Congenital lobar emphysema in 16-year-old girl: clinical observation
- Authors: Samsonova M.V.1, Mikhaylichenko K.Y.1, Chernyayev A.L.1,2,3, Chernyak A.V.1, Tyurin I.Y.4, Stepanyan I.E.5
-
Affiliations:
- Research Institute of Pulmonology of the Federal Medical-Biological Agency of Russia
- Research Institute of Human Morphology
- Pirogov Russian National Research Medical University
- Russian Medical Academy of Continuous Professional Education
- Central TB Research Institute
- Issue: Vol 9, No 4 (2018)
- Pages: 80-83
- Section: Case reports
- Submitted: 20.12.2018
- Accepted: 22.01.2019
- Published: 15.12.2018
- URL: https://clinpractice.ru/clinpractice/article/view/10744
- DOI: https://doi.org/10.17816/clinpract9480-83
- ID: 10744
Cite item
Full Text
Abstract
Congenital lobar emphysema is a rare variant of lung malformation, which is characterized by hyperinflation of one or more lobes, usually diagnosed in early childhood. In this article, we demonstrate a clinical case of asymptomatic middle lobe emphysema diagnosed in a 16-year-old girl.
Full Text
ВВЕДЕНИЕ
Врожденная лобарная эмфизема (ВЛЭ) — редкий вариант врожденной аномалии легкого, диагностируемый у 95% пациентов в первые 6 мес после рождения или ранее. ВЛЭ чаще встречается у представителей мужского пола (соотношение М:Ж — 3:1), по частоте поражения преобладает локализация в верхней доле левого легкого. Этиологию ВЛЭ не всегда удается установить, примерно в 50% наблюдений причина развития заболевания остается неизвестной. В литературе описаны лишь немногочисленные наблюдения ВЛЭ у взрослых [1–3].
Приводим собственное клиническое наблюдение.
ОПИСАНИЕ КЛИНИЧЕСКОГО НАБЛЮДЕНИЯ
Девушка, 16 лет, с рождения росла и развивалась нормально. В 6-месячном возрасте перенесла пневмонию, которая разрешилась после тераприии антибактериальными препаратами. В 2016 г. родители заметили изменение формы грудной клетки. В марте 2018 г. при диспансеризации на рентгенограмме органов грудной клетки (ОГК) было обнаружено смещение средостения в левую сторону. В последующем были выполнены компьютерная томография (КТ) ОГК, радиоизотопное исследование, магнитно-резонансная томография грудной полости, по результатам которых выявлена эмфизема средней доли правого легкого, смещение средостения влево, дефицит перфузии в правом легком.
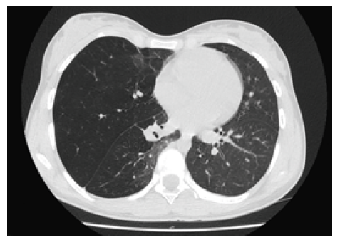
При КТ с внутривенным контрастированием от 06.04.2018 в верхней и нижней долях правого легкого были выявлены участки уплотнения легочной ткани по типу «матового стекла», фиброзные тяжи и спайки в правой плевральной полости, средняя доля находилась в состоянии гиперинфляции, средостение смещено в сторону левого легкого (рис. 1). При этом верхне- и нижнедолевые бронхи правого легкого были отечны и несколько деформированы. Левое легкое без видимой патологии. При сцинтиграфии от 05.04.2018 было обнаружено резкое снижение накопления радиофарм препарата во всех долях правого легкого, подтверждающее дефицит перфузии (рис. 2). При бронхоскопии, выполненной 09.04.2018, выявлено, что устье правого среднедолевого бронха имеет щелевидную форму: было сделано заключение о пороке развития правого легкого. При ультразвуковом исследовании брюшной полости патологии не обнаружено.
12.04.2018 выполнена торакоскопическая резекция средней доли правого легкого. После ее удаления верхняя и нижняя доли были расправлены. В послеоперационном периоде состояние больной оставалось стабильным. На 11-е сут после операции сохранялся сброс воздуха из правой плевральной полости. Дренажи были удалены на 14-е сут после операции. В настоящее время состояние больной удовлетворительное, жалоб не предъявляет.
Рис. 1. Перфузионная сцинтиграфия легких: дефицит перфузии в правом легком (вид спереди)
Рис. 2. Аксиальный скан КТ ОГК гиперинфляция средней доли правого легкого, частичная компрессия нижней доли, смещение средостения влево
При гистологическом исследовании операционного материала выявлены очаговый фиброз висцеральной плевры, периваскулярные и перибронхиолярные лимфоидные инфильтраты, множественные тонкостенные полости, в стенках отдельных полостей — очаговые лимфоидные инфильтраты, скопления пигментированных макрофагов, плоскоклеточная метаплазия эпителия субсегментарного бронха со слабовыраженной лимфоидной инфильтрацией собственной пластинки слизистой оболочки, расширение альвеолярных ходов и альвеол (рис. 3).
Рис.3. Гистологические признаки расширения альвеолярных ходов и альвеол
В предоперационном периоде исследование функции внешнего дыхания выполнено не было. Оценка функционального состояния легких была проведена через 2 мес после среднедолевой лобэктомии, результаты свидетельствовали об умеренно выраженных обструктивных нарушениях: ОФВ1 53% от должных величин, ЖЕЛ 75%, ОЕЛ 121%, ВГО 180% — показатели гиперинфляции; ОО 264%, ОО/ОЕЛ 53,5 — признаки воздушных ловушек; диффузионная способность легких не нарушена (85%).
На основании клинических данных, КТ ОГК, сцинтиграфического исследования и гистологических изменений был сформулирован диагноз: «Врожденная лобарная эмфизема средней доли правого легкого».
ВРОЖДЕННАЯ ЛОБАРНАЯ ЭМФИЗЕМА: ОБСУЖДЕНИЕ
Врожденная лобарная эмфизема была впервые описана в 1932 г. Ричардом Нельсоном (Richard Nelson) [3, 4]. ВЛЭ является одной из аномалий развития легких, которая характеризуется гиперинфляцией одной или нескольких долей легкого с компрессией окружающей ткани легкого и смещением средостения в контралатеральную сторону. Частота встречаемости ВЛЭ составляет 1 на 20 000–30 000 [5], у мужчин встречаетcя чаще, чем у женщин. ВЛЭ в 95% наблюдений диагностируется в первые 6 мес после рождения, у 1/3 пациентов — в течение нескольких часов после рождения. Наиболее часто имеет место поражение верхней левой доли, правой верхней доли и правой средней доли [6, 7]. В настоящем сообщении представлено наблюдение ВЛЭ с поражением средней доли правого легкого, диагностированной у девушки 16 лет.
Наиболее частой причиной развития ВЛЭ является обструкция дыхательных путей (бронхов), что обу- словлено отсутствием бронхиальных хрящевых пластинок, атрезией бронха, бронхиальным стенозом, бронхомаляцией, наличием мекония и/или инородного тела, слизистыми пробками, гранулематозным воспалением в стенке бронха, аномалией сосудов, наличием тератомы. Однако в 25–50% наблюдений причина остается неизвестной. В 10% наблюдений у больных ВЛЭ наблюдается врожденная патология сердца [8, 9]. У нашей пациентки сужение среднедолевого бронха было зарегистрировано при бронхоскопии, однако не подтверждено при анализе КТ. При гистологическом исследовании мы не могли оценить состояние хрящевых пластинок бронхов, т.к. в представленном нам материале не встретилось хрящевых бронхов. Таким образом, причина развития ВЛЭ в данном наблюдении не была установлена.
Клинически ВЛЭ характеризуется одышкой, тахи- пноэ, цианозом, усилением работы вспомогательных дыхательных мышц, изменением конфигурации грудной клетки, кашлем, развивающимся в течение несколько дней после рождения более чем в половине наблюдений. Описано возможное развитие пневмонии или пневмотораксов [10]. В настоящем наблюдении имело место бессимптомное течение заболевания, что часто встречается у взрослых пациентов [1–3, 6]. Диагноз ВЛЭ устанавливают на основании клинической картины, рентгенографии/КТ ОГК и сцинтиграфии легких.
Дифференциальную диагностику следует проводить с пневмотораксом, врожденной легочной мальформацией дыхательных путей, аденоматозной мальформацией, бронхолегочной секвестрацией, бронхогенными кистами, врожденной диафрагмальной грыжей, отсутствием легочной артерии в одном из легких, синдромом Суайра–Джеймса–Маклеода (Swyer-James-Macleod syndrome), при котором имеет место гипоплазия легочной артерии в сочетании с гиперинфляцией [11]. Традиционным лечением является резекция пораженной доли [12], однако улучшение методов рентгенологической диагностики приводит к увеличению числа пациентов с бессимтомным течением болезни: в этих случаях рекомендуется консервативная терапия [13].
При гистологическом исследовании выявляются изменения, характерные для эмфиземы легкого, в виде расширения альвеолярных ходов и «обмеления» альвеол [5]: такие же изменения были выявлены при гистологическом исследовании в настоящем наблюдении.
ЗАКЛЮЧЕНИЕ
В приведенном выше наблюдении имела место ВЛЭ, вероятнее всего, связанная с врожденной деформацией правого среднедолевого бронха, которая, однако, не была окончательно доказана, дефицитом перфузии правого легкого, обнаруженной при сцинтиграфическом исследовании. Нарушение перфузии легкого, возможно, связано с компрессией сосудов деформированным среднедолевым бронхом или с врожденной аномалией сосудов правого легкого.
В доступной нам литературе было обнаружено только четыре описания ВЛЭ у взрослых больных, протекавшей бессимптомно [1–3, 6]. Данное наблюдение было доложено и обсуждено на клиническом разборе в рамках XXVIII Национального конгресса по болезням органов дыхания.
About the authors
M. V. Samsonova
Research Institute of Pulmonology of the Federal Medical-Biological Agency of Russia
Author for correspondence.
Email: samary@mail.ru
ORCID iD: 0000-0001-8170-1260
SPIN-code: 9525-9085
Head of the Department
Russian Federation, 28, Orekchovy Boulevard, Moscow, 115682K. Yu. Mikhaylichenko
Research Institute of Pulmonology of the Federal Medical-Biological Agency of Russia
Email: kirr.mih@gmail.com
ORCID iD: 0000-0002-9795-7022
науч. сотр. лаборатории патологической анатомии
Russian Federation, 28, Orekchovy Boulevard, Moscow, 115682A. L. Chernyayev
Research Institute of Pulmonology of the Federal Medical-Biological Agency of Russia; Research Institute of Human Morphology; Pirogov Russian National Research Medical University
Email: cheral12@gmail.com
ORCID iD: 0000-0003-0973-9250
SPIN-code: 4433-4567
докт. мед. на ук, профессор, заведующий отделом фундаментальной пульмонологии ФГБУ ФГБУ «НИИ пульмонологии» ФМБА России; ведущий научный сотрудник ФГБНУ «Научно-исследовательский институт морфологии человека»; профессор кафедры патологической анатомии и клинической патологической анатомии лечебного факультета ФГБОУ ВО «Российский национальный исследовательский медицинский университет имени Н.И. Пирогова» Минздрава России
Russian Federation, 28, Orekchovy Boulevard, Moscow, 115682; 3, Tsuryupy street, Moscow, 117418; 1, Ostrovityanova street, Moscow, 117997A. V. Chernyak
Research Institute of Pulmonology of the Federal Medical-Biological Agency of Russia
Email: achi2000@mail.ru
ORCID iD: 0000-0002-2001-5504
SPIN-code: 9328-6440
канд. мед. наук, заведующий лабораторией функциональных и ультразвуковых методов исследования
Russian Federation, 28, Orekchovy Boulevard, Moscow, 115682I. Ye. Tyurin
Russian Medical Academy of Continuous Professional Education
Email: igortyurin@gmail.com
ORCID iD: 0000-0003-3931-1431
докт. мед. наук, профессор, заведующий кафедрой рентгенологии и радиологии
Russian Federation, 2/1, Barrikadnaya st., Moscow, 125993I. E. Stepanyan
Central TB Research Institute
Email: drstepanyan@mail.ru
ORCID iD: 0000-0002-2985-3379
докт. мед. наук, профессор, ведущий науч. сотр., советник директора
Russian Federation, 2, Yauzskaya Alley, Moscow, 107564References
- Sadaqat M, Malic JA, Karim R. Congenital lobar emphysema in an adult. Lung India. 2011;28(1):67–69. doi: 10.4103/0970-2113.76307.
- Canneto B, Carreta A, Vagani A, et al. [Congenital lobar emphysema in adults. (Article in Italian).] Minerva Chir. 2000;55(5):353–356.
- Caliskan T, Okutan O, Ciftci F. Congenital Lobar Emphysema. Evrasian J Pulmonol. 2014;16:50–53.
- Nelson RL. Congenital cystic disease of the lung: report of a case. J Pediatr. 1932;1:233–238.
- Parikh DH, Crabbe DC, Auldist AW, Rothenberg SS, editors. Pediatric thoracic surgery. Springer-Verlag London Limited; 2009. p. 407–410.
- Datta AK, Mandal S, Jana JK. Congenital lobar emphysema: a case report. Cases J. 2009;2(1):67. doi: 10.1186/1757-1626-2-67.
- Mendeloff EN. Sequestrations, congenital cystic adenomatoid malformations, and congenital lobar emph-ysema. Semin Thorac Cardiovasc Surg. 2004;16(3):209–214. doi: 10.1053/j.semtcvs.2004.08.007.
- Krummel TK. Congenital malformations of the lower respiratory tract. In: Chernick V, Boat TF, eds. Kendig, s disorders of the respiratory tract in children, 6th ed. Philadelphia: WB Saunders; 1998. рр. 305–307.
- Khemiri M, Ouederni M, Ben Mansour F, Barasaoui S. Bronchogenic cyst: an uncommon cause of congenital lobar emphysema. Respir Med. 2008;102(11):1663–1666. doi: 10.1016/j.rmed.2008.07.001.
- Powers JE, Counselman FL. Congenital lobar emphysema: tube thoracostomy not treatment. Pediatr Emerg Care. 2005;21(11):760–762. doi: 10.1097/01.pec.0000186432.82085.bf.
- Capela C, Gouveia P, Sousa M, Regadas MJ. Adult diagnosis of Swyer-James-Macleod syndrome: a case report. J Med Case Rep. 2011;5:2. doi: 10.1186/1752-1947-5-2.
- Dogan R, Demircin M, Sarigul A, et al. Surgical management of congenital lobar emphysema. Turk J Pediatr. 1997;39(1):35–44.
- Ceran S, Altuntas B, Sunam GS, Bulut I. Congenital lobar emphysema: is surgery routinely necessary? Afr J Paediatr Surg. 2010;7(1):36–37. doi: 10.4103/0189-6725.59360.
Supplementary files






