Case reports: spondylodiscitis and epiduritis after suffering COVID-19
- Authors: Ustenko I.I.1, Kushnir Y.B.1, Amelin A.V.1, Gotovchikov A.А.1, Goranchuk D.V.1, Kulikov A.N.1
-
Affiliations:
- Academician I.P. Pavlov First St. Petersburg State Medical University
- Issue: Vol 13, No 1 (2022)
- Pages: 107-117
- Section: Case reports
- Submitted: 29.10.2021
- Accepted: 08.02.2022
- Published: 15.04.2022
- URL: https://clinpractice.ru/clinpractice/article/view/83531
- DOI: https://doi.org/10.17816/clinpract83531
- ID: 83531
Cite item
Full Text
Abstract
Background: The study analyzes a possible rare complication of COVID-19 in the form of spondylodiscitis, including that followed by epiduritis, in patients who survived COVID-19 characterized by severe pneumonia, respiratory failure and systemic inflammatory response syndrome (SIRS).
Clinical case description: Three clinical cases of patients are presented, each of whom had high fever, SIRS with a significant increase in the laboratory markers of inflammation (C-reactive protein (CRP), leukocytosis, erythrocyte sedimentation rate (ESR), fibrinogen, procalcitonin, ferritin), bacterial pneumonia, and severe hemostasis disorders. Despite an antibiotic therapy with broad-spectrum drugs, the development of spondylodiscitis was observed, manifested as acute pain syndrome in the lumbar spine. In the first patient, against the background of a massive antibacterial therapy, revisions of purulent foci, therapy with glucocorticosteroids (GCS), and a surgical treatment, there was significant positive dynamics in the form of the pain syndrome relief. The second patient showed positive dynamics against the background of a conservative antibacterial therapy. The third patient, with a paravertebral abscess at the level of developed spondylodiscitis, received a massive antibiotic therapy combined with GCS, and was operated for the spinal cord decompression.
Conclusion: Spondylodiscitis and epiduritis may be possible complications of COVID-19, including those resulting from the immunosuppressive therapy, which is actively used to stop the cytokine storm.
Full Text
ОБОСНОВАНИЕ
К настоящему моменту накоплено большое количество данных о неврологических осложнениях, развивающихся после перенесенной инфекции COVID-19. В литературе описаны случаи энцефалитов [1–3], острых энцефаломиелитов [1, 4–7] и демиелинизирующих полиневропатий (синдром Гийена–Барре) [1, 8, 9]. В данной публикации представлены клинические случаи спондилодисцита и эпидурита, развившихся на фоне синдрома системной воспалительной реакции (ССВР) при COVID-19.
Спондилодисцит — одно из редких, но грозных инфекционных заболеваний, вовлекающих в патологический процесс тела позвонков, межпозвонковые диски, а также окружающие позвоночник мягкие ткани и нервные структуры. Встречаемость спондилодисцита составляет 2–7% от всех случаев остеомиелита (1/100 000–1/250 000 случаев в год) и чаще выявляется у людей старше 50 лет. В последнее время отмечен рост диагностированных случаев спондилодисцита в Европе, что, предположительно, связано с улучшением методов диагностики этой патологии, а также возросшим риском ее развития на фоне неконтролируемой антибиотикотерапии, полипрагмазии, старения населения и роста числа хирургических вмешательств на позвоночнике [10, 11]. Развитию спондилодисцита, как правило, предшествует инфекция другой локализации. В публикациях упоминаются одонтогенные, легочные, кожные, внутримышечные, желудочно-кишечные, мочеполовые и иные источники инфекции. В ряде случаев у пациентов обнаруживается инфекционный эндокардит [11–13]. В 90% случаев гематогенный путь инфицирования рассматривается как основной, в 75% случаев возбудителями являются представители грамположительной флоры, в частности Staphylococcus aureus. В последнее время отмечается рост случаев инфицирования метициллинрезистентным S. aureus (MRSA) [10]. Реже причиной спондилодисцита является грамотрицательная флора (Escherichia coli) из желудочно-кишечного или мочеполового тракта [10, 12]. В 1–10% случаев, по данным различных источников, спондилодисцит возникает из-за грибковой инфекции, в частности грибов рода Candida [10, 11, 14–16].
Клиническая картина спондилодисцита на ранних этапах развития может быть неспецифична и нередко напоминает скелетно-мышечную боль вследствие дегенеративно-дистрофических изменений в позвоночнике, что нередко затрудняет диагностику, особенно в старшей возрастной группе пациентов [11, 13]. Однако наличие очагов инфекции, лихорадка, сепсис, иммунодефицит, лабораторные показатели воспаления должны вызвать сомнения у врача в отношении «неспецифичности» процесса в позвоночнике. Оптимальным методом диагностики спондилодисцита является магнитно-резонансная томография (МРТ) [10, 12, 13].
Мы не обнаружили в доступных для изучения научных публикациях сообщений о спондилодисцитах, развившихся на фоне COVID-19 или после недавно перенесенной новой коронавирусной инфекции, и представляем несколько собственных клинических наблюдений.
КЛИНИЧЕСКИЕ ПРИМЕРЫ
В данном клиническом разборе мы хотим представить три клинических случая развития спондилодисцита у пациентов, перенесших COVID-19 в тяжелой форме [17]. Наличие спондилодисцита было подтверждено данными МРТ. У всех пациентов имелся ССВР, сочетающий ≥2 из следующих проявлений [18]:
- лихорадка >38°С или <36°С;
- частота сердечных сокращений >90 уд/мин;
- частота дыхания >20 уд/мин или гипервентиляция (PaCO2 ≤32 мм рт.ст.);
- число лейкоцитов в крови >12×109/л или <4×109/л, или незрелых форм >10%.
У всех пациентов имелись также некоторые из «красных флагов» боли в нижней части спины [19]:
- возраст старше 50 лет;
- боль, не связанная с движением, сохраняющая прежнюю интенсивность ночью, нарастающая с течением времени;
- устойчивая лихорадка;
- длительный прием глюкокортикостероидов (ГКС);
- общее тяжелое состояние больного.
Клинический случай 1
О пациенте
Пациент В., 58 лет; доставлен в инфекционное отделение с жалобами на одышку, лихорадку до 37–38°С в течение 15 дней.
Физикальная диагностика, лечение
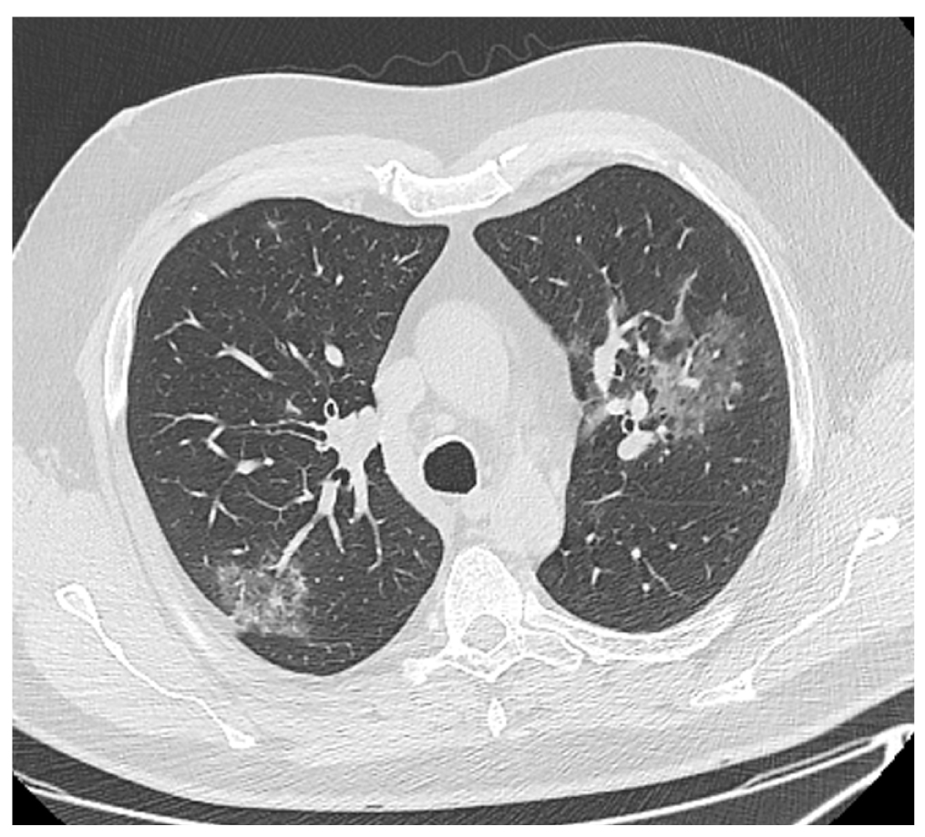
Данные компьютерной томографии (КТ) свидетельствовали о пневмонии второй степени тяжести (рис. 1). Результаты теста на COVID-19 методом полимеразной цепной реакции (ПЦР) были положительными. Сопутствующие заболевания представлены гипертонической болезнью (ГБ), тромбоэмболией легочной артерии (ТЭЛА) от 2019 года и стенозом позвоночного канала на уровне L5–S1 (рис. 2).
Рис. 1. Пациент В., 58 лет: компьютерная томограмма органов грудной клетки свидетельствует о пневмонии средней степени тяжести (КТ-2). / Fig. 1. Patient V., 58 years old: сomputed tomography of the chest organs indicates moderate pneumonia (CT-2).
Рис. 2. Тот же пациент: магнитно-резонансная томограмма поясничного отдела позвоночника: а — аксиальный срез в режиме Т2-FLAIR на уровне L5–S1; б — сагиттальный срез позвоночного столба в режиме T2-FLAIR; в — сагиттальный срез позвоночного столба в режиме STIR. Стрелками (б, в) указан очаг спондилодисцита. / Fig. 2. The same patient: magnetic resonance imaging of the lumbar spine: а — axial slice in T2-FLAIR mode at the L5–S1 level; б — sagittal slice of the spinal column in T2-FLAIR mode; в — sagittal slice of the spinal column in STIR mode. Arrows (б, в) indicate the focus of spondylodiscitis.
За время госпитализации пациент, согласно протоколу лечения этой инфекции, получал оральные антикоагулянты, цефтриаксон и ГКС [17]. На 16-е сут с момента пребывания пациента в инфекционном стационаре возникла выраженная боль в пояснице и ягодичной области справа. Появление болевого синдрома связали с кожно-мышечной гематомой, выявленной в этой области и возникшей как нетяжелое геморрагическое осложнение антикоагулянтной терапии. В дальнейшем пациент был выписан в удовлетворительном состоянии из инфекционного отделения и находился дома с 16-й по 30-й день болезни; за медицинской помощью не обращался. В это время для лечения болевого синдрома пациент принимал нестероидные противовоспалительные препараты, однако клинически выраженного анальгетического эффекта не отмечал.
На 30-й день болезни у больного спонтанно возникли умеренные диффузные мышечные боли в дистальных отделах обеих ног, без клинических признаков венозного тромбоза. Еще через двое суток из-за значительного нарастания интенсивности боли в мышцах ног пациент не смог ходить и отметил появление мышечной слабости. Выполненная в это время МРТ шейного, грудного, пояснично-крестцового отделов позвоночника выявила признаки эпидурита на уровне L5–S1 позвонков и спондилодисцита в сегментах С5–С6, L5–S1, на фоне дегенеративных изменений шейного, пояснично-крестцового отделов позвоночника. В анализах крови регистрировались нейтрофильный лейкоцитоз, анемия легкой степени, значимое повышение С-реактивного белка (СРБ) (табл. 1), при этом жалобы на болезненность в шейном отделе позвоночника у пациента отсутствовали.
Таблица 1. Клинико-демографические, лабораторные, инструментальные данные пациентов со спондилодисцитом на фоне COVID-19 /Table 1. Clinical, demographic, laboratory and instrumental data of patients with spondylodiscitis on the background of COVID-19
Клинический случай | 1 | 2 | 3 | |
Возраст/Пол | 58/М | 69/М | 75/М | |
Спондилодисцит (уровень поражения позвоночника) | С5–С6 L5–S1 | L4–L5 | L1–L5 | |
Эпидурит (уровень поражения позвоночника) | L5–S1 | Нет | L1–L5 | |
Объем поражения легких (КТ) в связи с COVID-191 | КТ-2 | КТ-3 | КТ-2 | |
Время*, дней | 16 | 39 | 22 | |
Лабораторные результаты (норма, N) | СРБ (0,10–8,20 мг/л) | 267 | 308 | 160 |
Лейкоцитоз (4,00–8,80×109/л) | 28,34 | 21,07 | 10 | |
СОЭ (1–10 мм/ч) | 70 | 66 | 65 | |
Фибриноген (2–4 г/л) | 8,37 | 11,12 | 6,5 | |
Прокальцитонин (0–0,249 мкг/л) | 0,6751 | 0,3267 | 9,928 | |
Ферритин (23,9–336,0 мкг/л) | 1500 | 1263 | 659 | |
IgG к COVID-19 в сыворотке | 23,0 | 20,0 | 19,0 | |
Выявленные синдромы | Болевой в спине** | +/20 | +/14 | +/21 |
Лихорадка | + | + | + | |
Терапия COVID-192 | АК ГКС Цефтриаксон | АК Плазма*** Меропенем Линезолид | АК Плазма Тоцилизумаб Меропенем Линезолид | |
Сопутствующий диагноз | ГБ ТЭЛА Стеноз позвоночного канала на уровне ПОП | ГБ Атеросклероз ТЭЛА Ишемический ОНМК Язва желудка Стеноз позвоночного канала на уровне ПОП | БП ГБ ФП Ишемический ОНМК Стеноз позвоночного канала на уровне ПОП | |
Выявленные возбудители | Кровь | S. aureus | S. epidermalis S. aureus | Coagulase negative staphylococci |
Нагноившаяся гематома | S. aureus | Не производился | Не производился | |
Моча | Klebsiela pneumoniae ssp. pneumoniae | Streptococcus spp. Candida spp. | Candida spp. C. albicans | |
Очаг спондилодисцита (операционный материал) | Не обнаружено | Не производился | Не обнаружено | |
Мокрота | Не производился | Acinetobacter spp. K. pneumoniae ssp. pneumoniae | Staphylococcus aureus | |
Терапия спондилодисцита | Меропенем Ванкомицин Цефтриаксон Оперативное лечение | Меропенем Цефтриаксон | Меропенем Ванкомицин Цефтриаксон Оперативное лечение | |
Эффект от терапии / Болевой синдром в спине при выписке** | +/10 | +/7 | -/19 | |
Примечание. * Период времени от положительной реакции ПЦР на COVID-19 до дебюта клинической симптоматики спондилодисцита; ** оценка выраженности болевого синдрома по шкале Ролланда–Морриса на момент дебюта клинической симптоматики спондилодисцита; *** плазма с антителами к COVID-19. 1 Объем поражения легких по данным КТ; 2 терапия COVID-19, включая специфическую терапию, терапию бактериальных осложнений, профилактику тромботических осложнений. ПЦР — полимеразная цепная реакция; КТ — компьютерная томография; СРБ — С-реактивный белок; СОЭ — скорость оседания эритроцитов; ГКС — глюкокортикостероиды; АК — антикоагулянты; ГБ — гипертоническая болезнь; ТЭЛА — тромбоэмболия легочной артерии; ПОП — поясничный отдел позвоночника; ОНМК — острое нарушение мозгового кровообращения; БП — болезнь Паркинсона; ФП — фибрилляция предсердий.
Note: * The time period from positive PCR for COVID-19 to the onset of clinical symptoms of spondylodiscitis; ** Assessment of the severity of pain syndrome on the Rolland–Morris scale at the time of the debut of the clinical symptoms of spondylodiscitis; *** Plasma with antibodies to COVID19. 1 The volume of lung damage according to computed tomography; 2 COVID19 therapy, including specific therapy, therapy of bacterial complications, prevention of thrombotic complications. ПЦР — polymerase chain reaction; КТ — computed tomography; СРБ — C-reactive protein; СОЭ — erythrocyte sedimentation rate; ГКС — glucocorticosteroids; AK — anticoagulants; ГБ — hypertension disease; ТЭЛА — pulmonary embolism; ПОП — lumbar spine; ОНМК — acute cerebrovascular accident; БП — Parkinson’s disease; ФП — fibrillation atria.
На 34-й день заболевания COVID-19 с жалобами на слабость и боль в ногах, дорсалгию пациент был госпитализирован в неврологическое отделение. При осмотре выявлены лихорадка до 38°С, преимущественно проксимальный периферический тетрапарез, симметричные нарушения поверхностной и глубокой чувствительности в дистальных отделах верхних и нижних конечностей по типу перчаток и носков.
Динамика, осложнения
По совокупности результатов клинического и инструментального обследования пациент в срочном порядке осмотрен нейрохирургом для определения показаний к хирургическому лечению эпидурита и спондилодисцита. Поиск возможного источника инфекции с помощью КТ органов брюшной полости, забрюшинного пространства и малого таза выявил множественные жидкостные образованиями с участками пониженной плотности во всех группах мышц малого таза. Эти данные в совокупности с нарастающим уровнем СРБ и лейкоцитозом, сохраняющейся лихорадкой, интоксикацией, ухудшением общего состояния пациента, а также обильным ростом S. aureus, выявленным при посеве крови и биологического материала из очагов воспаления в мышцах, позволили диагностировать ССВР, вероятный сепсис. Начата антибактериальная терапия ванкомицином, проведено оперативное вмешательство с санацией очагов гнойного воспаления в мышцах. В послеоперационном периоде пациент получал меропенем и цефтриаксон с положительной динамикой неврологического статуса в виде нарастания мышечной силы, регресса чувствительных нарушений, уменьшения боли, лихорадки. Пациент смог самостоятельно передвигаться. Однако через 12 сут у пациента остро возникли интенсивная боль в пояснице и лихорадка. Выполненная повторно МРТ выявила расширение зоны воспалительных изменений и отека в переднем эпидуральном пространстве (эпидурит) на уровне L5–S1 межпозвонкового диска, в связи с чем были проведены санация и дренирование очага спондилодисцита. Предполагаемый гнойный характер поражения диска не подтвердился. Обнаружены признаки асептического воспаления ткани диска и отсутствие роста микроорганизмов при посеве биоматериала. Включение в схему лечения дексаметазона в дозе 12 мг/сут со снижением по 4 мг 1 раз в 5 дней в течение 15 дней позволило значительно улучшить клиническую ситуацию.
Исходы и прогноз
Таким образом, комплексное хирургическое и консервативное лечение с использованием антибиотиков и глюкокортикоидов позволили добиться значительного прогресса в лечении сподилодисцита и абсцессов паравертебральных мышц.
Через 2,5 мес с момента диагностики COVID-19 пациент был выписан под амбулаторное наблюдение в удовлетворительном состоянии, с незначительным болевым синдромом, самостоятельно передвигающийся и минимально нуждающийся в посторонней помощи.
Клинический случай 2
О пациенте
Пациент Д., 69 лет; госпитализирован в инфекционное отделение с положительным результатом ПЦР-теста на COVID-19, выраженной анемией, дыхательной недостаточностью, острой задержкой мочи.
Физикальная диагностика, лечение
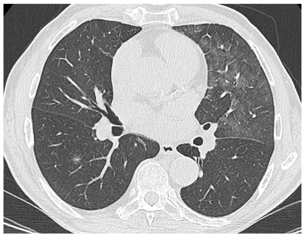
По данным КТ легких выявлена пневмония тяжелой степени (рис. 3). Пациент страдал распространенным атеросклерозом, ГБ, ТЭЛА от 2020 года; перенес острое нарушение мозгового кровообращения неизвестной давности, неуточненного подтипа; верифицированы также стеноз позвоночного канала на уровне L4–L5, язвенная болезнь, язва желудка от 2019 года. Через 6 дней пребывания в инфекционном стационаре в связи с нарастанием симптомов дыхательной недостаточности и тяжелыми признаками ССВР пациент был переведен в отделение реанимации и интенсивной терапии, где находился на искусственной вентиляции легких и получал ГКС, антибиотики, антикоагулянты (см. табл. 1); ему произведено переливание эритроцитарной массы. Бактериологическое исследование крови выявило рост S. aureus.
Рис. 3. Пациент Д., 69 лет: компьютерная томограмма органов грудной клетки свидетельствует о тяжелой степени пневмонии (КТ-3). / Fig. 3. Patient D., 69 years old: сomputed tomography of the chest organs indicates a severe degree of pneumonia (CT-3).
Через 2 нед на фоне улучшения течения COVID-19, регресса лихорадки и дыхательной недостаточности пациент Д. переведен в неврологическое отделение в связи с возникшими жалобами на слабость в ногах. В неврологическом статусе выявлены нижний проксимальный парапарез до 4 баллов, двустороннее отсутствие ахилловых рефлексов, радикулопатия L5 слева с сенсорными расстройствами и парезом до 4 баллов разгибателя большого пальца. При КТ органов грудной клетки, выполненной в связи с нарастанием дыхательной недостаточности и лихорадкой, выявлена бактериальная пневмония. В анализах крови — выраженный лейкоцитоз и стойкое увеличение СРБ при нормальном уровне прокальцитонина, что в совокупности с другими признаками было расценено как ССВР (см. табл. 1).
Динамика, осложнения
На 25-й день течения COVID-19 у пациента появилась умеренная боль в поясничной области, которая была расценена как проявление неспецифической скелетно-мышечной боли спондилогенного происхождения. Через несколько дней боль в пояснице внезапно приобрела очень интенсивный характер, что стало поводом для повторного выполнения МРТ поясничного отдела позвоночника, где были выявлены признаки выраженных воспалительных изменений диска L4–L5 по типу спондилодисцита и отек паравертебральных мягких тканей (рис. 4). После консультации пациента нейрохирургом была назначена антибактериальная терапия (см. табл. 1) с хорошим клиническим результатом.
Рис. 4. Тот же пациент: магнитно-резонансная томограмма поясничного отдела позвоночника: а — аксиальный срез в режиме Т2-FLAIR на уровне L4–L5; б — сагиттальный срез позвоночного столба в режиме T2-FLAIR. Стрелкой (б) указан очаг спондилодисцита. / Fig. 4. The same patient: magnetic resonance imaging of the lumbar spine: а — axial slice in T2-FLAIR mode at the L4–L5 level; б — sagittal slice of the spinal column in T2-FLAIR mode. The arrow (б) indicates the focus of spondylodiscitis.
Исходы и прогноз
К концу второго месяца течения COVID-19 в результате проведенных терапевтических мероприятий у пациента отмечалось уменьшение выраженности болевого синдрома в пояснице и восстановление мышечной силы в ногах, позволивших пациенту приступить к дальнейшей реабилитации.
Клинический случай 3
О пациенте
Пациент Л., 75 лет, с положительным результатом ПЦР на COVID-19 и клинической картиной тяжелой дыхательной недостаточности был госпитализирован в инфекционное отделение.
Физикальная диагностика, лечение
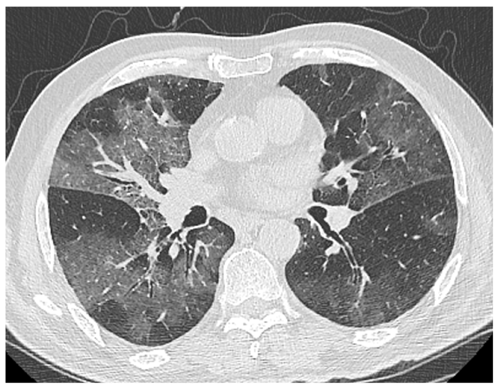
Степень специфических изменений в легких, по радиологическим данным, оценивалась как КТ-2 (см. табл. 1; рис. 5). Течение инфекции было отягощено сопутствующей болезнью Паркинсона, гипертонической болезнью, фибрилляцией предсердий, перенесенным ишемическим инсультом от 2020 года, протяженным стенозом позвоночного канала на уровне L1–L5. За время пребывания в инфекционном отделении пациент получал терапию ГКС, тоцилизумабом, антибактериальную терапию меропенемом, линезолидом. Проводилось переливание плазмы крови с антителами к COVID-19.
Рис. 5. Пациент Л., 75 лет: компьютерная томограмма органов грудной клетки свидетельствует о пневмонии средней степени тяжести (КТ-2). / Fig. 5. Patient L., 75 years old: computed tomography of the chest organs indicates moderate pneumonia (CT-2).
К 12-му дню заболевания, после завершения лечения коронавирусной инфекции, пациент был переведен в неврологическое отделение в связи с ухудшением течения болезни Паркинсона. При переводе состояние пациента оценивалось как средней тяжести, имелась лихорадка до 38°С. По данным анализа крови у пациента отмечались признаки ССВР, повышение СРБ, а также значимо повышенный уровень прокальцитонина, что вместе с другими клиническими проявлениями соответствовало клинической картине сепсиса (см. табл. 1). В неврологическом статусе, помимо экстрапирамидной симптоматики, выявлялись нижний периферический парапарез со снижением мышечной силы до 3–4 баллов и болевой синдром в поясничном отделе позвоночника.
Динамика, осложнения
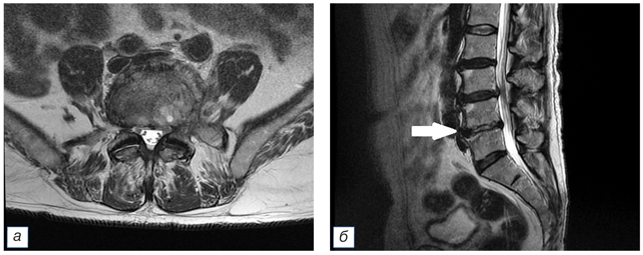
Принимая во внимание наличие сепсиса и жалоб на болевой синдром в области поясницы, выполнено МРТ поясничного отдела позвоночника, по результатам которой был выявлен паравертебральный абсцесс на уровне L1–L2 позвонков. При посеве отделяемого бронхов, выполненном в связи с сохраняющейся пневмонией, выявлен рост грибов рода Candida. В связи с открывшимися новыми обстоятельствами проведена коррекция антибактериальной и противогрибковой терапии (см. табл. 1).
Несмотря на проводимое лечение, через 10 дней у пациента развился острый болевой синдром в поясничной области, в связи с чем повторно выполнена МРТ: на фоне сохраняющегося абсцесса выявлены признаки спондилодисцита на уровне L2–L3 (рис. 6). С учетом полученных данных было принято решение об очередном изменении антибактериальной терапии, направленной на лечение спондилодисцита.
Рис. 6. Тот же пациент: магнитно-резонансная томограмма поясничного отдела позвоночника: а — аксиальный срез в режиме Т2-FLAIR на уровне L2–L3; б — сагиттальный срез позвоночного столба в режиме T2-FLAIR; в — сагиттальный срез позвоночного столба в режиме STIR. Стрелкой указан абсцесс (а); контурами выделены абсцесс (б) и очаг спондилодисцита (в). / Fig. 6. The same patient: magnetic resonance imaging of the lumbar spine: а — axial slice in T2-FLAIR mode at the L2–L3 level; б — sagittal slice of the spinal column in T2-FLAIR mode; в — sagittal slice of the spinal column in STIR mode. Arrow indicates an abscess (а); abscess (б) and the spondylodiscitis (в) focus is outlined.
Через 1,5 мес течения COVID-19, несмотря на проводимую терапию, состояние пациента ухудшалось. По данным повторно выполненной МРТ отмечалась отрицательная динамика в виде распространения спондилодисцита до уровня L5 позвонка с развитием эпидурита. После консультации с нейрохирургами было принято решение об оперативном лечении. Как и в первом клинической случае, изменения в межпозвонковом диске имели признаки асептического воспаления, и при посеве удаленного во время операции биологического материала не было выявлено роста микроорганизмов. При гистологическом исследовании удаленных тканей диска и позвонка выявлены фокальный некроз костных балок, участки дистрофических изменений и разрастания грануляций с фокусами интенсивной лейкоцитарной инфильтрации.
Исходы и прогноз
К сожалению, использованные нами современные хирургические и консервативные методы лечения спондилодисцита не позволили добиться значительного улучшения неврологической симптоматики в данном клиническом случае. У пациента сохранились нижний парапарез прежней выраженности и болевой синдром, требующий постоянной анальгетической терапии. Боль в пояснице и ногах, парапарез значительно ограничивают возможности пациента к самостоятельному передвижению.
ОБСУЖДЕНИЕ
Как следует из трех представленных клинических случаев, у всех пациентов развитие спондилодисцита происходило на фоне ССВР, возникшего как осложнение COVID-19. В отношении наиболее старшего в возрастной категории пациента Л., у которого на фоне терапии блокаторами ИЛ-6 сохранялась выраженная неврологическая симптоматика, нельзя исключить факт того, что инфекционные осложнения были ассоциированы в том числе с терапией тоцилизумабом. В публикациях имеются данные о значимом повышении риска инфекционно-септических осложнений при терапии тоцилизумабом, в том числе при терапии препаратом в рамках лечения COVID-19 [17, 20, 21].
Во всех трех случаях имелись «красные флаги» болевого синдрома нижней части спины, при этом неврологическая симптоматика развивалась вторично на фоне проведения регламентированного лечения коронавирусной инфекции и ее осложнений [17]. Все пациенты были мужчинами среднего и пожилого возраста, которые до болезни вели малоподвижный образ жизни и затем длительное время находились в состоянии вынужденной иммобилизации. Обращает на себя внимание тот факт, что во всех трех случаях спондилодисцит возникал в месте стеноза позвоночного канала, который являлся сопутствующей патологией у всех трех пациентов.
Неожиданными в наших двух случаях стали данные об асептическом характере воспаления в очаге спондилодисцита, несмотря на наличие паравертебральных гнойных очагов. В большинстве изученных нами публикаций воспаление в диске носило гнойный характер [10, 12, 13], за одним исключением [22]. Наличие у наших пациентов сепсиса и паравертебральных очагов гнойного воспаления, а также традиционные представления о гематогенном распространении инфекции в межпозвонковый диск заставляют задуматься об исключительности данного механизма развития спондилодисцита при сопутствующей местной и системной бактериальной инфекции и возможности повреждения диска при вирусной инфекции COVID-19 другим механизмом. Тем не менее нельзя исключить тот факт, что пациентам предварительно проводилась длительная антибактериальная терапия, что в свою очередь могло повлиять на отрицательные результаты посевов интраоперационного материала. В таком случае механизм развития спондилодисцита представляется более классическим, т.е. возникшим непосредственно вследствие ССВР, а не COVID-19. Нельзя также достоверно судить и том, что непосредственно коронавирусная инфекция послужила причиной спондилодисцита, так как не проводилось ПЦР-тестирования интраоперационного материала для выявления РНК SARS-CoV-2.
Безусловно, изучение данного вопроса предполагает выявление и анализ значительного числа клинических случаев спондилодисцита при новой коронавирусной инфекции и их сравнение с другими вариантами развития этого грозного воспалительного процесса в позвоночнике. Целью нашей публикации было привлечение внимания инфекционистов, неврологов, нейрохирургов и других заинтересованных специалистов к проблеме диагностики и лечения спондилодисцита как возможного осложнения COVID-19.
ЗАКЛЮЧЕНИЕ
Спондилодисцит является грозным, трудно диагностируемым и плохо поддающимся лечению осложнением не только бактериальной, но и, судя по всему, коронавирусной инфекции. Вероятными предпосылками для развития спондилодисцита являются тяжелое течение новой коронавирусной инфекции, значительные и длительные ограничения движения в позвоночнике, связанные с длительным и иногда вынужденным пребыванием в постели, стеноз позвоночного канала и другие дегенеративные изменения в позвонках и дисках, а также пожилой возраст пациентов.
Авторы обращают внимание на необходимость ранней диагностики спондилодисцита у пациентов с COVID-19 и назначения патогенетически обоснованной противовоспалительной и антибактериальной терапии.
ИНФОРМИРОВАННОЕ СОГЛАСИЕ
От всех пациентов получено письменное добровольное информированное согласие на публикацию описания клинического случая в журнале «Клиническая практика»: дата подписания документа пациентом В. — 05.12.2020; пациентом Д. — 30.12.2020; пациентом Л. — 19.01.2021.
ДОПОЛНИТЕЛЬНАЯ ИНФОРМАЦИЯ
Вклад авторов. Я.Б. Кушнир, И.И. Устенко — концепция исследования, подготовка черновика рукописи; Д.В. Горанчук, А.А. Готовчиков, А.Н. Куликов — проведение исследования; А.В. Амелин — доработка и редактирование рукописи.
Author contribution. Ya.B. Kushnir, I.I. Ustenko — сreation of a research concept, preparation of a draft article; D.V. Goranchuk, A.A. Gotovchikov, A.N. Kulikov — сonducting research; A.V. Amelin — revision and editing of the article.
Источник финансирования. Авторы заявляют об отсутствии внешнего финансирования при проведении исследования.
Funding source. This study was not supported by any external sources of funding.
Конфликт интересов. Авторы декларируют отсутствие явных и потенциальных конфликтов интересов, связанных с публикацией настоящей статьи.
Competing interests. The authors declare that they have no competing interests.
About the authors
Ilya I. Ustenko
Academician I.P. Pavlov First St. Petersburg State Medical University
Author for correspondence.
Email: ustenko.ilya1997@gmail.com
ORCID iD: 0000-0003-3950-2684
Clinical Resident, first neurology department, MD
Russian Federation, 6/8, Lva Tolstogo street, St. Petersburg, 197022Yana B. Kushnir
Academician I.P. Pavlov First St. Petersburg State Medical University
Email: kushnir.yana2014@yandex.ru
ORCID iD: 0000-0001-7891-9883
Neurologist, first neurology department, MD
Russian Federation, 6/8, Lva Tolstogo street, St. Petersburg, 197022Alexandr V. Amelin
Academician I.P. Pavlov First St. Petersburg State Medical University
Email: avamelin@mail.ru
ORCID iD: 0000-0001-6437-232X
SPIN-code: 2402-7452
MD, PhD, Professor, Neurology department
Russian Federation, 6/8, Lva Tolstogo street, St. Petersburg, 197022Andrey А. Gotovchikov
Academician I.P. Pavlov First St. Petersburg State Medical University
Email: gotovchikov_73@mail.ru
ORCID iD: 0000-0002-8567-6442
neurologist, head of the first neurology department, MD
Russian Federation, 6/8, Lva Tolstogo street, St. Petersburg, 197022Denis V. Goranchuk
Academician I.P. Pavlov First St. Petersburg State Medical University
Email: gordenisval@mail.ru
neurosurgeon, head of the Department of Neurosurgery, MD
Russian Federation, 6/8, Lva Tolstogo street, St. Petersburg, 197022Alexander N. Kulikov
Academician I.P. Pavlov First St. Petersburg State Medical University
Email: ankulikov2005@yandex.ru
ORCID iD: 0000-0002-4544-2967
SPIN-code: 3851-6072
MD, PhD, Professor, deputy chief physician of the clinic for medical part in therapy
Russian Federation, 6/8, Lva Tolstogo street, St. Petersburg, 197022References
- Ellul MA, Benjamin L, Singh B, et al. Neurological associations of COVID-19. Lancet Neurol. 2020;19(9):767–783. doi: 10.1016/S1474-4422(20)30221-0
- Moriguchi T, Harii N, Goto J. A first case of meningitis/encephalitis associated with SARS-CoV-2. Int J Infect Dis. 2020;94: 55–58. doi: 10.1016/j.ijid.2020.03.062
- Wong PF, Craik S, Newman P. Lessons of the month 1: a case of rhombencephalitis as a rare complication of acute COVID-19 infection. Clin Med (Lond). 2020;20(3):293–294. doi: 10.7861/clinmed.2020-0182
- Pilotto A, Odolini S, Stefano Masciocchi S. Steroid-responsive encephalitis in Coronoavirus disease 2019. Ann Neurol. 2020; 88(2):423–427. doi: 10.1002/ana.25783
- Duong L, Xu P, Liu A. Meningoencephalitis without respiratory failure in a young female patient with COVID-19 infection in downtown Los Angeles, early April 2020. Brain Behav Immun. 2020;87:33. doi: 10.1016/j.bbi.2020.04.024
- Zanin L, Saraceno G, Panciani PP. SARS-CoV-2 can induce brain and spine demyelinating lesions. Acta Neurochir (Wien). 2020; 162(7):1491–1494. doi: 10.1007/s00701-020-04374-x
- Zhang T, Rodricks MB, Hirsh E. COVID-19-associated acute disseminated encephalomyelitis: a case report. medRxiv. 2020. doi: 10.1101/2020.04.16.20068148
- Zhao H, Shen D, Zhou H. Guillain-Barre syndrome associated with SARS-CoV-2 infection: causality or coincidence? Lancet Neurol. 2020;19(5):383–384. doi: 10.1016/S1474-4422(20)30109-5
- Camdessanche JP, Morel J, Pozzetto B, et al. COVID-19 may induce Guillain-Barré syndrome. Rev Neurol (Paris). 2020;176(6): 516–518. doi: 10.1016/j.neurol.2020.04.003
- Pektova AS, Zhelyazkov CB, Kitov BD, Spontaneous spondylodiscitis — epidemiology, clinical features, diagnosis and treatment. Folia Med. 2017;59(3):254–260. doi: 10.1515/folmed-2017-0024
- Кубраков К.М., Мигунова В.А. Спондилодисциты: современные подходы к диагностике и лечению // Вестник ВГМУ. 2018. Т. 17, № 1. С. 14–22. [Kubrakov KM, Migunova VA. Spondylodiscites: modern approaches to diagnosis and treatment. Bulletin of Vitebsk State Order of Peoples’ Friendship Medical University. 2018;17(1): 14–22. (In Russ).] doi: 10.22263/2312-4156.2018.1.14
- Яриков А.В., Фраерман А.П., Перльмуттер О.А., и др. Неспецифические гнойно-воспалительные поражения позвоночника: спондилодисцит, эпидурит // Неотложная медицинская помощь. 2019. Т. 8, № 2. С. 175–185. [Yarikov AV, Fraerman AP, Perlmutter OA, et al. Nonspecific purulent-inflammatory lesions of the spine: spondylodiscitis, epiduritis. Emergency Medical Care. 2019; 8(2):175–185. (In Russ).] doi: 10.23934/2223-9022-2019-8-2-175-185
- Mavrogenis AF, Megaloikonomos PD, Igoumenou VG, et al. Spondylodiscitis revisited. EFORT Open Rev. 2017;2(11):447–461. doi: 10.1302/2058-5241.2.160062
- El Khoury C, Younes P, Hallit R, et al. Candida glabrata spondylodiscitis: a case report. J Infect Dev Ctries. 2018;12(2):32S. doi: 10.3855/jidc.10062
- Gagliano M, Marchiani C, Bandini G, et al. A rare case of Candida glabrata spondylodiscitis: case report and literature review. Int J Infect Dis. 2018;68:31–35. doi: 10.1016/j.ijid.2018.01.003
- Relvas-Silva M, Pinho AR, Vital L, et al. A rare case of Candida glabrata spondylodiscitis: case report and literature review. Azole-resistant Candida albicans spondylodiscitis after bariatric surgery: a case report. JBJS Case Connect. 2020;10(3):e1900618. doi: 10.2106/JBJS.CC.19.00618
- Временные клинические рекомендации. Профилактика, диагностика и лечение новой коронавирусной инфекции (COVID-19). Версия 10 (08.02.2021). [Temporary clinical recommendations. Prevention, diagnosis and treatment of new coronavirus infection (COVID-19). Version 10 (08.02.2021). (In Russ).]
- Руднов В.А. Клинические рекомендации по диагностике и лечению тяжелого сепсиса и септического шока в лечебно-профилактических организациях Санкт-Петербурга // Вестник анестезиологии и реаниматологии. 2016. Т. 13, № 5. C. 88–94. [Rudnov VA. Clinical recommendations for the diagnosis and treatment of severe sepsis and septic shock in medical and preventive organizations of St. Petersburg. Bulletin Anesthesiology Resuscitation. 2016; 13(5):88–94. (In Russ).] doi: 10.21292/2078-5658-2016-13-5-88-94
- Ассоциация врачей общей практики (семейных врачей) Российской Федерации. Клинические рекомендации. Хроническая боль в спине (Приняты на IV Конгрессе врачей первичного звена здравоохранения Юга России, IX Конференции врачей общей практики (семейных врачей) Юга России 7 ноября 2014 г., Ростов-на-Дону. Москва–Санкт-Петербург–Ростов-на-Дону, 2014. 20 с. [Association of General Practitioners (Family Doctors) Of the Russian Federation. Clinical recommendations. Chronic back pain (Adopted at the IV Congress of Primary Care Physicians of the South of Russia, IX Conference of General Practitioners (Family Doctors) The South of Russia on November 7, 2014, Rostov-on-Don. Moscow–Saint Petersburg–Rostov-on-Don; 2014. 20 p. (In Russ).]
- Kimmig LM, Wu D, Gold M, et al. IL-6 inhibition in critically ill COVID-19 patients is associated with increased secondary infections. medRxiv. 2020. doi: 10.1101/2020.05.15.20103531
- Guillamet V, Kulkarni C, Montes K, et al. Interleukin-6 trajectory and secondary infections in mechanically ventilated patients with coronavirus disease 2019 acute respiratory distress syndrome treated with interleukin-6 receptor blocker, et al. Interleukin-6 trajectory and secondary infections in mechanically ventilated patients with coronavirus disease 2019 acute respiratory distress syndrome treated with interleukin-6 receptor blocker. Critical Care Explorations. 2021;3(2):e0343. doi: 10.1097/CCE.0000000000000343
- Benucci M, Damiani A, Arena A, et al. Aseptic HLA B27-positive spondylodiscitis: decreased 18F-FDG uptake after etanercept treatment. Reumatismo. 2016;68(3):163–165. doi: 10.4081/reumatismo.2016.911
Supplementary files









