3235-5407
SPIN-code: 2505-9840
MD, PhD
Russian Federation, MoscowAlexander V. Frolov
European Clinic of Sports Traumatology and Orthopaedics (ECSTO); Peoples' Friendship University of Russia
Email: afrolov@emcmos.ru
ORCID iD: 0000-0002-2973-8303
SPIN-code: 9712-2491
MD, PhD
Russian Federation, Moscow; MoscowDmitry A. Bessonov
European Clinic of Sports Traumatology and Orthopaedics (ECSTO); Peoples' Friendship University of Russia
Email: dbessonov@emcmos.ru
ORCID iD: 0000-0002-0532-9847
Graduate Student
Russian Federation, Moscow; MoscowDmitry O. Ilyin
European Clinic of Sports Traumatology and Orthopaedics (ECSTO); Peoples' Friendship University of Russia
Email: ilyinshoulder@gmail.com
ORCID iD: 0000-0003-2493-4601
SPIN-code: 7947-5121
MD, PhD
Russian Federation, Moscow; MoscowAndrey V. Korolev
European Clinic of Sports Traumatology and Orthopedics (ECSTO); Peoples' Friendship University of Russia
Email: akorolev@emcmos.ru
ORCID iD: 0000-0002-8769-9963
SPIN-code: 6980-6109
MD, PhD, Professor
Russian Federation, Moscow; MoscowReferences
- Tepelenis K, Papathanakos G, Kitsouli A, et al. Osteochondromas: An updated review of epidemiology, pathogenesis, clinical presentation, radiological features and treatment options. In Vivo. 2021;35(2):681–691. doi: 10.21873/invivo.12308
- Garcia RA, Inwards CY, Unni KK. Benign bone tumors-recent developments. Semin Diagn Pathol. 2011;28(1):73–85. doi: 10.1053/j.semdp.2011.02.013
- Ng C, Bibiano L, Grech S, Magazinovic B. Antecubital antecubital fossa solitary osteochondroma with associated bicipitoradial bursitis. Case Rep Orthop. 2015;2015:560372. doi: 10.1155/2015/560372
- Hohenberger GM, Schwarz AM, Maier MJ, et al. Safe zone for the posterior interosseous nerve with regard to the lateral and posterior approaches to the proximal radius. Surg Radiol Anat. 2018;40(9):1025–1030. doi: 10.1007/s00276-018-2004-6
- Kocher T. Textbook of operative surgery. Operations at the elbow. 3rd ed. Stiled H.J., Paul C.B., translators. London: Adam and Charles Black; 1911. 723 р.
- Hackl M, Wegmann K, Lappen S, et al. The course of the posterior interosseous nerve in relation to the proximal radius: Is there a reliable landmark? Injury. 2015;46(4):687–92. doi: 10.1016/j.injury.2015.01.028
- Berdusco R, Louati H, Desloges W, et al. Lateral elbow exposures: The extensor digitorum communis split compared with the kocher approach. JBJS Essent Surg Tech. 2015;5(4):e30. doi: 10.2106/JBJS.ST.N.00048
- Herget GW, Kontny U, Saueressig U, et al. [Osteochondroma and multiple osteochondromas: recommendations on the diagnostics and follow-up with special consideration to the occurrence of secondary chondrosarcoma. (In German)]. Radiologe. 2013;53(12):1125–1136. doi: 10.1007/s00117-013-2571-9
- Bernard SA, Murphey MD, Flemming DJ, Kransdorf MJ. Improved differentiation of benign osteochondromas from secondary chondrosarcomas with standardized measurement of cartilage cap at CT and MR imaging. Radiology. 2010;255(3):857–865. doi: 10.1148/radiol.10082120
- Alsawadi A, Abbas M, Stanton J. Bicipital tuberosity osteochondroma causing painful clicking around the wrist: Case report and literature review. Hand Surg. 2012;17(2): 229–232. doi: 10.1142/S0218810412720227
- Cho CH, Jung GH, Song KS, et al. Osteochondroma of the bicipital tuberosity causing an avulsion of the distal biceps tendon. Orthopedics. 2010;33(11):849. doi: 10.3928/01477447-20100924-28
- Kim JP, Seo JB, Kim MH, et al. Osteochondroma associated with complete rupture of the distal biceps tendon: Case report. J Hand Surg Am. 2010;35(8):1340–1343. doi: 10.1016/j.jhsa.2010.05.018
- Oz O, Yücel M, Ulaş U, et al. Superficial radial neuropathy and brachioradial motor nerve palsy associated with proximal radius osteochondroma. Neurol Neurochir Pol. 2010;44(2):208–210. doi: 10.1016/s0028-3843(14)60013-x
Supplementary files










