Tannerella forsythia as one of severity degree predictors for chronic generalized periodontitis
- Authors: Yashnova N.B.1, Pinelis Y.I.1, Dutova A.A.1, Yashnov A.A.1
-
Affiliations:
- Chita State Medical Academy
- Issue: Vol 15, No 3 (2024)
- Pages: 17-24
- Section: Original Study Articles
- Submitted: 02.04.2024
- Accepted: 20.07.2024
- Published: 02.11.2024
- URL: https://clinpractice.ru/clinpractice/article/view/629604
- DOI: https://doi.org/10.17816/clinpract629604
- ID: 629604
Cite item
Abstract
BACKGROUND: Chronic generalized periodontitis takes the second place by the occurrence rate worldwide among the diseases of the maxillofacial area. High significance of preventing and early diagnostics for chronic generalized periodontitis is defined by the early tooth loss, by the decrease in chewing efficiency and by the development of chronic infection foci. It is known that the main etiology factor of chronic periodontitis is the microbial one, including the representative of the oral cavity microbiota — Tannerella forsythia, which is a Gram-negative, anaerobic bacterium.
AIM: To verify the presence of T. forsythia in cases of chronic generalized periodontitis depending on the disease severity.
METHODS: The research included 126 patients with chronic generalized periodontitis of various severity degree, for which, an analysis of the content of periodontal recess was carried out. In the control group, consisting of individuals with no periodontal tissue abnormalities (n=39), the content of gingival sulcus was analyzed. The samples were examined using the method of polymerase chain reaction following the real time mode by means of employing the DT-96 detection thermocycler (DNA-Tekhnologia NPO) and the «ParadontoScreen» test kit.
RESULTS: The findings included a high direct correlation between the rate of detecting T. forsythia and the severity degree of the course of chronic periodontitis (the correlation coefficient value was found to be 0.997; p <0.05). A strong direct relation (0.948; p <0.05) was demonstrated between the concentration of T. forsythia genomic equivalent and the severity degree of chronic periodontitis.
CONCLUSION: The conducted research has shown that the concentration of T. forsythia is a predictor for severity degree of chronic periodontitis.
Full Text
BACKGROUND
Chronic generalized periodontitis takes the second place worldwide by the occurrence rate among the diseases of the maxillofacial area. Based on the research carried out in 2016 (Global Burden of Disease Study), it was found that the severe diseases of periodontal tissues take the 11th place worldwide. So, the incidence of chronic periodontitis by population cohorts, generally, varies from 36% in the countries of the Western Europe to 80–100% in the developing countries. In recent years, a growth of incidence was reported up to 30% among the individuals aged 19–25 and up to 60% — among the ones aged 25–30 [1–5].
The high significance of the problem of chronic generalized periodontitis occurrence in the modern society is defined by the early loss of teeth, by the decrease in chewing efficiency and by the development of chronic infection foci. As of today, one of the most topical issues in periodontology is the development and improvement of the methods of early diagnostics and treatment for periodontal diseases [6–9].
The clinical signs of chronic generalized periodontitis are characterized by hemorrhages in the gingival mucosa; by the presence of solid and soft dental deposit, by loosening of teeth and by the presence of periodontal recess; by loss of alveolar process bone tissue height.
Three disease stages are known — mild, moderate and severe. The mild degree of severity is characterized by the presence of swelling, cyanotic and bleeding mucosa of the gingival margin, 1st degree loosening of teeth and by the presence of a periodontal recess up to 4 mm deep. The radiology images in cases of mild disease show dilation of periodontal fissure, loss of integrity in the cortical plate, resorption of the alveolar bone walls by 1/3 of the dental root length. In cases of moderate severity of chronic generalized periodontitis, the findings include an increase in the depth of periodontal recess up to 6 mm, pathological loosening of teeth (2nd degree) and exposition of the dental roots. The orthopantomograms from the patients with 2nd degree show resorption of alveolar bone walls, reaching up to 1/2 of the length of the dental root and showing signs of destruction in the cortical plate. The severe chronic generalized periodontitis is characterized by an increase in the pathological loosening of teeth (up to degree II or III), by dislocation of teeth, by the presence of periodontal recesses with a depth of more than 6 mm and with the presence of purulent exudate, by significant traumatic occlusion and exposition of the roots. Upon radiology examination, the findings include resorption of alveolar bone walls to a distance of more than 1/2 of the dental root length with the presence of pathological bone pockets.
The detection of pathological loosening of teeth is based on the classification that is the most used in clinical practice — the one from the D.A. Entin (1954): 1st degree — tooth dislocation only in the vestibulooral direction; 2nd degree — tooth dislocation in the vestibulooral and medio-distal directions; 3rd degree — tooth dislocation in the vestibulooral, medio-distal and vertical directions [6–8].
It is known that the main etiology factor for chronic periodontitis is the microbial one, with one representative of oral cavity microbiota being the Tannerella forsythia, which is a Gram-negative anaerobic bacterium. This microorganism, described by the scientist Ann Tanner, was later called Bacteroides forsythus and it is currently classified as a member of Tanerella genus. There are data indicating that T. forsythia does not ferment sugar and, for implementing its active vital activities, it has trypsin- and cysteine-like proteases, encoded by the PrtH, allowing the bacteria to exhibit cytopathic effects. The PrtH protease decreases the cellular adhesion of periodontal tissues and stimulates the processes of inflammation, accompanied by the secretion of interleukin 8 (IL-8). At the initial stages of research activities, it was found that PrtH phenotype T. forsythia is a forsythia exfoliation factor, it takes part in cell fragmentation and disintegration of gingival mucosa and, thus, it can act as a pathogenic factor of developing periodontosis [10–13].
As for adaptation mechanisms, T. forsythia has an enzyme called karyolysine, capable of cleaving fibrinogen and hemoglobin along with inactivating the complement system, and an antimicrobial peptide LL-37, promoting chronic inflammation by means of producing tumor necrosis factor (tumor necrosis factor, TNF) in macrophages. For protection purposes, the bacteria have a specific protein Serpin (Miropin), being a pathogenicity factor, which suppresses serine proteases found in neutrophils. At the same time, the surface of the bacteria is covered in BspA proteins, interacting with extracellular fibronectin and fibrinogen, which allows the bacteria to firmly attach to gingival tissues and reproduce there. The lipoproteins located at the bacterial surface also play an important role of in the growth of the bacteria, inducing apoptosis in fibroblasts of the host’s gingival mucosa. For productive vital processes, T. forsythia has enzymes (glucosidases), cleaving oligosaccharides and proteoglycans of host cells: exo-α-sialidase, α-D-glucosidase and N-acetyl-β-D-glucosaminidase. It was found that, in the presence of glucose, the microorganism accumulates a lot of methylglyoxal products that are toxic for host cells [11, 12].
Considering the above, it can be concluded that T. forsythia has multiple molecular factors, each of which can participate in the pathogenesis of chronic periodontitis. Thus, monitoring of T. forsythia gains special significance in diagnostics and determining further treatment tactics, as well as in predicting the disease [12, 14, 15].
Research aim — to verify T. forsythia presence in cases of chronic generalized periodontitis depending on the severity diseases.
METHODS
Research design
Within the premises of the Clinical Hospital of the Federal State Budgetary Educational Institution of Higher Education “ Chita City State Medical Academy” of the Ministry of Health of the Russian Federation, an observational single-center selective controlled non-randomized research work was carried out.
Conformity criteria
Inclusion criteria: patients suffering from chronic generalized periodontitis and aged from 44 to 60 years, not receiving antibacterial therapy for 6 months before the research activities.
Exclusion criteria: patients with chronic generalized periodontitis aged under 44 years and older than 60 years, receiving antibacterial therapy; patients suffering from primary or secondary immune deficiency, autoimmune diseases, diabetes mellitus or malignant neoplasms.
Research facilities
The examination was carried out within the premises of the Clinical Hospital of the Federal State Budgetary Educational Institution of Higher Education “Chita City State Medical Academy” of the Ministry of Health of the Russian Federation (Chita) during the time period from 2021 until 2023.
Medical procedure description
The patients in all the research groups underwent sampling of the periodontal recess content, while the patients from the control group had their gingival sulcus content sampled. All the samples were examined using the method of polymerase chain reaction (PCR) with real-time detection using the DT-96 detecting thermocycler (“NPO DNK-Теkhnologia” LLC) and the “ParodontoScreen” test kit. This procedure does not require special preoperational preparation or the use of local anesthetics.
Research outcomes
Main outcome of the research: a “surrogate” final point was assessed (genomic equivalent of microbial burden).
Subgroup analysis
The disease severity criterion was used to designate subgroups according to the classification of chronic generalized periodontitis.
Ethical review
The research was approved at the meeting of the local Ethics Committee of the Federal State Budgetary Educational Institution of Higher Education “Chita City State Medical Academy” (extract from the Minutes No. 112 dd. 23.04.2021).
Statistical analysis
Statistical processing of the obtained results was carried out using the “SPSS Statistics 10” software v. 10 (StatSoft Inc., USA) with following the statistical analysis principles, accepted for research activities in biology and medicine. The results were presented as means with standard deviations. For the purpose of assessing the correlation and determining the strength and direction of the correlation relationship between two factors, Spearman’s test was used, while the Student’s test with Bonferroni adjustment was applied when comparing the research groups to the clinical control group [16].
RESULTS
Research sample (participants)
The number of examined patients with chronic generalized periodontitis was 126. The patients were divided into three groups comparable by age and gender, depending on the disease severity: mild degree — group 1 (n=39); moderate degree of severity — group 2 (n=42); severe degree — group 3 (n=45), along with a separate control group (n=39), which included individuals without abnormalities in the periodontal tissues. The degree of periodontitis severity was set based on such criteria as the depth of the periodontal recess, pathological loosening of teeth and the degree of bone tissue resorption in the alveolar processes.
Primary findings
It was found that the occurrence rate of T. forsythia in patients with chronic generalized periodontitis was significantly increasing along with an increase in disease severity (table 1), with the correlation coefficient value being 0.997 (p <0.05), which indicates the direct and strong relationship between the detection of the said microorganism and the severity degree of disease.
Table 1
The incidence of Tannerella forsythia
Occurrence | Study groups, n (%) | |||
Control (n=39) | 1 (n=39) | 2 (n=42) | 3 (n=45) | |
Positives | 16 (41) | 21*, 2* (54) | 363* (86) | 404* (89) |
Negatives | 23 (59) | 18 (46) | 6 (14) | 5 (11) |
Note. p-level: * <0.001 in groups 1 and 2; 2* <0.001 in groups 1 and 3; 3* <0.001 in groups 2 and control; 4* <0.001 in groups 3 and control.
In patients with mild degree chronic generalized periodontitis (Group 1), the orthopantomogram was showing a dilation of the periodontal fissure, loss of integrity in the cortical plate, resorption of alveolar bone walls by 1/3–1/4 of the length of dental root (Fig. 1), with this being said, the mean value of genomic equivalent per 1 ml of biological sample (GE) for T. forsythia was 5.0±1.03, which is 1.5 times more than the values in the control group (p=0.012) (Fig. 2).
Fig. 1. Orthopantomogram — patient K. aged 44 years old: chronic generalized periodontitis of mild severity degree.
Fig. 2. Mean values of Tannerella forsythia concentration. GE — genomic equivalent; CGP — chronic generalized periodontitis.
The clinical signs and objective examination data in Group 2 allowed for defining the depth of periodontal recesses as reaching 6 mm, along with 2nd degree pathological loosening of teeth and exposing the dental roots. The orthopantomogram in patients from this subgroup shows a resorption of alveolar bone walls down to 1/2 of the length of dental root and destruction of the cortical plate (Fig. 3), with the mean microorganism concentration in Group 2 being increased up to 5.7±0.80 GE, which is 1.7 times higher than the same parameter in the control group (p <0.001).
Fig. 3. Orthopantomogram — patient N., aged 49 years: chronic generalized periodontitis of moderate severity degree.
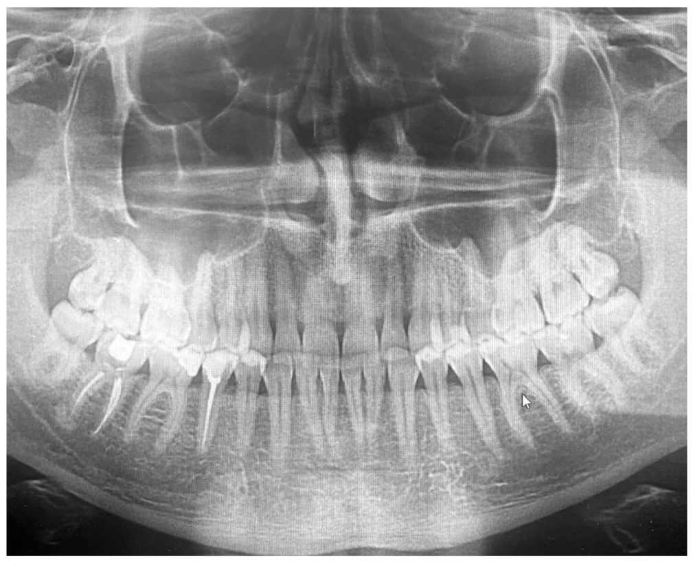
During the analysis of the obtained data, the highest concentration of T. forsythia was found in patients from Group 3 — 6.6±1.87 GE, which is 1.3 times higher comparing to the values in Group 1 (p <0.001), 1.16 times higher comparing to Group 2 and 2 times higher comparing to the values in the control group. In patients from Group 3, the clinical signs and visual examination results have revealed a degree 2–3 pathological loosening of teeth, dislocation of teeth, as well as the presence of periodontal recesses with a depth exceeding 6 mm together with the presence of purulent exudate, significant traumatic occlusion and exposed roots. Upon radiology examination, this category of patients shows resorption of alveolar bone walls exceeding 1/2 of the length of dental roots along with the presence of pathological bone pockets (Fig. 4).
Fig. 4. Orthopantomogram — patient G., aged 56 years old: severe chronic generalized periodontitis.
Based on the results of the conducted research, a direct strong relationship was found (0.948; p <0.05) between the concentration (genomic equivalent) of T. forsythia and the severity degree of chronic periodontitis. When analyzing the sensitivity and specificity of T. forsythia genomic equivalent in patients from the research groups, it was found that the maximal sensitivity value is 78.4% [confidence interval 73.79–83.01] with the specificity being equal to 62.1% [confidence interval 59.76–64.44] for the detection of this bacteria in a group with severe disease degree (Fig. 5).
Fig. 5. Sensitivity and specificity of Tannerella forsythia.
DISCUSSION
Chronic periodontitis is a complex, multifactorial and not yet completely studied disease. The main role in the development of periodontitis is given to the periodontal pathogenic microbiota. At the same time, the highest pathogenicity is shown for the so-called red (periodontal) complex that includes T. forsythia, Porphyromonas gingivalis and Treponema denticola. This being said, in her scientific articles, L.S. Sazanskaya [17] has shown a definite role of Т. forsythia and other periodontal pathogens in the development and progression of periodontitis in cases of gastroesophageal reflux disease. Е.V. Markelovа et al. [18] have found the presence of Т. forsythia at the etiologically significant concentration in cases of severe chronic periodontitis. Besides, the recent scientific data show that this microorganism (due to having its pathogenicity factors) causes inflammatory and destructive changes.
The research work we have performed demonstrates that, with the increase of periodontitis severity degree, an increase is found in the genomic equivalent for the said bacteria, which indicates the growth of bacterial burden. The research work results indicate the necessity for combined specific antibacterial therapy in cases of chronic generalized periodontitis for the purpose of preventing disease progression.
CONCLUSION
A direct correlation relationship was found between the increase in the genomic equivalent and the increase of the degree of destructive changes in the periodontal tissues. The obtained results confirm that T. forsythia at the etiologically significant concentration is the predictor of severity degree for chronic periodontitis. The diagnostics of T. forsythia concentration shall allow (combined with classic examination methods) for predicting the risk of developing periodontitis in healthy individuals, and in cases of its presence — for practically unerringly defining the degree of severity for the disease, which shall provide a possibility of prescribing the corresponding combined treatment.
Such a significant correlation interrelationship between the presence of T. forsythia and the severity degree of periodontitis allows for drawing up a conclusion that the protocol of therapeutic procedures for this disease shall include antibacterial medications with effective bactericidal and bacteriostatic effects. The use of antibacterial therapy in the treatment of chronic periodontitis shall increase its quality.
ADDITIONAL INFORMATION
Funding source. This research was not supported by any external sources of funding.
Competing interests. The authors declare that they have no competing interests.
Authors’ contribution. N.B. Yashnova — search and analytical work, processing and discussion of research results, writing the manuscript; A.A. Dutova — laboratory testing of biological samples taken from the patients; Yu.I. Pinelis — editing; A.A. Yashnov — discussion of the results of the research, editing. The authors made a substantial contribution to the conception of the research work, acquisition, analysis and interpretation of data from the research work, drafting and revising the article, as well as final approval of the version to be published and the authors agree to be accountable for all aspects of the research work.
About the authors
Nadezhda B. Yashnova
Chita State Medical Academy
Author for correspondence.
Email: nadezhday1990@yandex.ru
ORCID iD: 0000-0002-5761-8376
SPIN-code: 6764-1472
Russian Federation, Chita
Yury I. Pinelis
Chita State Medical Academy
Email: pinelisml@mail.ru
ORCID iD: 0000-0002-0664-702X
SPIN-code: 2252-8216
MD, PhD, Associate Professor
Russian Federation, ChitaAnastasia A. Dutova
Chita State Medical Academy
Email: dutova.nastya75@yandex.ru
ORCID iD: 0000-0001-8285-6061
SPIN-code: 2141-9961
MD, PhD
Russian Federation, ChitaAlexey A. Yashnov
Chita State Medical Academy
Email: alexyashnov@mail.ru
ORCID iD: 0000-0001-6881-4455
SPIN-code: 2878-4789
MD, PhD
Russian Federation, ChitaReferences
- Григорьев С.С., Саблина С.Н., Еловикова Т.М., и др. Патогенетические параллели остеопороза и хронического пародонтита. Литературный обзор // Проблемы стоматологии. 2022. Т. 18, № 1. С. 19–28. [Grigoriev SS, Sablina SN, Elovikova TM, et al. Pathogenetic parallels of osteoporosis and chronic periodontitis. Literature review. Actual Problems Dentistry. 2022;18(1):19–28]. EDN: PAAVDM doi: 10.18481/2077-7566-22-18-1-19-28
- Иванова С.Б., Соколова И.В., Васильев А.М., Кобякова В.А. Распространенность хронического локализованного пародонтита и предрасполагающих к нему факторов // Молодежь и медицинская наука: материалы IX Всероссийской межвузовской научно-практической конференции молодых ученых с международным участием, Тверь, 26 ноября 2021 г. Тверь, 2022. С. 59–63. [Ivanova SB, Sokolova IV, Vasiliev AM, Kobyakova VA. The prevalence of chronic localized periodontitis and predisposing factors. In the collection: Youth and medical science. In: Materials of the IX All-Russian Interuniversity scientific and practical conference of young scientists with international participation. Tver, 2021 Nov 26. Tver; 2022. Р. 59–63. (In Russ.)] EDN: SVAXOH
- Мордасов Н.А., Касимова Г.В., Алфимова О.А., и др. Терапевтический подход к лечению хронического генерализованного пародонтита на фоне системного остеопороза гуманизированным моноклональным антителом (IGG2) // Новое в теории и практике стоматологии: материалы XXI Форума научно-практической конференции стоматологов Юга России «Актуальные вопросы клинической стоматологии», посвященной 75-летию со дня рождения профессора В.И. Гречишникова, Ставрополь, 21–22 апреля. Ставрополь, 2022. С. 47–52. [Mordasov NA, Kasimova GV, Alfimova OA, et al. A therapeutic approach to the treatment of chronic generalized periodontitis against the background of systemic osteoporosis with a humanized monoclonal antibody (IGG2). In the collection: New in the theory and practice of dentistry. In: Topical issues of clinical dentistry: Materials of the XXI Forum of the scientific and practical conference of dentists of the South of Russia, dedicated to the 75th anniversary of the birth of Professor V.I. Grechishnikov, Stavropol, April 21–22. Stavropol; 2022. Р. 47–52. (In Russ.)] EDN: ENIMGN
- Мудров В.П., Родкина Г.Н., Казаков С.П. Местный иммунный ответ при хроническом пародонтите и системные заболевания // Клиническая лабораторная диагностика. 2021. Т. 66, № 4. С. 47. [Mudrov VP, Rodkina GN, Kazakov SP. Local immune response in chronic periodontitis and systemic diseases. Clinical laboratory diagnostics. 2021;66(4):47]. EDN: QSTKPO
- Саблина С.Н. Цитокиновый статус пациентов с хроническим пародонтитом: ассоциации и корреляции // Проблемы стоматологии. 2023. Т. 19, № 2. С. 73–79. [Sablina SN. Cytokine status in patients with chronic periodontitis, associations and correlations. Actual Problems Dentistry. 2023;19(2):73–79]. EDN: GAMYVZ doi: 10.18481/2077-7566-2023-19-2-73-79
- Булгакова А.И., Солдатова Е.С., Кувардина Ю.О. Оптимизация комплексного лечения хронического пародонтита // Пародонтология. 2023. Т. 28, № 4. С. 431–436. [Bulgakova AI, Soldatova ES, Kuvardina YuO. Optimization of chronic periodontitis comprehensive treatment. Periodontology. 2023;28(4):431–436]. EDN: EGGCOW doi: 10.33925/1683-3759-2023-840
- Зойиров Т.Э., Джавадова Л.М. Современные представления о методах оценки качества жизни хронического генерализованного пародонтита (обзор литературы) // Вестник науки и образования. 2020. № 20-1. С. 62–65. [Zoirov TE, Javadova LM. Modern views on the methods of treatment of chronic generalized periodontitis (literature review). Vestnik nauki i obrazovaniya. 2020;(20-1):62–65]. EDN: JLUGSD
- Копецкий И.С., Побожьева Л.В., Копецкая А.И., и др. Проблемы сохранения зубов в комплексной терапии хронического генерализованного пародонтита // Российский медицинский журнал. 2021. Т. 27, № 1. С. 71–78. [Kopetsky IS, Pobozhyeva LV, Kopetskaya AI, et al. Problems of dental preservation and complex therapy of chronic generalized periodontitis. Rossiiskii meditsinskii zhurnal. 2021;27(1):71–78]. EDN: JISXDZ doi: 10.17816/0869-2106-2021-27-1-71-78
- Сперанская Е.М., Салеева А.Ф., Мухамеджанова Л.Р., и др. Пролиферативная активность фибробластов десны взрослых людей при хроническом пародонтите // Морфологические ведомости. 2023. Т. 31, № 2. С. 69–76. [Speranskaya EM, Saleeva AF, Mukhamedzhanova LR, et al. The proliferative activity of fibroblasts of gingiva in adults at chronic periodontitis. Morphological Newsletter. 2023;31(2):69–76]. EDN: ZGVSOC doi: 10.20340/mv-mn.2023.31(2).745
- Капранова В.В., Волобуева Е.В., Лутай О.А. Клинический и бактериологический контроль динамики инфекционного процесса больных хроническим генерализованным пародонтитом // Естественные и технические науки. 2019. № 6. С. 85–89. [Kapranova VV, Volobueva EV, Lutai OA. Clinical and bacteriological control of the dynamics of the infectious process, patients with chronic generalized periodontitis. Estestvennye i tekhnicheskie nauki. 2019;(6):85–89]. EDN: ENOOPN doi: 10.25633/ETN.2019.06.04
- Кузнецова Л.И., Астахова М.И., Ушакова С.Л., и др. Микробиологическое исследование флоры полости рта у пациентов с хроническим пародонтитом // Инновационная стоматология: сборник научных трудов, посвященный 75-летию победы в Великой Отечественной войне, 11–12 апреля. Уфа, 2020. С. 166–172. [Kuznetsova LI, Astakhova MI, Ushakova SL, et al. Microbiological examination of oral flora in patients with chronic periodontitis. In the collection: Innovative dentistry. A collection of scientific papers dedicated to the 75th anniversary of victory in the Great Patriotic War, April 11–12. Ufa; 2020. Р. 166–172. (In Russ.)] EDN: PCHDXV
- Malinowski B, Węsierska A, Zalewska K, et al. The role of Tannerella forsythia and Porphyromonas gingivalis in pathogenesis of esophageal cancer. Infect Agents Cancer. 2019;14(3):1–8. EDN: EKODBA doi: 10.1186/s13027-019-0220-2
- Микляев С.В., Леонова О.М., Сущенко А.В., и др. Анализ содержимого пародонтального кармана при хроническом пародонтите // Системный анализ и управление в биомедицинских системах. 2021. Т. 20, № 3. С. 51–55. [Miklyaev SV, Leonova OM, Sushchenko AV, et al. Analysis of the contents of the periodontal pocket in chronic periodontitis. System analysis and management in biomedical systems. 2021;20(3):51–55]. EDN: LJLVTI doi: 10.36622/VSTU.2021.20.3.007
- Олейник О.И., Кубышкина К.П., Олейник Е.А., и др. Современные аспекты вторичной профилактики хронического пародонтита // Профилактическая медицина. 2022. Т. 25, № 5-2. С. 26. [Oleinik OI, Kubyshkina KP, Oleinik EA, et al. Modern aspects of secondary prevention of chronic periodontitis. Russ J Preventive Med. 2022;25(5-2):26]. EDN: GDSXRF
- Слажнева Е.С., Атрушкевич В.Г., Орехова Л.Ю., и др. Сравнительная оценка изменения микробиома пародонта у пациентов с хроническим генерализованным пародонтитом после проведения вектор-терапии // Пародонтология. 2020. Т. 25, № 3. С. 190–200. [Slazhneva ES, Atrushkevich VG, Orekhova LY, et al. Comparative evaluation of changes in the periodontal microbiome in patients with chronic generalized periodontitis after vector-therapy. Periodontology. 2020;25(3):190–200]. EDN: ESMYUB doi: 10.33925/1683-3759-2020-25-3-190-200
- Мудров В.А. Алгоритмы статистического анализа качественных признаков в биомедицинских исследованиях с помощью пакета программ SPSS // Забайкальский медицинский вестник. 2020. № 1. С. 151–163. [Mudrov VA. Statistical analysis algorithms of qualitativefeatures in biomedical researchusing the spss software package. Zabaikal’skii meditsinskii vestnik. 2020;(1):151–163]. EDN: OCWGOH doi: 10.52485/19986173_2020_1_151
- Сазанская Л.С. Персонализированный подход к разработке методов диагностики и лечения стоматологических заболеваний у пациентов с гастроэзофагеальной рефлюксной болезнью: Автореф. дис. ... канд. мед. наук: 14.01.1. Место защиты: Первый Московский государственный медицинский университет имени И.М. Сеченова Министерства здравоохранения Российской Федерации. Москва, 2021. 24 с. [Sazanskaya LS. Personalized approach to the development of methods for the diagnosis and treatment of dental diseases in patients with gastroesophageal reflux disease [dissertation abstract]: 14.01.1. Place of defence: I.M. Sechenov First Moscow State Medical University of the Ministry of Health of the Russian Federation. Moscow; 2021. 24 р. (In Russ.)] EDN: JKZUAH
- Маркелова Е.В., Цуканова И.В., Первов Р.Ю. Анализ состава микробиоты при пародонтите тяжелой степени // Международный журнал гуманитарных и естественных наук. 2023. № 6-2. С. 69–73. [Markelova EV, Tsukanova IV, Pervov RYu. Analysis of microbiota composition in severe periodontitis. Int J Humanit Nat Sci. 2023;(6-2):69–73]. EDN: YRNNCK doi: 10.24412/2500-1000-2023-6-2-69-73
Supplementary files








