Morphological and ultrasound characteristics of endometrium in patients with breast cancer and the risk of secondary tumors
- Authors: Gerasimov A.V.1, Krasilnikov S.E.1, Kedrova A.G.2, Maksimenko T.A.3, Afonina N.S.2, Nechaeva O.E.2, Kosyi V.V.2
-
Affiliations:
- Novosibirsk Regional Clinical Oncological Dispensary
- Federal Scientific and Clinical Center for Specialized Types of Medical Care and Medical Technologies FMBA of Russia
- KGBUZ "Altai Regional Oncological Dispensary"
- Issue: Vol 6, No 4 (2015)
- Pages: 39-47
- Section: Articles
- Submitted: 16.10.2021
- Accepted: 16.10.2021
- Published: 15.11.2015
- URL: https://clinpractice.ru/clinpractice/article/view/83249
- DOI: https://doi.org/10.17816/clinpract83249
- ID: 83249
Cite item
Full Text
Abstract
The analysis of features of endometrial hyperplasia in patients with breast cancer (BC) receiving adjuvant tamoxifen therapy in the period from 2011 to 2014 inclusive. 196 patients with breast cancer with ultrasound criteria of endometrial hyperplasia were examined. A postoperative histopathologic examination revealed that the lesions were endometrial hyperplasias and with 4,1% malignant findings. Hyperplasia, polyps and endometrial cancer were diagnosed in patients receiving tamoxifen, which allowed a comparison clinicoanamnestic, ultrasound, morphological and genetic characteristics of the endometrium to recover a high risk of developing a second cancer, as well as offer a pathogenic variant of its prevention. The article can be interesting as for obstetrician-gynecologist, watching women after breast cancer treatment, and oncologists, choosing a drug for adjuvant therapy.
Full Text
Введение
Расширение доступности и улучшение качества маммографии позволило увеличить число случаев рака молочной железы (РМЖ), выявленных на ранней стадии, что, в свою очередь, привело к росту выживаемости больных и поиску путей индивидуализации лечения. Последние крупномасштабные работы по секвенированию генома внесли большой вклад в понимание канцерогенеза различных опухолей, обеспечивая точную информацию о злокачественных мутациях [1, 2].
Уже рутинное определение экспрессии рецепторов в опухоли ER, PR и HER-2/Neu позволяет точно определить группу пациенток, нуждающихся в длительной профилактической терапии селективными модуляторами эстрогеновых рецепторов, в частности, тамоксифеном. После его одобрения в 1977 г. опыт применения показал, что в общей популяции больных РМЖ (ER+) тамоксифен снижает риск рецидива РМЖ примерно в полтора раза, а риск смертности - примерно на четверть, за счет его антиэстрогенных свойств в ткани молочной железы [3]. При этом частота и тяжесть рака эндометрия увеличились в 4 раза у женщин, принимающих тамоксифен 5 и более лет [4, 5, 6]. Саркома матки также встречалась более часто среди пациенток, принимавших SERMs более 2 лет [7]. Механизм повышения пролиферации в тканях матки под действием тамоксифена через мембранный рецептор GPER (G-белок, ассоциированный с эстрогеновым рецептором), был подтвержден в клинике и эксперименте, на клеточных линиях человека [8, 9]. По данным многочисленных наблюдений можно предположить, что на ткани матки тамоксифен больше влияет как агонист, при этом в определенных условиях, приоритетно активирует негеномные механизмы транскрипции, связанные с активацией мембранных белков G (рецептор GPR30)/ G-белок рецептора эстрогена (рис. 1), что способствует прогрессированию эндометриоза, аденомиоза, миомы матки, гиперплазиии эндометрия [10]. Возможно, что гетерогенность эффектов тамоксифена связана с его разными метаболитами, некоторые из которых могут быть генотоксичны. Запуская эстроген независимые, негеномные пути пролиферации, приводящие к активации протеинкиназного пути (MAPK), инсулин-зависимого пути через инсулиноподобный фактор роста 1 (IGF1), C-MYC и mTOR-сигнализаций, тамоксифен увеличивает риск развития второго рака.
Рис. 1.
Положительный клинический эффект тамоксифена напрямую связан с блоком геномных лиганд-зависимых эффектов в рецептор-положительном РМЖ, но в других эстроген-зависимых тканях, или при неблагоприятных условиях, тамоксифен может вызывать эстроген-подобный эффект и гиперпролиферацию через активацию комплекса G-белок рецептора эстрогена GPR30 ('негеномный эффект). Например, у пациенток с ожирением хроническая активация комплекса эстроген/ инсулин/инсулиноподобный фактор роста, приведет к высокой активности лиганд-независимых эффектов, и через комплекс G-белок рецептора эстрогена GPR30 — к опосредованной стимуляции мембранных рецепторов эпидермального фактора роста (EGFR), что, в свою очередь, стимулирует быстрое фосфорилирование и активирует МАРК ERK1 / 2 сигнал или фосфатидилинозитол-3-киназный путь (Р13К), т.е. возникает высокая трансляционная и транскрипторная активность.
Также было установлено, что пациенты, получающие тамоксифен, с очень сходными клиническими характеристиками и прогностическими факторами на момент постановки диагноза РМЖ, могут существенно различаться по своей реакции на терапию, следовательно, и по клиническим исходам. Его разноплановые побочные эффекты, от вазомоторных симптомов до развития высокой стромальной пролиферации в матке, приводящей к своеобразной метаплазии - гиперплазии с атрофией желез, крайне индивидуальны, что требует более полного понимания их патогенеза. Накопленные разноплановые клинические данные показывают, что индивидуальные особенности больной имеют важное значение для долгосрочного прогноза развития рака эндометрия и гормонорезистентности ткани молочной железы [11], однако до сих пор нет ответа на вопрос: канцерогенез в эндометрии связан только с прямым действием тамоксифена, или препарат лишь ускоряет развитие второго рака у женщин, имеющих извращенный стероидный метаболизм. Например, бесплодные дамы с абдоминальным ожирением [12], или пациентки с особенным ферментным метаболизмом: ароматазы, стероидсульфатазы, эстроген- гидроксилазы, катехол-О-метилтрансферазы (КОМТ) и глутатион-трансферазы в тканях- мишенях [13]. В этой связи изучение особенностей влияния тамоксифена на эндометрий актуально, так как имеет важное значение для определения стратегии снижения рисков второго рака у больных РМЖ.
Материалы и методы
Для изучения особенностей гиперпластических процессов эндометрия у больных РМЖ, принимающих тамоксифен, было проведено комплексное обследование 196 пациенток с выявленными ультразвуковыми признаками увеличения М-Эхо более 10 мм. Все пациентки проходили лечение в гинекологических отделениях Новосибирского онкологического диспансера и Алтайского краевого онкологического диспансера и оставались под наблюдением от 12 мес до 5 лет. Средний возраст пациенток составил 54,6 ± 1,3 года, практически половина из них была в преме- нопаузальном возрасте от 43 до 50 лет, а в состоянии менопаузы находились 53% женщин. Ультразвуковое исследование осуществляли по стандартной методике на аппаратах Acuson Seguoia 512, Voluson 730 pro, Toshiba с использованием вагинального датчика для цветного допплеровского изображения и спектрального анализа. Все обследования были сделаны по единому протоколу, куда вносились данные при первичном и повторных осмотрах.
В обследование женщин, как правило, было включено несколько органов: щитовидная железа, молочные железы с регионарными областями, область послеоперационного рубца, печень, внутренние гениталии. В настоящей работе нами проанализированы данные ультразвуковой томографии (УЗТ) внутренних гениталий, которые были сопоставлены с результатами гистологического исследования эндометриальных образцов. При осмотре в режиме «серой шкалы» оценивались: размеры и контуры матки; толщина, структура, границы миометрия и эндометрия; положение, структура и размеры срединного М-эха; отдельно описывали все узловые образования - их размеры, локализацию, границы, структуру. Также исследование дополнялось цветовым допплеровским картированием всех описанных структур и области сосудистых пучков матки с обеих сторон, с последующей допплерометрией в зонах аномальной васкуляризации. Максимальная скорость кровотока и индекс резистентности (ИР) были измерены с учетом максимальной толщины эндометрия, миометрия и локализации аномальных образований. Пациентки были отобраны на основании выявленных ультразвуковых изменений эндометрия. После получения согласия на операцию и обработку персональных данных, была выполнена гистероскопия с биопсией эндометрия для установления морфологической структуры найденных изменений. После гематоксилин-эозиновой окраски препаратов, эндометрий оценивался по критериям Международной классификации ВОЗ опухолей женских половых органов, под ред. Р.Дж. Курмана, принятой в 2013 г. [14].
Согласно вышеуказанной классификации, к предраку эндометрия мы отнесли все изменения, в соответствии с кодом ICD-0- 8380/2: гиперплазия без атипии/атипическая гиперплазия/ эндометриоидная интраэпителиальная гиперплазия, а к опухолевоподобным процессам: полип, метаплазию, реакцию Ариас-Стелла и лимфомоподобные изменения. Для уточнения морфологических особенностей 34 образца ткани были подвергнуты гистоимму- нохимическому анализу и 23 образца - молекулярному анализу.
Все морфологические диагнозы сопоставлялись с анамнезом пациентки (длительность приема тамоксифена, форма рака молочной железы, период жизни: менопауза или предмено- пауза, акушерско-гинекологический анамнез), также оценивался индекс массы тела больной, наличие сахарного диабета или других системных заболеваний. Данные о дате оперативного вмешательства, сроках начала тамоксифен- терапии, появление рецидивов, метастазов или заболеваний эндометрия были получены из историй болезни или амбулаторных карт. После верификации диагноза 36 пациенткам с прдраком эндометрия (8380/2) была установлена внутриматочная спираль с левоноргестрелом (Мирена), а пациенткам с ИМТ >28 назначался препарат Глюкофаж® Лонг 500мг (метформин пролонгированного действия).
Иммуногистохимическое исследование проводили по традиционным методикам на препаратах, подготовленных из парафиновых блоков, после гидротации в буфере Dako 8 1699 с последующим блокированием эндогенной пероксидазы реакцией в растворе Dako S 2023. Далее иммуногистохимическое окрашивание проводили в растворе Autostainer Plus (Dako A/S, Glostrup, Дания) с использованием в качестве антител GPER/GPR30 (AF5534), а также моноклональные мышиные антитела ERa (м 7047, Dako) в разведении 1:50. Для визуализации в реальном времени применена система K5001, Dako™ [15]. ПЦР в реальном времени проводили с использованием ABI PRISM 7000 (Applied Biosystems) со следующими об- разцаим предварительно изготовленных анализов (Applied Biosystems): Hs00173506_m1 (GPER), Hs00174860_m1 (ERa), Hs00230957_ ml (ERß), Hs99999903_m1 ß-актина (ACTB) и Hs99999142_m1 циклин-зависимой ингибитор киназы 1A (CDKN1A), а также PTEN.
Оценка производилась в соответствии с калибровочной кривой, полученной с помощью серийных разведений матрицы ДНК (80 - 0,08 нг). Результаты выражали в виде относительных величин. Для Вестерн-блоттинг метода, 12 образцов были подвергнуты измельчению в QIAGEN TissueLyser (Retsch Technology GmbH, Haan, Германия) с последующей оценкой мембранной фракции белка GPER, с использованием антител AF5534 (R & D Systems Inc., Миннеаполис, Миннесота, США), оценивающей внеклеточный N-конец человеческого GPER. Статистическая обработка результатов для оценки значимости различий между группами выполнена с помощью теста Манна-Уитни и Крускала-Уоллиса, тест Спирмена был использован для оценки ранговой корреляции между различными анализами мРНК и окрашиванием. Тест Jonckheere применялся для оценки значимости тенденций между группами, а тест Фишера - для количественного сравнения образцов по группам.
Все тесты были стратифицированы в соответствии с выражением экспрессии GPER и 5% уровнем значимости. Для оценки риска второй малигнизации у больных РМЖ, получавших тамоксифен, была выбрана оптимальная совокупность признаков с уровнем значимости p<0,05 и определена регрессионная функция для гиперпластических процессов.
Результаты исследования
Все наши пациентки находились под мониторингом в процессе гормонотерапии тамоксифеном РМЖ. Среди ультразвуковых находок самой распространенной патологией были доброкачественные процессы внутренних гениталий: множественная миома матки (12,3%), аденомиоз (17,3%), сочетание миомы матки и аденомиоза (8,6%), киста яичника (3,1%), гиперплазия эндометрия (24,5%), полип эндометрия (6,1%). Вместе с тем, у 4,1% больных комплексное обследование позволило выявить злокачественную патологию эндометрия. Интервал от начала лечения РМЖ до диагностики второй опухоли составил от полутора до четырех лет. Первично диагностическое значение для этих новообразований имела эхография. Средние значения М-эхо у пациенток составило 13,2±2,1мм, причем не было достоверных различий при диагнозах атрофической метаплазии и гиперплазии. Все неоплазии эндометрия были обнаружены на 1а стадии, что, возможно, связано с онкологической настороженностью пациенток после ранее выявленного РМЖ, а также проводимого врачами активного мониторинга. Характеристика больных по морфологическому и ультразвуковому критериям представлена в таблице 1.
Ультразвуковые характеристики изменений эндометрия на фоне приема тамоксифена были разнообразными, но во всех отобранных нами случаях эндометрий не соответствовал фазе цикла или состоянию менопаузы, имел неоднородную структуру: от атрофии с единичным полиповидными образованиями, размерами 0,3-1,5 см - 17,3%; до увеличения срединного М-Эхо от 6 до 19 мм с неоднородными кистозными включениями - 82,7%. Гиперплазия эндометрия, диагностируемая только по данным УЗТ, в большинстве случаев была ложноположительным диагнозом.
При морфологическом исследовании найденные изменения соответствовали только метаплазии со стромальной дегенерацией, при этом других признаков патологии эндометрия не обнаруживалось. С учетом того, что для морфологического контроля нами были отобраны пациентки лишь с визуализированными признаками гиперплазии, то число ошибочных ультразвуковых диагнозов составило 70,4%. Чаще такие изменения эндометрия встречались у женщин в менопаузе, чем в пременопаузе.
Таблица 1. Ультразвуковые характеристики в зависимости от морфологических находок
Состояние эндометрия по морфологии | Число больных N=196 | Ультразвуковые характеристики |
Гиперплазия без атипии | 24 (12,2%) | Неравномерное М-Эхо, единичные локусы кровотока |
Эндометриоидная интраэпителиальная гиперплазия | 12 (6,1%) | Диффузное утолщение М-Эхо, единичные локусы кровотока |
Полип | 14 (7,2%) | Атрофия эндометрия, отдельные гипоэхогенные образования с единичным локусом артериального кровотока |
Метаплазия | 138 (70,4%) | Увеличение срединного М-Эхо и его неоднородность за счет кистозных включений, отсутствие патологического кровотока |
Рак эндометрия | 8 (4,1%) | Неравномерное М-Эхо, есть участки усиленного кровотока |
Таким образом, мы еще раз акцентируем внимание на том, что ультразвуковая картина изменений эпителия матки при длительном приеме тамоксифена имеет ряд особенностей: гетерогенность структуры; множественные анэхогенные кистозные включения разного диаметра; срединные маточные структуры утолщены в сравнении с нормой в постменопаузе. При этом толщина эндометрия может иметь размеры атрофии (1-2 мм) с полиповидными включениями, или значительно увеличиваться и иметь неоднородные кистозные лакуны (рис. 2).
Рис. 2. Ультразвуковая картина изменений эпителия матки при длительно/и приеме тамоксифена
При истинной гиперплазии эндометрия, также, как и при раке, картина эндометрия имела несколько эхографических картин: диффузное утолщение эндометрия с диффузными локусами кровотока, при допплерометрии индекс резистентности варьировал от 0,43 до 0,6; локальное неравномерное утолщение эндометрия в области дна или трубного угла с участками кровотока внутри гипоэхогенной структуры; гипоэхогенные полиповидные включения, деформирующие контур полости матки с единичными участками кровотока (рис. 3).
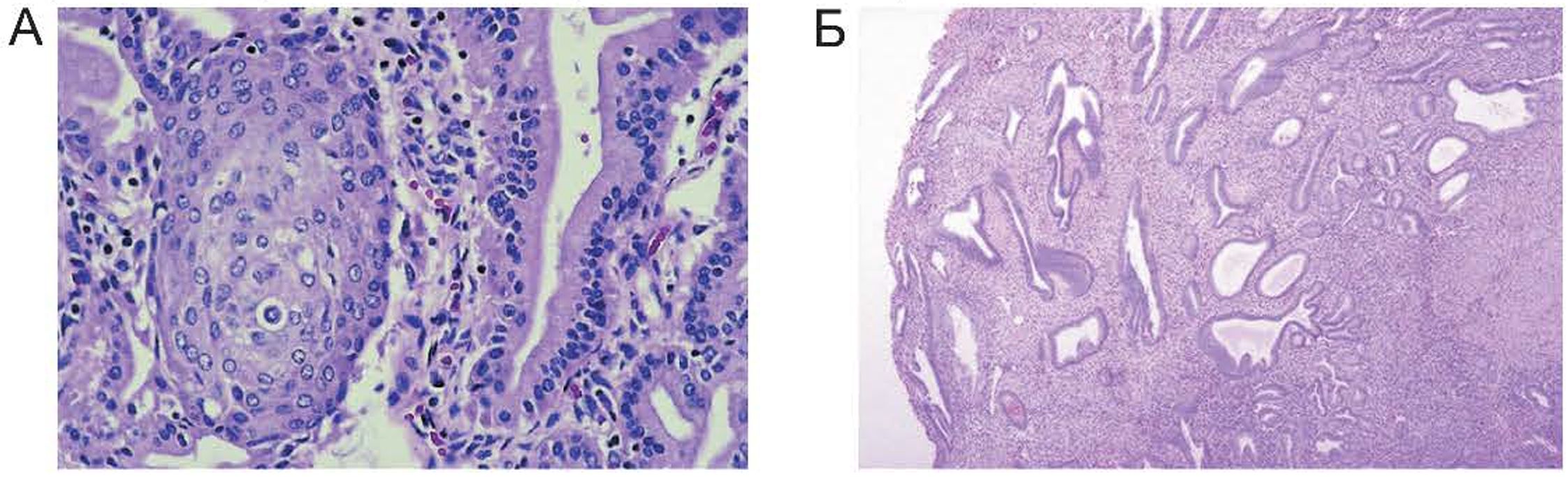
Рис. 3. А. — гиперплазия эндометрия, Б. — полип эндометрия у пациенток РМЖ, принимающих тамоксифен более 6 мес.
Клинические проявления болезни в виде кровотечения или кровомазания встречались у 29 больных, что составило 14,8%.
Морфологические особенности метаплазии эндометрия, развивающейся на фоне приема тамоксифена, показали, что в строме развиваются характерные признаки гипертрофии с явными признаками усиленной пролиферации базального слоя. В то же время, поверхность самого эндометрия минимальна, достаточно гладкая и плотная, что затрудняет забор материала для гистологии путем пайпель-биопсии. Интересно, что в большинстве случаев тамоксифеновые изменения в эндометрии имеют стромальую локализацию (рис. 4), а при развитии уже эндометриоидного рака преобладает паренхиматозная реакция (рис. 5).
РИС. 4. А. - стромальные изменения эндометрия после приема тамоксифена. Б. — кистозная метаплазия эндометрия
Также в тканях, видоизмененных тамоксифеном, определяется выраженная гиперэкспрессия рецептора GPR30/ G-белок рецептора эстрогена, особенно в образцах эндометриальной интраэпителиальной неоплазии, что вероятно и является причиной высокой пролиферативной активности базального слоя, в среднем, К1 67 в образцах находился в диапазоне от 30 до 40%. Также для эндометриальной интраэпителиальной неоплазии был характерен очаговый характер роста, без проникновения в строму, и наличие атипичных клеток, преимущественно железистого типа, потеря гена-супрессора РТЕК
За 3 года наблюдения у 36 больных РМЖ, которым была установлена ВМС «Мирена», не выявлено рецидивов гиперпластических процессов эндометрия и РМЖ. УЗИ контроль выполнялся 1 раз в 3 мес, а морфологический контроль - каждые 6 мес. Также не наблюдалось рецидивов болезни у 27 больных с высоким ИМТ, принимавших метформин.
Обсуждение
Увеличение продолжительности жизни пациенток РМЖ на фоне длительной гормонотерапии ставит актуальные задачи по выявлению факторов риска развития вторых раков и нивелирования побочных эффектов лекарственной терапии. Широкое применение микрочипов для определения статуса ER, PR и HER-2/Neu, привело к более глубокому пониманию особенностей опухолей и канцерогенеза вторых неоплазий. Тем не менее, есть еще значительные возможности для улучшения современной лекарственной терапии, такие как индивидуальный выбор препарата, профилактическое использование лекарств, снижающих риски гормонотерапии тамоксифеном. Разные действия тамоксифена, в том числе и эстрогенная реакция на эндометрий, скорее всего зависят от его активных форм, получающихся при метаболизме ферментами цитох- ромома Р 450 (CYP2D6, CYP3A4, CYP3A5, CYP2C9 и CYP2C19). При этом, каждое производное имеет свою специфику и сродство не только к традиционным мишеням препарата, как ERa и ERв, но и к G-белку, ассоциированному с эстрогеновым рецептором (GPR30).
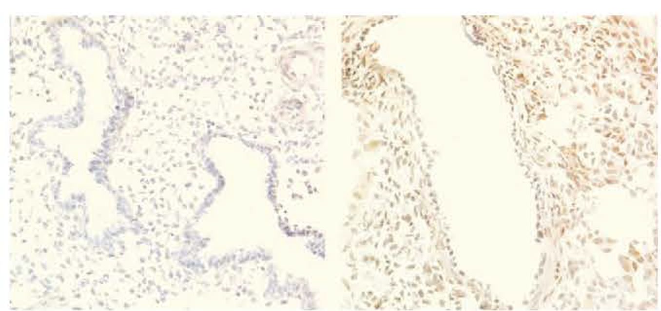
Рис. 5. Экспрессия рецепторов GPER, в нормальном секреторном эндометрии и на тамоксифене.
Таблица 2. Экспрессия рецептора GPER и ER в зависимости от морфологических изменений, вызванных приемом тамоксифена, иммуногистохимическое исследование 34 образцов (рис. 5)
Состояние эндометрия по морфологии | Число образцов N=34 | Гипер экспрессия GPER N=28 | Гиперэкспрессия ER в N=15 | Потеря гена супрессора PTEN N=12 |
Гиперплазия без атипии | 6 | 4 | 1 | 2 |
Эндометриоидная интраэпителиальная гиперплазия | 5 | 5 | 4 | 4 |
Полип | 3 | 2 | 0 | - |
Метаплазия | 13 | 11 | 5 | 0 |
Рак эндометрия | 7 | 6 | 5 | 6 |
Интересно, что два основных метаболита тамоксифена - 4-гидрокси-М-десметил тамоксифен и 4-гидрокситамоксифен имеют в 10 раз выше авидность (К D 3-6 нмоль / л) к рецептору GPR30, чем ERa связывается эстрадиолом. Это предполагает преимущественное эстрогеноподобное, пролиферативное действие в тканях-мишенях, таких как эндометрий. Преимущественно негеномный путь активации транскрипции, особенно устойчивый при наличии инсулинорезистентности у больной, т.е. у пациенток с избыточным весом [16]. Наши данные также показали, что предрак и рак эндометрия, индуцированный приемом тамоксифена, очень разнороден, но всегда будет эндометриоидного I типа.
Среди женщин с выявленными сонографическими изменениями М-эхо, на фоне приема тамоксифена, преобладали пациентки с ИМТ >28, и комплекс мероприятий по нормализации веса, включая повышение чувствительности ткани к инсулину (метформин) имел положительный эффект в долгосрочной перспективе.
Интересно, что при любом снижении активности фермента CYP2D6 цитохрома р450, например, препаратами пароксетин или флуоксетин, уменьшается прямое действие тамоксифена, что приведет к рецидиву РМЖ или развитию негеномных пролиферативных процессов в матке [17]. Идентификация активирующих мутаций киназ (например Р1К3СА и FGFR2) и потеря функции генов, связанных с восстановлением поломок ДНК (например РТЕ может привести к лучшему пониманию биологии и подбору препаратов, снижающих риски [18].
Таким образом, наш ультразвуковой отбор изменений эндометрия у пациенток, принимающих тамоксифен, показал, что риск развития предрака и рака эндометрия существует, и женщин следует приучать к системному обследованию органов женской репродуктивной системы. Также они должны быть обследованы, включая гистероскопию, перед назначением гормонотерапии РМЖ, и незамедлительно сообщать врачу о всех кровянистых выделениях из влагалища. При диагностированных гиперпластических процессах эндометрия пациентке должен быть подобран новый препарат из арсенала средств гормонотерапии РМЖ или предприняты профилактические меры по снижению рисков развития второго рака. Например, ВМС «Мирена» уменьшает эстрогеноподобное действие тамоксифена и про- филактирует развитие рака. Так как доказано, что ожирение является не только основным фактором риска для более агрессивного заболевания, но и увеличивает побочные эффекты тамоксифена, целесообразно у таких больных применять ингибиторы ароматазы, так как они чаще имеют мутации в 3 экзоне гена CTNNB1, и более низкий уровень экспрессии рецепторов эстрогена.
При высоком риске развития рака эндометрия возобновление гестоген-терапии является положительны моментом, так как уменьшает пролиферацию эндометрия, повышает апопоз и ингибируют эффекты активации регуляторных белков клеточного цикла.
Таким образом, восстановление прогестеронового контроля в эндометрии имеет особое значение для профилактики рака и является целью прогестин-терапии.
Учитывая, что длительное применение тамоксифена увеличивает экспрессию рецепторов прогестерона в предраке эндометрия, то применение левоноргестрела, гестогена с андрогенными свойствами, является патогенетической профилактикой уже на этапе метаплазий. Идентификация активирующих мутаций киназ (например Р1К3СА и FGFR2) и потери функции генов, связанных с восстановлением ДНК (РТЕЫ), может привести к лучшему пониманию биологии опухоли и снижению рисков второго рака [19].
About the authors
Aleksey V. Gerasimov
Novosibirsk Regional Clinical Oncological Dispensary
Email: kedrova.anna@gmall.com
doctor
Russian Federation, Novosibirsk st. Plakhotny 2Sergey E. Krasilnikov
Novosibirsk Regional Clinical Oncological Dispensary
Email: kedrova.anna@gmall.com
head Department of Oncogynecology
Russian Federation, Novosibirsk st. Plakhotny 2Anna G. Kedrova
Federal Scientific and Clinical Center for Specialized Types of Medical Care and Medical Technologies FMBA of Russia
Email: kedrova.anna@gmall.com
Doctor of Medical Sciences, Professor, Head. oncology department
Russian Federation, Walnut Boulevard. house 28, MoscowTatyana A. Maksimenko
KGBUZ "Altai Regional Oncological Dispensary"
Email: kedrova.anna@gmall.com
head Department of Gynecology
Russian Federation, Zmeinogorsky tract, 110, BarnaulNataliya S. Afonina
Federal Scientific and Clinical Center for Specialized Types of Medical Care and Medical Technologies FMBA of Russia
Email: dr.Afonlna@mall.ru
head of the CHI department
Russian Federation, Walnut Boulevard. house 28, MoscowOlga E. Nechaeva
Federal Scientific and Clinical Center for Specialized Types of Medical Care and Medical Technologies FMBA of Russia
Email: kedrova.anna@gmall.com
ultrasound doctor
Russian Federation, Walnut Boulevard. house 28, MoscowValentine V. Kosyi
Federal Scientific and Clinical Center for Specialized Types of Medical Care and Medical Technologies FMBA of Russia
Author for correspondence.
Email: kedrova.anna@gmall.com
Oncologist, Oncology Department
Russian Federation, Walnut Boulevard, house 28, MoscowReferences
- Kangaspeska S, Hultsch S, Edgren H, et.al. Reanalysis of RNA-Sequencing Data Reveals Several Additional Fusion Genes with Multiple Isoforms. PLoS ONE 7(10): e48745. doi: 10.1371/journal.pone.0048745
- Davies C, Pan H, Godwin J, et al; Adjuvant Tamoxifen. Longer Against Shorter (ATLAS) Collaborative Group: Long-term effects of continuing adjuvant tamoxifen to 10 years versus stopping at 5 years after diagnosis of oestrogen receptor-positive breast cancer: ATLAS, a randomised trial. Lancet 2013;381:805-816.
- Bernstein, L., Deapen, D., Cerhan, J.R., Schwartz, S. M., Liff, J., McGann-Maloney, E., et al. Tamoxifen therapy for breast cancer and endometrial cancer risk. J Natl Cancer Inst 1999;91:1654-62.
- Bergman L., Beelen M.L., Gallee M.P., Hollema H., Benraadt J. et al. Risk and prognosis of endometrial cancer after tamoxifen for breast cancer. Comprehensive Cancer Centres’ ALERT Group. Assessment of Liver and Endometrial cancer Risk following Tamoxifen. Lancet 2000; 356: 881-887.
- Goldstein, S.R. The effect of SERMs on the endometrium. Ann. N. Y. Acad. Sci 2001; 949:237-242
- Wickerham D.L., Fisher B., Wolmark N., Bryant J., Costantino J., Bernstein L., et al. Association of tamoxifen and uterine sarcoma. J Clin Oncol 2002; 20: 2758-60.
- Kim Mi-Jin, Kim Tae-Hee, Lee Hae-Hyeog, et al. G-protein Coupled Estrogen Receptor (GPER/ GPR30) and Women’s Health. J. Menopausal Med. 2015 Aug; 21(2): 79-81.
- Du G.Q., Zhou L., Chen X.Y., Wan X.P., and He, Y.Y. The G protein-coupled receptor GPR30 mediates the proliferative and invasive effects induced by hydroxytamoxifen in endometrial cancer cells. Biochem. Biophys Res Commun 2002;420: 343-49.
- Garuti G, Cellani F, Centinaio G, Sita G, Nalli G and Luerti M: Histopathologic behavior of endometrial hyperplasia during tamoxifen therapy for breast cancer. Gynecol Oncol. 2006;101:269-273.
- Berlière M, Charles A, Galant C and Donnez J: Uterine side effects of tamoxifen: a need for systematic pretreatment screening. Obstet Gynecol. 1998, 91:4044.
- Clarke R, Cook KL, Hu R, et al: Endoplasmic reticulum stress, the unfolded protein response, autophagy, and the integrated regulation of breast cancer cell fate. Cancer Res. 2012; 72:1321-1331. Endometrial cancer. Practice Bulletin No. 149. American College of Obstetricians and Gynecologists. Obstet Gynecol 2015;125:1006-26.
- Haas E, Bhattacharya I, Brailoiu E, et.al. Regulatory role of G protein-coupled estrogen receptor for vascular function and obesity. Circ Res. 2009 Feb 13;104(3):288-291.
- Бочкарева Н.В. Особенности метаболизма и рецепции эстрогенов при гиперпластических процессах и раке эндометрия. Автореферат дисс... докт.мед.наук. Томск, 2007.
- Robert J. Kurman, Maria Luisa Carcangiu, C. Simon Herrington, Robert H. Young, (Eds.): WHO Classification of Tumours of Female Reproductive Organs. Tumours of the uterine corpus. IARC: Lyon 2014, p. 121-154.
- Plante B, Lessey В., Taylor R., et.al. G ProteinCoupled Estrogen Receptor (GPER) Expression in Normal and Abnormal Endometrium. J. Reproduction Science, 2012 Jul; 19(7): pp. 684-93.
- Knapp P, Chabowski A, Blachnio-Zabielska A, Walentowicz-Sadlecka M, Grabiec M, Knapp PA. Expression of estrogen receptors (alpha, beta), cyclooxygenase-2 and aromatase in normal endometrium and endometrioid cancer of uterus. Adv Med Sci 2013; 58:96-103.
- Prossnitz ER, Barton M. Estrogen biology: new insights into GPER function and clinical opportunities.
- Mol Cell Endocrinol 2014; 389: 71-83.
- Dedes J.K., Daniel Wetterskog, Alan Ashworth, Stan B. Kaye Emerging therapeutic targets in endometrial cancer Nature Reviews Clinical Oncology 2011;8:261-271.
- Smith HO, Leslie KK, Singh M, et.al. GPR30: a novel indicator of poor survival for endometrial carcinoma. Am J Obstet Gynecol. 2007 Apr; 196(4): 386. e1-9; discussion 386.e9-11.
- Prossnitz ER, Barton M. Estrogen biology: new insights into GPER function and clinical opportunities. Mol Cell Endocrinol 2014; 389: 71-83.
Supplementary files







