Duplex scanning as an alternative to computer tomography with contrast enhancement for the control of complications after endovascular aneurysm repair
- Authors: Korshunov D.I.1, Khabazov R.I.1, Ustiantseva N.V.1, Chupin A.V.1, Deryabin S.V.1
-
Affiliations:
- Federal research Clinical center for specialized types of health care and medical technologies of Federal Medical and Biology Agency
- Issue: Vol 9, No 1 (2018)
- Pages: 44-49
- Section: Reviews
- Submitted: 25.12.2018
- Accepted: 25.12.2018
- Published: 25.12.2018
- URL: https://clinpractice.ru/clinpractice/article/view/10773
- DOI: https://doi.org/10.17816/clinpract09144-49
- ID: 10773
Cite item
Full Text
Abstract
EVAR (endovascular aneurism repair) is the preferred method for the surgical treatment of ananeurysm. The advantage of this type of surgical intervention is that a smaller number of postoperative complications will occur.
The main diagnostic tasks for patients after EVAR are to determine the size of the aneurysmal sac, detection of an endoleak, detection of the endoprosthesis migration and the deformation of the stent graft itself.
Conclusion: early detection of complications in the postoperative period remains the main problem for monitoring patients after EVAR. Duplex scanning is a safe, non-invasive and effective method of measuring the size of an aneurysmal sac and detecting possible complications after EVAR.
Full Text
Введение:
В последнее десятилетие эндопротезирование брюшного отдела аорты (ЭАБА) получило быстрое развитие как предпочтительный метод для оперативного лечения инфраренальной аневризмы аорты. Преимущество ЭАБА заключается в меньшем количестве послеоперационных осложнений, однако нельзя забывать о характерных только для данного вида операций осложнениях, таких как эндолик (подтекание), миграция эндопротеза, тромбоз бранши эндопротеза или дефект самого эндопротеза. Эти осложнения требуют постоянного наблюдения за пациентами после ЭАБА. В этой статье мы постараемся оценить эффективность ультразвукового дуплексного сканирования (УЗДС) и компьютерной томографии (КТ) на основании иностранной литературы, и имеющегося собственного клинического опыта.
Основная цель обоих диагностических методов – поиск ответа на три основных вопроса [1, 2]:
- Измерение размера аневризматического мешка – точное измерение размера аневризматического мешка имеет решающее значение, так как увеличение диаметра может привести к повторному разрыву [3];
- Обнаружение и классификация эндоликов – принципиален источник эндолика и направление тока крови;
- Выявление миграции эндопротеза и деформации самого стент-графта.
Работы, сравнивающие эффективность дуплексного сканирования и КТ в исследовании осложнений после операции эндопротезирования инфраренального отдела аорты, дали неоднозначные результаты.
В течение последнего десятилетия эндопротезирование брюшного отдела аорты стремительно развивается и начинает доминировать над открытой хирургией. ЭАБА, являясь малоинвазивной хирургической операцией, имеет ряд преимуществ перед открытым видом оперативного вмешательства [4-12]:
- минимизация хирургической травмы и
повреждений тканей и, как следствие, уменьшение болевого синдрома после операции, возможность ранней активизации пациента;
- отсутствие необходимости в переливании компонентов крови;
- снижение смертности в послеоперационном периоде, особенно у пациентов с сопутствующими заболеваниями, такими как дыхательная недостаточность, заболевания коронарных артерий.
Недостатком является необходимость долгосрочного наблюдения в связи с высоким риском эндоликов.
КТ с контрастом до недавнего времени являлось предпочтительным методом для мониторинга эндоликов, проходимости эндопротеза и измерения аневризматического мешка [13].
Одной из основных рекомендаций от производителей эндопротезов и врачей сосудистых хирургов является проведение КТ с внутривенным контрастированием через 1, 6, 12 месяцев и далее ежегодно. Дополнительные КТ исследования проводятся в том случае, если при первичном скрининге была обнаружена какая-либо патология [14, 15].
Таким образом, характерной особенностью эндопротезирования инфраренального отдела аорты является необходимость в пожизненном наблюдении за послеоперационными осложнениями.
Компьютерная томография
КТ с контрастным усилением до недавнего времени являлась широко используемым методом скрининга в послеоперационном периоде c чувствительностью и специфичностью около 100%, однако, если эндолик очень мал, его невозможно обнаружить на КТ. Основной проблемой, с которой сталкиваются врачи при использовании КТ с ангиографией, является воздействие ионизирующего излучения и риск развития следующих осложнений [17-21]:
- почечная недостаточность в результате воздействия контрастного йодсодержащего препарата [22-25];
- аллергические реакции на контрастное вещество.
Не будем также забывать об экономической стороне вопроса [26-30] – КТ с контрастом является одной из дорогостоящих процедур, которая существенно повышает стоимость послеоперационного наблюдения.
Ультразвуковое дуплексное сканирование
Недавние исследования подтверждают, что дуплексное сканирование является безопасной и эффективной альтернативой для последующего наблюдения за пациентами после эндопротезирования инфраренального отдела аорты.
Преимущества использования ультразвука:
- доступность метода исследования (при необходимости может быть использована портативная ультразвуковая система);
- неинвазивность метода (отсутствие нефротоксичности и других возможных осложнений) [31];
- низкая стоимость исследования.
Но не будем забывать и о ряде недостатков:
- субъективность метода (многое зависит от опыта врача-диагноста);
- ограниченность метода (ожирение, повышенное газообразование, вынужденное положение пациента, грыжа передней брюшной стенки).
Это только некоторые факторы, влияющие на информативность исследования.
Точность измерения диаметра аневризмы с помощью ультразвука сопоставима с таковой у КТ.
Ультразвуковое исследование с контрастом В настоящее время ультразвуковое исследование с контрастом используется в большинстве европейских стран, хотя реальное распространение по-прежнему отсутствует.
Контрастные препараты, применяемые в ультразвуковом контрастировании, значительно отличаются от КТ контрастных веществ. Ультразвуковые контрастные препараты (УКП) являются внутрисосудистыми веществами с недостаточным интерстициальным распространением; их период полураспада в крови, как правило, составляет несколько минут. Большое количество клинических данных показывает, что использование ультразвуковых контрастных веществ значительно улучшает способность ультрасонографии в обнаружении эндоликов.
Использование ультразвукового дуплексного сканирования с контрастом было впервые использовано в 1997 г. Heilberger P [32]. В исследовании участвовало 113 пациентов после эндо- протезирования инфраренального отдела аорты, где сравнивалась эффективность ультразвукового исследования с контрастом и КТ для послеоперационного наблюдения за пациентами. По результатам исследования только один эндо- лик не был обнаружен ультразвуковым исследованием с контрастом (из-за пневматоза кишечника) и эффективность данного метода была оценена в 97%. Кроме того, три эндолика II типа также были выявлены с использованием ультразвука, которые не были обнаружены на КТ. Данные результаты указывают, что ультразвуковое исследование с контрастом может быть более чувствительным методом при идентификации эндолика II типа, чем КТ [33].
Bendick PJ в 2003 году своими исследованиями показал, что ультразвук с контрастом крайне информативен в идентификации и классификации эндоликов I и II типов [33]. Кроме того, контрастные вещества, используемые в ультразвуковом исследовании, менее нефротоксичны, в сравнении с применяемыми при КТ, и редко вызывают побочные эффекты. К сожалению, дуплексное сканирование с контрастом не так распространено у нас в стране.
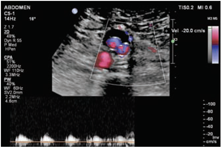
Рис. 1. Эндолик из нижней брыжеечной артерии.
Исследования последних лет подтверждают, что дуплексное сканирование является безопасным и эффективным исследованием не только при измерении размера аневризматического мешка, но также и при диагностировании возможных осложнений после ЭАБА.
Приводим два клинических случая из научной работы «Ультразвуковое исследование пациентов после операции по эндопротезированию аневризмы инфраренального отдела аорты» на базе ФГБУ ФНКЦ ФМБА России.
Исследования проводились на аппаратах Philips Epiq 7G и Philips iE33. Использовались датчики: линейный – L 12-3; конвексный – C 5-1.
Больная Н. 1950 г. р. находилась на стационарном лечении в ФНКЦ ФМБА России в 2017 г.
При поступлении: жалобы на незначительную болезненность при пальпации живота
Из анамнеза: в декабре 2014 года на базе отделения сосудистой хирургии ФНКЦ ФМБА у пациентки диагностирована аневризма инфраренального отдела аорты и подвздошных артерий. Амбулаторное наблюдение в течение последующих 3-х лет. В 2017 г. по данным УЗДС отмечен рост аневризмы инфраренального отдела аорты и подвздошных артерий.
30.08.2017 г. – Эндопротезирование аневризмы аорты, подвздошных артерий
По данным КТ сосудов брюшной полости с КУ: Состояние после эндопротезирования аневризмы инфраренального отдела аорты, подвздошных артерий. Эндолик II типа, вероятно из нижней брыжеечной артерии.
По данным ультразвукового исследования: Аневризматический мешок до 3,0 см. Визуализируется проходимый эндопротез. Ультразвуковые признаки эндолика II типа из нижней брыжеечной артерии (рис. 1, 2).
Рис. 2. Эндолик из нижней брыжеечной артерии.
Рис. 3. Эндолик из поясничных артерий.
Больной Щ. 73 лет. Находился на стационарном лечении в ФНКЦ ФМБА России в 2010 г.
При поступлении: жалобы на болезненность при пальпации живота
Из анамнеза: В мае 2010 года на базе отделения сосудистой хирургии ФНКЦ ФМБА у пациента диагностирована аневризма инфраренального отдела аорты.
02.06.2010 г. – Эндопротезирование аневризмы аорты.
По данным КТ сосудов брюшной полости с КУ от 2017 года: Признаки эндолика из поясничной артерии
По данным ультразвукового исследования от 2017 года: Визуализируется аневризматический мешок диаметром 6,5 см. При картировании цветом уз-признаки эндолика 2 типа, кровоток в проекции задней стенки аневризматического мешка ЛСК-24 см/с (рис. 3).
Как видно из представленных клинических случаев, при помощи дуплексного сканирования возможно с высокой долей вероятности определить наличие такого осложнения как эндолик. Данные пациенты наблюдаются в динамике каждые 3 месяца.
Обсуждение:
Tomlinson J в 2007 году опубликовал результаты ретроспективного исследования у 415 пациентов, которым выполнили эндопротезирование инфраренального отдела аорты в течение 8 лет [34]. Из них, у 93 пациентов (76%) через год после операции наблюдалась следующая динамика:
- стабильный или уменьшающийся аневризматический мешок;
- отсутствие эндолика в течение 1 года наблюдения.
Только 2 из 93 пациентов нуждались в повторной операции по причине осложнений, которые были диагностированы при помощи дуплексного сканирования.
В этом исследовании был сделан вывод о том, для пациентов, которые были правильно подготовлены к дуплексному сканированию, и не имели выраженных конституциональных особенностей (ожирение, грыжа передней брюшной стенки), дуплексное сканирование может быть методом выбора в послеоперационном наблюдении.
Sternbergh WC III, основываясь на исследованиях 2008 г., считает использование дуплексного сканирования в течение первого года после операции пригодным только для пациентов без эндоликов. В том случае, если был обнаружен эндолик или значимое увеличение аневризматического мешка, необходимо использование КТ.
В 2013 году были опубликованы рекомендации сосудистых хирургов, которые включали следующие положения:
- КТ с контрастированием через 1 и 12 месяцев после ЭАБА;
- Если в течение 1-го месяца на КТ был обнаружен эндолик или другая патология, необходимо провести дополнительное КТ через 6 месяцев для оценки осложнений;
- Если эндолик или увеличение аневризмы не диагностированы в течение 1 года после эндопротезирования инфраренального отдела аорты, то дуплексное сканирование может являться важным альтернативным методом обследования.
В раннем послеоперационном периоде рекомендуется наблюдение с использованием дуплексного сканирования или КТ без контраста у пациентов с почечной недостаточностью.
Если диагностирован эндолик, в первую очередь, для оценки увеличения или регресса аневризматического мешка, рекомендуется наблюдение с КТ. Если аневризматический мешок остается стабильным или уменьшается, наблюдение может быть продолжено при использовании дуплексного сканирования.
Заключение.
Раннее выявление осложнений в послеоперационном периоде остается основной проблемой для наблюдения за пациентами после эндо- протезирования аневризмы инфраренального отдела аорты. КТ брюшной аорты с контрастным веществом до недавнего времени являлась предпочтительным методом визуализации для контроля появления эндоликов и проходимости стент-графта, а также измерения аневризматического мешка. Дуплексное сканирование является безопасным и эффективным методом
измерения размера аневризматического мешка и диагностики возможных осложнений после эндопротезирования инфраренального отдела аорты. В дальнейших исследованиях может быть сделан вывод о том, что дуплексное сканирование каждые 6 или 12 месяцев является разумным и надежным альтернативным исследованием для последующего наблюдения за пациентами после ЭАБА, особенно в отношении аневризм диаметром не более 6,5 см.
Хотя возможности дуплексного сканирования в идентификации эндопротезов высоки (до 97%), чувствительность и диагностическая ценность по сравнению с соответствующими показателями на КТ являются предметом противоречивых взглядов. Пройдет еще много времени, прежде чем будет разрешен спор какое исследование будет окончательным методом выбора в диагностике осложнений после эндопротезирования аневризмы инфраренального отдела аорты.
About the authors
D. I. Korshunov
Federal research Clinical center for specialized types of health care and medical technologies of Federal Medical and Biology Agency
Author for correspondence.
Email: dkor2011@gmail.com
врач отделения ультразвуковой диагностики ФНКЦ ФМБА России
Russian Federation, 28, Orekhovy boulevard, Moscow, 115682R. I. Khabazov
Federal research Clinical center for specialized types of health care and medical technologies of Federal Medical and Biology Agency
Email: administracia83@bk.ru
главный врач ФНКЦ ФМБА России, доктор медицинских наук, профессор
Russian Federation, 28, Orekhovy boulevard, Moscow, 115682N. V. Ustiantseva
Federal research Clinical center for specialized types of health care and medical technologies of Federal Medical and Biology Agency
Email: ofuzd.fnkc@mail.ru
зав. отделением функциональной и ультразвуковой диагностики, врач ультразвуковой диагностики, кандидат медицинских наук
Russian Federation, 28, Orekhovy boulevard, Moscow, 115682A. V. Chupin
Federal research Clinical center for specialized types of health care and medical technologies of Federal Medical and Biology Agency
Email: achupin@rambler.ru
зав. отделением сосудистой хирургии ФНКЦ ФМБА России, доктор медицинских наук
Russian Federation, 28, Orekhovy boulevard, Moscow, 115682S. V. Deryabin
Federal research Clinical center for specialized types of health care and medical technologies of Federal Medical and Biology Agency
Email: deryabin@mail.ru
врач-сердечно-сосудистый хирург отделения сосудистой хирургии ФНКЦ ФМБА России
Russian Federation, 28, Orekhovy boulevard, Moscow, 115682References
- Geller S C Society of Interventional Radiology Device Forum Imaging guidelines for abdominal aortic aneurysm repair with endovascular stent grafts J VascIntervRadiol 200314 (9 Pt 2, Suppl) S263–S264.
- Kranokpiraksa P Kaufman J A Follow-up of endovascular aneurysm repair: plain radiography, ultrasound, CT/CT angiography, MR imaging/MR angiography, or what? J VascIntervRadiol 200819 (6, Suppl) S27– S36.
- Veith F J Martin M L Guidelines for the development of transluminally placed endovascular graft devices for aortic aneurysm repair In: Hopkins B Yusuf W Whitaker S Veith F, eds. Endovascular Surgery for Aortic Aneurysms, London: WB Saunders; 19971–16.
- Ультразвуковое исследование с контрастированием: прошлое, настоящее и будущее 2015-12-02 Авторы: Michele Bertolotto, MD, Orlando Catalano, MD.
- Blankensteijn J D, de Jong S E, Prinssen M. et al. Dutch Randomized Endovascular Aneurysm Management (DREAM) Trial Group. Two-year outcomes after conventional or endovascular repair of abdominal aortic aneurysms. N Engl J Med. 2005; 352 (23):2398–2405.
- Prinssen M, Verhoeven E L, Buth J. et al. Dutch Randomized Endovascular Aneurysm Management (DREAM) Trial Group. A randomized trial comparing conventional and endovascular repair of abdominal aortic aneurysms. N Engl J Med. 2004; 351(16):1607–1618.
- EVAR trial participants. Endovascular aneurysm repair versus open repair in patients with abdominal aorticaneurysm (EVAR trial 1): randomised controlled trial. Lancet. 2005; 365:2179–2186.
- Wolff K S, Prusa A M, Polterauer P. et al. Endografting increases total volume of AAA repairs but not at the expense of open surgery: experience in more than 1000 patients. J EndovascTher. 2005; 12(3): 274– 279.
- Jordan W D Alcocer F Wirthlin D J Westfall A O Whitley D Abdominal aortic aneurysms in “high-risk” surgical patients: comparison of open and endovascular repair Ann Surg 2003;23(75):623–629.discussion 629– 630.
- Gallagher K A, Ravin R A, Meltzer A J. et al. Midterm outcomes after treatment of type II endoleaks associated with aneurysm sac expansion. J Endovasc Ther. 2012; 19(2):182–192.
- Mehta M, Sternbach Y, Taggert J B. et al. Long- term outcomes of secondaryprocedures after endovascular aneurysm repair. J Vasc Surg. 2010; 52(6):1442–1449.
- Schlösser F J, Gusberg R J, Dardik A. et al. Aneurysm rupture after EVAR: can the ultimate failure be predicted? Eur J VascEndovasc Surg. 2009; 37(1):15–22. 13.Veith F J Martin M L Guidelines for the development of transluminally placed endovascular graft devices for aortic aneurysm repair In: Hopkins B Yusuf W Whitaker S Veith F, eds. Endovascular Surgery for Aortic Aneurysms, London: WB Saunders; 19971–16.16
- Harris P L, Vallabhaneni S R, Desgranges P, Becquemin J P, van Marrewijk C, Laheij R J. Incidence and risk factors of late rupture, conversion, and death after endovascular repair of infrarenal aortic aneurysms: the EUROSTAR experience. European Collaborators on Stent/graft techniques for aortic aneurysm repair. J Vasc Surg. 2000; 32(4):739–749.
- Chaikof E L Brewster D C Dalman R L et al. Society for Vascular Surgery The care of patients with an abdominal aortic aneurysm: the Society for Vascular Surgery practice guidelines J VascSurg
- Kirby J M, Jhaveri K S, Kachura J R. Computed tomography angiography in abdominal aortic endoleaks: what is the optimal protocol? Can AssocRadiol J. 2007; 58(5):264–271.
- European Commission. . Luxembourg: Office for Official Publications of the European Communities; 2000. Radiation protection 118. Referral guidelines for imaging.
- Brenner D J, Hall E J. Computed tomography— an increasing source of radiation exposure. N Engl J Med. 2007; 357(22):2277–2284.
- Brenner D J, Elliston C D. Estimated radiation risks potentially associated with full-body CT screening. Radiology. 2004; 232(3):735–738.
- de Jong P A, Mayo J R, Golmohammadi K. et al. Estimation of cancer mortality associated with repetitive computed tomography scanning. Am J RespirCrit Care Med. 2006; 173(2):199–203.
- Einstein A J, Henzlova M J, Rajagopalan S. Estimating risk of cancer associated with radiation exposure from 64-slice computed tomography coronary angiography. JAMA. 2007; 298(3):317–323.
- EVAR trial participants. Endovascular aneurysm repair versus open repair in patients with abdominal aorticaneurysm (EVAR trial 1): randomised controlled trial. Lancet. 2005; 365:2179–2186.
- Walsh S R, Tang T Y, Boyle J R. Renal consequences of endovascular abdominal aortic aneurysm repair. J EndovascTher. 2008; 15(1):73–82.
- Parfrey PS, Griffiths SM, Barrett BJ. etal. Contrast material-induced renal failure in patients with diabetes mellitus, renal insufficiency, or both. A prospective controlled study. N Engl J Med. 1989; 320(3):143–149.
- Beeman B R, Doctor L M, Doerr K, McAfee- Bennett S, Dougherty M J, Calligaro K D. Duplex ultrasound imaging alone is sufficient for midterm endovascular aneurysm repair surveillance: a cost analysis study and prospective comparison with computed tomography scan. J Vasc Surg. 2009; 50(5):1019–1024.
- Patel S T, Haser P B, Bush H L Jr, Kent K C. The cost-effectiveness of endovascular repair versus open surgical repair of abdominal aortic aneurysms: A decision analysis model. J Vasc Surg. 1999; 29(6):958–972.
- Clair D G, Gray B, O’hara P J, Ouriel K. An evaluation of the costs to health care institutions of endovascular aortic aneurysm repair. J Vasc Surg. 2000; 32(1):148–152.
- Sternbergh W C III, Money S R. Hospital cost of endovascular versus open repair of abdominal aortic aneurysms: a multicenter study. J Vasc Surg. 2000; 31(2):237–244.
- Bosch J L, Lester J S, McMahon P M. et al. Hospital costs for elective endovascular and surgical repairs of infrarenal abdominal aortic aneurysms. Radiology. 2001; 220(2):492–497.
- Bosch J L, Kaufman J A, Beinfeld M T, Adriaensen M E, Brewster D C, Gazelle G S. Abdominal aortic aneurysms: cost-effectiveness of elective endovascular and open surgical repair. Radiology. 2002; 225(2):337–344.
- Chaer R A Gushchin A Rhee R et al. Duplex ultrasound as the sole long-term surveillance method post- endovascular aneurysm repair: a safe alternative for stable aneurysms J VascSurg 2009494845–849.849, discussion 849–850
- Heilberger P, Schunn C, Ritter W, Weber S, Raithel D. Postoperative color flow duplex scanning in aortic endografting. J Endovasc Surg. 1997; 4(3): 262- 271.
- Bendick P J, Bove P G, Long G W, Zelenock G B, Brown O W, Shanley C J. Efficacy of ultrasound scan contrast agents in the noninvasive follow-up of aortic stent grafts. J Vasc Surg. 2003; 37(2): 381–385.
- Tomlinson J, McNamara J, Matloubieh J. et al. Intermediate follow-up after endovascular aneurysm repair: can we go for CT scanning in certain patients? Ann Vasc Surg. 2007; 21(6): 663–670.
Supplementary files





