A case of rare form of primary cutaneous cd4± small/medium t-cell lymphoma
- Authors: Diakonov D.A.1, Fedorovskaya N.S.1, Luchinin A.S.1
-
Affiliations:
- Federal State Budgetary Institution of Science Kirov Research Institute of Hematology and Blood Transfusion of the Federal Medical and Biological Agency of Russia
- Issue: Vol 6, No 4 (2015)
- Pages: 95-10
- Section: Articles
- Submitted: 16.10.2021
- Accepted: 16.10.2021
- Published: 15.11.2015
- URL: https://clinpractice.ru/clinpractice/article/view/83262
- DOI: https://doi.org/10.17816/clinpract83262
- ID: 83262
Cite item
Full Text
Abstract
Primary cutaneous CD4± small/medium T-cell lymphoma is very rare blood disease with usually good prognosis. However similar histology and immunohistochemistry of this pathology with more aggressive T-cells lymphomas, such as mycosis fungoides, make it difficult for pathologist to find the accurate diagnosis. We report about of 40-year-old woman, who came to our clinic with cheek skin lesion.
Keywords
Full Text
Актуальность.
Первичные кожные Т-клеточные лимфомы представляют собой гетерогенную группу лимфопролиферативных злокачественных заболеваний, характеризующихся клональной пролиферацией Т-лимфоцитов [1]. При этом кожные морфологические элементы постепенно эволюционируют от пятен или бляшек до опухолевых узлов с признаками изъязвления. К основным методам, позволяющим достоверно установить диагноз, относят гистологические и иммуногистохимические исследования [2, 3]. Согласно современной классификации Всемирной организации здравоохранения, выделяют 3 варианта редких форм первичных кожных периферических Т-клеточных лимфом: первичная кожная CD8± агрессивная эпидермотропная цитотоксическая Т-клеточная лимфома, первичная кожная уб-Т-клеточная лимфома и первичная кожная CD4± положительная Т-клеточная лимфома из мелких и средних размеров клеток [4]. Последний вариант кожной лимфомы встречается с частотой 2-3% случаев от всех кожных лимфом. Медиана возраста таких больных составляет около 60 лет и значительно выше у пациентов с локальной формой заболевания, по сравнению с пациентами с множественными кожными очагами [5].
Гистологическая картина первичной кожной CD4± Т-клеточной лимфомы из клеток мелких и средних размеров характеризуется наличием узла или группы узлов, расположенных в дерме и подкожной клетчатке, в то время как эпидермис в начальном периоде не поражен. Большое количество эозинофилов и клеток реактивного микроокружения могут затруднять диагностику данного заболевания. Наиболее часто дифференциальный диагноз проводится с локальными формами грибовидного микоза, первичного рака кожи и Т-клеточной псевдолимфомой [6].
Индолентное течение данного вида лимфомы ассоциируется с небольшими очагами поражения кожи (менее 3 см), низкой пролиферативной активностью Ki-67 и интенсивной инфильтрацией CD8± лимфоцитами. В то время как агрессивное течение характеризуется крупными очагами поражения кожи (более 5 см), высоким уровнем маркеров пролиферации и отсутствием инфильтрации CD8± лимфоцитами. Оптимальная стратегия терапии данного вида лимфом до сих пор не разработана. Локальные формы заболевания могут быть вылечены путем хирургической резекции очага, локальной лучевой терапией или воздействием на кожу длинноволнового ультрафиолетового излучения А в комбинации с псораленами (PUVA-терапия). Пациентам с множественно-очаговой формой показана полихимиотерапия, например, комбинация циклофосфамида, адриабластина, онковина и преднизолона [7].
Таким образом, учитывая трудности диагностики первичной кожной CD4± положительной Т-клеточной лимфомы из мелких и средних размеров клеток, а также отсутствие разработанной тактики ведения пациентов с данной патологией, актуальность исследования этого заболевания не вызывает сомнений. Целесообразным является обмен опытом по диагностике, лечению и последующему динамическому наблюдению за такими больными, с целью последующей разработки общей тактики ведения пациентов.
Клинический случай.
Мы сообщаем о пациентке Н, 40 лет, которая 3 марта 2015 года была направлена из Кировского областного онкологического диспансера в ФГБУН КНИ- ИГиПК ФМБА России для проведения диагностики по поводу прооперированного кожного образования правой щеки. Образование на коже в виде эритемы диаметром до 1 см появилось несколько месяцев назад. Пациентка не испытывала каких-либо других симптомов, таких как общая слабость, потеря веса, потливость или повышение температуры. После консультации дерматолога и онколога была рекомендована хирургическая резекция кожного очага, которая была сделана 25 февраля 2015 года в онкологическом диспансере. По данным гистологического исследования, был установлен диагноз неуточненного лимфопролиферативного заболевания. С предварительным диагнозом мелкоклеточной (диффузной) неходжкинской лимфомы с поражением кожи правой щеки пациентка направлена к гематологу; блоки гистологических препаратов переданы в лабораторию патоморфологии КНИИ- ГиПК.
Из анамнеза: пациентка не курит, не принимает запрещенных препаратов, алкоголем не злоупотребляет. Никаких лекарственных средств регулярно не принимает. Сопутствующих хронических заболевайий нет. Не замужем, живет одна, работает офисным работником.
Объективный статус при поступлении: состояние удовлетворительное, положение активное. На вопросы отвечает адекватно. Температура 36,7 °C, частота пульса 82 удара в минуту, АД 130/80 мм рт. ст., частота дыхательных движений 14 в минуту. Внешнее телосложение правильное, кожные покровы физиологической окраски, чистые; определяется послеоперационной рубец на коже правой щеки ближе к крылу носа. Желтушности кожи, слизистых и склер нет. В легких дыхание везикулярное над всей поверхностью легких, хрипов нет. Тоны сердца ритмичные, шумов нет. Живот мягкий, безболезненный. При пальпации органомега- лии не обнаружено. Периферические лимфоузлы не увеличены.
Выполнены лабораторно-инструментальные исследования.
В общем анализе крови: гемоглобин 118 г/л, эритроциты 4,11х1012/л, лейкоциты 9,8х109/л, СОЭ 12 мм/час, тромбоциты 397х109/л, сегментоядерные нейтрофилы - 64%, эозинофилы - 3%, базофилы - 1%, лимфоциты - 29%, моноциты - 3% (клинически значимых отклонений нет). Биохимический анализ крови в норме: общий белок - 76 г/л; мочевина - 4,1 ммоль/л; АЛТ - 10 ЕД/л; ACT - 14 ЕД/л; креатинин - 58 мкмоль/л; билирубин - 3,6 мкмоль/л, уровень ЛДГ - 288 ЕД/л (норма 240-480 ЕД/л). Общий анализ мочи в норме, протеинурии нет. Уровень сывороточного железа, трансферрина, ферритина, витамина В12 и фолатов в норме. Содержание иммуноглобулинов в сыворотке крови в норме. Общий белок и протеинограмма в пределах референсных значений, М-градиентов не выявлено. Серологические исследования: антитела к ВИЧ, вирусному гепатиту С, трепонеме паллидум, HBsAg не обнаружены.
По данным компьютерной томографии грудной и брюшной полостей очаговых и инфильтративных изменений в легких нет, объемных процессов и лимфаденопатии в грудной и брюшной полости не выявлено; спленомегалии и гепатомегалии не обнаружено.
Была выполнена аспирация костного мозга; в миелограмме: клеточность костного мозга нормальная, препарат полиморфный; нейтрофильные элементы составляют 55,6%, эритроидный росток - 17,5%, содержание мегакариоцитов достаточное. Инфильтрации костного мозга лимфоидными элементами в исследуемом объеме материала не обнаружено.
Сделано гистологическое исследование костного мозга методом трепанобиопсии задней ости подвздошной кости: данных за поражение костного мозга лимфомой не выявлено.
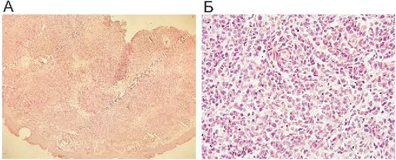
При гистологическом исследовании кожного биоптата: структура кожи частично сохранена, выявляется диффузная инфильтрация глубоких слоев лимфоидными элементами мелких, средних и крупных размеров, с ядрами неправильной формы, сглаженным хроматином, нечеткими ядрышками (рис. 1).
Рис. 1.
Гистологическое исследование биоптата кожи (окраска г е маток силином и эозином). А. Биоптат кожи с частичным сохранением рисунка и диффузной инфильтрацией глубоких слоев лимфоидными элементами (ок. 10, об. х4). Б. Инфильтрат представлен лимфоидными элементами мелких, средних и крупных размеров, с ядрами неправильной формы, сглаженным хроматином, нечеткими ядрышками (ок. 10, об. х40).
Выполнено иммуногистохимическое исследование материала: опухолевые клетки инфильтрации экспрессировали CD2±; CD3±; CD4±; CD5±; CD43±. Реакция с Ki-67 была положительна в 90% опухолевых клеток. В-лимфоциты (CD20±) определялись в умеренном количестве. Реакции с CD7-; CD8-; CD56-; CD57-; CD30-; ALK- в опухолевых клетках были отрицательные (рис. 2). В результате гистологической и иммуногистохимической оценки представленного материала было сделано заключение, что картина кожи щеки наиболее соответствует первичной кожной Т-клеточной лимфоме (первичной кожной СЭ4±-положительной Т-клеточной лимфоме из мелких и средних размеров клеток).
Рис. 2.
Иммуногистохимическое исследование биоптата кожи. Д. Экспрессия опухолевыми лимфоидными клетками CD3 (ок.10, об. х40). Б. Положительная реакция лимфоидных элементов с CD4 (ок.10, об. х40). В. Положительная реакция в реактивных СD20-позитивных лим - фоидных клетках (ок.10, об. х40). Г. Ядерное окрашивание опухолевых клеток с маркером пролиферации Ki-67 (ок. 10, об. х40).
Таким образом, учитывая клинико-анамнестические, лабораторные, гистологические данные и согласно классификации ВОЗ от 2008 года, был установлен диагноз: первичная кожная CD4± Т-клеточная лимфома из мелких и средних размеров клеток, T1N0M0, IA стадия. Была избрана тактика динамического наблюдения у гематолога без химиотерапевтического лечения. Это первый случай точной диагностики первичной кожной CD4± Т-клеточной лимфомы из мелких и средних размеров клеток в нашем учреждении. Клиническое течение и морфологическая картина болезни соответствовали данным литературы.
В настоящее время (спустя 5 месяцев после иссечения опухолевого образования) пациентка чувствует себя удовлетворительно, жалоб не предъявляет, клинико-лабораторных признаков онкогематологической патологии нет, что позволяет диагностировать полную ремиссию и предположить благоприятный прогноз по общей выживаемости
About the authors
Dmitriy A. Diakonov
Federal State Budgetary Institution of Science Kirov Research Institute of Hematology and Blood Transfusion of the Federal Medical and Biological Agency of Russia
Author for correspondence.
Email: DiakonovDA@rambler.ru
Candidate of Medical Sciences, Senior Researcher, Laboratory of Blood Pathomorphology
Russian Federation, Krasnoarmeyskaya st., 72, KirovNadezhda S. Fedorovskaya
Federal State Budgetary Institution of Science Kirov Research Institute of Hematology and Blood Transfusion of the Federal Medical and Biological Agency of Russia
Email: fednadsf@mail.ru
Candidate of Medical Sciences, Head of the Laboratory of Blood Pathomorphology
Russian Federation, Krasnoarmeyskaya st., 72, KirovAlexander S. Luchinin
Federal State Budgetary Institution of Science Kirov Research Institute of Hematology and Blood Transfusion of the Federal Medical and Biological Agency of Russia
Email: glivec@mail.ru
hematologist
Russian Federation, Krasnoarmeyskaya st., 72, KirovReferences
- Choi М., Park S.Y., Park H.S. et al. A Case of Primary Cutaneous CD4 Positive Small/medium T Cell Lymphoma. Ann Dermatol 2011; 23 (1): 76-80.
- Знаменская Л.Ф., Катунина O.P., Яковлева C.B. Первичные лимфомы кожи. Вестник дерматологии и венерологии 2009; 3: 25-37.
- Доронин В.А. Диагностика и лечение первичных Т-клеточных лимфом кожи. Лечащий врач 2007; 5: 47-50.
- Leinweber В. Beltraminelli Н., Kerl Н. et al. Solitary small- to medium-sized pleomorphic T-cell nodules of undetermined significance: clinical, histopathological, immunohistochemical and molecular analysis of 26 cases. Dermatology 2009; 219: 42-47.
- Macon W.R. Peripheral T-cell lymphomas. He- matol Oncol Clin North Am 2009; 23: 829-842.
- Виноградова Ю.Е., Потекаев H.C., Виноградов Д.Л. Лимфомы кожи: диагностика и лечение. М., 2014; с 126-133.
- Beltraminelli Н., Leinweber В., Kerl Н. et al. Primary cutaneous CD4± small-/medium-sized pleomorphic T-cell lymphoma: a cutaneous nodular proliferation of pleomorphic T lymphocytes of undetermined significance? A study of 136 cases. Cerroni L Am J Der- matopathol 2009; 31: 317-322.




