Modern technologies of diagnosis and treatment of patient with alveolar proteinosis
- Authors: Sotnikova A.G.1, Averyanov A.V.1, Turusina T.A.1, Lesnyak V.N.1, Sazonov D.V.1, Danilevskaya O.V.1, Chernyaev A.L.1
-
Affiliations:
- Federal Scientific and Clinical Center for Specialized Types of Medical Care and Medical Technologies FMBA of Russia
- Issue: Vol 3, No 2 (2012)
- Pages: 20-25
- Section: Articles
- Submitted: 24.10.2021
- Published: 26.10.2021
- URL: https://clinpractice.ru/clinpractice/article/view/83690
- DOI: https://doi.org/10.17816/clinpract83690
- ID: 83690
Cite item
Full Text
Abstract
The case of a rare lung disease - alveolar proteinosis diagnosed with advanced technologies, including confocal laser endomicroscopy of respiratory tract (alveoscopy) is presented. After confirming the diagnosis the patient undewent high volume bronchoalveolar lavage of both lungs with positive clinical and radiologic dynamics.
Full Text
Альвеолярный протеиноз (АП) – (синонимы: альвеолярный липопротеиноз, альвеолярный фосфолипидоз) - заболевание неизвестной этиологии, характеризующееся умеренно прогрессирующей одышкой вследствие накопления в альвеолах фосфолипидов и белкового материала, дающего положительную ШИК-реакцию (PAS-реакцию). Болезнь была впервые описана S.H. Rosen с соавторами в 1958 г.
Альвеолярный протеиноз относится к редким заболеваниям; встречается от 1 до 4 случаев на 1 млн взрослых. Болеют преимущественно лица среднего возраста (20-50 лет), причем мужчины чаще, чем женщины (3:1) [1].
Выделяют следующие формы АП: генетическую, аутоиммунную (ранее называвшуюся идиопатической) и вторичную (псевдопротеиноз). Генетическая форма обусловлена мутациями генов, кодирующих структуру белков сурфактанта В и С или ßсцепи рецептора гранулоцитарно-макрофагального колониестимулирующего фактора (ГМКСФ) и встречается чаще у детей [2].
Вторичная форма развивается на фоне опухолевых процессов различной локализации, тяжелых иммунодефицитных состояний или вследствие ингаляционного повреждения легочной паренхимы неорганической пылью, токсическими парами, озоном, NО2.
В 90% случаев АП заболевание считается аутоиммунным, т.к. у пациентов обнаруживают повышенные титры антител к ГМКСФ. Среди заболевших преобладают курильщики (70%).
Ключевую роль в патогенезе заболевания играет нарушение обмена сурфактанта. Сурфактант - белковолипоидный комплекс, снижающий поверхностное натяжение в альвеолах: на 80% состоит из фосфолипидов, на 10% - из холестерола и на 10% - из белков. Липиды и белки сурфактанта синтезируются альвеолоцитами 2-го типа, и катаболизируются альвеолярными макрофагами. Этот процесс регулируется ГМКСФ, который, присоединяясь к поверхностным рецепторам альвеолярных макрофагов и альвеолоцитов 2-го типа, обеспечивает утилизацию сурфактанта. Подавление активности ГМКСФ антителами приводит к тому, что клетки-мишени (альвеолярные макрофаги) не получают сигнал для захвата и расщепления сурфактанта, происходит его избыточное накопление в альвеолах, вследствие чего уменьшается газообменная поверхность.
При патолого-анатомическом исследовании отмечается гиперплазия альвеолоцитов 2-го типа. В альвеолах содержится материал, который представляет собой сурфактантоподобное вещество. Это фосфолипиды, дающие яркий пурпурный цвет при окрашивании реактивом Шиффа (ШИК-реакция) (рис.1). Изменения выявляют преимущественно в субплевральных отделах легких. Характерна неравномерность поражения: часть альвеол может быть заполнена белковолипоидным материалом, а соседние участки могут оставаться интактными. Структура альвеол и межальвеолярных перегородок не нарушена [3].
Рис. 1. Гистологический препарат легкого при альвеолярном протеинозе - окраска реактивом Шиффа.
Структура альвеол не нарушена.Аморфное ацидофильное содержимое в альвеолярных пространствах.
В течение длительного времени заболевание протекает бессимптомно. Нередко оно является случайной находкой при профилактическом флюорографическом исследовании. Основной клинический признак болезни - медленно прогрессирующая одышка, которая может сопровождаться кашлем (сухим или со скудной мокротой) и неспецифическими симптомами, такими как субфебрильная температура, дискомфорт в грудной клетке, снижение массы тела, быстрая утомляемость. Течение болезни, как правило, хроническое, однако описаны и острые формы. Из осложнений следует отметить возможное присоединение бактериальной или грибковой инфекции, развитие легочной гипертензии и формирование легочного сердца. Туберкулез осложняет течение АП в 3-5% случаев [1].
Трудности диагностики обусловлены отсутствием патогномоничных клинических признаков. От начала заболевания до установления диагноза нередко проходит около 3 лет. 40% больных с АП первоначально ставят диагноз двусторонней пневмонии, часто диагностируют туберкулез и назначают противотуберкулезную терапию. При физикальном исследовании больных характерных изменений не выявляется, лабораторные данные также неспецифичны. При исследовании мокроты может быть выявлено ШИК-положительное вещество.
Показатели ФВД могут быть в пределах нормы. По мере прогрессирования болезни выявляют тенденцию к формированию рестриктивного синдрома: снижается диффузионная способность легких. Степень гипоксемии зависит от тяжести заболевания.
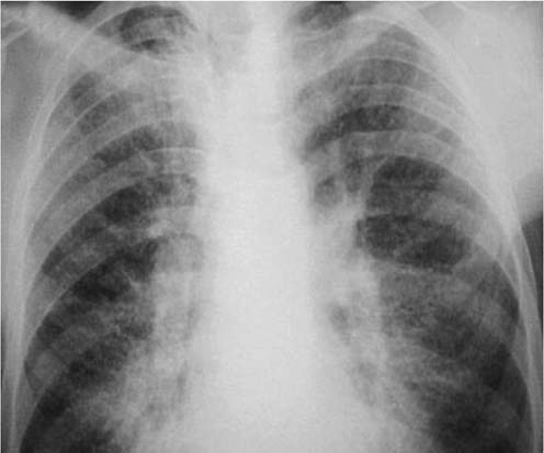
На рентгенограммах у больных АП определяют мелкоочаговые (мелкоточечные) затемнения, имеющие тенденцию к слиянию.
Рис. 2. Обзорная рентгенограмма органов грудной клетки больного с альвеолярным протеинозом.
Картина двустороннего неоднородного ''пятнистого" затемнения по форме напоминающего "крылья летучей мыши" Изменения чаще носят симметричный характер. Рентгенологическая картина напоминает альвеолярный отек легкого.
Рис. 3. Фрагмент компьютерной томограммы больного альвеолярным протеинозом.
Участки "матового стекла", отграниченные от неизмененных участков. Утолщение междольковых перегородок в зонах "матового стекла".
Подробнее следует остановиться на характерных симптомах альвеолярного протеиноза выявляемых при компьютерной томографии высоких разрешений (рис. 2, 3):
- Наличие зон «матового стекла»:
- всегда одновременно в обоих легких
- достаточно четко отграничены от неизмененной паренхимы, что придает им «географический вид», могут иметь очень четкие контуры в случае прилежания к плевре междолевых щелей
- нет четкой анатомической привязки
- процесс может быть фокальным («пятнистым») или распространенным.
- Утолщение междольковых перегородок:
- только в зонах «матового стекла»
- характерный вид «булыжной мостовой» ("crazy paving"). В основе симптома - утолщение междольковых перегородок, обусловленное отеком и неравномерной лимфоцитарномакрофагальной инфильтрацией [4].
ФБС не выявляет каких-либо признаков, характерных для АП. Жидкость БАЛ при АП имеет характерные особенности. Это маслянистая, непрозрачная, молочно-белая, иногда желтоватая жидкость, которая образует белый осадок при отстаивании. В ней определяется многократно увеличенное (в 10-100 раз) содержание белка. Практически у всех больных с аутоиммунным АП в жидкости БАЛ и в сыворотке крови выявляют антитела к ГМКСФ. При исследовании с помощью электронной микроскопии обнаруживают, что альвеолярные макрофаги заполнены фаголизосомами, ламеллярными тельцами, каплями холестерола, липидов. Концентрические ламеллярные тельца, содержащие фосфолипиды, тубулярный миелин и миелиновые структуры в альвеолярных пространствах и в жидкости БАЛ, патогномоничны для АП.
Характерными для АП является обнаружение при электронной микроскопии в альвеолах и альвеолярных макрофагах сурфактанта в виде пластинчатых телец с характерными остроконечными отверстиями - следами выделившихся во время обработки материала кристаллов холестерина.
При подозрении на альвеолярный протеиноз необходимо выполнить иммуноферментный анализ на определение антител к ГМКСФ. Их концентрация >19 мкг/мл является диагностическим порогом для аутоиммунного АП.
Инновационным методом, который возможно скоро войдет в арсенал врачей для диагностики АП является конфокальная лазерная эндомикроскопия дыхательных путей - новый бронхоскопический метод, основанный на визуализации внутриальвеолярных структур, обладающих аутофлюоресценцией, при помощи специального зонда.
Ранее для верификации диагноза обязательным было проведение биопсии легочной ткани (трансбронхиальной или видеоторакоскопической). В настоящее время в случае наличия 3-х критериев: характерной картины на КТВР, белкового материала в жидкости БАЛ и значимого титра антител к ГМКСФ диагноз АП может быть установлен с высокой степенью достоверности [2].
Эффективным методом лечения больных АП является лечебный бронхоальвеолярный лаваж (БАЛ), который применяется с 1965 г. Процедура проводится под наркозом, одно легкое вентилируется кислородом через двухпросветную трубку, а второе легкое промывают теплым стерильным изотоническим раствором. Общий объем жидкости зависит от объема промываемого участка (сегмент, доля, легкое) и составляет до 10 и более литров [5]. Средняя длительность процедуры - 3-5 ч. В результате эффективно проведенного лечебного БАЛ получают мутную жидкость, в которой после отстаивания образуется осадок. После лечения у пациентов уменьшается одышка, улучшаются показатели.
ФВД и газов крови, определяется положительная динамика изменений в легких на рентгенограммах и КТ. Клиническое, функциональное и рентгенологическое улучшение по данным литературы отмечается примерно у 76% больных, длительная ремиссия после однократного лечебного БАЛ - в 35%. После проведения лечебного БАЛ белково-липоидное вещество накапливается в легких вновь с разной скоростью.
Новым методом лечения альвеолярного протеиноза является применение ГМКСФ. Как уже упоминалось, присутствие циркулирующих антител к ГМКСФ подавляет биологическую активность ГМКСФ у пациентов с АП. При клиническом изучении эффективности ГМКСФ было показано, что ежедневное подкожное или ингаляционное введение рекомбинантного препарата ГМКСФ вызвало объективное клиническое улучшение в 48% случаев [6]. На фоне лечения титр антител против ГМКСФ в жидкости БАЛ и в сыворотке крови снижается. Следует отметить, что от начала лечения до получения клинического эффекта проходит в среднем 8 недель и для достижения эффекта требуются различные дозы и разная продолжительность лечения.
В данной статье мы приводим описание клинического наблюдения альвеолярного протеиноза у мужчины, выявленного случайно при проведении планового медицинского осмотра.
Больной Б., 41 год, с индексом курения 35, пачка/лет, поступил в пульмонологическое отделение в удовлетворительном состоянии в связи с выявленными профилактической флюорографии двухсторонними интерстициальными изменениями.
При объективном осмотре: Состояние удовлетворительное. Кожные покровы нормальной окраски и влажности. В легких дыхание везикулярное, проводится во все отделы, хрипы не выслушиваются. Сатурация О2 95%. Гемодинамические показатели стабильны. По лабораторным показателям - клинические, биохимические анализы крови не выявляли изменений. По функциональным дынным показатели оставались сохранными (ФВД - ЖЕЛ 109%, ОФВ1 - 115%, И.Т. 105, ПСВ 95%; Диффузионный тест - TLCOSB 65%, КСО 67%). По данным ЭХО- КГ: Камеры сердца не расширены, систолическое давление в ЛА 24 мм рт. ст. ФВ 60%.
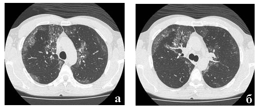
При компьютерной томографии получена картина, позволившая заподозрить альвеолярный протеиноз (рис. 4).
Рис. 4. Фрагменты компьютерной томограммы больного Б.
Выявляются 2-сторонние зоны "матового стекла" с утолщением в них междольковых перегородок, четко отграниченные от интактной легочной паренхимы.
При диагностической фибробронхоскопии выявлялась эндоскопическая картина двустороннего умеренно выраженного атрофического бронхита. С целью уточнения диагноза во время проведения бронхоскопии выполнены трансбронхиальная биопсия легкого и альвеоскопия (конфокальная лазерная эндомикроскопия дистальных отделов дыхательных путей - КЛЭМ).
По морфологическим данным, полученным при трансбронхиальной биопсии легкого выявлены гистологические признаки альвеолярного протеиноза (рис. 5).
Рис. 5. Фрагмент ткани легкого пациента Б., полученный при ТББЛ.
Стенки альвеол тонкие, обычного строения. В одном из кусочков легкого в просветах альвеол скопление гомогенных зернистых Масс, среди которых встречаются отдельные игольчатые структуры, пролиферация нескольких альвеолоцитов 2 типа.
По данным альвеоскопии выявлялось большое количество альвеолярных макрофагов (что обусловлено длительным анамнезом курения) и наличие флюоресцирующих гомогенных комплексов, которые не встречаются при других заболеваниях (рис. 6 а, б).
Рис. 6 а, б: Апьвеоскопия пациента Б. до лечения.
Просвет альвеол заполнен флюоресцирующими липопротеидными массами.
С лечебной целью больному был проведен бронхоальвеолярный лаваж. Исследование выполнялось в условиях операционной.
Была установлена двухпросветная интубационная трубка, с эндоскопическим контролем локализации ее дистальной части. В положении анти-Тренделенбурга в левое легкое последовательно вводили по 2000 мл физиологического раствора, нагретого до 37°С (суммарно до 10 литров) (рис. 7).
Рис.7. Проведение пациенту бронхоальвеолярного лаважа
В положении Тренделенбурга мутная опалесцирующая жидкость последовательно эвакуировалась в эквивалентном объеме (с каждой последующей порцией жидкость становилась более светлой и прозрачной) (рис. 8). Манипуляция сопровождалась позиционными изменениями и вибрационными воздействиями на грудную клетку пациента с целью оптимального распределения вводимого физиологического раствора по бронхиальному дереву.
Рис. 8. Порции лаважной жидкости
Аналогичная манипуляция была проведена на правом легком через несколько дней. Переносимость процедур больным была удовлетворительная, в клиническом статусе также отрицательной динамики не отмечено.
При цитологическом исследовании лаважной жидкости выявлено значительное количество аморфного вещества в виде глыбок и группы макрофагов с липидными включениями.
При альвеоскопия в динамике после БАЛ отмечена положительная динамика в виде уменьшения количества флюоресцирующих гомогенных комплексов (рис. 9 а, б).
Рис. 9 а, б. Апьвеоскопия пациента Б. после БАЛ. Отмечается практически полное освобождение просвета альвеол от липопротеиновых масс.
Рис. 10 а, б. Фрагменты компьютерной томограммы больного Б. после про ведения БАЛ.
Уменьшение распространенности и интенсивности зон "матового стекла).
По данным КТВР после проведения БАЛ также выявлена положительная динамика (рис. 10 а, б).
Таким образом, на фоне проведенного бронхоальвеолярного лаважа отмечена положительная динамика по рентгенологическим данным (КТВР), которая также подтверждена данными конфокальной лазерной эндомикроскопии.
Следует отметить, что в литературе имеется только одно описание проведения КЛЭМ у больного альвеолярным протеинозом [7], нами же это исследование проведено в динамике на фоне лечения, что позволило объективизировать положительное действие бронхоальвеолярного лаважа на состояние дистальных отделов респираторного тракта у больного с АП.
About the authors
Anna G. Sotnikova
Federal Scientific and Clinical Center for Specialized Types of Medical Care and Medical Technologies FMBA of Russia
Author for correspondence.
Email: sotnikoffaa@rambler.ru
doctor of the pulmonology department
Russian Federation, MoscowAlexander V. Averyanov
Federal Scientific and Clinical Center for Specialized Types of Medical Care and Medical Technologies FMBA of Russia
Email: averyanovav@mail.ru
Deputy General Director for Research and Medical Technologies, Doctor of Medical Sciences
Russian Federation, MoscowTamara A. Turusina
Federal Scientific and Clinical Center for Specialized Types of Medical Care and Medical Technologies FMBA of Russia
Email: turusina@rambler.ru
Head of the Department of Pulmonology
Russian Federation, MoscowVictor N. Lesnyak
Federal Scientific and Clinical Center for Specialized Types of Medical Care and Medical Technologies FMBA of Russia
Email: info@eco-vector.com
head Department of Radiology, Candidate of Medical Sciences
Russian Federation, MoscowDmitry V. Sazonov
Federal Scientific and Clinical Center for Specialized Types of Medical Care and Medical Technologies FMBA of Russia
Email: info@eco-vector.com
Head of the Endoscopy Department, Candidate of Medical Sciences
Russian Federation, MoscowOlesya V. Danilevskaya
Federal Scientific and Clinical Center for Specialized Types of Medical Care and Medical Technologies FMBA of Russia
Email: danless@mail.ru
Doctor of the Endoscopy Department, Candidate of Medical Sciences
Russian Federation, MoscowAndrey L. Chernyaev
Federal Scientific and Clinical Center for Specialized Types of Medical Care and Medical Technologies FMBA of Russia
Email: info@eco-vector.com
head Department of Pathology, Research Institute of Pulmonology, FMBA of Russia, Doctor of Medical Sciences, Professor
Russian Federation, MoscowReferences
- Руководство «Респираторная медицина» под ред. академика РАМН А.Г. Чучалина. Т2, М.,2007 г.
- Borie R., Danel С., Debray М.Р. et al. Pulmonary alveolar proteinosis. Eur Respir Rev 2011; 20: 98-107
- А.Л. Черняев, M.B. Самсонова. Атлас «Патологическая анатомия лёгких». 2004 г.
- Г.Е. Труфанов, Г.М.Митусова. «Лучевая диагностика заболеваний и повреждений органов грудной полости». 2008 г.
- Michaud G., Reddy С., Ernst A. Whole-lung lavage for pulmonary alveolar proteinosis. Chest 2009; 136: 1678-1681
- Venkateshiah S.B., Yan T.D., Bonfield T.L., et al. An open-label trial of granulocyte macrophage colony stimulating factor therapy for moderate symptomatic pulmonary alveolar proteinosis. Chest 2006; 130: 227-237
- Salatin M., Roussel E., Hauss P.A. et al L. In vivo imaging of pulmonary alveolar proteinosis using confocal endomicroscopy Eur Respir J. 2010 Aug;36(2):451-3
Supplementary files











