Giant retroperitoneal lipoma in a child: clinical case
- Authors: Sagymbayeva A.A.1, Tursunov K.T.2, Jusupbekov E.А.3, Kaptagaev M.Е.4, Sagymbaуeva A.A.5
-
Affiliations:
- Scientific Center of Pediatrics and Pediatric Surgery
- Kazakh National Medical University named after S.D. Asfendiyarov
- Center for Pediatric emergency care
- Center for Pediatric Emergency Care
- Kazakh Medical University of Continuing Education
- Issue: Vol 10, No 3 (2019)
- Pages: 102-105
- Section: Case reports
- Submitted: 17.02.2019
- Accepted: 03.10.2019
- Published: 06.11.2019
- URL: https://clinpractice.ru/clinpractice/article/view/11099
- DOI: https://doi.org/10.17816/clinpract103102-105
- ID: 11099
Cite item
Full Text
Abstract
Retroperitoneal lipoma is extremely rare in pediatric practice. This article describes the diagnosis and treatment tactics of a clinical case of retroperitoneal lipoma in a 4- year-9-month-old child. The operative intervention is a rational method of this disease treatment.
Full Text
ВВЕДЕНИЕ
Липомы — доброкачественные опухоли, образующиеся из зрелых адипоцитов, — являются наиболее распространенными опухолями мягких тканей у взрослых и детей [1–3]. В этиологии липом выделяют такие факторы, как нарушение метаболизма глюкозы, проводимая гормонотерапия, метаболический синдром, генетические и другие поломки, оказывающие влияние на пролиферативную активность стволовых клеток жировой ткани. Морфологически липомы разделяют на фибролипому, собственно липому, ангиолипому, липому веретенообразных клеток и миелолипому [4, 5].
Липогенные опухоли в целом встречаются у 4,2% детей [6]. Среди всех новообразований липогенные опухоли составляют <0,5% [3, 4]. Обычно липомы локализуются поверхностно — в подкожной жировой клетчатке, на спине, шее, бедрах, голенях, редко могут быть расположены глубоко — в брюшной полости, грудной клетке или средостении. Локализация липом в забрюшинном пространстве является чрезвычайно редкой [3–5]. Все первичные забрюшинные опухоли составляют только 0,2% всех новообразований [5], большинство (80%) являются злокачественными [3]. Забрюшинная липома может развиваться из жировой, соединительной, мышечной тканей, элементов лимфатической или нервной систем, из брыжейки, фасции Героты или мочеполового тракта [5, 6]. Вследствие чрезвычайной редкости диагностика забрюшинных липом у детей врачами первичного звена весьма затруднена [1, 2].
Цель данной работы — представить специалистам широкого профиля клинический случай гигантской липомы редкой локализации — в забрюшинном пространстве — у девочки в возрасте 4 лет 9 мес.
КЛИНИЧЕСКОЕ НАБЛЮДЕНИЕ
О пациенте
Родители девочки в возрасте 4 лет 9 мес обратились в приемный покой Центра детской неотложной медицинской помощи (ЦДНМП) г. Алматы с жалобами на наличие опухолевидного образования брюшной полости, которое впервые было замечено ими около месяца назад. В поликлинике по месту жительства обращались к хирургу, который направил ребенка к онкологу. Заключение онколога: «Данных за злокачественное образование нет». Девочка направлена в ЦДНМП г. Алматы на консультацию, где была осмотрена хирургом и с предварительным диагнозом «Образование забрюшинного пространства справа» госпитализирована в плановом порядке для дообследования и лечения.
Из анамнеза жизни. Ребенок от второй беременности, вторых срочных физиологических родов. Беременность и роды протекали без патологии. Наследственный анамнез не отягощен. На диспансерном учете не состоит. Со слов матери, пищевой и медикаментозной аллергии не отмечалось.
Обследование
При объективном осмотре состояние ребенка удовлетворительное, в сознании, на осмотр реагирует адекватно. Правильного телосложения, умеренного питания. Кожные покровы и видимые слизистые оболочки чистые, обычной окраски, влажные. Периферические лимфоузлы не увеличены. Глотка не гиперемирована. Миндалины не увеличены. В легких дыхание везикулярное, хрипов нет, проводится по всем полям. Сердечные тоны ясные, ритмичные. Пульс ритмичный, удовлетворительного наполнения и напряжения. Мочеиспускание свободное, безболезненное. Язык влажный, обложен белым налетом. Живот увеличен в объеме, асимметричен. Брюшная стенка участвует в акте дыхания. Брюшная полость доступна пальпации во всех отделах, безболезненна; пальпируется опухолевидное образование в правой половине живота, овальной формы, размерами около 20,0 см, подвижное, безболезненное. Перистальтика кишечника выслушивается во всех отделах живота. Патологического напряжения мышц передней брюшной стенки нет, симптомы раздражения брюшины отрицательны. Печень не увеличена, селезенка не пальпируется. Стул, со слов мамы, ежедневный.
Лабораторно-диагностические исследования: общий анализ крови, общий анализ мочи, биохимический анализ крови в пределах нормы.
Инструментальные методы исследования:
- ультразвуковое исследование органов брюшной полости и забрюшинного пространства: в забрюшинном пространстве справа определяется эластичное аваскулярное однородное образование средней эхогенности. Заключение: «Образование в забрюшинном пространстве. Реактивные изменения в печени и поджелудочной железе. Расширение и деформация чашечно-лоханочной системы с двух сторон»;
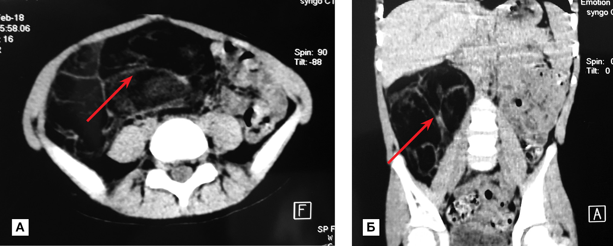
- компьютерная томография органов брюшной полости (рис. 1): в проекции забрюшинного пространства справа определяется образование с четкими контурами, неоднородной структуры за счет наличия множественных перегородок, в основной массе жировой плотности от -12 до -75 едН, максимальными размерами 15,2×13,6×7,3 см, пролабирующее в правую половину брюшной полости. Картина забрюшинного образования справа. Гигантская липома (?)».
Рис. 1. Компьютерная томография органов брюшной полости в трансверзальной (А) и фронтальной (Б) проекциях. Забрюшинное образование справа (показано стрелкой)
На основании результатов исследований выставлен предварительный диагноз: «Липома забрюшинного пространства».
Оперативное вмешательство
В плановом порядке произведена операция: срединная лапаротомия, иссечение липомы забрюшинного пространства справa.
Под интубационным наркозом выполнена срединная лапаротомия, послойно вскрыта брюшная полость. Проведена ревизия брюшной полости. Петли кишечника смещены влево. В забрюшинном пространстве справа обнаружена огромная жировая опухоль, занимающая половину брюшной полости, размерами 17,0×15,0×11,0 см, имеет капсулу. Брюшина вскрыта острыми и тупыми путями, образование выделено и выведено на рану, сосудистая ножка обработана при помощи электрокоагулятора электромагнитным излучением и иссечена. Проверка на гемостаз. Ушивание дефекта брыжейки. Брюшная полость послойно ушита наглухо с использованием на заключительном этапе антисептика (йод-повидон) и спиртовой повязки.
Макропрепарат (рис. 2): опухолевидное образование, представленное уплотненной жировой клетчаткой; строение дольчатое, белесовато-желтого цвета, мягкоэластической консистенции. Общие размеры опухоли 17,0×15,0×11,0 см, масса 1,5 кг.
Рис. 2. Макроскопическая картина липомы
Гистологическое заключение: атипичных клеток не выявлено; жировая ткань, участки строения липомы, очаговая пролиферация липоцитов, лейкоцитарная инфильтрация, отек.
Послеоперационный диагноз: «Гигантская липома забрюшинного пространства справа».
Прогноз
Послеоперационный период протекал благоприятно. Состояние ребенка улучшилось, рана зажила первичным натяжением. В удовлетворительном состоянии ребенок выписан домой под наблюдение детского хирурга по месту жительства.
ОБСУЖДЕНИЕ
Ретроперитонеальная липома относится к неорганным забрюшинным опухолям, чаще встречается у взрослых в возрасте от 40 до 60 лет и редко — в первом десятилетии жизни. В мировой литературе имеются данные о вариабельности частоты встречаемости липом в разных возрастных группах [5]. Ретроперитонеальные доброкачественные липомы крайне редки и составляют лишь 2,9% всех первичных забрюшинных опухолей; в числе оставшихся новообразований около 80% являются злокачественными [2]. В литературе до 2010 года зарегистрированы только 7 случаев гигантской ретроперитонеальной липомы [5], а по данным других авторов, с 1980 по 2015 г. зарегистрировано всего 17 случаев ретроперитонеальных липом и все — у взрослых пациентов [6].
В нашем клиническом случае гигантская липома забрюшинного пространства у ребенка протекала бессимптомно и была диагностирована при физикальном осмотре. В зависимости от объема липомы и расположения близлежащих органов симптоматика может быть разнообразной и включать запоры, боли в спине, пояснице с иррадиацией в ноги по типу ишиалгии и др. [7]. Масса резецированной липомы забрюшинного пространства, по данным литературы, варьирует у взрослых от 145 г до 19,5 кг, у детей — от 140 г до 2 кг [5, 6].
Дифференциальную диагностику ретроперитонеальной липомы следует проводить с неорганными забрюшинными опухолями другого гистогенетического типа — нейрогенными (нейрофибромы, невриномы, шванномы, ганглионевромы, симпатобластомы [8]), а также с липосаркомой. В отличие от липомы, липосаркома сопровождается более агрессивным ростом, опухолевой интоксикацией, компрессией и инвазией в близлежащие органы, что обусловливает соответствующую симптоматику. Если липосаркома достаточно высокодифференцирована, гистологический диагноз может быть затруднен и верифицируется с помощью иммуногистохимического анализа.
ЗАКЛЮЧЕНИЕ
Специалистам широкого профиля следует помнить о возможности ретроперитонеальной локализации липомы. Постановке правильного диагноза ретроперитонеальной липогенной опухоли способствует компьютерная томография брюшной полости и забрюшинного пространства. При гигантских липомах забрюшинного пространства наиболее рациональным методом является хирургическое лечение с адекватным открытым доступом, позволяющим проводить мобилизацию опухоли, дифференциальную диагностику с липосаркомой и удаление в соответствии с правилами абластики.
Информированное согласие
От родителей пациентки получено письменное добровольное информированное согласие на публикацию описания клинического случая.
ИСТОЧНИК ФИНАНСИРОВАНИЯ
Исследование проведено без спонсорской поддержки.
КОНФЛИКТ ИНТЕРЕСОВ
Авторы подтвердили отсутствие конфликта интересов, о котором необходимо сообщить.
УЧАСТИЕ АВТОРОВ
Ас.А. Сагымбаева — автор идеи описания данного клинического случая, анализ полученных данных, редактирование; К.Т. Турсунов — сбор материала; Е.А. Джусупбеков — обработка материала; М.Е. Каптагаев — обработка материала; Ан.А. Сагымбаева — написание текста, перевод на английский язык.
About the authors
Assel A. Sagymbayeva
Scientific Center of Pediatrics and Pediatric Surgery
Author for correspondence.
Email: sagymbaeva.assel@gmail.com
ORCID iD: 0000-0001-6367-8327
SPIN-code: 3859-2491
pediatric surgeon
Kazakhstan, 050044, Almaty, avenue Al-Farabi 146Kapan T. Tursunov
Kazakh National Medical University named after S.D. Asfendiyarov
Email: koktal.k@mail.ru
ORCID iD: 0000-0002-1972-7918
MD, Ph.D., Professor, Department of Pediatric Surgery
Kazakhstan, 050012, Almaty, st. Tole bi 94E. А. Jusupbekov
Center for Pediatric emergency care
Email: dzhusipbekov@mail.ru
Head of Department of elective surgery of Center for Pediatricemergency care
Kazakhstan, 050040, Almaty, st. Manas 40Marat Е. Kaptagaev
Center for Pediatric Emergency Care
Email: kaptagaev.m@mail.ru
врач детский хирург высшей категории
Kazakhstan, 050040, Almaty, st. Manas 40Anel A. Sagymbaуeva
Kazakh Medical University of Continuing Education
Email: anelka1317@gmail.com
ORCID iD: 0000-0002-2522-2924
resident doctor of Kazakh Medical University of Continuing Education
Kazakhstan, 050040, Almaty, st. Manas 34References
- Srinivasan KG, Gaikwad A, Ritesh K, Ushanandini KP. Giant omental and mesenteric lipoma in an infant. Afr J Paediatr Surg. 2009;6(1):68–69. doi: 10.4103/0189-6725.48585.
- Ukita S, Koshiyama M, Ohnaka M, et al. Retroperitoneal lipoma arising from the urinary bladder. Rare Tumors. 2009;1(1):e13. doi: 10.4081/rt.2009.e13.
- Wolk DP, Schuster KM. Retroperitoneal lipoma in a child. J Pediatr Surg. 1972;7(3):343–344. doi: 10.1016/0022-3468(72)90143-1.
- Saha M. Giant retroperitoneal lipoma in an infant. APSP J Case Rep. 2014;5(3):33.
- Al-Ali MH, Salih AM, Ahmed OF, et al. Retroperitoneal lipoma; a benign condition with frightening presentation. Int J Surg Case Rep. 2019;57:63–66. doi: 10.1016/j.ijscr.2019.02.044.
- Weniger M, D’Haese JG, Kunz W, et al. En-bloc resection of a giant retroperitoneal lipoma: a case report and review of the literature. BMC Res Notes. 2015;8:75. doi: 10.1186/s13104-015-1038-7.
- Agha RA, Borrelli MR, Farwana R, et al. The SCARE 2018 statement: updating consensus surgical case report (SCARE) guidelines. Int J Surg. 2018;60:132–136. doi: 10.1016/j.ijsu.2018.10.028.
- Степанова Ю.А., Гришанков С.А., Карельская Н.А., и др. Неорганная забрюшинная шваннома (клиническое наблюдение) // Клиническая практика. — 2016. — Т.7. — №2. — С. 58–66. [Stepanova YuA, Grishankov SA, Karel’skaya NA, et al. Neorgannaya zabryushinnaya shvannoma (klinicheskoe nablyudenie). Journal of Clinical Practice. 2016;7(2):58–66. (In Russ).] doi: 10.17816/clinpract7258-66.
Supplementary files





