Mr imaging of the ankle and foot
- Authors: Zvezdkin E.A.1, Lesnyak V.N.1, Silin A.Y.1
-
Affiliations:
- FSBI "Federal Scientific and Clinical Center for Specialized Types of Medical Aid and Medical Technologies of FMBA of Russia"
- Issue: Vol 3, No 1 (2012)
- Pages: 74-80
- Section: Articles
- Submitted: 26.10.2021
- Accepted: 26.10.2021
- Published: 15.01.2011
- URL: https://clinpractice.ru/clinpractice/article/view/83857
- DOI: https://doi.org/10.17816/clinpract83857
- ID: 83857
Cite item
Full Text
Abstract
The article reviews the MR imaging appearance of tendon, ligament and osseous pathology of foot and ankle. The purpose of this article is to discuss the use of MR imaging in orthopedic practice, based on literature and the authors' experience.
Keywords
Full Text
Введение
Стопа и голеностопный сустав являются сложной анатомической зоной. До недавнего времени арсенал диагностических методов исследования этой области ограничивался рентгенографией и рентгеновской компьютерной томографией, которые обеспечивают хорошую визуализацию костных структур. Тем не менее, ряд патологических состояний не ограничен костной патологией, а связан с изменениями мягких тканей. На определенном этапе для выявления повреждений связок, сухожилий, суставного хряща в качестве ведущего метода предлагалось ультразвуковое исследование. Вместе с тем имеются определенные трудности интерпретации УЗИ-данных, а также планирования оперативного лечения на их основе. Внедрение в конце 90-х годов 20 века в ортопедическую практику магнитно-резонансной томографии (МРТ) оказало огромное влияние на углубленное понимание анатомии и биомеханики суставов, диагностику патологических изменений опорно-двигательного аппарата. Прежде всего это связано с тем, что контрастная чувствительность МРТ значительно превосходит смежные методы визуализации. Использование современных высокопольных томографов и специализированных многоканальных катушек дает возможность детально оценить мышцы, сухожилия, связочный аппарат, внутрикостные Структуры. Многоплоскостные исследования позволяют клиницистам применять диагностические данные для выбора тактики ведения пациента, в том числе планирования оперативного лечения.
В последние годы МРТ зарекомендовала себя в качестве метода выбора в оценке патологических состояний голеностопного сустава и стопы. Широкое применение метода сдерживается высокой стоимостью исследования, отсутствием единого стандарта показаний к назначению и техники проведения МРТ.
Цель данной публикации - представление диагностических возможностей метода, а также обсуждение показаний к применению МРТ при оценке голеностопного сустава и стопы в ортопедической практике.
Методика выполнения МРТ голеностопного сустава и стопы
Для исследования голеностопного сустава и стопы используются два типа радиочастотных катушек. Первый тип - это так называемые поверхностные катушки, которые могут быть разнообразны по размеру и внешнему виду, но основная их особенность состоит в том, что ответный MP-сигнал воспринимается только от близлежащих к зоне сканирования тканей. Использование поверхностных катушек позволяет получать томограммы высокого пространственного разрешения и оптимально для визуализации структур стопы, однако не дает достаточной диагностической информации при исследовании голеностопного сустава в силу малых размеров области сканирования.
Компромиссом в данной ситуации является использование радиочастотных катушек второго типа - твердотельных, позволяющих исследовать достаточно большие анатомические области при хорошем пространственном разрешении, хотя и существенно меньшем, чем у поверхностных катушек. Применение этих катушек дает возможность получать изображения крупных сухожилий и связок на всем их протяжении. Недостаток пространственного разрешения восполняется прицельным сканированием интересующих анатомических деталей малым полем обзора.
Стандартная методика МРТ голеностопного сустава включает сканирование в аксиальной, коронарной, сагиттальной проекциях, в то время как исследование стопы выполняется в косой аксиальной проекции (параллельно длинной оси плюсневых костей), косой коронарной проекции (перпендикулярно длинной оси плюсневых костей), сагиттальной проекции. Особенности укладки: пациент лежит на спине, стопа фиксируется в положении 20° сгибания. Подошвенное сгибание применяется для уменьшения артефактов от возможных мелких движений, для наилучшей визуализации жировых структур, расположенных между малоберцовыми сухожилиями, а также для улучшения отображения пяточно-малоберцовой связки.
Для исследования голеностопного сустава как правило применяют последовательности Т1 FSE (TR/TEmsec=630/16), PD FSE (3700/45), импульсные последовательности с подавлением сигнала от жира - FS PD FSE (3000/30), с полем обзора 160 мм и 220-240 мм (в зависимости от цели исследования), матрицей 256x192, толщиной среза 3-5 мм с интервалом 1мм. Исследование стопы проводится с использованием Т1 FSE (TR/TEmsec = 635/16), PD FSE (3700/40), FS PD FSE (3000/30) импульсных последовательностей с полем обзора 180мм, матрицей 256x192, толщиной среза 3 мм с интервалом 1 мм.
Повреждения связок
На MP-томограммах связки идентифицируются как тонкие, линейные, низкой интенсивности сигнала в Т1 FSE и PD FSE структуры, соединяющие смежные отделы костей (рис. 1А).
Рис. 1. А: Дельтовидная связка на Т1 FSE томограмме в коронарной проекции в норме: хорошо прослеживаются большеберцово-пяточный и задний большеберцовотаранный пучки (стрелки), имеющие продольную исчерченность структуры.
Обычно связки подчеркнуты окружающим жиром, имеющим высокую интенсивность MP-сигнала. При интерпозиции жира между волокнами связок выявляется своеобразная продольная исчерченность, что особенно характерно для передней межберцовой связки, большеберцово-таранного компонента дельтовидной связки, задней таранно-малоберцовой связки. Использование импульсных последовательностей с подавлением сигнала от жира позволяет точнее диагностировать разрывы и воспалительные изменения связок.
Повреждение связок по данным некоторых авторов в 16-21% случаев сопровождает спортивные травмы голеностопного сустава [1]. При острой травме чаще всего повреждается передняя таранно-малоберцовая связка, реже пучки дельтовидной связки.
Поскольку острые повреждения связок редко лечатся хирургически, магнитно-резонансная томография чаще всего назначается при наличии клинических признаков нестабильности сустава для решения вопроса о тактике ведения пациента и профпригодности.
МРТ-критерии диагностики острых разрывов включают изменение интенсивности сигнала внутри и вокруг связок, прерывистость волокон, исчезновение жировых включений в структуре связки, признаки отека окружающих мягких тканей, контузию сочленяющихся костей (рис. 1Б).
Хронический разрыв чаще проявляется утолщением или истончением связки, нечеткостью ее контуров.
Рис. 1 Б:
Разрыв дельтовидной связки на Т1 FSE томограмме в коронарной проекции, вторые сутки после травмы: полная дезорганизация волокон связки (треугольная стрелка), изменение сигнала от окружающей жировой ткани (нижняя стрелка), контузия медиальной лодыжки (белая стрелка).
При этом отсутствуют признаки отека костного мозга или окружающих мягких тканей. Снижение интенсивности сигнала от жира, граничащего со связками, в Т1 FSE и PD FSE импульсных последовательностях свидетельствует о рубцевании или синовиальной пролиферации. Вторичным признаком хронических повреждений связок может явиться скопление жидкости внутри сухожильных оболочек смежных мышц (теносиновит).
По данным P.W. Bearcroft и соавт. авторов [2] чувствительность МРТ в выявлении острых повреждений связок голеностопного сустава составляет 94-96%, для хронических разрывов - 82-90%.
Изменения сухожилий
Сухожилия отчетливо визуализируются на МРТ как структуры низкой интенсивности сигнала во всех импульсных последовательностях (Т1 FSE, PD FSE, FS PD FSE). Продольная исчерченность сухожилия часто вызвана интерпозицией жира между отдельными волокнами и не должна ошибочно приниматься за патологическое состояние.
Т1 FSE, PD FSE последовательности дают лучшую визуализацию анатомических деталей, в то время как FS PD FSE выявляет аномальное повышение сигнала за счет присутствия жидкостного компонента, что характеризует большинство патологических состояний.
Сагиттальная и коронарная проекции применяются для оценки анатомических особенностей сухожилий. Аксиальные томограммы оптимальны для детализации морфологических аномалий, диагностики разрывов, воспаления, наличия жидкости в оболочках сухожилий, патологических изменений окружающих мягких тканей.
Выделяют 6 видов повреждений сухожилий: тендиноз, перитендиноз, теносиновит, разрыв, ущемление и дислокация. Эти состояния часто сочетаются друг с другом и перекрываются по клиническим, макроскопическим и гистологическим признакам.
МРТ характеристики тендиноза включают локальные участки утолщения сухожилия с повышением интенсивности сигнала в Т1 TSE и PD TSE. Перитендиноз и теносиновит вызываются воспалением или механическим раздражением оболочки сухожилия и окружающих тканей. МРТ выявляет скопление жидкости, синовиальную пролиферацию, рубцевание внутри оболочки сухожилия или в окружающих мягких тканях (рис. 2, 3).
Рис. 2. Хронический тендиноз и перитендиноз ахиллова сухожилия.
На FS PD FSE томограмме в сагиттальной проекции определяется неравномерное утолщение сухожилия (треугольные стрелки), отек окружающей жировой ткани (обычная стрелка).
Рис. 3. Теносиновит короткого сгибателя большою пальца стопы.
На FS PD FSE томограмме в косой аксиальной проекции определяется выпот по ходу оболочки сухожилия короткого сгибателя большого пальца (обычная стрелка). Сухожилие характеризуется нормальным гипоинтенсивным сигналом (треугольная стрелка).
Частичный разрыв сухожилия проявляется на Т1 FSE или PD FSE последовательностях как участок, имеющий повышенную интенсивность сигнала. Полный разрыв визуализируется как дезорганизация сухожильных волокон.
Ущемление и дислокация сухожилий - редкое состояние, выявляемое, как правило, у молодых пациентов после недиагностированного повреждения лодыжки [3]. Механизм травмы обычно связан с сильным тыльным сгибанием, приводящим к разрыву фиброзных удерживателей, что позволяет сухожилию выскальзывать из костного канала (рис. 4).
Рис. 4. Дислокация сухожилия длинного сгибателя большого пальца стопы.
На PD FSE, томограмме в аксиальной проекции определяется пустая костная борозда сухожилия длинною сгибателя большого пальца (треугольная стрелка), сухожилие смещено кзади (обычная стрелка).
Эта категория изменений лучше всего выявляется на аксиальных MP-томограммах. Дополнительно встречаются костные эрозии от дислоцированного сухожилия, частичные разрывы сухожилия, переломы лодыжек или костей стопы, разрывы коллатеральных и межкостных связок.
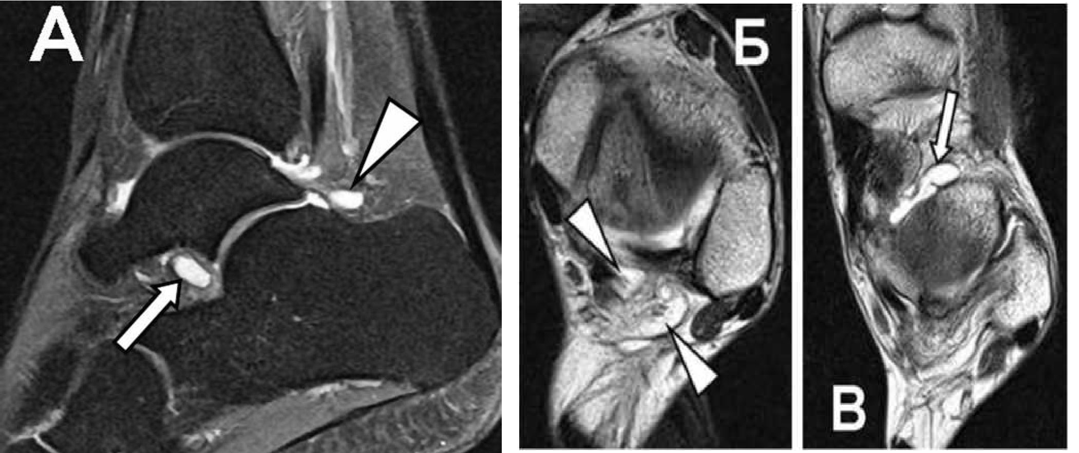
Импинджмент-синдром
Хроническая боль в голеностопном суставе и стопе может быть следствием так называемого импинджмент-синдрома, возникающего на фоне повторных микротравм, деформаций стопы вследствие чрезмерных нагрузок, посттравматических изменений, плоскостопия, артроза др. Под импинджмент-синдромом понимают своеобразное нарушение биомеханики сустава, в результате которого происходит сдавление мягких тканей между смежными костными структурами. Характерная для этого патологического состояния хроническая нестабильность сустава провоцирует гетеротопическое разрастание синовиальных тканей, фиброзирование костных каналов, деформацию суставных поверхностей за счeт остеофитов. В зависимости от локализации патологического процесса в голеностопном суставе выделяют передне-латеральный, передний и задний, синдесмоз-импичмент. В стопе к этой группе патологических изменений можно отнести синдром таранного синуса.
На МРТ обычно визуализируются жидкостной компонент и синовиальные разрастания в проекции дистальной части межберцового синдесмоза, внутри канала латеральной лодыжки, по передней и задней поверхностям голеностопного сустава, по ходу таранного синуса, которые имеют среднюю и высокую интенсивность сигнала в PD FSE импульсных последовательностях и отчетливо выявляются на томограммах с подавлением сигнала от жира (рис. 5).
Рис. 5. Сочетание заднего импинджмент-синдома и синдрома таранного синуса у профессионального спортсмена с жалобами на боль в голеностопном суставе без анамнеза острой травмы.
А: Сагиттальная FS PD FSE томограмма показывает синовиальные кистозные разрастания по задней поверхности голеностопного сустава (треугольная стрелка) и в проекции таранною синуса (обычная стрелка).
Б: синовиальные кисты в нижней части межберцового синдесмоза (треугольные стрелки) на PD FSE томограмме в аксиальной проекции.
В: синовиальные кисты в проекции таранного синуса (обычная стрелка) на PD FSE томограмме в аксиальной проекции. Тот же пациент.
Чувствительность МРТ в первичной диагностике импинджмент-синдрома при наличии выраженной клинической картины и в острый период воспаления составляет 92-94%, снижаясь до 56-60% при стихании симптомов [4]. С учетом этого, исследование целесообразно назначать в острый период заболевания, а также для контроля регрессии изменений на фоне лечения.
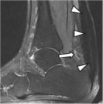
Контузия кости
В острую стадию контузия кости (костный ушиб) проявляется на МРТ в виде ретикулярных зон гипоинтенсивного сигнала в Т1 FSE и гиперинтенсивного сигнала в FS PD FSE, что связано с трабекулярными микропереломами, отеком и кровоизлияниями внутри костного мозга (рис. 6).
Костные контузии подвергаются обратному развитию в течение 8-12 недель. В большинстве случаев рентгенологические данные негативны.
Рис. 6. Контузия кости, 7-е сутки после Травмы.
A: FS PD FSE томограмма в коронарной проекции отображает зоны повышения сигнала костного мозга в области медиальной лодыжки и блока таранной кости (треугольные стрелки).
Б: на компьютерной томограмме в коронарной проекции нарушения целостности костной структуры не выявляется.
Выявление на МРТ костных контузий имеет большое клиническое значение, т.к. в случае продолжения стрессового воздействия на контуженную кость может произойти перелом [5].
Стрессовые переломы
Стрессовые переломы имеют излюбленную локализацию: диафиз второй плюсневой кости, пяточная кость, реже ладьевидная и таранная кость. Стрессовому перелому предшествует состояние, известное как стрессовый ответ. При нем внутри участка кости наблюдаются отек, активизация остеокластов, что проявляется на МРТ как аномальное повышение интенсивности сигнала костного мозга на томограммах в FS PD FSE импульсной последовательности, схожее с костной контузией.
В случае продолжения стрессового воздействия MP-картина демонстрирует неравномерную, гипоинтенсивную во всех импульсных последовательностях линию перелома внутри зоны отека. Формирование периостальной костной мозоли начинается вскоре после перелома и визуализируется на МРТ как гипоинтенсивная линия, параллельная кортикальному слою и представляющая собой приподнятую надкостницу (рис. 7).
МРТ обладает наибольшей чувствительностью (96-97%) и специфичностью (98%) в выявлении стрессовых переломов на ранней стадии [1].
Рис. 7. Маршевый Перелом.
А: Рентгенограмма левой стопы в прямой проекции. Участок неравномерного утолщения диафиза второй плюсневой кости(стрелка), линия перелома четко не прослеживается.
Б: FS PD FSE. томограмма в косой коронарной проекции показывает повышение сигнала от костного мозга в области диафиза второй плюсневой кости (нижняя стрелка), гипоинтенсивную линию перелома (обычная стрелка) и периостальную реакцию (треугольная стрелка).
Остеохондральные повреждения
В основе остеохондральных повреждений лежат единичные или множественные травмирующие моменты, что приводит к частичному или полному отделению остеохондрального фрагмента с возможным исходом в остеонекроз.
Остеохондральные повреждения голеностопного сустава часто выявляются в своде блока таранной кости, могут сочетаться с разрывом коллатеральных связок (рис. 8). Berndt и Harty классифицировали остеохондральные повреждения блока таранной кости на 4 стадии на основе целостности суставного хряща и состояния субхондрального фрагмента [6].
По существу МРТ является единственным методом, дающим исчерпывающую информацию о размере и локализации повреждения, состоянии покровного суставного хряща, конгруэнтности суставных поверхностей, жизнеспособности костного фрагмента, стабильности: или степени восстановления между остеохондральным фрагментом и местом-донором, локализации костного фрагмента при его смещении в полость сустава [7].
Оптимальная импульсная последовательность для выявления остеонхондральных повреждений до сих не определена. Некоторые авторы [1] отдают предпочтение FS PD FSE и Т1 FSE методикам в сочетании с тонкими срезами. Ряд авторов также рекомендует внутрисуставное введение препаратов гадолиния для улучшения визуализации остеохондральных повреждений [7].
Рис. 8. Т1 TSE Томограммы в коронарной проекции пациента с жалобами на боль в голеностопном суставе без анамнеза острой травмы.
А: В своде блока таранной кости определяется участок формирования костного фрагмента, покрытый суставным хрящом (обычная стрелка).
Б: Тот же пациент, через 1 месяц. Отмечается перелом суставного хряща в Медиальном отделе, нестабильность фрагмента с небольшим смещением (треугольная стрелка).
Остеонекроз
Посттравматический остеонекроз чаще всего развивается в таранной кости как результат перелома шейки таранной кости в сочетании с повреждением сосудистой ножки на уровне таранного синуса. Остеонекроз ладьевидной кости предплюсны встречается в детском возрасте (болезнь Келера) и проявляется склерозом, неоднородностью структуры и фрагментацией кости в зоне интереса. Форма остеонекроза ладьевидной кости также описана у взрослых (Mueller-Weiss синдром). Чаще страдают женщины, процесс нередко носит двусторонний характер, при этом патологические изменения начинаются в латеральной части ладьевидной кости.
Особый вариант остеонекроза - остеохондропатия головок плюсневых костей (синонимы: болезнь Келера II, болезнь Фрейберга). Заболевают лица женского пола, чаще в возрасте 12-18 лет. Патологический процесс локализуется в области головок плюсневых костей. Обычно поражается головка II плюсневой кости, в 10-15% случаев - головка III плюсневой кости и реже головка IV плюсневой кости. В 10% случаев в процесс вовлечены несколько плюсневых костей [8]. Предполагаемый этиологический фактор заболевания - нарушение кровоснабжения кости в результате острых или хронических травм, наличия поперечного и продольного плоскостопия.
Заболевание проходит несколько стадий и начинается с асептического некроза головки плюсневой кости. В дальнейшем происходит изменение конфигурации суставной поверхности головки и ее фрагментация. Процесс заканчивается формированием остаточной деформации и остеоартрозом в отдаленном периоде (рис. 9).
Зоны неоднородной интенсивности МР- сигнала костного мозга являются характерными признаками ранней стадии остенонекроза еще до наступления субхондрального перелома и деформации суставной поверхности. Рентгенологические данные на этом этапе негативны. В дальнейшем, при прогрессировании заболевания, данные МРТ важны для оценки наличия, размеров, жизнеспособности костного фрагмента, степени изменения суставных поверхностей.
Заключение
Адекватное и своевременное лечение патологических изменений голеностопного сустава и стопы определяет исход заболевания, в связи с чем их ранняя диагностика приобретает особое значение.
Рис. 9.
A: FS PD TSEтомограмма правой стопы в косой сагиттальной проекции 16-летней пациентки с жалобами на боль в основании пальцев при отсутствии острой травмы. При первичном исследовании выявляется неоднородность MP-сигнала от костного мозга головки 3 плюсневой кости (треугольная стрелка) и выпот в плюсне-фаланговом сочленении (обычная стрелка).
Б: FS PD TSE томограмма правой стопы в косой сагиттальной проекции через 1 месяц. Отмечается уплощение суставной поверхности головки 3 плюсневой кости (треугольная стрелка), без костной фрагментации, что расценивается как хороший прогностический признак. В: рентгенограмма в прямой проекции, выполненная через 1 месяц, впервые демонстрирует уплощение головки 3 плюсневой кости без костной фрагментации (обычная стрелка).
Магнитно-резонансная томография по сравнению со смежными методами дает лучшую визуализацию мягких тканей, а также позволяет определить костные изменения на ранней стадии, дополняя, а иногда превосходя рентгенологические данные.
Отсутствие стандарта показаний к назначению МРТ затрудняет широкое внедрение метода, однако в общих чертах можно выделить несколько направлений, при которых показано это дорогостоящее исследование:
1) первичное выявление патологического процесса мягких тканей;
2) ранняя диагностика костной патологии (в качестве дополнительного диагностического метода);
3) детализация патологического процесса при уже установленном диагнозе, определение стадии заболевания;
4) контроль эффективности лечения, динамическое наблюдение на основе данных предыдущих МРТ-исследований.
About the authors
Elena A. Zvezdkin
FSBI "Federal Scientific and Clinical Center for Specialized Types of Medical Aid and Medical Technologies of FMBA of Russia"
Author for correspondence.
Email: zvezdkina@yandex.ru
radiologist of the Federal State Budgetary Institution FNKTs FMBA of Russia, Assistant of the Department of Radiology and Ultrasound Diagnostics, Candidate of Medical Sciences
Russian Federation, MoscowViktor N. Lesnyak
FSBI "Federal Scientific and Clinical Center for Specialized Types of Medical Aid and Medical Technologies of FMBA of Russia"
Email: Iesnyak_kb83@mail.ru
Head of the X-ray Department, Head of the Department of X-ray and Ultrasound Diagnostics of the FMBA, Candidate of Medical Sciences
Russian Federation, MoscowAnton Y. Silin
FSBI "Federal Scientific and Clinical Center for Specialized Types of Medical Aid and Medical Technologies of FMBA of Russia"
Email: zvezdkina@yandex.ru
radiologist
Russian Federation, MoscowReferences
- Alison R.S., Thomas L.P. Practical MRI of the Foot and Ankle. N.Y. 2001.
- Bearcroft P.W., Guy S., Bradley M., Robinson F. MRI of the ankle: effect on diagnostic confidence and patient management. AJR 2006; 187(5): 1327-31.
- Michael P.R., Brian G.D. Magnetic Resonance Imaging of the Foot and Ankle. Am Acad Orthop Surg J. 2001; 9: 187-199.
- Anzilotti K., Schweitzer M.E., Hecht P. et al. Effect of foot and ankle MR imaging on clinical decision making. Radiology. 2006; 201: 515-517.
- Elias I., Zoga A.C., Raikin S.M. Bone stress injury of the ankle in professional ballet dancers seen on MRI. BMC Musculoskelet Disord. 2008; 3(28): 29-39.
- Berndt A.L., Harty M. Transchondral fractures (osteochondritis dissecans) of the talus. J Bone Joint Surg Am. 1959; 41: 988-1020.
- Naran K.N., Zoga A.C. Osteochondral lesions about the ankle. Radiol Clin North Am. J 2008; 46(6): 995-1002.
- Большая медицинская энциклопедия. 3-е изд./ Под ред. Б. В. Петровского. М.; 1979; Т.10: 244.
Supplementary files












