Unilateral reexpansion pulmonary edema (clinical observations)
- Authors: Nikitin O.I.1, Khalimalova A.O.1, Yudin A.L.1, Yumatova E.A.1
-
Affiliations:
- Pirogov Russian National Research Medical University
- Issue: Vol 15, No 4 (2024)
- Pages: 104-109
- Section: Case reports
- Submitted: 09.04.2024
- Accepted: 31.10.2024
- Published: 15.12.2024
- URL: https://clinpractice.ru/clinpractice/article/view/630151
- DOI: https://doi.org/10.17816/clinpract630151
- ID: 630151
Cite item
Abstract
BACKGROUND: In clinical practice, pulmonary edema still remains one of the threatening conditions with high mortality, despite the sufficiently large attention from the investigators. The classic pulmonary edema is well studied, having its specific x-ray signs, while the unilateral pulmonary edema occurs rarely and causes difficulties in the differential diagnostics performed by the radiologist. CLINICAL CASE DESCRIPTION: The presented material includes cases of ipsi- and contralateral unilateral reexpansion pulmonary edema. These complications have developed as a consequence of rapid evacuation of the pathological content from the pleural cavity. CONCLUSION: Reexpansion pulmonary edema is a rare, though potentially life-threatening condition, which usually occurs as a result of rapid expansion of long-term collapsed lung, for example, in cases of pneumothorax and pleural effusion. The edema may develop several hours after the expansion of the atelectasis.
Full Text
BACKGROUND
In the normal conditions, the lungs have the part of blood plasma penetrating from the pulmonary circulation into the interalveolar space through the pulmonary capillaries and via the resorption of the interalveolar fluid into the venous part of pulmonary capillaries; the fluid is also being eliminated via the lymphatic vessels, by this maintaining the dynamic balance, the quantitative concept of which is the Starling equation [1, 2]. Pulmonary edemais a life-threatening pathological condition resulting due to the increased content of extravascular fluid in the interstitial and/or alveolar space of the lungs.
Pulmonary edema can be divided into four types: hydrostatic edema; edema with diffuse alveolar damage; edema that is not related to the diffuse alveolar damage and mixed-type pulmonary edema[2]. In an overwhelming number of cases, the edema develops in both lungs.
In everyday practice, the radiologist can face the unilateral form of pulmonary edema, which is a quite rare pathological condition, capable of presenting challenges upon the interpretation of the examination results and requiring thorough differential diagnostics between various pathological unilateral pulmonary lesions [1, 2]. During the last 15 years, in the accessible literature, we were able to find only the description of single cases of unilateral reexpansion pulmonary edema [3–5].
Here we provide our own clinical observations.
DESCRIPTION OF THE CASES
Clinical observation 1
Patient info. The female patient К., 38 years of age, was admitted to the hospital with a history of three days of progressing excruciating shortness of breath at rest, with pain in the chest area on the left side. Recently diagnosed with ovarian adenocarcinoma.
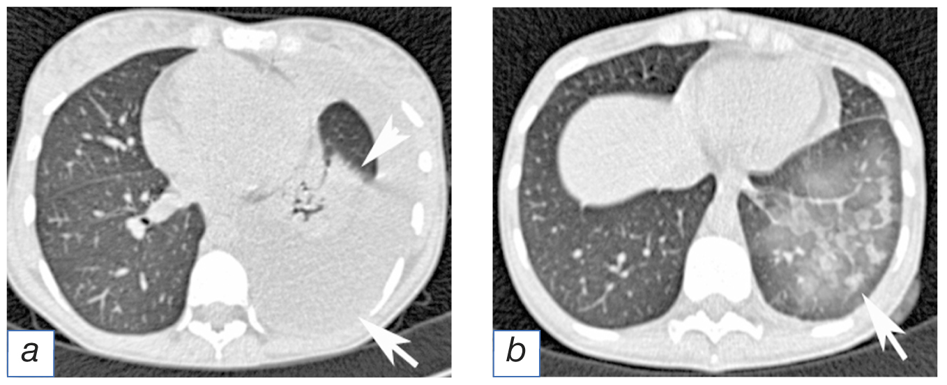
Laboratory and instrumental diagnostics. Upon performing the X-ray and computed tomography of the chest, pleural effusion was found, occupying the lower, the middle and partially upper segments of the left lung, along with the atelectasis of the lower lobe of the left lung (Fig. 1,2,а).
Fig. 1. Female patient К., 38 years of age. Radiology image of the thoracic cavity: subtotal shadowing of left half of the chest cavity to the level of the anterior segment of the 2nd rib on the left side, resulting due to pleural effusion (arrow).
Therapy. 12G draining tube was installed along the left anterior axillary line in the fourth intercostal space. One hour after the installation of the draining tube and after removing ~1.6l of serous-hemorrhagic fluid into the air-locked hermetically sealed draining container, the patient started experiencing coughing with developing an acute shortness of breath and tachypnea with desaturation (SpO2) down to 83% (when inhaling oxygen, 5l/minute, via the simple breathing mask), accompanied by hypotension and tachycardia. Upon the computed tomography of the chest, the findings included a decreased transparency of the left lung (ground glass-type) with multiple intralobular foci of “consolidation” (see Fig. 2,б).
Fig. 2. Female patient К., 38 years of age. Computed tomography image of the thoracic cavity: а — effusion in the pleural cavity (arrow), collapsed lower lobe of the left lung (point of arrow); b — one hour after draining the pleural cavity: decrease transparence of the pulmonary tissue (ground glass-type), foci of consolidation within the basal segments left lung, caused by the reexpansion edema (arrow).
Diagnosis. Taking into consideration the anamnestic data and the clinical signs, the definitive diagnosis set was the following: “Reexpansion edema of the left lung, secondary in terms of hydrothorax of the left lung and in terms of the atelectasis in the lower lobe of the left lung”.
Outcomes and prognosis. The draining tank was lifted up and up to 400 ml of pleural fluid were returned into the pleural cavity. Then followed the controlled periodical draining of pleural fluid at a rate of not more than 500 ml/h until achieving the “dry” condition. Each time the patient was assessed for presence of cough symptoms and shortness of breath.
The complete radiological resolving of pulmonary edema occurred in 2 days. The female patient was discharged with no complications for further follow-up by the district Oncologist.
As it can be suggested from the observations provided, the reexpansion pulmonary edema has developed as a result of rapid removal of large quantities of fluid from the pleural cavity.
Clinical observation 2
Patient info. The female patient А., aged 53, with chronic obstructive pulmonary disease of emphysematous type, has visited the hospital due to having pain in her chest and due to developing progressive shortness of breath.
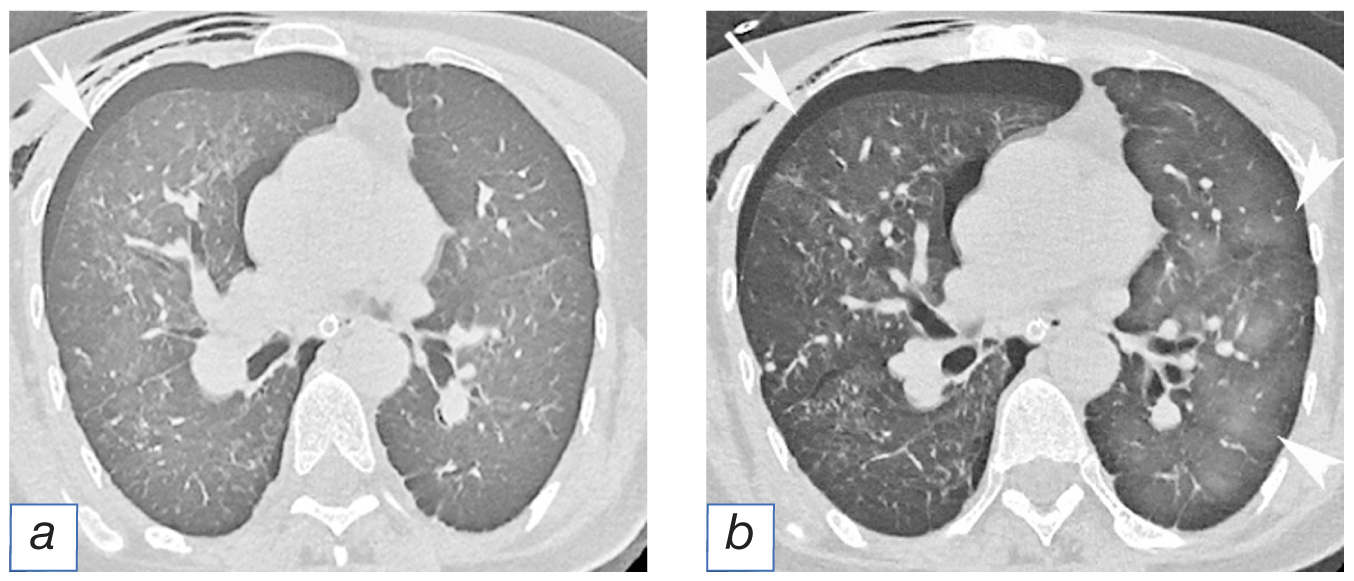
Laboratory and instrumental diagnostics. The initial assessment has revealed tachypnea (respiratory rate— 39 per minute), tachycardia (heart rate 115 per minute) with the blood pressure levels of 110/70 mm Hg along with the blood oxygen saturation (SpO2) levels being 93%. The parameters of the clinical hematology and biochemistry panels were within the reference ranges. Upon the radiography of the chest cavity organs: status post resection of segmentsI–II of the left lung, signs of massive spontaneous pneumothorax on the right side (Fig. 3).
Fig.3. Female patient А., aged 53. Radiology image of the thoracic cavity: spontaneous pneumothorax on the right side, the collapsed right lung (arrow).
Therapy. Thoracostomy was performed with further draining of 1500 cm3 of air. Upon the control computed tomography, the findings included an incomplete expansion of the right lung and emphysema in the soft tissues of the chest cavity (Fig. 4,а). The female patient has tolerated the procedure well and the symptoms of her pathological condition have decreased. The next morning, the patient had increased shortness of breath and her oxygen saturation (SpO2) has dropped to 86%. Upon the repeated computed tomography, multiple intralobular foci of decreased transparency were found in the left lung (ground glass-type) with gravity-related density gradients (see Fig. 4,б). Combined with the anamnestic data, this symptom has provided the possibility to come to the conclusion on the development of reexpansion edema, for the patient had no fever or leukocytosis, characteristic for pneumonia; there were no signs of aspiration or fluid overload, as well as signs of renal or cardiac failure.
Fig. 4. Female patient А., 53 years of age. Computed tomography image the thoracic cavity: а — air accumulation in the right pleural cavity (arrow), emphysema in the soft tissues in the anterior wall of the chest; b — air accumulation in the right pleural cavity (arrow), emphysema in the soft tissues in the anterior wall of the chest; decreased airness in the parenchyma of the left lung (ground glass-type), resulting due to reexpansion edema (point of arrow).
Diagnosis. The definitive diagnosis was stated as the following: “Reexpansion contralateral edema of the left lung, secondary in terms of pneumothorax in the right lung”.
Outcomes and prognosis. After proper oxygen therapy along with the administration of corticosteroid medications and draining of the pleural cavity (using the Bulau’s method), within 5 days the right lung has completely expanded without the development of ipsilateral reexpansion edema, while the reexpansion edema of the left lung has completely resolved.
As it can be suggested from the observations provided, reexpansion pulmonary edema also can develop in the contralateral lung.
DISCUSSION
Unilateral pulmonary edemas can be divided into two large groups— the ipsilateral and the contralateral ones [6]. Ipsilateral pulmonary edemas develop on the side of the pathological process. Such a type of pulmonary edema includes the aspirating form [7], the edemas with a background of pulmonary vein thrombosis [8], the cases of cardiac defects with severe mitral regurgitation [9] and the edemas developing after pulmonary thrombendarterectomy [10]. The left ventricular insufficiency can also be the reason of unilateral pulmonary edema upon the forced attitude of the patient being positioned on one side [5, 11].
The contralateral edemas are characterized by swelling of the unaffected lung and they occur due to an increase of hydrostatic pressure in the normal lung. The unilateral pathological conditions include аsymmetrical emphysema, the Swyer–James–MacLeod syndrome and the status post lobectomy [12, 13].
A remarkable example of unilateral conditions is the reexpansion pulmonary edema. Most frequently, it an ipsilateral edema, developing with 24 hours after rapid fluid or gas evacuation from the pleural cavity. The clinical manifestations of reexpansion pulmonary edema may vary from the changes in the radiography images without any clinical symptoms to hypoxia or even haemodynamic instability of the patient. The computed tomography images in cases of reexpansion pulmonary edema contain peripheral focal areas of decreased transparency (ground glass-type) with perivascular distribution, which is usually associated with interstitial indurations and, probably, with consolidation.
The pathogenesis of reexpansion pulmonary edema is not yet clearly studied. The main reasons of developing this pathological condition should be considered the changes in the permeability of capillaries, playing the most important role in this process, as well as the increase of hydrostatic pressure. The possible predisposing factors to the development of this type of edema include the hypoxic and mechanical damage of the pulmonary capillaries and of the alveolar membrane, along with the decrease in surfactant production. Oxidative stress that develops during long-term collapsing of the lung, results in an increase of the superficial tension in the alveolar membrane, preventing the resorption of fluid. Due to rapid evacuation of the pleural cavity content, there occurs a rapid decrease in the pleural cavity content pressure, which results in rapid restoration of the circulation in the damaged capillaries. Re-perfusion induces the release of cytokines and free radicals, damaging the alveolar-capillary membrane, which results in fluid transudation into the interstitial and alveolar space [2, 14].
Very occasionally, but still possible, reexpansion edema can develop in a contralateral non-collapsed lung. The hypotheses of developing the contralateral reexpansion pulmonary edema include the subconscious aspiration; the compressing forces caused by significant dislocation of the mediastinum; the systemic inflammatory reaction that follows the reexpansion in patients with lung diseases; the significant increase of cardiac output after rapid lung expanding [15]. In case of the presence of radiology findings, corresponding to the reexpansion edema, this type of lung disease can be diagnosed by means of exclusion method in the absence of signs of aspiration, fluid overload, renal or cardiac failure or infection, as well as based on the good response to steroid therapy.
The challenges in the differential diagnostics of unilateral pulmonary edemas may occur in cases of carcinomatous lymphangitis, radiation-induces damage and pneumonias. In the differential diagnostics, the main role is played by the anamnestic data, for the presence of radiation therapy for malignant neoplasms in the affected hemithorax can aid in setting the correct diagnosis, while the presence of such significant clinical signs as fever, coughing, leukocytosis and unilateral shadowed area shall lead the physician to stating the diagnosis of pneumonia [12].
The risk factors of developing the reexpansion edema shall include the time of existing pleural effusion (more than 72 hours) and the proposed volume of fluid/air evacuated (more than 1500 ml). It is also necessary to keep in mind the presence of pulmonary hypertension, hypoxemia and cardio-vascular diseases. In case of the presence of various levels of deficit in the contractility of myocardium, the haemodynamic consequences, which may occur after emptying the pleural cavity, have a tendency of deteriorating. The diseases of lungs or other organs contribute to the increased general risk by altering the pulmonary or cardio-vascular compensation capabilities [16]. In the majority of the research works, the rate of developing the reexpansion edema after relieving the pneumothorax or draining the pleural cavity ranges from 0 to 1%.
The recommendations issued by the British Thoracic Society (BTS) suppose that, during a single procedure, not more than 1.5l of pleural fluid should be drained. In the absence of respiratory symptoms, it is practicable to drain larger volumes “until dry”, but caution should be exercised to avoid creating high negative intrapleural pressure. The gradual evacuation of the pleural cavity content may be required in patients with high risk of developing the reexpansion edema, namely — in case of extended pneumothorax, in patients of young age, in cases of pneumonia with a duration of more than 7days and, probably, in patients having more than 3l of pleural fluid [17].
CONCLUSION
Thus, unilateral pulmonary edemas may have both the cardiogenic and the non-cardiogenic origin; there can be both ipsilateral and contralateral locations. It is important to know about the probability of developing the reexpansion pulmonary edema, for this condition is a rare iatrogenic complication of draining the pleural cavity. The complexity of pathogenesis and the low knowledge among the radiologists about this disease can result in incorrect interpretation of the examination results and, hence, the loss of time required for adequate treatment of the patient.
ADDITIONAL INFORMATION
Funding source. This study was not supported by any external sources of funding.
Competing interests. The authors declare that they have no competing interests.
Authors’ contribution. O.I.Nikitin, A.O.Khalimalova— a literature review, manuscript writing; A.L.Yudin, E.A.Yumatova— description of a clinical case, concept of the article, manuscript writing, editing. All authors made a substantial contribution to the conception of the work, acquisition, analysis, interpretation of data for the work, drafting and revising the work, final approval of the version to be published and agree to be accountable for all aspects of the work.
Consent for publication. A written voluntary informed consent was obtained from the patients to publish a description of the clinical case in the journal “Journal of Clinical Practice”, including the use medical data (results of examination, treatment and observation) for scientific purposes (date of signing 21.06.2019, 07.11.2023).
About the authors
Oleg I. Nikitin
Pirogov Russian National Research Medical University
Email: nikitinolegigor@bk.ru
ORCID iD: 0009-0008-2679-7608
Russian Federation, Moscow
Aracbathinia O. Khalimalova
Pirogov Russian National Research Medical University
Email: arac1998@mail.ru
ORCID iD: 0009-0001-7555-4062
Russian Federation, Moscow
Andrey L. Yudin
Pirogov Russian National Research Medical University
Email: prof_yudin@mail.ru
ORCID iD: 0000-0002-0310-0889
SPIN-code: 6184-8284
MD, PhD, Professor
Russian Federation, MoscowElena A. Yumatova
Pirogov Russian National Research Medical University
Author for correspondence.
Email: yumatova_ea@mail.ru
ORCID iD: 0000-0002-6020-9434
SPIN-code: 8447-8748
MD, PhD, Assistant Professor
Russian Federation, MoscowReferences
- Gurney JW, Goodman LR. Pulmonary edema localized in the right upper lobe accompanying mitral regurgitation. Radiology. 1989;171(2):397–399. doi: 10.1148/radiology.171.2.2704804
- Gluecker T, Capasso P, Schnyder P, et al. Clinical and radiologic features of pulmonary edema. RadioGraphics. 1999;19(6): 1507–1531. doi: 10.1148/radiographics.19.6.g99no211507
- Kepka S, Lemaitre L, Marx T, et al. A common gesture with a rare but potentially severe complication: Re-expansion pulmonary edema following chest tube drainage. Respiratory Medicine Case Reports. 2019;27:100838. doi: 10.1016/j.rmcr.2019.100838
- Nyamande D, Mazibuko S. Lessons from fatal re-expansion pulmonary oedema: Case series. Interact Cardiovasc Thorac Surg. 2021;34(6):1162–1164. doi: 10.1093/icvts/ivab366
- Smith S, Waters P, Mirza W, et al. Re-expansion pulmonary oedema with takotsubo cardiomyopathy: A rare complication of giant hepatic cyst drainage. ANZ J Surg. 2021;91(11):2524–2527. doi: 10.1111/ans.16745
- Myrianthefs P, Markou N, Gregorakos L. Rare roentgenologic manifestations of pulmonary edema. Curr Opin Crit Care. 2011;17(5):449–453. doi: 10.1097/MCC.0b013e328347f501
- Голубев А.М., Городовикова Ю.А., Мороз В.В., и др. Аспирационное острое повреждение легких (экспериментальное, морфологическое исследование) // Общая реаниматология. 2008. Т. 4, № 3. С. 5–8. [Golubev AM, Gorodovikova YuA, Moroz VV, et al. Aspiration-induced acute lung injury: Experimental morphological study. Obshchaya reanimatologiya = General Reanimatology. 2008;4(3):5–8]. EDN: JTZVEB doi: 10.15360/1813-9779-2008-3-5
- Gyves-Ray K, Spizarny D, Gross B. Unilateral pulmonary edema due to postlobectomy pulmonary vein thrombosis. Am J Roentgenol. 1987;148(6):1079–1080. doi: 10.2214/ajr.148.6.1079
- Miyatake K, Nimura Y, Sakakibara H, et al. Localisation and direction of mitral regurgitant flow in mitral orifice studied with combined use of ultrasonic pulsed Doppler technique and two dimensional echocardiography. Br Heart J. 1982;48(5):449–458. doi: 10.1136/hrt.48.5.449
- Gan HL, Zhang JQ, Sun JC, et al. Preoperative transcatheter occlusion of bronchopulmonary collateral artery reduces reperfusion pulmonary edema and improves early hemodynamic function after pulmonary thromboendarterectomy. J Thoracic Cardiovascular Surg. 2014;148(6):3014–3019. doi: 10.1016/j.jtcvs.2014.05.024
- Esper A, Martin GS, Staton GW. Pulmonary edema I: Cardiogenic pulmonary edema. Decker Med. 2021. doi: 10.2310/TYWC.1371
- Jacobs KE, Stark P. Unilateral pulmonary edema: Clinical scenarios and differential diagnosis. Contemporary Diagnostic Radiol. 2015;38(18):6. doi: 10.1097/01.cdr.0000471020.51060.8a
- Saleh M, Miles AI, Lasser RP. Unilateral pulmonary edema in Swyer-James syndrome. Chest. 1974;66(5):594–597. doi: 10.1378/chest.66.5.594
- Mahfood S, Hix WR, Aaron BL, et al. Reexpansion pulmonary edema. Ann Thoracic Surg. 1988;45(3):340–345. doi: 10.1016/s0003-4975(10)62480-0
- Her C, Mandy S. Acute respiratory distress syndrome of the contralateral lung after reexpansion pulmonary edema of a collapsed lung. J Clin Anesthesia. 2004;16(4):244–250. doi: 10.1016/j.jclinane.2003.02.013
- Genofre EH, Vargas FS, Teixeira LR, et al. Reexpansion pulmonary edema. J Pneumologia. 2003;29(2):101–106. doi: 10.1590/s0102-35862003000200010
- Echevarria C, Twomey D, Dunning J, Chanda B. Does re-expansion pulmonary oedema exist? Interactiv Cardiovascular Thoracic Surg. 2008;7(3):485–489. doi: 10.1510/icvts.2008.178087
Supplementary files








