Toxic desomorphine encephalopathy due to the use of “Krokodil”: clinical and neuroimaging features
- Authors: Nartov S.E.1, Parkhomenko E.V.2, Ekusheva E.V.3,4, Karpov D.Y.5
-
Affiliations:
- Karpov’s Neuroclinic Co.
- Altai State Medical University
- Academy of Postgraduate Education “Federal Research and Clinical Center for Specialized Medical Care Types and Medical Technologies, Federal Biomedical Agency of Russia”
- Belgorod State National Research University
- Regional state budget health institution City Hospital No. 5
- Issue: Vol 13, No 1 (2022)
- Pages: 30-41
- Section: Original Study Articles
- Submitted: 15.01.2022
- Accepted: 16.03.2022
- Published: 15.04.2022
- URL: https://clinpractice.ru/clinpractice/article/view/96475
- DOI: https://doi.org/10.17816/clinpract96475
- ID: 96475
Cite item
Full Text
Abstract
Background: Toxic desomorphine encephalopathy (TDE) is a pathological condition that develops as a result of the intravenous use of a drug called “Krokodil” containing desomorphine, made in the artisanal conditions using codeine-containing drugs, organic solvents (gasoline), iodine and red phosphorus. This disease is more often observed in the CIS countries. In addition to the acute and chronic pathological conditions with the damage to various organs, the use of “Krokodil” is characterized by pronounced extrapyramidal manifestations in the form of dystonia, parkinsonism, postural disorders, as well as the occurrence of cognitive and affective disorders.
Aims: To find the clinical and neuroimaging features of toxic desomorphine encephalopathy, as well as possible methods of its treatment.
Methods: A clinical analysis of the medical documentation of 21 TDE patients (11 women and 10 men) with a history of the use of “Krokodil” was carried out, the patients had been under observation from 2014 to 2021. All the patients underwent a clinical physical and neurological examination, 14 of them underwent neuroimaging (brain MRI and/or MSCT). The observation of these patients revealed a number of characteristic clinical and neuroimaging features inherent in the majority of drug addicts.
Results: The clinical picture of patients with TDE was dominated by movement disorders. All the patients had pronounced postural disorders and gait disturbance. Parkinsonism was observed in 20 of 21 patients. The hyperkinetic syndrome was presented in 17 patients (80.9%) and was manifested by dystonia of various localization with polymorphic manifestations. The brain MRI data taken from the «Krokodil» users for 3 years were characterized by symmetrical focal changes in the basal ganglia, brainstem, cerebellum and internal capsule of the thalamus in the form of an increase in the intensity of the MR signal in the T1 mode and attenuation in the T2-weighted images mode (7 of 11 cases), with the subsequent regression of these characteristics based on the results of the subsequent MRI studies.
Conclusion: The study results have revealed the clinical manifestations characteristic of TDE — polymorphic extrapyramidal disorders, as well as neuroimaging changes reflecting these data.
Full Text
ОБОСНОВАНИЕ
Наркомания является величайшим злом всего человечества. По данным Всемирной организации здравоохранения (ВОЗ) [1], в 2016 г. около 275 млн (~5,6%) человек во всем мире в возрасте от 15 до 64 лет употребляли по крайней мере однократно разнообразные наркотические средства, из них около 450 000 умерли в результате их использования. Опиаты по-прежнему остаются основной причиной смерти вследствие приема наркотических веществ, составляя около 75% случаев. Крупным источником нелегального наркотрафика, прежде всего героина, является Афганистан. Все большую озабоченность вызывает и далеко не медицинское использование фармацевтических опиоидов и опиатов во всем мире. В частности, в Северной Америке большой проблемой является незаконный оборот фентанила и его смеси с героином; в Европе — бупренорфина, фентанила и метадона; в Африке, на Ближним Востоке и Азии — трамадола [1].
В России [2], странах Центральной Азии (Казахстан, Кыргызстан, Таджикистан, Туркменистан и Узбекистан) [3], на Украине [4] и в Грузии [5] среди наркозависимых лиц используется суррогатный и более дешевый аналог дезоморфина, так называемый крокодил. По некоторым данным, в Европе [6] и США [7] наблюдались единичные случаи употребления этого наркотического средства. Столь красочное название было получено по характерному изменению кожных покровов у лиц, использующих «крокодил», в частности сухой, ороговевшей поверхности с зеленовато-черным оттенком, напоминающей кожу рептилии.
Дезоморфин (4,5-альфа-эпокси-17-метилморфинан-3-ол, регистрационный номер CAS — 427-00-9), синонимами которого являются Dihydrodeoxymorphine, Desomorfin, Desomorphin Escopermida, Permonid, Scopermid, включен в список I перечня наркотических и психотропных средств Постоянного комитета по контролю наркотиков в России [8].
Дезоморфин был впервые синтезирован в США в ходе проведенного в 1932 г. масштабного исследования различных химических соединений с целью поиска наиболее эффективных и безопасных заменителей или аналогов морфина [9]. В результате появился препарат с анальгетической активностью, в 9 раз превосходящей действие морфина, и при этом с менее выраженными рвотными и угнетающими дыхательный центр влияниями, но в то же время характеризующийся более коротким периодом полувыведения и более выраженным аддиктивным действием у использующих его лиц, в связи с чем не получил клинического применения [10].
Появление «крокодила» было также обусловлено рядом социально-экономических проблем в странах СНГ и всего мира. По сути дела, суррогатный дезоморфин представлял собой доступный заменитель более дорогого наркотического средства — героина. Поскольку основные ингредиенты для кустарного производства синтетического наркотика были существенно дешевле, это обеспечило гораздо большую популярность дезоморфина среди наркоманов [11]. Кроме того, недостаточный контроль со стороны государства за использованием лекарственных средств, содержащих кодеин, еще больше усугубил существующую ситуацию. Согласно данным ряда исследований [2, 12], количество наркозависимых лиц в России, применяющих «крокодил», достигло 100 000 человек.
1 июня 2012 г. вступило в силу Постановление Правительства РФ N 599 от 20 июля 2011 г. «О мерах контроля в отношении препаратов, которые содержат малые количества наркотических средств, психотропных веществ и их прекурсоров, включенных в перечень наркотических средств, подлежащих контролю в Российской Федерации»1, предусматривающее строго рецептурный отпуск на бланке № 148-1/у-88 любых лекарственных средств, содержащих кодеин. С этого периода времени наркотическое средство «крокодил» стало существенно сдавать свои позиции среди наркозависимых лиц в РФ. В марте 2014 г. руководитель Федеральной службы РФ по контролю за оборотом наркотиков В.П. Иванов в официальном заявлении отметил, что за последние полтора года удалось почти полностью ликвидировать рынок дезоморфина в РФ2. Несмотря на значительное снижение количества лиц, употребляющих этот кустарный наркотик, и наличие наркозависимых людей с длительной ремиссией, остаются те, кому не удалось избежать последствий токсического воздействия «крокодила».
«Крокодил» представляет собой чрезвычайно токсичную смесь за счет входящих в него компонентов: действующего вещества дезоморфина; промежуточных продуктов каталитического восстановления и балластных веществ, а также их соединений; не вступивших в реакцию фосфора, йода и компонентов растворителей — тяжелых металлов. Химический состав наркотического средства может отличаться в зависимости от технологии этапов производства, доступности и качества исходного сырья и составляющих его средств, а также предпочтений употребляющих его лиц [2, 13].
Короткий период полувыведения дезоморфина обусловливает необходимость многократного повторения инъекций этого средства, что в свою очередь приводит к «запоям», потере критики, быстрому формированию резистентности к наркотику и большому риску его передозировки у наркозависимых лиц [2], с другой стороны, способствует значительному накоплению в организме употребляющих его людей токсических балластных веществ, содержащихся в наркотике.
Следует отметить, что внутривенное введение «крокодила» является распространенным способом инфицирования ВИЧ и гепатитом С, нередко приводит к развитию флебита, гангрены конечности и остеонекрозу челюсти; часто наблюдаются местные воспалительные изменения в виде язв кожных покровов [14]. Использование этого наркотического средства приводит к разным токсическим эффектам и осложнениям (табл. 1).
Таблица 1. Токсические эффекты, возникающие у лиц, употребляющих «крокодил» / Table 1. Toxic effects that occur in persons who use «Krokodil» [2, 14–17]
Токсические эффекты | Клинические проявления |
Местные токсические эффекты | Абсцессы, изъязвления и некроз кожи конечностей, гангрена, ампутации, остеонекроз челюсти, инфекция мягких тканей, гнойное воспаление десен и ушных раковин, гипо- и гиперпигментация кожи |
Системные токсические эффекты | Повреждения кровеносных сосудов, мышц, хрящей и костей; кровотечение, тромбофлебит, поражение центральной и вегетативной нервной системы, гипотиреоз, поражение печени и почек, эндокардит, пневмония, менингит и полиорганная недостаточность |
«Крокодил» обладает высокой нейротоксичностью, приводя даже при коротком периоде употребления к поражению экстрапирамидной, мозжечковой и пирамидной систем, когнитивным, речевым и аффективным нарушениям в виде расстройства личности и галлюцинаций. Одним из ярких примеров вовлечения центральной нервной системы (ЦНС) вследствие применения этой химической смеси является токсическая дезоморфиновая энцефалопатия. Вместе с тем не у всех наркозависимых людей, использующих «крокодил», в дальнейшем развиваются стойкие поражения ЦНС. Среди возможных причин обсуждаются высокая смертность наркозависимых лиц, систематически принимающих суррогатный дезоморфин; низкая обращаемость к врачам для обследования и лечения, опасение социальной стигматизации в данной популяции, а также, вероятно, отсутствие строгой специфичности при поражении систем организма в результате неоднородности токсических составляющих «крокодила».
Этиопатогенез поражения ЦНС при употреблении рассматриваемого наркотического средства недостаточно освещен в литературе и остается предметом многочисленных дискуссий [18, 19].
Токсическая дезоморфиновая энцефалопатия (ТДЭ) представляет собой хроническое прогрессирующее поражение головного мозга в результате воздействия дезоморфина и характеризуется комбинацией различных неврологических синдромов: экстрапирамидных расстройств в виде паркинсонизма, дистонии, тремора, миоклоний, псевдобульбарного синдрома, постуральных, аффективных нарушений и когнитивной дисфункции по лобно-подкорковому типу [19].
Обсуждаются различные механизмы в основе нейротоксического действия «крокодила» [14, 18], обусловленного непосредственным токсическим влиянием побочных продуктов синтеза наркотика: фосфорорганическими соединениями, особенно высокой концентрацией красного фосфора [14], и балластными веществами в составе органических растворителей, используемых при производстве дезоморфина, в первую очередь содержащегося в некачественном бензине свинца или его соединений — тетраэтилсвинца. Следует заметить, что добавление в топливо ядовитого металлоорганического соединения — тетроэтилсвинца — повышает его октановое число и существенно улучшает качественные показатели. Однако из-за своей выраженной токсичности этилированный бензин, содержащий тетраэтилсвинец, используется только для спортивных автомобилей и в авиации, и запрещен к эксплуатации согласно Федеральному закону № 34-ФЗ от 22.03.2003 «О запрете производства и оборота этилированного автомобильного бензина в Российской Федерации»3.
E.A. Alves с соавт. [14] продемонстрировали дисбаланс холинергической системы головного мозга вследствие употребления «крокодила», поскольку его основное действующее вещество (дезоморфин) ингибирует холинестеразу, что объясняет развитие когнитивных и экстрапирамидных нарушений у этих лиц.
Концепция токсического действия крокодила как ингибитора холинестеразы очень интересна, и требует дополнительного анализа. Сама идея синтеза «крокодила» с использованием красного фосфора и йода не нова [20]. Так, в 1919 г. Акира Огата (Akira Ogata) синтезировал кристаллизованный метамфетамин путем восстановления эфедрина с использованием красного фосфора и йода. Ранее, в 1893 г., другой японский химик Нагаи Нагаеси (Nagai Nagayoshi) синтезировал метамфетамин из эфедрина. В некоторых регионах США все еще распространено получение метамфетамина с применением красного фосфора, эфедрина и йода под жаргонным названием “Red, White, and Blue Process” [21]. Интересен тот факт, что в странах бывшего СССР и Восточной Европы нелегальное получение метамфетамина из катинона и меткатинона осуществлялось с использованием перманганата калия (марганцовки). Осложнением употребления марганецсодержащих наркотиков является эфедроновая энцефалопатия, обусловленная отложением марганца в головном мозге и его токсическим действием [22, 23].
По данным нашего наблюдения, некоторые больные ТДЭ (12 опрошенных из 21) сообщили об употреблении наряду с «крокодилом» кустарного метамфетамина («винт»), который изготавливали с применением красного фосфора и йода без использования перманганата калия, в отличие от эфедрона («мулька», «джеф»). Эти факты могут свидетельствовать о региональных особенностях кустарного получения метамфетамина, а также исключают токсическое влияние марганца в клинической картине ТДЭ.
По нашему мнению, именно фосфорсодержащие соединения наряду с дезоморфином являются вероятными токсическими агентами, поражающими ЦНС и прежде всего базальные ядра с развитием дисбаланса нейротрансмиттеров, приводящими к экстрапирамидным нарушениям.
Кроме того, еще в 1946 г. была выявлена выраженная способность дезоморфина в сравнении с другими опиатами, такими как морфин, кодеин, дилаудид (гидроморф), ингибировать холинэстеразу [24]. В 2017 г. E.A. Alves с соавт. [18] выявили дозозависимую способность «крокодила» ингибировать холинестеразу с использованием галантаминположительного контроля. Была выдвинута гипотеза об образовании токсичных балластных продуктов фосфорорганических соединений «крокодила», которые потенциально могут обладать способность ингибировать холинэстеразу, помимо уже доказанного аналогичного действия дезоморфина и его кустарного аналога «крокодила». Любопытен тот факт, что нейровизуализационные данные магнитно-резонансной томографии головного мозга, а также клиническая картина отдельных экстрапирамидных нарушений у больных с отравлением фосфорорганическими соединениями (пестицидами) носят сходный с ТДЭ характер [25, 26].
Следует отметить, что дезадаптивные нейропластические процессы в ЦНС, обусловленные синдромом отмены у наркозависимых лиц на фоне хронического употребления дезоморфина, являются еще одним механизмом, реализующим нейротоксическое действие «крокодила» за счет формирования дисфункции нейротрансмиссии в опиатной, глутаматной, дофаминовой, каннабиоидной, норадренергической и нейрональных системах головного мозга, приводящих к нарушению антиноцицептивных механизмов и системы вознаграждения мозга [27, 28].
Как показывает клиническая практика, у выживших наркозависимых от «крокодила» пациентов развивается ТДЭ, характеризующаяся когнитивными, аффективными (депрессия, тревога, агрессия), двигательными и вегетативными нарушениями. Расстройства движения проявляли себя паркинсонизмом, гиперкинетическим синдромом и постуральными нарушениями [19].
В настоящее время проблема ТДЭ недостаточно освещена в отечественной и зарубежной литературе, поиск патогномоничных характеристик данного заболевания, а также способов лечения и реабилитации является актуальной задачей практической медицины.
Цель исследования — изучить клинические и нейровизуализационные особенности токсической дезоморфиновой энцефалопатии, а также возможные методы лечения.
МЕТОДЫ
Дизайн исследования
Проведен клинический анализ медицинской документации (описание серии случаев пациентов в условиях реальной клинической практики, в анамнезе которых отмечалось употребление «крокодила»).
Критерии соответствия
Средний возраст дебюта заболевания — 27 (от 22 до 39) лет; стаж употребления дезоморфина — от 1 года до 2 лет.
Условия проведения
Исследование проведено на базе ООО «Нейроклиника Карпова» (Барнаул, Алтайский край). В клинике организован специализированный амбулаторный прием пациентов, страдающих ТДЭ, что позволило сконцентрировать данную категорию больных, провести клинический анализ их заболевания, а также мониторинг симптомов на фоне лечения.
Продолжительность исследования
Продолжительность исследования составила 7 лет (с 2014 по 2021 г.).
Сбор материала был затруднен в связи с низкой приверженностью пациентов к медицинскому наблюдению и лечению, а также относительной редкостью в популяции хронических форм ТДЭ.
Описание медицинского вмешательства
Всем пациентам проводилось клиническое, физикальное и неврологическое обследование, 14 из них выполнена нейровизуализация головного мозга с помощью магнитно-резонансной (МРТ) и/или мультиспиральной компьютерной (МСКТ) томографии. Наблюдение за этими пациентами позволило обнаружить ряд характерных клинических и нейровизуализационных особенностей, которые отмечались у большинства наркозависимых.
Исходы исследования
Первичная конечная точка исследования — выявление характерных для ТДЭ клинических синдромов. Вторичные клинические точки были определены для оценки нейровизуализационных особенностей ТДЭ, а также поиска наиболее эффективных лекарственных средств для симптоматического лечения заболевания.
Основной исход исследования. Клиническое улучшение состояния пациента (ведущего синдрома заболевания) на фоне принимаемого лекарственного средства.
Дополнительные исходы исследования не определялись.
Исследование является описанием серии случаев, анализ в подгруппах не проводился.
Методы регистрации исходов
Для регистрации исхода исследования использовались данные самооценки состояния больного, а также динамическая оценка неврологического статуса при повторных визитах в клинику.
Этическая экспертиза
Этическая экспертиза не проводилась. Все пациенты подписали добровольное информированное согласие на медицинское вмешательство.
Статистический анализ
Принципы расчета размера выборки: размер выборки предварительно не рассчитывался.
Методы статистического анализа данных. Анализ результатов исследования, учитывая небольшую выборку (n=21), проводился путем выражения абсолютных величин, а также процентных показателей по отношению к выборке.
РЕЗУЛЬТАТЫ
Объекты (участники) исследования
Под нашим наблюдением находился 21 пациент (11 женщин и 10 мужчин) с ТДЭ, в анамнезе которых отмечалось употребление «крокодила». Из анамнеза больных известно, что 3 (14,2%) пациента употребляли исключительно «крокодил», 6 (28,5%) — другие опиаты (героин, «ханка»), у 6 (28,5%) отмечен эпизодический прием кустарного метамфетамина, изготовленного с применением красного фосфора («винт»), у 6 (28,5%) — употребление других опиатов и единичные эпизоды «винта». Мы наблюдали один семейный случай употребления «крокодила» с развитием ТДЭ у обоих супругов.
У всех больных отмечались выраженные постуральные расстройства и нарушение походки. В частности, при проведении пробы на постуральную неустойчивость пациенты не могли удержать центр тяжести, не были способны сделать компенсаторный шаг назад и, как следствие, падали.
Исследуемые больные не могли скоординированно и плавно принять положение сидя, вместо этого они резко опускались на стул или кресло, при этом у одной пациентки с депрессивными проявлениями наблюдалась резко положительная проба на постуральную неустойчивость на фоне минимально измененной походки и при отсутствии какого-либо очагового неврологического дефицита.
Нарушение походки было представлено мозжечковой атаксией, паркинсоническим паттерном ходьбы вследствие гипокинезии нижних конечностей и сопровождалось в большинстве случаев явлениями пропульсии и феноменом «застывания». Большинство наркозависимых могли передвигаться только с посторонней помощью (поддержкой) или с использованием трости. Со слов трех пациентов, они без особого труда могут передвигаться на двухколесном велосипеде, но при этом испытывают трудности при ходьбе и используют трость. Одна пациентка водит легковой автомобиль со стандартным управлением, без специального оборудования.
Паркинсонизм наблюдался у 20 больных из 21 и был неоднороден по своим проявлениям (от легких нарушений до выраженных), распространенности и клинической феноменологии: в частности, определялись акинетический синдром без мышечной ригидности или гипотонии (n=7; 33,3%), небольшая аксиальная ригидность или мышечная ригидность с феноменом «зубчатого колеса» (n=10; 47,6%), асимметричное повышение мышечного тонуса по пластическому типу (n=4; 19%).
Гиперкинетический синдром был представлен у 17 (80,9%) пациентов и проявлялся дистонией различной локализации с полиморфными симптомами.
Вторичный синдром Мейжа (оромандибулярная дистония + блефароспазм) отмечен у 5 пациентов, при этом у одной больной — с выраженной вовлеченностью в гиперкинез подкожной мышцы шеи (Platysma).
Дистония верхних конечностей наблюдалась в 5 случаях и была представлена у одной пациентки дистоническим высокоамплитудным тремором по типу «бьющих крыльев» с выраженным нарушением функции рук.
Наиболее часто отмечалась динамическая эквиноварусная дистония стоп с вовлечением одной или обеих конечностей (у 15/21, или 71,4% в группе наблюдения).
В большинстве случаев отмечалась сегментарная сочетаемость различных локализаций дистонии. У 4/21 пациентов гиперкинетический синдром отсутствовал. Другими клиническими особенностями были нарушение речи (у 18/21, или 85,7%) в виде дизартрии и брадилалии; пирамидный синдром (у 3/21) в виде дистальных парезов легкой и умеренной степени выраженности при отсутствии спастичности. Полинейропатия нижних конечностей, подтвержденная результатами электронейромиографии, ретроспективно отмечалась у 5/21 пациентов в остром периоде заболевания.
Таким образом, наиболее специфичными, на наш взгляд, симптомами у больных ТДЭ были выраженные постуральные нарушения, паркинсонизм, а также динамическая эквиноварусная дистония стопы (рис. 1).
Рис. 1. Эквиноварусная динамическая дистония стопы у двух мужчин, больных токсической дезоморфиновой энцефалопатией. / Fig. 1. Equinovarus dynamic dystonia of the foot in two male patients with toxic desomorphine encephalopathy.
Нейровизуализация
Нейровизуализация в различные периоды от начала заболевания проведена 14/21 пациентам (11 МРТ и 3 МСКТ головного мозга).
Обращало на себя внимание, что наиболее ранними (в период до 3 лет от дебюта заболевания) в нейровизуализационной картине пациентов с ТДЭ были симметричные очаговые изменения в области базальных ядер, ствола, мозжечка и внутренней капсулы таламуса в виде усиления интенсивности МР-сигнала в режиме Т1-взвешенных изображений (ВИ) и ослабления в режиме Т2-ВИ (7/11 случаев).
У одной пациентки через год от начала заболевания отмечалось симметричное повышение сигнала в режиме Т2-ВИ, перивентрикулярно от задних рогов боковых желудочков и базальных ядер. Повторное МРТ через 5 лет у данной больной не выявило каких-либо изменений в головном мозге.
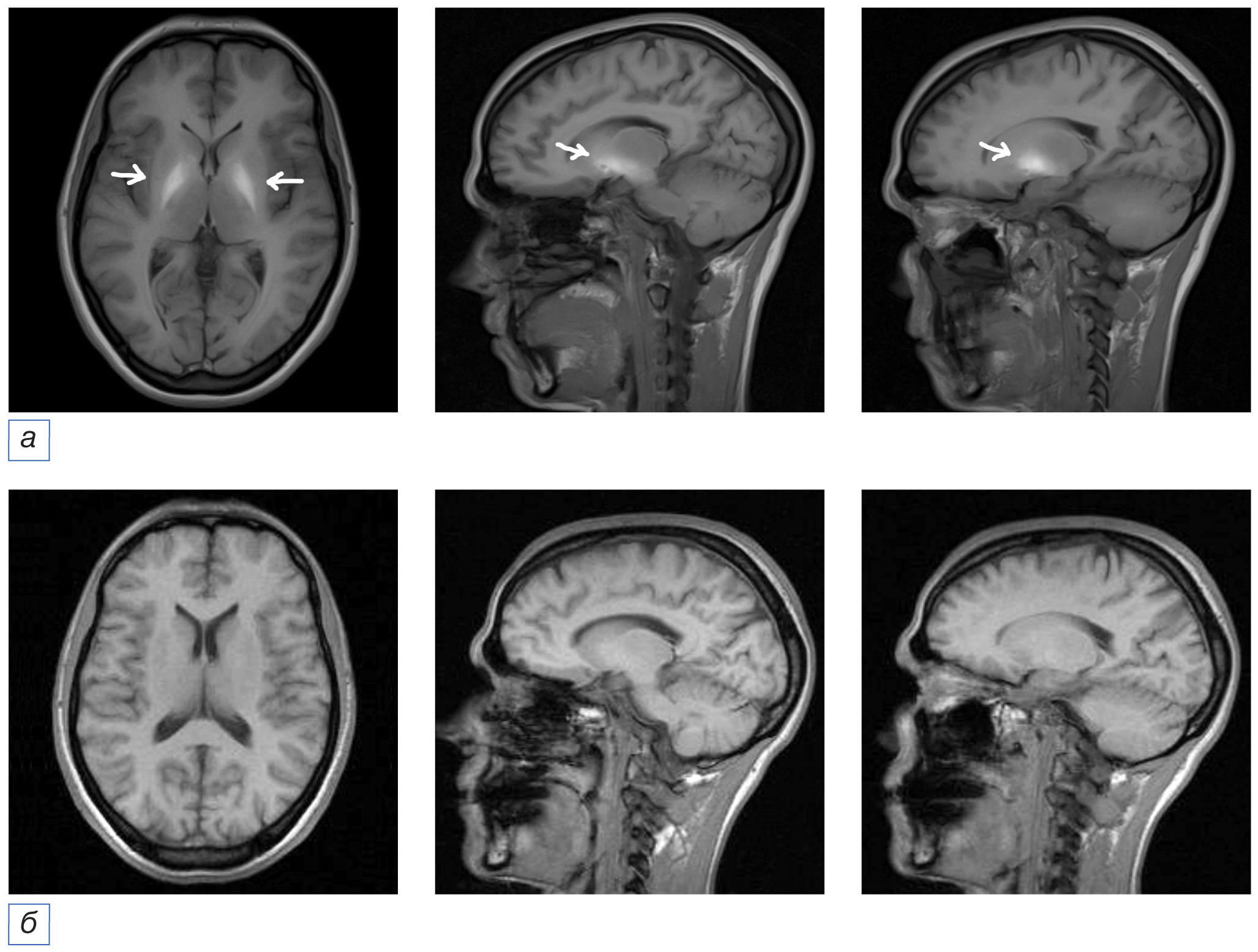
Повторное МРТ головного мозга проведено 5 пациентам из 11, прошедших данное исследование в первые 3 года от дебюта заболевания: в динамике отмечался регресс ранее наблюдаемого повышения сигналов от структур мозга (рис. 2).
Рис. 2. Пациентка Б., диагноз токсической дезоморфиновой энцефалопатии. МРТ головного мозга, аксиальная и сагиттальная проекции: а (исследование 2012 г., 32 года, длительность заболевания 1 год) — определяются симметричные зоны повышенного МР-сигнала по Т1-ВИ от базальных ядер (в структурах скорлупы и хвостатых ядер, задних ножках внутренней капсулы, а также по ходу кортикоспинальных трактов, в ножках мозга); б (исследование 2021 г., 41 год, длительность заболевания 10 лет) — в сравнении с предыдущим исследованием ранее выявленные симметричные зоны повышенного МР-сигнала по Т1-ВИ от базальных ядер (в структурах скорлупы и хвостатых ядер, задних ножках внутренней капсулы) не определяются. / Fig. 2. Patient B., diagnosis of toxic desomorphine encephalopathy. Brain MRI, axial and sagittal projections: a (2012 study, 32-year-old, the disease duration was about 1 year) — symmetrical zones of increased MR signal according to TI1-WI from the basal ganglia are determined (in the structures of the putamen and caudate nuclei, the posterior legs of the internal capsule, as well as along the cortico-spinal tracts, in the legs of the brain); б (2021 study, 41 years old, disease duration 10 years) — in comparison with the previous study from 2012, previously identified symmetrical areas of increased MR signal according to T1-WI from the basal ganglia (in the structures of the putamen and caudate nuclei, posterior legs of the internal capsule) are not detected.
У одной пациентки отмечалось последовательное повышение сигнала в режиме Т1-ВИ в течение 1 года от начала заболевания от структур бледного шара, таламуса и ножек среднего мозга и понижение в режимах Т2-ВИ и FLAIR от данных образований. В динамике МРТ через 3 года отмечена реверсия сигнала, т.е. повышение в Т2- и в Т1-режиме от таламуса и базальных ядер. Дальнейшее выполнение МРТ головного мозга через 2 года (5–6 лет от дебюта заболевания) не выявило каких-либо изменений. МРТ у 2 больных, проведенное впервые после 3 и более лет от дебюта заболевания, было без особенностей.
Любопытно заметить, что у одного больного ТДЭ отсутствовали какие-либо отклонения по данным МРТ и МСКТ, несмотря на выраженные клинические проявления заболевания.
Другие методы исследования
У одного больного ТДЭ в возрасте 31 года с длительностью заболевания 3 года, клиническими проявлениями паркинсонизма, выраженными постуральными нарушениями, двусторонней динамической эквиноварусной дистонией стоп проводилась магнитная стимуляция пирамидного тракта с порогом возбудимости. В заключение отмечено снижение возбудимости мотонейронов коры в представительстве верхних и нижних конечностей с обеих сторон, а также замедление проведения по короткопроводящим путям пирамидного тракта (моторная зона коры — нижнешейные сегменты спинного мозга) с обеих сторон.
Лечение токсической дезоморфиновой энцефалопатии
В настоящее время лечения ТДЭ не разработано. Применяются симптоматические средства, выбор которых носит эмпирический характер с учетом имеющихся синдромов. Основным направлением в ведении пациентов с ТДЭ остается коррекция имеющихся двигательных расстройств как наиболее инвалидизирующих факторов. Всем пациентам подбиралась эмпирическая симптоматическая терапия исходя из ведущего синдрома.
Учитывая низкую комплаентность некоторых больных, не представлялось возможным оценить эффективность и переносимость лечения, в связи с чем представляем результаты только тех пациентов, за которыми осуществлялось динамическое наблюдение.
Основным направлением являлась коррекция двигательных расстройств — наиболее инвалидизирующих факторов. С целью лечения гиперкинеза (дистония, дистонический тремор) применялись амантадин, бипериден, баклофен, рисперидон, ботулинический токсин типа А. Для терапии паркинсонизма назначались препараты леводопы, амантадин, бипериден.
Эффективность биперидена оценивалась у 11 человек с ТДЭ. По результатам лечения отмечалась положительная динамика в виде уменьшения выраженности дистонии и в меньшей степени паркинсонизма у всех больных группы наблюдения. Улучшения постуральной функции на фоне приема биперидена не отмечалось. Ограничением к повышению дозы или продолжению приема препарата у некоторых больных (у 2/11) послужили дозозависимые побочные эффекты, связанные с холинолитическим действием биперидена (сухость во рту, запоры, тахикардия, седативное действие). В большинстве случаев препарат переносился удовлетворительно, особенно при медленной титрации дозы и информировании пациента о возможных временных побочных эффектах.
Препараты леводопы в дозе более 750 мг/сут были оценены у 8 пациентов с ТДЭ и показали умеренный положительный эффект в 3 случаях, кратковременное действие — в 5. У 2 пациентов отмечался выраженный положительный эффект на леводопу (пациентки могли самостоятельно передвигаться, ходили без опоры, значительно уменьшились гипокинезия и постуральные нарушения), но, к сожалению, сохранялся не более 3–5 дней и полностью исчезал даже при увеличении дозы.
Амантадин назначался 9 пациентам группы наблюдения: умеренная эффективность отмечена у одной пациентки в отношении паркинсонизма, у 8 человек был неэффективен в отношении любых симптомов заболевания.
Ботулинотерапия применялась в 3 случаях: ботулинический токсин типа А (абоботулотоксин) оказывал значимый положительный эффект при блефароспазме и оромандибулярной дистонии у 2 пациенток, был умеренно эффективен при дистоническом треморе и эквиноварусной динамической дистонической установке стопы у 1 пациентки, в том числе при повторных инъекциях. Отмечалась удовлетворительная переносимость инъекций ботулинического токсина.
Баклофен, рисперидон не оказали значимых положительных влияний на гиперкинезы (табл. 2).
Таблица 2. Эмпирическая терапия токсической дезоморфиновой энцефалопатии (собственные наблюдения) / Table 2. Empiric therapy for toxic desomorphine encephalopathy (own observations)
Лекарственное средство | Число пациентов, n | Число пациентов с эффективностью симптомов ТДЭ, n | |||||
Паркинсонизм | Дистония | Постуральные нарушения | |||||
Бипериден | 11 | 11 | ± | 11 | + | 0 | - |
Леводопа | 8 | 3 5 | + ± | 0 | - | 0 | - |
Амантадин | 9 | 1 | + | 0 | - | 0 | - |
Ботулинический токсин типа А | 3 | 0 | - | 3 | + | 0 | - |
Баклофен | 1 | 0 | - | 0 | - | 0 | - |
Рисперидон | 1 | 0 | - | 0 | - | 0 | - |
Примечание. «+» — эффективен; «±» — слабая эффективность или мало данных; «-» — неэффективен. ТДЭ — токсическая дезоморфиновая энцефалопатия.
Note: “+” — effective; “±” — weak efficiency or little data; “-” — ineffective. ТДЭ — toxic desomorphine encephalopathy.
ОБСУЖДЕНИЕ
Наше клиническое наблюдение обнаружило причинно-следственную связь употребления «крокодила» и возникновения неврологических нарушений. Нейротоксический агент в настоящее время достоверно неизвестен. Складывается впечатление о «крокодиле» как о мощном ингибиторе холинэстеразы за счет собственного фармакологического действия дезоморфина, о чем было сказано выше [24], а также возможного синтеза в кустарных условиях фосфорсодержащих органических соединений, которые могут обладать дополнительным ингибирующим действием на холинэстеразу [18].
Этиопатогенез может отличаться от токсического действия марганца, характерного для эфедроновой энцефалопатии, при этом клинические проявления весьма схожи, так как в обоих случаях происходит поражение структур экстрапирамидной системы [22, 23]. Данные нейровизуализации, в частности МРТ, показали схожую картину с эфедроновой энцефалопатией [22, 23]: двустороннее усиление МР-сигнала в режиме Т1-ВИ, ослабление — в Т2-ВИ от базальных ядер, среднего мозга, а также мозжечка и таламуса. Схожие данные при ТДЭ были описаны ранее [19]. Данный факт может свидетельствовать о парамагнитном свойстве нейротоксического агента, однако есть данные, что схожая МР-картина может присутствовать при отравлении пестицидами (фосфорорганическими соединениями, ФОС) — ингибиторами холинэстеразы [29]. В другом исследовании отравление ФОС показало повышение МР-сигнала в режиме Т2-ВИ, что, впрочем, специфично также при некоторых случаях ТДЭ и может характеризовать реверсию МР-сигнала [25, 26]. D. Goel с соавт. [29] приводят вероятные механизмы изменения МР-сигнала при отравлении ФОС: избирательное связывание определенных ионов с пораженной областью, как при марганцевой интоксикации; отек и набухание клеток из-за дисфункции митохондрий, как при отравлении цианидом, или наличия большого количества отекших клеток нейроглии (астроцитов) в локальном участке мозга. Возможно, токсические вещества «крокодила» могут иметь тропность к холинергическим нейронам подкорковых ядер и таламуса. Исчезновение данных сигналов в течение времени говорит об элиминации его из ЦНС, что было показано по результатам МРТ головного мозга в динамике, а также при первичном сканировании в сроки позже 3 лет от дебюта заболевания.
Наблюдение семейной пары, где оба супруга были зависимы от «крокодила» и, вероятно, принимали наркотик одного состава, показало следующие результаты. У мужчины преобладал акинетический синдром: МРТ и МСКТ головного мозга не выявили каких-либо отклонений. У женщины преобладал гиперкинетический синдром в виде мультифокальной дистонии, дистонического хореиформного гиперкинеза верхних конечностей (тремора) по типу «бьющих крыльев»; МРТ головного мозга в Т1-режиме показала симметричное умеренное повышение сигнала от внутренних капсул с двух сторон в раннем периоде. Особенности нейровизуализации при ТДЭ, несомненно, требуют дальнейшего изучения.
Клинические проявления ТДЭ характеризовались экстрапирамидными и постуральными расстройствами, дизартрией, пирамидным синдромом. Наши данные соответствуют наблюдениям, описанным ранее [19]. При этом экстрапирамидные проявления заболевания в виде паркинсонизма и гиперкинетического синдрома преобладали и были наиболее инвалидизирующими. Можно также сказать об облигатном симптоме — постуральных нарушениях и резко положительном тесте на постуральную неустойчивость, который отмечался у всех наблюдаемых нами пациентов с ТДЭ. Клинические данные соотносятся с МРТ-картиной, где также преобладают изменения, характерные для поражения экстрапирамидной системы. Следует отметить, что ряд авторов отмечал сходную клиническую картину поражения экстрапирамидной системы при отравлении пестицидами (ФОС) — ингибиторами холинэстеразы [25, 26, 29].
Симптоматическая эмпирическая терапия наметила стратегические направления в выборе лекарственного средства. В случае преобладания акинетического синдрома следует рассмотреть применение амантадина и препаратов леводопы. Есть определенная вероятность слабой эффективности или непродолжительного эффекта, как было показано в нашем наблюдении. Если имеется преобладание гиперкинетического синдрома (дистония, тремор), можно рассмотреть назначение холинолитиков, например биперидена и/или ботулинического токсина. Данный подход показал свою эффективность при эфедроновой энцефалопатии [22, 23]. Следует отметить, что наибольшая эффективность холинолитиков при ТДЭ может быть обусловлена уменьшением влияния ацетилхолина на холинергические структуры и выравниванием нейромедиаторного баланса между ацетилхолином и дофамином, который может лежать в основе клинических проявлений ТДЭ.
При тревоге и депрессии также могут быть полезными антидепрессанты.
Перспективным может быть использование дезинтоксикационной терапии в остром периоде, в том числе специфической (антидоты), например холинолитиков, что позволило бы избежать как общего, так нейротоксического воздействия «крокодила». Вопрос о применении данного подхода остается открытым.
ЗАКЛЮЧЕНИЕ
До недавних пор наблюдалась тенденция существенного сокращения количества наркозависимых лиц, употребляющих «крокодил». В то же время на постсоветском пространстве существует большое количество пострадавших от этого суррогатного наркотика, в том числе больные с поражением нервной системы. Эти люди хотят полноценно интегрироваться в общество и быть полезными. Многие из них участвуют в волонтерской деятельности, оказывая помощь и поддерживая других наркозависимых «в борьбе» с наркотиком. Важными задачами врачебного сообщества и государства являются всестороннее содействие этой категории пациентов, исследование причин и последствий наркомании, а также разработка методов лечения и профилактики.
ДОПОЛНИТЕЛЬНАЯ ИНФОРМАЦИЯ
Вклад авторов. Авторы подтверждают соответствие своего авторства международным критериям ICMJE (все авторы внесли существенный вклад в разработку концепции, проведение исследования и подготовку статьи, прочли и одобрили финальную версию перед публикацией).
Author contribution. The authors made a substantial contribution to the conception of the work, acquisition, analysis, interpretation of data for the work, drafting and revising the work, final approval of the version to be published and agree to be accountable for all aspects of the work.
Источник финансирования. Исследование и публикация статьи осуществлены на личные средства авторского коллектива.
Funding source. The study had no sponsorship.
Конфликт интересов. Авторы декларируют отсутствие явных и потенциальных конфликтов интересов, связанных с публикацией настоящей статьи.
Competing interests. The authors declare that they have no competing interests.
1 Режим доступа: https://base.garant.ru/12188230/. Дата обращения: 15.01.2022.
2 РуАН. Глава ФСКН: рынок дезоморфина в России почти полностью ликвидирован [20 марта 2014]. Режим доступа: http://ru-an.info/n/735/. Дата обращения: 15.01.2022.
3 Режим доступа: http://www.consultant.ru/document/cons_doc_LAW_41429/. Дата обращения: 15.01.2022.
About the authors
Sergey E. Nartov
Karpov’s Neuroclinic Co.
Author for correspondence.
Email: nartowv@mail.ru
ORCID iD: 0000-0002-2070-609X
SPIN-code: 9018-1882
MD, neurologist
Russian Federation, 116A, Sotsialisticheskiy pr-t, Altai Region, Barnaul, 656031Ekaterina V. Parkhomenko
Altai State Medical University
Email: parekva@mail.ru
ORCID iD: 0000-0003-0489-9845
SPIN-code: 5333-6031
MD, PhD, Аssociate Professor
Russian Federation, BarnaulEvgenia V. Ekusheva
Academy of Postgraduate Education “Federal Research and Clinical Center for Specialized Medical Care Types and Medical Technologies, Federal Biomedical Agency of Russia”; Belgorod State National Research University
Email: ekushevaev@mail.ru
ORCID iD: 0000-0002-3638-6094
SPIN-code: 8828-0015
MD, PhD, Professor
Russian Federation, Moscow; BelgorodDenis Yu. Karpov
Regional state budget health institution City Hospital No. 5
Email: dr_karpov@list.ru
MD, PhD, neurologist
Russian Federation, 75, Zmeinogorsky tract, Barnaul, Altai Krai, 656045References
- World Drug Report 2018 United Nations publication, Sales No. E.18.XI.9. Available from: https://www.unodc.org/wdr2018/
- Grund JC, Latypov A, Harris M. Breaking worse: the emergence of Krokodil and excessive injuries among people who inject drugs in Eurasia. Int J Drug Policy. 2013;24(4):265–74. doi: 10.1016/j.drugpo.2013.04.007
- Gilbert L, Primbetova S, Nikitin D, et al. Redressing the epidemics of opioid overdose and HIV among people who inject drugs in Central Asia: the need for a syndemic approach. Drug Alcohol Depend. 2013;132(01):S56–S60. doi: 10.1016/j.drugalcdep.2013.07.017
- Booth RE. “Krokodil” and other home-produced drugs for injection: a perspective from Ukraine. Int J Drug Policy. 2013; 24(4):277–278. doi: 10.1016/j.drugpo.2013.05.009
- Otiashvili D, Tabatadze M, Balanchivadze N, Kirtadze I. Policing, massive street drug testing and poly-substance use chaos in Georgia — a policy case study. Substance Abuse Treatment, Prevention, and Policy. 2016;11:4. doi: 10.1186/s13011-016-0049-2
- Hearne E, Grund JC, van Hout MC, McVeigh J. A scoping review of home-produced heroin and amphetamine-type stimulant substitutes: implications for prevention, treatment, and policy. Harm Reduct J. 2016;13:14. doi: 10.1186/s12954-016-0105-2
- Thekkemuriyi DV, John SG, Pillai U. “Krokodil” — a designer drug from across the Atlantic, with serious consequences. Am J Med. 2014;127(3):e1–2. doi: 10.1016/j.amjmed.2013.09.030
- Катаев C.C., Зеленина Н.Б., Шилова Е.А. Определение дезоморфина в моче // Проблемы экспертизы в медицине. 2007. Т. 7, № 1. С. 32–36. [Kataev SS, Zelenina NB, Shilova EA. Determination of desomorphine in urine. Problems of Expertise in Medicine. 2007;7(1):32–36. (In Russ).]
- Eddy NB. Synthetic substances with morphinelike effect: clinical experience; potency, sideeffects, addiction liability. Bull World Health Organ. 1957;17(45):569–863.
- Nordal A. Natural and synthetic drugs with morphine-like effects considered from a pharmacognostic point of view. Bulletin on Narcotics. 1956;VIII(1):18–27.
- Neves JF, Alves EA, Soares JX, et al. Data analysis of “Krokodil” samples obtained by street-like synthesis Data Brief. 2016;6:83–88. doi: 10.1016/j.dib.2015.11.046
- Zheluk A, Quinn C, Meylakhs P. Internet search and Krokodil in the Russian Federation: an infoveillance study. J Med Internet Res. 2014;16(9):e212. doi: 10.2196/jmir.3203
- Alves EA, Soares JX, Afonso CM, et al. The harmful chemistry behind “krokodil”: street-like synthesis and product analysis. Forensic Sci Int. 2015;257:76–82. doi: 10.1016/j.forsciint.2015.07.042
- Alves EA, Grund JC, Afonso CM, et al. The harmful chemistry behind Krokodil (desomorphine) synthesis and mechanisms of toxicity. Forensic Science Int. 2015;249:207–213. doi: 10.1016/j.forsciint.2015.02.001
- Gahr M, Freudenmann RW, Hiemke C, et al. Desomorphine goes “crocodile”. J Addict Dis. 2012;(31):407–412.
- Thekkemuriyi DV, John SG, Pillai U. “Krokodil” — a designer drug from across the Atlantic, with serious consequences. Am J Med. 2014;127:e1–e2.
- Azbel L, Dvoryak S, Altice FL. “Krokodil” and what a long strange trip it’s been. Int J Drug Policy. 2013;24:279–280.
- Alves EA, Brandro P, Neves JF, et al. Repeated subcutaneous administrations of krokodil causes skin necrosis and internal organs toxicity in Wistar rats: putative human implications. Hum Psychopharmacol Clin Exp. 2017;32:e2572. doi: 10.1002/hup.2572
- Мухамедзянова Р.И., Белопасов В.В., Куликов И.А., Корецкая Л.Р. Неврологические проявления дезоморфиновой наркомании // Неврология и нейрохирургия Восточной Европы. 2012. № 4. С. 13–20. [Mukhametzyanova RI, Belopasov VV, Kulikov IA, Koretskaya LR. Neurological manifestations of deomorphine addiction. Neurology and Neurosurgery of Eastern Europe. 2012;(4):13–20. (In Russ).]
- Abbruscato TJ, Trippier PC. DARK classics in chemical neuroscience: methamphetamine. ACS Chem Neurosci. 2018;9(10): 2373–2378. doi: 10.1021/acschemneuro.8b00123
- Methamphetamine — Department of Electrical Engineering. Pharmacology. Р. 1–19. Available from: https://studyres.com/doc/7831317/methamphetamine---department-of-electrical-engineering?__cf_chl_managed_tk__=pmd_6506df0f08f37db11198c6ebd525ca06f45a6434-1628698283-0-gqNtZGzNAw2jcnBszRE6#
- Левин О.С. Эфедроновая энцефалопатия // Журнал неврологии и психиатрии им. C.C. Корсакова. 2005. Т. 105, № 7. С. 12–20. [Levin OS. Ephedron encephalopathy. Journal of Neurology and Psychiatry named after C.C. Korsakov. 2005;105(7):12–20. (In Russ).]
- Левин О.С., Датиева В.К. Применение биперидена (акинетона) у больных эфедроновой энцефалопатией // Журнал неврологии и психиатрии им. C.C. Корсакова. 2013. Т. 113, № 8. С. 33–37. [Levin OS, Datieva VK. The use of biperiden (akineton) in patients with ephedron encephalopathy. Journal of Neurology and Psychiatry named after C.C. Korsakov. 2013;113(8): 33–37. (In Russ).]
- Wright CI, Sabine JC. The inactivation of cholinesterase by morphine, dilaudid, codeine and desomorphine. J Pharm Exp Ther. 1943;78:375–385.
- Hsieh BH, Deng JF, Ger J, Tsai WJ. Acetylcholinesterase inhibition and the extrapyramidal syndrome: a review of the neurotoxicity of organophosphate. NeuroToxicology. 2001;22: 423–427. doi: 10.1016/s0161-813x(01)00044-4
- Panda AK, Kiran BK, Lomesh BL. Extrapyramidal syndrome. BMJ Case Rep. 2014;2014:bcr2013009752. doi: 10.1136/bcr-2013-009752
- Kim J, Ham S, Hong H, et al. Brain reward circuits in morphine addiction. Mol Cells. 2016;39(9):645–653. doi: 10.14348/molcells.2016.0137
- Colleen A. McClung. The molecular mechanisms of morphine addiction. Rev Neurosci. 2006;17:393–402.
- Goel D, Singhal A, Srivastav KR, et al. Magnetic resonance imaging changes in a case after acute organophosphate poisoning. Neurol India. 2006;54:207–209.
Supplementary files





