Radiofrequency ablation wpw syndrome in patient with ebstein's anomaly
- Authors: Ardashev A.V.1, Zhelyakov E.G.1, Rybachenko M.S.1, Konev A.V.1
-
Affiliations:
- FGUZ Clinical Hospital No. 83 FMBA of Russia
- Issue: Vol 1, No 4 (2010)
- Pages: 12-15
- Section: Articles
- Submitted: 16.03.2018
- Published: 15.12.2010
- URL: https://clinpractice.ru/clinpractice/article/view/8177
- DOI: https://doi.org/10.17816/clinpract1412-15
- ID: 8177
Cite item
Full Text
Abstract
The case history of 19-year old patient with Ebstein's anomaly and WPW syndrome, which was held surgical correction of cardiac arrhythmias by radiofrequency ablation is described. 3-year observation of patient confirmed the success of the operation – absence episodes of arrhythmia
Keywords
Full Text
Аномалия Эбштейна (АЭ) - врожденный порок сердца, характеризующийся дисплазией и перемещением одной или более створок трикуспидального клапана в полость правого желудочка (ПЖ) по направлению к верхушке [1]. Это приводит к формированию гемодинамической модели, в основе которой лежит недостаточность трехстворчатого клапана, а уменьшения объема ПЖ обуславливает дефицит легочного кровотока. Нередко АЭ сочетается с незаращением овального окна и сбросом крови справа налево, который носит компенсаторный характер. Трансторакальное эхокардиографическое исследование позволяет верифицировать диагноз АЭ и определить характер существующих гемодинамических изменений [1-3].
Измененная геометрия правых предсердия и желудочка может являться морфофункциональной основой нарушений ритма сердца у больных этой категории. Установлено, что в 30- 35% случаев у пациентов с АЭ диагностируется синдром WPW. Характерной особенностью больных этой категории является тот факт, что добавочные атриовентрикулярные соединения (ДАВС) в большинстве случаев локализованы в правых отделах сердца, а у половины из этих пациентов диагностируется наличие нескольких ДАВС [4, 5].
Аритмический синдром у таких больных является одним из неблагоприятных прогностических факторов течения заболевания. Его лечение осуществляется с помощью назначения постоянной антиаритмической терапии (ААТ), проведении радиочастотной абляции (РЧА) или во время радикальной хирургической операции по устранению дефекта трикуспидального клапана [4-5].
Описание случая
Больная М., 19 лет, обратилась в нашу клинику с жалобами на периодически возникающие эпизоды учащенного ритмичного сердцебиения, которые сопровождались общей слабостью, затрудненным дыханием. Всего отмечалось 2 подобных эпизода, продолжительностью до 30-40 мин, которые были эффективно купированы внутривенным введением 300 мг кордарона.
Из анамнеза известно, что диагноз АЭ установлен в возрасте 5 лет. Около 5 лет назад на ЭКГ впервые были верифицированы признаки предвозбуждения желудочков. Клинических признаков пароксизмальной тахикардии в анамнезе до настоящего момента не было. Постоянную антиаритмическую терапию больная не получала. Из анамнеза удалось выяснить, что на протяжении 12 лет признаки сердечной недостаточности не нарастали и в настоящий момент остаются на уровне I функционального класса по NYHA. Постоянную ААТ больная не получала. Пациентка состоит на диспансерном учете у кардиохирургов. Операция по устранению врожденного порока сердца не проводилась.
При объективном обследовании выявляется легкий акроцианоз, пульсация вен шеи. Границы сердца не увеличены. При аускультации тоны сердца звучные, в IV точке аускультации выслушивается систолический шум, усиливающейся на вдохе. В легких дыхание везикулярное хрипов нет. Живот мягкий, безболезненный. Печень и селезенка не увеличены. Периферических отеков нет.
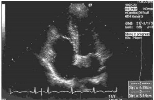
Диагноз АЭ подтвержден при проведении трансторакальной эхокардиографии (рис. 1). Из апикальной четырехкамерной позиции визуализировалось смещение задней и септальной створок трикуспидального клапана к верхушке ПЖ на 2,5 см с образованием атриализованной части ПЖ, выраженная дилатация ПЖ (6,3 х 3,5 см), асимметричная гипертрофия ПЖ. Диагностированы признаки объемной перегрузки ПЖ, трикуспидальная регургитация 2-3-й ст. Систолическое давление в легочной артерии в пределах нормы. Незначительная митральная регургитация 1-й ст., удлиненная заслонка нижней полой вены. Фракция изгнания - 75%, конечный диастолический размер ЛЖ - 3,3 см, конечный систолический размер ЛЖ -1,9 см, левое предсердие - 2,9 см, диаметр корня аорты - 2,9 см.
На ЭКГ (рис. 2А) во время синусового ритма отмечались признаки предвозбуждения желудочков (D-волна), свидетельствующие об антероградном проведении по правому заднелатеральному ДАВС. Интервал P-Q -105 мс, длительность комплекса QRS -128 мс [6] .
Рис. 1. ЭхоКГ больной М. (апикальная четырехкамерная позиция). На рисунке показана атриализованная часть ПЖ и смещение септальной створки ТК.
Наличие тахиаритмического синдрома у пациентов с АЭ является одним из неблагоприятных факторов, определяющих прогноз течения заболевания. Было принято решение о проведении эндокардиального электрофизиологического исследования и РЧА ДАВС.
После подписания информированного согласия под местной анестезией (0,25% раствор новокаина, 30 мл) выполнена катетеризация по Сельдингеру правой общей бедренной вены, установлен интродьюсер 8 Fr, через который был введен абляционный квадриполярный электрод (DAIG) для проведения картирования.
Эндокардиальное электрофизиологическое исследование:
Исходно - ритм синусовый, интервалы R-R - 780 мс, PQ - 105 мс, QT - 390 мс длительность комплекса QRS - 128 мс. При манипуляции электродами в правом предсердии возникали неустойчивые пароксизмы ортодромной СВТ с ЧСС 180 в минуту и длительностью комплекса QRS 100 мс.
Радиочастотная абляция:
На фоне синусового ритма и ортодромной тахикардии проводилось активационное картирование предсердной части ДАВС. Точка оптимального картирования определялась в заднелатеральных отделах правого предсердия, где последовательно было нанесено 6 РЧ-воздействий общей продолжительностью 15 минут, с установленным лимитами мощности и температуры 50 Вт и 55 С° соответственно.
Рис. 2. 12 отведений ЭКГ на фоне синусового ритма до и после проведения РЧА.
Панель А: Антероградное проведение через правое заднелатеральное ДАВС. Интервал P-R = 105 мс, QRS=128 мс Панель Б: После эффективной РЧ-деструкции правого заднелатерального ДАВС. Отмечается появление зубца R в отведении VI и зубца S в отведении aVL. Интервал P-R = 146 мс, QRS=90 мс.
Во время проведения 2-ой РЧ-аппликации отмечалась элиминация проведения по ДАВС (на ЭКГ: PR-146 мс QRS-92 мс) с последующим восстановлением признаков предвозбуждения. После достижения стабильного положения деструктирующего электрода в точке интереса и проведении РЧА возникла стойкая элиминация признаков предвозбуждения.
Контрольное эндокардиальное электрофизиологическое исследование:
Для проведения контрольного эндо-ЭФИ абляционный электрод был заменен на 20-полюсной управляемый (Medtronic, USA), дистальная пара которого была установлена в верхнесептальном отделе правого желудочка, а проксимальная пара регистрировала электрическую активность правого предсердия. При проведении асинхронной стимуляции с дистальной пары электрода верифицированы признаки вентрикулоатриальной диссоциации (рис. 3).
Рис. 3. Вентрикулоатриальная диссоциация.
Сверху вниз представлены I, II, IIAVF, VI ЭКГ-отведения и электрограмма, регистрируемая из области ушка правого предсердия (HRA). На фоне проведения электрокардиостимуляции правого желудочка с длиной цикла 500 мс отмечается отсутствие ретроградного проведения на предсердия (интервал А-А - 580-590 мс) как по структурам нормальной проводящей системы сердца, так и по ДАВС.
Послеоперационный период протекал без особенностей. На фоне синусового ритма определялась стойкая элиминация антероградного проведения по ДАВС, эпизоды СВТ не рецидивировали. Больная выписана в удовлетворительном состоянии на 2-е сутки после проведения операции.
В последующем пациентка наблюдалась нами в течение 3 лет, аритмический синдром не рецидивировал, на поверхностной ЭКГ признаки предвозбуждения желудочков не определялись, симптомы сердечной недостаточности не прогрессировали.
Обсуждение
Злокачественный характер аритмического синдрома является одной из главных причин развития летальных исходов у пациентов с АЭ. Согласно существующим рекомендациям по ведению пациентов с врожденными пороками сердца АСС/АНА абсолютными показаниями к проведению оперативного хирургического лечения пациентов с АЭ являются: ХСН функционального класса по III-IV NYHA, наличие фибрилляции предсердий, насыщение кислородом капиллярной крови ниже 80%.
Трудность проведения РЧА у пациентов с АЭ обусловлена тем фактом, что рецидивы проведения по ДАВС у больных данной категории возникают в 25% случаев и требуют проведения повторных интервенционных вмешательств. Высокая частота рецидивов АВРТ у пациентов с АЭ объясняется измененной геометрией правого предсердия, наличием множественных ДАВС, атипичным расположением АВ-соединения, что может затруднять проведение картирования ДАВС [5-7].
В представленном нами случае у молодой пациентки с АЭ в сочетании с манифестирующим синдромом WPW имеется высокий риск развития вторичной фибрилляции предсердий. Клинические данные, полученные в ходе обследования, позволили нам отнести ее к группе высокого риска развития внезапной сердечной смерти и подразумевали прогрессирование признаков сердечной недостаточности. При выборе тактики лечения данной больной мы предполагали, что проведение РЧА синдрома WPW позволит уменьшить вероятность развития фибрилляции предсердий и симптомов сердечной недостаточности. Трехлетний период клинического наблюдения за пациенткой подтвердил наши предположения.
Заключение
Радиочастотная катетерная абляция синдрома WPW у пациентов с аномалией Эбштейна является высокоэффективным и безопасным методом лечения аритмического синдрома у данной категории больных.
About the authors
Andrey V. Ardashev
FGUZ Clinical Hospital No. 83 FMBA of Russia
Email: ardashev@yahoo.com
head Department of X-ray surgical methods of diagnosis and treatment of cardiac arrhythmias, Doctor of Medical Sciences, Professor
Russian Federation, 28, Orekhovy Boulevard, MoscowEvgenii G. Zhelyakov
FGUZ Clinical Hospital No. 83 FMBA of Russia
Email: ardashev@yahoo.com
Doctor of the Department of X-ray Surgical Methods of Diagnosis and Treatment of Heart Rhythm Disorders, Candidate of Medical Sciences
Russian Federation, 28, Orekhovy Boulevard, MoscowMaxim S. Rybachenko
FGUZ Clinical Hospital No. 83 FMBA of Russia
Email: ardashev@yahoo.com
Doctor of the Department of X-ray Surgical Methods of Diagnosis and Treatment of Heart Rhythm Disorders, Candidate of Medical Sciences
Russian Federation, 28, Orekhovy Boulevard, MoscowAlexe V. Konev
FGUZ Clinical Hospital No. 83 FMBA of Russia
Author for correspondence.
Email: ardashev@yahoo.com
Doctor of the Department of X-ray Surgical Methods of Diagnosis and Treatment of Heart Rhythm Disorders, Candidate of Medical Sciences
Russian Federation, 28, Orekhovy Boulevard, MoscowReferences
- Anderson K.R., Zuberbuhler J.R., Anderson R.H., Becker A.E., Lie J.T. Morphologic spectrum of Ebstein's anomaly of the heart: a review // Mayo Clin Proc. 1979. Vol. 54. P. 174-180.
- Vacca J.B., Bussman D.W., Mudd J.G. Ebstein's anomaly: complete review of 108 cases // Am. J. Cardiol. 1958. Vol. 2. P. 210-215.
- Genton E., Blount S.G. Jr. The spectrum of Ebstein's anomaly // Am. Heart J. 1967. Vol. 63. P. 395-423.
- Kastor J.A., Goldreyer B.N., Josephson M.E. et al. Electrophysiologic characteristics of Ebstein's anomaly of the tricuspid valve // Circulation. 1975. Vol. 52. P. 987-995.
- Cappato R., Schlhter M., Wei8 C. et al. Radiofrequency current catheter ablation of accessory atrioventricular pathways in Ebstein's anomaly // Circulation. 1996. Vol. 94 (3). P. 376-383.
- Jackman W.M., Wang X., Friday K.J. et al. Catheter ablation of accessory atrioventricular pathways (Wolff-Parkinson-White syndrome) by radiofrequency current // N. Engl. J. Med. 1991. Vol. 324. P. 1605-1611.
- Schlhter M., Geiger M., Siebels J., et al. Catheter ablation using radiofrequency current to cure symptomatic patients with tachyarrhythmias related to an accessory atrioventricular pathway. Circulation. 1991. Vol. 84 (4). P. 1644-1661.
Supplementary files





