A clinical case of COVID-19 infection in a young patient with a соmorbid pathology
- Authors: Vorobeva O.V.1
-
Affiliations:
- Chuvash State University
- Issue: Vol 13, No 3 (2022)
- Pages: 114-120
- Section: Case reports
- Submitted: 22.12.2021
- Accepted: 23.06.2022
- Published: 26.10.2022
- URL: https://clinpractice.ru/clinpractice/article/view/90909
- DOI: https://doi.org/10.17816/clinpract90909
- ID: 90909
Cite item
Full Text
Abstract
Background: The COVID-19 pandemic has caused a rapid increase in the number of cases and high mortality worldwide. Here we report a clinical case of severe COVID-19 with the development of lethal complications in a young patient with an unfavorable comorbid background. Description of the case: Patient R., a 36-year-old male, was admitted to the infectious diseases department with the complaints of frequent unproductive cough, pyretic body temperature, headache. Computed tomography of the chest revealed bilateral polysegmental pneumonia with the damage of up to 65% of the lung tissue. PCR for SARS-CoV-2 mRNA was positive. The medical history mentioned arterial hypertension for five years, obesity (BMI 41.5). The disease lasted for about 7 days, the patient took antipyretic, antibacterial medication without noticeable improvement. Despite the ongoing therapy for two days, the signs of pulmonary heart failure increased, culminating in the cardiac arrest, unsuccessful resuscitation and biological death of the patient. A sectional study revealed signs of pronounced edema in the lungs with a hemorrhagic component, hemolyzed erythrocytes were found in the lumen of the alveoli. In the heart, a histological examination revealed unevenly hypertrophied cardiomyocytes with areas of fragmentation. In the epithelium of the renal tubules, signs of karyorrhexis were found, and multiple areas of erythrocyte infiltration were found in the stroma. Conclusion: The clinical case demonstrates a rapid fulminant course of COVID-19 in a young patient with arterial hypertension and obesity, who developed viral-bacterial pneumonia, which led to the development of pulmonary heart failure, pulmonary edema, and necronephrosis.
Keywords
Full Text
ОБОСНОВАНИЕ
Пандемия коронавирусной инфекции COVID-19 явилась причиной стремительного роста числа заболевших и высокой смертности во всем мире [1, 2]. У больных с симптомным течением COVID-19 часто регистрируются сердечно-сосудистые заболевания и такие кардиоваскулярные факторы риска, как ожирение и сахарный диабет. В исследованиях, посвященных пневмониям, вызванным COVID-19, показано, что сердечно-сосудистые заболевания являются одними из самых частых сопутствующих процессов [3–5], при этом в одном из исследований гипертоническая болезнь признана наиболее распространенной (58 из 191 пациента; 30%), в другом исследовании гипертоническая болезнь у пациентов с острым респираторным дистресс-синдромом при СOVID-19 встречалась в 2 раза чаще (23 из 84; 27,4%), чем у пациентов с легким течением этой инфекции (16 из 117; 13,7%) [2–4].
Как известно, COVID-19 преимущественно поражает эпителий респираторного тракта. Размножаясь в клетках цилиндрического эпителия, вирус вызывает дегенеративные изменения. Патологический воспалительный процесс в большей степени выражен в легких, с развитием некроза вирус быстро попадает в кровь, и инфекция приобретает генерализованную форму [2–4]. Вирус оказывает токсическое влияние на сердечно-сосудистую систему, что проявляется повышением проницаемости сосудов, ломкостью сосудистых стенок, нарушением капиллярного кровообращения, нарушением межклеточных контактов в кардиомиоцитах. Весь комплекс повреждений сказывается также и на почечной гемодинамике [3, 4].
В связи с актуальностью проблемы цель публикации — описание клинического случая тяжелого течения COVID-19 с развитием осложнений у молодого пациента.
КЛИНИЧЕСКИЙ ПРИМЕР
О пациенте
Больной Р., 36 лет, с 20.12.2021 по 22.12.2021 находился на стационарном лечении в инфекционном отделении Новочебоксарской горбольницы Минздрава Чувашии. Поступил в сопровождении бригады скорой медицинской помощи в диагностическое отделение в связи с жалобами на частый непродуктивный кашель, пиретическую температуру тела, головную боль. По результатам компьютерной томографии (КТ) органов грудной клетки определялась картина двусторонней полисегментарной пневмонии с поражением 65% легочной ткани (КТ-3). Тест методом полимеразной цепной реакции (ПЦР) на коронавирусную инфекцию положительный.
Из анамнеза заболевания: заболел остро, около 7 дней назад, когда впервые повысилась температура тела до 38,9°С; в течение 2 дней принимал жаропонижающие средства. Отмечал повышение артериального давления (АД) до 170/100 мм рт.ст. На 3-й день в связи с отсутствием положительной динамики (температура тела оставалась в пределах 37,9–38,3°С) начал пероральный прием азитромицина в дозе 500 мг 1 раз в сутки. В течение 5 дней приема антибактериального средства состояние не улучшалось: появился кашель с гнойным экссудатом, температура тела в вечернее время достигала 37,7°С.
Эпидемиологический анамнез: отрицал контакт с подтвержденными случаями COVID-19-инфекции.
Из анамнеза жизни известно, что пациент наблюдался с артериальной гипертензией около 5 лет с максимальным повышением АД до 180/100 мм рт.ст., адаптирован к АД 130–140/ 80–90 мм рт.ст. Были рекомендованы моксонидин (Moxonidinum) в дозе 0,2 мг при АД выше 150/90 мм рт.ст.; каптоприл (Captoprilum) 25 мг по 1 таблетке под язык при АД выше 140/90 мм рт.ст; ацетилсалициловая кислота (Acidum acetylsalicylicum) 100 мг по 1 таблетке 1 раз в день; метопролол (Metoprololum) 5,0 мг по 0,5 таблетке 2 раза в день; лизиноприл (Lisinoprilum) 5 мг по 1 таблетке 1 раз в день под контролем АД. Лекарственную терапию принимал не всегда.
Физикальная диагностика
При поступлении в стационар: общее состояние тяжелое, кожные покровы с цианотическим оттенком, пастозность голеней и стоп. Уровень насыщения крови кислородом (SpO2) 63% при дыхании атмосферным воздухом. После интубации индекс оксигенации (PaO2/FiO2) 100 мм рт.ст. Пациент повышенного питания, абдоминальное ожирение: избыточная масса тела (индекс массы тела 41,5 кг/м2; рост 170 см, вес 120 кг. Температура тела 37,6°С.
При объективном осмотре. Пульс 114 уд./мин, нестабильная гемодинамика. Тоны сердца приглушены. Число дыханий 34 в 1 мин. При аускультации выслушивались сухие хрипы в нижних отделах с обеих сторон, больше справа.
Инструментальная и лабораторная диагностика
Общий анализ крови от 20.12.2021: лейкоциты 2,14×109/л (норма: 3,80–8,76); эритроциты 4,98×1012/л (4,54–6,00), гемоглобин 110 г/л (132–166), тромбоциты 116×109/л (173–360), нейтрофилы 9,46×109/л (1,65–4,97), относительное содержание нейтрофилов 99,0% (40,1–67,0); лимфоциты 0,68×109/л (1,17–3,17), относительное содержание лимфоцитов 11,0% (23,6–48,0), моноциты 0×109/л (0,23–0,68), нейтрофилы сегментоядерные 84% (47–72), палочкоядерные 15% (1–6), скорость оседания эритроцитов (СОЭ) 64,0 мм/ч (0,0–30,0).
Биохимический анализ крови от 20.12.2021: мочевина: 3,9 ммоль/л (2,8–8,3), аспартатаминотрансфераза 198,0 Ед/л (1,0–50,0), аланинаминотрансфераза 155,0 Ед/л (1,0–45,0), креатинин 135,0 мкмоль/л (62,0–120,0), С-реактивный белок 224 мг/л (0–6), глюкоза крови 5,90 ммоль/л (3,50–5,80).
Коагулограмма от 20.12.2021: активированное частичное тромбопластиновое время 23,7 сек (23,0–34,7), тромбиновое время 17,4 сек (14,0–21,0), протромбиновый индекс 110,1% (80,0–125,0). Скорость клубочковой фильтрации (СКФ) по формулам CKD-EPI 58 мл/мин/1,73 м2, MDRD 55 мл/мин/1,73 м2, Кокрофта–Голта 114 мл/мин/1,73 м2 (86). Заключение: умеренное снижение СКФ, III стадия хронической болезни почек.
Электрокардиограмма от 20.12.2021: отклонение электрической оси влево (от 00 до -90°); RI >10 мм; S (Q) aVr >14 мм; T aVr >0 при S (Q) ≥ R aVr; R v5, v6 >16 мм; R aVl >7 мм; T v5, v6 ≤1 мм при R v5, v6 >10 мм и T v1–v4 >0 (где R, S, Q, T — зубцы; I, aVr, aVl — отведения). Частота сердечных сокращений 95 уд./мин.
Клинический диагноз
Новая коронавирусная инфекция, COVID-19, подтвержденная форма (ПЦР на COVID-19 от 20.12-21.12.2021 положительный), тяжелое течение.
Динамика и исходы
Проведенное лечение включало респираторную поддержку в виде неинвазивной вентиляции легких, антибактериальную (цефалоспорин 2-го поколения и макролид), гормональную (дексаметазон, 4 мг/мл, внутривенно по 2 ампулы 4 раза в день) терапию, кардиотоническое средство (дофамин 40 мг/мл 5 мл), антиагреганты (фраксипарин, 0,3 мл, подкожно по 1 шприцу 1 раз в день), ингибиторы рецепторов ИЛ-6 (тоцилизумаб).
Несмотря на проводимое лечение состояние больного прогрессивно ухудшалось, нарастали явления сердечно-легочной недостаточности. Были выявлены признаки прогрессирования дыхательной недостаточности, на контрольной КТ — признаки диффузного уплотнения легочной ткани по типу матового стекла, значительное поражение легких (80%; КТ-4). Внезапно появились боли в области сердца, которые сопровождались выраженной одышкой, ощущением удушья, признаки артериальной гипотонии. На фоне проводимой искусственной вентиляции легких произошла остановка сердечной деятельности; были начаты реанимационные мероприятия: непрямой массаж сердца, внутривенное введение адреналина по 1 мг каждые 3 мин, последовательная дефибрилляция (160–300–360 Дж). Сердечная деятельность не восстановилась. Реанимационные мероприятия в течение 30 мин оказались неэффективными, по ЭКГ-монитору асистолия, аускультативно сердечные сокращения не выслушивались, фотореакция отсутствовала, была констатирована биологическая смерть.
Посмертный клинический диагноз
Основное заболевание. Новая коронавирусная инфекция, COVID-19, подтвержденная форма (ПЦР на COVID-19 от 20.12–21.12.2021 положительный), тяжелое течение.
Осложнения основного заболевания: двусторонняя полисегментарная пневмония тяжелой степени. Острая сердечно-сосудистая недостаточность.
Сопутствующее заболевание. Гипертоническая болезнь 2-й стадии. Алиментарно-конституциональное ожирение 3-й степени. Индекс массы тела +41,5 кг/м2.
Клинически выявлено тяжелое течение заболевания: частота дыхательных движений >30/мин; SpO2 ≤93%; PaO2/FiO2 ≤300 мм рт.ст. Нестабильная гемодинамика: систолическое АД <90 мм рт.ст. или диастолическое АД <60 мм рт.ст., диурез <20 мл/ч.
Аутопсия
При патологоанатомическом вскрытии обнаружены признаки геморрагического некротического трахеобронхита и бронхиолита с потерей нормальных реснитчатых эпителиальных клеток, просветы бронхов заполнены десквамированным эпителием. Макроскопически легкие полуспавшиеся, тяжелые, плотной консистенции, на разрезах темно-красного цвета, с поверхности срезов стекает жидкая кровь (рис. 1).
Рис. 1. Макроскопическая картина легких у пациента с тяжелым течением COVID-19: легкие темно-красного цвета, плотные, с поверхности разреза стекает жидкая кровь.
Fig. 1. Macroscopic picture of viral pneumonia: the lungs are dark red, liquid blood flows from the cut surface.
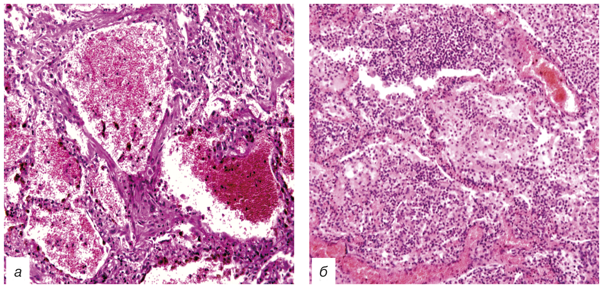
При гистологическом исследовании в легких определяются дистрофические изменения реснитчатых клеток с базофильными включениями в цитоплазме, десквамация и некроз эндотелиальных и эпителиальных клеток, отек, выраженная метаплазия эпителия, мононуклеарная инфильтрация, местами по контуру альвеол — гиалиновые мембраны. В просвете альвеол определяются признаки выраженного отека с геморрагическим компонентом, встречаются гемолизированные эритроциты, местами инфильтрация эритроцитами легочной паренхимы (рис. 2). Альвеолы заполнены экссудатом, присутствуют как мононуклеарные, так и нейтрофильные инфильтраты с интраальвеолярными геморрагиями, десквамацией эпителия.
Рис. 2. Микроскопическая картина изменений в легких: а — признаки выраженного отека с геморрагическим компонентом, в просвете альвеол гемолизированные эритроциты; б — в просвете альвеол нейтрофильная инфильтрация, гиалиновые мембраны, эритроцитарные сладжи в капиллярах. Окраска гематоксилином и эозином, ×400.
Fig. 2. Microscopic picture of changes in the lungs: а — signs of severe edema with a hemorrhagic component, hemolyzed erythrocytes in the lumen of the alveoli; б — in the lumen of the alveoli, neutrophilic infiltration, hyaline membranes, erythrocyte sludge in the capillaries. Staining with hematoxylin and eosin, ×400.
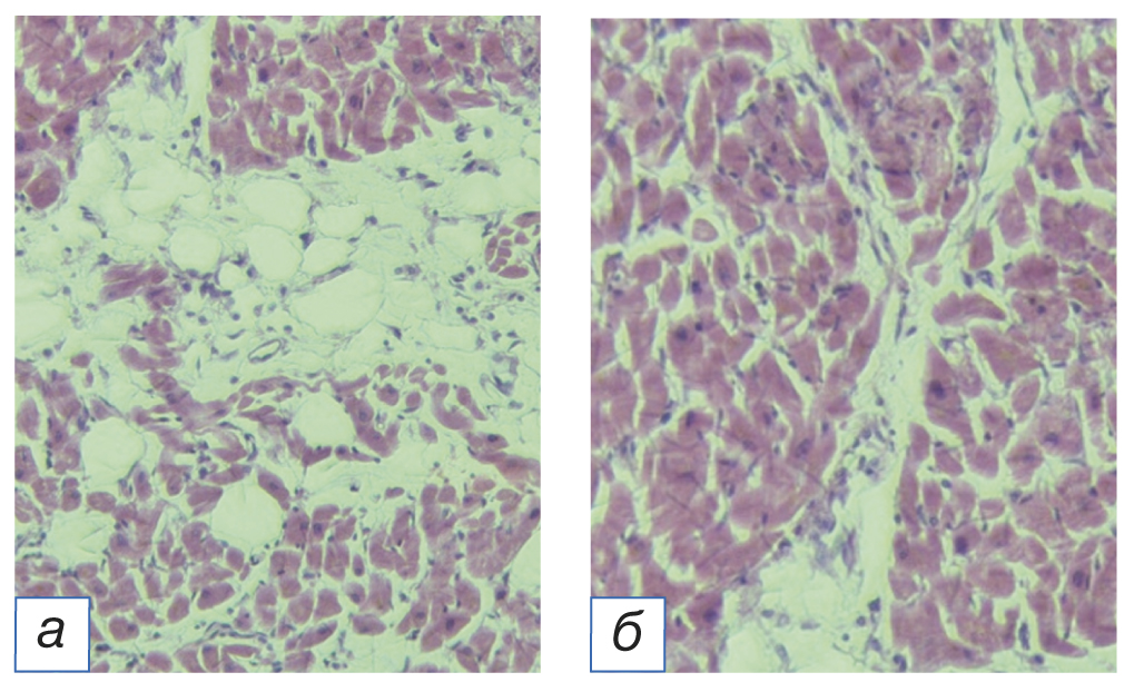
Со стороны сердца: миокард на разрезах красно-коричневый, с серо-белесоватыми периваскулярными прожилками. Масса сердца 344,0 г. Толщина миокарда правого желудочка сердца 0,3 см, левого — 1,8 см. При гистологическом исследовании выявлены неравномерно гипертрофированные кардиомиоциты с участками фрагментации (рис. 3). Дистрофические изменения, вакуолизация цитоплазмы кардиомиоцитов, волнообразная деформация, смазанность поперечной исчерченности. В сосудистой системе плазморрагия, фибриноидный некроз, эритроцитарные сладжи, артериологиалиноз и прекапиллярный склероз.
Рис. 3. Микроскопическая картина изменений в сердце: а — жировая дистрофия миокарда; б — фрагментация мышечных волокон, неравномерная гипертрофия кардиомиоцитов. Окраска гематоксилином и эозином, ×400.
Fig. 3. Microscopic picture of changes in the heart: а — layers of adipose tissue between cardiomyocytes; б — fragmentation of muscle fibers, uneven hypertrophy of cardiomyocytes. Hematoxylin and eosin staining, ×400.
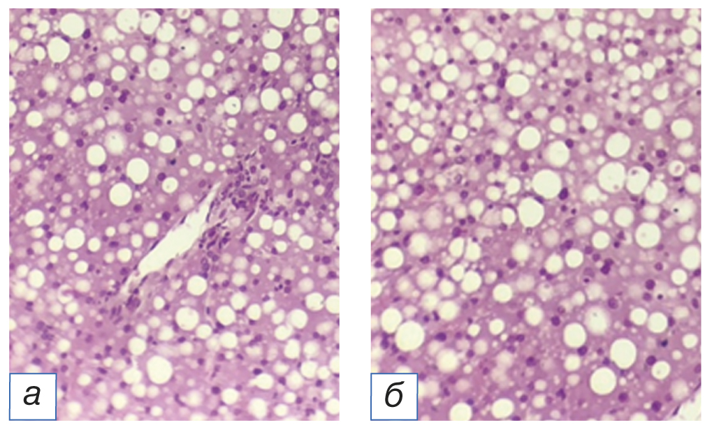
В брюшной полости определяются следы прозрачной жидкости, органы расположены анатомически правильно, листки брюшины влажные, гладкие, блестящие. Желудок в форме рога, в просвете слизь с примесью желчи в объеме до 100,0 мл, складки слизистой хорошо выражены. В просвете кишечника скудное содержимое соответственно отделам, без примесей. Печень размером 27×16×13×10×9 см, нижний край закруглен на уровне края реберной дуги. Вещество печени на разрезах желто-красного цвета, полнокровное. Желчный пузырь размером 11×7×4 см, в просвете темно-зеленого цвета желчь, слизистая пузыря бархатистая, желчевыводящие пути проходимы. При гистологическом исследовании отмечается мелко- и среднекапельная жировая дистрофия печени. В портальных трактах признаки клеточной инфильтрации с полнокровием сосудов (рис. 4).
Рис. 4. Микроскопическая картина жирового стеатоза печени: признаки мелко- (а) и среднекапельной (б) дистрофии с периферическим расположением ядер. Окраска гематоксилином и эозином, ×400.
Fig. 4. Microscopic picture of fatty steatosis of the liver: signs of small- (а) and medium-drop (б) dystrophy with a peripheral arrangement of nuclei. Hematoxylin and eosin staining, ×400.
В почках поля почечной паренхимы с признаками кариорексиса и лизиса в эпителии канальцев. Множественные участки эритроцитарной инфильтрации. Субкапсулярно прослойки соединительной ткани с умеренно выраженной круглоклеточной инфильтрацией.
Результат вирусологического исследования: в легких обнаружена РНК COVID-19. Результат микробиологического исследования ткани легкого: скудный рост Staphylococcus epidermidis, Acinetobacter baumannii.
Патологоанатомический диагноз
Основное заболевание. COVID-19, острая двусторонняя вирусно-бактериальная геморрагическая пневмония (результат микробиологического исследования ткани легкого: скудный рост S. epidermidis, A. baumannii).
Осложнения основного заболевания. Отек легких. Острая легочно-сердечная недостаточность. Двусторонний некронефроз.
Сопутствующие заболевания. Концентрическая гипертрофия миокарда (масса сердца 344,0 г, толщина стенки левого желудочка 1,8 см, правого — 0,3 см). Ожирение 2–3-й стадии, жировой гепатоз.
ОБСУЖДЕНИЕ
Проблема преморбидного фона и коморбидной патологии у больных с присоединением инфекционного процесса имеет значимую роль и остается актуальной в современном мире [2–5].
В литературе представлен тяжелый случай сердечной дисфункции после инфицирования COVID-19, возникший у 39-летней пациентки без признаков нарушений функции дыхания. На фоне медикаментозной терапии так и не восстановилась сердечная деятельность. Морфологически выявлялись диффузный интерстициальный макрофагальный инфильтрат и тромбоз мелких сосудов [4].
Описывается также случай развития миокардита и полиорганной недостаточности у 45-летней здоровой женщины, инфицированной COVID-19. Первоначальные исследования выявили подъем сегмента ST на электрокардиограмме, повышенный уровень тропонина и положительную ПЦР на коронавирус (SARS-CoV-2). Внезапно возникло ухудшение состояния с развитием кардиогенного шока в течение нескольких часов после поступления в стационар. Этот случай демонстрирует молниеносное течение атипичной формы COVID-19 [5].
COVID-19 может вызывать широкий спектр желудочковой дисфункции — от легкого течения до молниеносного миокардита с гемодинамической нестабильностью [6]. Так, описан случай летального исхода у 56-летнего мужчины с положительным результатом на коронавирус (SARS-CoV-2), у которого клинически развился обморок. При физикальном обследовании были выявлены тахикардия и гипотония. Через два часа после поступления в стационар у пациента отмечались изменения психического статуса, брадикардия, гипотензия и остановка сердца. В анализе крови выявлялось повышенное содержание тропонина Т. При инструментальном исследовании выявлена дилатационная кардиомиопатия [7].
По данным отечественных исследователей [8–10], морфологические признаки фульминантной фазы прогрессирующего тяжелого течения COVID-19-интерстициальной пневмонии, приводящей к быстрому летальному исходу (до 10 сут), соответствуют экссудативной стадии острого респираторного дистресс-синдрома в сочетании с моноцитарно-макрофагальной гипериммунной реакцией и развитием обструктивных тромбовоспалительных процессов в микроциркуляторном русле легких, либо носят генерализованный характер. Патоморфологические признаки персистирующей фазы прогрессирующего тяжелого течения COVID-19-интерстициальной пневмонии, приводящей к летальному исходу (до 20 сут), соответствуют пролиферативной стадии острого респираторного дистресс-синдрома. В этой фазе имеет место персистенция изменений экссудативной стадии в сочетании с моноцитарно-макрофагальной гипериммунной реакцией, развитием генерализованных обструктивных тромбовоспалительных процессов не только в микроциркуляторном русле, но и в более крупных сосудах, а также распространенных тромбозов и тромбоэмболических осложнений.
В представленном случае при инфицировании SARS-CoV-2 возникла тяжелая пневмония, которая привела к необратимому иммуноопосредованному поражению легочной ткани, развитию полиорганной недостаточности и летальному исходу, несмотря на терапию иммунобиологическими препаратами. При микроскопическом исследовании в респираторных отделах легких обнаруживались скопления микроорганизмов в серозно-геморрагическом экссудате с преобладающим числом лейкоцитов. Экссудат в альвеолах встречался разнообразный, определялись участки гнойно-геморрагического экссудата, а также очаги нагноения с некрозом и наличием в них колоний микроорганизмов. Фактором риска явилась артериальная гипертензия на фоне предсуществующих изменений в сердце и сосудах. Чередование гипертрофированных кардиомиоцитов в сочетании с плазматизацией сосудистой стенки, развившихся на фоне расстройств микроциркуляции в виде эритроцитарных стазов с явлениями сладж-феномена и прекапиллярного склероза, указывали на нарушения микроциркуляции и клеточного метаболизма с развитием гипоксии в сердечной мышце. Выявлялись изменения в сосудах в виде гиалиноза, плазморрагии с развитием фибриноидного некроза с нарушением транскапиллярного обмена, что привело к структурным изменениям. На фоне цитокинопосредованного нарушения проницаемости альвеолокапиллярной мембраны и снижения онкотического давления в легочных капиллярах развился отек легкого. В почках наблюдалось снижение скорости клубочковой фильтрации (CKD-EPI 58 мл/мин/1,73 м2), что отражало острое почечное повреждение с развитием некронефроза. Все эти данные свидетельствуют о тяжелом полиорганном поражении, возникшем у нашего пациента вследствие фульминантного течения COVID-19 на фоне коморбидной патологии.
ЗАКЛЮЧЕНИЕ
Представленный клинический случай демонстрирует, насколько быстро могут развиться необратимое поражение легочной ткани и прогрессирующая полиорганная недостаточность при фульминантном течении тяжелой формы COVID-19 с коморбидной сердечно-сосудистой патологией и преморбидным ожирением. При микроскопическом исследовании в респираторных отделах легких обнаруживались скопления микроорганизмов в серозно-геморрагическом экссудате с преобладающим числом лейкоцитов. Экссудат в альвеолах встречался разнообразный, определялись участки гнойно-геморрагического экссудата, а также очаги нагноения с некрозом и наличием в них колоний микроорганизмов.
ДОПОЛНИТЕЛЬНАЯ ИНФОРМАЦИЯ
Вклад автора. Автор подтверждает соответствие своего авторства международным критериям ICMJE (концепция и дизайн, сбор и обработка материала, написание текста, редактирование, одобрение финальной версии статьи перед публикацией).
Author contribution. The author has made a significant contribution to the development of the concept of the work, collection, analysis, interpretation of data for the work, compilation and revision of the work, final approval of the version to be published, and agrees to be responsible for all aspects of the work.
Источник финансирования. Автор заявляет об отсутствии внешнего финансирования при проведении исследования.
Funding source. This study was not supported by any external sources of funding.
Конфликт интересов. Автор декларирует отсутствие явных и потенциальных конфликтов интересов, связанных с публикацией настоящей статьи.
Competing interests. The author declare that they have no competing interests.
About the authors
Olga V. Vorobeva
Chuvash State University
Author for correspondence.
Email: olavorobeva@mail.ru
ORCID iD: 0000-0003-3259-3691
SPIN-code: 5084-1379
MD, PhD
Russian Federation, 15, Moskovskii, Cheboksary, 428015References
- World Health Organization. Coronavirus disease 2019 (COVID-19) situation report 48. Available from: https://www.who.int/docs/defaultsource/coronaviruse/situationreports/20200308sitrep48covid19.pdf?sfvrsn=16f7ccef_4. Accessed: March 9, 2020.
- Klausberger M, Leneva IA, Egorov A, Strobl F. Off-target effects of an insect cell-expressed influenza HA-pseudotyped Gag-VLP preparation in limiting postinfluenza Staphylococcus aureus infections. Vaccine. 2020;38(4):859–867. doi: 10.1016/j.vaccine.2019.10.083
- Ostroverkhova DS, Kuzmich NN, Kadochnikov VV. Elucidating binding sites and affinities of erα agonists and antagonists to human alpha-fetoprotein by in silico modeling and point mutagenesis. Int J Mol Sci. 2020;21(3):893–897. doi: 10.3390/ijms21030893
- Thomson А, Totaro R, Cooper W. Fulminant Delta COVID-19 myocarditis: a case report of fatal primary cardiac dysfunction. Eur Heart J Case Rep. 2022;6(4):ytac142. doi: 10.1093/ehjcr/ytac142
- Milla-Godoy GC, Park R, Jiang W. Fulminant COVID-19- associated myocarditis in an otherwise healthy female. Cureus. 2021;13(1):e12736. doi: 10.7759/cureus.12736
- Liu J, Deswal A, Khalid U. COVID-19 myocarditis and long-term heart failure sequelae. Curr Opin Cardiol. 2021;36(2):234–240. doi: 10.1097/HCO.0000000000000832
- Guerra MA, Lappot R, Urena AP. COVID-induced fulminant myocarditis. Cureus. 2022;14(4):e23894. doi: 10.7759/cureus.23894
- Забозлаев Ф.Г., Кравченко Э.В., Галлямова А.Р., Летуновский Н.Н. Патологическая анатомия легких при новой коронавирусной инфекции (COVID-19). Предварительный анализ аутопсийных исследований // Клиническая практика. 2020. Т. 11, № 2. C. 21–37. [Zabozlaev FG, Kravchenko EV, Gallyamova AR, Letunovsky NN. Pathological anatomy of the lungs in new coronavirus infection (COVID-19). Preliminary analysis of autopsy studies. Journal of Clinical Practice. 2020;11(2):21–37. (In Russ).] doi: 10.17816/clinpract34849
- Воробьева О.В., Ласточкин А.В. Изменения в головном мозге, легких и сердце при COVID-19 на фоне цереброваскулярной патологии // Профилактическая медицина. 2020. Т. 23, № 7. C. 43–46. [Vorobeva OV, Lastochkin AV. Changes in the brain, lungs and heart with COVID-19 against the background of cerebrovascular pathology. Prevent Med. 2020;23(7):43–46. (In Russ).]
- Воробьева О.В., Ласточкин А.В. Острый инфаркт миокарда и коронавирусная инфекция (COVID-19) // Инфекционные болезни: новости, мнения, обучение. 2021. Т. 10, № 1. C. 93–97. [Vorobeva OV, Lastochkin AV. Аcute myocardial infarction and coronavirus infection (COVID-19). Infectious Diseases News Opinions Education. 2021;10(1):93–97. (In Russ).] doi: 10.33029/2305-3496-2021-10-1-93-97
Supplementary files







