A clinical case of acute polyneuropathy, with the onset of bilateral facial nerve palsy in an early childhood
- Authors: Skripchenko E.Y.1,2, Irikova M.A.1, Voitenkov V.B.1,3, Skripchenko N.V.1,2, Novokshonov D.Y.1, Marchenko N.V.1, Vishnevetskaya E.M.1, Ivanova G.P.1, Markova K.V.1, Astapova A.V.1, Klimkin A.V.1, Golubeva A.V.1, Verbenko P.S.2
-
Affiliations:
- Pediatric Research and Clinical Center for Infectious Diseases
- Saint Petersburg State Pediatric Medical University
- Academy of Postgraduate Education — Federal Research and Clinical Center of Specialized Medical Care and Medical Technologies
- Issue: Vol 15, No 2 (2024)
- Pages: 106-115
- Section: Case reports
- Submitted: 05.03.2024
- Accepted: 12.05.2024
- Published: 15.07.2024
- URL: https://clinpractice.ru/clinpractice/article/view/628751
- DOI: https://doi.org/10.17816/clinpract628751
- ID: 628751
Cite item
Full Text
Abstract
BACKGROUND: The differential diagnosis of peripheral nervous system damage depends on a thorough collection of history, comprehensive assessment of clinical manifestations, and dynamic examination of the patient. This article describes a clinical case of acute polyneuropathy in a young child, which began with gastrointestinal symptoms and bilateral facial neuropathy.
CLINICAL CASE DESCRIPTION: The article presents a case of a child with an atypical course of acute polyneuropathy, which began with bilateral facial neuropathy combined with gastrointestinal complaints and pain syndrome. Features of the clinical presentation of the disease required extended laboratory and instrumental testing. Protocols for instrumental verification of diagnosis included nerve conduction studies examining neural conduction and axonal excitability of the affected facial nerve and the healthy side. Additionally, the functional status of the peripheral nerves in the upper and lower limbs was assessed. Polyneuropathic alterations revealed through nerve conduction studies confirmed diagnostic lumbar puncture to determine the presence of neuroinfectious processes. Magnetic resonance imaging of the brain, brachial, and lumbosacral plexuses using intravenous contrast showed the nature and prevalence of a lesion. Based on the overall clinical, laboratory, and instrumental examination data of the patient, “acute inflammatory demyelinating polyneuropathy” was diagnosed; timely etiopathogenetic treatment was initiated.
CONCLUSION: In children, the course of a neuroinfection may be atypical. Sometimes, when dissociating the clinical manifestations of the disease from the results of a standard laboratory and instrumental test, expert diagnostic techniques should be used for differential diagnosis purposes.
Full Text
ОБОСНОВАНИЕ
Полиневропатии и мононевропатии занимают первое место в структуре инфекционных поражений периферической нервной системы у детей разного возраста. В то время как диагностика мононевропатии в большинстве случаев не представляет сложности ввиду наличия явных клинических проявлений, указывающих на топику поражения, объём дифференциальной диагностики полиневропатии крайне обширен [1–4]. Опасность острой полиневропатии заключается в высоком риске быстрого развития дыхательных нарушений, которые являются основной причиной смерти при инфекционных поражениях периферической нервной системы [5–7].
Основным инструментальным методом диагностики степени и характера поражения нервов как при мононевропатиях, в том числе невропатии лицевого нерва, так и при полиневропатиях различного генеза является электронейромиография [8, 9]. Однако объём электронейромиографического исследования при отсутствии явного подозрения на полиневропатию может быть недостаточен для выявления этого серьёзного патологического процесса, требующего назначения своевременной и адекватной терапии для предотвращения развития инвалидизирующих осложнений или хронизации процесса [10, 11].
КЛИНИЧЕСКИЙ ПРИМЕР
О пациенте
Пациентка Р., 2,5 года, госпитализирована в клинику ФГБУ «Детский научно-клинический центр инфекционных болезней» Федерального медико-биологического агентства России (ФГБУ ДНКЦИБ ФМБА России) с жалобами на перекос лица, нарушения стула.
Из анамнеза жизни известно, что девочка от первой беременности, протекавшей, со слов матери, без особенностей. Роды на сроке 41 недели путём экстренного кесарева сечения ввиду отсутствия раскрытия шейки матки. Масса тела при рождении 3650 г, длина тела 51 см. Росла и развивалась по возрасту, постоянно проживала в Дагестане. Вакцинирована по возрасту в соответствии с национальным календарем профилактических прививок. 20.09.2023 на фоне полного здоровья появились преходящие боли в разных отделах живота, девочка была капризная, вялая, предпочитала больше лежать; симптоматика сохранялась на протяжении 6 дней, не сопровождалась повышением температуры тела. Терапию не получала. 26.09.2023 родители обратились за медицинской помощью в стационар по месту жительства, был установлен диагноз острой респираторной вирусной инфекции»; со слов родителей, назначена противовирусная терапия (медицинские документы не предоставлены), на фоне которой улучшения состояния не наблюдалось. Ребёнок обследован: при ультразвуковом исследовании органов брюшной полости выявлены признаки пневматоза кишечника, скопления гельминтов в просвете тонкого кишечника. Дальнейшее обследование на гельминтоз в период госпитализации не проводилось. С 15.10.2023, со слов матери, ребёнка беспокоили запоры (стул только после клизмы, мать ставила самостоятельно). Травмы спины ребёнка в этот период времени родители отрицали. 20.10.2023 родители отметили появление перекоса лица (неполное смыкание правой глазной щели и сглаженность левой носогубной складки), спазм жевательной мускулатуры. Для исключения объёмного образования проведена компьютерная томография головного мозга, патологии не выявлено. 22.10.2023 для исключения энцефалита амбулаторно проведена магнитно-резонансная томография (МРТ) головного мозга, патологии не выявлено. 24.10.2023 родители с девочкой приехали в Санкт-Петербург.
Физикальная диагностика
Госпитализирована в ФГБУ ДНКЦИБ ФМБА России 25.10.2023 (6-й день появления неврологической симптоматики) для дообследования и лечения. При поступлении в ходе осмотра ребёнок капризный, со слов матери, сон беспокойный, осмотру мало доступна; сидеть, стоять, ходить отказывается; состояние средней степени тяжести, сыпи на коже и видимых слизистых оболочках нет; соматическая патология не выявлена; обращала на себя внимание асимметрия лица (правосторонний лагофтальм и сглаженность левой носогубной складки, неполное открывание рта за счёт тризма жевательной мускулатуры). Менингеальные знаки отсутствовали. Полноценный неврологический осмотр был невозможен. На основании клинико-анамнестических данных установлен предварительный диагноз: «Двусторонняя невропатия лицевого нерва ниже уровня барабанной струны, средней степени тяжести (III по шкале Хауса–Бракмана). Сопутствующая патология: функциональные запоры, гельминтоз неуточнённый (?)».
Лабораторная и инструментальная диагностика
Назначен комплекс лабораторного и инструментального обследования.
В клиническом анализе крови (25.10.2023) — без воспалительных изменений (в том числе в динамике); в биохимическом анализе крови (27.10.2023) — С-реактивный белок 0,9 мг/л (норма 0–5,0), остальные показатели также в норме.
Анализ кала (25.10.2023) на простейшие и яйца глист отрицательный; выявлены диагностически значимые титры Escherichia coli (106 КОЭ/мл, норма до 105 КОЭ/мл), Klebsiella pneumoniae ssp (106 КОЭ/мл, норма до 105 КОЭ/мл).
РНК SARS-CoV-2 в отделяемом из носа, зева не обнаружено.
В анализе сыворотки крови отсутствовали специфические антитела (IgM, IgG) к Borrelia burgdorferi.
Ультразвуковое исследование органов брюшной полости (26.10.2023): признаки дискинезии желчевыводящих путей и кишечника по гипермоторному типу.
Назначена микстура с цитралем, витамины группы В, интерферон альфа-2b с антиоксидантами в возрастной дозировке.
26.10.2023 проведена электронейромиография: выявлены признаки аксонально-демиелинизирующего поражения левого лицевого нерва с отсутствием проведения по дуге мигательного рефлекса, аксонально-демиелинизирующего поражения правого лицевого нерва с замедлением проведения по дуге мигательного рефлекса (табл. 1).
Таблица 1. Динамика показателей электронейромиографии
Table 1. Dynamics of the indicators of nerve conduction studies
Показатель электронейромиографии (норма) | 26.10.2023 (первичное исследование, 6-й день болезни) | 27.10.2023 (исследование в расширенном объёме, 7-й день болезни) | 13.11.2023 (исследование в динамике, 24-й день болезни) |
Амплитуда М-ответа m. nasalis sinister, мВ (>0,9) | 0,1 | - | 0,2 |
Латентность М-ответа m. nasalis sinister, мс (<3,2) | 3,2 | - | 3,2 |
Амплитуда М-ответа m. nasalis dexter, мВ (>0,9) | 0,5 | - | 0,5 |
Латентность М-ответа m. nasalis dexter, мс (<3,2) | 2,8 | - | 3,7 |
Латентность R1-компонента мигательного рефлекса слева, мс (<11,5) | R1 не зарегистрирован | - | R1 не зарегистрирован |
Латентность R1-компонента мигательного рефлекса справа, мс (<11,5) | 13,6 | - | 14,2 |
Амплитуда М-ответа m. abductor pollicis brevis dexter, мВ_дистальный ответ / проксимальный ответ (>4–7) | - | 4,2/3,2 | 6,6/3,8 |
Латентность дистального М-ответа m. abductor pollicis brevis dexter, мс_дистальный ответ (<3,0) / проксимальный ответ | - | 3,4/6,3 | 2,6/6,0 |
Скорость проведения импульсов по моторным волокнам n. medianus dexter, м/с (>50) | - | 39,9 | 36,3 |
Скорость проведения импульсов_F-волна_ n. medianus dexter, м/с (>50) | - | 44 | 36,8 |
Амплитуда М-ответа m.m. abductor digiti minimi dexter, мВ_дистальный ответ / проксимальный ответ (>5–7) | - | 6,8/6,1 | 5,4/6,1 |
Латентность М-ответа m.m. abductor digiti minimi dexter, мс_дистальный ответ (<2,3) / проксимальный ответ | - | 2,3/6,2 | 2,2/5,9 |
Скорость проведения импульсов по моторным волокнам n. ulnaris dexter, м/с (>50) | - | 40,3 | 41,3 |
Скорость проведения импульсов_F-волна_n. ulnaris dexter, м/с (>50) | - | 44,7 | 40,9 |
Амплитуда М-ответа m. abductor hallucis dexter, мВ_дистальный ответ / проксимальный ответ (>4–7) | - | 11,1/8,4 | 7,5/4,4 |
Латентность М-ответа m. abductor hallucis dexter, мс_дистальный ответ (<3,5) / проксимальный ответ | - | 3,8/8,6 | 3,7/9,0 |
Скорость проведения импульсов по моторным волокнам n. tibialis dexter, м/с (>40) | - | 37,4 | 35,9 |
Скорость проведения импульсов_F-волна_n. tibialis dexter, м/с (>40) | - | 35,0 | 34,8 |
Амплитуда М-ответа m. abductor hallucis sinister, мВ_дистальный ответ / проксимальный ответ (>4–7) | - | 9,8/8,4 | 6,9/4,3 |
Латентность М-ответа m. abductor hallucis sinister, мс_дистальный ответ (<3,5) / проксимальный ответ | - | 3,4/8,2 | 2,9/8,6 |
Скорость проведения импульсов по моторным волокнам n. tibialis sinister, м/с (>40) | - | 39,9 | 33,2 |
Скорость проведения импульсов_F-волна_n. tibialis sinister, м/с (>40) | - | 34,2 | 32,1 |
Амплитуда М-ответа m. extensor digitorum brevis sinister, мВ_дистальный ответ / проксимальный ответ (>3) | - | 2,4/1,6 | 3,1/2,6 |
Латентность М-ответа m. extensor digitorum brevis sinister, мс (<3,5)_дистальный ответ / проксимальный ответ | - | 4,1/8,8 | 3,1/8,1 |
Скорость проведения импульсов по моторным волокнам n. peroneus sinister, м/с (>40) | - | 40,3 | 37,8 |
Скорость проведения импульсов_F-волна_n. peroneus sinister, м/с (>40) | - | 34,9 | 30,7 |
Амплитуда сенсорного потенциала n. medianus dexter, мкВ (>5–10) | - | 6,6 | 2,9 |
Скорость проведения импульсов по сенсорным волокнам n. medianus dexter, м/с (>50) | - | 52,8 | 53,1 |
Амплитуда сенсорного потенциала n. peroneus superficialis sinister, мкВ (>3) | - | 4,8 | 3,2 |
Скорость проведения импульсов по сенсорным волокнам n. peroneus superficialis sinister, м/с (>40) | - | 31,5 | 40 |
Учитывая двусторонний, по данным электронейромиографии, характер поражения лицевого нерва, 27.10.2023 дополнительно проведена стимуляционная электронейромиография нервов верхних и нижних конечностей (см. табл. 1): выявлены признаки преимущественно демиелинизирующего поражения моторных волокон периферических нервов верхних и нижних конечностей по полиневропатическому типу. Скорость проведения импульсов по моторным волокнам нервов верхних конечностей снижена в среднем до 40–44 м/с (норма >50 м/с), нервов нижних конечностей — в среднем до 35–40 м/с (норма >40 м/с).
На 5-й день пребывания пациентки в стационаре (01.11.2023), после некоторого привыкания ребёнка к лечащему врачу и осмотрам, отчётливо появились жалобы на боли при ходьбе, периодические боли во всём теле, боли в ногах, боль при сидении. При полном неврологическом осмотре у пациентки достоверно выявлены диффузная мышечная гипотония, вялый тетрапарез лёгкой степени тяжести. Был предположен диагноз острой воспалительной демиелинизирующей полинейропатии, однако для подтверждения диагноза и исключения миелита, объёмного образования назначено дообследование — диагностическая люмбальная пункция и МРТ.
В ликворограмме (31.10.2023) — цереброспинальная жидкость бесцветная, прозрачная, белок повышен до 4,1 г/л, цитоз 13×106/л (норма 4–6×106/л), 100% лимфоцитов, глюкоза 4,04 (норма 1,8–4,6), хлориды 13 ммоль/л (норма 110–128).
Результаты анализа цереброспинальной жидкости методом полимеразной цепной реакции на энтеровирус, вирус простого герпеса 1-го и 2-го типов, цитомегаловирус, вирус Эпштейна–Барр, вирус герпеса человека 6-го типа, парвовирус В19 отрицательные.
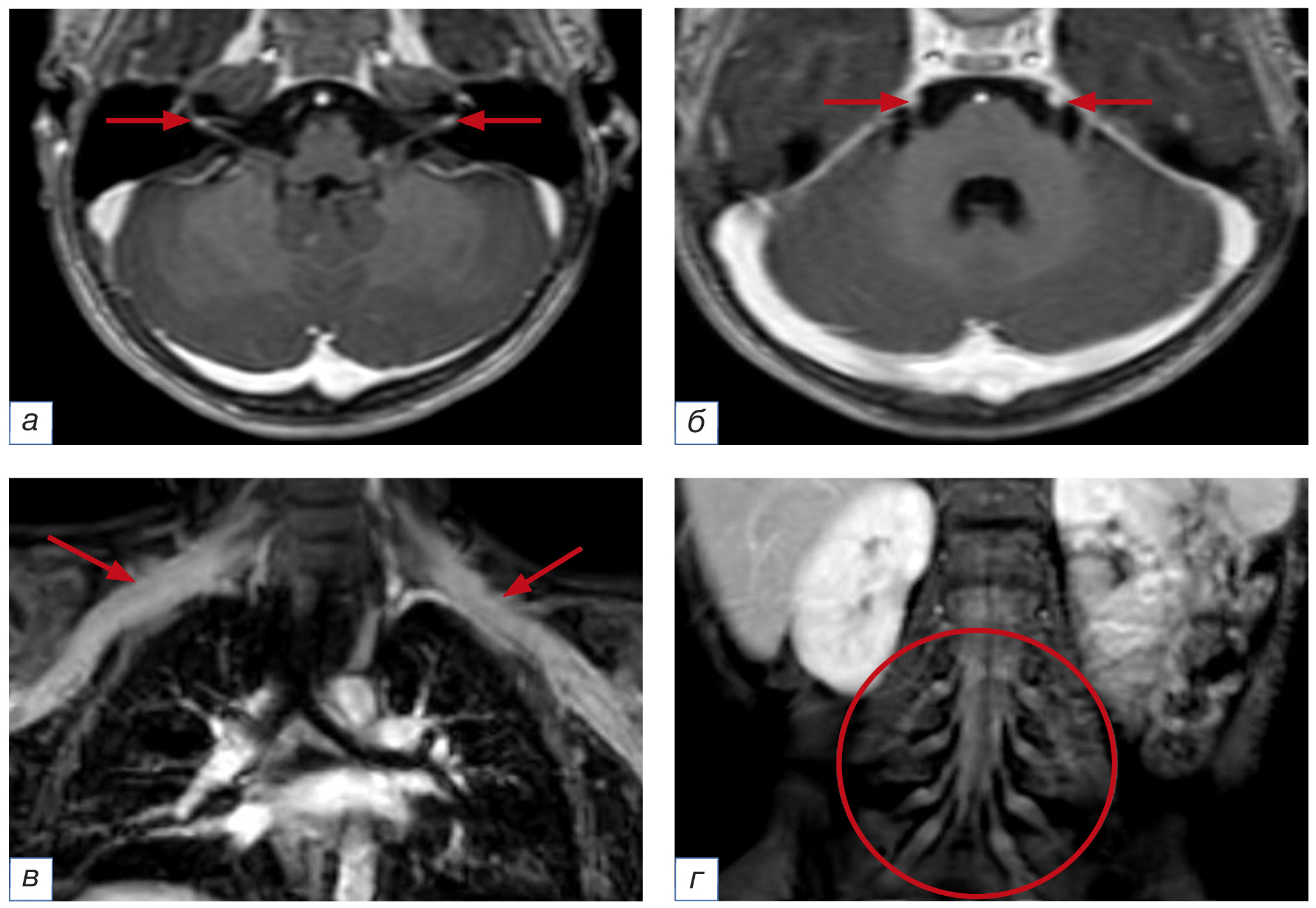
С дифференциально-диагностической целью после получения результатов электронейромиографии и ликворограммы для оценки распространённости, степени вовлечённости в воспалительный процесс краниальных и периферических нервов 02.11.2023 выполнена МРТ головного мозга и спинного мозга с внутривенным контрастным усилением. Обращало на себя внимание накопление контрастного вещества не только лицевыми нервами с двух сторон, но и тройничными нервами с двух сторон, корешками на уровне шейного, грудного отделов позвоночника, а также утолщёнными корешками конского хвоста. Кроме того, отмечались признаки накопления контрастного вещества в плечевых и пояснично-крестцовых сплетениях, что было расценено как вероятное проявление полиневрорадикулопатии и могло соответствовать синдрому Гийена–Барре. МРТ-признаков очаговых изменений в головном мозге не выявлено, однако имело место расширение внутренних ликворных пространств (рис. 1).
Рис. 1. Магнитно-резонансная томография головного мозга, плечевых и пояснично-крестцовых сплетений с внутривенным контрастированием. МР-признаки повышенного накопления контрастного вещества: а — лицевыми нервами на уровне внутреннего слухового прохода с обеих сторон; б — тройничными нервами в цистернальных отделах с обеих сторон; в — плечевыми сплетениями; г — поясничными и крестцовыми сплетениями
Fig. 1. Magnetic resonance imaging of the brain, brachial and lumbosacral plexuses with intravenous contrast. MR-signs of increased accumulation of contrast agent: а — facial nerves at the level of the internal auditory canal on both sides; б — trigeminal nerves in the cisternal sections on both sides; в — brachial plexuses; г — lumbar and sacral plexuses
На компьютерной томограмме органов грудной клетки патологии не выявлено.
На основании сопоставления полученных результатов эпидемиологического анамнеза (наличие признаков инфекционного заболевания с клинической картиной поражения желудочно-кишечного тракта), клинических (появление симптомов полинейропатии), лабораторных (цереброспинальная жидкость: белково-клеточная диссоциация) и инструментальных (электронейромиография: признаки демиелинизирующего поражения нервов верхних и нижних конечностей; МРТ: признаки накопления контрастного вещества черепно-мозговыми нервами V и VII, плечевыми и пояснично-крестцовыми сплетениями) данных установлен окончательный диагноз: «Острая воспалительная демиелинизирующая полинейропатия».
Лечение и исходы
Ребёнок переведён в отделение анестезиологии и реанимации ввиду высокого риска прогрессирования неврологической симптоматики по восходящему типу с целью проведения курсового лечения внутривенными иммуноглобулинами (2 г/кг). На фоне проводимой терапии регрессировал болевой синдром, состояние пациентки стабилизировано, после перевода в психоневрологическое отделение она передвигалась по отделению за руку с мамой. Получала патогенетическую терапию: витамины группы В, нестероидные противовоспалительные препараты, ноотропные средства в возрастных дозировках до момента выписки.
При проведении повторного электронейромиографического обследования 13.11.2023 (см. табл. 1) значимой нейрофизиологической динамики не наблюдалось, сохранялись, согласно результатам электронейромиографии, признаки преимущественно демиелинизирующего поражения моторных и сенсорных волокон нервов верхних и нижних конечностей, снижение аксональной возбудимости левого и правого лицевого нервов (амплитуда М-ответа слева до 0,2 мВ [ранее 0,1 мВ] и справа до 0,5 мВ [ранее 0,5 мВ]), признаки отсутствия проведения по дуге мигательного рефлекса слева и замедления проведения справа.
К моменту выписки (15.01.2024) регрессировала асимметрия лица, пациентка самостоятельно передвигалась по отделению, нарушение функции тазовых органов без динамики (даны рекомендации по особенностям диеты). В дальнейшем на протяжении последующих 2 месяцев пациентка получила курсы реабилитационного лечения с положительной динамикой неврологического статуса.
ОБСУЖДЕНИЕ
Особенностью представленного случая является одновременное наличие клинической картины двусторонней невропатии лицевого нерва с субклиническим двусторонним поражением 5-й пары краниальных нервов, выявленным по данным МРТ-обследования пациента. Дебют заболевания с гастроинтестинальных жалоб, которые были расценены как острая респираторная вирусная инфекция, может являться признаком энтеровирусной инфекции, для которой более характерно развитие диарейного синдрома до появления признаков поражения нервной системы, что, однако, не наблюдалось у пациентки. В описанном клиническом случае роль энтеровирусов в развитии заболевания не была доказана стандартными лабораторными методами диагностики, однако с учётом генетического и клинического разнообразия достоверно исключить роль данного инфекционного агента до конца невозможно [1–3, 12]. Кроме того, к наиболее частым инфекционным агентам, ассоциированным с поражением как центральной, так и периферической нервной системы, относят именно энтеровирусы [12], также герпесвирусы [13]. Двусторонний характер поражения лицевого нерва встречается редко и может наблюдаться при нейроборрелиозе, особенно при наличии лихорадки и/или эритемы в анамнезе, пребывании в регионах, эндемичных для иксодовых клещей в период их активности [14, 15]. Описаны случаи двустороннего поражения лицевого нерва после перенесённого COVID-19 как с развитием синдрома Гийена–Барре, так и без него [16].
Другой особенностью представленного случая явилась атипичная генерализация воспалительного процесса, которая подтверждалась результатами расширенной электронейромиографии и МРТ с контрастированием. Среди причин синдрома Гийена–Барре как инфекционно-аутоиммунной полиневропатии ведущая роль отводится Campylobacter jejuni, Mycoplasma pneumoniae и цитомегаловирусу [17]. Некоторые исследования описывают взаимосвязь заболевания с вирусом гепатита Е (HEV) [18] и С (HСV) [19], а с 2022 года — с SARS-CoV-2 (в остром, постковидном, лонгковидном периоде) [20] и вакцинацией от COVID-19 [21]. Описана также роль Helicobacter pylori [22], кишечной микробиоты в развитии заболевания [23]. Интерстициальная микробиота модулирует иммунные реакции хозяина, влияет на выработку цитокинов, антител, обусловливает молекулярную мимикрию, следствием чего может являться аутоиммунная атака [24]. Не исключено также влияние анатомических особенностей строения каналов лицевого нерва ребёнка на развитие двустороннего поражения VII пары черепно-мозговых нервов с дебюта заболевания [25].
Важно отметить, что дети-реконвалесценты острой полиневропатии с недостаточным ответом на адекватную этиопатогенетическую терапию нуждаются в диспансерном наблюдении с повторным проведением электронейромиографии, МРТ, ультразвукового исследования периферических нервов для исключения хронической воспалительной демиелинизирующей полиневропатии с острым началом [26, 27].
ЗАКЛЮЧЕНИЕ
Благодаря своевременному дифференциально-диагностическому поиску с использованием методов рутинной и экспертной диагностики удалось выявить и субклинические поражения нервной системы, что позволило установить окончательный диагноз и быстро провести коррекцию этиопатогенетической терапии, добиться стабилизации состояния пациентки с постепенным регрессом неврологических признаков заболевания.
ДОПОЛНИТЕЛЬНАЯ ИНФОРМАЦИЯ
Источник финансирования. Авторы заявляют об отсутствия внешнего финансирования при подготовке статьи.
Конфликт интересов. Авторы декларируют отсутствие явных и потенциальных конфликтов интересов, связанных с публикацией настоящей статьи.
Вклад авторов. Е.Ю. Скрипченко — концепция статьи, клиническое обследование пациентки, анализ данных, обсуждение результатов, написание и редактирование текста статьи, утверждение окончательного текста; М.А. Ирикова — инструментальное обследование пациентки, обработка и анализ данных, обсуждение результатов, написание и редактирование текста статьи; В.Б. Войтенков — инструментальное обследование пациентки, обработка и анализ данных, обсуждение результатов, написание текста статьи; Н.В. Скрипченко — концепция статьи, анализ данных и обсуждение результатов, редактирование текста статьи, утверждение окончательного текста; Д.Ю. Новокшонов — инструментальное обследование пациентки, обработка и анализ данных, обсуждение результатов, написание текста рукописи; Н.В. Марченко — инструментальное обследование пациентки, анализ данных и обсуждение результатов; Е.М. Вишневецкая — лечение и ведение пациентки, анализ данных, обсуждение результатов; Г.П. Иванова, А.В. Климкин — анализ данных, обсуждение результатов, редактирование текста статьи; К.В. Маркова — клиническое обследование пациентки, анализ данных, обсуждение результатов; А.В. Астапова — анализ данных, обсуждение результатов; А.В. Голубева — анализ данных, редактирование статьи; П.С. Вербенко — лечение и ведение пациентки, анализ данных, обсуждение результатов. Авторы подтверждают соответствие своего авторства международным критериям ICMJE (все авторы внесли существенный вклад в разработку концепции, проведение поисково-аналитической работы и подготовку статьи, прочли и одобрили финальную версию перед публикацией).
Информированное согласие на публикацию. От законного представителя пациента получено добровольное письменное информированное согласие на публикацию описания клинического случая (дата подписания 25.10.2023).
ADDITIONAL INFORMATION
Funding source. This study was not supported by any external sources of funding.
Competing interests. The authors declare that they have no competing interests.
Authors’ contribution. E.Yu. Skripchenko — concept of manuscript, clinical examination of the patient, data analysis, discussion of the results, manuscript writing and editing, approval of the final text; M.A. Irikova — instrumental examination of the patient, data processing and analysis, discussion of the results, manuscript writing and editing; V.B. Voitenkov — instrumental examination of the patient, data processing and analysis, discussion of the results, manuscript writing; N.V. Skripchenko — concept of manuscript, data analysis, discussion of the results, manuscript editing, approval of the final text; D.Yu. Novokshonov — instrumental examination of the patient, data processing and analysis, discussion of the results, manuscript writing; N.V. Marchenko — instrumental examination of the patient, data analysis, discussion of the results; E.M. Vishnevetskaya — treatment and management of the patient, data analysis, discussion of the results; G.P. Ivanova, A.V. Klimkin — data analysis, discussion of the results, manuscript editing; K.V. Markova — clinical examination of the patient, data analysis, discussion of the results; A.V. Astapova — data analysis, discussion of the results; A.V. Golubeva — data analysis, manuscript editing; P.S. Verbenko — treatment and management of the patient. The authors made a substantial contribution to the conception of the work, acquisition, analysis, interpretation of data for the work, drafting and revising the work, final approval of the version to be published and agree to be accountable for all aspects of the work.
Consent for publication. Written consent was obtained from the patient for publication of relevant medical information and all of accompanying images within the manuscript (signature date 25.10.2023).
About the authors
Elena Yu. Skripchenko
Pediatric Research and Clinical Center for Infectious Diseases; Saint Petersburg State Pediatric Medical University
Author for correspondence.
Email: wwave@yandex.ru
ORCID iD: 0000-0002-8789-4750
SPIN-code: 9405-2930
MD, PhD, Associate Professor
Russian Federation, Saint Petersburg; Saint PetersburgMaria A. Irikova
Pediatric Research and Clinical Center for Infectious Diseases
Email: dr.bedova@yandex.ru
ORCID iD: 0000-0001-8924-5300
SPIN-code: 9667-3210
MD, PhD
Russian Federation, Saint PetersburgVladislav B. Voitenkov
Pediatric Research and Clinical Center for Infectious Diseases; Academy of Postgraduate Education — Federal Research and Clinical Center of Specialized Medical Care and Medical Technologies
Email: vlad203@inbox.ru
ORCID iD: 0000-0003-0448-7402
SPIN-code: 6190-6930
MD, PhD
Russian Federation, Saint Petersburg; MoscowNatalia V. Skripchenko
Pediatric Research and Clinical Center for Infectious Diseases; Saint Petersburg State Pediatric Medical University
Email: snv@niidi.ru
ORCID iD: 0000-0001-8927-3176
SPIN-code: 7980-4060
MD, PhD, Professor
Russian Federation, Saint Petersburg; Saint PetersburgDmitry Yu. Novokshonov
Pediatric Research and Clinical Center for Infectious Diseases
Email: dunov7@yandex.ru
ORCID iD: 0000-0002-8228-518X
SPIN-code: 6716-4945
Russian Federation, Saint Petersburg
Natalia V. Marchenko
Pediatric Research and Clinical Center for Infectious Diseases
Email: gmv2006@mail.ru
ORCID iD: 0000-0002-2684-9980
SPIN-code: 9813-1529
MD, PhD
Russian Federation, Saint PetersburgEkaterina M. Vishnevetskaya
Pediatric Research and Clinical Center for Infectious Diseases
Email: yekat.mazaeva@yandex.ru
ORCID iD: 0000-0002-1432-2452
SPIN-code: 5748-6114
MD, PhD
Russian Federation, Saint PetersburgGalina P. Ivanova
Pediatric Research and Clinical Center for Infectious Diseases
Email: ivanovagp@yandex.ru
ORCID iD: 0000-0003-1496-8576
SPIN-code: 5096-6322
MD, PhD
Russian Federation, Saint PetersburgKsenia V. Markova
Pediatric Research and Clinical Center for Infectious Diseases
Email: ksenija-sidorova@mail.ru
ORCID iD: 0000-0001-8652-8997
SPIN-code: 1743-6881
MD, PhD
Russian Federation, Saint PetersburgAnna V. Astapova
Pediatric Research and Clinical Center for Infectious Diseases
Email: anna-syrovcev@mail.ru
ORCID iD: 0000-0003-4153-4319
SPIN-code: 9766-2343
MD, PhD
Russian Federation, Saint PetersburgAndrey V. Klimkin
Pediatric Research and Clinical Center for Infectious Diseases
Email: klinkinpark@mail.ru
ORCID iD: 0000-0002-6180-4403
SPIN-code: 6309-3260
MD, PhD
Russian Federation, Saint PetersburgAlina V. Golubeva
Pediatric Research and Clinical Center for Infectious Diseases
Email: golubeva-alinka@mail.ru
ORCID iD: 0009-0001-3449-3080
SPIN-code: 5579-8344
Russian Federation, Saint Petersburg
Polina S. Verbenko
Saint Petersburg State Pediatric Medical University
Email: lotospoliv@mail.ru
ORCID iD: 0000-0003-2128-0737
SPIN-code: 3792-2450
Russian Federation, Saint Petersburg
References
- Скрипченко Н.В., Команцев В.Н. Инфекционные заболевания периферической нервной системы у детей: руководство для врачей. Москва: Медицина, 2006. 560 с. [Skripchenko NV, Komancev VN. Peripheral nervous system infectious diseases in children: A guide for physicians. Moscow: Medicina; 2006. 560 р. (In Russ).]
- Иванов А.М., Жданов К.В., Криворучко А.Б., и др. Перспективные технологии и исследования в области медицинской лабораторной диагностики // Военно-медицинский журнал. 2013. Т. 334, № 6. С. 54–57. [Ivanov AM, Zhdanov KV, Krivoruchko AB, et al. Perspective technologies and researches in the area of medical laboratory diagnostics. Voenno-meditsinskii zhurnal. 2013;334(6):54–57. (In Russ).] EDN: RVKWZT
- Жданов К.В., Козлов К.В., Иванов К.С., и др. Военная инфектология в системе обеспечения биологической безопасности // Кубанский научный медицинский вестник. 2020. Т. 27, № 4. С. 38–50. [Zhdanov KV, Kozlov KV, Ivanov KS, et al. Military infectiology for biosecurity control. Kuban Sci Med Bulletin. 2020;27(4):38–50. (In Russ).] EDN: LOYYUT doi: 10.25207/1608-6228-2020-27-4-38-50
- Войтенков В.Б., Вильниц А.А., Скрипченко Н.В., и др. Нейрофизиологические методы в ранней диагностике и прогнозировании течения нейроинфекций у детей // Медицина экстремальных ситуаций. 2017. Т. 62, № 4. С. 21–29. [Voytenkov VB, Vilnic AA, Skripchenko NV, et al. Neurophysiology in early diagnosis and prediction of clinical course of neuroinfections. Med Extreme Situations. 2017;62(4):21–29. (In Russ).] EDN: YNJFGL
- Рябченко А.Ю., Гранкин Е.В. Синдром Гийена-Барре у ребенка. Описание клинического случая // Альманах клинической медицины. 2020. Т. 48, № 4. С. 285–289. [Ryabchenko AY, Grankin EV. Uillain-Barré syndrome in a child: A clinical case. Almanac Clin Med. 2020;48(4):285–289. (In Russ).] EDN: RDLJCU doi: 10.18786/2072-0505-2020-48-052
- Супонева Н.А., Шакарян А.К., Рахтеенко А.В., и др. Клинико-лабораторные характеристики, лечение и прогноз синдрома Гийена-Барре у детей // Детские инфекции. 2015. Т. 14, № 3. С. 17–26. [Suponeva NA, Shakaryan AK, Rahteenko AV, et al. Clinical and laboratory features, treatment and prognosis in children with Guillian-Barre syndrome // Children Infections. 2015;14(3):17–26. (In Russ).] EDN: UKLIFF
- Белопасов В.В., Журавлева Е.Н., Нугманова Н.П., и др. Постковидные неврологические синдромы // Клиническая практика. 2021. Т. 12, № 2. C. 69–82. [Belopasov VV, Zhuravleva EN, Nugmanova NP, et al. Post-Covid-19 neurological syndromes. J Clin Pract. 2021;12(2):69–82. (In Russ).] EDN: MZQWAN doi: 10.17816/clinpract71137
- Марченко Н.В., Новокшонов Д.Ю., Ирикова М.А., и др. Возможности электронейромиографии, диагностической транскраниальной магнитной стимуляции и мультипараметрической магнитно-резонансной томографии в комплексной оценке поражения лицевого нерва: обзор литературы и серия клинических наблюдений // Альманах клинической медицины. 2023. Т. 51, № 3. С. 180–191. [Marchenko NV, Novokshonov DY, Irikova MA, et al. The potential of electromyography, diagnostic transcranial magnetic stimulation, and multiparametric magnetic resonance imaging in the combinatory assessment of facial nerve disorders: A literature review and clinical case series. Almanac Clin Med. 2023;51(3):180–191. (In Russ).] EDN: RMGPUD doi: 10.18786/2072-0505-2023-51-021
- Гришина Д.А., Супонева Н.А., Пирадов М.А., и др. Электрофизиологические критерии прогноза при синдроме Гийена–Барре // Нервно-мышечные болезни. 2012. № 3. С. 33–45. [Grishina DA, Suponeva NA, Piradov MA, et al. Electrophysiological criteria for the prognosis of the Guillain-Barré syndrome. Neuromuscular diseases. 2012;(3):33–45. (In Russ).] EDN: PUJXRF
- Котов А.С., Мухина Е.В., Шаталин А.В., и др. Трудности дифференциальной диагностики синдрома Гийена-Барре у детей. Разбор двух клинических случаев // Русский журнал детской неврологии. 2020. Т. 15, № 2. С. 55–59. [Kotov AS, Muhina EV, Shatalin AV, et al. Difficulties of differential diagnostics of Guillain-Barré syndrome in children. The discussion of two clinical cases. Russ J Child Neurol. 2020;15(2):55–59. (In Russ).] EDN: ADUVHX doi: 10.17650/2073-8803-2020-15-2-55-59
- Korinthenberg R, Trollmann R, Felderhoff-Müser U, et al. Diagnosis and treatment of Guillain-Barré syndrome in childhood and adolescence: An evidence- and consensus-based guideline. Eur J Paediatr Neurol. 2020;(25):5–16. doi: 10.1016/j.ejpn.2020.01.003
- Нейроинфекции у детей (коллективная монография) / под ред. Н.В. Скрипченко. Санкт-Петербург: Тактик-Студио, 2015. 856 с. [Neuroinfections in children (collective monograph). Ed. by N.V. Skripchenko. Saint Petersburg: Taktik-Studio; 2015. 856 p. (In Russ).]
- Ирикова М.А., Скрипченко Е.Ю., Войтенков В.Б., и др. Клинико-этиологические особенности невропатии лицевого нерва у детей и их роль в прогнозировании исходов заболевания // Журнал инфектологии. 2023. Т. 15, № 3. С. 39–43. [Irikova MA, Skripchenko EY, Voytenkov VB, et al. Clinical and etiological features of peadiatric facial neuropathy and their role in predicting outcomes. Zhurnal infektologii. 2023;15(3):39–43. (In Russ).] EDN: JWDMQE doi: 10.22625/2072-6732-2023-15-3-39-43
- Marques A, Okpali G, Liepshutz K, Ortega-Villa AM. Characteristics and outcome of facial nerve palsy from Lyme neuroborreliosis in the United States. Ann Clin Transl Neurol. 2022;9(1):41–49. EDN: CGKSNT doi: 10.1002/acn3.51488
- Molinari G, Lucidi D, Fernandez IJ, et al. Acquired bilateral facial palsy: A systematic review on aetiologies and management. J Neurol. 2023;270(11):5303–5312. EDN: VCLQEA doi: 10.1007/s00415-023-11897-7
- Namavarian A, Eid A, Ziai H, et al. Facial nerve paralysis and COVID-19: A systematic review. Laryngoscope. 2023;133(5):1007–1013. EDN: GFBSGC doi: 10.1002/lary.30333
- Finsterer J. Triggers of Guillain-Barré syndrome: Campylobacter jejuni predominates. Int J Mol Sci. 2022;23(22):14222. EDN: GKDOKG doi: 10.3390/ijms232214222
- Liu H, Ma Y. Hepatitis E virus-associated Guillain-Barre syndrome: Revision of the literature. Brain Behav. 2020;10(1):e01496. doi: 10.1002/brb3.1496
- Boccia F, Florio LL, Durante-Mangoni E, Zampino R. Guillain-Barré syndrome as clinical presentation of a recently acquired hepatitis C. J Neurovirol. 2023;29(5):640–643. EDN: KOGEEO doi: 10.1007/s13365-023-01167-7
- Pimentel V, Luchsinger VW, Carvalho GL et al. Guillain-Barré syndrome associated with COVID-19: A systematic review. Brain Behav Immun Health. 2023;(28):100578. EDN: LHUYBA doi: 10.1016/j.bbih.2022.100578
- Censi S, Bisaccia G, Gallina S, et al. Guillain-Barré syndrome and COVID-19 vaccination: A systematic review and meta-analysis. J Neurol. 2024;271(3):1063–1071. doi: 10.1007/s00415-024-12186-7
- Dardiotis E, Sokratous M, Tsouris Z, et al. Association between Helicobacter pylori infection and Guillain-Barré syndrome: A meta-analysis. Eur J Clin Invest. 2020;50(5):e13218. doi: 10.1111/eci.13218
- Wu N, Li X, Ma H, et al. The role of the gut microbiota and fecal microbiota transplantation in neuroimmune diseases. Front Neurol. 2023;(14):1108738. EDN: MQFYWO doi: 10.3389/fneur.2023.1108738
- Laman JD, Huizinga R, Boons GJ, Jacobs BC. Guillain-Barré syndrome: Expanding the concept of molecular mimicry. Trends Immunol. 2022;43(4):296–308. EDN: NCSNUP doi: 10.1016/j.it.2022.02.003
- Celik O, Ulkumen B, Eskiizmir G, et al. The ratio of facial nerve to facial canal as an indicator of entrapment in Bell’s palsy: A study by CT and MRI. Clin Neurol Neurosurg. 2020;(198):106109. doi: 10.1016/j.clineuro.2020.106109
- Климкин А.В., Бедова М.А., Скрипченко Е.Ю., и др. Моторная хроническая воспалительная демиелинизирующая полиневропатия у ребенка // Российский неврологический журнал. 2022. Т. 27, № 5. С. 69–72. [Klimkin AV, Bedova MA, Skripchenko EY, et al. Motor chronic inflammatory demyelinating polyneuropathy in a child. Neurolog J. 2022;27(5):69–72. (In Russ).] EDN: JBDJJS doi: 10.30629/2658-7947-2022-27-5-69-72
- Супонева Н.А., Гришина Д.А., Рябинкина Ю.В., и др. Острый дебют хронической воспалительной демиелинизирующей полинейропатии: клиническое наблюдение // Терапевтический архив. 2022. Т. 94, № 4. С. 544–551. [Suponeva NA, Grishina DA, Ryabinkina YV, et al. Chronic inflammatory demyelinating polyneuropathy with an acute onset: Clinical case. Ther Arch. 2022;64(4):544–551. (In Russ).] EDN: YBVBTK doi: 10.26442/00403660.2022.04.201457
Supplementary files




