Magnetic resonance imaging in the diagnosis of myocarditis in children
- Authors: Fomina L.E.1, Yarmola I.I.1, Barskiy V.I.1, Anikin A.V.1, Uglova E.V.1
-
Affiliations:
- National Medical Research Center for Children’s Health
- Issue: Vol 14, No 2 (2023)
- Pages: 28-35
- Section: Original Study Articles
- Submitted: 23.11.2022
- Accepted: 30.04.2023
- Published: 02.07.2023
- URL: https://clinpractice.ru/clinpractice/article/view/114816
- DOI: https://doi.org/10.17816/clinpract114816
- ID: 114816
Cite item
Full Text
Abstract
Background: There is a need for the systematization, generalization and analysis of the structural changes of the myocardium, occurring in patients with myocarditis. This disease is rare; therefore, structured information in the field of radiological diagnostics is still insufficient within national publications.
Aim: The study purpose was to determine the significance and specificity of changes observed in cardiac magnetic resonance images in patients with myocarditis, and to compare the obtained results with the literature data.
Methods: 7 patients, including children aged 4 and 6, with a verified diagnosis of myocarditis were retrospectively examined.
Results: The analysis of the obtained images revealed the most common changes related to myocarditis, such as myocardial edema, impaired myocardial contractility, increased delayed accumulation of the contrast agent. The pathophysiological mechanisms of the found structural changes were analyzed and described.
Conclusion: Magnetic resonance imaging is the most important non-invasive method for diagnosing myocarditis, which allows one to identify the lesion of the heart muscle, to assess the extent of its damage, to differentiate myocarditis from other diseases, as well as to assess the dynamics when evaluating the effectiveness of therapy.
Full Text
ОБОСНОВАНИЕ
Миокардит — неспецифическое воспалительное заболевание миокарда, вызванное различными причинами, включая бактериальные и вирусные инфекции, токсическое и аутоиммунное поражение. Золотым стандартом в диагностике миокардитов является эндомиокардиальная биопсия, однако этот инвазивный метод имеет риски осложнений, поэтому выполняется относительно редко [1].
Магнитно-резонансная томография (МРТ) играет важную роль в диагностике миокардитов, так как позволяет получить информацию об анатомии и функциональных показателях сердца одновременно. К МР-признакам миокардита относятся отёк миокарда [1], увеличение перфузионных показателей вследствие повышения сосудистой проницаемости миокарда в покое, замещение мышечных клеток рубцовой тканью (фиброз), локальные участки снижения сократимости миокарда (зоны гипо- и акинеза) [2–4].
Цели исследования. Определение значимости и специфичности изменений при анализе МРТ сердца у пациентов с миокардитами. Анализ информации из литературы, сопоставление с результатами, полученными в ходе собственных исследований. Создание систематизированного материала на русском языке, объединяющего наиболее важные и специфические признаки миокардита и исхода миокардита (фиброза миокарда) у детей и взрослых при проведении МРТ.
МЕТОДЫ
Дизайн исследования
Ретроспективное.
Критерии соответствия
В группу исследования включены пациенты с установленным клиническим диагнозом миокардита, со сходными клиническими и лабораторно-инструментальными показателями.
Методы регистрации исходов
МРТ проводилась на аппаратах GE Healthcare Optima 450w 1,5 T (США) с использованием одномолярного контрастного препарата Гадовист в расчёте 0,2 мл на 1 кг веса.
Двум детям раннего возраста проводилась анестезия с целью предотвращения двигательной активности, блокирования звуковых раздражителей и установки внутривенного катетера. Использовали ингаляционную анестезию (масочная) препаратом севофлуран в дозировках 1,0–1,1 МАК (наркозный аппарат MRI Fabius фирмы Drager, Германия) под контролем пульсоксиметрии, векторкардиограммы и датчика дыхательных движений (от томографа MRI GE) с соблюдением алгоритмов мониторирования гемодинамики и дыхания.
Тремя рентгенологами независимо друг от друга проводилась ретроспективная оценка МР-исследований, разница в интерпретации находок была приведена к единому мнению.
При оценке МРТ рассматривались следующие изменения: повышение сигнала от миокарда на Т2-взвешенных изображениях (Т2-ВИ); нарушение сократимости стенок; степень интенсивности контрастирования миокарда в позднюю фазу; наличие перикардиального выпота.
Статистический анализ
Статистический анализ не проводился, ввиду малой выборки пациентов.
РЕЗУЛЬТАТЫ
Объекты (участники) исследования
В условиях стационара ФГАУ «Национальный медицинский исследовательский центр здоровья детей» Минздрава России в период с 2020 по 2021 год ретроспективно было обследовано 7 пациентов с миокардитами различной этиологии, клинической картиной от лёгкой до тяжёлой степени выраженности. Диапазон возраста пациентов — от 4 до 18 лет.
Основные результаты исследования
При изучении результатов наших исследований отёчные изменения миокарда выявлены в 57% случаев, сопутствующее нарушение сократимости стенок левого желудочка — в 42%. Повышенное накопление контрастного препарата в позднюю фазу обнаружено у 100% пациентов, в одном из случаев выявлено патологическое накопление контрастного препарата миокардом и прилежащим перикардом (миоперикардит).
ОБСУЖДЕНИЕ
Оценка изменений миокарда возможна с помощью критериев Лейк-Луиза (международная рабочая группа Lake Louise Criteria — критерии озера Луизы), которые впервые были опубликованы в 2009 году. Критерии широко использовались в клинической практике, но позже диапазон их использования снизился за счёт высокой субъективности оценки и средней диагностической чувствительности [5]. С 2018 году обновлённые критерии стали включать методы МР-картирования, которые позволяют проводить качественный анализ локальных зон изменения релаксации на Т1-ВИ и Т2-ВИ и оценку внеклеточного объёма жидкости, увеличивающегося при отёке миокарда [6, 7].
Однако в нашей практике нам пришлось отказаться от использования данных критериев из-за значительных расхождений результатов, полученных при учёте старых критериев Лейк-Луиза, и отсутствия программ картирования.
Отёк миокарда
Для обнаружения отёчных изменений миокарда используется импульсная последовательность, взвешенная по Т2, с подавлением сигнала от жировой ткани методом инверсии-восстановления (short tau inversion recovery, STIR) [8–10].
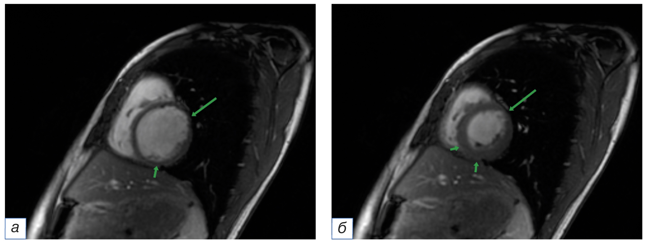
При воспалении сердечной мышцы повышается проницаемость клеточных мембран, в результате чего происходит увеличение количества жидкости в миокарде. На МР-томограммах этот процесс отображается в виде участков отёка и повышения сигнала на Т2 и STIR. Отёк миокарда может быть диффузным или очаговым (рис. 1) [11]. Необходимо учитывать, что отёчные изменения могут сочетаться с участками некроза, а при отсутствии фиброза являются обратимыми [12, 13].
Рис. 1. Магнитно-резонансная томография сердца, последовательность STIR, изображения по короткой оси сердца: а — локальный участок отёка миокарда межжелудочковой перегородки (стрелка); б — диффузная зона отёка миокарда передней и боковой стенки левого желудочка (стрелка).
Fig. 1. Cardiac magnetic resonance imaging, STIR sequence, short axis plane: а — the arrow indicates the local area of myocardial edema of the interventricular septum; б — the arrow indicates а the diffuse zone of myocardial edema of the anterior and lateral walls of the left ventricle.
Нарушение сократимости
Для оценки сократимости сердечных стенок используют кинопоследовательности CineTrueFisp, которые имеют хорошую контрастность между движущейся кровью и миокардом. Срезы выставляются перпендикулярно короткой оси сердца, что позволяет наиболее точно оценить движение миокарда на уровне всех сегментов.
Симметричное утолщение миокарда в систолу свидетельствует о нормокинезе, т.е. нормальном сокращении стенок. В случае локальных/распространённых участков повреждения миокарда отмечается асимметричное утолщение стенок в систолу, что говорит о зонах гипокинеза, отсутствие утолщения стенок — об акинезе (рис. 2). Термин «дискинез» используют в случае снижения эластической функции (сопротивляемости давлению внутри левого желудочка) и выбухания поражённой стенки кнаружи. Зоны дискинеза наиболее часто встречаются в аневризмах левого желудочка [14–16].
Рис. 2. Магнитно-резонансная томография сердца, последовательность CineFiesta (кинорежим), изображения по короткой оси сердца: а — диастола (короткой стрелкой указана нижняя стенка левого желудочка с нормальной толщиной, длинной стрелкой — область истончения миокарда); б — систола (короткими стрелками указано утолщение во время сокращения нормального миокарда левого желудочка, длинной стрелкой — участок акинеза в поражённом миокарде).
Fig. 2. Cardiac magnetic resonance imaging, Cine Fiesta sequence, short axis plane: а — diastole, the short arrow indicates the inferior wall of the left ventricle with a normal thickness, the long arrow points to the area of myocardial thinning; б — systole, the short arrows indicate thickening during the contraction of the normal myocardium of the left ventricle, the long arrow points to the site of akinesis in the damaged myocardium.
Хотя нарушение сократимости миокарда является вспомогательным признаком в диагностике миокардита, в ряде стран крупными медицинскими организациями проводились обширные исследования по выживаемости и ремоделированию желудочков при миокардите, в том числе с участием большой выборки детей [17, 18], у которых воспалительные изменения миокарда сочетались с дисфункцией стенок. Установлено, что более выраженная систолическая дисфункция встречается при фульминантной форме миокардита, и, несмотря на улучшение в острой фазе в большинстве случаев, функция левого желудочка в целом остаётся ниже по сравнению с нефульминантными формами [19].
Разница интенсивности контрастирования миокарда/скелетной мышцы в раннюю фазу
При воспалении в повреждённых тканях возникает вазодилатация, вследствие чего происходит интенсивное накопление контрастного вещества в раннюю фазу контрастирования (первые минуты после введения контрастного вещества). В этот период Т1-ВИ с контрастным усилением могут быть использованы для выявления отёка [20] и воспаления сердечной мышцы [21]. В сравниваемой здоровой скелетной мышце (например, в большой грудной или паравертебральной) период релаксации на Т1-ВИ будет дольше по причине отсутствия воспаления.
Диагностическая ценность данного метода у пациентов с подозрением на миокардит была неоднократно доказана в исследованиях, в том числе легла в основу критериев Лейк-Луиза [22–24].
Оценка интенсивности контрастирования миокарда в позднюю фазу
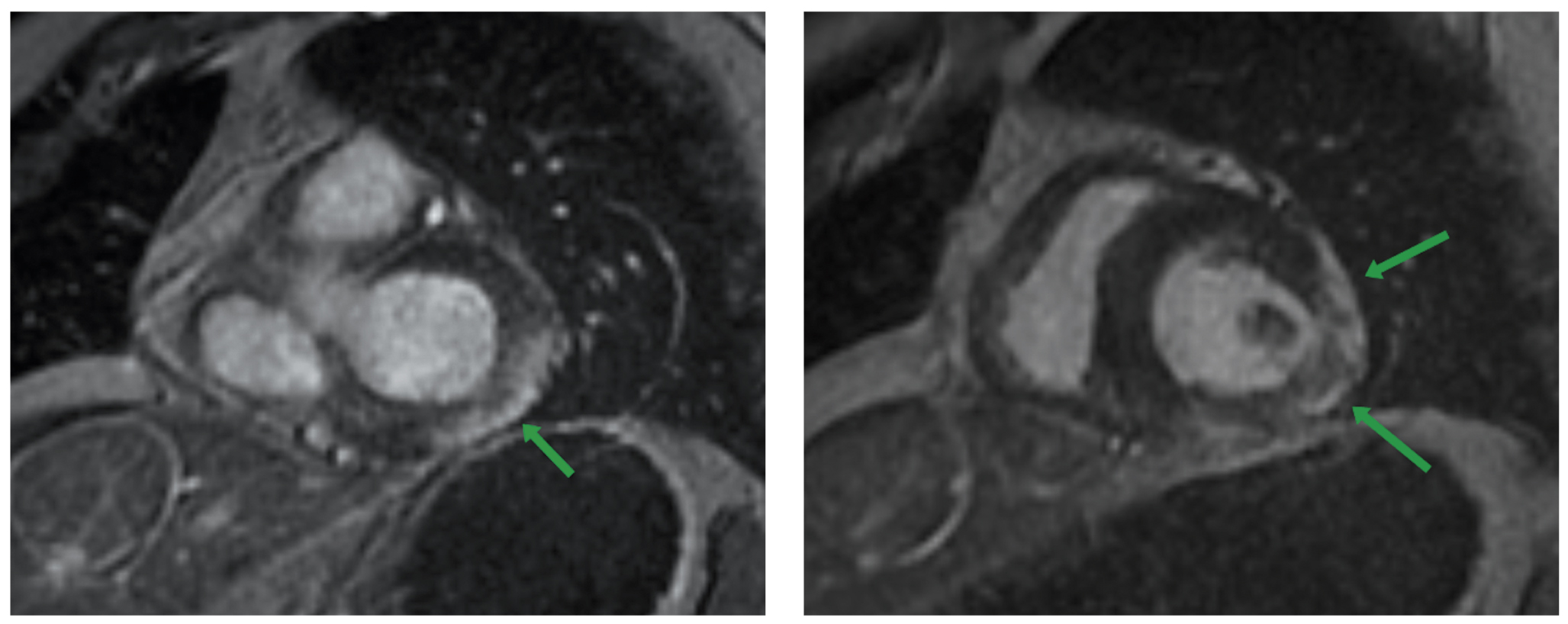
В результате длительного воспаления происходит повреждение миоцитов, приводящее к некрозу тканей и дальнейшему формированию фиброза. Для оценки миокарда на наличие участков рубцовых изменений используют последовательности инверсия–восстановление, в которых с помощью инверсионного импульса уменьшается сигнал от неповреждённого миокарда и выделяются области с повышенным накоплением контрастного препарата в виде ярких участков, соответствующих фиброзу и воспалению (рис. 3) [25]. Полученные в результате отсроченного контрастирования изображения очень важны для пациентов с клиническим подозрением на миокардит и демонстрируют характерные неишемические паттерны [26, 27].
Рис. 3. Магнитно-резонансная томография сердца, отсроченные серии с контрастным усилением (MDE): а — изображение по короткой оси сердца; б — четырёхкамерная проекция. Стрелками указаны интрамиокардиальные очаги накопления контрастного препарата, соответствующие воспалению.
Fig. 3. Cardiac magnetic resonance imaging, myocardium delayed enhancement series (MDE): а — short axis plane; б — 4-chamber plane. The arrows indicate intramyocardial foci of the contrast enhancement, corresponding to inflammation.
Для хорошей дифференцировки здоровой и поражённой ткани важен правильный выбор времени инверсии (inversion time, TI), которое обеспечивает однородный низкоинтенсивный сигнал от миокарда и оптимальную контрастность между кровью и миокардом. Подбор TI осуществляется с помощью последовательности TI-scout, которая получает срезы по короткой оси на одном уровне с разными значениями TI.
При введении одномолярного контрастного вещества в расчёте 0,2 мл на 1 кг веса в интервале от 10 до 20 минут сохраняется оптимальная контрастность между здоровым и повреждённым миокардом. Микроскопические [28], животные [29] и клинические [30] исследования подтвердили роль отсроченного контрастирования в качестве золотого стандарта визуализации повреждения сердечной мышцы при миокардите. У пациентов с верифицированным миокардитом отсроченное контрастирование продемонстрировало высокую чувствительность выявления повреждения миокарда [31–33].
Паттерны накопления контрастного препарата
Существуют основные паттерны накопления контрастного препарата при неишемическом типе поражения сердечной мышцы, такие как субэпикардиальный и интрамуральный (рис. 4). Но нельзя исключать наличие редких случаев, в которых накопление контрастного препарата происходит субэндокардиально, как при эозинофильном эндокардите, либо по типу обширных трансмуральных участков, где выявить доминирующий паттерн затруднительно. Дифференцировать ишемическое и неишемическое повреждение миокарда можно также с помощью совпадения зон поражения сердечной мышцы с областями кровоснабжения коронарных артерий. При неишемическом типе зоны поражения не будут соответствовать бассейнам кровоснабжения коронарных артерий.
Рис. 4. Изображения по короткой оси сердца. Представлены различные паттерны накопления контрастного препарата в отсроченную фазу: а — субэпикардиальный; б — субэндокардиальный; в — интрамиокардиальный (интрамуральный); г — трансмуральный.
Fig. 4. A schematic picture along the short axis of the heart. Various patterns of delayed contrast enhancement are presented: а — subepicardial; б — subendocardial; в — intramyocardial (intramural); г — transmural.
Наличие перикардиального выпота и перикардита
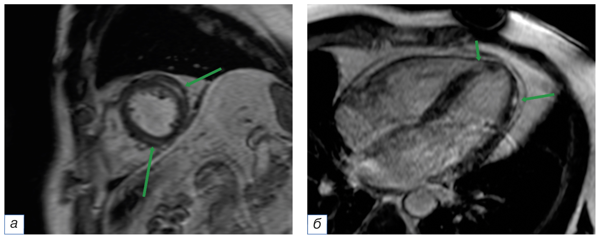
Изменения сердечной стенки при миокардите могут сочетаться с поражением перикарда (такие варианты течения называют миоперикардитом; рис. 5) и проявляются в виде воспаления сердечной сумки или выпота. Чаще всего поражаются прилежащие к изменённому миокарду участки перикарда, но встречаются случаи диффузного воспаления. Несмотря на то, что перикардиальный выпот расценивается лишь как сопутствующий признак [34, 35], некоторые исследования демонстрируют повышение чувствительности МР-оценки миокардита при его наличии [36].
Рис. 5. Магнитно-резонансная томография сердца, отсроченная серия с контрастным усилением (MDE) по короткой оси сердца. Стрелками указаны участки накопления контрастного препарата субэпикардиальными очагами и прилежащей частью перикарда.
Fig. 5. Cardiac magnetic resonance imaging, delayed contrast enhancement series (MDE), short axis plane. The arrows indicate the areas of the contrast enhancement in the subepicardial foci of the myocardium and the adjacent part of the pericardium.
ЗАКЛЮЧЕНИЕ
МРТ является важным неинвазивным методом диагностики миокардита. Результаты МР-исследования позволяют судить о степени повреждения миокарда, дифференцировать миокардит с другими заболеваниями, имеющими схожую клиническую картину, выявить атипичное течение миокардита с наличием осложнений (например, формирование аневризм). МРТ используется также для динамического наблюдения пациентов при оценке эффективности терапии.
Современные критерии позволяют дать объективную оценку структуры и функции миокарда, выявить наличие воспаления или фиброзных изменений. Полученные сведения об обратимости/необратимости процесса позволяют дифференцировать случаи, поддающиеся лечению.
Таким образом, рентгенолог должен уметь правильно интерпретировать полученные данные, понимать значимость выявленных изменений и возможный прогноз.
ДОПОЛНИТЕЛЬНАЯ ИНФОРМАЦИЯ
Вклад авторов. Л.Е. Фомина — написание текста рукописи, составление плана статьи, анализ диагностических изображений; И.И. Ярмола, В.И. Барский, А.В. Аникин, Е.В. Углова — написание текста рукописи, редакция статьи, аналитическая работа, обсуждение результатов, редакция изображений, составление статистической выборки, одобрение рукописи к публикации. Авторы подтверждают соответствие своего авторства международным критериям ICMJE (все авторы внесли существенный вклад в разработку концепции, проведение исследования и подготовку статьи, прочли и одобрили финальную версию перед публикацией).
Authors’ contribution. L.E. Fomina — writing text of the article, planning article structure, imaging analysis; I.I. Yarmola, V.I. Barskiy, A.V. Anikin, E.V. Uglova — writing text of the article, editing of the article, analytical work, discussion of the results, read and approved the direction of the manuscript for publication, editing images for an article, compiling a statistical sample. The authors made a substantial contribution to the conception of the work, acquisition, analysis, interpretation of data for the work, drafting and revising the work, final approval of the version to be published and agree to be accountable for all aspects of the work.
Источник финансирования. Исследование и публикация статьи осуществлены на личные средства авторского коллектива.
Funding source. The study had no sponsorship.
Конфликт интересов. Авторы заявляют об отсутствии внешнего финансирования при проведении исследования.
Competing interests. This study was not supported by any external sources of funding.
About the authors
Lyubov E. Fomina
National Medical Research Center for Children’s Health
Author for correspondence.
Email: love.fomina@mail.ru
ORCID iD: 0000-0002-3838-3284
SPIN-code: 1298-8350
Russian Federation, Moscow
Igor I. Yarmola
National Medical Research Center for Children’s Health
Email: lord_Dukich@bk.ru
ORCID iD: 0000-0002-1272-5119
SPIN-code: 5591-8066
Russian Federation, Moscow
Vladimir I. Barskiy
National Medical Research Center for Children’s Health
Email: woowka@mail.ru
ORCID iD: 0000-0003-1267-1517
Russian Federation, Moscow
Anatoly V. Anikin
National Medical Research Center for Children’s Health
Email: anikacor@gmail.com
SPIN-code: 7592-1352
MD, PhD
Russian Federation, MoscowElena V. Uglova
National Medical Research Center for Children’s Health
Email: uglova8@gmail.com
Russian Federation, Moscow
References
- Chow LH, Radio SJ, Sears TD, McManus BM. Insensitivity of right ventricular endomyocardial biopsy in the diagnosis of myocarditis. J Am Coll Cardiol. 1989;14(4):915–920. doi: 10.1016/0735-1097(89)90465-8
- Gutberlet M, Spors B, Thoma T, et al. Suspected chronic myocarditis at cardiac MR: Diagnostic accuracy and association with immunohistologically detected inflammation and viral persistence. Radiology. 2008;246(2):401–409. doi: 10.1148/radiol.2461062179
- Mangin M, Mahrholdt H, Sechtem U. [Diagnosis of myocarditis: Description and assessment of available methods. (In German)]. Dtsch Med Wochenschr. 2006;131(21):1228–1234. doi: 10.1055/s-2006-941758
- Mahrholdt H, Goedecke C, Wagner A, et al. Cardiovascular magnetic resonance assessment of human myocarditis: A comparison to histology and molecular pathology. Circulation. 2004; 109(10):1250–1258. doi: 10.1161/01.CIR.0000118493.13323.81
- Pan JA, Lee YJ, Salerno M. Diagnostic performance of extracellular volume, native T1, and T2 mapping versus lake louise criteria by cardiac magnetic resonance for detection of acute myocarditis: A meta-analysis. Circ Cardiovasc Imaging. 2018;11(7):e007598. doi: 10.1161/CIRCIMAGING.118.007598
- Ferreira VM, Schulz-Menger J, Holmvang G, et al. Cardiovascular magnetic resonance in nonischemic myocardial inflammation: Expert recommendations. J Am Coll Cardiol. 2018;72(24): 3158–3176. doi: 10.1016/j.jacc.2018.09.072
- Luetkens JA, Faron A, Isaak A, et al. Comparison of original and 2018 lakе louise criteria for diagnosis of acute myocarditis: Results of a validation cohort. Radiol Cardiothorac Imaging. 2019;1(3):e190010. doi: 10.1148/ryct.2019190010
- Radunski UK, Lund GK, Stehning C, et al. CMR in patients with severe myocarditis: Diagnostic value of quantitative tissue markers including extracellular volume imaging. JACC Cardiovasc Imaging. 2014;7(7):667–675. doi: 10.1016/j.jcmg.2014.02.005
- Von Knobelsdorff-Brenkenhoff F, Schuler J, Doganguzel S, et al. Detection and monitoring of acute myocarditis applying quantitative cardiovascular magnetic resonance. Circ Cardiovasc Imaging. 2017;10(2):e005242. doi: 10.1161/circimaging.116.005242
- Luetkens JA, Homsi R, Sprinkart AM, et al. Incremental value of quantitative CMR including parametric mapping for the diagnosis of acute myocarditis. Eur Heart J Cardiovasc Imaging. 2016;17(2):154–161. doi: 10.1093/ehjci/jev246
- Friedrich MG, Sechtem U, Schulz-Menger J, et al. Cardiovascular magnetic resonance in myocarditis: A jacc white paper. J Am Coll Cardiol. 2009;53(17):1475–1487. doi: 10.1016/j.jacc.2009.02.007
- Eitel I, von Knobelsdorff-Brenkenhoff F, Bernhardt P, et al. Clinical characteristics and cardiovascular magnetic resonance findings in stress (takotsubo) cardiomyopathy. JAMA. 2011; 306(3):277–286. doi: 10.1001/jama.2011.992
- Dall’Armellina E, Piechnik SK, Ferreira VM, et al. Cardiovascular magnetic resonance by non contrast T1-mapping allows assessment of severity of injury in acute myocardial infarction. J Cardiovasc Magn Reson. 2012;14(1):15. doi: 10.1186/1532-429X-14-15
- Blauwet LA, Cooper LT. Myocarditis. Prog Cardiovasc Dis. 2010;52(4):274–288. doi: 10.1016/j.pcad.2009.11.006
- Bami K, Haddad T, Dick A, et al. Noninvasive imaging in acute myocarditis. Curr Opin Cardiol. 2016;31(2):217–223. doi: 10.1097/HCO.0000000000000265
- Angelini A, Calzolari V, Calabrese F, et al. Myocarditis mimicking acute myocardial infarction: Role of endomyocardial biopsy in the differential diagnosis. Heart. 2000;84(3):245–250. doi: 10.1136/heart.84.3.245
- Alexander PM, Daubeney PE, Nugent AW, et al.; National Australian Childhood Cardiomyopathy Study. Long-term outcomes of dilated cardiomyopathy diagnosed during childhood: Results from a national population-based study of childhood cardiomyopathy. Circulation. 2013;128(18):2039–2046. doi: 10.1161/circulationaha.113.002767
- Foerster SR, Canter CE, Cinar A, et al. Ventricular remodeling and survival are more favorable for myocarditis than for idiopathic dilated cardiomyopathy in childhood: An outcomes study from the Pediatric Cardiomyopathy Registry. Circ Heart Fail. 2010;3(6):689–697. doi: 10.1161/circheartfailure.109.902833
- Ammirati E, Cipriani M, Lilliu M, et al. Survival and left ventricular function changes in fulminant versus nonfulminant acute myocarditis. Circulation. 2017;136(6):529–545. doi: 10.1161/circukationaha.117.026386
- Miller DD, Holmvang G, Gill JB, et al. MRI detection of myocardial perfusion changes by gadolinium-DTPA infusion during dipyridamole hyperemia. Magn Reson Med. 1989;10(2): 246–255. doi: 10.1002/mrm.1910100209
- Paajanen H, Brasch RC, Schmiedl U, Ogan M. Magnetic resonance imaging of local soft tissue inflammation using gadolinium-DTPA. Acta Radiol. 1987;28(1):79–83.
- Friedrich MG, Strohm O, Schulz-Menger J, et al. Contrast media-enhanced magnetic resonance imaging visualizes myocardial changes in the course of viral myocarditis. Circulation. 1998; 97(18):1802–1809. doi: 10.1161/01.cir.97.18.1802
- Roditi GH, Hartnell GC, Cohen MC. MRI changes in myocarditis: Evaluation with spin echo, cine MR angiography and contrast enhanced spin echo imaging. Clin Radiol. 2000;55(10):752–758. doi: 10.1053/crad.2000.0519
- Abdel-Aty H, Boye P, Zagrosek A, et al. Diagnostic performance of cardiovascular magnetic resonance in patients with suspected acute myocarditis: Comparison of different approaches. J Am Coll Cardiol. 2005;45(11):1815–1822. doi: 10.1016/j.jacc.2004.11.069
- Gutberlet M, Spors B, Thoma T, et al. Suspected chronic myocarditis at cardiac MR: Diagnostic accuracy and association with immunohistologically detected inflammation and viral persistence. Radiology. 2008;246(2):401–409. doi: 10.1148/radiol.2461062179
- Mahrholdt H, Goedecke C, Wagner A, et al. Cardiovascular magnetic resonance assessment of human myocarditis: A comparison to histology and molecular pathology. Circulation. 2004;109(10):1250–1258. doi: 10.1161/01.CIR.0000118493.13323.81
- Lurz P, Luecke C, Eitel I, et al. Comprehensive cardiac magnetic resonance imaging in patients with suspected myocarditis: The myoracer-trial. J Am Coll Cardiol. 2016;67(15):1800–1811. doi: 10.1016/j.jacc.2016.02.013
- Radunski UK, Lund GK, Stehning C, et al. CMR in patients with severe myocarditis: Diagnostic value of quantitative tissue markers including extracellular volume imaging. JACC Cardiovasc Imaging. 2014;7(7):667–675. doi: 10.1016/j.jcmg.2014.02.005
- Rehwald WG, Fieno DS, Chen EL, et al. Myocardial magnetic resonance imagingcontrast agent concentrations after reversible and irreversible ischemic injury. Circulation. 2002;105(2): 224–229. doi: 10.1161/hc0202.102016
- Kim RJ, Fieno DS, Parrish TB, et al. Relationship of MRI delayed contrast enhancement to irreversible injury, infarct age, and contractile function. Circulation. 1999;100(19):1992–2002. doi: 10.1161/01.cir.100.19.1992
- Kim RJ, Wu E, Rafael A, et al. The Use of contrast-enhanced magnetic resonance imaging to identify reversible myocardial dysfunction. N Engl J Med. 2000;343(20):1445–1453. doi: 10.1056/NEJM200011163432003
- Abdel-Aty H, Boye P, Zagrosek A, et al. Diagnostic performance of cardiovascular magnetic resonance in patients with suspected acute myocarditis: Comparison of different approaches. J Am Coll Cardiol. 2005;45(11):1815–1822. doi: 10.1016/j.jacc.2004.11.069
- Laissy JP, Hyafil F, Feldman LJ, et al. Differentiating acute myocardial infarction from myocarditis: Diagnostic value of early- and delayed-perfusion cardiac MR imaging. Radiology. 2005;237(1):75–82. doi: 10.1148/radiol.2371041322
- Ferreira VM, Schulz-Menger J, Holmvang G, et al. Cardiovascular magnetic resonance in nonischemic myocardial inflammation: Expert recommendations. J Am Coll Cardiol. 2018;72(24): 3158–3176. doi: 10.1016/j.jacc.2018.09.072
- Heymans S, Eriksson U, Lehtonen J, Cooper LT. The quest for new approaches in myocarditis and inflammatory cardiomyopathy. J Am Coll Cardiol. 2016;68(21):2348–2364. doi: 10.1016/j.jacc.2016.09.937
- Ong P, Athansiadis A, Hill S, et al. Usefulness of pericardial effusion as new diagnostic criterion for noninvasive detection of myocarditis. Am J Cardiol. 2011;108(3):445–452. doi: 10.1016/j.amjcard.2011.03.068
Supplementary files








