The problems of complex treatment and rehabilitation of patients with pancreatonecrosis
- Authors: Ivanov Y.V.1, Solov'ev N.A.2, Abushenko M.I.1
-
Affiliations:
- FGUZ Clinical Hospital No. 83 FMBA of Russia
- FGOU DPO "Institute for Advanced Studies" FMBA of Russia
- Issue: Vol 2, No 4 (2011)
- Pages: 13-22
- Section: Original Study Articles
- Submitted: 23.10.2021
- Accepted: 23.10.2021
- Published: 15.11.2011
- URL: https://clinpractice.ru/clinpractice/article/view/83618
- DOI: https://doi.org/10.17816/clinpract83618
- ID: 83618
Cite item
Full Text
Abstract
The results of complex therapy of 30 patients with subtotal combined infected pancreatonecrosis are offered. It is analyzed the financial and economic components of complex treatment of the disease. Organization questions of the medical care to the patients with pancreatonecrosis are considered.
Full Text
Введение
В настоящее время лечение больных с панкреонекрозом (ПН) продолжает оставаться одним из самых сложных и дискусионных вопросов ургентной хирургии органов брюшной полости, что обусловлено его широким распространением и высокой летальностью. У 50-60% больных ПН, несмотря на интенсивное лечение, происходит инфицирование очагов некротической деструкции [1, 2]. Инфекционные осложнения составляют 80% причин смерти больных с ПН. Именно эти пациенты представляют наибольшую проблему в диагностическом, лечебном, организационном и экономическом аспектах.
Сложными задачами у больных ПН являются определение степени деструкции поджелудочной железы (ПЖ) и выбор оптимальной тактики лечения [3]. Трудность прогнозирования течения заболевания, развития гнойнонекротических осложнений обусловливают необходимость совершенствования и унификации лечебно-диагностического алгоритма при различных формах ПН. Кроме того, непосред
ственное влияние на результаты лечения больных с ПН оказывают организационные и экономические факторы, присущие каждому конкретному лечебному учреждению.
Материалы и методы
Ретроспективному анализу подвергнуты результаты лечения 30 больных с субтотальнототальным смешанным инфицированным ПН. Из них, мужчин - 22 (73,3%), женщин - 8 (26,7%). Возраст больных варьировал от 29 до 56 лет, составив в среднем 41,2 ± 5,7 лет. По этиологическому фактору у 24 (80%) пациентов наблюдали алиментарный (алкогольный) ПН, а у 6 (20%) - билиарный. У 19 больных (63,3%) имелись сопутствующие хронические заболевания желудочно-кишечного тракта, сердечно-сосудистой и дыхательной систем. 4 (13,4%) пациента поступили в клинику в течение первых 3-х суток, 16 (53,3%) - на 4-7-е сутки, 7 (23,3%) - на 8-10-е сутки и 3 (10%) переведены из других лечебных заведений спустя 10 суток от начала заболевания.
В работе использовали клинико-морфологическую классификацию острого панкреатита, утвержденную на IX Всероссийском съезде хирургов (Волгоград, 2000 г.) и системы интегральной оценки тяжести состояния и прогноза: Ranson, Apache-II.
Диагноз ПН устанавливали на основании анамнеза заболевания, жалоб больного, данных физикального обследования, лабораторных и инструментальных исследований, оперативного вмешательства (лапароскопия/лапаротомия). Во всех случаях имелась гистологическая верификация диагноза.
Основные диагностические мероприятия включали в себя:
- Визуализацию масштаба и характера поражения ПЖ и забрюшинной клетчатки (УЗИ, КТ, лапароскопия);
- Идентификацию инфицирования (микробиологическое исследование пунктата);
- Динамическую объективную оценку тяжести состояния больных с помощью различных интегральных систем (Ranson, АРАСНЕ-II и др.);
- Программную диагностику возникающих осложнений: ПН.
Алгоритм комплексного инструментального обследования включал последовательное выполнение рентгенографии грудной клетки и брюшной полости, УЗИ органов брюшной полости, КТ органов брюшной полости, гастродуоденоскопию, лапароскопию, а также пункционно-аспирационную биопсию ПЖ под контролем УЗИ или КТ (по показаниям).
Как правило, проводили мультифокальную биопсию, т.е. материал забирали из двух и более отделов ПЖ и зоны сальниковой сумки иглой типа Chiba и Angiomed G 19-20-21 с тангенциальным расположением биопсийного адаптера на конвексном датчике 3,5-7,5 МГц. Забор клеточного материала из зоны ПЖ производили без контаминации его флорой желудка. После получения микробиологических данных антибактериальную терапию проводили с учетом чувствительности спектра идентифицированной микрофлоры к антибиотикам. Всем пациентам назначали антибактериальные средства, как правило фторхинолоны и карбопенемы.
Комплексную терапию больных ПН проводили по следующим направлениям:
- Индивидуальная тактика лечения ОП в зависимости от его этиологии (автономный или билиарный)
- Купирование болевого синдрома (эпидуральная анестезия)
- Зондирование и аспирация желудочного содержимого
- Интенсивная терапия (направлена на восстановление гемодинамики, регидратацию, коррекцию нарушений КОС, поддержание оптимального уровня доставки кислорода)
- Блокада секреторной функции ПЖ(октреотид)
- Антибактериальная терапия
- Нутритивная поддержка
- Противоязвенная терапия
- Экстракорпоральная детоксикация (низкопоточная гемофильрация)
- Иммунокоррекция (пентаглобин, ронколейкин)
- Хирургическое лечение (лапароскопия/ лапаротомия)
- Своевременное выполнение программированных санационных релапаротомий у больных с гнойными осложнениями панкреонекроза.
Лечение всех больных панкреонекрозом начинали в отделении реанимации. Показанием к хирургическому лечению считаем: инфицированный панкреонекроз и/или панкреатогенный абсцесс, наличие флегмоны или некроза забрюшинной клетчатки, гнойного перитонита [4, 5].
При панкреатогенном (ферментативном) перитоните выполняли лапароскопическую санацию и дренирование брюшной полости. При распространенных формах ПН применяли открытый метод дренирующих операций для программных санаций забрюшинного пространства через сформированную оментобурсостому. Сроки санационных релапаротомий зависели от клинического течения заболевания, однако чаще они выполнялись через 3-5 суток. При ограниченном: панкреонекрозе выполняли, как правило, транскутанное дренирование гнойных очагов под контролем УЗИ или КТ.
Для экстракорпоральной детоксикации использовали аппарат "PrismaFlex" фирмы Гамбра-Медикал (рис. 1).
Результаты и обсуждение
У всех больных ПН, поступивших в клинику в тяжелом и крайне тяжелом состоянии, наблюдали следующие основные клинические синдромы: болевой, перитонеальный, динамической кишечной непроходимости и гемодинамических расстройств.
Наиболее достоверными лабораторными методами в диагностике ПН оказались: уровень амилазы и ЛДГ в сыворотке крови,
Рис. 1. Общий вид аппарата "PrizmaFlex" для проведения низкопоточной гемофильтрации
С-реактивный белок (как маркер ПН), уровень прокальцитонина (как маркер инфицирования), а инструментальными - УЗИ и КТ с внутривенным болюсным контрастированием; тонкоигольная аспирационная биопсия под УЗИ или КТ контролем с микробиологическим исследованием и лапароскопия.
Интенсивный болевой синдром, быстро прогрессирующая желтуха, отсутствие желчи в ДПК при ЭГДС, признаки билиарной гипертензии при УЗИ свидетельствовали о наличии вклиненного камня БДС. В таких случаях было показано срочное восстановление пассажа желчи и панкреатического сока, оптимальным методом достижения которого служит ЭПСТ (по возможности без ЭРХПГ). Считаем, что ЭГДС следует применять во всех случаях неясного диагноза, требующего исключения патологии желудка и двенадцатиперстной кишки, а также при подозрении на ущемление камня в БДС. Вместе с тем, эндоскопическая ретроградная панкреатохолангиография (ЭРПХГ) при ПН показана только при наличии механической желтухи [6].
В отличие от УЗИ или КТ, пункция ПЖ под лучевым контролем, с последующим микроскопическим и микробиологическим исследованием материала, позволяет достоверно подтвердить инфицированный ПН. Инфицирование изначально стерильных зон ПН обусловлено транслокацией условно-патогенной микрофлоры эндогенного внутрикишечного происхождения в результате развития динамической кишечной непроходимости. Накопленный нами опыт показывает, что тонкоигольная пункционно-аспирационная биопсия - сравнительно безопасный и высокоэффективный метод инструментальной диагностики ПН.
При поступлении всем 30 больным ПН произведена лечебно-диагностическая лапароскопия, шестерым выполнено наложение чрескожной чреспеченочной холецистостомы с целью декомпрессии желчевыводящих путей. Еще 3 пациентам чрескожная чреспеченочная холецистостома установлена под контролем УЗИ в более поздние сроки в связи с появлением билиарной гипертензии. Лапароскопию применяли для верификации формы, распространенности ПН, дренирования брюшной полости при ферментативном перитоните или для выполнения лапароскопической холецистостомии при гипертензии в желчных протоках и механической желтухе (рис. 2).
Рис. 2. Лапароскопическое Дренирование желчного пузыря и брюшной полости при ПН.
При лапароскопии выявляли следующие достоверные (геморрагический выпот с повышенной активностью панкреатических ферментов, пятна стеатонекроза на брюшине и большом сальнике, изменение внешнего вида ПЖ при панкреатоскопии) и косвенные (гиперемия и выбухание желудочно-ободочной связки, увеличение желчного пузыря без признаков воспаления, оттеснение желудка к передней брюшной стенке, геморрагическая имбибиция желудочно-ободочной связки, корня брыжейки тонкой кишки или забрюшинной клетчатки, парез и синюшность поперечноободочной кишки, гиперемия брюшины, изменение круглой связки печени) признаки ПН.
Открытые операции включали выполнение верхне-срединной лапаротомии, бурсооментостомии, некрсеквестрэктомии, санации и дренирования сальниковой сумки и брюшной полости. При наличии забрюшинной флегмоны или абсцесса операцию дополняли внебрюшинным (люмботомический доступ) вскрытием и дренированием гнойного очага (рис. 3).
Рис. 3. Стандартные схемы дренирования забрюшинного пространства при флегмонах и абсцессах
Через дренажи, расположенные в сальниковой сумке, налаживали проточно-промывную систему с активной аспирацией. Используя открытый метод дренирующих операций при панкреонекрозе, мы исходили из следующего: 1) при первичном вмешательстве невозможно выполнить полноценную некрэктомию как в связи с отсутствием четкой демаркации зоны некроза, так и вследствие опасности фатального кровотечения и чрезмерного увеличения травматичности вмешательства; 2) длительное проточно-промывное дренирование часто оказывается неэффективным в связи с тем, что плотная соединительная строма ПЖ препятствует секвестрации некрозов и их отхождению. Остающиеся некротические ткани часто способствуют прогрессированию воспалительного процесса. В связи с этим отдаем предпочтение открытым операциям, обеспечивающим црограммные ревизии и санации через оментобурсостому. Тактические режимы повторных операций в процессе лечения менялись от программируемых ревизий и санаций «по программе» в ранние сроки до вынужденных ревизий и санаций «по требованию» в более поздние сроки заболевания (рис. 4).
Рис. 4. Интраоперационный вид поджелудочной железы [А], некроз жировой ткани селезеночного изгиба толстой кишки (Б) при тотальном ПН
Следует отметить, что обычно после 5-6 санационных релапаротомий развивается выраженный инфильтративно-спаечный процесс в брюшной полости, не позволяющий дальнейшее выполнение санаций. Поэтому считаем важным каждый раз проводить тщательную и полноценную санацию патологических очагов (рис. 5).
Рис. 5. Спаечный процесс в брюшной полости после неоднократных программируемых санаций.
При выполнении санационных релапаротомий мы накладываем швы только на кожу с подкожно-жировой клетчаткой, что улучшает вентиляционные функции легких, позволяет избежать прорезывания швов апоневроза, а последующая операция по устранению послеоперационной грыжи намного проще в техническом исполнении, чем при деформированном с прорезанными краями апоневрозе [7]. Неоднократные санационные релапаротомии могут приводить к образованию хрящевидной ткани (оссификатов) по краям раны, что, вероятно, обусловлено контактом токсического выпота из брюшной полости с мягкими тканями передней брюшной стенки (рис. 6).
Рис. 6. Компьютерная томограмма: образование оссификатов по периметру апоневроза (А), макропрепарат иссеченного. оссификата (Б).
Количество санационных релапаротомий у одного пациента колебалось от 2 до 8. Этапные санационные вмешательства представляются нам более перспективными по сравнению с одномоментными закрытыми операциями, так как позволяют более полноценно контролировать течение гнойно-некротического процесса в ПЖ и парапанкреатической клетчатке.
Проведенный анализ хирургического лечения больных ПН позволил установить следующие особенности:
- Тактика ведения пациентов со стерильным ПН должна быть консервативной. Хирургическое вмешательство проводится только в определенных случаях;
- Инфицированный ПН с клиническими признаками сепсиса является абсолютным показанием к хирургическому лечению;
- Ранняя операция в течение 14 дней после начала болезни не рекомендуется у пациентов с ПН, если нет строго определенных показаний;
- Хирургические методы лечения ПН должны носить органосохраняющий характер, заключающийся в опорожнении или некрэктомии, с соответствующим послеоперационным ведением, направленным на максимальную эвакуацию ретроперитонеальной некротической ткани и выпота.
Диагноз ПН является абсолютным показанием к назначению антибактериальных препаратов, создающих эффективную бактерицидную концентрацию в зоне поражения со спектром действия относительно всех этиологически значимых возбудителей [8]. Фактор эффективности должен доминировать по отношению к фактору стоимости. Продолжительность антибактериальной терапии определяется сроками полного регресса симптомов системной воспалительной реакции. Антибактериальную терапию, как правило, начинали с внутривенного введения цефалоспоринов III-IV поколения в комбинации с метронидазолом или проводили монотерапию имипенемом/циластати- ном. В последующем состав антибактериальной терапии зависел от результатов микробиологического исследования и определения чувствительности микроорганизмов к антибактериальным препаратам. Наиболее рациональным и эффективным считаем проведение комбинированной антибиотикотерапии.
Учитывая выраженные метаболические и функциональные расстройства, наличие синдрома кишечной недостаточности, в послеоперационном периоде проводили нутритивную поддержку, обеспечивающую восстановление моторно-эвакуаторной функции желудочно-кишечного тракта. Питательные смеси (берламин, нутризон, нутрилан, нутридринк и др.) вводили через назо-еюнальный зонд, установленный дистальнее связки Трейца, эндоскопическим способом или во время операции. Режим энтерального питания — стартовый по темпу и объему, с постепенным переходом от глюкозо-солевых растворов и химусоподобных смесей к олигомерным питательным смесям в возрастающих концентрациях 5-10-20% [9]. Энтеральное питание начинали при разрешении динамической кишечной непроходимости, небольшом количестве отделяемого по желудочному зонду.
При использовании октреотида отмечено значительное снижение количества эпизодов кровотечения из острых язв и эрозий желудка и двенадцатиперстной кишки, а также увеличение почечного кровотока и клубочковой фильтрации. Применение октреотида позволяло стойко подавить ферментную токсинопродукцию в ПЖ [10].
Проведение пролонгированной эпидуральной анестезии приводило к блокаде сегментарных, чувствительных и двигательных нервных волокон и тем самым надежно устраняло боль. Наряду с обезболивающим эффектом продленная эпидуральная анестезия способствовала восстановлению перистальтики, снижению ферментативной активности ПЖ, улучшению кровотока в ПЖ, устранению спазма билиарных и панкреатических протоков, раннему регрессу воспалительных процессов.
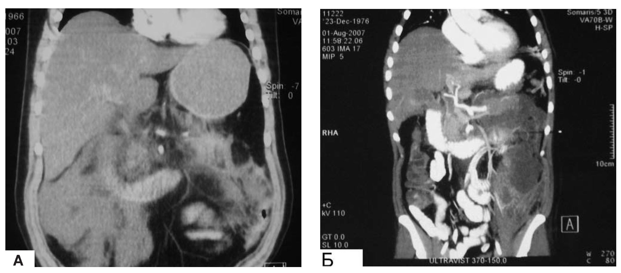
В наших случаях использование систем интегральной оценки тяжести состояния и прогноза (Ranson, Apache-II) показало их невысокую значимость и достоверность (менее 50%) в клинической практике. В большинстве случаев тяжесть состояния пациента, рассчитанная с помощью шкалы Ranson и Apache-II, не совпадала с его объективным статусом. Наиболее достоверными факторами прогнозирования течения ПН оказались: активность в динамике заболевания С-реактивного белка, нейтрофилов, прокальциотонина, данные УЗИ и КТ брюшной полости, выделяемая микрофлора. С целью оценки динамики процесса в брюшной полости и забрюшинном пространстве УЗИ выполняли через каждые 2-3 суток, а КТ не реже 1 раза в неделю (рис. 7).
Рис. 7. Компьютерная томограмма при субтотальном инфицированном ПН, забрюшинной флегмоной справа (А) и слева [Б].
К неблагоприятным прогностическим признакам прогрессирования ПН относим:
- Раннее развитие выраженного болевого и перитонеального синдромов
- Распространение болей на 2-3 сутки от начала заболевания из верхней половины живота вниз, на область мезогастрия, в боковые или нижние отделы живота
- Динамическая кишечная непроходимость сохраняется через 5-7 сут после начала лечения
- Несоответствие интенсивности перитонеального синдрома и выраженных болевых ощущений
- Длительно некупирующийся перитонеальный синдром
- Повышение ферментативной активности в экссудате в динамике
- Многократная рвота
- Объем содержимого желудка на 2-3 сутки от начала заболевания превышает 1000 мл
- Рано возникающая и длительно сохраняющаяся тахикардия
- Рано возникающий «гипертензивный криз» или падение АД
- Раннее и значительное снижение ЦВД
- Раннее появление и длительное сохранение признаков нарушения периферической микроциркуляции в коже (фиолетовые пятна, цианоз, акроцианоз, бледность).
Послеоперационные осложнения возникли у всех 30 пациентов. Всего отмечено 55 осложнений, из них 13 местных и 42 - общих (рис. 8). Среди местных осложнений наблюдали: внутрибрюшное кровотечение из эрозированных сосудов ПЖ - 3 (произведено ушивание сосудов и тампонирование с эффектом); образование внутренних толстокишечных (2) и тонкокишечного (1) свищей (закрылись самостоятельно на фоне консервативной терапии); межкишечный абсцесс брюшной полости (1) и флегмона (2) забрюшинной клетчатки (выполнено вскрытие и дренирование абсцесса, флегмон); механическая желтуха - 1 (произведено дренирование холедоха по Керу); желудочно-кишечные кровотечения в разные сроки лечения из острых эрозий и язв желудка и двенадцатиперстной кишки — 3 (во всех случаях достигнут эндоскопический гемостаз).
Группу общих послеоперационных осложнений составили: пневмонии - 16, плевриты - 11, тромбоз глубоких вен нижних конечностей - 6, ДВС-синдром - 4, панкреатогенный шок -10, Лечение осложнений в данной группе пациентов было консервативным.
Длительность лечения больных ПН в стационаре составила от 5 до 143 суток ( в среднем 52,7 ± 12,8 суток). У всех 30 пациентов наблюдали синдром полиорганной недостаточности различной степени выраженности и длительности, а у 7 больных был диагностирован сепсис.
Рис. 8. Фистулотрамма при внутреннем тонкокишечном (А) и толстокищечтюм (Б) свищах
Общая летальность составила 26,7% (умерло 8 больных). В ранние сроки заболевания (до 14 суток) погибли 5 пациентов. Наиболее частой причиной смерти являлись: панкреатогенный шок (2) и эндогенная интоксикация (3), сопровождающаяся развитием гиповолемического шока, отека мозга, острой печеночно-почечной недостаточности, а также декомпенсацией уже имеющихся сопутствующих заболеваний. Основные причины смерти больных в поздние сроки: нарастание полиорганной недостаточности (1) и прогрессирование некроза с присоединением гнойных осложнений (2).
Финансовые расходы на лечение больных ПН достаточно большие и ни в коей мере не компенсируются денежными средствами, выделяемыми фондом обязательного медицинского страхования (ФОМС) по г. Москве или Московской области. Так, например, в медикоэкономический стандарт лечения острого панкреатита (шифр 72210) заложена средняя продолжительность пребывания в стационаре 20 койко-дней по г. Москве, а по Московской области — 14 койко-дней. Общая сумма за законченный случай лечения 1 пациента с ПН в г. Москве составляет 21 тыс. 940 руб. 99 коп., при этом дополнительно оплачивается лечение в отделении реанимации по тарифу: 2 койкодня - 5 тыс. 248 руб. 34 коп., но при этом учитываются не более 10 реанимационных койкодней. 1 койко-день больному ПН с питанием и лечением оплачивается ФОМС Московской области в размере 1 тыс. 183 руб., при этом не учитывается нахождение пациента на реанимационной или хирургической койке. Кроме того, абсолютно не учитываются дорогостоящие инструментальные и лабораторные диагностические исследования, которые многократно в динамике выполняются больным с ПН. Поэтому, в данные рамки существующего на сегодняшний день финансирования могут войти только больные с отечной формой острого панкреатита, либо пациенты с ПН, которые по тяжести общего состояния погибают в 1 фазе заболевания - эндогенной токсемии, панкреатогенного шока. Все, что выходит за пределы положенного финансирования медико-экономического стандарта по острому панкреатиту решается индивидуально с участием врачей- экспертов ФОМС.
В наших наблюдениях пребывание 1 пациента с ПН в отделении реанимации обходилось в пределах 28 - 52 тыс. руб. в сутки, средняя стоимость лечения 30 больных с ПН в стационаре составила 1 млн. 306 тыс. 54 рубл. ±102 тыс. 437 руб.
При этом следует отметить, что на лечение пациентов с тяжелым ПН в отделении реанимации в течение 1 месяца затрачивалось не менее 2 млн. рублей. Наиболее дорогостоящими являются антибиотикотерапия, иммунотерапия (пентаглобин), сеансы низкопоточной гемофильтрации, включая расходные материалы фильтры очистки, энтеральное и парентеральное питание.
Анализируя финансово-экономическую составляющую лечения больных с ПН можно признать, что лечение таких пациентов на современном уровне по каналу обязательного медицинского страхования невозможно и разорительно для медицинских учреждений.
В настоящее время компенсация расходов лечебным учреждениям на лечение больных с ПН происходит только по каналам добровольного медицинского страхования.
Для успешного лечения пациентов с ПН необходима правильно построенная работа и взаимодействие целого ряда служб стационара, а именно: отделений анестезиологии, реанимации, хирургии, диагностических (УЗИ, КТ, эндоскопия, Rg-кабинет) и лабораторных (клинико-диагностическая, бактериологическая, иммунологическая лаборатория) подразделений. Для скорейшей реабилитации больных ПН необходимы современные методики физиолечения, сеансы гипербарической оксигенации, лечебной физкультуры и т.д. Диагностические службы должны работать в круглосуточном режиме, так как от своевременно поставленного диагноза, раннего выявления осложнений и срока начала лечения напрямую зависит исход заболевания.
Считаем важным разработку и соблюдение в стационаре определенного стандарта по диагностике и лечению больных ПН, что позволяет формировать единый взгляд, концепцию у хирургов, реаниматологов и анестезиологов по основным вопросам, независимо от приверженности каждого врача к той или иной профессиональной школе, что в конечном счете способствует оптимизации результатов лечения.
Каждый пациент с ПН проходит 3 этапа лечения: реанимация, отделение хирургии, реабилитация. На наш взгляд, незаслуженно мало внимания уделяется реабилитационному лечению больных, перенесших ПН. В 42% случаев воспалительно-дегенеративный процесс в ПЖ переходит в хроническую форму [6]. Выписываясь из хирургического стационара, больные нередко получают лишь общие, расплывчатые рекомендации (соблюдение диеты, прием анальгетиков, спазмолитиков, ферментных препаратов и др.) без учета общего состояния, формы и тяжести заболевания, нарушений функций различных органов и систем. Бессистемное восстановительное лечение в реабилитационном периоде в большинстве случаев не приносит ожидаемых результатов, и больные вновь поступают уже в терапевтический стационар с диагнозом хронического панкреатита.
Общеизвестна важность соблюдения больными строго сбалансированной диеты на протяжении всего восстановительного периода. Кратко остановимся лишь на основных ее моментах. Необходимо ограничить количество пищевых продуктов, способных стимулировать панкреатическую секрецию. В суточный рацион включают жиры - 80 г/сут (70% растительных и 30% животных), белки - 80-120 г/сут, углеводы 600 г/сут (предпочтительно в виде полисахаридов). Алкогольные напитки в период лечения полностью исключаются.
После перенесенного ПН у большинства больных развивается экзокринная недостаточность ПЖ. В ее коррекции одно из ведущих мест традиционно занимает заместительная терапия панкреатином. Рассчитывать на ее терапевтический эффект можно лишь при условии применения ферментов в адекватных дозах с физиологическими темпами их высвобождения и достаточной продолжительностью приема.
В последние годы в лечении внешнесекреторной панкреатической недостаточности прочные лидирующие позиции занял препарат креон, состав которого предусматривает содержание ферментов ПЖ в физиологической пропорции, необходимой для переваривания нутриентов. Креон растворяется в желудке в течение нескольких минут, высвобождая микросферы, покрытые кислотоустойчивой оболочкой. Микросферы равномерно смешиваются с желудочным химусом и эвакуируются в тонкую кишку, где они быстро, в течение 20-40 мин, растворяются в щелочной среде, высвобождая ферменты для гидролиза нутриентов.
Эффективность лечения ферментными препаратами зависит от его продолжительности, т.е. длительной ферменто-заместительной программы. Обычно 6-8 капсул креона в сутки достаточно, чтобы в течение 3 недель нормализовать стул, устранить метеоризм, нивелировать явления мальабсорбции. В хирургической практике у больных, перенесших ПН, креон незаменим в коррекции нарушений поджелудочной железы, он нормализует функцию печени, всасывание в тонкой кишке, микроциркуляцию в органах пищеварения, что делает его применение патогенетически обусловленным и необходимым компонентом комплексного лечения.
ПН приводит к стойкому угнетению иммунной системы, поэтому в реабилитационном периоде большое внимание должно быть уделено иммуно-корригирующей терапии. Для этой цели наиболее эффективен, на наш взгляд, препарат Имунофан, который оказывает регуляторное действие на ряд важнейших механизмов защиты - иммунный, окислительно-антиокислительный, антистрессорный и репаративный.
Кроме этого, в комплекс консервативной терапии обязательно включают анальгетики, спазмолитики, блокаторы Н2-рецепторов гистамина и антициды буферного действия.
Таким образом, реабилитация предусматривает максимальное использование всех компенсаторных возможностей организма, восстановление социально-трудового статуса пациента. Начинать реабилитацию необходимо уже на ранних стадиях заболевания.
Выводы:
- ПН относится к заболеваниям, при которых в полном объеме действует правило «золотого часа». Именно в первые часы от начала заболевания во многом определяется величина Структурно-функционального ущерба и возможность его компенсации, запускаются различные механизмы, которые в различные сроки реализуются на клиническом уровне в виде тяжелых гнойно-септических осложнений.
- Качество, содержание и объем неотложной специализированной помощи при ПН не должны зависеть от времени суток, фактора выходного дня, личного опыта дежурного врача.
- Необходимо стремиться к своевременной диагностике ПН, лечение которого должно носить опережающий и комплексный характер.
- Для оказания своевременной и эффективной помощи больным с ПН необходимы: круглосуточная работа диагностических служб, возможность оказания высококвалифицированной ургентной хирургической помощи и современной комплексной терапии в отделении реанимации, определенный уровень медикаментозного обеспечения клиники.
- Лечение пациентов с ПН убыточно в финансово-экономическом плане для любого стационара и должно быть включено в перечень высокотехнологичной медицинской помощи населению или иметь дополнительное финансирование.
- Реабилитационные мероприятия у больных, перенесших ПН, должны быть дифференцированными, комплексными, с обязательным соблюдением преемственности на этапах стационар - реабилитационное отделение - поликлиника.
About the authors
Yuri V. Ivanov
FGUZ Clinical Hospital No. 83 FMBA of Russia
Email: info@eco-vector.com
Head of the Department of Surgery, Doctor of Medical Sciences, Professor
Russian Federation, MoscowNikolay A. Solov'ev
FGOU DPO "Institute for Advanced Studies" FMBA of Russia
Email: ivanovkb83@yandex.ru
Surgeon of the Department of Surgery, Candidate of Medical Sciences, Associate Professor of the Department of Surgery, Anesthesiology and Endoscopy
Russian Federation, MoscowMarina I. Abushenko
FGUZ Clinical Hospital No. 83 FMBA of Russia
Author for correspondence.
Email: ivanovkb83@yandex.ru
doctor therapist of the department of surgery
Russian Federation, MoscowReferences
- Beger H.G. Operative management of necrotizing pancreatitis-necrosectomy and continuous closed postoperative lavage of the lesser sac //Hepatogastroenterology. 1991. Vol.38. P.129-133.
- Golub R., Siddiqi E., Pohl D. Role of antibiotics in acute pancreatitis: a metaanalysis //J Gastrointest Surg. 1998. Vol.2. P.496-503.
- Шабунин A.B., Бедин В.В., Шиков Д.В. и др. Роль компьютерной и магнитно-резонансной томографии в диагностике и лечении больных панкреонекрозом //Анналы хирургической гепатологии. 2009. №1. С.34-40.
- Bradley EL 3rd. A fifteen year experience with open drainage for infected pancreatic necrosis //Surg Gynecol Obstet. 1993. Vol. 177. P215-222.
- Harris J.A., Jury R.P., Catto J., Glover J.L. Closed drainage versus open packing of infected pancreatic necrosis // Am Surg. 1995. Vol.61. P.612-7.
- Шаповальянц С.Г., Мыльников А.Г., Орлов С.Ю. и др. Диагностика и лечение острого билиарного панкреатита //Анналы хирургической гепатологии. 2009. №1. С.29-33.
- Дюжева Т.Г., Шеффер А.В. Роль повышения внутрибрюшного давления в развитии полиорганной недостаточности при тяжелом остром панкреатите //Анналы хирургической гепатологии. 2009. №1. С.11-17.
- Яковлев С.В. Применение антибактериальных препаратов при остром деструктивном панкреатите //Анналы хирургической гепатологии. 2008. №1. С.29-33.
- Гольцов В.Р., Багненко С.Ф., Луфт В.М., Дымников Д.А., Батиг Е.В. Нутриционная поддержка в лечении острого деструктивного панкреатита //Анналы хирургической гепатологии. 2009. №1. С.18-22.
- Woittiez A.J.J., Wolthuis J., Van Bergei J.K.L. Treatment of pancreatitis with the somatostatin analogue //Neth J Med. 2008. Vol.37. P.149.
Supplementary files










