Cushing's disease. The case hystory
- Authors: Sojustova E.L.1, Povarova О.J.1, Kazantseva E.E.1
-
Affiliations:
- FSBI "Federal Scientific and Clinical Center for Specialized Types of Medical Aid and Medical Technologies" FMBA of Russia
- Issue: Vol 3, No 1 (2012)
- Pages: 53-58
- Section: Articles
- Submitted: 26.10.2021
- Accepted: 26.10.2021
- Published: 15.01.2011
- URL: https://clinpractice.ru/clinpractice/article/view/83850
- DOI: https://doi.org/10.17816/clinpract83850
- ID: 83850
Cite item
Full Text
Abstract
Cushing's disease - one of rare neuroendocrine disorders which is based on adrenocorticotropin - hormone secreting pituitary adenoma. The article presents information about clinical manifestations, modern methods of topical diagnosis and treatment. The description of own clinical experience is given.
Keywords
Full Text
Болезнь Иценко-Кушинга представляет собой тяжелое нейроэндокринное заболевание, обусловленное наличием опухоли гипофиза (кортикотропиномы) или гиперплазией аденоматозных клеток, секретирующих повышенное количество адренокортикотропного гормона (АКТГ), сочетающееся с повышеннным порогом чувствительности гипоталамо-гипофизарной системы к ингибирующему влиянию глюкокортикоидов, что приводит к нарушению суточной динамики секреции АКТГ, увеличению продукции кортизола корой надпочечников с развитием клинической картины гиперкортицизма и вторичной гиперплазией коры надпочечников [1].
Название болезнь получила по фамилии ученых, впервые описавших клиническую картину. В 1924 г. советский невропатолог Иценко Н.М. из Воронежа сообщил о двух больных с поражением межуточно-гипофизарной области. Американский хирург Гарвей Кушинг в 1932 г. описал клинический синдром: под названием «гипофизарный базофилизм» [2].
Болезнь Иценко-Кушинга - относительно редкое заболевание, его частота составляет 1-2 случая в год на 1 млн населения. Болеют в основном женщины в возрасте 20-40 лет. БИК является тяжелым хроническим заболеванием, встречающимся преимущественно среди лиц трудоспособного возраста, смертность от которого, при отсутствии своевременного и адекватного лечения, может превышать смертность в общей популяции. При БИК прогноз благоприятен при условии ранней диагностики и своевременно начатом лечении.
В настоящее время принята гипофизарная теория, согласно которой морфологическим и патогенетическим субстратом БИК является аденома гипофиза, в 90% случаев - микроаденома, значительно реже - макроаденома. Аденома представляет моноклональную опухоль, причиной образования которой является локальная мутация, приводящая к гиперплазии кортикотрофов. Наблюдается повышенный порог чувствительности гипоталамо-гипофизарной системы к ингибирующему влиянию кортизола, что приводит к нарушению суточной динамики секреции АКТЕ с развитием двусторонней гиперплазии коры надпочечников. Таким образом, несмотря на значительную гиперпродукцию кортизола, последний не подавляет продукцию АКТГ, как это происходит в норме. Имеет место нарушение механизма отрицательной обратной связи секреции кортизола.
От болезни следует отличать синдром Иценко-Кушинга (СИК), когда гиперкортицизм обусловлен развитием кортизолпродуцирующей опухоли надпочечников (кортикостерома, злокачественная кортикостерома) или гиперплазией коры надпочечников, а также АКТГ-эктопированный синдром или синдром внегипофизарной продукции АКТГ или кортикотропин-рилизинг-гормона (КРГ) опухолями различной локализации (легких, средостения, реже поджелудочной железы) [3].
Патогенез
В патогенезе патологических изменений лежит в первую очередь гиперпродукция: кортизола. Последний в нефизиологических концентрациях оказывает катаболическое действие на белковые структуры большинства тканей (кости, мышцы, в том числе и миокард, кожа, внутренние органы), в которых постепенно развиваются выраженные дистрофические и атрофические изменения. Нарушения углеводного обмена заключаются в стойкой стимуляции глюконеогенеза и гликолиза в мышцах и печени, что приводит к гипергликемии (стероидный диабет). На жировой обмен избыток кортизола оказывает комплексное действие: на одних участках тела происходит избыточное отложение, а на других - атрофия жировой клетчатки, что объясняется разной чувствительностью отдельных жировых компартментов. Важным компонентом патогенеза являются электролитные изменения (гипокалиемия, гипернатриемия), которые обусловлены влиянием избытка кортизола на почки. Следствием этих электролитных сдвигов является артериальная гипертензия и усугубление миопатии, в первую очередь кардиомиопатии, которая приводит к развитию сердечной недостаточности и аритмиям. Иммуносупрессивное действие глюкокортикоидов обуславливает склонность к инфекциям [3].
Патологическая анатомия
При БИК повреждения нередко локализуются в паравентрикулярных и супраоптических ядрах гипоталамуса и приводят к диффузной или фокальной гиперплазии кортикотрофов и их гиперфункции. Это более чем в 50 % случаев ведет к формированию микроаденом из АКТГ-продуцирующих клеток с полуавтономным характером функционирования. Основная масса аденом - смешанно-клеточные из базофилов и хромофобов, реже - хромофобноклеточные. Опухолевые хромофобы являются вариантом базофилов промежуточной доли гипофиза, специализирующейся на образовании АКТГ [2].
В клинической картине наблюдаются характерные симптомы:
- атрофия мышц передней брюшной стенки,
- гиперпигментация кожи,
- остеопороз, гипокалиемия,
- электролитно-стероидная миокардиодистрофия,
- артериальная гипертония,
- стероидный сахарный диабет,
- кушингоидный тип ожирения.
Ожирение наблюдается у 90% больных. Жир откладывается диспластично (кушингоидный тип ожирения): на животе, груди, шее, лице (лунообразное лицо багрово-красного цвета, иногда с цианотичным оттенком - «матронизм») и спины («климактерический горбик»). На тыльной стороне кисти жировая клетчатка и кожа заметно истончаются.
Атрофия мышц особенно выражена и заметна на плечевом поясе и ногах. Типична атрофия ягодичных и бедренных мышц («скошенные ягодицы»). Атрофия мышц передней брюшной стенки («лягушачий живот») приводит к появлению грыжевых выпячиваний по белой линии живота.
Кожа истончена, имеет мраморный вид с подчеркнутым сосудистым рисунком, сухая, с участками региональной потливости, шелушится. Сочетание прогрессирующего ожирения и распада коллагена кожи объясняет появление полос растяжения - стрий. Стрии имеют багрово-красный или фиолетовый цвет, располагаются на коже живота, молочных желез, плеч, внутренней поверхности бедер; ширина их может достигать нескольких сантиметров. На коже определяются высыпания типа акне, многочисленные мелкие подкожные кровоизлияния.
Остеопороз является тяжелейшим осложнением, которое развивается у 90% пациентов. Наиболее выражены изменения в грудном и поясничном отделах позвоночника, сопровождающиеся снижением высоты тел позвонков и компрессионными переломами.
Кардиомиопатия имеет смешанный генез. Ее развитию способствуют катаболические эффекты стероидов на миокард, электролитные сдвиги и артериальная гипертензия. Клинически она проявляется нарушением ритма сердца и сердечной недостаточностью, которая часто бывает непосредственной причиной смерти пациента.
Симптоматика со стороны нервной системы варьирует от заторможенности и депрессии до эйфории.
Стероидный сахарный диабет встречается у 20% пациентов; для него характерно легкое течение и компенсация на фоне диетотерапии и назначения таблетированных сахароснижающих препаратов.
В половой системе избыток секреции надпочечниковых андрогенов обусловливают у женщин развитие гирсутизма, аменореи [3, 4].
Диагностические исследования при БИК
- Определение базального уровня кортизола и АКТЕ
- Определение суточной экскреции свободного кортизола с мочой.
- Проведение малой дексаметазоновой пробы с 1 мг дексаметазона для определения эндогенной гиперпродукции кортизола. В норме и при состояниях, не сопровождающихся эндогенным гиперкортицизмом, уровень кортизола снижается более чем в 2 раза.
- Если при малой дексаметазоновой пробе не произошло должного подавления уровня кортизола, проводится большая дексаметазоновая проба с 8 мг дексаметазона. При БИК происходит снижение уровня кортизола более чем на 50% от исходного, при кортикостероме и эктапированном АКТГ-синдроме снижения уровня кортизола не происходит.
- Топическая диагностика - проведение магнитно-резонансной томографии для выявления аденомы гипофиза, компьютерная томография надпочечников для диагностики гиперплазии надпочечников
- Диагностика осложнений БИК - денситометрия позвоночника, гликемический профиль, уровень электролитов.
Своевременное распознавание и дифференциальная диагностика БИК затруднены из-за схожести симптоматики, характерной для других заболеваний, в результате пациенты получают специализированную помощь примерно через 3-5 лет от начала явных проявлений заболевания.
Ожирение подросткового периода, часто в сочетании с бурным линейным ростом, нередко сопровождается такими симптомами как транзиторная артериальная гипертензия, розовые стрии. Однако отсутствие миопатии и других органных и костных изменений дает основание отвергнуть БИК. У врослых БИК Необходимо дифференцировать с симптомокомплексом, характеризующимся ожирением и Стриями. В результате значительного увеличения массы тела у больных нарушается углеводный обмен, развивается артериальная гипертензия. В постановке диагноза решающее значение придается определению функции коры надпочечников. При ожирении у больных повышается суточная скорость секреции кортизола корой надпочечников в 1,5-2 раза, но отмечается нормальная реакция на малую пробу с дексаметазоном, что в совокупности с другими признаками исключает БИК. Гиперкортицизм при ожирении называют реактивным, так как при снижении массы тела функция надпочечников нормализуется. Алкогольный «псевдокушинг» развивается у пациентов, хронически злоупотребляющих алкоголем. Развивается ожирение по верхнему типу с отложением жира в области живота и щек, кожа лица приобретает красноватый оттенок, характерна миопатия, особенно мышц ног. Алкоголизму часто сопутствует сердечно-сосудистая патология, артериальная гипертензия.
Появление нового поколения магнитно-резонансных компьютерных томографов, позволяет выявлять опухоли гипофиза на ранних этапах развития заболевания, а возможность облучения опухоли пучками тяжелых заряженных частиц (протонотерапия) и развитие микрохирургической техники существенно расширили перспективы лечения БИК. В 1984 году за внедрение в медицину методики облучения гипофиза узким пучком протонов группа физиков и заслуженный врач РФ, профессор Е.И. Марова были удостоены государственной премии [1]. Автор этой статьи был свидетелем данного события.
В ряде случаев при тяжелом течении БИК, когда пациенту показано проведение протонотерапии, производится односторонняя адреналэктомия, которая позволяет несколько уменьшить выраженность гиперкортицизма.
На сегодняшний день транссфеноидальный метод нейрохирургической аденомэктомии считается патогенетическим, самостоятельным, с минимальным уровнем осложнений и смертности. При этом у 82-90% пациентов развивается быстрая ремиссия заболевания через 6 месяцев после операции. Прогностически благоприятным после аденомэктомии является развитие транзиторного гипокортицизма, который может сохраняться от нескольких месяцев до года.
Клинический случай
Больная С., 53 лет поступила в эндокринологическое отделение Клинической больницы № 83 ФМБА России (реорганизована в ФНКЦ ФМБА России) 13.09.2010 г, с жалобами на слабость, головную боль в затылочной области при перемене погоды, повышение артериального давления до 150/80 мм рт.ст., боль в области сердца, купирующуюся приемом валидола, многочисленные мелкие подкожные кровоизлияния на коже рук, шеи, живота, ног, избыточный вес, «лунообразный» овал лица, потемнение кожи в области лица, шеи, периодическую сухость во рту, боль в поясничном отделе позвоночника при физической нагрузке.
Из анамнеза: за последние 3 года, после прекращения менструации, заметно изменилась внешность больной: покраснело и округлилось лицо, похудели конечности, увеличился в объеме живот, возникла сухость кожи, на которой при малейшем надавливании появлялись синяки, поредели волосы на голове. Наблюдалась терапевтом в течение 3-х лет по поводу артериальной гипертонии. Указанные изменения внешности не беспокоили больную, так как она связывала их с возрастной перестройкой организма. Со слов больной, в ноябре 2009 г. в связи с респираторным заболеванием она обратилась к терапевту поликлиники; в анализе крови был выявлен повышенный уровень глюкозы; была госпитализирована в терапевтическое отделение по месту жительства в г. Одинцово, где впервые диагностирован сахарный диабет 2-го типа. При повторной госпитализации в августе 2010 г. была консультирована эндокринологом, который по совокупности характерных клинических симптомов рекомендовал провести обследование на предмет заболевания надпочечников в условиях эндокринологического отделения КБ № 83.
При поступлении: состояние больной удовлетворительное. В психическом статусе отмечаются элементы эйфории. Больная выглядит значительно старше своих лет, отмечается перераспределение подкожной жировой клетчатки, ее избыточное отложение в области лица, спины, в надключичных областях, на груди и животе. Лицо лунообразное, багрово-красного цвета - «матронизм» (рис. 1). Кожа сухая, «мраморная», истончена, множество геморрагий, гиперпигментация в области шеи и груди. Атрофия мышц рук, ног, ягодичных и бедренных мышц - «скошенные ягодицы», мышц передней брюшной стенки - «лягушачий живот».
Рис. 1. Внешний вид больной до лечения
Периферических отеков нет. В легких - везикулярное дыхание. Границы сердца расширены влево, тоны ритмичные. ЧСС — 80 в мин. АД 130/80 мм рт. ст. Печень не пальпируется.
В анализе крови: Hb — 13,2 г %, лейкоциты - 11,0х109/л, лимфоциты - 11,0%, моноциты - 5,0%, эозинофилы - 0,3%, СОЭ - 22 мм/час.
Холестерин - 7,8 ммоль/л, билирубин — 14,2 мкмоль/л, АЛТ - 53 Ед/л, ACT - 31 Ед/л, кальций ионизированный - 0,95 ммоль/л, калий - 2,71 ммоль/л/
Гликемический профиль: 8,7 - 7,4 - 8,3 - 5,4 ммоль/л.
Гормональный спектр: АКТГ крови - 388,00 пг/мл (норма: 7,90 - 66,10), кортизол крови - 1597,0 нмоль/л (норма: 150-660), суточная экскреция кортизола с мочой - 1020,0 мг/с (норма 32 - 243).
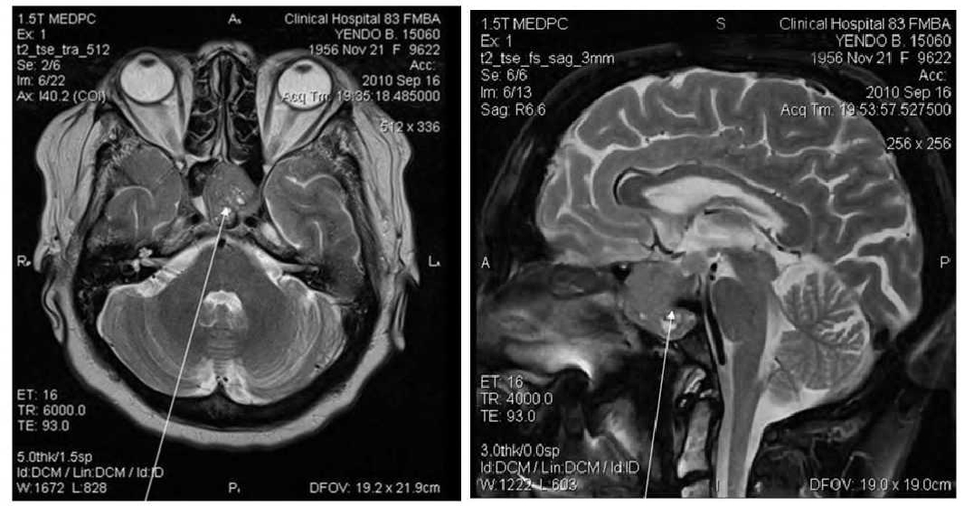
На МРТ головного мозга в 3-х проекциях в полости расширенного турецкого седла выявляется зона изоинтенсивности. Нижним краем опухоль проецируется в основную пазуху,распространяется параселлярно, обрастая сонные артерии, больше справа и прорастает вверх и влево, отдавливая 3 желудочек вправо. Желудочки головного мозга симметричны, увеличены в объеме. Субарахноидальные ликворные пространства неравномерно расширены. Базальные цистерны симметричны, умеренно расширены. Заключение: МРТ картина эндоинфрапара-супраселлярная опухоль гипофиза (рис. 2)
Рис. 2. MPT картина эндо-инфра-пара-супраселлярная опухоль гипофиза
Компьютерная томография надпочечников (КТ): надпочечники обычно расположены. Левый надпочечник "V'-образной формы. Контуры надпочечника четкие, структура однородная, плотность паренхимы около 25 ед.Н. Отмечается утолщение его латеральной ножки до 8 мм. Заключение: Сегментарная гиперплазия левого надпочечника.
Рентгенография поясничного отдела позвоночника: Распространенный остеохондроз поясничного отдела позвоночника. Поясничный спондилез. Ретролистез L5 1-й степени. Поясничный правосторонний сколиоз 1-й степени.
На электрокардиограмме: синусовый ритм (ЧСС 68 в мин.). Электрическая ось сердца отклонена резко влево. Желудочковая экстрасистолия. Блокада верхней левой ножки пучка Гиса. Гипертрофия миокарда левого желудочка. Диффузные выраженные изменения в миокарде, более выраженные в цередне-боковой стенке левого желудочка
Эхокардиография: атеросклероз аорты. Кальциноз аортального клапана 1-й степени. Незначительная аортальная регургитация. Умеренная дилятация левого предсердия. Умеренная митральная регургитация. Диастолическая функция левого желудочка снижена по 1-му типу. Сократительная функция миокарда не снижена. Гипертрофия миокарда левого желудочка. Фракция выброса - 55%.
Остеоденситометрия поясничного отдела позвоночника и тазобедренных суставов: минеральная плотность поясничных позвонков и проксимальных отделов бедренных костей не снижена.
Электромиография стимуляционная: нарушение проведения по моторным и сенсорным волокнам нервов нижних конечностей по аксональному типу.
Консультация нейрохирурга. Опухоль хиазмально-селлярной области. Болезнь Иценко-Кушинга.
Консультация офтальмолога. OU-ангиопатия сетчатки, частичный птоз верхнего века. Поля зрения в норме.
Обсуждение
Предъявляемые жалобы больной в сочетании с характерными изменениями внешности, анамнез заболевания, данные клинической картины, лабораторных исследований (гипокалиемия, гипергликемия) и гормональных (повышение АКТГ, кортизола крови, суточной экскреции кортизола); МРТ гипофиза (аденома), КТ надпочечников (гиперплазия левого надпочечника), позволили поставить клинический диагноз:
Основной: Болезнь Иценко-Кушинга. Кортикотропинома с эндо-инфра-пара-супраселлярным ростом.
Осложнения: Стероидный сахарный диабет. Ожирение 1-й степени. Кардиомиопатия. Артериальная гипертензия.
16.02.2011 г. в ГУ НИИ нейрохирургии им. академика Н.Н. Бурденко РАМН проведена операция «эндоскопическое эндоназальное транссфеноидальное удаление эндоинфрасупралатероселлярной аденомы гипофиза».
Верифицированный диагноз: кортикотропинома.
Течение послеоперационного периода благоприятное.
В послеоперационном периоде назначена гормональная заместительная терапия кортизоном с последующей постепенной отменой препарата и контрольным исследованием гормонального спектра через 3 месяца с положительной клинической картиной. При повторной консультации через 3 месяца состояние больной значительно улучшилось. Больная похудела на 5 кг, явления «матронизма», мелкие геморрагии купировались, нормализовались показатели артериального давления, гликемии, АКТГ, кортизола крови, суточной экскреции кортизола с мочой. По данным МРТ головного мозга от 19.04.2011 г. - остаток опухоли в области правого кавернозного синуса, рецидивного роста аденомы гипофиза не диагносцировано.
Данное клиническое наблюдение интересно тем, что долгое время (примерно в течение 4 лет) больной не удавалось поставить правильный диагноз, она наблюдалась у терапевта по поводу артериальной гипертонии в течение 3-х лет, позже у эндокринолога - по поводу сахарного диабета, что могло привести к печальному прогнозу заболевания.
Выводы:
- Болезнь Иценко-Кушинга - относительно редкое заболевание, его необходимо исключать у пациентов с центральным ожирением, в постклимактерическом периоде, со склонностью к спонтанным кровоизлияниям, лунообразным типом лица, гирсутизмом, стриями, артериальной гипертонией, нарушением толерантности к глюкозе.
- При обследовании пациента с подозрением на болезнь Иценко-Кушинга возникают определенные трудности: этот синдром или болезнь не только сложно диагностировать, но и сложно исключить.
- Необходимо исследовать наличие избытка АКТГ, кортизола в крови, моче и подтвердить, что продукция последнего не подавляется малой дексаметазоновой пробой, так как при болезни Иценко-Кушинга выработка АКТГ будет подавляться только под действием высокой дозы дексаметазона.
- Малая дексаметазоновая проба или определение суточной экскреции кортизола с мочой входят в алгоритм обследования пациентов с инциденталомой надпочечника.
Транссфеноидальное хирургическое вмешательство - метод выбора при лечении болезни Иценко-Кушинга, приводит к ремиссии в 70-90% случаев.
About the authors
Elena L. Sojustova
FSBI "Federal Scientific and Clinical Center for Specialized Types of Medical Aid and Medical Technologies" FMBA of Russia
Author for correspondence.
Email: info@eco-vector.com
Head of the Endocrinology Department, Candidate of Medical Sciences
Russian Federation, MoscowОlga J. Povarova
FSBI "Federal Scientific and Clinical Center for Specialized Types of Medical Aid and Medical Technologies" FMBA of Russia
Email: info@eco-vector.com
endocrinologist of the endocrinology department of the Federal Research Center for Clinical Center of the Federal Medical and Biological Agency of Russia
Russian Federation, MoscowElizaveta E. Kazantseva
FSBI "Federal Scientific and Clinical Center for Specialized Types of Medical Aid and Medical Technologies" FMBA of Russia
Email: kazliza@gmail.com
endocrinologist, endocrinology department, candidate of medical sciences
Russian Federation, MoscowReferences
- Аметов А.С. Избранные лекции по эндокринологии.М.: МИА, 2009.
- Старкова Н.Т. Руководство по клинической эндокринологии. Спб: Питер Пресс, 1996.
- Дедов И.И., Мельниченко Г.А., Фадеев В.В.
- Эндокринология. Учебник для вузов. М.: ГЭОТАР - Медиа, 2007.
- Кеннеди Ли, Басу Ансу Диагностика и лечение в эндокринологии. Проблемный подход. Перевод с английского под редакцией проф. В.В. Фадеевым.: ГЭОТАР- Медиа, 2010.




