Erythropoietin improves effects of mesenchymal stem cells in an experimental model of sepsis
- Authors: Averyanov A.V.1, Konoplyannikov A.G.2, Zabozlaev F.G.1, Sorokina A.S.1, Akulshin D.A.1, Kuzovlev O.P.1, Kukailo N.V.1
-
Affiliations:
- Federal Scientific and Clinical Center for Specialized Types of Medical Care and Medical Technologies FMBA of Russia
- Medical Radiological Research Center of the Ministry of Health and Social Development of Russia
- Issue: Vol 3, No 2 (2012)
- Pages: 4-12
- Section: Articles
- Submitted: 24.10.2021
- Accepted: 24.10.2021
- Published: 26.10.2021
- URL: https://clinpractice.ru/clinpractice/article/view/83687
- DOI: https://doi.org/10.17816/clinpract83687
- ID: 83687
Cite item
Full Text
Abstract
In the last years several studies have shown that mesenchymal stem cells (MSCs) are able to reduce the systemic inflammatory response and mortality in experimental models of sepsis. As recently found, the surface of MSCs have receptors for erythropoietin (EPO). So we hypothesized that the introduction of EPO together with MSCs may enhance their effect and improve the results of sepsis treatment.
Aim: То evaluate morphologic and immunologic effects of combined treatment with EPO and MSC in an experimental LPS sepsis model in rats.
Methods: 50 Wistar rats were randomized into 5 groups: Group 1 - the healthy controls, Groups 2-5 were intraperitoneally introduced bacterial LPS 20 mg/kg. Two hours after LPS injection animals received the following intravenous treatments: Group 3 - 4xl05 allogeneic MSCs, Group 4 - 8.5 pg of recombinant EPO-beta, Group 5 - MSCs and EPO in the same doses. Surviving animals were euthanased on the 4th day. The morphological study of the liver, spleen, thymus, lungs, kidney tissues was performed. We analyzed the tissue changes, white blood cells count and serum level of IL-lß, IL-2, IL-6, TNF-α.
Results: Mortality in LPS groups did not differ. The highest white blood cells count was found in the group of combined treatment EPO+MSCs (8.15x106 cells/ml) compared with controls (2,15x10s cells/ml) and LPS controls (6,52x10s cells/ml). There were no differences in levels of TNF-α, IL-2 and IL-6 between the groups, but serum IL-1ß level in groups 2 and 4 was significantly higher than in treated with MSCs and MSCc + EPO animals. Histologically in the group 5 we observed significantly less leukocyte lung interalveolar septal infiltration and kidney tubular dystrophy. The most significant differences in group LPS + EPO were found in the lymphoid tissue - considerable hyperplasia of spleen white pulp and thymus cortex, whereas in the other groups different degrees of atrophy of the corresponding zones were noted.
Conclusions: Combined treatment with EPO and MSCs can reduce acute lung injury and kidney damage, cause hyperplasia of lymphoid tissue and enhance the immune response more than separate treatment in an experimental model of sepsis in rats.
Keywords
Full Text
В последние годы было доказано, что мезенхимальные стволовые клетки (МСК) способны уменьшить проявления системной воспалительной реакции и снизить летальность в экспериментальной модели сепсиса. Недавно стало известно, что на поверхности стволовых клеток имеются рецепторы к эритропоэтину (ЭПО). Мы предположили, что введение ЭПО совместно со стволовыми клетками может усилить их эффект и улучшить результаты лечения сепсиса.
Сепсис является лидирующей причиной летальности, не связанной с сердечной патологией, в отделениях реанимации и интенсивной терапии во всем мире [1]. Несмотря на то, что благодаря внедрению современных клинических рекомендаций в развитых странах произошло снижение смертности при сепсисе с 37% до 30,8%, сами эксперты признают, что при существующем уровне развития медицины «потолок» выживаемости практически достигнут и дальнейшие ожидания связаны с появлением новых медицинских препаратов и технологий лечения тяжелого сепсиса и септического шока [2]. Одним из таких перспективных направлений можно считать трансплантацию мезенхимальных (стромальных) стволовых клеток (МСК). Стоит заметить, что приоритет в открытии МСК принадлежит советскому ученому А.Я. Фриденштейну, чья статья "Heterotopic of bone marrow. Analysis of precursor cells for osteogenic and hematopoietic tissues" [3], датированная 1968 г., до настоящего времени является одной из наиболее цитируемых. Фриденштейн первым в мире установил, что в костном мозге наряду с гемопоэтическими клетками существует популяция стволовых клеток, способных дифференцироваться в клетки мезенхимального ростка - фибробласты, остеоциты, хондроциты, адипоциты, что спустя несколько лет было подтверждено многими исследованиями, выполненными на Западе. Особенностью МСК является не только потенциальная возможность их трансформации в гетерогенные клетки разных органов, получившая название пластичности, но и способность самостоятельно или опосредованно индуцировать продукцию ряда активных медиаторов разнообразных процессов - воспаления, фиброза, регенерации - цитокинов, факторов роста и их ингибиторов, ферментов и др. (паракринная активность) [4]. Процессы ускоренного апоптоза, эндотелиальная травма, нарушения микроциркуляции, угнетение иммуногенеза, повреждение миокарда - те патогенетические механизмы сепсиса, которые теоретически могут быть компенсированы паракринными и пластическими эффектами СК.
В 2007 г. J Xu et al. сообщили, что МСК, будучи введенными мышам вместе с бактериальным липополисахаридом, предотвращают не только острое повреждение легких, но и системный воспалительный ответ, достоверно снижая сывороточные уровни провоспалительных цитокинов IFN-γ, IL-lß , IL-6, MIP-lα и IL-8 [5]. Другое экспериментальное исследование, доказавшее эффективность МСК в модели сепсиса у мышей, вызванной перевязкой и пункцией толстой кишки, было выполнено Shirley Н. J. Mei с коллегами в университете Оттавы [6]. В этой работе установлено не только снижение уровня маркеров системного воспаления под влиянием МСК, но и уменьшение бактериальной обсемененности селезенки и признаков полиорганной недостаточности. В еще одном исследовании на эндотоксемической модели сепсиса у крыс доказано снижение функциональной депрессии миокарда и подавление тканевой экспрессии интерлейкинов ИЛ-lß и ИЛ-6 у животных, получивших лечение МСК [7]. В дальнейшем те же авторы установили, что данные эффекты более выражены у МСК, донорами которых были самки [8].
Важным, недавно установленным свойством МСК, объясняющим их эффективность при инфекционных процессах, является самостоятельная продукция антимикробного пептида - кателицидина hCAP-18/LL-37, подавляющего рост Гр-отрицательных микроорганизмов. Поскольку при ингибировании данного протеина противоинфекционная активность МСК снижалась почти в 2 раза, авторы сделали вывод, что прямой антибактериальный эффект МСК при легочной инфекции сопоставим по значимости с традиционно упоминаемыми пластичностью и паракринной активностью [9]
Одним из ограничивающих факторов применения МСК при сепсисе и остром повреждении легких является высокая степень апоптоза трансплантируемых клеток. Она обусловлена с одной стороны апоптоз-стимулирующим эффектом провоспалительных цитокинов, прежде всего - фактора некроза опухоли альфа (TNF-α), а с другой - окислительным стрессом, также ускоряющим гибель МСК и прогениторных клеток (клеток-предшественников) [10, 11]. Одним из направлений современной регенеративной медицины является поиск путей выживаемости трансплантированных СК и усиления их эффектов. Поскольку недавно стало известно, что МСК содержат на своей поверхности рецепторы к эритропоэтину (ЭПО) [12], мы предположили, что комбинированное введение МСК и ЭПО может предотвратить апоптоз последних и увеличить клиническую эффективность клеточной трансплантации. С этой целью было проведено экспериментальное исследование, результаты которого представлены в данной статье.
Материал и методы исследования:
Мезенхимальные стволовые клетки:
Культура МСК (пассаж 5) была выращена из костного мозга крыс линии Вистар, самок, по модифицированной методике [13]. У крыс-доноров клетки костного мозга для посева в культуру получали из бедренной кости после введения им для эвтаназии раствора нембутала (70 мг/кг). Полученные в строго стерильных условиях примерно 107 костномозговых клеток помещали в пробирки с гепарином (100 ЕД/мл пунктата). После отстаивания эритроцитов в течение 1-2 часов при комнатой температуре супернатант отсасывали пастеровской пипеткой, выделенные клетки отмывали в среде 199 ("Sigma", USA), центрифугировали при 1000 об/мин в течение 10 мин, осадок ресуспендировали в ростовой среде. В качестве ростовой использовалась среда RPMI-1640 ("Sigma", USA), содержащая пенициллин (100 ЕД/мл), амфотерицин (100 нг/мл), L-глютамин 2 мМ, 20% эмбриональной телячей сыворотки. Культивирование проводилось в пластиковых флаконах Карреля ("Sigma", USA) с площадью дна 25 см2, в которые вносили 5х106-107 клеток костного мозга в 8 мл ростовой среды. Флаконы продували газовой смесью, содержащей 5% углекислого газа и 95% воздуха, и помещали их в обычный термостат 37°С. Продувание флаконов такой газовой смесью проводили каждый раз, когда меняли среду или пересевали клетки в новые культуральные флаконы. При достижении сливного (конфлюентного) монослоя клетки пересевали с использованием 0,25% раствора трипсина ("Sigma",USA) в новые флаконы вначале с той же площадью дна (25 см2 ), а впоследствии при нарастании клеточной массы - в большие культуральные флаконы с площадью дна 175 см2. Такой метод позволял к концу 5-6 недели добиться получения популяции МСК в количестве (1-2)х108 клеток, достаточных для трансплантации в организм крыс-реципиентов. При изучении методом проточной цитофлюорометрии специфических маркеров полученных культур МСК было показано, что они относятся к популяции CD10low CD34- CD45- CD90+ CD105+ клеток, что характерно для клеток, происходящих из мультипотентных мезенхимальных стволовых клеток взрослого организма. Это заключение было подтверждено способностью полученной культуры клеток при изменении условий культивирования и использования соответствующих индукторов к дифференцировке в четырех исследованных в нашей работе направлениях - в остеоциты, хондроциты, адипоциты и кардиомиоциты (в последнем случае при применении деметилирующего агента - 5-азацитидина).
Дизайн исследования: 50 крыс самок линии Wistar, в возрасте 3-х месяцев, весом 180-200 гр, были разделены на 5 групп по 10 животных в каждой (рис. 1).
Рис. 1. Дизайн исследования
1-я группа использовалась в качестве здорового контроля, а остальным интраперитонеально введен бактериальный липополисахарид, выделенный из культуры Escherichia coli 0111: В4 (Sigma, USA) в дозе 20 мг/кг веса. Группа 2 оставлена в качестве контроля сепсиса. Спустя 2 часа после инъекции ЛПС животные получили следующее лечение: группа 3 - внутривенная инфузия 4x105 аллогенных МСК; группа 4 - внутривенное введение 8.5 мкг рекомбинантного ЭПО-ß; группа 5 - комбинацию МСК и ЭПО в эквивалентных дозах. Животных забивали через 72 часа путем внутрибрюшинного введения нембутала с забором крови на работающем сердце для гематологического и иммуно- ферментного анализа. Для дальнейшего морфологического исследования были использованы легкие, печень, почки, селезенка и тимус. В легкие для фиксации ткани интратрахеально через катетер вводили 10% формалин под давлением 20 см водн. ст. до их полного расправления. После этого перевязывали трахею и извлекали комплекс легкие-сердце из плевральной полости. Почки, печень, селезенку, тимус выделяли из органокомплекса и помещали вместе с легкими в 10% нейтральный формалин объемом, 5-кратно превышающим объем фиксируемых органов, на трое суток. Затем из каждого органа, кроме тимуса, вырезали кусочки толщиной 0,4 см. Вилочковую железу исследовали отдельно. Полученный материал обезвоживали в восходящих по концентрации спиртах, заливали в парафиновые блоки и приготавливали срезы толщиной 0,4-0,5 мкм по общепринятой методике. Полученные срезы окрашивали гематоксилином и эозином, пикрофуксином по ван-Гизон. Проводился количественный, качественный и полуколичественный анализ результатов гистологического исследования полученных препаратов с использованием микроскопа Nicon eclipse 50i, камеры DS-Fil и компьютерной программы "NIS-Elements BR". Качественно оценивались степень проявления интерстициального и внутриальвеолярного отека легких, а также состояние кортико-медуллярного соотношения в ткани тимуса.
Морфологические изменения печени и почек оценивали полуколичественным методом по шкале баллов: 0 - отсутствие изменений, 1 - незначительные изменения, 2 - умеренные, 3 - выраженные.
При этом для анализа были выбраны следующие признаки: дистрофия гепатоцитов и эпителия проксимальных и дистальных почечных канальцев; степень сосудистого полнокровия ткани почек. Количественно оценивались объем белой пульпы селезенки, Т-лимфоцитов коркового вещества тимуса и толщина межальвеолярных перегородок.
Уровень лейкоцитов в крови определяли на автоматическом гематологическом анализаторе MEK-8222J/K (Япония). В сыворотке крови проводили измерение концентрации следующих цитокинов: ИЛ-1ß, ИЛ-6, TNF-α. Использованы ИФА наборы с антителами крыс Quantikine immunoassay и R&D systems. Иммуно-ферментный анализ выполнен на автоматическом плашечном ИФА-анализаторе ВЕР 2000 (Германия).
Статистическая обработка результатов проводилась при помощи пакета прикладных программ "Statistica for Windows StatSoft Inc.", Версия 6.0. Данные таблиц представлены как выборочное среднее±стандартное отклонение. Достоверность различий оцениваемых показателей между исследуемыми группами вычисляли методом однофакторного дисперсионного анализа (ANOVA). Различия считали статистически достоверными при р<0,05.
Полученные результаты
Достоверной разницы в летальности между исследуемыми группами не установлено. Все животные умерли в течение первых суток эксперимента: в группах 2, 3, 5 - по 2 крысы; в группе 4 погибло 3 животных. Причинами смерти были острый респираторный дистресс- синдром (7 животных) и его комбинация с острой почечной недостаточностью (2 животных).
При оценке уровня лейкоцитов в крови достоверно большая, чем у других животных лейкоцитарная реакция (8,15±1,4х109/л) наблюдалась в группе 5, получившей комбинированное лечение МСК и ЭПО (рис. 2). В группе 3 (трансплантация МСК) уровень лейкоцитов составил 4,05±2,35х109/л, а в группе 4 (введение ЭПО) - 5,6+2,7х109/л. В то же время в группе 2 (контроль ЛПС) данный показатель находился на уровне 6,52+1,9х109/л. Все группы, получившие ЛПС (2-5) достоверно отличались по числу лейкоцитов в крови от здоровых животных, у которых эта цифра составила 2,15±0,41х109/л.
При сравнении уровня исследуемых цитокинов мы не обнаружили достоверных различий между группами, за исключением ИЛ-1р, который в сыворотке крыс, получивших ЭПО и МСК, (58±22 пг/мл) был ниже чем в контроле ЛПС (155±90 пг/мл), приближаясь к уровню у здоровых животных (38±40 пг/мл).
Рис. 2. Уровень лейкоцитов ( х 109/л] в исследуемых группах.
Главные гистологические характеристики исследованных органов, поддающиеся количественному и полуколичественному анализу, представлены в табл. 1
Таблица 1. Характеристики морфологических изменений в исследуемых группах
Группы | I | II | III | IV | V |
Толщина межальвеолярных перегородок (ϻм) | 10,32±2,05 | 31,25±2,9 | 15,3±2,29 | 18,6±1,1 | 10,82±1,08 |
Дистрофия эпителия почечных канальцев (баллы) | 0 | 2,54±0,31 | 2,22±0,29 | 1,90±0,12 | 0,74±0,19 |
Сосудистое полнокровие ткани почек (баллы) | 0,21±0,07 | 0,72±0,09 | 0,43±0,03 | 0,32±0,05 | 0,24±0,04 |
Дистрофия гепатоцитов (баллы) | 0 | 2,43±0,43 | 1,22±0,45 | 1,92±0,37 | 2,03±0,30 |
Объем Т-лимфоцитов коркового вещества тимуса (%) | 86,24±2,88 | 34,59±1,34 | 49,37±2,16 | 38,21±1,73 | 81,48±2,63 |
Объем белой пульпы селезенки (%) | 23,95±2,8 | 11,15±3,8 | 19,9±2,92 | 22,8±0,98 | 27,15±2,89 |
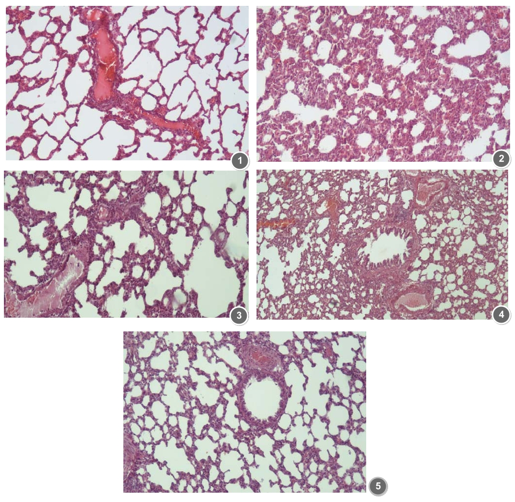
При гистологическом анализе легких, почек и лимфоидных органов выявлены достоверные отличия по большинству оцениваемых показателей между группой здорового контроля и группами 2, 3 и 4. В то же время тканевые характеристики между группами 1 и 5 значимо не отличались (табл.1). В группе 5 (МСК+ЭПО) степень интерстициального отека легких была наименьшей (рис. 3), эпителий проксимальных и дистальных почечных канальцев с минимальными признаками дистрофии и некроза.
Рис. 3. Репрезентативная микрофотография ткани легких в группах (гематоксилин-эозин, х 100)
(1) Нормальная ткань
(2) Контроль ЛПС - лейкоцитарная инфильтрация интерстиция и альвеолярных пространств, отек, утолщение межальвеолярных перегородок
(3) Умеренное снижение лейкоцитарной инфильтрации и отека после введения МСК
(4) Незначительное уменьшение признаков острого повреждения легких в группе ЭПО
(5) Значительная редукция воспалительных изменений после введения МСК и ЭПО
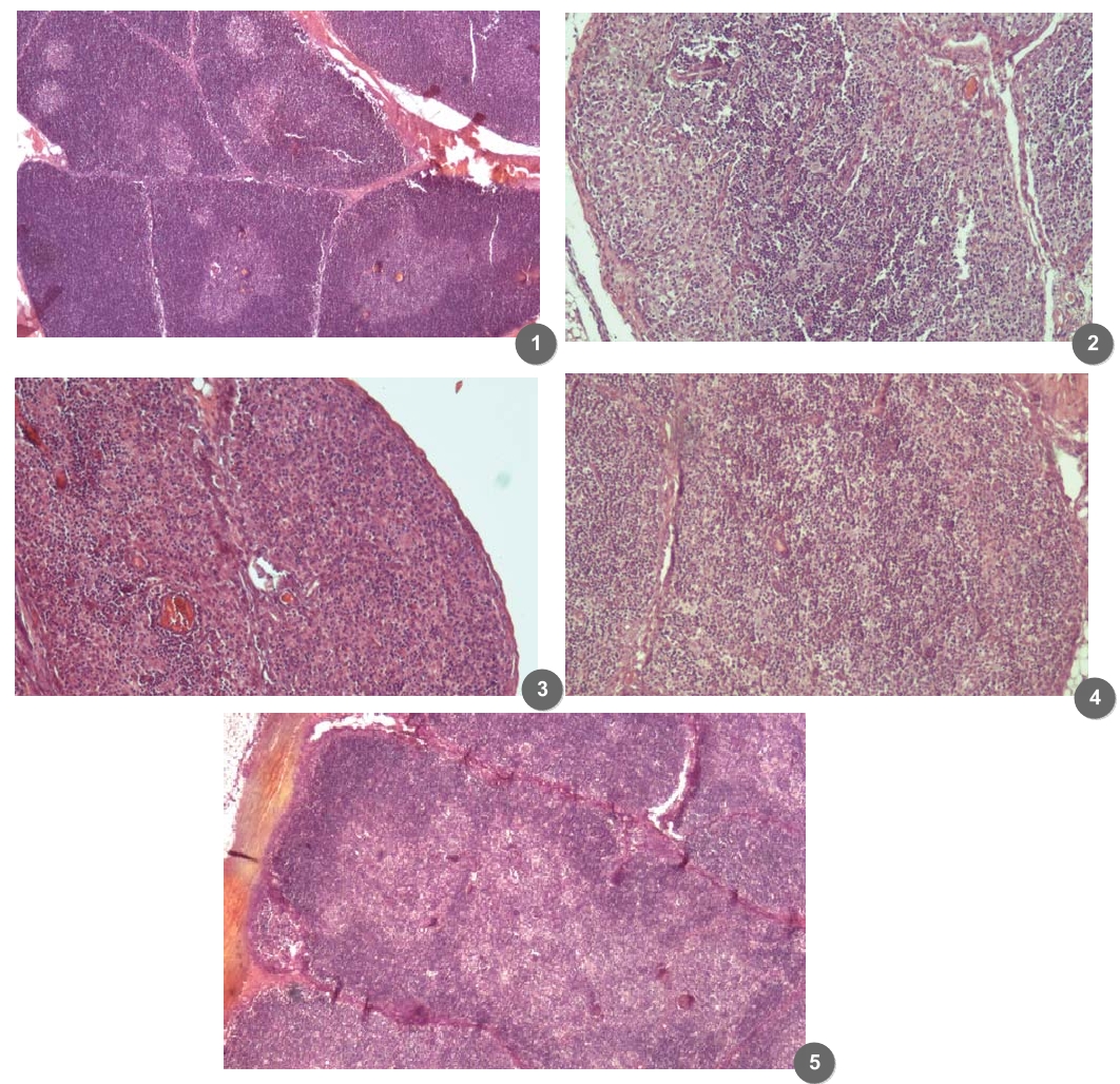
У этих же животных особенно обращала на себя внимание выраженная гиперплазия белой пульпы селезенки и пролиферация Т-лимфоцитов кортикального слоя тимуса, в отличие от животных остальных групп, получивших ЛПС, у которых имела место редукция лимфоидного компонента (рис. 4).
Рис. 4 Репрезентативная микрофотография ткани тимуса через 72 часа после введения липополисахарида (гематоксилин-эозин x100).
(1) Нормальная ткань
(2) Кортико-медуллярная инверсия ЛПС
(3) ЛПС+МСК
(4) ЛПС+ЭПО
(5) Пролиферация Т-лимфоцитов коркового вещества тимуса в группе комбинированного лечения эндотоксемии МСК+ЭПО
В группе ЭПО гистологические изменения практически не отличались от группы 2 (контроля сепсиса), за исключением почек, в которых имело место умеренное, но достоверное снижение степени дистрофии эпителия почечных канальцев. У крыс, получивших лечение МСК, наблюдалась положительная тенденция снижения сосудистого полнокровия легких и почек, но она уступала таковым изменениям в группе 5. Однако в данной группе наилучшие результаты по гистологической картине отмечены в паренхиме печени, которая отличалась наименьшей степенью дистрофи гепатоцитов.
Обсуждение результатов
Результаты нашего исследования в целом подтверждают гипотезу о положительном влиянии эритропоэтина на эффекты МСК в экспериментальной модели сепсиса. Тем не менее, один из важнейших показателей успешного лечения - уровень летальности, не отличался между опытными и контрольной группами, несмотря на то, что у выживших животных имели место вполне достоверные различия в степени поражения органов-мишеней. По-видимому, данный факт связан с особенностями эндотоксемической модели сепсиса. У животных, получающих инъекцию ЛПС, пик воспалительного ответа с освобождением множества цитокинов приходится на первый час после инъекции [14]. Мы предполагаем, что введение МСК и ЭПО через 2 часа после ЛПС уже не смогло оказать позитивного эффекта на тех животных, у которых к тому времени уже развилось критическое повреждение легких и почек. В уже цитированной работе S Mei et al уровень летальности в группах контроля и терапии МСК также достоверно не отличался, однако среди животных, которым с первого дня был назначен антибиотик, 7-дневная выживаемость в группе МСК составила 50%, в то время как в группе плацебо - менее 20% [6]. Необходимо также учесть, что доза введенных в нашем исследовании МСК (400000 клеток) в 5-7 раз ниже стандартной эффективной дозы (2000000-3000000 клеток) используемой для животных такого веса [15]. Выбор заниженной дозировки МСК был не случайным и сделан для того, чтобы более точно вычленить влияние эритропоэтина. Поскольку предшествующие исследования показали весьма высокие результаты лечения сепсиса МСК в привычных режимах дозирования, добавление ЭПО в такой ситуации могло не принести значительных дополнительных плюсов. Именно невысокой дозой МСК мы объясняем не столь яркие эффекты в группе 3 (получившей только МСК) в сравнении с отчетами по аналогичным экспериментам.
Особенностью динамики цитокинов в липополисахаридной модели сепсиса можно объяснить отсутствие достоверных различий в уровнях ИЛ 1ß, ИЛ-6, TNF-α. Максимальная концентрация в сыворотке этих медиаторов воспаления наблюдается к концу 3-го часа после введения ЛПС. Но уже к 6-му часу уровни TNF-α и ИЛ-6 падают в 2-3 раза от максимума, полностью нормализуясь через 2 суток [16]. Наиболее долго живущий цитокин ИЛ-1ß, который определяется в повышенных концентрациях до 4-5 дня эксперимента.
Лейкоцитарная реакция крови у крыс, получивших комбинацию МСК и ЭПО, оказалась достоверно выше, чем в остальных группах. Если оценивать уровень лейкоцитов только как маркер тяжести воспаления, то можно сделать вывод о неэффективности лечения. Однако если рассматривать подобную ситуацию как усиление иммунного ответа, то следует признать, что подобная комбинация напротив, более эф фективна. Полученные результаты гематологического анализа вполне согласуются с данными морфологического исследования тимуса и селезенки, где отмечена гиперплазия коркового вещества и белой пульпы, в отличие от остальных групп, получивших Л ПС в которых наблюдалась различная степень атрофии лимфоидной ткани. Вряд ли мы сможем однозначно ответить на вопрос о механизмах такого феномена, однако, можно обсуждать несколько основных событий: во-первых, известно, что стволовые клетки подавляют экспрессию TNF-α, препятствуя апоптозу многих типов клеток, включая лимфоциты [17, 18].
Во-вторых, эритропоэтин также оказывает антиапоптозное действие на тимус и селезенку в модели сепсиса через подавление каспаз 3, 8,11 и эндогенной продукции NO [19]. Наконец, на лейкоцитах, также как на гемопоэтических стволовых клетках, имеются рецепторы к ЭПО, через которые возможна дополнительная стимуляция лейкоцитарного ростка и увеличение продолжительности жизни лейкоцитов [ 20].
Попытки использовать эритропоэтин для лечения сепсиса в клинических исследованиях предпринимались неоднократно, однако его потенциальная польза, основанная на иммунотропных и вазопрессорных эффектах, уступала связанным с ним осложнениям, прежде всего тромбозам, во многом определявшим исход заболевания [21]. Тем не менее, на уровне экспериментальных моделей сепсиса позитивные результаты ЭПО отмечены при различных токсических состояниях [22, 23] .
Наши результаты свидетельствуют, что изолированное применение ЭПО хотя и может вносить некоторый позитивный вклад в уменьшение повреждения почек и апоптоза лимфоидной ткани, в целом уступает как монотерапии низкими дозами МСК, так и комбинации МСК и ЭПО.
Заключение
Выполненное исследование показало, что одновременное применение аллогенных мезенхимальных стволовых клеток и рекомбинатного эритропоэтина в эндотоксемической модели у крыс оказывает синергичный положительный эффект, превосходящий результаты раздельного лечения исследуемыми субстратами. Лучшие показатели при комбинированной терапии были достигнуты в отношении легких, почек, селезенки и тимуса. Поскольку состояние именно этих органов часто определяет исход заболевания, есть надежда, что при подтверждении данных эффектов в клинических исследованиях идея синергизма МСК и ЭПО может стать основой для нового направления лечения пациентов с тяжелым сепсисом и септическим шоком.
About the authors
Alexandr V. Averyanov
Federal Scientific and Clinical Center for Specialized Types of Medical Care and Medical Technologies FMBA of Russia
Author for correspondence.
Email: averyanovav@mail.ru
Deputy General Director for Research and Medical Technologies, Doctor of Medical Sciences
Russian Federation, MoscowAnatolyi G. Konoplyannikov
Medical Radiological Research Center of the Ministry of Health and Social Development of Russia
Email: konopl@obninsk.ru
Head of the Department of Cellular and Experimental Radiation Therapy, Professor, Doctor of Biological Sciences
Russian Federation, ObninskFedor G. Zabozlaev
Federal Scientific and Clinical Center for Specialized Types of Medical Care and Medical Technologies FMBA of Russia
Email: fzab@mail.ru
Head of the Pathological Department, Doctor of Medical Sciences, Professor
Russian Federation, MoscowAnastasyi S. Sorokina
Federal Scientific and Clinical Center for Specialized Types of Medical Care and Medical Technologies FMBA of Russia
Email: averyanovav@mail.ru
laboratory assistant of the pathological and anatomical department
Russian Federation, MoscowDmitryi A. Akulshin
Federal Scientific and Clinical Center for Specialized Types of Medical Care and Medical Technologies FMBA of Russia
Email: averyanovav@mail.ru
head of the clinical diagnostic laboratory
Russian Federation, MoscowOleg P. Kuzovlev
Federal Scientific and Clinical Center for Specialized Types of Medical Care and Medical Technologies FMBA of Russia
Email: averyanovav@mail.ru
General Director, Doctor of Medicine, Professor
Russian Federation, MoscowNatalia V. Kukailo
Federal Scientific and Clinical Center for Specialized Types of Medical Care and Medical Technologies FMBA of Russia
Email: averyanovav@mail.ru
Clinical Diagnostic Laboratory Doctor
Russian Federation, MoscowReferences
- Martin G.S., Mannino D.M., Eaton S., Moss M. (2003) The epidemiology of sepsis in the United States from 1979-2000. N Engl J Med 348:1546-1554.
- Levy M.M., Dellinger R.P., Townsend S.R. et al. The Surviving Sepsis Campaign: results of an international guideline-based performance improvement program targeting severe sepsis Intensive Care Med (2010) 36:222-231.
- Friedenstein A.J., Petrakova K.V., Kurolesova A.l., Frolova G.P. Heterotopic of bone marrow. Analysis of precursor cells for osteogenic and hematopoietic tissues. Transplantation. 1968 ; 6 ( 2 ): 230 - 247.
- Garcia-Gomez I., Elvira G., Zapata A.G. et al Mesenchymal stem cells: biological properties and clinical applications. Expert Opin Biol Ther. 2010 Oct; 10(10): 1453-68.
- Xu J, Woods C.R., Mora A.L. et al. Prevention of endotoxin-induced systemic response by bone marrow- derived mesenchymal stem cells in mice. Am. J. Physiol. Lung Cell Mol. Physiol. 2007;.293:L131-41
- Mei S.H., Haitsma J.J., Dos Santos C.C. et al Mesenchymal Stem Cells Reduce Inflammation while Enhancing Bacterial Clearance and Improving Survival in Sepsis Am J Respir Crit Care Med. 2010 182 (8) 1047-57.
- Weil B.R., Manukyan M.C., Herrmann J.L. et al. Mesenchymal stem cells attenuate myocardial functional depression and reduce systemic and myocardial inflammation during endotoxemia Surgery. 2010; 148(2):444-52.
- Manukyan M.C., Weil B.R., Wang Y. et al. Female stem cells are superior to males in preserving myocardial function following endotoxemia Am J Physiol Regul Integr Comp Physiol June 2011 300:(6) R1506-R1514
- Krasnodembskaya A., Song Y., Fang X. et al, Antibacterial Effect of Human Mesenchymal Stem Cells Is Mediated in Part from Secretion of the Antimicrobial Peptide LL-37 Stem Cells 2010;28:2229-2238.
- Chen T.G., Zhong Z.Y., Sun G.F. Effects of tumour necrosis factor-alpha on activity and nitric oxide synthase of endothelial progenitor cells from peripheral blood Cell Prolif. 2011 Aug;44(4):352-9.
- Wei H., Li Z., Hu S., Chen X., Cong X.J. Apoptosis of mesenchymal stem cells induced by hydrogen peroxide concerns both endoplasmic reticulum stress and mitochondrial death pathway through regulation of caspases, p38 and JNK Cell Biochem. 2010 Nov l;lll(4):967-78 .
- McGee S. J., Havens A. M., Shiozawa Y. et al Effects of erythropoietin on the bone microenvironment Growth Factors, February 2012, Vol. 30, No. 1: P. 22-28
- Цыб А.Ф., Коноплянников А.Г., Колесникова А.И., Павлов В.В. Получение и использование в медицине клеточных культур из мезенхимальных стволовых клеток костного мозга человека. Вестник Российской Академии медицинских наук, 2004, т. 59, № 9, стр. 71-76.
- Jesmin S., Yamaguchi N., Zaedi S., Timedependent expression of endothelin-1 in lungs and the effects of TNF-α blocking peptide on acute lung injury in an endotoxemic rat model Biomed Res. 2011 Feb;32(l):9-17.
- Yagi H., Soto-Gutierrez A., Kitagawa Y. et al, Bone Marrow Mesenchymal Stromal Cells Attenuate Organ Injury Induced by LPS and Burn Cell Transplant. 2010 ; 19(6): 823-830.
- Harris J.F., Aden J., Lyons C.R., Tesfaigzi Y. Resolution of LPS-induced airway inflammation and goblet cells hyperplasia is independent of IL-18 Respiratory Research 2007,8:24 doi: 10.1186/1465-9921-8-24.
- Gupta N., Su X., Popov B., Lee J.W., Serikov V., Matthay M.A. Intrapulmonary delivery of bone mar- row-derived mesenchymal stem cells improves survival and attenuates endotoxin-induced acute lung injury in mice. J Immunol. 2007;179:1855-1863.
- Sueblinvong V., Weiss D.J. Stem cells and cell therapy approaches in lung biology and diseases. Transl Res 2010;156:188-205.
- Koroglu T.F., Yilmaz O., Ozer E. Erythropoietin attenuates lipopolysaccharide-induced splenic and thymic apoptosis in rats Physiol Res. 2006;55(3):309-16.
- Heberlein C., Fischer K.D., Stoffel M. The gene for erythropoietin receptor is expressed in multipotential hematopoietic and embryonal stem cells: evidence for differentiation stage-specific regulation. Mol Cell Biol 12:1815-1826,1992.
- Walden A.P., Young J.D., Sharpies E. Bench to bedside: A role for erythropoietin in sepsis Crit Care. 2010;14(4):227.
- Mitra A., Bansal S., Wang W. et al, Erythro-poietin ameliorates renal dysfunction during endotoxaemia Nephrol Dial Transplant (2007) 22:2349-2353.
- Calvillo L., Latini R., Kajstura J. et al. Recombinant human erythropoietin protects the myocardium from ischemia-reperfusion injury and promotes beneficial remodeling. Proc Natl Acad Sci USA 200,100: 4802-4806.
Supplementary files






