Diagnostic imaging in patients with mucopolysaccharidosis: important imaging patterns
- Authors: Yarmola I.I.1, Anikin A.V.1, Fomina L.E.1
-
Affiliations:
- National Medical Research Center for Children’s Health
- Issue: Vol 12, No 2 (2021)
- Pages: 60-68
- Section: Original Study Articles
- Submitted: 06.06.2021
- Accepted: 11.06.2021
- Published: 23.07.2021
- URL: https://clinpractice.ru/clinpractice/article/view/71338
- DOI: https://doi.org/10.17816/clinpract71338
- ID: 71338
Cite item
Full Text
Abstract
Background: The need for systematization, generalization and analysis of structural changes in various organs and systems that occur in patients with mucopolysaccharidosis (MPS). MPS is a rare disease, therefore, there is a lack of structured information in Russian publications in the field of radiology. Aims: The purpose of the study is to summarize our own experience, identifying the incidence of changes in various organs and describing the most significant changes and their causes. Identification of more informative and safe diagnostic methods of various organs, taking into account the specificity of changes in MPS. Methods: Retrospectively, 303 children with MPS of different types were examined (the sample included 70 cases verified by the laboratory studies and molecular genetics), the revision of tomograms and radiographs was carried out for the studies from 2015 to 2021. All the patients underwent MRI of the brain and cervical spine, X-ray of the skeletal bones. Results: The analysis of the obtained images revealed the most common changes, such as dysostosis (in 100%; 70 patients), stenosis of the spinal canal at the craniovertebral level (73%; 51 patients), atrophy (47%; 33 patients) and focal lesions of the brain substance (67%; 47 patients), hydrocephalus (28%; 20 patients), expansion of the perivascular spaces (70%; 58 patients). The pathophysiological mechanisms of the occurrence of structural changes have been analyzed and described. Conclusions: The assessment and comparison of various diagnostic methods for different organs and systems has demonstrated that MRI is the most informative imaging method for the assessment of the craniovertebral junction. Given the lower radiation exposure compared to computed tomography, it is preferable to use digital radiography for examining the bones of the extremities.
Full Text
Список сокращений
ОБОСНОВАНИЕ
Мукополисахаридозы (МПС) — группа метаболических заболеваний, характеризующихся нарушением обмена гликозаминогликанов (ГАГ, мукополисахаридов). Мутации в генах, кодирующих лизосомные гидролазы, вызывают недостаточность лизосомных ферментов, участвующих в расщеплении ГАГ, что приводит к отложению мукополисахаридов в лизосомах клеток и межклеточном пространстве соединительной ткани, костях, селезенке, печени и центральной нервной системе [1, 2].
Общая встречаемость МПС — 1 случай на 25 000 населения, однако каждый тип МПС по-отдельности встречается намного реже: по разным данным, от 1 случая на 100 000 до 1 на 200 000 населения [3, 4].
В зависимости от дефицитарного фермента 15 существующих типов МПС делят на 7 фенотипов:
Фенотипы, в свою очередь, в зависимости от тяжести течения и лизосомного фермента делятся на подтипы. Характер наследования всех типов МПС — аутосомно-рецессивный, и лишь для II типа характерен Х-сцепленный тип наследования.
При рождении пациенты фенотипически здоровы, но по мере роста уже в первую декаду жизни появляются морфологические изменения, такие как гепатоспленомегалия, множественные дизостозы, специфическое изменение формы лица, а также поражения других органов и систем, вызывающие частые респираторные инфекции, кардиологические проблемы, тугоухость и отставание в развитии [5-8].
Золотым стандартом верификации МПС являются молекулярно-генетические исследования, позволяющие выявить носительство мутантных генов. Возможна также диагностика на пренатальном этапе, изучение ДНК родителей с целью выявления носительства гена МПС.
Измерение экскреции ГАГ с мочой — скрининговый метод.
Лучевые методы диагностики носят вспомогательный характер: в случае постановки диагноза с помощью рентгенологического, магнитно-резонансного и компьютерного исследования проводится дифференциальная диагностика, а при невозможности проведения или неоднозначных результатах генетических или лабораторных исследований — поиск осложнений и уточнение диагноза.
Цель исследования — создание уникального систематизированного материала на русском языке, объединяющего наиболее важные и специфические признаки МПС при проведении лучевых методов обследования. Выявление частоты встречаемости изменений в разных органах, описание наиболее значимых изменений и их причин. Определение наиболее информативных и безопасных методов обследования разных органов и систем, учитывая специфичность их изменений при МПС.
МЕТОДЫ
Дизайн исследования
В условиях стационара НМИЦ здоровья детей в период с 2008 по 2021 г. было обследовано 303 пациента с МПС. Ретроспективно в выборку было включено 70 пациентов (55 мальчиков, 15 девочек) с клинической картиной МПС от легкой до тяжелой степени выраженности, диагноз у которых был подтвержден с помощью энзимодиагностики и молекулярно-генетического исследования. Диапазон возраста — от 2 до 17 лет.
Критерии соответствия
Из группы исследования были исключены пациенты с неподтвержденным диагнозом; с установленным диагнозом при отсутствии молекулярно-генетического анализа.
Анализ в подгруппах
Подгруппы сформированы на основе принадлежности к типу МПС.
Методы регистрации исходов
Магнитно-резонансная томография (МРТ) проводилась на аппаратах GE Healthcare Optima 450W 1.5T, GE Healthcare Signa Explorer 1.5T, GE
Healthcare Discovery 750 3T (США). Рентгенография проводилась на GE Healthcare Discovery XR 650 (США). Большинство исследований проводилось в состоянии медикаментозного сна.
Статистический анализ
Принципы расчета размера выборки: размер выборки предварительно не рассчитывался в связи с тем, что дизайн исследования предполагал анализ всех пациентов с данной редкой патологией за указанный временной период.
Методы статистического анализа данных: рассчитывалась частота встречаемости различных признаков в группах МПС. Все исследования ретроспективно были пересмотрены тремя рентгенологами независимо друг от друга, разница в интерпретации находок была приведена к единому мнению.
При оценке МРТ и рентгенограмм рассматривались следующие изменения: повышение сигнала от паренхимы на Т2-взвешенных (Т2-ВИ) и FLAIR (fluid-attenuated inversion-recovery — инверсия-восстановление с подавлением сигнала от жидкости) изображениях, расширение борозд мозга (атрофия), расширение боковых и третьего желудочков мозга, расширение субарахноидальных пространств, деформация костей скелета (дизостозы), стеноз краниовертебрального перехода.
РЕЗУЛЬТАТЫ
Объекты (участники) исследования
Пациенты (n=70) разделены на подгруппы по принадлежности к типу МПС: I тип — 9 человек, II тип — 36 человек, III тип — 11 человек, IV тип — 10 человек, VI тип — 4 человека. Выполнен анализ рентгенограмм, МР- и компьютерных (КТ) томограмм.
Основные результаты исследования
МРТ является методом выбора при исследовании изменений структуры головного и спинного мозга у пациентов с МПС; используется для морфологической оценки и определения степени поражения центральной нервной системы; вместе с клиническими данными может использоваться для исключения других метаболических заболеваний [2-4, 9]. МРТ используется также для динамического наблюдения пациентов при оценке эффективности терапии.
Результаты лучевых исследований отражают высокую частоту поражения центральной нервной системы и костей скелета (табл. 1). Вне зависимости от типа МПС дизостозы обнаружены у 100% пациентов. Стеноз позвоночного канала разной степени выраженности определялся у 100% пациентов с I, IV и VI типами МПС, а при II и III типах встречался реже, что позволяет прогнозировать возможные осложнения и назначать динамический контроль через меньшие временные интервалы. Атрофия и поражение вещества головного мозга встречалась реже всего при МПС IV типа, что соответствует данным мировой литературы [4, 10], а также коррелирует с отсутствием задержки интеллектуального развития.
Таблица 1 / Table 1
Поражения в разных группах мукополисахаридоза
The number of patients and types of lesions in different MPS groups
Показатель | Тип мукополисахаридоза | ||||
I; n=9 (%) | II; n=36 (%) | III; n=11 (%) | IV; n=10 (%) | VI; n=4 (%) | |
Расширение ПВП | 5 (55) | 34 (94) | 6 (54) | 3 (30) | 4 (100) |
Поражение белого в-ва мозга | 6 (66) | 31 (86) | 9 (82) | 0 | 1 (25) |
Гидроцефалия | 2 (22) | 11 (30) | 7 (63) | 0 | 0 |
Атрофия гемисфер мозга | 3 (33) | 20 (55) | 9 (82) | 0 | 1 (25) |
Стеноз позвоночного канала | 9 (100) | 22 (61) | 6 (54) | 10 (100) | 4 (100) |
Дизостоз | 9 (100) | 36 (100) | 11 (100) | 10 (100) | 4 (100) |
Примечание. ПВП — периваскулярные пространства.
Note. ПВП — perivascular spaces.
ОБСУЖДЕНИЕ
Периваскулярные пространства
Увеличенные периваскулярные пространства (ПВП), также известные как пространства Вирхова-Робина, окружают стенки сосудов, идущих от субарахноидального пространства через паренхиму мозга к пиальным сосудам. Считается, что ПВП заполнены интерстициальной жидкостью и служат для лимфатического дренажа от паренхимы мозга, а прямое сообщение между субарахноидальным пространством и ПВП отсутствует [11-13]. Не полностью расщепленные ГАГ откладываются в организме, в том числе в мозговых оболочках, нарушая дренаж интерстициальной жидкости от паренхимы мозга. ПВП растягиваются; в их составе помимо интерстициальной жидкости появляются спинномозговая жидкость и ГАГ [8, 14, 15].
Расширение ПВП описано у пациентов с МПС I, II, III и VI типа. При сравнении больных МПС с отставанием в умственном развитии и без отставания достоверной разницы в частоте встречаемости расширенных ПВП не выявлено [10]. Считается, что при поражении МПС расширение периваскулярных пространств является индикатором начальной стадии нарушения циркуляции спинномозговой жидкости, что в дальнейшем приведет к вентрикуломе-галии [8].
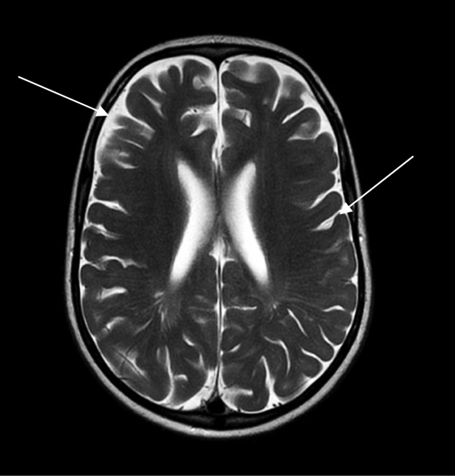
Расширенные ПВП не являются специфической находкой при МПС, т.к. встречаются и при других заболеваниях сосудистой, воспалительной, инфекционной и опухолевой природы, а также в норме. Расширения ПВП чаще всего располагаются пе-ривентрикулярно и в базальных ганглиях, однако описаны случаи локализации в стволе мозга и мозжечке [16]. Обычно диаметр ПВП варьирует от 2 до 8 мм (рис. 1, а), однако в ряде публикаций описаны и более крупные (гигантские) размеры (рис. 1, б) [8, 15, 17].
Рис. 1. МРТ головного мозга, Т2-ВИ в аксиальной плоскости: а, б — стрелками показаны множественные расширенные периваскулярные пространства; отмечается также расширение субарахноидальных пространств и борозд мозга, что свидетельствует об атрофии. Кости черепа утолщены.
Fig. 1. Head MRI, T2 WI axial plane: a, б — arrow: multiple enlarged perivascular spaces; subarachnoid space and cerebral sulci are also dilated, that indicates cerebral atrophy. Skull bones are thickened.
Расширение ликворных пространств мозга
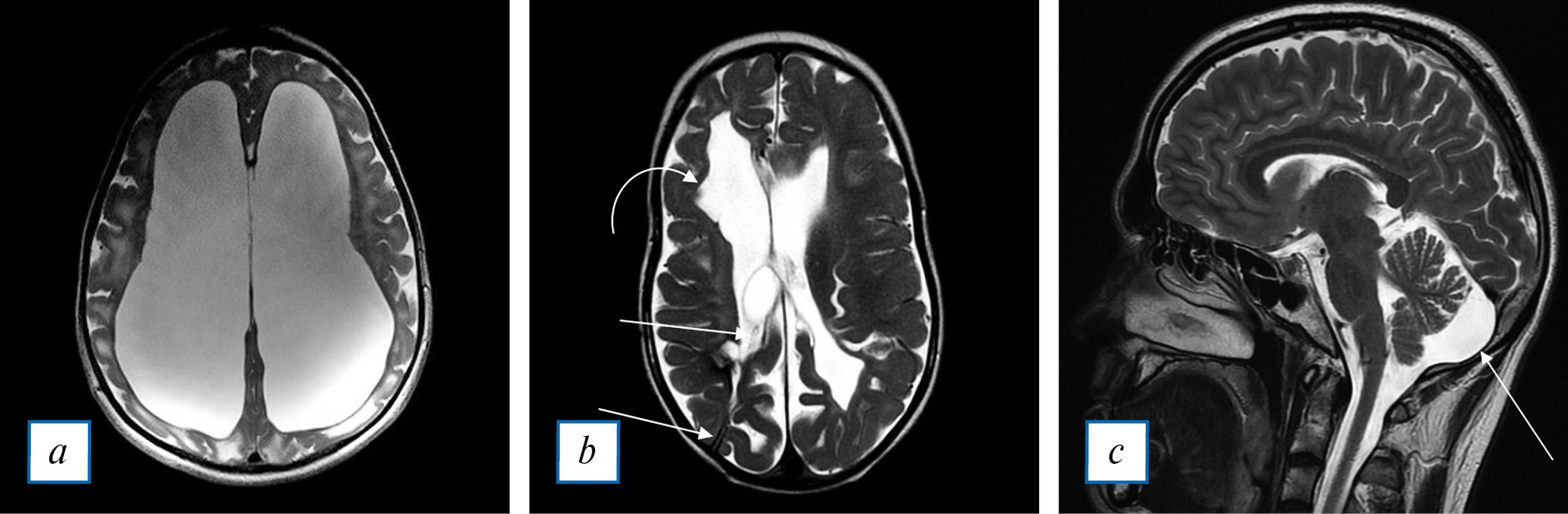
Термин «гидроцефалия» применяется при увеличении количества спинномозговой жидкости в ликворных пространствах головного мозга, что вызывает расширение желудочков мозга (вен-трикуломегалию) (рис. 2, а). Описано два механизма возникновения гидроцефалии у пациентов с МПС. Первый — отложение ГАГ в оболочках мозга, которое приводит к нарушению функций арахноидальных грануляций, снижая реабсорбцию спинномозговой жидкости. Для другого механизма существует гипотеза, что повышенная пролиферация костной ткани в области основания черепа и краниовертебрального перехода вызывает механическое затруднение венозного оттока от головного мозга [4, 8, 14]. Один или оба механизма вместе приводят к развитию сообщающейся (необструктивной) гидроцефалии, которая медленно прогрессирует, сопровождаясь дальнейшим расширением желудочков (обычно боковых и третьего) и субарахноидальных пространств. Результатом расширения ликворных пространств является формирование макроцефалии [14]. Как осложнение при гидроцефалии может выступать расширение подоболочечных пространств зрительных нервов. Если это состояние будет сохраняться длительное время, то может возникнуть атрофия зрительных нервов [14].
Вентрикуло-перитонеальное шунтирование (рис. 2, б) у пациентов с МПС при развитии гидроцефалии выполняется по индивидуальным показаниям, которые коррелируют с появлением симптомов внутричерепной гипертензии или ухудшением неврологического состояния.
Отдельно выделяют расширение большой затылочной цистерны (mega cisterna magna) (рис. 2, в), которое следует дифференцировать с арахноидальной кистой. Намного реже встречаются аномалия Киари 1-го типа и уменьшение размеров задней черепной ямки [17, 18].
Рис. 2. МРТ головного мозга: а (Т2-ВИ в аксиальной плоскости) — выраженное расширение боковых желудочков мозга как проявление гидроцефалии. Перивентрикулярное изменение белого вещества мозга следует дифференцировать между трансэпендимальным отеком и поражением белого вещества при мукополисахаридозе; b (Т2-ВИ в аксиальной плоскости) — прямыми стрелками показан шунт, расположенный в боковом желудочке. Изогнутая стрелка показывает расширенный и деформированный боковой желудочек. Следует отметить истончение перивен-трикулярного белого вещества мозга и расширение борозд мозга, что является проявлением атрофии; c (Т2-ВИ в сагиттальной плоскости) — стрелкой показано расширение большой затылочной цистерны (mega cisterna magna). Затылочная кость локально истончена, что обусловлено пульсацией ликвора.
Fig. 2. Head MRI: a (T2-WI axial plane) — lateral ventricles are markedly dilated due to hydrocephalus. Periventricular white matter lesions need to be differentiated between transependymal edema and cerebral lesions due to mucopolysaccharidosis; b (T2-WI axial plane) — arrow: shunt in a lateral ventricle; curved arrow: an enlarged and deformed lateral ventricle. Thinning periventricular white matter and enlarged cerebral sulci must be noted as a sign of cerebral atrophy; c (T2-WI sagittal plane) — arrow: an enlarged cisterna magna (mega cisterna magna). The occipital is bone locally thinned due to the liquor's pulsation.
Атрофия мозга
Визуализация атрофии вещества мозга включает в себя такие признаки, как расширение борозд, субарахноидальных пространств и сильвиевых щелей (рис. 3) [19]. Механизм атрофии до конца не изучен, однако самой распространенной гипотезой является гибель нейронов и глиоз, возникающие вследствие отложения ГАГ [4, 17]. Атрофия вещества мозга чаще всего встречается при МПС I, II и II типов, значительно реже — при МПС VI типа [19, 20].
Расширение боковых желудочков (вентрикуломегалия) может быть проявлением как гидроцефалии, так и атрофии. У больных МПС часто встречаются оба этих процесса, и выявить причину дилатации желудочков мозга не всегда представляется возможным. Отсутствуют также объективные критерии по дифференциальной диагностике пораженного перивентрикулярного белого вещества мозга и трансэпендимального отека [19, 18]. У пациентов с МПС может появляться отек диска зрительного нерва, вызванный отложением ГАГ в склере, без признаков внутричерепной гипертензии [21].
Динамические исследования МРТ помогают оценивать степень расширения ликворных пространств и появления атрофии. Соотношение между выраженностью манифестации болезни, длительностью ее течения и степенью атрофии/ вентрикуломегалии демонстрирует в разных исследованиях множество противоречивых результатов [4, 8, 10, 18, 22]. Так, в исследовании E. Shapiro и соавт. [23] при проведении волюмомет-рии коры (измерение объема мозга при использовании тонкосрезовых Т1-последовательностей МРТ) и сравнении с коэффициентом интеллекта
Рис. 3. МРТ головного мозга, Т2-ВИ в аксиальной плоскости. Стрелками указаны расширенные субарахноидальные пространства и борозды, что является признаком атрофии. Перитригонально определяются расширенные периваскулярные пространства.
Fig. 3. Head MRI, T2-WI axial plane. Arrows: dilated subarachnoid spaces and sulci as a sign of cerebral atrophy. Also noted are enlarged perivascular spaces in the peritrig-onal region.
(IQ) по результатам тестирования с последующим сопоставлением с контрольной группой показано отсутствие корреляции между степенью атрофии при МПС I типа и умственной задержкой развития, при этом корреляция наблюдалась при МПС II типа.
Изменения в белом веществе мозга
Поражение полушарий мозга описывается при разных типах МПС, механизм изучен не до конца, но считается, что повреждение белого вещества возникает из-за отклонений в структуре миелина, связанных с отложением ГАГ в олигодендроцитах и нейронах [23, 24]. Существует гипотеза, что изменения связаны с уменьшением качества и количества миелина, что приводит к дисмиели-низации [25].
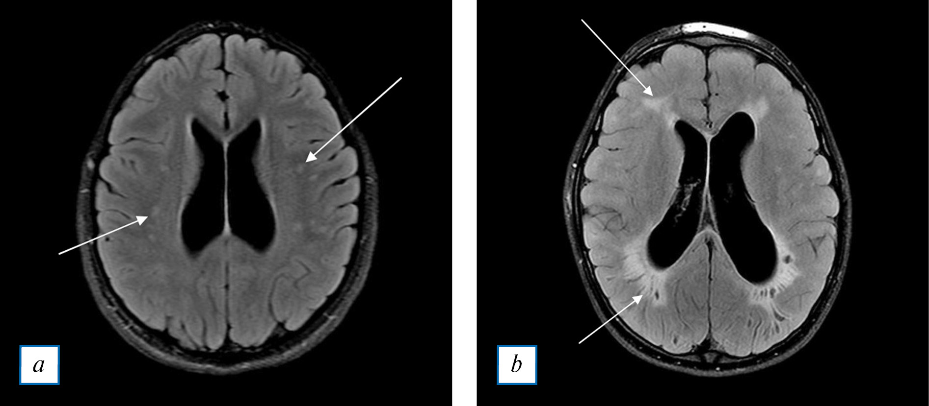
Изменения определяются на Т2-ВИ и FLAIR в белом веществе полушарий в виде симметричных перивентрикулярных гиперинтенсивных очагов (рис. 4, а). Очаги могут сливаться в зоны разной степени выраженности, имитируя лейкодистрофию (рис. 4, б) [14, 17, 26]. Более редко очаги встречаются субкортикально, а также в других долях и отделах мозга.
Рис. 4. МРТ головного мозга, Т2 Flair в аксиальной плоскости: а — стрелками показаны очаги в белом веществе неспецифического характера (у данного пациента они связаны с мукополисахаридозом); b — стрелками показаны перивентрикулярные сливающиеся очаги, симулирующие паттерн поражения при лейкодистрофии. Отмечаются расширенные боковые желудочки и периваскулярные пространства.
Fig. 4. Head MRI, T2 Flair axial plane: a — arrows: non-specific white matter lesions (in this patient, the lesions are related to mucopolysaccharidoseies); b — arrows: periventricular confluent white matter lesions, simulating involvement patterin of leukodystrophy. Dilated ventricles and perivascular spaces are also noted.
Дизостозы и скелетно-мышечная система
Поражение костей скелета при МПС встречается при I, II, IV, VI, VII типах, носит множественный характер. Причиной является отложение ГАГ в костях, что вызывает нарушение роста костей с последующей деформацией и ненормальной пролиферацией [17].
В позвоночнике характерной деформацией является платиспондилия, вогнутость заднего и заострение переднего контуров позвонков, клиновидная деформация позвонков (рис. 5, а). Изменения могут приводить к кифотической гиббусной деформации (gibbus — горб, остроугольное искривление позвоночника) и сколиозу. Поражаются и межпозвонковые диски с нарушением их структуры, снижением высоты; могут определяться циркулярные выпячивания и грыжи [17, 27].
Самым грозным осложнением дизостозов является стеноз позвоночного канала, который возникает в результате повышенной пролиферации костей основания черепа и С1-С2 позвонков, а также утолщения периодонтоидных мягких тканей (рис. 5, б) и базилярной инвагинации (вклинение в большое затылочное отверстие) [18].
Рис. 5. Дизостозы позвоночника: а (КТ в сагиттальной плоскости) — прямой стрелкой показано утолщение, укорочение и деформация грудины, изогнутой стрелкой — снижение высоты тел позвонков, деформация их контуров; b (МРТ Т2-ВИ в сагиттальной плоскости) — стрелкой показана область стеноза позвоночного канала, который вызван утолщением периодонтоидных мягких тканей.
Fig. 5. Spinal dysostosis: a (computer tomography of the vertebral column in the sagittal plane) — arrow: thickening, shortening and deformity of the sternum, curved arrow: flattening and deformation of vertebral bodies; b (MRI T2-WI in the sagittal plane) — arrow: the vertebral canal stenosis due to enlarged periodontoid soft tissue.
В черепе могут развиваться утолщение диплоэ, платибазия, макроцефалия, J-образная деформация седла, склеротическое строение сосцевидных отростков, широкое расположение зубов, деформация лицевых костей. В трубчатых костях часто встречаются укорочение диафизов с умеренной гипоплазией эпифизов, утолщение кортикального слоя, остеопороз. В кистях и стопах МПС проявляется наиболее часто гипоплазией, утолщением и укорочением пястных и плюсневых костей. При таких изменениях функция суставов может нарушаться из-за утолщения периартикулярных мягких тканей, разгибателей пальцев и неправильной механической конфигурации сустава, что приводит к деформации по типу «когтистой лапы» [28-30].
Для визуализации деформации костей конечностей и позвоночника при первичном обследовании мы использовали цифровую рентгенографию в связи с меньшей лучевой нагрузкой по сравнению с КТ. Для визуализации миелопатии спинного мозга золотым стандартом является МРТ, так как обладает высокой тканевой контрастностью. Однако при высоком риске проведения анестезиологического пособия или при противопоказаниях к МРТ мы проводили КТ позвоночника, где так же возможно достоверно визуализировать стеноз позвоночного канала.
ЗАКЛЮЧЕНИЕ
На основании данных нашей работы возможна первичная диагностика МПС у детей, которым еще не проводились молекулярно-генетические исследования.
Наше исследование на большой выборке пациентов с молекулярно-генетической верификацией МПС, впервые проведенное в России, показало типичные изменения при МПС разных типов. Полученные результаты соответствуют данным зарубежной литературы; проанализированы и описаны патофизиологические механизмы их возникновения. Установлено, что для оценки краниовертебрального перехода наиболее информативным методом визуализации является МРТ. При исследовании костей конечностей предпочтительно использование цифровой рентгенографии с учетом более низкой лучевой нагрузки по сравнению с КТ.
МПС относится к редким наследственным лизосомальным заболеваниям, поэтому рентгенолог должен быть осведомлен о возможных структурных изменениях различных органов и систем, понимать их значимость и возможный прогноз.
ДОПОЛНИТЕЛЬНАЯ ИНФОРМАЦИЯ
Вклад авторов. И.И. Ярмола — написание текста рукописи, составление плана статьи, анализ диагностических изображений; А.В. Аникин — редактирование текста статьи, аналитическая работа, обсуждение результатов; Л.Е. Фомина — редактирование изображений для статьи, составление статистической выборки. Авторы подтверждают соответствие своего авторства международным критериям ICMJE (все авторы внесли существенный вклад в разработку концепции, проведение исследования и подготовку статьи, прочли и одобрили финальную версию перед публикацией).
Author contribution. I.I. Yarmola — manuscript writing, planning the article structure, imaging analysis; A.V. Anikin — manuscript editing, analytical work, discussion of the results, reading and approval of the manuscript for publica; L.E. Fomina — editing images for the article, compiling the statistical sample. The authors made a substantial contribution to the conception of the work, acquisition, analysis, interpretation of data for the work, drafting and revising the work, final approval of the version to be published and agree to be accountable for all aspects of the work.
Источник финансирования. Авторы заявляют об отсутствии внешнего финансирования при проведении исследования.
Funding source. This study was not supported by any external sources of funding.
Конфликт интересов. Авторы декларируют отсутствие явных и потенциальных конфликтов интересов, связанных с публикацией настоящей статьи.
Competing interests. The authors declare that they have no competing interests.
About the authors
Igor I. Yarmola
National Medical Research Center for Children’s Health
Author for correspondence.
Email: lord_dukich@bk.ru
ORCID iD: 0000-0002-1272-5119
SPIN-code: 5591-8066
Radiologist; address
Russian Federation, 2, b. 1, Lomonosovsky prospekt, Moscow, 119991Anatoly V. Anikin
National Medical Research Center for Children’s Health
Email: anikacor@gmail.com
SPIN-code: 7592-1352
MD, Cand. Sci. (Med.)
Russian Federation, 2, b. 1, Lomonosovsky prospekt, Moscow, 119991Lyubov E. Fomina
National Medical Research Center for Children’s Health
Email: love.fomina@mail.ru
Resident of Radiology Department
Russian Federation, 2, b. 1, Lomonosovsky prospekt, Moscow, 119991References
- Clarke LA. The mucopolysaccharidoses: a success of molecular medicine. Expert Rev Mol Med. 2008;10:e1. doi: 10.1017/S1462399408000550
- Giugliani R, Federhen A, Rojas MV, et al. Mucopolysaccharidosis I, II, and VI: brief review and guidelines for treatment. Genet Mol Biol. 2010;33(4):589-604. doi: 10.1590/S1415-47572010005000093
- Muenzer J. Overview of the mucopolysaccharidoses. Rheumatology (Oxford). 2011; 50(Suppl 5):v4-v12. doi: 10.1093/rheumatology/ker394
- Vedolin L, Schwartz IV, Komlos M, et al. Brain MRI in mucopolysaccharidosis: effect of aging and correlation with biochemical findings. Neurology. 2007;69(9):917-924. doi: 10.1212/01.wnl.0000269782.80107.fe
- Neulfeld EF, Muenzer J. The mucopolysaccharidosis. In: Scriver C.R., Beaudet A.L., Sly W.S., Valle D., eds. The metabolic and molecular basis of inherited disease. Vol. 3. 8th ed. McGraw-Hill, New York; 2001. Р. 3421-3452.
- Albano LM, Sugayama SS, Bertola DR, et al. Clinical and laboratorial study of 19 cases of mucopolysaccharidoses. Rev Hosp Clin Fac Med S Paulo. 2000;55:213-218. doi: 10.1590/s0041-87812000000600004
- Muenzer J. Mucopolysaccharidoses. Adv Pediatr. 1986;33:269-302.
- Matheus MG, Castillo M, Smith JK, et al. Brain MRI findings in patients with mucopolysaccharidosis types I and II and mild clinical presentation. Neuroradiology. 2004;46:666-672. doi: 10.1007/s00234-004-1215-1
- Cheon JE, Kim IO, Hwang YS, et al. Leukodystrophy in children: a pictorial review of MR imaging features. Radio Graphics. 2002;22(3):461-476. doi: 10.1148/radiographics.22.3.g02ma01461
- Gabrielli O, Polonara G, Regnicolo L, et al. Correlation between cerebral MRI abnormalities and mental retardation in patients with mucopolysaccharidoses. Am J Med Genet A. 2004;125A(3):224-231. doi: 10.1002/ajmg.a.20515
- Kwee RM, Kwee TC. Virchow-Robin spaces at MR imaging. Radio Graphics. 2007;27(4):1071-1086. doi: 10.1148/rg.274065722
- Zhang ET, Inman CB, Weller RO. Interrelationships of the pia mater and the perivascular (Virchow-Robin) spaces in the human cerebrum. J Anat. 1990;170:111-123.
- Schley D, Carare-Nnadi R, Please CP, et al. Mechanisms to explain the reverse perivascular transport of solutes out of the brain. J Theor Biol. 2006;238(4):962-974. doi: 10.1016/j.jtbi.2005.07.005
- Barkovich AJ, Patay Z. Metabolic, toxic and inflammatory brain disorders. In: Barkovich A.J., Raybaud C., eds. Pediatric neuroimaging. 5th ed. Philadelphia, Pa: Lippincott Williams & Wilkins; 2012. Р. 81-239.
- Dekaban AS, Constantopoulos G. Mucopolysaccharidosis type I, II, IIIA and V: pathological and biochemical abnormalities in the neural and mesenchymal elements of the brain. Acta Neuro-pathol (Berl). 1977;39(1):1-7. doi: 10.1007/BF00690379
- Alqahtani E, Huisman TA, Boltshauser E, et al. Mucopolysaccharidoses type I and II: new neuroimaging findings in the cerebellum. Eur J Paediatr Neurol. 2014;18(2):211-217. doi: 10.1016/j.ejpn.2013.11.014
- Zafeiriou DI, Batzios SP. Brain and spinal MR imaging findings in mucopolysaccharidoses: a review. AJNR Am J Neuroradiol. 2013;34(1):5-13. doi: https://doi.org/10.3174/ajnr.A2832
- Manara R, Priante E, Grimaldi M, et al. Brain and spine MRI features of Hunter disease: frequency, natural evolution and response to therapy. J Inherit Metab Dis. 2011;34(3):763-780. doi: 10.1007/s10545-011-9317-5
- Lee C, Dineen TE, Brack M, et al. The mucopolysaccharidoses: characterization by cranial MR imaging. AJNR Am J Neuroradiol. 1993;14(6):1285-1292.
- Finn CT, Vedolin L, Schwartz IV, et al. Magnetic resonance imaging findings in Hunter syndrome. Acta Paediatr. 2008;97(457):61-68. doi: 10.1111/j.1651-2227.2008.00646.x
- Beck M, Cole G. Disc oedema in association with Hunter’s syndrome: ocular histopathological findings. Br J Ophthalmol. 1984;68(8):590-594. doi: 10.1136/bjo.68.8.590
- Vedolin L, Schwartz IV, Komlos M, et al. Correlation of MR imaging and MR spectroscopy findings with cognitive impairment in mucopolysaccharidosis II. AJNR Am J Neuroradiol. 2007;28(6):1029-1033. doi: 10.3174/ajnr.A0510
- Shapiro E, Guler OE, Rudser K, et al. An exploratory study of brain function and structure in mucopolysaccharidosis type I: long term observations following hematopoietic cell transplantation (HCT). Mol Genet Metab. 2012;107(1-2):116-121. doi: 10.1016/j.ymgme.2012.07.016
- Kumar M, Nasrallah IM, Kim S, et al. High-resolution magnetic resonance microscopy and diffusion tensor imaging to assess brain structural abnormalities in the murine mucopolysaccharidosis VII model. J Neuropathol Exp Neurol. 2014;73(1):39-49. doi: 10.1097/NEN.0000000000000023
- Satzer D, DiBartolomeo C, Ritchie MM, et al. Assessment of dysmyelination with RAFFn MRI: application to murine MPS I. PLoS One. 2015;10(2):e0116788. doi: 10.1371/journal.pone.0116788
- Barone R, Parano E, Trifiletti RR, et al. White matter changes mimicking a leukodystrophy in a patient with mucopolysaccharidosis: characterization by MRI. J Neurol Sci. 2002;195(2):171-175. doi: 10.1016/s0022-510x(02)00014-x
- Rasalkar DD, Chu WC, Hui J, et al. Pictorial review of mucopolysaccharidosis with emphasis on MRI features of brain and spine. Br J Radiol. 2011;84(1001):469-477. doi: 10.1259/bjr/59197814
- White KK, Harmatz P. Orthopedic management of mucopolysaccharide disease. J Pediatr Rehabil Med. 2010;3(1):47-56. doi: 10.3233/PRM-2010-0102
- Aldenhoven M, Sakkers RJ, Boelens J, et al. Muscoskele-tal manifestations of lysosomal storage disorders. Ann Rheum Dis. 2009;68(11):1659-1665. doi: 10.1136/ard.2008.095315
- Mankin HJ, Jupiter J, Trahan CA. Hand and foot abnormalities associated with genetic diseases. Hand (NY). 2011;6(1):18-26. doi: 10.1007/s11552-010-9302-8.
Supplementary files








