Anemia and intersticial pneumonia as system manifestations of rheumatoid arthritis: the case report
- Authors: Sajkovsky R.S.1, Verhotin A.A.1, Chigirina Y.A.1, Antonova E.A.1, Lesnyak V.N.1
-
Affiliations:
- FGUZ Clinical Hospital No. 83 FMBA of Russia
- Issue: Vol 1, No 4 (2010)
- Pages: 26-30
- Section: Articles
- Submitted: 16.03.2018
- Published: 15.12.2010
- URL: https://clinpractice.ru/clinpractice/article/view/8180
- DOI: https://doi.org/10.17816/clinpract1426-30
- ID: 8180
Cite item
Full Text
Abstract
The short literature review of the problem of anemia and lung lesions as a systemic manifestations of rheumatoid arthritis (RA) are presented. The anemia as a chronic disease occurs in RA patients most frequently, the mechanisms of its development are presented. The description of the variants of the lung lesions is performed. There is the description of the patient case report, has suffered from RA with such main clinical manifestations as anemia and interstitial pneumonia.
Keywords
Full Text
Ревматоидный артрит (PA) относится к числу наиболее распространенных и тяжелых хронических заболеваний суставов с нередким системным воспалительным поражением внутренних органов. Выраженность внесуставных проявлений заболевания (ревматоидные узелки, анемия, периферическая полинейропатия, поражение легких и плевры, сердца, почек, синдром Фелти и т.д.), как правило, невелика и не выходит на первое место в клинической картине. Однако в практике встречаются отдельные наблюдения, когда первостепенное место в проявлениях болезни занимают внесуставные поражения.
Анемия является наиболее распространенным системным проявлением РА, ее частота составляет от 30 до 70% [1, 2, 3]. В настоящее время считается доказанным, что при РА анемия в подавляющем числе случаев носит комбинированный характер - это так называемая анемия хронического воспаления (АХВ, син.: анемия хронического заболевания, цитокин- индуцированная анемия) и железодефицитная анемия (ЖДА). АХВ встречается при инфекционных, ревматических болезнях и злокачественных новообразованиях. Она характеризуется постепенностью развития, упорством течения, зависимостью уровня гемоглобина (Нb) от остроты и тяжести течения основного заболевания, отсутствием эффекта от рутинной антианемической терапии, уменьшением или даже полным исчезновением при успешном лечении вызвавшего ее заболевания. Согласно современным представлениям, в основе развития АХВ у больных РА лежит иммуно-опосредованный механизм: вследствие активизации иммунного воспаления в большом количестве синтезируются провоспалительные цитокины: интерферон-γ (ИФ-γ), фактор некроза опухоли-α (ФНО-α), интерлейкины (ИЛ) - ИЛ-1, ИЛ-6, которые запускают основные механизмы АХВ [1-5]. Провоспалительные цитокины, в большей степени ИЛ-6, стимулируют выработку печенью пептида гепсидина, образование которого в настоящее время рассматривают как ведущий механизм развития АХВ. Гепсидин - железорегулирующий острофазовый белок, снижает всасывание железа в кишечнике и препятствует обратному его выходу из макрофагов [4-8]. Кроме того, ФНО-α, ИЛ-1 и ИЛ-6 стимулируют продукцию белка ферритина, ответственного за накопление запасов железа в организме и предотвращение его высоких концентраций в сыворотке крови. Таким образом, накопление ионов железа в макрофагах, высокий уровень ферритина - это основные механизмы ограничения доступности ионов железа для гемопоэза при АХВ [6, 7]. Второй важный механизм патогенеза АХВ - это снижение продукции эритропоэтина в почках под воздействием ФНО-α и ИФ-γ. Также установлено, что ФНО-α, ИФ-γ и ИЛ-1 напрямую блокируют дифференцировку и пролиферацию эритроидных клеток-предшественников [9-10].
Пожалуй, вторым по частоте внесуставным поражением при РА является поражение легких (ПЛ). Многие годы считалось, что ПЛ при РА возникает у 1-4% больных [11]. По мере появления новых методов исследования, в первую очередь, компьютерной томографии, было установлено, что истинная частота ПЛ при РА достигает 50% [12, 13], причем некоторые авторы указывают, что именно ПЛ является непосредственной причиной смерти у 10-20% пациентов [13, 14]. Выделяют следующие основные варианты ПЛ при РА: плеврит, хроническая интерстициальная пневмония (ХИП), ревматоидные узелки в легких, легочный васкулит [14]. Плеврит - наиболее частый вид ПЛ, его частота при РА достигает 50%. Подавляющее число случаев - это сухой бессимптомный плеврит, выявляющийся либо рентгенологически, либо посмертно. Экссудативный плеврит встречается очень редко, его выраженность коррелирует с активностью процесса. Наиболее клинически и прогностически значимое ПЛ при РА - это ХИП. Своевременное установление диагноза и адекватное лечение крайне важны, поскольку средняя продолжительность жизни при клинически выраженной ХИП составляет в среднем 3,5 года [14, 17]. В большинстве случаев ХИП при РА характеризуется латентным течением, однако у 3-5% пациентов приводит к тяжелой дыхательной недостаточности и является непосредственной причиной летального исхода. Патоморфологическим субстратом этой патологии является утолщение и фиброз альвеолярных перегородок с нарушением альвеолярнокапиллярной диффузии. Прогрессирование этих изменений ведет к нарастающей одышке и снижению газообмена в легких. Для оценки выраженности ХИП наряду с рентгенологическими методами, включая компьютерную томографию (КТ) легких, используют исследование функции внешнего дыхания (ФВД), диффузионной способности легких (ДСЛ), жидкости бронхоальвеолярного лаважа [13-16, 18, 20, 21]. Основным методом лечения ХИП являются глюкокортикостероиды (ГКС), иногда дополнительно назначают иммуносупрессивные препараты (циклофосфан, азатиоприн, циклоспорин А) [13, 21].
Ревматоидные узелки в легких, как правило, не вызывают симптомов и обнаруживаются при плановом рентгенологическом исследовании, чаще у мужчин с высокоактивным РА и наличием подкожных узелков в характерных местах (область локтевых суставов и т.п.). При использовании КТ частота выявления ревматоидных узелков значительно увеличивается. Имеются даже сообщения о выявлении узелков в легких до появления развернутой клинической картины РА [13, 19]. Наличие ревматоидных узелков в легких, во-первых, свидетельствует о более тяжелом течении РА, а во-вторых, в некоторых случаях требуется проведение дифференциального диагноза с первичными или метастатическими онкологическими заболеваниями легких, осложнениями некоторых инфекционных заболеваний. Выявление ревматоидных узелков в легких не требует какого-либо дополнительного лечения.
Легочный васкулит при РА при гистологическом исследовании выявляется часто, в 30- 50% случаев [20], однако протекает обычно бессимптомно. В очень редких случаях развивается легочная гипертензия, проявляющаяся одышкой и другими признаками правожелудочковой недостаточности [21]. Для установления диагноза необходимо проведение КТ легких, ЭХО-КГ с измерением артериального давления в легочной артерии, а в некоторых случаях, и биопсии легкого. Лечение включает: ГКС, цитостатики, вазодилататоры.
Ниже приводится описание клинического случая, при котором имеет место как поражение легкого, так и тяжелая анемия. Выраженность собственно суставного синдрома была незначительной, в то время как тяжесть поражения легких и анемии выходили на первый план в клинической картине заболевания. Одновременное сочетание анемии и тяжелого поражения легких при маловыраженном суставном синдроме у больных РА в литературе нам не встречалось.
Больной Р, 32 лет, находился на лечении с 09.12. 2009 г. по 27.01.2010 г. Болен с 2004 г., когда впервые стал отмечать периодические подъемы температуры тела по вечерам до субфебрильных цифр, боли и припухание лучезапястных, голеностопных, локтевых, голеностопных суставов, проксимальных межфаланговых суставов кистей, утреннюю скованность в течение 2-3 ч, нарастающую одышку при незначительной физической нагрузке. Постепенно развились изменения пальцев кистей по типу «барабанных палочек», а при рентгенологическом исследовании выявлены признаки интерстициального заболевания легких. Постоянно наблюдался у фтизиатра, предполагался диагноз фиброзирующего альвеолита. В 2009 г. присоединилась прогрессирующая анемия с максимальным снижением уровня гемоглобина до 4,2 г/дл. Госпитализирован в гематологическое отделение. Проводились трепанобиопсия, стернальная пункция. Значимых изменений со стороны костного мозга не выявлено. Развитие анемии расценено как вторичное явление на фоне неизвестного системного заболевания. При КТ органов грудной клетки выявлены диссеминированные изменения, для верификации которых проведена видеоторакоскопия с биопсией легкого и лимфоузла средостения. Морфологически верифицировать заболевание не удалось. Для дальнейшего обследования больной переведен в хирургическое отделение клинической больницы № 83. Проведена торакотомия с биопсией ткани легкого и лимфоузла. По результатам гистологии (исследование проводилось в лаборатории патологической анатомии НИИ пульмонологии ФМБА России) выявлен интерстициальный фиброз ткани легкого с образованием микросот, наличием очагов кальциноза (телец Шаумана) и гигантских многоядерных клеток. Внутрилегочное кровоизлияние, признаки артериальной легочной гипертензии не исключает наличие системного заболевания соединительной ткани (ревматоидного артрита) с поражением легких.
Учитывая жалобы на боли и периодическое припухание коленных, лучезапястных суставов, а также лабораторные данные (ревматоидный фактор 458,6, высокий уровень АЦЦП) был предположен диагноз РА, и пациент для дальнейшего обследования переведен в ревматологическое отделение КБ № 83. При поступлении предъявлял жалобы на субфебрильную температуру, непостоянные боли в лучезапястных, коленных суставах, сердцебиение, быструю утомляемость, одышку при незначительной физической нагрузке.
При осмотре: состояние удовлетворительное. Бледность кожи и слизистых оболочек. Утолщены концевые фаланги пальцев кистей по типу «барабанных палочек». Сглаженность контуров лучезапястных суставов. Симптом сжатия кистей положительный. Ограничения объема движений в суставах нет. Перкуторно над легкими легочный звук, укорочение в нижних отделах. Аускультативно везикулярное дыхание, легкая крепитация в заднебазальных отделах. Число дыханий - 20 в 1 мин. Границы сердца в пределах нормы. Тоны сердца звучные, ритм правильный. Пульс - 80 ударов в 1 мин. АД - 120/70 мм рт. ст. Печень у края реберной дуги. Селезенка не пальпируется. Отеков нет.
Клинический анализ крови: Нb - 5,6 г/дл, Л-3,5х106/л, Эр- 1,89х1012/л, Ht-16,9%, тромбоциты - 264 х 109/л, палочкоядерные нейтрофилы - 6%, сегментоядерные нейтрофилы - 56,0%, эозинофилы - 0, базофилы - 0, лимфоциты - 0%, моноциты - 8%, СОЭ - 67 мм/ч. Показатели среднего объема эритроцита, среднего содержания гемоглобина и средней концентрации гемоглобина в эритроците находились в пределах нормы.
Биохимический анализ крови: общий белок - 73 г/л, мочевина - 5,2 мкмоль/л, креатинин - 78 мкмоль/л, билирубин общий - 8,2 мкмоль/л, АЛТ- 64 Ед/л, ACT - 38 Ед/л, амилаза - 17 Ед/л, щелочная фосфатаза - 191 Ед/л, глюкоза - 5,4 ммоль/л, сывороточное железо - 25,0 мкмоль/л, ферритин - 865 мкг/л (30-300), насыщение трансферрина железом - 147% (20,0-50,0), уровень трансферрина - 1,7 г/л (2,0-3,6). Ревматоидный фактор - 458,6 МЕ/мл, СРБ - 4,3. АНА (антинуклеарные антитела)-профиль - все показатели отрицательные.
Коагулограмма: АЧТВ - 31 с, протромбиновое время - 15 с, протромбиновая активность по Квику - 81%, МНО - 1,1 Ед, фибриноген - 2,5 г/л, РФМК - 4,0 мг%, ХIIа-зависимый фибринолиз - 60 мин. АДФ-индуцированная агрегация тромбоцитов - 79%, активность XIII фактора (фибриназы) - 67 с. Заключение: имеется подавление фибринолиза.
Миелограмма: реактивный костный мозг.
Эзофагогастродуоденоскопия. Дуоденогастральный рефлюкс. Косвенные признаки анемии (бледность слизистых оболочек).
УЗИ органов брюшной полости и забрюшинного пространства: размеры печени и селезенки в пределах нормы.
УЗИ щитовидной железы, предстательной железы, почек - без значимой патологии.
Диффузионное исследование легких. Снижение диффузионной способности легких до тяжелой степени (TLCOSB - 28,5%), снижение удельной диффузии, обусловленные изменением свойств альвеолярно-капиллярной мембраны и развитием альвеолярно-капиллярного блока (КСО - 40,8%).
ЭХО-КГ: изменений клапанного аппарата не выявлено. Признаков легочной гипертензии нет. Зон нарушения локальной сократимости нет. Фракция выброса 66%.
Рентгенография кистей и дистальных отделов стоп: околосуставный остеопороз, эрозия в головке 4-й плюсневой кости.
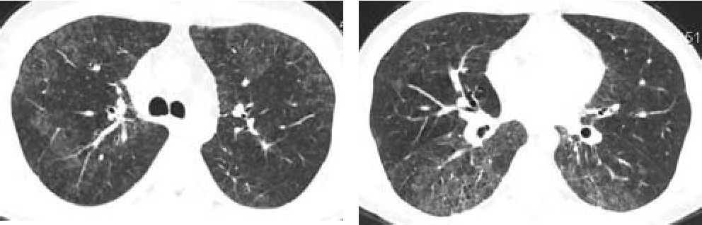
По данным компьютерной томографии органов грудной клетки (рис. 1,2), у пациента имелись признаки, характерные для текущего интерстициального поражения легких.
рис. 1, 2. Компьютерная томография органов грудной клетки.
Срез на уровне бифуркации трахеи. Определяются обширные зоны изменения прозрачности по типу "матового стекла", на фоне которых регистрируются достаточно выраженные ретикулярные изменения преимущественно в виде утолщения внутридольковых перегородок.
Результаты полученного обследования позволили поставить больному следующий диагноз: ревматоидный артрит с системными проявлениями, серопозитивный (по РФ и АЦЦП) полиартрит, анемия тяжелой степени, хроническая интерстициальная пневмония, функциональная недостаточность суставов 1-й степени. Анемию у данного пациента мы можем рассматривать как анемию хронического заболевания, что подтверждается высоким уровнем ферритина. Поражение легких по данным КТ, гистологического исследования результатов биопсии, изменениями диффузионной способности легких соответствуют диагнозу ХИП. Таким образом, тяжесть состояния заболевания в данном случае обусловлена выраженностью анемии и дыхательной недостаточности при маловыраженном поражении суставов.
В связи с наличием анемии тяжелой степени (максимальное снижение уровня гемоглобина достигало 4,2 г/дл) больному проводили повторные гемотрансфузии, общее число которых достигло 12. После проведенного обследования, установления диагноза РА и трактовки анемии и интерстициальной пневмонии как системных проявлений РА было начато лечение ГКС. Назначен метипред 48 мг (12 таблеток) в сутки. Через 4-5 дней после начала приема началось постепенное нарастание уровня гемоглобина до 10,6 г/дл, число ретикулоцитов увеличилось до 220-250%о. СОЭ нормализовалось. Улучшилась переносимость физических нагрузок. Через 10 дней начато постепенное снижение дозы метипреда 36 мг (9 таблеток). Больной выписан на амбулаторное лечение. Лабораторное обследование по месту жительства: Нb - 13,6 г/дл, эритроциты - 4,5х1012/л, сывороточное железо не исследовалось. Повторная госпитализация в ревматологическое отделение 02.07.2010 г. по 09.07.2010 г. для обследования. Жалоб на одышку, сердцебиение, боли в суставах не предъявляет. Изменений со стороны суставов нет. Пальпация суставов безболезненная, ограничения объема движений нет.
Результаты обследования. Клинический анализ крови: лейкоциты - 9,2x106/л, эритроциты - 4,83x1012/л, Нb - 15,4 г/дл, гематокрит - 43,9%, нейтрофилы - 52,9%, эозинофилы - 3,2%, базофилы - 0,4%, лимфоциты - 34,2%, моноциты - 9,3%, СОЭ - 14 мм/ч. С-реактивный белок - 0,70 мг/л, ревматоидный фактор - 247,9 МЕ/мл, АЦЦП - 248,6 ед/мл.
Диффузионное исследование легких. Диффузионная способность легких улучшилась до средней степени тяжести (TLCOSB увеличилась до 52,4%), снижена удельной диффузия вследствие изменения свойств альвеолярно-капиллярной мембраны, однако КСО вырос - 64,4%.
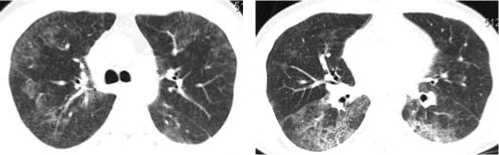
При контрольной КТ органов грудной клетки (рис. 3, 4), выполненной 06.07.2010 г. после проведенного курса лечения, отмечена значительная положительная динамика.
рис.З,4. Компьютерная томография органов грудной клетки.
Отмечается уменьшение площади и интенсивности зон «матового стекла», а также выраженности интерстициального компонента.
Таким образом, лечение глюкокортикостероидами привело к устранению анемии и существенному уменьшению выраженности хронической интерстициальной пневмонии, что подтверждено как данными КТ, так и исследованием диффузионной способности легких. Особенностью данного случая является малая выраженность поражения суставов, чем объясняются сложности своевременной постановки основного диагноза.
About the authors
Roman S. Sajkovsky
FGUZ Clinical Hospital No. 83 FMBA of Russia
Email: rheumacenter@yandex.ru
Head of the Rheumatology Department, Candidate of Medical Sciences
Russian Federation, 28, Orekhovy Boulevard, MoscowArtem A. Verhotin
FGUZ Clinical Hospital No. 83 FMBA of Russia
Email: rheumacenfer@yandex.ru
rheumatologist of the rheumatology department
Russian Federation, 28, Orekhovy Boulevard, MoscowYliya A. Chigirina
FGUZ Clinical Hospital No. 83 FMBA of Russia
Email: rheumacenfer@yandex.ru
rheumatologist of the rheumatology department
Russian Federation, 28, Orekhovy Boulevard, MoscowEkaterina A. Antonova
FGUZ Clinical Hospital No. 83 FMBA of Russia
Email: rheumacenfer@yandex.ru
rheumatologist of the rheumatology department
Russian Federation, 28, Orekhovy Boulevard, MoscowVictor N. Lesnyak
FGUZ Clinical Hospital No. 83 FMBA of Russia
Author for correspondence.
Email: rheumacenfer@yandex.ru
Head of the X-ray Department, Candidate of Medical Sciences
Russian Federation, 28, Orekhovy Boulevard, MoscowReferences
- Мазуров В.И., Лила А.М. Особенности анемического синдрома у больных ревматоидным артритом и системной красной волчанкой // Мед. акад. журн. 2001. № 1. С. 58-65.
- Муравьев Ю.В., Галушко Е.А. Особенности анемии при ревматоидном артрите // Тер. архив. 2002. № 1. С. 77-79.
- Weiss G., Goodnough L.T. Anemia of chronic disease // N. Engl. J. Med. 2005. Vol. 352, No 10. P. 1011-1023.
- Корякова Н.В., Везикова Н.Н., Марусенко И.М. Особенности диагностики и течения анемического синдрома у больных ревматоидным артритом // Научно-практич. ревматология. 2009. № 6. С. 26-31.
- Davis D., Charles P.J., Potter A. et al. Anaemia of chronic disease in rheumatoid arthritis: in vivo effects of tumour necrosis factor alpha blockade // Br. J. Rheumatol. 1997. Vol. 36, No 9. P. 950-956.
- Olivares M., Walter T., Cook J.D. et al. Usefulness of serum transferrin receptor and serum ferritin in diagnosis of iron deficiency in infancy // Am. J. Clin. Nutr. 2000. Vol. 72, No 5. P. 1191-1195.
- Walters G.O., Miller F.M., Worwood M. Serum ferritin concentration and iron stores in normal subjects // J. Clin. Pathol. 1973. Vol. 26, No 10. P. 770-772.
- Демихов В.Г., Морщакова Е.Ф., Павлов А.Д. Роль гепсидина в патогенезе анемии хронических болезней // Гематология и трансфузиология. 2006. Т. 51, № 3. С. 32-37.
- Suominen P, M`tt`nen T, Rajam@ki A, Irjala K. Single values of serum transferrin receptor and transferrin receptor ferritin index can be used to detect true and functional iron deficiency in rheumatoid arthritis patients with anemia // Arthritis Rheum. 2000. Vol. 43, No 5. P. 1016-1020.
- Wolfe F., Michaud K. Anemia and renal function in patients with rheumatoid arthritis // J. Rheumatol. 2006. Vol. 33, No 8. P. 1516-1522.
- Копьева Т.Н. Патология ревматоидного артрита. М.: Медицина, 1980. 208 с.
- Suzuki A., Ohosone Y., Obana M. et al. Cause of death in 81 autopsied patients with rheumatoid arthritis // J. Rheumatol. 1994. Vol. 21, No 1. P. 33-36.
- Thurlbeck W.M., Miller L.L., Muller N.L., Rosenow E.C. Diffuse diseases of the lung. Philadelphia. 1991. 243 p.
- Мазуров В.И., Богданов А.Н. Диагностика и лечение поражений легких у больных ревматоидным артритом // Научно-практич. ревматология. 2003. № 1. С. 52-56.
- Sch`nthal H. Beispiele pulmonaler Veranderungen von Patienten mit Kollagenosen // Pneumologie. 1990. Vol. 44, Suppl 1. P. 426-428.
- Dawson J.K., Fewins H.E., Desmond J. et al. Fibrosing alveolitis in patients with rheumatoid arthritis as assessed by high resolution computed tomography, chest radiography, and pulmonary function tests // Thorax. 2001. Vol. 56, No 8. P. 622-627.
- Hakala M. Poor prognosis in patients with rheumatoid arthritis hospitalized for interstitial lung fibrosis //Chest. 1988. Vol. 93, No 1. P. 114-118.
- Илькович М.М. Клиника и лечение органов дыхания. СПб, 1992. C. 96-102.
- Сигидин Я.А., Гусева Н.Г., Иванова М.М. Диффузные болезни соединительной ткани. М.: Медицина, 2004. 640 c.
- Dawson J.K., Goodson N.G., Graham D.R., Lynch M.P. Raised pulmonary artery pressures measured with Doppler echocardiography in rheumatoid arthritis patients // Rheumatology (Oxford). 2000. Vol. 39, No 12. P. 1320-1325.
- Young I.D., Ford S.E., Ford P.M. The association of pulmonary hypertension with rheumatoid arthritis // J. Rheumatol. 1989. Vol. 16, No 9. P. 1266-1269.




