Intensive therapy of viral-bacterial pneumonia in 52 year woman: the case report
- Authors: Bujnov V.N.1, Rudov A.G.1, Antipin V.V.1, Palamarchuk V.A.1, Usov R.S.1, Chalkin V.V.1
-
Affiliations:
- Branch of FGUZ SKTs FMBA of Russia KB № 42
- Issue: Vol 1, No 4 (2010)
- Pages: 31-34
- Section: Articles
- Submitted: 16.03.2018
- Published: 15.12.2010
- URL: https://clinpractice.ru/clinpractice/article/view/8181
- DOI: https://doi.org/10.17816/clinpract1431-34
- ID: 8181
Cite item
Full Text
Abstract
The analysis of the case report 52 years patients who have suffered the heavy form of flu H1N1, accompanied by the acute respiratory distress-syndrome, was on long lung ventilation is presented. Own author's position concerning preventive of hospital infections resistance is resulted Practical recommendations on manage patients with acute respiratory failure are given.
Keywords
Full Text
Противоречивые и тревожные сообщения о результатах лечения тяжелых вирусно-бактериальных поражений легких в период эпидемии гриппа в Сибирском регионе побудили нас еще раз проанализировать сегодняшнее состояние этой проблемы, оценить лечебнодиагностические возможности службы реанимации и интенсивной терапии в нашем лечебном учреждении и представить один из клинических примеров.
В отделение анестезиологии-реанимации КБ № 42 из городской больницы района госпитализирована больная Г., 52 лет, с клиникой прогрессирующей дыхательной недостаточности на фоне тяжелой пневмонии. Доставлена из эпидемического очага гриппа A H1N1, где несколько дней назад имел место летальный исход от гриппозной пневмонии. 28.11.2009 г. по месту жительства обратилась к терапевту после подъема температуры до 39°С с ознобом и малопродуктивным надсадным кашлем с примесью крови. Через сутки на фоне фебрильной лихорадки и быстро нарастающей одышки пациентка госпитализирована в терапевтическое отделение с диагнозом внебольничной двусторонней пневмонии, а 01.12.2009 г. переведена в отделение анестезиологии-реанимации с диагнозом внебольничной двухсторонней пневмонии, осложненной острым респираторным дистресс-синдромом (ОРДС). Сопутствующие заболевания: анемия, сахарный диабет 2 типа, гипотиреоз с постоянной заместительной терапией L-тироксином. Больная получала традиционную терапию (в том числе арбидол, комбинацию цефтриаксон 2 г/сут + ципрофлоксацин 800 мг/сут) В связи с ухудшением состояния 02.12.2009 г. переведена в отделение анестезиологии-реанимации КБ № 42 ФМБА.
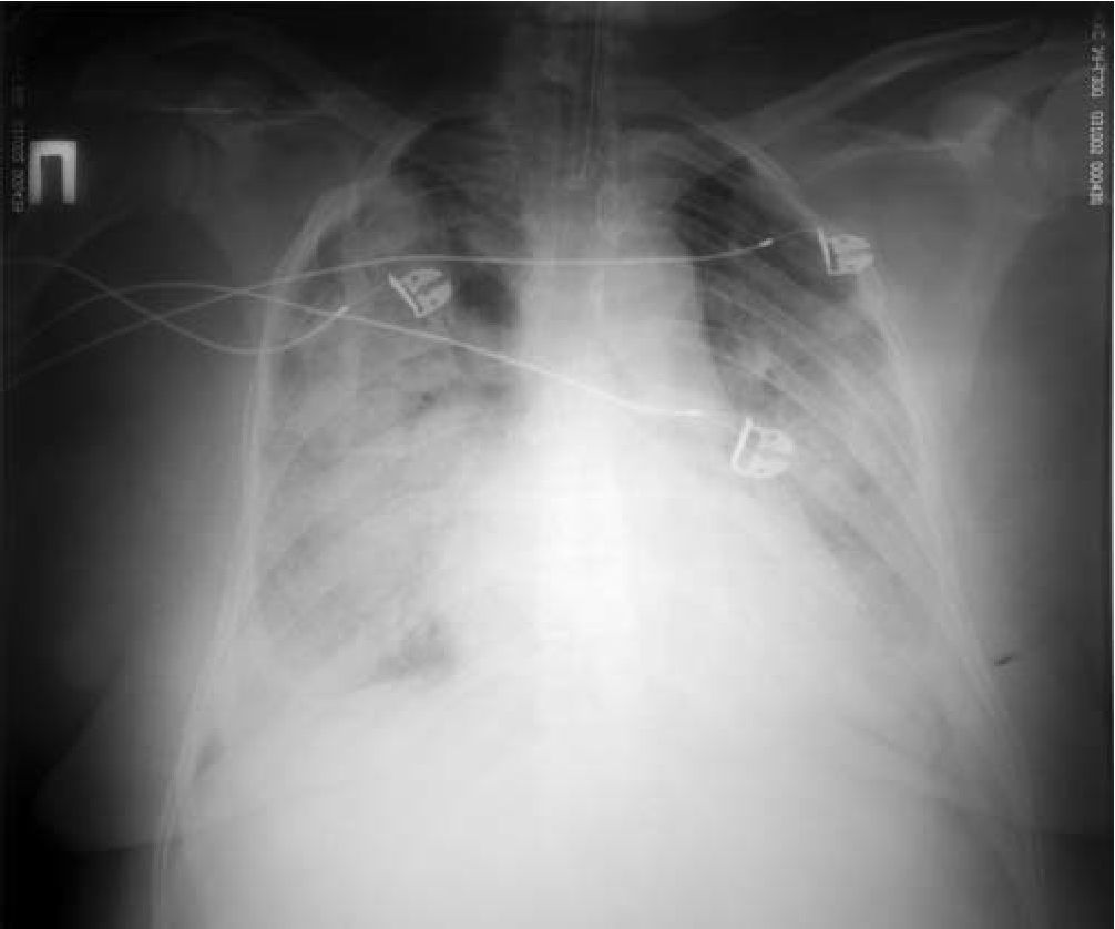
При рентгенографии в условиях ИВЛ выявлена интенсивная инфильтрация легочной
ткани во всех отделах легких с небольшой зоной сохранившейся пневматизации в верхних зонах, корни не визуализируются. Сердце расширено в поперечнике (рис. 1).
Рис. 1. Двусторонняя инфильтрация лёгочной ткани.
При госпитализации обращали внимание: положение ортопноэ, кашель с кровянистой скудной мокротой, одышка до 40 в 1 мин, гипоксемия - РаО2 до 48 мм рт. ст. и десатурацией до 82%, гипертермия до 39°С, высокий уровень ЦВД (190 мм вод. ст.). На фоне непрекращающейся интенсивной терапии по стандарту лечения ОРДС и пневмогенного сепсиса с целью оценки кровообращения в малом круге в условиях ИВЛ проведена ЭхоКГ с допплерографией и цветным картированием. Нарушений региональной сократимости левого желудочка не выявлено, фракция выброса до 52%. Признаков легочной гипертензии не выявлено, измерить давление в легочной артерии по техническим причинам не удалось. ИВЛ - респиратором "SERVO-s” по давлению (PCV). PiP до 39 мм вод. ст., инспираторный поток до 80 л/мин, PEEP 20 мм вод. ст., I/E от 1:3,2 до 1,8:1, f от 28 до 42 в 1 мин, FiO2 0,8-0,9 (рис. 2).
Рис. 2. Параметры ИВЛ.
Для оптимизации условий по синхронизации с респиратором и полноценной антиноцецептивной защиты в период адаптации к респиратору использован феназепам и наркотический анальгетик промедол. Обращала внимание высокая кислородная зависимость больной, потребовавшая использования «жестких» режимов ИВЛ и высокой фракции кислорода. Ранняя кинетическая и диуретическая терапия дополняли стандарт по поддержанию газообмена на приемлемом уровне. При неэффективности лечения и подтверждении клинически значимого «отека-набухания легочного интерстиция» предполагалось проведение изолированной ультрафильтрации.
Альвеолярно-артериальная разница составляла 571 мм рт. ст. Респираторный индекс - 47 мм рт. ст. Анализы газов крови из артерии и капилляра: РО2 в пределах 45-48 мм рт. ст. при фракции кислорода во вдыхаемой смеси до 85% (рис. 3).
Рис. 3. Газовый состав капиллярной крови.
Оценка тяжести поражения легких по Murray - более 3 баллов. Лейкоцитарный индекс интоксикации составил 14 ед. Воспалительная реакция в структуре вирусно-бактериальной пневмонии расценена как проявление госпитального пневмогенного сепсиса. Характер и тяжесть паренхиматозного поражения соответствовал ОРДС 3-4 ст. с сомнительным прогнозом. В процессе лечения одновременно с мониторингом потенциальных бактериальных возбудителей получен положительный результат ПЦР на свиной грипп (H1N1). При проведении лечебно-диагностических бронхоскопий в остром периоде обращал внимание сохраняющийся геморрагический характер бронхиального отделяемого. За весь период интенсивной терапии в условиях ИВЛ через трахеостому эндобронхит не вышел за рамки средней тяжести и протекал без обструктивных явлений с умеренным количеством секрета геморрагического и слизисто-гнойного характера. Мониторинг флоры при повторных исследованиях бронхоальвеолярного лаважа не выявил значимых бактериальных и грибковых возбудителей.
В программе антибактериальной терапии «стартово» использованы карбапенемы (с учетом предшествующей и клинически неэффективной терапии на этапе районной больницы). Коррекция антибактериальных препаратов за весь период лечения была минимальной. Это достигнуто более чем 30-летним опытом мониторинга госпитальной флоры нашего отделения с жесткой политикой в антибактериальной терапии, позволяющей сохранять «работающие» антибиотики. Сталкиваясь с госпитальной инфекцией, «клонированной в стенах отделения за многие годы», и осознавая неизбежность смены микробного пейзажа, убедились, что этот процесс не является неуправляемым. Знание клинически значимой госпитальной флоры отделения и в этот раз позволило избежать ошибок при выборе антибиотика. Продолжительность антибактериальной терапии определялась общеизвестными клиническими критериями и динамикой инфильтрации в легочной ткани.
Противовирусная терапия: озелтамивир 300 мг/сут первые 7 дней и по 150 мг/сут в течение трех суток.
Антибактериальную терапию проводили в следующей хронологической последовательности: меропенем 3 г/сут + ванкомицин 2 г/сут 2 нед. Далее до купирования инфекционновоспалительного процесса и инфильтрации в легких: цефепим 2 г/сут + ципрофлоксацин 600 мг/сут, сульперазон 4 г/сут + амикацин 1 г/сут. Противогрибковая терапия: дифлюкан 100 мг/сут. Иммунозамещение и коррекция (иммуновенин, пентаглобин, руфок) - в течение недели. Наиболее сложной и стратегически важной была борьба с критической гипоксемией. Важную роль в замещении дыхательной функции сыграли возможности современного аппарата ИВЛ, а также уровень подготовки персонала по разделу респираторной поддержки и уходу за больными, нуждающимися в интенсивной терапии в разные периоды болезни.
Учитывая тяжесть поражения легких, придерживались протокола щадящей ИВЛ с вынужденными периодическими отклонениями в сторону «жестких» режимов. Имеется в виду не только предельно безопасное пиковое и среднее альвеолярное давление, но и учет других физико-химических факторов, поддерживающих или даже вызывающих неспецифический воспалительный процесс. Отчетливо представляя постулат, что «высокие концентрации кислорода - такое же лекарство, как и яд», избежать возможной оксидативной травмы нам, по-видимому, не удалось. Альтернативы поддержания оксигенации и газообмена на этапе острейшего легочного процесса у нас не было. Отделение не располагает возможностями экстракорпоральной мембранной оксигенации и использования оксида азота. Инфузионная программа на всем протяжении лечебного процесса была минимальной и строго контролируемой.
При тяжелой гипоксемии с причинно-следственной связью с ОРДС 3-4 ст. возникает вопрос: «Возможно ли обеспечить адекватный газообмен в рамках параметров безопасной ИВЛ?»
К сожалению, нам не удалось справиться с критической гипоксемией без использования высокой фракции кислорода на протяжении 6 сут, несмотря на коррекцию режимов и параметров ИВЛ (рис. 4).
Рис. 4. Вентиляционно-перфузионное соотношение.
На всех этапах ИВЛ и последующего ступенчатого режима отлучения и реабилитации больная находилась в сознании, что позволило в более ранние сроки прейти от зондового на обычный путь приема адекватного лечебного питания. Период отлучения и реабилитации оказался более сложным, продолжительным, с длительно сохраняющимися участками консолидации легочной ткани (рис. 5).
Рис. 5. Масивная консолидация ткани легких
По мере купирования инфильтрации в легких на этапе отлучения от респиратора достаточно долго сохранялась физическая и психологическая зависимость от кислорода и респиратора. Результаты последующего контрольного обследования подтвердили клинический диагноз формирующегося пневмофиброза, что потребовало специальной реабилитационной терапии. Общая продолжительность респираторной поддержки составила 56 дней. Имея определенный опыт использования гелий-кислородных смесей при некоторых заболеваниях легких, мы в процессе длительной ИВЛ у данной больной, к сожалению, по ряду причин применить его не смогли.
Далее в течение 18 дней больная проходила курс реабилитации в пульмонологическом центре Краевой клинической больницы № 1. На момент написания данной статьи от начала заболевания прошло более 4 мес. с клинически положительными результатами на фоне продолжающейся реабилитации. В течение первых 2 нед. после выписки сохранялась психологическая и физическая зависимость от кислорода. В дальнейшем кислородная зависимость была преодолена, при сохранении умеренной одышки пациентка стала «мобильна» в пределах дома и поездок по городу. На КТ грудной клетки выявлено формирование интерстициального фиброза в зонах предшествующего поражения ткани легких (рис. 5).
Наш опыт ведения пациентов с ОРДС, включая представленный случай, позволяет сделать следующие практические рекомендации:
- Ограничить «объем сопроводительных и традиционных» инфузий.
- Использовать седацию только при лечебно-диагностических бронхоскопиях (ухудшение газообмена).
- Своевременно использовать методику рекрутмента (PiP до 45 мм вод. ст. при PEEP до 20 мм вод. ст. в течение 20-35 с) при малейшем подозрении на ателектазирование и ухудшении газообмена без видимых причин.
- Проводить динамическую оценку сознания и ощущаемого больной дыхательного комфорта в условиях ИВЛ как клинического показателя ее состоятельности (частота смены параметров ИВЛ в первые дни достигала 10-15 раз в сутки).
- Соблюдать жесткую политику микробного мониторинга и антибактериальной терапии.
- Педантизм в уходе и кормлении.
Учитывая серьезные финансовые затраты при проведении интенсивной терапии у больных с подобной патологией, необходимость поддержания должного уровня интеллектуального и технологического потенциала в отделениях реанимации и интенсивной терапии, целесообразно подобные объемы лечения финансировать дополнительно к средствам обязательного медицинского страхования.
About the authors
VN Nikolaevich Bujnov
Branch of FGUZ SKTs FMBA of Russia KB № 42
Email: busik03@lisf.ru
Head of the Department of Anesthesiology, Intensive Care
Russian Federation, Zelenogorsk, Krasnoyarsk TerritoryAnatolii G. Rudov
Branch of FGUZ SKTs FMBA of Russia KB № 42
Email: busik03@list.ru
anesthesiologist resuscitator
Russian Federation, Zelenogorsk, Krasnoyarsk TerritoryVladimir V. Antipin
Branch of FGUZ SKTs FMBA of Russia KB № 42
Email: busik03@lisf.ru
anesthesiologist resuscitator
Russian Federation, Zelenogorsk, Krasnoyarsk TerritorVadim A. Palamarchuk
Branch of FGUZ SKTs FMBA of Russia KB № 42
Email: busik03@lisf.ru
anesthesiologist resuscitator
Russian Federation, Zelenogorsk, Krasnoyarsk TerritoryRoman S. Usov
Branch of FGUZ SKTs FMBA of Russia KB № 42
Email: busik03@lisf.ru
anesthesiologist resuscitator
Russian Federation, Zelenogorsk, Krasnoyarsk TerritoryVasilii V. Chalkin
Branch of FGUZ SKTs FMBA of Russia KB № 42
Author for correspondence.
Email: busik03@lisf.ru
anesthesiologist resuscitator
Russian Federation, Zelenogorsk, Krasnoyarsk TerritorySupplementary files







