Experimental digital atlas of blood supply zones of the internal carotid artery
- Authors: Gubskiy I.L.1,2, Namestnikova D.D.1,2, Cherkashova E.A.1,2, Gumin I.S.1, Gubsky L.V.1,2, Baklaushev V.P.1,2, Chekhonin V.P.2,3, Yarygin K.N.4,5
-
Affiliations:
- Federal Center of Brain Research and Neurotechnologies
- The Russian National Research Medical University named after N.I. Pirogov
- V. Serbsky National Medical Research Centre of Psychiatry and Narcology
- Institute of Biomedical Chemistry
- Russian Medical Academy of Continuous Professional Education
- Issue: Vol 16, No 1 (2025)
- Pages: 30-37
- Section: Original Study Articles
- Submitted: 10.12.2024
- Accepted: 12.03.2025
- Published: 30.04.2025
- URL: https://clinpractice.ru/clinpractice/article/view/642757
- DOI: https://doi.org/10.17816/clinpract642757
- ID: 642757
Cite item
Abstract
Background: The compilation of a neuroanatomic atlas based on a large sample is essentially a fundamental research work, but compiling a digital atlas during the epoch of wide usage of radiodiagnostics methods in the clinical and experimental practice along with using the artificial intelligence systems brings a significant applied relevance to the research. Rats are the main species of laboratory animals, in which the studies of modeling the ischemic stroke, of testing the cerebroprotective drugs and of developing new strategies of regenerative therapy of stroke consequences are carried out. At the present moment, there is no available and comprehensive digital atlas of the arterial blood supply of the rat brain, while single research works are based on small groups of animals and their histological description. Within this context, it is deemed very interesting and important to take the first step in addressing this issue. AIM: to compile an atlas of blood supply zones within the intracranial branches of the internal carotid artery in the settings of experimentally induced occlusion of the medial cerebral artery. METHODS: The archived data were used from the magnetic resonance imaging scans in rats with modeling the transient occlusion of the medial cerebral artery with a monofilament (n=243). The system of automatic brain segmentation based on artificial intelligence was used for objective mapping of the cerebral infarction area, the obtained data were added to a single coordinate space, unified and analyzed for highlighting the arterial blood supply zones. RESULTS: A digital atlas of the arterial circulation was compiled based on the intravitam data of high-resolution magnetic resonance imaging with an isotropic voxel. CONCLUSION: The compiled atlas may be used for increasing the quality of modeling the cerebral infarction by means of transient occlusion of the medial cerebral artery with a monofilament and it allows for using the additional objective parameters in the evaluation of the treatment effects in cases of experimentally induced ischemic stroke. The methodology developed by us is applicable for high-performance retrospective analysis of the neurovisualization data from the ischemic stroke patients, obtained within a framework of the implementation of the Vascular Medicine Program in the Russian Federation.
Full Text
BACKGROUND
In order to solve the modern scientific tasks, the researchers have to master and apply the new methods of data processing and analysis at a deeper levels [1]. The technological advances progress more and more, which promotes to developing the applied research, however, there is also a decrease in the attention to the fundamental science [2]. The present article is devoted to studying the distribution of arterial blood supply zones in the brain of the rats, which, already more than 150 years are deemed the most popular laboratory animals for modeling various diseases during the experimental biomedical research works [3]. The experimental model of ischemic stroke, based on the transient occlusion of the medial cerebral artery using a monofilament, allows for achieving the maximally precise reproduction of the pathogenetic processes occurring upon the development of the two most frequent variants of ischemic stroke — the atherothrombotic and the cardioembolic one with the reperfusion phenomenon [4, 5]. Despite the high popularity of this model, until the present moment, there is no high-resolution digital atlas of the arterial blood supply zones, which could be integrated into the modern methods of automatic processing of radiology visualization data. The corresponding descriptions of small series of MRI-scans [6] and histology examinations on this issue [7, 8] did not lead to the compilation of such an instrument.
The implementation of the artificial intelligence systems into the translational research on ischemic stroke [9–11] makes this task even more topical. This is, most particularly, due to the fact that similar systems, including the systems of morphometric analysis and of segmenting the foci of damaging the brain matter with taking into consideration the anatomical positioning and others, at a certain stage of their functioning require the usage of a digital atlas, which serves as the basis for the analysis. One of the benefits of the methods of intravitam brain visualization in the experimental animals is the possibility to shorten the sample size and to obtain objective data on the anatomy without the necessity of euthanizing. Magnetic resonance imaging (MRI) as one of such methods [12], allows for accumulating a mass of digital data, required for compiling such an atlas.
Research aim — to compile a digital atlas of the blood supply zones of the intracranial branches of the internal carotid artery in the settings of the experimental occlusion of the medial cerebral artery.
METHODS
Research design
This research work is a single-center (conducted using the data obtained at a single laboratory), experimental (conducted using the data from the laboratory animals) and retrospective one (all the data used during the research, were obtained as a result of other experimental activities).
Conformity criteria
Inclusion criteria. The research included the retrospective data from magnetic-resonance scans of the rat brain with a model of acute focal ischemia and with the protocol including the isotropic Т2-weighted images.
Exclusion criteria. The exclusion criteria used when evaluating the archival data, were the absence of brain infarction area according to data from MRI and the absence of the required impulse sequence in the scanning protocol.
Research facilities
The archival MRI data from the experimental animals were obtained using the Wistar rats at the “Medical Nanobiotechnology” Center for Collective Use within the premises of the Federal State Autonomous Educational Institution of Higher Education “Pirogov Russian National Research Medical University” under the Ministry of Health of the Russian Federation (Pirogov RNRMU). Within the framework of obtaining these data, it was found that, during the previous experiments, the animals were housed in standard conditions (12h dark/light mode, 22±2°С, 45–65% humidity) in groups of 4–5 animals per cage (before) and as a single animal per cage after modeling the ischemic stroke with a free access to water and to the standard rodent diet. All the surgical interventions and MRI procedures were carried out under general inhalational anesthesia, which was administered via the animal anesthesia system (E-Z-7000 Classic System; E-Z-Anesthesia Systems). The induction of anesthesia was initiated by 3.5–4% Isoflurane (Aerrane, Baxter HealthCare Corporation), while maintaining the anesthesia included the use of 2–2.5% Isoflurane. When modeling the experimental brain infarction, a mixture of anesthetic agent and atmospheric air was used, while during the MRI scans, pure oxygen was supplied. During all the surgical interventions and during the MRI scanning, the body temperature of the animals was maintained at 37°C. At the end of the follow-up period, the animals were euthanized using the induction chamber (E-Z-7000 Classic System; E-Z Anesthesia Systems) and inhalational anesthesia with a lethal isoflurane dosage. Later on, directly before transcardiac perfusion, they were additionally receiving a lethal dosage of Zoletil. All the animal-based experimental results were described according to the ARRIVE recommendations.
Research duration
The retrospective analysis of the archival data included the research activities performed by a group of researchers from 2017 until 2024.
Research description
In order to compile an atlas of the blood supply system of the intracranial branches of the internal carotid artery, the archival MRI data from the experimental animals were used, obtained during the modeling of temporary occlusion of the medial cerebral artery with monofilament.
The cerebral infarction induced within the framework of the other scientific research works by the group of authors, was modeled by means of a transient (90 minutes) occlusion of the right medial cerebral artery with a monofilament introduced via the external carotid artery into the internal carotid artery [13]. The monofilament has a silicone tip with a length of 4 mm and with a diameter of 0.37 mm (monofilament 4-0, Doccol Corporation), due to which, depending on the depth of its location, it is possible to cease the circulation in the arteries, located close to the area of the origination of the medial cerebral artery.
As for the objective control of the cerebral infarction focus, all the animals were undergoing MRI-scanning by means of the tomography device for small laboratory animals — ClinScan (Bruker BioSpin) with a magnetic field induction of 7 Tesla.
Statistical analysis
For the most objective segmentation of the cerebral infarction focus, we have used a previously trained software algorithm with an aid of the artificial intelligence system. This system was created on the basis of the Swin-UNETR transformer [14] as one of the most recent neuronal network architectures, demonstrating high quality when segmenting the medical data from the radiology diagnostics methods. All the data processing was carried out using the Python programming language [15]. The obtained data on the segmentation of the cerebral infarction was added to the unified coordinate space by means of using the SimpleITK pack [16] and the pre-prepared template of rat brain (registrations were done in the template). Here, all the segmentation data were integrated and analyzed using the 3D Slicer software pack [17].
RESULTS
Research sample
The research included a total of 243 archived trials, in which isotropic Т2-weighted images were obtained (using the impulse sequence 3-dimensional rapid spin echo with a SPACE mode of excitation angle modification, with the voxel size of 0.2×0.2×0.2 mm, with the time repetition and the echo-signal time of 4000 and 251 msec, respectively).
Primary findings
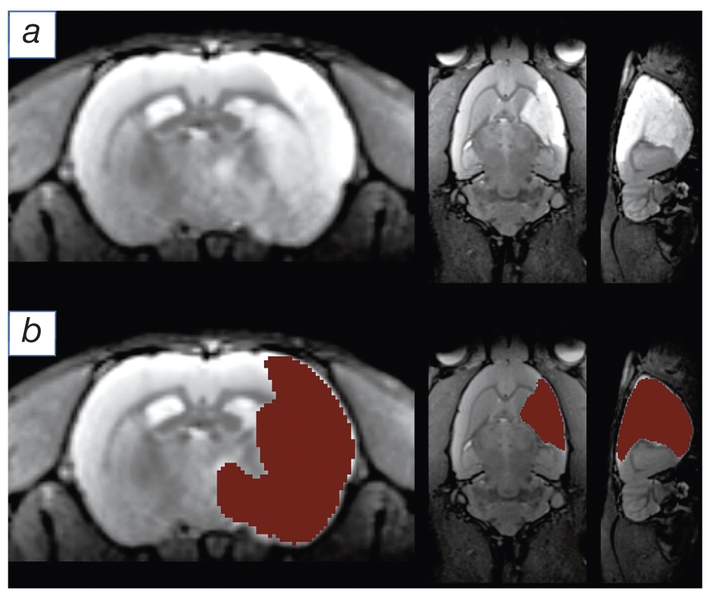
Fig. 1. An example of cerebral infarction segmentation using artificial intelligence: a — T2-weighted images in the axial, frontal and sagittal planes (from left to right), in which a hyperintense lesion of cerebral infarction is visualized in the right hemisphere; b — automatic segmentation of the lesion of cerebral infarction (marked in red).
In order to compile an atlas of the blood supply systems of the intracranial branches of the internal carotid artery according to MRI data, we have used an artificial intelligence system, allowing for significant segmenting the cerebral infarction zone after the occlusion of the medial cerebral artery (Fig. 1). The obtained results of segmenting the experimental cerebral infarction were registered in a unified coordinate space using the rat brain template (Fig. 2, a). Based on the obtained segmentation files, summarized in a single coordinate system, the thermal maps of the rates of developing the cerebral infarction foci were compiled (see Fig. 2, b).
Fig. 2. Frequency of location of the cerebral infarction focus in experimental animals with a model of temporary occlusion of the right middle cerebral artery (obtained by summing up all cerebral infarction foci in one coordinate space): a — template of the intact brain, to which the data were recorded (given for reference); b — frequency of location of the cerebral infarction focus: the warmer the color, the more often this part of the brain was affected (a color scale is given indicating the correspondence of the color and the number of averaged values).
The search of blood supply zones of the main intracranial branches of the internal carotid artery (subcortical and cortical areas of the medial cerebral artery, of the anterior choroid artery and of the hypothalamic arteries) was performed in several stages. In accordance with the sequence of arteries originating from the internal carotid artery, the filament, introduced into its lumen, may cause an occlusion of its various branches (Fig. 3, a). Knowing the sequence of origination of arteries, one can differentiate the animals, in which, upon the deep positioning of the filament, there is no infarction focus in the system of the proximal branches of the internal carotid artery, and from the animals with insufficiently deep positioning of the filament, in which the infarction focus does not involve the distal branches of the internal carotid artery (see Fig. 3, a).
Fig. 3. The pattern of origination of the intracranial branches of the internal carotid artery and the compiled atlas of their blood supply zones: а — the chart showing the origination of the intracranial branches of the internal carotid artery (compiled based on the data obtained by Z. He et al. [7]); b — sequential slices in the axial plane with the location of blood supply zones in them (green color marks the zone of the cortical branches of the medial cerebral artery, yellow — the zone of the medial cerebral artery, supplying the subcortical area, red — the zone of anterior choroid artery, blue — the zone of hypothalamic arteries); c — three-dimensional reconstruction of the atlas of blood supply zones for the intracranial branches of the internal carotid artery (color marking identical to point “b”). ICA — internal carotid artery; PCA — posterior cerebral artery; MCA — median cerebral artery; AChA — anterior choroid artery; HTA — hypothalamic arteries.
The first stage of compiling the atlas was generating the thermal maps of lesion focus development depending on the extent of cerebral infarction: 0–25 mm3, 0–50 mm3, 0–75 mm3, 0–100 mm3, 0–200 mm3, 0–300 mm3, 25–75 mm3, 50–150 mm3, 100–200 mm3, 200–300 mm3, 300–500 mm3, 200–500 mm3, 150 mm3 and more. The obtained thermal maps were visually analyzed using the Otsu’s method; the procedures included a primary segmentation of the areas of interest. During the second stage, automatic filtration was carried out in terms of inclusion and/or exclusion (into the summarized thermal map) of scanning data that included (and/or did not include) the reference points selected at the first stage for the area of the cerebral infarction: a total of five such combinations were selected. The resulting thermal maps were analyzed as an addition to the ones compiled during the fist stage, along with their marking with overlaying the areas with the blood supply from the selected branches of the internal carotid artery. At the final stage, smoothening of contours was done with searching the optimal borders between the blood supply systems for evening out the overlaying areas.
The obtained atlas of blood supply zones of the main intracranial branches of the internal carotid artery is provided in Fig. 3 (b), with its three-dimensional reconstruction — in Fig. 3 (c).
DISCUSSION
The digital atlas of blood supply zones of the major intracranial branches of the internal carotid artery compiled by us, may be used for the objective and quantitative evaluation of the rates of developing various types of cerebral infarction (hemispheric, subcortical, hypothalamic) in a model of transient occlusion of the medial cerebral artery. Based on these data, it is possible to adjust the filament parameters (the length of the silicone tip and its diameter), as well as to predict the possible complications, for example, such as hyperthermia upon damaging the hypothalamus [18]. The benefit of this research is that, for the first time, an atlas of the blood supply zones is compiled based on the large (more than 200 scans) set of data obtained using the non-invasive method with high spatial resolution in rats (an isotropic voxel measuring 0.2×0.2×0.2 mm was used). In the majority of existing trials, for the evaluation of the blood supply zones, the approach used included either ex vivo histological staining of the brain in ischemia [7, 8] or MRI with anisotropic slices and with a small sample size, without compiling the blood supply atlas [6]. Similar atlases of blood supply zones already exist for mice [19, 20], compiled based on the data from single experimental animals, due to which they poorly reflect the variability of their location.
It is worth noting that the proposed approach to compiling an atlas of arterial blood supply zones, based on analyzing the experimental data and described in the present article, has a potential for its adaptation and its application in clinical practice. During the time of implementing the Vascular Medicine Program in the Russian Federation, a significant number of neurovisualization data was accumulated from the ischemic stroke patients. Its retrospective analysis with taking into consideration the demographic and clinical characteristics and based on the methodology developed by the authors, can contribute to obtaining new fundamental knowledge in the field of vascular neurology.
Research limitations
The main downside of this research is compiling the atlas only for the blood supply zones of the intracranial branches of the internal carotid artery on the right side. However, the model of transient occlusion of the medial cerebral artery with a monofilament is the gold standard and the most wide-spread model in translational pre-clinical research on the ischemic stroke as the most closely related in terms of pathophysiology [21–23]. The limitation on the evaluation side can also be reduced at the data registration stage by its reflecting. The possible downside is also the usage of a specialized protocol (isotropic Т2-weighted images with using the impulse sequence of the 3-dimensional rapid spin echo with modifiable excitation angle) at the stage of compiling the atlas, however, the atlas itself may be used outside the context of operating with artificial intelligence, and its registration is possible with any Т2-weighted images, including the anisotropic ones.
CONCLUSION
For the first time ever, based on the sample size of more than 200 high-resolution intravitam МRI-scans, a digital atlas was compiled that is describing the blood supply zones of the major intracranial branches of the internal carotid artery. This atlas is applicable within the framework of translational research in the most relevant experimental model of ischemic stroke — the transient occlusion of the medial cerebral artery with a monofilament. The methodology developed by us is applicable for high-performance retrospective analysis of neurovisualization data from the patients with ischemic stroke, obtained as a part of the implementation of the Vascular Medicine Program in the Russian Federation.
ADDITIONAL INFORMATION
Author contribution. I.L. Gubskiy, D.D. Namestnikova, E.A. Cherkashova, I.S. Gumin — data preparation and analysis, writing program code, writing article text; I.L. Gubskiy, L.V. Gubsky, V.P. Baklaushev, V.P. Chekhonin, K.N. Yarygin — concept development, resource provision, text editing. The authors made a substantial contribution to the conception of the work, acquisition, analysis, interpretation of data for the work, drafting and revising the work, final approval of the version to be published and agree to be accountable for all aspects of the work.
Ethics approval. This work was performed on an archival data set, the acquisition of which as part of the scientific work of the authors’ team was approved by the Ethics Committee of the Pirogov Russian National Research Medical University (protocol No. 22/2023 dated 15.12.2023), and in accordance with Directive 2010/63/EU of the European Parliament and of the Council of the EU on the protection of animals used for scientific purposes.
Funding source. This work was supported by the Research Foundation Flanders (grant 23-25-00300). Part of the work on the analysis of heat map data was performed on equipment and with financial support from the Federal Medical and Biological Agency of Russia.
Competing interests. The authors declare that they have no competing interests.
About the authors
Ilya L. Gubskiy
Federal Center of Brain Research and Neurotechnologies; The Russian National Research Medical University named after N.I. Pirogov
Author for correspondence.
Email: gubskiy.ilya@gmail.com
ORCID iD: 0000-0003-1726-6801
SPIN-code: 9181-3091
MD, PhD
Russian Federation, 1 Ostrovityanova st, build 10, Moscow, 117513; MoscowDaria D. Namestnikova
Federal Center of Brain Research and Neurotechnologies; The Russian National Research Medical University named after N.I. Pirogov
Email: dadnam89@gmai.com
ORCID iD: 0000-0001-6635-511X
SPIN-code: 1576-1860
MD, PhD
Russian Federation, 1 Ostrovityanova st, build 10, Moscow, 117513; MoscowElvira A. Cherkashova
Federal Center of Brain Research and Neurotechnologies; The Russian National Research Medical University named after N.I. Pirogov
Email: tchere@yandex.ru
ORCID iD: 0000-0001-9549-9104
SPIN-code: 3735-3277
MD, PhD
Russian Federation, 1 Ostrovityanova st, build 10, Moscow, 117513; MoscowIvan S. Gumin
Federal Center of Brain Research and Neurotechnologies
Email: ivangumin@mail.ru
ORCID iD: 0000-0003-2360-3261
SPIN-code: 3454-2665
Scopus Author ID: 57223430019
MD
Russian Federation, 1 Ostrovityanova st, build 10, Moscow, 117513Leonid V. Gubsky
Federal Center of Brain Research and Neurotechnologies; The Russian National Research Medical University named after N.I. Pirogov
Email: gubskii@mail.ru
ORCID iD: 0000-0002-7423-1229
MD, PhD, Professor
Russian Federation, Moscow; MoscowVladimir P. Baklaushev
Federal Center of Brain Research and Neurotechnologies; The Russian National Research Medical University named after N.I. Pirogov
Email: baklaushev.vp@fnkc-fmba.ru
ORCID iD: 0000-0003-1039-4245
SPIN-code: 3968-2971
MD, PhD, Assistant Professor
Russian Federation, Moscow; MoscowVladimir P. Chekhonin
The Russian National Research Medical University named after N.I. Pirogov; V. Serbsky National Medical Research Centre of Psychiatry and Narcology
Email: chekhoninnew@yandex.ru
ORCID iD: 0000-0003-4386-7897
SPIN-code: 8292-2807
MD, PhD, Professor, member of the Russian Academy of Sciences
Russian Federation, Moscow; MoscowKonstantin N. Yarygin
Institute of Biomedical Chemistry; Russian Medical Academy of Continuous Professional Education
Email: kyarygin@yandex.ru
ORCID iD: 0000-0002-2261-851X
SPIN-code: 7567-1230
PhD, Professor
Russian Federation, Moscow; MoscowReferences
- Srivastava N, Verma S, Singh A, et al. Advances in artificial intelligence-based technologies for increasing the quality of medical products. Daru. 2024;33(1):1. doi: 10.1007/s40199-024-00548-5 EDN: ZRACJW
- Fajardo-Ortiz D, Thijs B, Glanzel W, Sipido KR. Evolution of funding for collaborative health research towards higher-level patient-oriented research. A comparison of the European Union Framework Programmes to the program funding by the United States National Institutes of Health. 2023. 37 р. doi: 10.48550/arXiv.2308.07162
- Smith JR, Bolton ER, Dwinell MR. The rat: A model used in biomedical research. Methods Mol Biol. 2019;2018:1–41. doi: 10.1007/978-1-4939-9581-3_1 EDN: ZYKRSG
- Li Y, Tan L, Yang C, et al. Distinctions between the Koizumi and Zea Longa methods for middle cerebral artery occlusion (MCAO) model: A systematic review and meta-analysis of rodent data. Sci Rep. 2023;13(1):10247. doi: 10.1038/s41598-023-37187-w EDN: LRWMGN
- Li Y, Zhang J. Animal models of stroke. Animal Model Exp Med. 2021;4(3):204–219. doi: 10.1002/AME2.12179
- Gerriets T, Stolz E, Walberer M, et al. Complications and pitfalls in rat stroke models for middle cerebral artery occlusion: A comparison between the suture and the macrosphere model using magnetic resonance angiography. Stroke. 2004;35(10):2372–2377. doi: 10.1161/01.STR.0000142134.37512.a7
- He Z, Yang SH, Naritomi H, et al. Definition of the anterior choroidal artery territory in rats using intraluminal occluding technique. J Neurol Sci. 2000;182(1):16–28. doi: 10.1016/S0022-510X(00)00434-2
- Guan Y, Wang Y, Yuan F, et al. Effect of suture properties on stability of middle cerebral artery occlusion evaluated by synchrotron radiation angiography. Stroke. 2012;43(3):888–891. doi: 10.1161/STROKEAHA.111.636456
- Liang D, Wiart M, Chauveau F, et al. Pipeline for automatic segmentation of multiparametric MRI data in a rat model of ischemic stroke. Clin Biomed Imaging. 2024. P. 26. doi: 10.1117/12.3006149
- Kuo DP, Kuo PC, Chen YC, et al. Machine learning-based segmentation of ischemic penumbra by using diffusion tensor metrics in a rat model. J Biomed Sci. 2020;27(1):80. doi: 10.1186/s12929-020-00672-9 EDN: ENCAEI
- Fan Y, Song Z, Zhang M. Emerging frontiers of artificial intelligence and machine learning in ischemic stroke: A comprehensive investigation of state-of-the-art methodologies, clinical applications, and unraveling challenges. EPMA J. 2023;14(4):645–661. doi: 10.1007/s13167-023-00343-3 EDN: YGLIYW
- Denic A, Macura SI, Mishra P, et al. MRI in rodent models of brain disorders. Neurotherapeutics. 2011;8(1):3–18. doi: 10.1007/s13311-010-0002-4 EDN: LEUNDA
- Gubskiy IL, Namestnikova DD, Cherkashova EA, et al. MRI guiding of the middle cerebral artery occlusion in rats aimed to improve stroke modeling. Transl Stroke Res. 2018;9(4):417–425. doi: 10.1007/s12975-017-0590-y EDN: BYVFPP
- Hatamizadeh A, Nath V, Tang Y, et al. Swin UNETR: Swin transformers for semantic segmentation of brain tumors in MRI images. In: Conference paper, 22 July 2022. P. 272–284. doi: 10.1007/978-3-031-08999-2_22
- Van Rossum G, Drake FL. Python 3 reference manual (Python Documentation Manual Part 2). CreateSpace Independent Publishing Platform, Brand: CreateSpace Independent Publishing Platform; 2009. 242 p.
- Yaniv Z, Lowekamp BC, Johnson HJ, Beare R. SimpleITK image-analysis notebooks: A collaborative environment for education and reproducible research. J Digit Imaging. 2018;31(3):290–303. doi: 10.1007/s10278-017-0037-8 EDN: YBZILM
- Kapur T, Pieper S, Fedorov A, et al. Increasing the impact of medical image computing using community-based open-access hackathons: The NA-MIC and 3D Slicer experience. Med Image Anal. 2016;33:176–180. doi: 10.1016/j.media.2016.06.035
- Li F, Omae T, Fisher M, et al. Spontaneous hyperthermia and its mechanism in the intraluminal suture middle cerebral artery occlusion model of rats editorial comment. Stroke. 1999;30(11):2464–2471. doi: 10.1161/01.STR.30.11.2464
- Dorr A, Sled JG, Kabani N. Three-dimensional cerebral vasculature of the CBA mouse brain: A magnetic resonance imaging and micro computed tomography study. NeuroImage. 2007;35(4):1409–1423. doi: 10.1016/j.neuroimage.2006.12.040
- El Amki M, Clavier T, Perzo N, et al. Hypothalamic, thalamic and hippocampal lesions in the mouse MCAO model: Potential involvement of deep cerebral arteries? J Neurosci Methods. 2015;254:80–85. doi: 10.1016/j.jneumeth.2015.07.008
- Sokolowski JD, Soldozy S, Sharifi KA, et al. Preclinical models of middle cerebral artery occlusion: New imaging approaches to a classic technique. Front Neurol. 2023;14:1170675. doi: 10.3389/fneur.2023.1170675 EDN: MNAKLW
- Sutherland BA, Neuhaus AA, Couch Y, et al. The transient intraluminal filament middle cerebral artery occlusion model as a model of endovascular thrombectomy in stroke. J Cereb Blood Flow Metab. 2016;36(2):363–369. doi: 10.1177/0271678X15606722
- Themistoklis KM, Papasilekas TI, Melanis KS, et al. transient intraluminal filament middle cerebral artery occlusion stroke model in rats: A step-by-step guide and technical considerations. World Neurosurg. 2022;168:43–50. doi: 10.1016/j.wneu.2022.09.043
Supplementary files






