Clinical course, diagnosis and treatment of gastrointestinal stromal tumors
- Authors: Ivanov Y.V.1
-
Affiliations:
- FSBI "Federal Scientific and Clinical Center for Specialized Types of Medical Aid and Medical Technologies" FMBA of Russia
- Issue: Vol 3, No 1 (2012)
- Pages: 59-64
- Section: Articles
- Submitted: 26.10.2021
- Accepted: 26.10.2021
- Published: 15.01.2011
- URL: https://clinpractice.ru/clinpractice/article/view/83851
- DOI: https://doi.org/10.17816/clinpract83851
- ID: 83851
Cite item
Full Text
Abstract
The article summarizes up-to-date data of the pathogenesis, diagnosis, and treatment conceptions of the stromal tumors of gastrointestinal tract (GIST). Prognostic factors for progression (recurrence or metastasis) for GIST are reported. Special attention is given to immuno-histochemical method of diagnostics and target therapy for these kinds of tumors.
We present the case history of successful operation in a patient with giant intestinal stromal tumor of the stomach, sprouting into neighbouring organs and tissues.
Full Text
Гастроинтестинальными стромальными опухолями (Gastrointestinal Stromal Tumors - GIST) называют мягкотканные новообразования желудочно-кишечного тракта (ЖКТ). Данные опухоли происходят из клеток стенки ЖКТ, известных под названием интерстициальных клеток Кахаля (ICCal). Локализация клетки Кахаля - от нижней трети пищевода до прямой кишки. Частота встречаемости GIST составляет 10-20 случаев на 1 000 000 населения в год. Одинаково часто заболевают мужчины и женщины. Медиана возраста пациентов с GIST приходится на 55-65 лет, редко на лиц моложе 40 лет [1-3].
Наиболее часто GIST выявляются в желудке (60 - 70%), тонкой кишке (25 - 35%), реже - в толстой кишке (5%), пищеводе и аппендиксе (<2%). GIST также определяют в сальнике, брыжейке кишечника и забрюшинном пространстве.
Принципы диагностики GIST, лечения и оценки его эффективности активно обсуждаются на протяжении последних лет [1, 4, 5]. В 2005 г. были впервые опубликованы рекомендации международного консенсуса, принятого ведущими специалистами Европы, Японии, Австралии. Согласно этим рекомендациям, диагноз GIST должен быть установлен морфологически до начала лечения (хирургического или лекарственного).
Установление диагноза GIST при анализе биопсийного материала затрудняет тот факт, что опухоль может иметь различную гистологическую картину в пределах одного образца и меняться на фоне терапии [6].
Гистологически выделяют следующие типы GIST ЖКТ [3, 6]: веретеноклеточный тип (70%) - с палисадообразными структурами, мономорфными ядрами округлой: или сигарообразной формы; эпителиоидный тип (20%) - при наличии клеток округлой или полигональной формы со светлой цитоплазмой и светлыми ядрами; илеоморфный тип (10%) - с выраженным полиморфизмом, высокой митотической активностью. Реже встречаются: перстневидно-клеточный, мезотелиомоподобный и онкоцитарный типы.
Дифференциальный диагноз GIST необходимо проводить с истинной лейомиосаркомой, лейомиомой, шваномой, злокачественной меланомой и фиброматозом [2, 3, 7]. Иммуногистохимическое исследование позволяет подтвердить диагноз GIST путем исключения других опухолей ЖКТ. Примерно 95% GIST имеют положительную реакцию с антителами к экстрацеллюлярному эпитопу KIT - CD ("Cluster of Differentiation") 117 [3].
Небольшие образования чаще всего не дают клинических симптомов и обычно являются случайными находками при проведении эндоскопических исследований или лапаротомии.
Нередко GIST диагностируется в ходе экстренных операций, связанных с перфорацией органа или кровотечением. Бессимптомное течение GIST отмечается в 20% случаев. В 20- 50% наблюдаются боли в животе без четкой локализации. Развитие острых кровотечений из различных отделов ЖКТ диагностируют в 50%, а непроходимость - в 10-30% случаев. Среди других симптомов наиболее часто встречаются: увеличение живота в объеме, анемия, слабость, потеря массы тела, тошнота, рвота, пальпируемые опухолевые массы. Но перечисленные признаки не являются строго патогномоничными и могут быть присущи опухолям ЖКТ любого гистогенеза [5, 6].
Рациональный диагностический алгоритм при подозрении на GIST включает: ультразвуковое исследование (УЗИ), в том числе эндосонографию; компьютерную томографию (КТ) с контрастированием для определения стадии опухолевого процесса и планирования объема хирургического лечения; магнитно-резонансную томографию (МРТ) при подозрении на GIST, особенно локализованных в прямой кишке; эндоскопическую диагностику (ФГДС, ФКС); рентгенологическое исследование ЖКТ; позитронно-эмиссионную томографию (ПЭТ) для оценки эффекта терапии, для выявления метастазов в кости, плевру, легкие, мягкие ткани, лимфатические узлы и при подозрении на рецидив [1].
Ведущим методом лечения GIST, позволяющим надеяться на полное выздоровление, является хирургический. Стандарт операции - радикальное удаление опухолевых очагов единым блоком с морфологически негативными краями резекции (R0). По мнению большинства авторов [1, 5], попытка радикального хирургического лечения или циторедуктивной операции показана даже при местно-распространенном процессе, с вовлечением соседних органов и тканей.
В качестве примера, демонстрирующего возможность успешного хирургического лечения гигантских гастроинтестинальных стромальных опухолей с инвазией в соседние органы, можно привести следующее собственное клиническое наблюдение.
Больная Е., 64 лет, поступила в отделение хирургии 30.04.2011 г. с жалобами на постоянное чувство тяжести в животе, периодические боли в левом подреберье, тошноту, общую слабость, похудание на 18 кг за последние 3 месяца.
В октябре 2010 г. находилась на лечении в хирургическом стационаре по месту жительства с диагнозом: острый панкреатит, отечная форма. Согласно выписке, 19.10.2010 г. в связи с подозрением на абсцесс брюшной полости по данным ультразвукового исследования (УЗИ) и спиральной компьютерной томографии (СКТ) пациентке была выполнена люмботомия слева, ревизия левого поддиафрагмального пространства, но патологии не выявлено. Была выписана на амбулаторное лечение в удовлетворительном состоянии. В январе 2011 г. находилась на обследовании в онкодиспансере по месту жительства, где впервые установлен диагноз: гастроинтестинальная стромальная опухоль желудка (подтвержден морфологически). С учетом распространенности опухолевого процесса от оперативного вмешательства было решено отказаться, больная выписана под наблюдение онколога, рекомендована консультация химиотерапевта с целью проведения таргетной терапии препаратом иматиниб (Гливек). В феврале 2011 г. пациентка поступила в экстренном порядке в хирургический стационар по месту жительства с сильными болями в животе, лихорадкой до 39°С. Проведен короткий курс спазмолитической, антибактериальной терапии, болевой синдром купирован. При обследовании (рентгенография грудной клетки, УЗИ, КТ, ЭГДС, ирригоскопия) выявлено объемное образование в верхнем этаже брюшной полости, деформирующее желудок, левый купол диафрагмы, смещающее селезенку, левую почку и попечноободочную кишку, расцененное как сформированная ложная киста поджелудочной железы с внутренним желудочным свищем. С диагнозом: гастроинтестинальная стромальная опухоль желудка, постнекротическая ложная киста поджелудочной железы с внутренним желудочным свищем?, пациентка переведена в отделение хирургии ФНКЦ ФМБА России для уточнения диагноза и определения дальнейшей тактики: лечения.
В анамнезе: варикозная болезнь нижних конечностей, хроническая венозная недостаточность II ст., желчно-каменная болезнь, хронический калькулезный холецистит. Аллергоанамнез не отягащен.
Объективный статус при поступлении. Состояние удовлетворительное. Рост 168 см, вес - 53 кг. Кожные покровы бледные. Лимфатические узлы, доступные пальпации, не увеличены. Дыхание везикулярное, ослаблено в нижних отделах слева, хрипов нет. ЧД - 18/мин. Гемодинамика стабильная, ЧСС - 76/мин, АД - 130/80 мм рт.ст. Язык влажный. Живот увеличен в объеме, ассиметричен за счет объемного образования, расположенного в эпигастрии и левом подреберье, мягкий, без перитонеальных явлений. Объемное образование плотной консистенции, безболезненное и не смещаемое при пальпации. Перистальтика выслушивается, признаков асцита нет. Физиологические отправления не нарушены.
В отделении больная дообследована. В общем анализе крови от 30.04.2011 г.: лейкоциты - 13,7х109/л, эритроциты - 2,82х1012/л, гемоглобин - 74 г/л, гематокрит - 22,7%, тромбоциты - 437x109/л, СОЭ - 51 мм/час. Биохимический анализ крови, общий анализ мочи, коагулограмма - без патологии. Анализ на онкомаркеры СА-19-9, СА 242, СА-125 отрицательный. УЗИ внутренних органов от 03.05.2011 г. Заключение: ЖКБ, хронический холецистит, объемное образование брюшной полости размерами 20,0x18,4x17,0 см, неоднородное по структуре, с кровотоком при ЦДК, с забрюшинным распространением (опухоль из стенки желудка? лимфома?). При пункционной биопсии новообразования под УЗИ-котролем в исследуемом материале обнаружены фрагменты гастроинтестинальной стромальной опухоли.
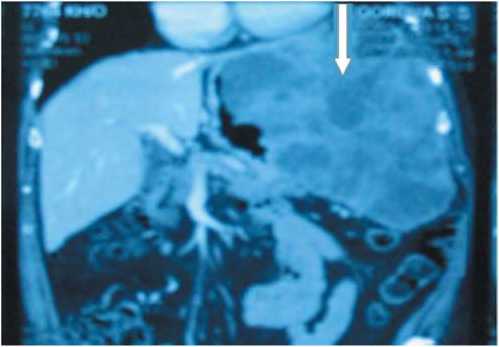
КТ органов грудной клетки, брюшной полости и забрюшинного пространства с контрастным усилением от 03.05.2011 г. Заключение: ЖКБ, хронический холецистит, объемное образование (GIST желудка?, карциноид?) левой поддиафрагмальной области, вероятно исходящее из стенки желудка с интимным прилежанием к левой доле печени, селезенке, без убедительных данных за прорастание в ниx. Данных за вторичное поражение печени, селезенки, а также лимфоузлов при настоящем исследовании не получено (рис. 1, 2).
Рис. 1. КТ-брюшной полости с контрастированием. GIST занимает все певое поддиафрагмальное и подреберное пространство (отмечено стрелкой), деформируя и смещая соседние органы и ткани.
Видеоэзофагогастродуоденоскопия, биопсия от 04.05.2011 г. Заключение: инфильтративноязвенная форма рака тела желудка с выраженной деформацией просвета органа за счет подслизистого компонента и экстрагастрального образования. Результат биопсии от 04.05.2011 г: морфология наиболее соответствует гастроинтестинальной стромальной опухоли веретеноклеточного типа тела желудка.
Рис. 2. КТ-органов грудной клетки. Высокое расположение и деформация левого купола диафрагмы (отмечено стрелкой).
Ангиографическое исследование по висцеральной программе от 16.05.2011г. Заключение: левосторонний нефроптоз, биартериальное кровоснабжение левой почки, дополнительная артериальная сеть из 11 межреберной артерии и левой нижней диафрагмальной артерии в проекции левого плеврального синуса с венозным сбросом в легочную вену. Чревный ствол проходим, отхождение висцеральных ветвей типичное.
В ходе проведенного дообследования выявлена гигантская опухоль (гастроинтестинальная стромальная опухоль) левой половины брюшной полости, вероятнее всего исходящая из желудка.
Несмотря на высокий риск оперативного вмешательства, учитывая гигантские размеры опухоли, компрессию соседних органов брюшной полости, болевой синдром, истощение, на консилиуме с участием онкологов от 21.05.2011 г. решено попытаться выполнить циторедуктивную операцию - удаление по возможности всего новообразования с последующим проведением курсов химиотерапии препаратом гливек в дозе 400 мг/сут.
С целью коррекции анемии перед операцией были перелиты 2 дозы эритроцитарной массы, уровень гемоглобина вырос до 112 г/л. К операции заготовлена донорская эритроцитарная масса и плазма крови, подготовлен аппарат для интраоперационной реинфузии крови (Cell Saver).
24.05.2011 г. на операции, при ревизии брюшной полости всю ее левую половину занимает гигантское опухолевидное образование 25x20x18 см, плотно-эластической консистенции, неправильной формы, исходящее из большой кривизны желудка, с выраженной деформацией последнего. Со стороны печени, тонкой и толстой кишки - без патологии. Канецероматоза брюшины нет. При дальнейшей ревизии установлено, что опухоль прорастает хвост поджелудочной железы, верхний полюс селезенки и часть левого купола диафрагмы (рис. 3).
Рис. 3. Операционное поле. Этап мобилизации верхнего полюса опухоли с селезенкой И хвостом поджелудочной железы.
Учитывая распространенность процесса и отсутствие отдаленных метастазов выполнена комбинированная операция - удаление всего желудка с опухолью, хвостом поджелудочной железы, селезенкой, частью левого купола диафрагмы единым блоком, лимфодиссекция в объеме D2, холецистэктомия (рис. 4).
Рис. 4. Операционное поле. Полностью мобилизованная единым блоком опухоль с частью левого купола диафрагмы, хвостом поджелудочной железы и селезенкой.
Операция закончена дренированием левой плевральной (1 дренаж) и брюшной (3 дренажа) полостей (рис. 5, 6).
Суммарная кровопотеря во время операции составила 2200 мл, интраоперационо возвращено 1500 мл. Продолжительность операции составила 3 часа 50 минут.
Рис. 5. Вид операционного поля после завершения реконструктивного этапа - наложения эзофаго-эюно анастомоза (отмечено стрелкой).
Рис. 6. Внешний вид удаленного макропрепарата.
Патологоанатомическое заключение от 29.05.2011 г.: гастроинтестинальная стромальная опухоль желудка: веретеноклеточный тип с участками некроза и распада ткани, миксоматозной стромой. В клетках - клеточный полиморфизм с атипией ядер, патологическими митозами. Степень злокачественности (Grade II). При иммуногистохимическом исследовании от 07.06.2011 г. — гастроинтестинальная опухоль желудка G2, количество митозов 6 на 50 полей зрения 10×40.
В послеоперационном периоде проводилась инфузионная, антибактериальная, анальгетическая терапия, перевязки. Течение послеоперационного периода без осложнений. Швы сняты на 12 сутки. В удовлетворительном состоянии выписана 6.06.2011 г. на амбулаторное лечение с рекомендациями хирурга и онколога. Начат курс химиотерапии препаратом гливек по рекомендованной схеме 400 мг/сут.
Обследована в январе 2012 г.: признаков рецидива заболевания нет, продолжает прием гливека.
Показатель числа рецидивов заболевания у пациентов с локальным заболеванием составляет 35%, в то время как у пациентов с местнораспространенным заболеванием этот показатель достигает 90% после резекции. Печень является наиболее частым местом метастазирования опухоли, в половине всех случаев возникают местные рецидивы заболевания, в 15% случаев - экстраабдоминальное прогрессирование. 5-летняя выживаемость после хирургической резекции у пациентов значительно варьирует. Например, в исследовании MDACC из 197 пациентов, наблюдаемых в 1957-1997 гг., только 99 были подвержены резекции, при этом показатель 5-летней выживаемости составил 48%; в других исследованиях показатели 5-летней выживаемости варьировали от 35 до 65% [4, 6].
В случае нерезектабельной опухоли медиана выживаемости пациентов коротка и составляет от 10 до 21 мес.
Прогноз течения заболевания после резекции определяют различные факторы, а именно: размер опухоли, митотический индекс, локализация.
В течение длительного времени методы лечения при метастатических и рецидивных GIST были чрезвычайно ограничены. Результаты лечения пациентов с GIST кардинально изменились с 2000 г., после внедрения в клиническую практику иматиниба (Гливека) - специфического ингибитора тирозинкиназной активности c-Kit-рецептора. Основным механизмом действия иматиниба является блокирование связывания АТФ с ферментами, что приводит к ингибированию активности киназ. Иматиниб принимается внутрь, пожизненно, обладает низкой токсичностью. Общая эффективность лечения при распространенных формах заболевания составляет порядка 50-60%, стабилизация процесса наблюдается у каждого 3-го больного [1].
Другой препарат, сунитиниб (Сутент) - низкомолекулярный ингибитор тирозинкиназы, способный поражать сразу несколько молекул, в частности рецепторы фактора роста эндотелия сосудов (VEGFR), рецепторы тромбоцитарного фактора роста (PDGFR), а также тирозинкиназы Kit и Flt3 [15, 19]. Больным с GIST сунитиниб назначают в случае неэффективности (2-я линия) или непереносимости терапии иматинибом. Обобщая доступные в настоящее время данные, можно сказать, что новое направление лекарственного лечения - многоцелевая (multitarget) терапия молекулярного действия - имеет большой потенциал к развитию [1, 3].
В связи с этим, на современном этапе развития хирургии, при постоянном совершенствовании хирургической техники и оборудования, а также анестезиолого-реанимационной службы, стало возможным выполнение обширных, комбинированных операций у больных с GIST, которые еще недавно считались инокурабельными.
Таким образом, диагностика, лечение и исход у пациентов с GIST претерпели значительные изменения за последние 10 лет благодаря открытию молекулярных механизмов, приводящих к развитию опухоли. Несомненно, наряду с совершенствованием хирургических методов лечения, разработка новых препаратов позволит улучшить прогноз жизни при GIST.
About the authors
Yulyi V. Ivanov
FSBI "Federal Scientific and Clinical Center for Specialized Types of Medical Aid and Medical Technologies" FMBA of Russia
Author for correspondence.
Email: ivanovkb83@yandex.ru
head Department of Surgery, Doctor of Medical Sciences, Professor
Russian Federation, MoscowReferences
- Blay J.Y., Bonvalot S., Casali P. et al. for the GIST Consensus Meeting Panelists. Consensus meeting for the management of gastrointestinal stromal tumors. Report of the GIST Consensus Conference of 20-21 March 2004, under the auspices of ESMO. Ann Oncol.
- Vol. 16. P.566-578.
- Demetri G.D., van Oosterom A.T., Garrett C.R. et al. Efficacy and safety of sunitinib in patients with advanced gastrointestinal stromal tumour after failure of imatinib: a randomised controlled trial. Lancet.
- Vol.368. P.1329-1338.
- Heinrich M.C., Maki R.G., Corless C.L. et al. Primary and Secondary Kinase Genotypes Correlate With the Biological and Clinical Activity of Sunitinib in Imatinib-Resistant Gastrointestinal Stromal Tumor. J Clin Oncol. 2008. Vol.26. P.5352-5359.
- Dewar A.L., Cambareri A.C., Zannettino A.C. et al. Macrophage colony-stimulating factor receptor c- fms is a novel target of imatinib. Blood. 2005. Vol. 105. P.3127-3132.
- Joensuu H. Gastrointestinal stromal tumor (GIST). Ann Oncol. 2006. Vol.17 (suppl. 10). P.280-286.
- Cohen M.H., Johnson J.R., Pazdur R. Full acknowledgement of application (STI571; Gleevec) Clin Cancer Res. 2005. Vol.ll. P.12-19.
- Orosz Z., Tornoczky T., Sapi Z. Gastrointestinal stromal tumors: aclinicopathologic and immunohistochemical study of 136 cases. Pathol Oncol Res. 2005. Vol.ll. Pl 1-21.
Supplementary files








