Case report of bilateral lungs infiltrates
- Authors: Averyanov A.V.1, Chernyaev A.L.2, Lactionova L.V.1, Nosova N.V.1, Kemezh Y.V.1, Urazovsky N.Y.1
-
Affiliations:
- FGUZ Clinical Hospital No. 83 FMBA of Russia
- Federal State Institution Research Institute of Pulmonology FMBA of Russia
- Issue: Vol 1, No 4 (2010)
- Pages: 16-21
- Section: Articles
- Submitted: 16.03.2018
- Published: 15.12.2010
- URL: https://clinpractice.ru/clinpractice/article/view/8178
- DOI: https://doi.org/10.17816/clinpract1416-21
- ID: 8178
Cite item
Full Text
Abstract
Clinical analysis of the case report 54 years woman with the diagnosis a bilateral pneumonia is performed. At the inspection included thoracoscopic biopsy, one of forms idiopathic intersticial pneumonias – Cryptogenic organizing pneumonia (COP) is revealed. In the article problems with which clinical physicians and diagnosticians meet during conducting patients with COP are discussed.
Full Text
Проблема дифференциальной диагностики инфильтративных изменений ткани легких является одной из самых трудных в практике терапевта и пульмонолога. Традиционная триада наиболее частых причин легочных инфильтратов (рак, пневмония, туберкулез) на протяжении многих лет составляет классический дифференциальный ряд. Однако с приходом современных методов диагностики - компьютерной томографии, малоинвазивной торакальной хирургии мы все чаще стали встречаться с заболеваниями, которые ранее протекали под маской перечисленных выше либо вообще не диагностировались, являя нам лишь свой исход в виде распространенного, хотя и туманного термина «пневмосклероз». Особенные затруднения возникают тогда, когда речь идет о редкой болезни, с которой клиницист, рентгенолог или морфолог еще в своей практике не сталкивался. В таком случае даже получение полноценного гистологического материала не гарантирует от неверного диагноза. В данной статье мы хотим представить историю 54-летней пациентки с двусторонним инфильтративным процессом в легких, когда содружество разных специалистов позволило в кратчайшие сроки поставить сложный диагноз и добиться эффективного результата лечения.
Больная поступила в отделение 08.07.2010 г. с жалобами на повышение температуры тела до субфебрильных цифр, одышку при умеренной физической нагрузке, боли в правом тазобедренном суставе.
Анамнез
Считает себя больной с 14 июня, когда после переохлаждения отметила озноб, повышение температуры до 38°С, лечилась симптоматическими средствами, 24.06.10 г. - выполнена рентгенография органов грудной клетки, диагностирована сегментарная пневмония в нижней доле справа, назначена антибактериальная терапия (цефтазидим 2,0 г/сут в/м, левофлоксацин 0,5 г/сут per os). Лечение продолжалось 10 дней, на этом фоне температура снизилась до субфебрильной. Кашля, выделения мокроты не наблюдалось. 06.07.10 г. - при контрольном рентгенологическом исследовании выявлена отрицательная динамика с распространением инфильтрации на нижние отделы левого легкого.
За несколько месяцев до настоящего заболевания у пациентки появились боли в правом тазобедренном суставе, усиливающиеся при движении и в ночное время. Обследования по данному поводу не проходила.
Госпитализирована в пульмонологическое отделение КБ № 83 для уточнения диагноза и лечения.
Из перенесенных заболеваний отмечала генитальный герпес, хронический тонзиллит, аденексит, мастопатию.
Вредные привычки, аллергические реакции, профессиональные вредности в анамнезе отрицала. Эпидемиологический анамнез без особенностей. Контактов с аэрополлютантами до начала заболевания не было.
Объективный статус
Состояние больной удовлетворительное. Кожные покровы и слизистые оболочки чистые, обычной окраски и влажности. Периферических отеков нет. Частота дыхательных движений 17 в мин. Перкуторный звук над легкими легочный. Аускультация легких: дыхание везикулярное, незвонкая крепитация в нижних отделах с обеих сторон, больше слева. АД 100/60 мм рт.ст. Аускультация сердца: тоны сердца ясные, ритмичные, ЧСС 80 в мин. Язык влажный, не обложен. Живот безболезненный. Печень: 9x8x7 см, край ровный. Мочеполовая система: почки не пальпируются. Поясничная область при поколачивании безболезненная с обеих сторон. Сознание ясное. Память сохранена. Черепно-мозговая иннервация: в норме.
Данные лабораторных исследований
В клиническом анализе крови отмечалось повышение СОЭ до 60 мм/ч.
СРБ - 37,4 мг/л. Прокальцигонин <0,5 нг/мл.
Остальные показатели лабораторных исследований в пределах нормы.
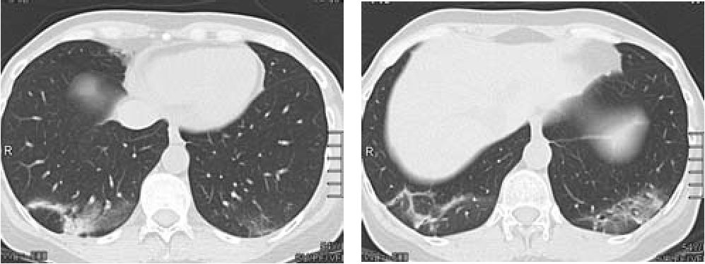
В день поступления больной была проведена КТ органов грудной клетки.
На серии томограмм, выполненных в режиме мультиспиральной КТ, в S8-S10 с обеих сторон определяется неоднородное уплотнение легочной ткани за счет инфильтративных изменений, на фоне которых прослеживаются просветы бронхов. Широким основанием инфильтрация прилежит к костальной плевре, направлена к корню легкого (рис. 1). В остальных отделах обоих легких очаговые, инфильтративные, полостные изменения не выявлены. Легочный рисунок без особенностей. Корни легких не расширены, структурны. Просветы бронхов прослеживаются до субсегментарного уровня. Просвет трахеи не деформирован, свободен. Свободной жидкости в плевральных полостях, полости перикарда не обнаружено. Органы средостения, диафрагма расположены обычно. Внутригрудные, над- и подключичные, подмышечные лимфатические узлы не увеличены. Сердце, крупные сосуды без особенностей. Костные структуры на исследованных уровнях без деструктивных изменений.
Клиническая версия
С учетом клинической картины, прогрессирования заболевания на фоне антибактериальной терапии у иммунокомпетентной пациентки, высокой плотности инфильтратов в легких было высказано сомнение в отношении бактериальной пневмонии. Более вероятным представлялось наличие интерстициального заболевания легких, инфильтративной формы саркоидоза легких или, с учетом суставного синдрома, дебюта легочного васкулита.
Необходимо отметить, что больная сразу дала согласие на проведение видеоторакоскопической биопсии легкого, что значительно облегчило диагностическую задачу.
До верификации диагноза назначено в/в введение кларитромицина 500 мг/сут.
09.07.2010 г. выполнена операция: видеоторакоскопия слева, биопсия нижней доли левого легкого.
Рис 1. Рентгеновская компьютерная томография 08.07.10. Аксиальная проекция.
В заднебазальных отделах легких в проекции S8-S 10 определяется неоднородное уплотнение легочной ткани с визуализируемыми просветами бронхов, широко прилежащее к висцеральной плевре.
Послеоперационный период - без осложнений. В течение суток дренирование левой плевральной полости с активной аспирацией. Дренаж удален 10.07.10 г. Раны грудной клетки чистые, без признаков воспаления.
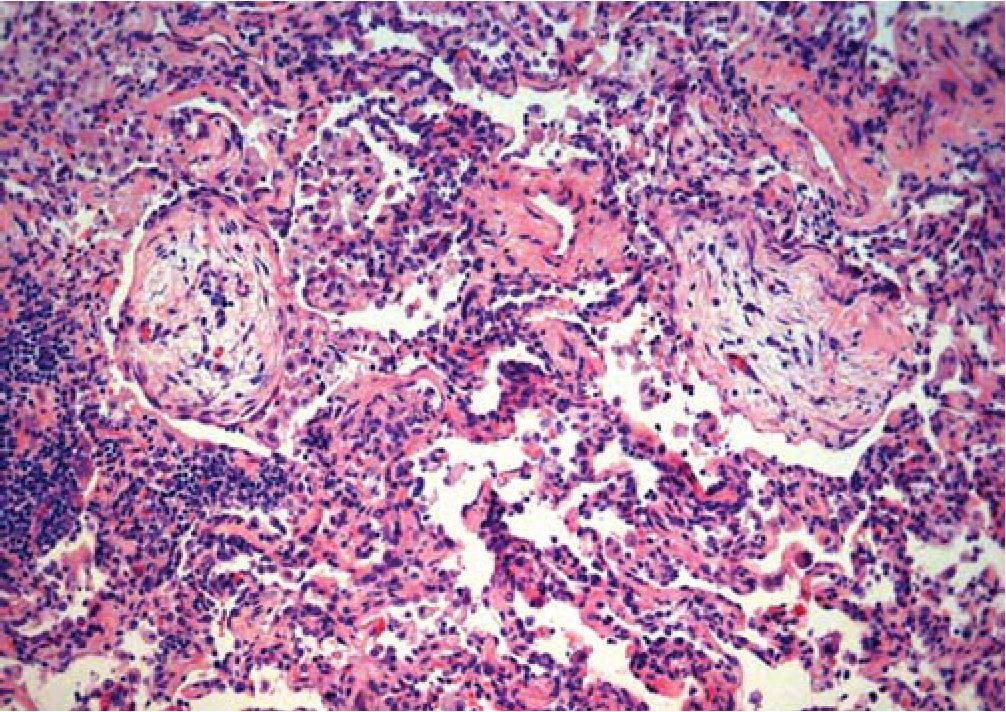
Рис. 2. Грануляционная ткань в просвете респираторной бронхиолы и альвеолярном ходе.
Окраска гематоксилином и эозином. X 40
Патологоанатомическое заключение
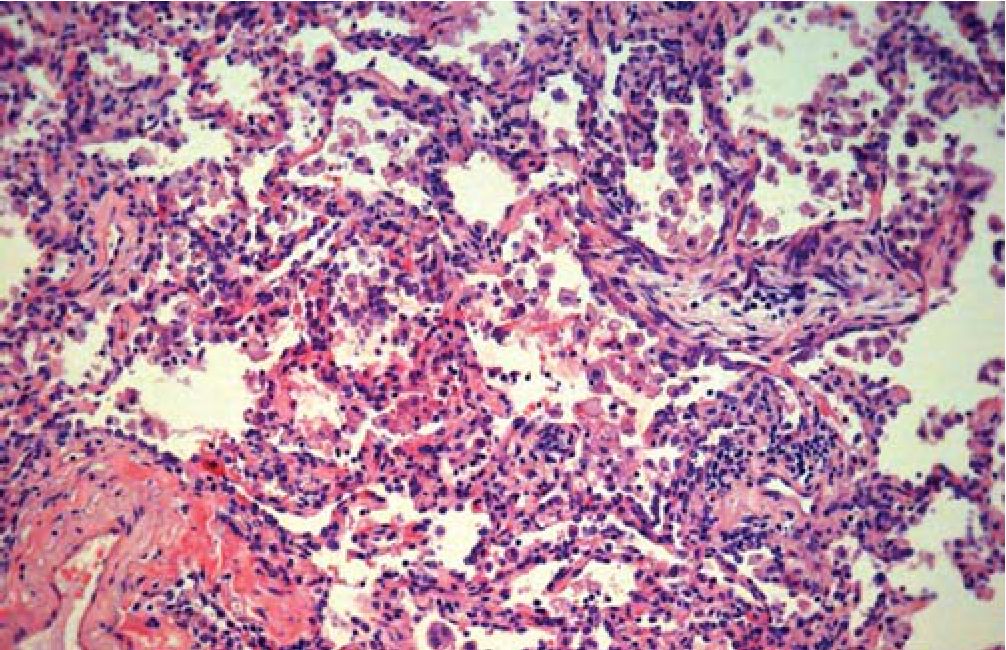
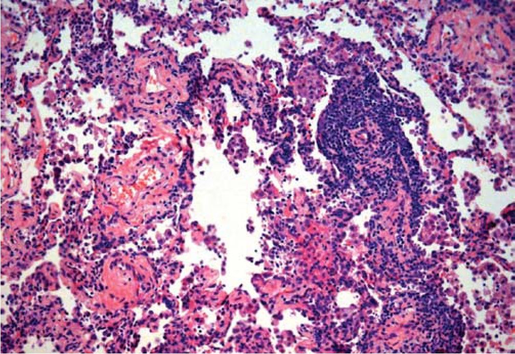
Рис. 3. Грануляционная ткань в альвеолярном ходе в сочетании с небольшим скоплением макрофагов, деформация ткани легкого.
Окраска гематоксилином и эозином. X100
Ткань легкого деформирована за счет врастания в полости альвеол и просветы части респираторных бронхиол 1-го порядка грануляционной ткани в виде полипов (рис. 2), в части полостей альвеол - скопления макрофагов с примесью эозинофилов (рис. 3) и эритроцитов с единичными эозинофилами, в других просветах альвеол - скопление фибрина с примесью эозинофилов и нейтрофилов, отдельные стенки альвеол несколько утолщена за счет небольшой лимфоцитарной инфильтрации и пролиферации альвеолоцитов 2-го типа. Фиброэластоз стенок мелких ветвей легочной артерии с сужением просветов (рис. 4).
Рис. 4. Утолщение стенки мелкой ветви легочной артерии за счет фиброэластоза.
Окраска гематоксилином и эозином. X100
Стенки отдельных мелких сосудов слабо инфильтрированы лимфоцитами и эозинофилами, пролиферация эндотелиальных клеток.
Периваскулярные лимфоцитарные инфильтраты с примесью эозинофилов (рис. 5).
Рис. 5. Периартериолярный лимфоцитарный инфильтрат, небольшие скопления макрофагов в альвеолах.
Окраска гематоксилином и эозином. X100
Заключение
Облитерирующий респираторный бронхиолит с организующейся пневмонией. Фиброэластоз стенок артериол с очаговым сужением просветов. Очаговый подострый васкулит мелких сосудов.
В связи с выраженными сосудистыми изменениями было проведено иммунологическое обследование, позволившее исключить заболевания из группы диффузных болезней соединительной ткани и васкулиты.
Данные инструментальных исследований не выявили каких-либо изменений, имеющих отношение к легочной патологии
УЗИ почек, надпочечников, органов брюшной полости: У 3-патологии не выявлено.
УЗИ органов малого таза: У3-признаки двустороннего хронического сальпингоофорита вне обострения.
УЗИ щитовидной железы: УЗ-признаки коллоидного включения в левой доле, мелкого узла в правой доле щитовидной железы.
УЗИ молочных желез с аксиллярными лимфоузлами: УЗ-признаки фиброзно-кистозной мастотатии, мелких кист обеих молочных желез.
КТ крупных суставов: двухсторонний кокс- артроз 1 ст.
По результатам обследования больной был поставлен диагноз: криптогенная организующаяся пневмония (облитерирующий бронхиолит с организующейся пневмонией).
К этому времени самочувствие больной несколько улучшилось - нормализовалась температура тела, исчезла одышка.
Начата терапия системными кортикостероидами (преднизолон 25мг/сут).
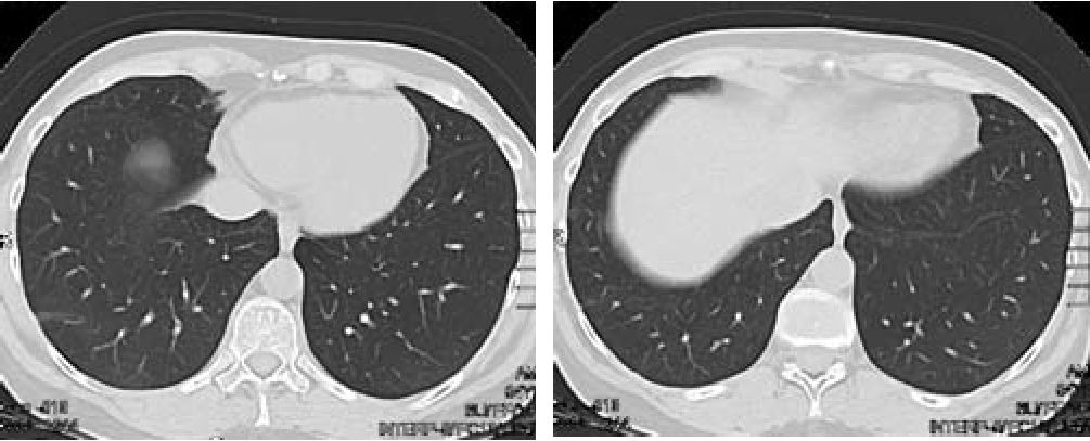
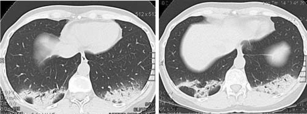
Спустя 2 нед. от начала лечения наблюдалась дальнейшая положительная динамика: отсутствие жалоб, уменьшение СОЭ до 42 мм/ч, при контрольной КТ грудной клетки - уменьшение размеров и плотности инфильтратов в легких (рис. 6).
Рис 6. Рентгеновская компьютерная томография 29:07.10 Аксиальная проекция.
Через 2 недели стероидной терапии выраженная положительная динамика в виде значительного уменьшения выраженности, размеров и интенсивности выявляемых ранее изменений.
Еще через 2 мес. инфильтрация в ткани легких уже не определялась (рис. 7), СОЭ - 30 мм/ч, СРБ - 4 мг/л.
Рис. 7. Рентгеновская компьютерная томография 08.10.10 Аксиальная проекция.
Через 2 месяца полный регресс ранее выявляемых изменений.
Обсуждение
Криптогенная организующаяся пневмония - это клиническое понятие относится к категории интерстициальных заболеваний легких, одной из разновидностей идиопатических интерстициальных пневмоний. Морфологическим субстратом данной патологии является облитерирующий бронхиолит с организующейся пневмонией (ОБОП), характеризующийся организацией экссудата и фибробластической реакцией в виде врастания грануляционной ткани в респираторные бронхиолы, альвеолярные ходы и альвеолы [ 1].
Нужно заметить, что с патогистологической точки зрения ОБОП является неспецифическим воспалительно-пролиферативным ответом нижних дыхательных путей на различные экзогенные факторы и некоторые заболевания. Наиболее частыми причинами ОБОП являются инфекция, лекарственные препараты (кордарон, сульфаниламиды, метотрексат, антитела к фактору некроза опухоли-α), лучевая терапия, заболевания соединительной ткани, трансплантации костного мозга, легких, сердца. Если причина неочевидна, ОБОП называют криптогенной организующейся пневмонией (КОП). Таким образом, ОБОП является более широким понятием, чем КОП. В последние годы международные эксперты рекомендуют термин ОБОП употреблять для уточнения гистологической формы поражения ткани легких, а для клинического диагноза использовать этиологические термины (лекарственный пневмонит, лучевой пневмонит и т.д.) или КОП, если этиология неизвестна.
Клиническая картина КОП очень напоминает бактериальную пневмонию. Заболевание, как правило, имеет острое или подострое начало, сопровождающееся лихорадкой, непродуктивным кашлем, появлением мелкопузырча- тьгх хрипов (до 70%) в зонах инфильтрации. Характерно развитие одышки с первых дней заболевания.
Рентгенологическая симптоматика имеет особенности:
- Двусторонний процесс. Описаны солитарные инфильтраты КОП, однако в целом они встречаются довольно редко [2].
- Субплевральная локализация.
- Зоны консолидации высокой плотности, определяющиеся в режиме «Chest».
- Одновременно с зонами консолидации присутствуют «лоскутные» участки «матового» стекла (рис. 8) - важный симптом, описанный впервые G.R. Epler, имеющий место у 80% пациентов [3].
- Зоны поражения могут менять свою локализацию и плотность, "мигрировать" с одного места на другое, если не проводится стероидная терапия (такой симптом характерен также для хронической эозинофильной пневмонии).
Рис. 8. Компьютерная томография органов грудной клетки при КОП. Аксиальная проекция.
а, б - субплеврапьно расположенные участки неоднородного уплотнения легочной ткани с четкими границами, с тракционно расширенными бронхами.
в-г - участки консолидации легочной ткани чередуются с участками уплотнения легочной ткани по типу "матового стекла".
По статистике на КТ в 90% случаев определяются субплевральные и перибронхиальные уплотнения легочной ткани, чаще в нижних долях легких. У 60% больных имеются участки «матового стекла». Уменьшение степени выраженности "матового стекла" при динамическом наблюдении свидетельствует об эффективности проводимой терапии.
При функциональной оценке легких в среднем у 72% пациентов находят рестриктивные нарушения и снижение диффузионной способности.
В целом, как видно, симптомы КОП недостаточно специфичны и могут наблюдаться у больных бактериальной пневмонией. Однако, в отличие от последней, КОП не отвечает на антибактериальную терапию, хотя и с определенными оговорками. Дело в том, что 14- и 15- членные макролиды, обладая противовоспалительными свойствами, могут подавлять патологический процесс при КОП. Описаны десятки случаев успешного лечения данного заболевания кларитромицином без применения кортикостероидов [4]. У нашей больной назначение кларитромицина на период диагностики также оказало позитивный клинический эффект.
Таким образом, поставить правильный диагноз на основании клинико-рентгенологической картины в начале заболевания бывает очень трудно, что объясняет обычный многомесячный анамнез заболевания под маской «затяжной пневмонии» с попытками лечения всеми возможными формами антибактериальных препаратов.
Для нас диагностический выбор в пользу торакоскопической биопсии легкого на 3-й нед. заболевания не был простым, тем более что антибактериальную терапию на предшествующем этапе нельзя было назвать эталонной. Цефтазидим, например, относится к группе антисинегнойных препаратов, и назначаться должен, главным образом, при нозокомиальных пневмониях. Доза левофлоксацина 500 мг/сут считается неадекватной при пневмококковых пневмониях. В современных клинические рекомендациях фигурирует доза не менее 750 мг/сут.
Тем не менее, такие особенности картины заболевания, как отсутствие кашля и мокроты, одышка, высокая плотность двусторонних участков консолидации на КТ склоняли нас в сторону вероятности небактериального поражения легких.
Гистологическая картина, позволив уточнить диагноз, поставила два вопроса, требующих объяснения:
- во-первых, значительные изменения в сосудах по типу васкулита, не характерные для КОП;
- во-вторых, существенное количество эозинофилов в зоне инфильтрации.
Можно предположить, что инфильтрация стенок мелких сосудов и микрогеморрагии могут являться следствием вирусного повреждения, которое послужило толчком к развитию заболевания. Периваскулярная и альвеолярная эозинофилия, также не свойственная КОП, по-видимому, была ответом на предшествующую антибактериальную терапию.
Лечение
Стандартом лечения КОП является назначение системных кортикостероидов - преднизолона в дозе 0,75-1,5 мг/кг в сутки на 1-3 мес. с последующим снижением дозы вплоть до полной отмены в течение 4-6 мес [5]. Несмотря на обычно хороший ответ на стероидную терапию, у 30-50% пациентов после отмены гормональных препаратов наблюдается рецидив, протекающий в более легкой форме. 5-летняя выживаемость при данном заболевании составляет 90%. Предиктором плохого ответа на стероидную терапию, прогрессирования процесса и развития фиброза в зоне воспаления считается позднее начало терапии.
Мы позволили себе отступить от стандартной стартовой дозы преднизолона, уменьшив ее почти в 2 раза, и получили максимальный результат - полное исчезновение участков инфильтрации в ткани легких. Наш опыт свидетельствует о том, что в случае ранней диагностики при нетяжелом течении КОП дозы системных стероидов могут быть пересмотрены в сторону снижения.
Очень трудный вопрос, который должен поставить думающий врач, познакомившись с разбором данного клинического случая, - является ли так называемая карнифицирующая пневмония формой КОП (т.е. интерстициальной пневмонией) или это самостоятельный вариант осложнения неадекватно леченой бактериальной пневмонии?
Не претендуя на окончательные выводы, позволим себе высказать собственную позицию. На наш взгляд, речь идет об одном и том же процессе, тем более что гистологически данные варианты неразличимы. Нынешнее представление об идиопатических интерстициальных пневмониях как неуклонно прогрессирующих, приводящих к развитию дыхательной недостаточности, вероятно, в скором будущем будет пересмотрено. С широким распространением КТ грудной клетки мы стали видеть малые, локальные, «молчащие», формы поражения ткани легких, имеющие рентгенологические признаки интерстициального воспаления, подвергающиеся спонтанной регрессии или находящиеся в волнообразном состоянии. Повидимому, КОП является одним из вариантов реакции легких на инфекционный фактор и может протекать гетерогенно у разных пациентов - от полного разрешения до прогрессирующего течения и формирования фиброза.
About the authors
Alexander V. Averyanov
FGUZ Clinical Hospital No. 83 FMBA of Russia
Email: averyanovav@mail.ru
deputy. Chief Physician for Research, Doctor of Medical Sciences
Russian Federation, 28, Orekhovy Boulevard, MoscowAndrey L. Chernyaev
Federal State Institution Research Institute of Pulmonology FMBA of Russia
Email: samary@mail.ru
head Department of Morphology, Doctor of Medical Sciences, Professor
Russian Federation, 32, bldg. 4, 11th Parkovaya St., MoscowLudmila V. Lactionova
FGUZ Clinical Hospital No. 83 FMBA of Russia
Email: averyanovav@mail.ru
deputy. chief physician for medical work, candidate of medical sciences
Russian Federation, 28, Orekhovy Boulevard, MoscowNina V. Nosova
FGUZ Clinical Hospital No. 83 FMBA of Russia
Email: averyanovav@mail.ru
pulmonologist, pulmonology department
Russian Federation, 28, Orekhovy Boulevard, MoscowYuliya V. Kemezh
FGUZ Clinical Hospital No. 83 FMBA of Russia
Email: averyanovav@mail.ru
radiologist of the X-ray department, candidate of medical sciences
Russian Federation, 28, Orekhovy Boulevard, MoscowNikolay Y. Urazovsky
FGUZ Clinical Hospital No. 83 FMBA of Russia
Author for correspondence.
Email: averyanovav@mail.ru
head Department of Thoracic Surgery, Candidate of Medical Sciences
Russian Federation, 28, Orekhovy Boulevard, MoscowReferences
- Mason R.J., Murray J.F., Broaddus V.C., Nadel J.A. Textbook of Respiratory Medicine. Fourth Edition, Elsevier inc., USA 2005. Vol. 1. P. 1299-1300.
- Cordier J.F. Cryptogenic organizing pneumonitis. Bronchiolitis obliterans organizing pneumonia // Clin. Chest Med. 1993. Vol. 14. P. 677-692.
- Epler G.R. Bronchiolitis obliterans organizing pneumonia: definition and clinical features // Chest. 1992. Vol. 102. P. 2-6.
- Stover D.E., Mangino D. Macrolides: a treatment alternative for bronchioltis obliterans organizing pneumonia? // Chest. 2005. Vol. 128 (5). P. 3611-3617.
- Cordier J.F. Cryptogenic organising pneumonia // Eur. Respir. J. 2006. Vol. 28 (2). P. 422-446.
Supplementary files










