Efficacy of combined use of anti-VEGF (Aflibercept) and lasercoagulation for corneal neovascularisation before keratoplasty
- Authors: Mamikonyan V.R.1, Malozhen S.A.1, Krakhmaleva D.A.1, Trufanov S.V.1, Pivin E.A.1
-
Affiliations:
- FSBI "Research Institute of Eye Diseases"
- Issue: Vol 9, No 1 (2018)
- Pages: 35-38
- Section: Original Study Articles
- Submitted: 25.12.2018
- Accepted: 25.12.2018
- Published: 25.12.2018
- URL: https://clinpractice.ru/clinpractice/article/view/10771
- DOI: https://doi.org/10.17816/clinpract09135-38
- ID: 10771
Cite item
Full Text
Abstract
It is known that both pre- and postkeratoplasty neovascularization of the cornea can significantly increase the risk of graft rejection reaction.
The article presents preliminary results of the use of a VEGF inhibitor combined with laser coagulation in the treatment of corneal neovascularization before keratoplasty in order to increase corneal transplant survival.
Full Text
Пересадка роговицы выполняется уже более 100 лет и считается одной из самых успешных операций в трансплантологии. Даже без применения HLA-типирования и системной иммуносупрессии прозрачное приживление трансплантата достигается в 90% случаев в группе кератопластики низкого риска. Однако частота отторжения трансплантата может повышаться до 40 - 70% в случаях кератопластики высокого риска (например, при наличии реакции отторжения в анамнезе или помещении трансплантата в васкуляризированное ложе реципиента) [1-3].
При нормальном гомеостазе роговица находится в условиях, обеспечивающих ее иммунную и ангиогенную привилегированность. Дисбаланс между провоспалительными, ангиогенными и лимфангиогенными медиаторами может приводить к стимуляции ангиогенеза. Врастание новообразованных сосудов в роговицу приводит к потере ее иммунопривелегированности, повышая риск развития иммунного конфликта [1-6]. Таким образом, сохранение аваскулярности роговицы является приоритетным направлением в комплексе превентивных мер в борьбе за прозрачное приживление трансплантата.
Мы представляем предварительные результаты применения комбинированного метода воздействия на роговичную неоваскуляризацию перед проведением кератопластики у 3 пациентов.
Всем больным проводилось стандартное обследование, включающее визометрию, тонометрию, прямую и обратную офтальмоскопию, также выполнялась фоторегистрация переднего отрезка глаза. После кератопластики все пациенты получали стандартную терапию с применением антибиотиков и кортикостероидов в виде инстилляций.
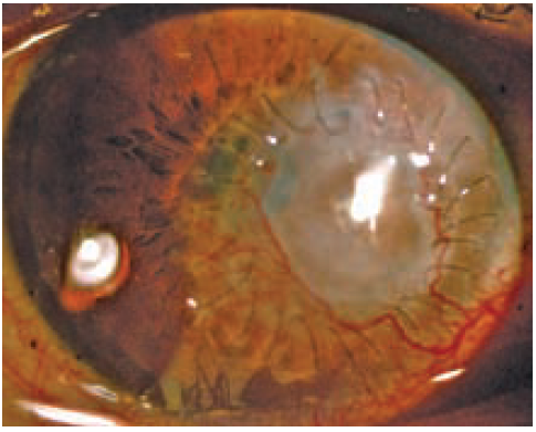
Клинические примеры: Пациент Т., 54 года, обратился в ФГБНУ «НИИГБ» с жалобами на низкое зрение правого глаза. Максимально корригированная острота зрения (МКОЗ) составляла 0,3 эксцентрично. Из анамнеза известно, что полтора года назад перенес травму правого глаза, по поводу которой была выполнена ургентная лечебная сквозная кератопластика (СКП). При биомикроскопии: эксцентрично расположенный кератотрансплантат с массивной неоваскуляризацией: сосуды стволового типа в виде двух аркад, расположенных циркулярно в зоне интерфейса ложе-трансплантат (Рис. 1).
Пациенту была выполнена оптическая рекератопластика с предварительным антиангиогенным лечением в комбинации с лазеркоагуляцией врастающих в роговицу сосудов. Антиангиогенный препарат Афлиберцепт вводился субконъюнктивально в дозе 2 мг в зоне, наиболее близкой к крупным приводящим сосудам.
Афлиберцепт («Эйлеа», Bayer Pharma AG, Germany) действует как растворимый «рецептор-ловушка», который связывается с человеческими VEGF-A, VEGF-B и PLGF с образованием стабильных инертных комплексов, не обладающих биологической активностью. Действуя в качестве «ловушки» для лиган- дов, афлиберцепт предотвращает связывание эндогенных лигандов с соответствующими им рецепторами и благодаря этому блокирует передачу сигналов через эти рецепторы.
Лазеркоагуляция неососудов проводилась на следующий день после инъекции под местной капельной анестезией микроимпульсным лазером на лазерной установке LUMENIS-Novus Varia (США) длиной волны 532 нм с параметрами микроимпульсов: время – 150 мс, мощность – 300 - 800 мВт, диаметр пятна 100 мкм. Объем коагуляции составлял 50-80 аппликатов. Коагуляты наносились на сосуды стволового типа, преимущественно приводящего звена. Через 1 неделю (Рис 2). пациенту была выполнена оптическая сквозная кератопластика. Операция и послеоперационный период без осложнений. Через 19 месяцев после операции признаков васкуляризации трансплантата нет, МКОЗ правого глаза составляет 0,7 (Рис. 3).
Пациентка О., 60 лет, в 2012 году перенесла герпетический стромальный кератит на левом глазу. Сформировалось центральное помутнение роговицы, содержащее новообразованные сосуды и отложения липидов. МКОЗ составляла 0,04.
В качестве подготовки к оптико- реконструктивной операции была проведена терапия анти-VEGF препаратом Афлиберцепт в комбинации с лазеркоагуляцией новообразованных сосудов роговицы по аналогичному алгоритму. Через 1 неделю была выполнена тройная процедура (сквозная кератопластика, экстракция катаракты с имплантацией заднекамерной ИОЛ и пластикой зрачка). После выполненной операции сквозной трансплантат прозрачен, ИОЛ в задней камере центрирована. Признаков реваскуляризации в течение всего периода наблюдения не отмечалось. Через 16 месяцев после операции острота зрения составляет 0,8.
Рис. 1
Рис. 2
Рис. 3
Пациентка Т., 46 лет, после химического ожога левого глаза щелочью в 2007 году. В анамнезе две ранее перенесенных кератопластики с мутным приживлением трансплантата в исходе. Васкуляризация по всей окружности, занимающая все 4 квадранта роговицы. Visus – движение руки у лица. При обследовании на щелевой лампе: неравномерное помутнение с массивной неоваскуляризацией по всей окружности кератотрансплантата.
Учитывая большую зону инвазии сосудов, лазеркоагуляцию проводили в 2 этапа, с интервалом в 1 день. На следующий день после последнего сеанса лазеркоагуляции субконъюнктивально был введен Афлиберцепт. Сквозная кератопластика была выполнена на следующий день. В послеоперационном периоде отмечалась активация ангиогенеза, в связи с чем была выполнена повторная инъекция препарата Афлиберцепт. Срок наблюдения составляет 2 года, трансплантат прозрачный, клинически значимой васкуляризации нет. МКОЗ – 0,4.
Результаты
Тромбоз и отсутствие тока крови по сосудам мы наблюдали сразу после выполнения лазеркоагуляции сосудов. На следующий день после инъекции Афлиберцепта нами фиксировалось частичное запустевание и спазм сосудов малого калибра, уменьшение их калибра, а также сокращение размеров зоны неоваскуляризации. При повторном введении Афлиберцепта наблюдалось повышение клинического эффекта, что проявлялось в снижении гиперемии, уменьшении калибра сосудов. На протяжении всего срока наблюдения трансплантат оставался прозрачным, неоваскуляризация его отсутствовала во всех трех случаях, несмо- тря на наличие таких значимых факторов риска, как васкуляризация роговицы, предшествующие кератопластики и химический ожог в анамнезе.
В настоящее время ключевым медиатором ангиогенеза признан фактор роста эндотелия сосудов (VEGF – Vascular Endothelial growth factor). Состоящий из 5 изоформ, VEGF стимулирует отдельные этапы нормального роста сосудов, включая индуцирование гемангиогенеза и лимфангиогенеза, пролиферацию эндотелиальных клеток сосудов, повышенный воспалительный ответ, протеолитическую активность и повышенную проницаемость сосудов. Антагонисты VEGF разрывают эти пути, блокируя взаимодействие между VEGF и рецептором [8, 9].
Экспериментальная апробация анти-VEGF препаратов в лечении неоваскуляризации роговицы подтвердила их клиническую эффективность, что проявлялось снижением калибра и количества сосудов, уменьшением зоны инвазии новообразованных сосудов в роговицу [8, 11-14]. Однако использование ингибиторов VEGF ограничено. Действие анти-VEGF препаратов направлено в основном на микроциркуляторное звено новообразованной сосудистой сети, в то время как в уже сформированных крупных магистральных сосудах эффект сравнительно невысок [14].
В то же время эффективность лазеркоагуляции в случаях наличия единичных врастающих в роговицу новообразованных сосудов «стволового» типа достаточно высока [15]. В связи с этим представляется целесообразным дополнение лазеркоагуляции стволовых новообразованных сосудов роговицы, направленной на облитерацию просвета сформированных сосудов, введением ингибитора ангиогенеза.
Выводы
Применение ингибиторов VEGF является перспективным этиопатогенетически обоснованным методом борьбы с неоваскуляризацией роговицы, а также профилактики ее развития.
Лазеркоагуляция остается актуальной, эффективной и доступной методикой. Использование лазеркоагуляции магистральных приводящих новообразованных сосудов роговицы в комбинации с субконъюнктивальным введением ингибитора VEGF Афлиберцепта может приводить к синергидному взаимодополняющему эффекту, а значит и к максимальной клинической эффективности.
Подавление васкуляризации с использованием анти-VEGF препарата Афлиберцепт в комбинации с лазеркоагуляцией новообразованных сосудов может снизить риск отторжения трансплантата при кератопластике высокого риска, позволяя отказаться от применения системной иммуносупрессии. Дальнейшие исследования на достаточном клиническом материале могут стать перспективным направлением в совершенствовании результатов кератопластики.
About the authors
V. R. Mamikonyan
FSBI "Research Institute of Eye Diseases"
Author for correspondence.
Email: info@eyeacademy.ru
Доктор медицинских наук, профессор, директор ФГБНУ «НИИГБ»
Russian Federation, 11A, Rossolimo str., Moscow, 119021S. A. Malozhen
FSBI "Research Institute of Eye Diseases"
Email: info@eyeacademy.ru
Доктор медицинских наук,ведущий научный сотрудник ФГБНУ «НИИГБ»
Russian Federation, 11A, Rossolimo str., Moscow, 119021D. A. Krakhmaleva
FSBI "Research Institute of Eye Diseases"
Email: eskess@mail.ru
младший научный сотрудник ФГБНУ «НИИГБ»
Russian Federation, 11A, Rossolimo str., Moscow, 119021S. V. Trufanov
FSBI "Research Institute of Eye Diseases"
Email: info@eyeacademy.ru
кандидат медицинских наук, научный сотрудник ФГБНУ «НИИГБ»
Russian Federation, 11A, Rossolimo str., Moscow, 119021E. A. Pivin
FSBI "Research Institute of Eye Diseases"
Email: info@eyeacademy.ru
кандидат медицинских наук, научный сотрудник ФГБНУ «НИИГБ»
Russian Federation, 11A, Rossolimo str., Moscow, 119021References
- Jerry Y. Niederkorn, D. Frank P. Larkin. Immune Privilege of Corneal Allografts. Ocul Immunol Inflamm; 2010; 18(3): 162-171. doi: 10.3109/09273948. 2010.486100
- Труфанов С.В., Суббот А.М., Маложен С.А., Саловарова Е.П., Крахмалева Д.А. Факторы риска, клинические проявления, методы профилактики и лечения реакции отторжения трансплантата роговицы. Вестник офтальмологии 2016; Том132, №6: 108-116.
- Nirankari, V. S., Dandona, L., Rodrigues, M. M. Laser Photocoagulation of Experimental Corneal Stromal Vascularization. Ophthalmology 1993; 100(1): 111–118. doi: 10.1016/s0161-6420(93)31706-9
- Cursiefen C. Immune Privilege and Angiogenic Privilege of the Cornea. Chemical Immunology and Allergy 2007;50-57. doi: 10.1159/000099253
- Труфанов С.В., Суббот А.М., Маложен С.А., Крахмалева Д.А., Саловарова Е.П. Реакция тка- невой несовместимости после трансплантации роговицы. Офтальмология. 2017;14(3):180-187. doi: 10.18008/1816-5095-2017-3-180-187
- Мамиконян В.Р., Пивин Е.А., Крахмалева Д.А. Механизмы роговичной неоваскуляризации и современные возможности ее подавления Вестник офталь- мологии 2016; том132, №4: 81-87.
- Tshionyi M, Shay E, Lunde E, Lin A, Han K, Jain S et al. Hemangiogenesis and Lymphangiogenesis in Corneal Pathology. Cornea. 2012;31(1):74-80. doi: 10.1097/ico.0b013e31821dd986
- Stevenson W, Cheng S, Dastjerdi M, Ferrari G, Dana R. Corneal Neovascularization and the Utility of Topical VEGF Inhibition: Ranibizumab (Lucentis) Vs Bevacizumab (Avastin). The Ocular Surface. 2012;10(2):67-83. doi: 10.1016/j.jtos 2012.01.005.
- Ferrari G, Dastjerdi M, Okanobo A et al. Topical Ranibizumab as a Treatment of Corneal Neovascularization. Cornea. 2013;32(7):992-997. doi: 10.1097/ico.0b013e3182775f8d.
- Бойко Э.Ф., Сосновский С.В. Антиангиогенная терапия в офтальмологии. Санкт-Петербург: ВМедА им. С.М.Кирова, 2013.
- Koenig Y, Bock F, Horn F, Kruse F, Straub K, Cursiefen C. Short- and long-term safety profile and efficacy of topical bevacizumab (Avastin) eye drops against corneal neovascularization. Graefe’s Archive for Clinical and Experimental Ophthalmology 2009;247(10):1375-1382. doi: 10.1007/s00417-009- 1099-1
- Papathanassiou M, Theodossiadis P, Liarakos V, Rouvas A, Giamarellos-Bourboulis E, Vergados Inhibition of Corneal Neovascularization by Subconjunctival Bevacizumab in an Animal Model. American Journal of Ophthalmology 2008;145(3):424- 431. doi: 10.1016/j.ajo.2007.11.003
- Petsoglou C, Balaggan K, Dart J, Bunce C, Xing W, Ali R et al. Subconjunctival bevacizumab induces regression of corneal neovascularisation: a pilot randomised placebo-controlled double-masked trial. British Journal of Ophthalmology 2012;97(1):28-32. doi: 10.1136/bjophthalmol-2012-302137
- В. Р. Мамиконян, Т. М. Воеводина, А. А. Федоров, М.В. Будзинская, М.Л. Балаян. Экспериментально-морфологическое исследование влияния антиангиогенной терапии на новообразованные сосуды роговицы. Вестник офтальмологии. 2013;129(6):45-50.
- Nirankari V, Baer J. Corneal Argon Laser Photocoagulation for Neovascularization in Penetrating Keratoplasty. Ophthalmology. 1986;93(10):1304-1309. doi: 10.1016/s0161-6420(86)33581-4.
Supplementary files





