A clinical case of a successful step-by-step treatment of a patient with a dissecting aneurysm of the ascending aorta involving the trunk of the left coronary artery
- Authors: Bocharov A.V.1, Popov L.V.2
-
Affiliations:
- Kostroma Regional Clinical Hospital named after Korolev E.I.
- National Medical and Surgical Center named after N.I. Pirogov
- Issue: Vol 12, No 1 (2021)
- Pages: 113-118
- Section: Case reports
- Submitted: 08.03.2021
- Accepted: 04.04.2021
- Published: 15.03.2021
- URL: https://clinpractice.ru/clinpractice/article/view/62873
- DOI: https://doi.org/10.17816/clinpract62873
- ID: 62873
Cite item
Full Text
Abstract
Background: The presented clinical case shows a version of successful step-by-step medical care for a patient with a dissecting aneurysm of the ascending aorta involving the trunk of the left coronary artery in a vascular center without a cardiac surgical support. Clinical case description: The patient was admitted to the Kostroma Regional Vascular Center with the symptoms of Acute Coronary Syndrome. During the examination in the clinic, the diagnosis of acute coronary syndrome with ST segment elevation was confirmed, and a dissecting aneurysm of the ascending aorta was also revealed. According to emergency coronary angiography, the dissection of the left coronary artery trunk was visualized, and the left coronary artery trunk was successfully stented with a bare metal stent. Later, the patient was transferred to a federal center, where aortic prosthetic reconstruction was performed. Conclusion: In patients with a dissecting thoracic aortic aneurysm involving the trunk of the left coronary artery and acute myocardial damage, who are admitted to a vascular center without a cardiac surgery support, the following step-by-step treatment strategy is likely to be effective: stenting the trunk of the left coronary artery with a bare metal stent and a further transfer to a center of cardiac surgery for a surgical treatment.
Full Text
ОБОСНОВАНИЕ
Расслаивающая аневризма грудного отдела аорты — грозное проявление разнообразных патологических процессов, в частности атеросклероза, генетически связанных нарушений соединительной ткани, идиопатического медиального некроза, воспалительных процессов стенки аорты [1–3]. По данным литературы, летальность при данной патологии достигает 12% при хирургическом вмешательстве и 100% без оперативного лечения [4, 5]. Клинически расслаивающая аневризма аорты проявляется чаще болевым синдромом в грудной клетке, одышкой, отсутствием реакции на введение анальгетиков, однако при вовлечении брахиоцефальных артерий превалирует мозговая симптоматика, при вовлечении аортального клапана — сердечная недостаточность, а при охвате коронарной артерии — признаки острого коронарного синдрома.
У пациентов с расслаивающей аневризмой аорты с вовлечением коронарных артерий крайне редко применяются этапное лечение, а именно: эндоваскулярное вмешательство на симптомосвязанной артерии на первом этапе и отсроченное хирургическое лечение на втором этапе. Однако вышеназванная тактика может быть эффективной стратегией лечения этой патологии в сосудистых центрах без кардиохирургической поддержки при условии применения стентов, позволяющих произвести раннюю отмену антиагрегантной терапии для выполнения протезирования аорты.
КЛИНИЧЕСКОЕ НАБЛЮДЕНИЕ
О пациенте
Пациент К., 64 года, поступил в региональный сосудистый центр ГБУЗ «Костромская областная клиническая больница имени Королева Е.И.» 03.07.2020 по направлению скорой медицинской помощи с диагнозом острого коронарного синдрома с подъемом сегмента ST, отека легких.
При поступлении предъявляет жалобы на давящую боль в области сердца в течение последнего часа, не купируемую приемом нитроглицерина. Подобный приступ стенокардии возник впервые. Отмечает также ощущение нехватки воздуха, одышку в покое.
До настоящего времени хронических заболеваний не имел, у врача не наблюдался. Последние 5 лет отмечал периодические подъемы артериального давления до 170/100 мм рт.ст., которые купировал приемом Андипала. Постоянную терапию не получал.
Образование высшее; наследственной отягощенности не отмечает; туберкулез, венерические заболевания отрицает. Перенесенные заболевания: детские инфекции, острые респираторные вирусные инфекции.
Физикальная диагностика
При осмотре: состояние тяжелое; сознание ясное; кожные покровы несколько бледные, сухие. Телосложение правильное, гиперстеничное. Ожирение 1-й степени, индекс массы тела 34 балла. Пульс 106 уд./мин, ритмичный, пониженных характеристик. Неинвазивное артериальное давление 150/90 мм рт.ст. Аускультативно определяется грубый систолический шум в проекции восходящей аорты. Частота дыхательных движений 25/мин. Дыхание ослабленное, множество влажных хрипов по всей поверхности легких. Со стороны остальных систем и органов без значимых изменений.
Предварительный диагноз
На основании жалоб и сбора анамнеза установлен предварительный диагноз: Ишемическая болезнь сердца. Острый коронарный синдром с подъемом сегмента ST. Необходим дифференциальный диагноз с исключением тромбоэмболии легочной артерии и расслаивающей аневризмы аорты.
Лечение
С учетом предварительного диагноза пациент был госпитализирован в палату реанимации кардиологического отделения регионального сосудистого центра. Болевой синдром в области сердца полностью купирован наркотическими анальгетиками; пульс 100 уд./мин, неинвазивное артериальное давление 140/90 мм рт.ст., насыщение крови кислородом (SpO2) 95%.
По данным электрокардиограммы отмечается острейшее повреждение миокарда в зоне кровоснабжения левой коронарной артерии (рис. 1).
Рис. 1. Пациент К. с расслаивающей аневризмой грудного отдела аорты, 64 года: электрокардиограмма при поступлении в отделение реанимации кардиологического отделения.
Примечание. Элевация сегмента ST в I, avL, V1–V6 отведениях, дискордантные изменения в виде депрессии сегмента ST во II, III и avF отведениях.
Fig. 1. Patient K. with a dissecting thoracic aortic aneurysm, 64 y.o.: ECG upon admission to the ICU of the Cardiology Department.
Note. ST segment elevation in I, avL, V1–V6 leads, discordant changes in the form of ST segment depression in II, III and avF leads
Данные лабораторных исследований без особенностей. Качественный тропонин положителен.
Эхокардиография: диаметр аорты на уровне корня 33 мм, восходящего отдела — 64 мм, дуги — 41 мм. В восходящем отделе, начиная с надклапанного отдела и до дуги аорты, в просвете лоцируется линейная структура (признаки отслоения интимы), признаки тромбирования ложного канала. Левое предсердие 56 мм. Левый желудочек: конечно-диастолический размер 62 мм, межжелудочковая перегородка 14 мм (диастола), задняя стенка 13 мм (диастола), фракция выброса 37%. Правый желудочек 38 мм. Правое предсердие 55 мм. Митральный и аортальный клапаны: регургитация 1-й степени. Заключение: признаки расслоения аневризмы аорты в восходящем отделе. Дилатация всех камер сердца.
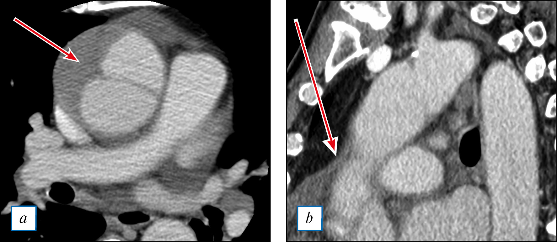
Компьютерно-томографическая (КТ) аортография: в проксимальном отделе восходящей аорты визуализируется надрыв интимы с формированием расслоения, которое распространяется дистально по левой поверхности дуги до уровня отхождения левой подключичной артерии без перехода на ее устье, слепо заканчивается по левой нижней стенке; визуализируется переход расслоения на ствол левой коронарной артерии (рис. 2). Расслоение восходящей аорты типа А по Стенфордской классификации.
Рис. 2. Тот же пациент: КТ-аортография.
Примечание. a — поперечный срез восходящего отдела аорты (стрелкой обозначен канал расслоения аорты); b — продольный срез восходящего отдела аорты (стрелкой обозначен канал расслоения аорты).
Fig. 2. The same patient: CT-aortography.
Note. a — cross-section of the ascending aorta (the canal of aortic dissection is marked with an arrow); b — longitudinal section of the ascending aorta (the canal of aortic dissection is marked with an arrow).
На основании вышеизложенных данных и с учетом КТ-аортографической картины (расслоение находится в восходящем отделе аорты) кардиокомандой принято решение о необходимости экстренного эндоваскулярного вмешательства бедренным доступом.
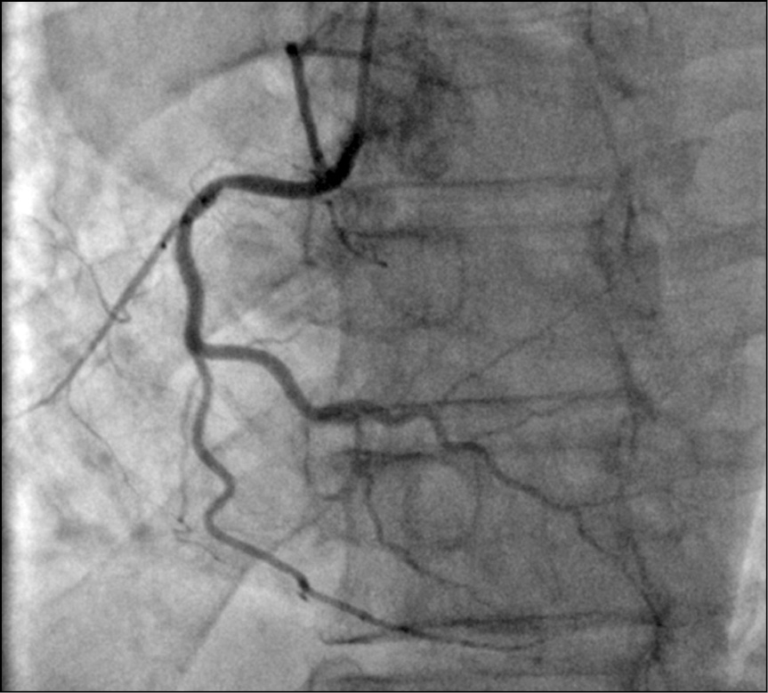
По данным селективной коронарографии визуализируется расслоение ствола левой коронарной артерии (рис. 3, a), остальной бассейн левой коронарной артерии без гемодинамически значимых поражений (рис. 3, b); правая коронарная артерия без особенностей (рис. 4). Левый тип кровоснабжения миокарда.
Рис. 3. Тот же пациент: селективная коронарография левой коронарной артерии.
Примечание. a — увеличенное изображение (расслоение ствола левой коронарной артерии отмечено стрелкой); b — передняя нисходящая, огибающая, диагональная артерии и ветвь тупого края без гемодинамически значимых поражений (стрелкой отмечено расслоение ствола левой коронарной артерии).
Fig. 3. The same patient: selective coronary angiography of the left coronary artery.
Note. a — enlarged image (dissection of the trunk of the left coronary artery is marked with an arrow); b — left anterior descending, circumflex, diagonal arteries and obtuse marginal branch without a hemodynamically significant damage (dissection of the trunk of the left coronary artery is marked with an arrow)
Рис. 4. Тот же пациент: селективная коронарография правой коронарной артерии.
Fig. 4. The same patient: selective coronary angiography of the right coronary artery.
С учетом высокой вероятности распространения диссекции на переднюю нисходящую и огибающую артерии, при наличии острейшего повреждения миокарда и необходимости выполнения хирургического лечения на восходящем отделе аорты принято решение об имплантации голометаллического стента в ствол левой коронарной артерии.
Выполнена успешная имплантация стента «Синус» (НПК «Ангиолайн», Россия) диаметром 5 мм и длиной 12 мм в ствол левой коронарной артерии (рис. 5).
Рис. 5. Тот же пациент: результат стентирования ствола левой коронарной артерии.
Fig. 5. The same patient: results of the left coronary artery stenting.
Динамика и исходы
Послеоперационный период протекал без особенностей, болевой синдром не рецидивировал, полный регресс ишемических изменений на электрокардиограмме. В качестве двойной антиагрегантной терапии были выбраны тикагрелор в дозе 90 мг 2 раза/сут и ацетилсалициловая кислота по 100 мг/сут. На 7-е сут после стентирования ствола левой коронарной артерии пациент был переведен в федеральный центр, где выполнено успешное протезирование восходящего отдела аорты.
В отдаленном периоде наблюдения (7 месяцев) пациент жалоб не предъявляет, осложнений нет.
ОБСУЖДЕНИЕ
В представленном клиническом случае применена вынужденная тактика этапной стратегии: для эндоваскулярного лечения острого коронарного синдрома с подъемом сегмента ST, вызванным продолжением расслоения восходящего отдела аорты на ствол левой коронарной артерии, был выбран феморальный доступ, имплантирован голометаллический коронарный стент.
Согласно действующим рекомендациям по лечению пациентов с острым коронарным синдромом следует применять лучевой доступ и имплантировать исключительно стенты с лекарственным покрытием [6–8].
С учетом данных КТ-аортографии (расслоение аорты распространяется до устья левой подключичной артерии) доступ через правую лучевую артерию был признан опасным с точки зрения попадания эндоваскулярного инструментария в ложный просвет; доступ через левую лучевую артерию также был отвергнут, так как риск попадания инструментария в ложный просвет все же превышал предполагаемую пользу. Исходя из представленной позиции, было принято решение о том, что в данном случае оптимальным является доступ через бедренную артерию с его закрытием с помощью ушивающего устройства по окончании интервенции.
Согласно современным рекомендациям [6–8], в настоящее время рекомендована имплантация только коронарных стентов с лекарственным покрытием, так как в отдаленном периоде наблюдения они достоверно реже приводят к возникновению неблагоприятных сердечно-сосудистых событий (сердечно-сосудистая смерть, острый инфаркт миокарда, повторные вмешательства на целевых сосудах, возврат симптомов стенокардии) по сравнению с голометаллическими стентами. С другой стороны, ранняя отмена двойной антиагрегантной терапии (ранее 30 дней после имплантации стента) у пациентов с имплантированными стентами с лекарственным покрытием резко повышает вероятность тромбоза стента с развитием больших неблагоприятных сердечно-сосудистых событий. Учитывая вышеизложенное, а также необходимость срочного вмешательства на восходящем отделе грудной аорты, требующего отмены двойной антиагрегантной терапии, большой диаметр (5 мм) и малую длину (12 мм) необходимого к имплантации стента, операционной бригадой принято решение об имплантации голометаллического стента.
ЗАКЛЮЧЕНИЕ
Для пациентов с расслаивающей аневризмой грудного отдела аорты с вовлечением ствола левой коронарной артерии и острейшим повреждением миокарда, поступающих в сосудистый центр без кардиохирургической поддержки, вероятно, будет эффективной стратегия этапного лечения: стентирование ствола левой коронарной артерии голометаллическим стентом и перевод в центр кардиохирургии для дальнейшего оперативного лечения.
ДОПОЛНИТЕЛЬНАЯ ИНФОРМАЦИЯ
Участие авторов. А.В. Бочаров — сбор и обработка материала; А.В. Бочаров, Л.В. Попов — концепция и дизайн; написание текста; редактирование. Авторы подтверждают соответствие своего авторства международным критериям ICMJE (все авторы внесли существенный вклад в разработку концепции, проведение исследования и подготовку статьи, прочли и одобрили финальную версию перед публикацией).
Источник финансирования. Авторы заявляют об отсутствии внешнего финансирования при проведении исследования.
Конфликт интересов. Авторы декларируют отсутствие явных и потенциальных конфликтов интересов, связанных с публикацией настоящей статьи.
Информированное согласие. От пациента получено письменное добровольное информированное согласие на публикацию результатов его обследования и лечения в научных целях (дата подписания 03.07.2020).
About the authors
Aleksandr V. Bocharov
Kostroma Regional Clinical Hospital named after Korolev E.I.
Author for correspondence.
Email: bocharovav@mail.ru
ORCID iD: 0000-0002-6027-2898
SPIN-code: 6073-1445
Dr. Sci. (Med.)
Russian Federation, 114 avenue Prospekt Mira, 156013 KostromaLeonid V. Popov
National Medical and Surgical Center named after N.I. Pirogov
Email: popovcardio@mail.ru
ORCID iD: 0000-0002-0530-3268
Dr. Sci. (Med.), Professor
Russian Federation, MoscowReferences
- Balistreri CR, Pisano C, Candore G, et al. Focus on the unique mechanisms involved in thoracic aortic aneurysm formation in bicuspid aortic valve versus tricuspid aortic valve patients: Clinical implications of a pilot study. Eur J Cardiothorac Surg. 2013;43(6):e180–e186. doi: 10.1093/ejcts/ezs630
- Pisano C, Maresi E, Merlo D, et al. A particular phenotype of ascending aorta aneurysms as precursor of type A aortic dissection. Interact Cardio Vasc Thorac Surg. 2012;15(5):840–846. doi: 10.1093/icvts/ivs347
- Saliba E, Sia Y. The ascending aortic aneurysm: When to intervene. IJC Heart & Vasculature. 2015;6:91–100. doi: 10.1016/j.ijcha.2015.01.009
- Erbel R, Aboyans V, Boileau C, et al. 2014 ESC Guidelines on the diagnosis and treatment of aortic diseases: Document covering acute and chronic aortic diseases of the thoracic and abdominal aorta of the adult. The Task Force for the Diagnosis and Treatment of Aortic Diseases of the European Society of Cardiology (ESC). Eur Heart J. 2014;35:2873–2926. doi: 10.1093/eurheartj/ehu281
- Hiratzka LF, Bakris GL, Beckman JA, et al. 2010 ACCF/AHA/AATS/ACR/ASA/SCA/SCAI/SIR/STS/SVM guidelines for the diagnosis and management of patients with Thoracic Aortic Disease: a report of the American College of Cardiology Foundation/American Heart Association Task Force on Practice Guidelines, American Association for Thoracic Surgery, American College of Radiology, American Stroke Association, Society of Cardiovascular Anesthesiologists, Society for Cardiovascular Angiography and Interventions, Society of Interventional Radiology, Society of Thoracic Surgeons, and Society for Vascular Medicine. Circulation. 2010;121(13):e266–369. doi: 10.1161/CIR.0b013e3181d4739e
- Ibanez B, James S, Agewall S, et al. 2017 ESC Guidelines for the management of acute myocardial infarction in patients presenting with ST-segment elevation: The Task Force for the management of acute myocardial infarction in patients presenting with ST-segment elevation of the European Society of Cardiology (ESC). Eur Heart J. 2018;39(2):119–177. doi: 10.1093/eurheartj/ehx393
- Collet JP, Thiele H, Barbato E, et al. The Task Force for the management of acute coronary syndromes in patients presenting without persistent ST-segment elevation of the European Society of Cardiology (ESC). Eur Heart J. 2020;1–79. doi: 10.1093/eurheartj/ehaa575
- Newmann FJ, Sousa-Uva M, Ahlsson A, et al. 2018 ESC/EACTS Guidelines on myocardial revascularization. Eur Heart J. 2019;40(2):87–165. doi: 10.1093/eurheartj/ehy394
Supplementary files








